Zusammenfassung

Das transiente Knochenmarködem (TKMÖ) der Fußwurzel ist eine seltene hoch schmerzhafte Erkrankung unklarer Ätiologie 1. Es muss vom Knochenmarködem (KMÖ) ischämischer (Osteonekrose, Osteochondrale Läsion und CRPS), mechanischer (Kontusion, Fraktur) und reaktiver (Arthrose, postoperativ und Tumoren) Genese unterschieden werden 23(Bartl 2011). Beim TKMÖ handelt es sich um ein eigenständiges reversibles Krankheitsbild, das insbesondere vom Frühstadium einer Osteonekrose abgegrenzt werden muss 4. Am häufigsten manifestiert sich das TKMÖ der Fußwurzel am Talus. Zur Diagnosesicherung ist das MRT erforderlich, mit dem auch andere Pathologien (Frakturen, entzündliche Prozesse, Osteonekrosen, Tumoren, CRPS) differentialdiagnostisch abgegrenzt werden können. Röntgen und CT liefern erst nach einigen Wochen aussagekräftige Hinweise für ein TKMÖ, welches dann als Osteopenie imponiert und deshalb deskriptiv oft noch als „Transiente Osteoporose“ beschrieben wird. Die Therapie sollte konservativ geführt werden, der Krankheitsverlauf beträgt ca. 6 - 9 Monate. Eine Sonderform stellt das wandernde Knochenmarködem dar, bei dem es zur Migration der Ödemzone in benachbarte Skelettabschnitte oder zum Befall der kontralateralen Extremität kommt, der Verlauf ist dann deutlich prolongiert. Das TKMÖ heilt in der Regel folgenlos aus.

Epidemiologie und Ätiologie

Abbildung 1
Abbildung 1

Das Transiente Knochenmarködem (TKMÖ) ist  eine seltene idiopathische 5 selbstlimitierende 67 Erkrankung, die sich häufiger im Bereich des Hüft- und Kniegelenkes 8 und seltener an der Fußwurzel  manifestiert.
Die Studienlage zum Befall der Fußwurzel  ist nach wie vor unbefriedigend und stützt sich lediglich auf kleine Fallzahlen 4. Generelle Rückschlüsse auf die Inzidenz dieses Krankheitsbildes sollten deshalb nicht gezogen werden. In den wenigen Studien mit geringen Fallzahlen sind vorwiegend Patienten mittleren Alters (50-55. Lebensjahr) und Männer häufiger als Frauen betroffen.
Dank der flächendeckenden Einführung des MRT begegnet uns das TKMÖ zunehmend häufiger im Praxisalltag bei der Abklärung schmerzhafter Prozesse des Fußes.
Häufigste Prädilektionsstelle am Fuß stellt der Talus dar, wobei gelegentlich auch der Kalkaneus mitbefallen ist. Einzelne Fallbeschreibungen gibt es zum TKMÖ der Cuneiforme und des Os navikulare (Abb. 1), Studien zum Befall des Vorfußes liegen nicht vor 9.

Mitunter kommt es im Krankheitsverlauf zur verzögerten Migration des Ödems in benachbarte Skelettabschnitte (z.B. Migration vom Talus in die distale Tibia oder in den Kalkaneus) (Abb. 2 und 3), was den Krankheitsverlauf erheblich prolongieren kann.
Die Ätiologie des TKMÖ ist trotz multipler Erklärungsansätze bisher nicht geklärt. Bei der Pathogenese werden Zirkulationsstörungen und neuropathologische Veränderungen im Sinne eines CRPS diskutiert.

Symptomatik

Die Patienten klagen über akute heftige Schmerzen ohne adäquates Trauma, die sich unter Belastung verstärken und damit eine konsekutive Belastungsinsuffizienz bedingen. Häufig kommt es auch zu milden unspezifischen Entzündungszeichen wie Überwärmung und Schwellung 9. Insbesondere im Anfangsstadium der Erkrankung beschreiben die Patienten oft  eine deutliche Berührungsempfindlichkeit, die an ein CRPS denken lässt.
Laborparameter sind in der Regel unauffällig und liefern keinen spezifischen Hinweis für einen gestörten Knochenstoffwechsel 1107. Gelegentlich kommt es zum leichten Anstieg der BSG 8.

