Kurzzusammenfassung
Dass Frakturen des Processus anterior calcanei eine so untergeordnete Rolle im klinischen Alltag und der wissenschaftlichen Betrachtung spielen, liegt auch daran, dass sie regelmäßig als Sprunggelenksdistorsion fehlgedeutet und nativradiologisch übersehen oder erst verzögert erkannt wurden. Gleichzeitig ist die klinische Differenzierung zu einer Außenbandverletzung schwierig. Die zunehmend breite Verfügbarkeit von schnittbildgebenden Verfahren ermöglicht heute ein zuverlässigeres Erkennen dieser Verletzung und spiegelt so das deutlich häufigere Auftreten dieser Frakturen wider. Je nach Studie machen Processus anterior calcanei Frakturen bis zu 23 % aller Kalkaneusfrakturen aus 1. Hinsichtlich ihrer Behandlung existieren bisher keine evidenzbasierten Therapieempfehlungen. Die wenigen publizierten Fallberichte und Fallserien empfehlen größtenteils eine konservative Behandlung. Dabei ist die Spanne der empfohlenen konservativen Maßnahmen enorm und reichen von der belastungsfreien Ruhigstellung im Unterschenkelgips für mehrere Wochen bis hin zur früh-funktionellen Mobilisation mit beschwerdeabhängiger Vollbelastung. Vor allem bei großen, dislozierten Fragmenten wird eine operative Therapie mittels offener Reposition und Osteosynthese diskutiert. Die Fragment-Exzision erfolgt zumeist sekundär bei persistierenden Beschwerden durch eine symptomatische Pseudarthrose nach konservativer Therapie. Sowohl die konservative als auch die operative Therapie führt in den vorhandenen (Einzel-)Fallberichten nach Angabe der jeweiligen Autoren zu zufriedenstellenden Ergebnissen. Allerdings fehlen bislang Arbeiten, die die möglichen Therapiestrategien vergleichen und objektivierbare Outcome-Parameter erheben, so dass eine evidenzbasierte einheitliche Empfehlung zur Behandlung dieser Frakturen nach wie vor nicht möglich scheint.
Epidemiologie und Ätiologie
Processus anterior calcanei Frakturen machen zwischen 3 % und 23 % aller Kalkaneus-Frakturen, bzw. 38 % der extra-artikulären Kalkaneus-Frakturen aus 2345. Es wird angenommen, dass es in bis zu 5 % aller Sprunggelenksdistorsionen zu einer Fraktur des PAC kommt 6. Das bedeutet, dass sie, nach den Frakturen der distalen Fibula und des Metatarsale V, die dritthäufigste knöcherne Verletzung im Rahmen von OSG-Distorsionen darstellt 7. Verlässliche Zahlen zur Inzidenz von Frakturen des PAC fehlen allerdings nach wie vor. Ursächlich hierfür scheint vor allem das häufige Nicht-Erkennen dieser Verletzung im konventionellen Röntgenbild zu sein 8395. Eine retrospektive Analyse von konventionellen Röntgenaufnahmen des Sprunggelenks konnte zeigen, dass bis zu 88 % der Frakturen des PAC nicht diagnostiziert wurden 7. Aufgrund der mittlerweile flächendeckenden Verfügbarkeit von schnittbildgebenden Verfahren werden Frakturen des PAC heute sehr viel häufiger erkannt 1091112135.
Anatomisch ist der Processus anterior calcanei ein in Form, Länge und Breite variabler Vorsprung am antero-lateralen Anteil des Kalkaneus. Er ist ein wichtiger Stabilisator der lateralen Fußsäule und artikuliert mit dem Os cuboideum (CC-Gelenk) und dem Os naviculare. Mit diesen ist er über das sehr stabile Ligamentum bifurcatum und die dorsalen kalkaneokuboidalen Bänder verbunden. Ein Teil des Extensor digitorum brevis kann ebenfalls am Processus anterior calcanei ansetzen. Außerdem bildet der PAC einen Teil des anterioren Kompartimentes des Subtalargelenkes.
Es sind zahlreiche Unfallmechanismen beschrieben, die zu einer Fraktur des Processus anterior führen können. Ein Flexions-Inversions-Trauma mit Distraktion des Ligamentum bifurcatum kann beispielsweise eine Avulsionsfraktur des Proc. anterius herbeiführen 1415115. Kompressionsfrakturen entstehen durch eine Dorsalextension und Eversion des Mittelfußes. Durch das Einklemmen des PAC zwischen Os cuboideum und Talus kann es zu dieser sogenannten „Nussknacker“-Verletzung kommen 1416. Andere beschriebene Mechanismen sind Schermechanismen durch forcierte Vorfußabduktion bei fixiertem Kalkaneus und Dorsalflexion des Fußes im Sprunggelenk 11. Auch die Kombination aus Supination, Innenrotation und Plantarflexion des Fußes wird als Unfallmechanismus diskutiert 13. Es existieren zunehmend Hinweise, dass Frakturen des PAC Ausdruck einer Verletzung oder gar Subluxation der gesamten Chopart-Gelenklinie sind. Hierbei kann es durch eine kombinierte Abduktion und Dorsalflexion zu einer Fraktur des Processus anterior calcanei in Kombination mit Abrissfrakturen der Tuberositas ossis navicularis kommen 11.
Symptomatik
Die meisten Patienten berichten über ein vorangegangenes Umknicktrauma des Sprunggelenks/Fußes, wobei der exakte Unfallmechanismus in der Regel nicht wiedergeben werden kann 313. Es kommt zu unspezifischen Symptomen wie Schmerzen und Schwellung im Bereich des lateralen Sprunggelenks und/oder des Fußes. Zudem ist die Funktion sowie Belastbarkeit der betroffenen Extremität schmerzbedingt eingeschränkt 159.
Diagnostisches Vorgehen
Klinische Untersuchung
In der klinischen Untersuchung zeigt sich häufig eine Schwellung im Bereich des lateralen Sprunggelenks/Mittelfußes. Der Bereich um den Processus anterior calcanei herum, welcher ca. 1 cm kaudal und 2 cm anterior der Fibula-Spitze zu tasten ist, ist druckschmerzhaft 313. Eine exakte klinische Differenzierung zwischen Frakturen des PAC und Außenband-Verletzungen ist aufgrund der anatomischen Nähe sehr schwierig 15. Zusätzlich besteht oft ein Druckschmerz im Bereich des dorsomedialen Talo-Navicular-Gelenks (TN-Gelenk) 177, sowie ein Verwringungs-Schmerz im Chopart-Gelenk 1811. Das Vorliegen eines plantaren Hämatoms kann ein Hinweis auf eine Fraktur des Processus anterior calcanei sein. Es tritt bei anderen Verletzungen der Supinationslinie eher selten auf 1519.
Bildgebende Diagnostik
Bei Distorsionen des Sprunggelenks/Fußes stellen konventionelle Röntgenaufnahmen die initiale Standarddiagnostik dar 2021. In Abhängigkeit der Beschwerdelokalisation sollten Röntgenaufnahmen des Sprunggelenks in zwei Ebenen bzw. des Fußes in drei Ebenen angefertigt werden. Frakturen des Processus anterior werden aufgrund von Überlagerungen oder aufgrund von Fehlinterpretation als akzessorischer Knochen (Calcaneus secundarium) nativradiologisch häufig übersehen 3201. Ein zuverlässiger Frakturausschluss sowie die Erfassung von Begleitverletzungen ist nur mittels Schnittbildgebung möglich 22022. Aufgrund der breiten und schnellen Verfügbarkeit ist die Computertomographie (CT) das Verfahren der Wahl 2022. Bei Vorliegen eines plantaren Hämatoms, Hinweisen auf Verletzungen der Chopart-Gelenk-Linie (z. B. talonavikulare Kapselband-Avulsion) oder einer Diskrepanz zwischen der klinischen Untersuchung und der Röntgen-Bildgebung sollte eine CT-Diagnostik veranlasst werden 920197. In der Primärdiagnostik spielt die Magnetresonanztomographie (MRT) eher eine untergeordnete Rolle, da das fokale Knochenödem und das umgebende Weichteilhämatom dazu führen, dass kleinere knöcherne Avulsionen und/oder Bandverletzungen nicht klar differenziert werden können 20.