Diagnostisches Vorgehen

Die Anamnese sollte insbesondere die Kriterien erfassen, die eine differentialdiagnostische Abgrenzung zu anderen Pathologien erleichtern z.B. Trauma, akuter/schleichender  Beginn, Ruhe- oder Belastungsschmerz, Berührungsempfindlichkeit 6. Insbesondere wenn Patienten erst Wochen oder Monate nach Beschwerdebeginn vorstellig werden, sollte nach einer initialen Berührungsempfindlichkeit  gefragt werden, da diese meist in den ersten Wochen wieder abklingt.
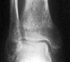
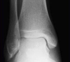
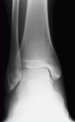
Neben der klinischen Untersuchung (Schwellung, Druck- und Klopfschmerz, Berührungsempfindlichkeit) sind Röntgenuntersuchungen obligat, obwohl sie gerade in den ersten Wochen der Erkrankung kein Korrelat bieten, aber zur differentialdiagnostischen Abgrenzung dienen. Im weiteren Krankheitsverlauf  zeigt sich nach Wochen und Monaten im Röntgen und im CT eine Osteopenie  in der betroffenen Region 8119 (Abb. 4 und 5)

Abbildung 6
Abbildung 6

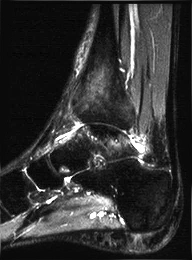
Diagnostische Methode der Wahl ist das MRT, das eine sichere Diagnosestellung erlaubt. Dabei kommt es  im betroffenen Knochen zur signalarmen Darstellung in der T1-Wichtung während T2 gewichtete Darstellungen als Folge des Ödems mit einer  Signalanreicherung in den betroffenen Skelettabschnitten und oft auch in den benachbarten Weichteilen imponieren
10.

Nur bei Kontraindikationen für ein MRT (z.B. Herzschrittmacher, Metall-Implantate u.a.) sollte alternativ auf die unspezifische Skelettszintigrafie und das CT ausgewichen werden.
Während sich im CT  erst nach Wochen eine Osteopenie darstellen lässt, zeigt sich im Szintigramm bereits im frühen Stadium eine erhöhte Anreicherung des Radionuklids in der betroffenen Region (Abb. 6). Diese ist Folge der verstärkten Vaskularisation und des erhöhten Knochenumsatzes {ref: 15049532, 9462360, 16228105, 15045549}

Differentialdiagnosen

Abbildung 7
Abbildung 7
  • Bone bruise (Trauma Anamnese)
  • Talusnekrose (Ödem in umschriebener Region des Talus, ev. Demarkation (Abb. 7), subakuter Beginn, Ruhe- und Belastungsschmerz)
  • Entzündliche Prozesse (Laborwerte sind i.d.R. wegweisend)
  • Tumoröse Prozesse (Szintigrafie)
  • CRPS (schleichender Beginn, Ruheschmerz, Hautveränderungen, Hyperthermie)
  • Frakturen (Anamnese)

Therapeutisches Vorgehen

Da der selbstlimitierende Charakter der Erkrankung inzwischen belegt ist, sollte die Therapie des TKMÖ konservativ geführt werden 63 (Hayes 1993). Primäres Ziel ist die Schmerzreduktion und die Erhaltung der Mobilität während der Akutphase 12.

  • Analgesie in Kombination mit initialer Entlastung. Mit rückläufigen Beschwerden (meist nach ca. 6 Wochen) Beginn mit einer schmerzadaptierter Teilbelastung.
  • NSAR in Kombination mit Calcitonin-Nasenspray.

Im Verlauf der letzten Jahre wurden in der Behandlung des TKMÖ zunehmend häufiger  Prostazyklin Analoga 313 und Bisphosphonate 31  eingesetzt.