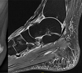
Begleitverletzungen
Häufig kommt es im Rahmen von PAC Frakturen zu knöchernen und/oder ligamentären Begleitverletzungen 20227. Eine aktuelle MRT-Studie wies in mehr als 2/3 der untersuchten Fälle Begleitverletzungen innerhalb des TN-Gelenks und in allen Fällen Verletzungen innerhalb des CC-Gelenks nach (z. B. talo-naviculare Avulsionen, Frakturen des Os cuboideum/Os naviculare, Rupturen/Avulsionsfrakturen des Lig. bifurkatum/Lig. calcaneo-cuboideum dorsale) 207. In Abbildung 1 und 2 sind häufig beobachtete Begleitverletzungen exemplarisch dargestellt.
Zum Lesen der Bildbeschreibung und zur Vollansicht bitte die Bilder anklicken. Bilder: M. Walther
Inwieweit diese Kombinationsverletzungen zu einer Instabilität im Chopart-Gelenk führen, ist nicht untersucht. Bisher existiert nach Kenntnis der Autoren kein Konsens, wie eine solche Instabilität geprüft bzw. ausgeschlossen werden kann. Die einzige uns bekannte Arbeit, die sich im Rahmen einer Kadaverstudie mit der ligamentären Stabilität zumindest des CC-Gelenks beschäftigt, wurde 2001 publiziert 23. Hier wurde in Vorfuß-Adduktion-Stresssaufnahmen nach Durchtrennung der CC-Bänder der Abstand zwischen dem lateralen Kalkaneusrand und dem Cuboid gemessen 24.
Die Autoren dieses Artikels führen bei Fraktur des Processus anterior calcanei aktuell Röntgen-Aufnahmen des Fußes im seitlichen Strahlengang unter Belastung durch. Dabei wird auf eine Subluxation in der Chopart-Gelenklinie geachtet. Für dieses Vorgehen existiert bisher allerdings keine Evidenz. Zur Objektivierung einer Instabilität im Chopart-Gelenk sind zukünftige wissenschaftliche Untersuchungen notwendig.
Klassifikation
Die Klassifikation der PAC Verletzung erfolgt nach Degan et al. 3. Diese unterscheidet insgesamt drei Fraktur-Typen anhand der Fragment-Größe und der artikulären Beteiligung.
Zum Lesen der Bildbeschreibung und zur Vollansicht bitte das Bild anklicken. Bild: M. Walther
Die Klassifikation nach Degan wurde bereits 1982 publiziert und basiert auf der Auswertung von konventionellen Röntgenaufnahmen von 25 Patienten 3.
Typ I: Nicht-dislozierte, extra-artikuläre Avulsionsfrakturen des Processus anterior.
Typ II: Dislozierte, extra-artikuläre Frakturen des Processus anterior.
Typ III: Große, dislozierte Frakturen mit Affektion des calcaneo-cuboidalen Gelenkes (CC-Gelenk).
Frakturen des Processus anterior calcanei sind in etablierten Kalkaneusfraktur-Klassifikationen (Sanders, Essex-Lopresti, Arbeitsgemeinschaft für Osteosynthesefragen (AO/OTA)) gar nicht oder nur am Rande erwähnt 252627. Diese Klassifikationen subsumieren die Frakturen des PAC unter den extra-artikulären Frakturen. Zwipp und Kollegen führten mit der „Integral Classification of Injuries“ (ICI) eine detaillierte Betrachtung der PAC Frakturen ein. Hier werden diese als artikuläre Verletzungen klassifiziert und zudem begleitende Bandverletzungen und die Fragment-Dislokation berücksichtigt 28. Eine Klassifikation - möglicherweise auf der Basis von CT-Bildern - in die die Fraktur-Lokalisation, die Fragment-Größe und -Dislokation sowie die Begleitverletzungen eingehen, wäre hilfreich, um sich dieser Frakturentität und der damit einhergehenden Behandlungsempfehlung weiter zu nähern. Die von Degan beobachteten extra-artikulären Frakturen im konventionellen Röntgen imponieren in CT und MRT als knöcherne Ausrisse des Lig. bifurcatum im Randbereich des Gelenks. Häufig finden sich aber auch bei kleinen Fragmenten eine intraartikuläre Komponente.