  • Prostazyklinanalogon Iloprost Infusionstherapie - die Wiener Arbeitsgruppe Aigner und Kollegen 13 empfiehlt eine Serie von 5 Infusionen mit einer Tagesdosis von 20, 25 oder 50 Mikrogramm Iloprost über 6 Stunden an 5 aufeinanderfolgenden Tagen. Wegen spezifischer Nebenwirkungen sollte die Therapie unter stationären Bedingungen erfolgen. In Abhängigkeit von der Höhe der Dosierung können durch Vasodilatation bedingte Begleiterscheinungen wie Kopfschmerz, Flush und im Extremfall Übelkeit und Erbrechen auftreten. Durch Reduktion der Infusionsgeschwindigkeit sind diese Symptome laut Aigner et al. vermeidbar bzw. unmittelbar reversibel ohne den therapeutischen Effekt zu kompromittieren 13.
    Kontraindikationen: Schwangerschaft, Gerinnungsstörungen, Linksherzinsuffizienz und- versagen, frischer Myocardinfarkt, instabile Angina pectoris (Aigner 2002).
  • Bisphosphonate :Als erfolgreiche und nebenwirkungsarme neue Option erwies sich in einer Untersuchungsreihe von Bartl und Kollegen bei über 200 Patienten 214 die ambulante Therapie mit intravenös applizierten Bisphosphonaten in folgender Dosierung: insgesamt 3–4 monatliche Infusionen Ibandronat 6 mg in 250 ml NaCl Lösung über 20 min.  
    Eine rasche Schmerzlinderung ist bei den meisten Patienten bereits nach der ersten Infusion zu erwarten. Als typische Nebenwirkung muss nach der ersten Infusion bei 10% der Patienten mit einer unterschiedlich starken „Akute-Phase-Reaktion“ mit Gliederschmerzen, Temperaturerhöhung, und Krankheitsgefühl gerechnet werden. Eine Nierenschädigung oder Kiefernekrosen sind wegen des kurzen Behandlungszeitraums laut Bartl et al nicht zu erwarten und traten in keinem der behandelten Fälle auf. Vor Therapiebeginn sind Informationen über die Nierenfunktion und den Zahnstatus einzuholen.
    Kontraindikationen: Schwangerschaft und Stillzeit 2.
  • Interventionelle Methoden wie Anbohrung des Talus zur Entlastung haben nicht zur Beschleunigung des Krankheitsverlaufes beim TKMÖ beigetragen 115 und sollten als Therapieoption der ischämischen Form des KMÖ vorbehalten bleiben 3.

Für Angaben zu Dosierungsanweisungen und Applikationsformen wird keine Gewähr übernommen. Der Nutzer ist angehalten, durch sorgfältige Prüfung der Beipackzettel der verwendeten Präparate und ggfs. nach Konsultation eines Spezialisten festzustellen, ob die dort angegebene Empfehlung für Dosierungen oder die Beachtung von Kontraindikationen bei dem jeweiligen Patienten gegenüber der Angabe in diesem Beitrag abweicht.

Jede Dosierung oder Applikation erfolgt auf eigene Gefahr des Anwenders.

 

Prognose

Beim TKMÖ ist in der Regel nach ca. 6-10 Monaten ab Einsetzen der ersten Symptome mit einer vollständigen Restitutio (Abb. 8 und 9) ist zu rechnen {ref: 21733459, 15045549, 15767100, 20640992, 18353586, 15049532}

Der Krankheitsverlauf verlängert sich  bei der Migration des Ödems um mehrere Monate 1617.  
Der Einsatz von Prostazyklin Analoga und Bisphosphonaten wirkt sich beim TKMÖ allgemein positiv schmerzmodulierend aus, eine Verkürzung des Krankheitsverlaufes wird beschrieben  181319 (Aigner 2002).
Am besten eignet sich zur Verlaufskontrolle das MRT 15, Kontrollen in kürzeren als 3 monatigen Abständen, machen es aber meist schwierig eine Änderung in der Bildgebung zu erkennen.  
Im Röntgen dauert die Phase der Remineralisation bis zu 2 Jahre 20.

Weitere Literatur

  • Hayes et al „MR Imaging ob bone marrow edema pattern: transient osteoporosis, transient bone marrow edema syndrom or osteonecrosis“ in Radiographics 1993, Vol 13, No 5: 1001-1011
  • Aigner N, „Iloprost in der Orthopädie“ in Beilage zur Zeitschrift für Orthopädie Band 140, Heft 3, Mai / Juni 2002
  • Bartl R „Knochenmarködem: Pathogenese, Diagnostik und Therapie“ in Orthopädie und Rheuma 2011; 14 (10)

Für Angaben über Dosierungsanweisungen und Applikationsformen kann keine Gewähr übernommen werden. Jeder Benutzer ist angehalten, durch sorgfältige Prüfung der Beipackzettel der verwendeten Präparate und ggf. nach Konsultation eines Spezialisten festzustellen, ob die dort gegebene Empfehlung für Dosierungen oder die Beachtung von Kontraindikationen gegenüber der Angabe in diesem Beitrag abweicht. Jede Dosierung oder Applikation erfolgt  auf eigene Gefahr des Anwenders.

Loading…
Loading the web debug toolbar…
Attempt #