Therapeutisches Vorgehen
Idealerweise sollte eine Therapieempfehlung auf einer einheitlichen Klassifikation und den objektiven Ergebnissen qualitativ hochwertiger Studien fußen. Im Fall von Frakturen des PAC wurden seit der Erstbeschreibung vor 90 Jahren ausschließlich retrospektive Fallberichte und Fallserien publiziert. Einschränkend muss erwähnt werden, dass regelhaft die Frakturklassifikation, die Erfassung von Begleitverletzungen und das Frakturalter fehlen. Die Therapiekonzepte variieren erheblich und Behandlungsempfehlungen werden praktisch ausschließlich aufgrund der subjektiven Beurteilung des Behandlungsergebnisses durch die jeweiligen Autoren ausgesprochen. Einzig die Fallserie von Ochmann und Kollegen sowie die eigene Arbeit erfasste mit dem AOFAS Score ein objektives Outcome-Parameter 11.
Im Folgenden sollen die unterschiedlichen Therapieformen auf der Basis der vorliegenden Evidenz dargestellt werden. Insgesamt wurden im Rahmen einer systematischen Literaturrecherche von Massen et al. 16 Arbeiten zur konservativen Behandlung und 13 Studien zur operativen Behandlung von Processus anterior Frakturen identifiziert 29.
Konservative Therapie
Eine klare Empfehlung für die Art und Dauer der konservativen Behandlung existiert nicht. In den vorhandenen Studien reichte die Art der konservativen Behandlung von einer Immobilisation im Unterschenkelgips mit Entlastung an Unterarmgehstützen (2 - 10 Wochen) 33031324 bis hin zur früh-funktionellen Therapie mittels elastischer Bandagierung und beschwerdeabhängiger Vollbelastung 33.
Immobilisation und Entlastung
Von den insgesamt 16 Arbeiten zur konservativen Behandlung erfolgte in 14 Studien (zusammengefasst 183 Patienten) eine Immobilisierung mittels Unterschenkelgips bzw. Walker sowie Entlastung der betroffenen Extremität in unterschiedlicher Form. Der Zeitraum der Ruhigstellung und Entlastung variierte sowohl zwischen den einzelnen als auch innerhalb der jeweiligen Arbeiten. Acht Studien empfehlen eine Immobilisation und Entlastung für vier bis sechs Wochen 83493531323618. Ohne objektive Outcome-Scores oder ein systematisches Follow-Up berichten die Autoren über zufriedenstellende subjektive Ergebnisse bzw. eine radiologische Konsolidierung 8334353618. Bei 14 Patienten kam es zu Komplikationen (Pseudarthrose (n=2) 834; residuale Beschwerden (n=12)) 353118. Drei Studien führten ein sehr uneinheitliches Therapie-Regime hinsichtlich der gewählten Ruhigstellung (Gips/Tape) sowie der jeweiligen Entlastung durch 37330. Die Autoren berichten über exzellente Ergebnisse in 16, gute Ergebnisse in 13 und akzeptable Ergebnisse in einem Fall. Die Autoren einer Studie berichten über zufriedenstellende Behandlungsergebnissen nach variierender Immobilisation (2-10 Wochen), obwohl zum Zeitpunkt der letzten Nachuntersuchung noch elf von 18 Patienten über Beschwerden klagten 3. Drei Studien definierten die Dauer der durchgeführten Immobilisation/Entlastung gar nicht, berichten aber über zufriedene Patienten in 24 Fällen und persistierende Beschwerden in drei Fällen. Bei vier Patienten erfolgt keine Angabe der Behandlungsergebnisse 381339.
Funktionelle Therapie
Zwei Studien (n=36) berichten über die Ergebnisse nach früh-funktioneller Therapie. Die Arbeit von Norfray und Kollegen berichtet bei allen eingeschlossenen Patienten über ein zufriedenstellendes Behandlungsergebnis nach elastischer Bandagierung und beschwerdeadaptierte Vollbelastung, ohne dies weiter zu objektivieren 33. Die in unserer Abteilung durchgeführte retrospektive Analyse von 27 Patienten ergab sehr gute klinische und funktionelle Ergebnisse für alle drei Frakturtypen. Der mittlere Nachuntersuchungszeitraum betrug 29 ± 16 Monate. Die durchschnittliche Rückkehr zur Arbeitsfähigkeit lag in unserem Kollektiv bei 14 Tagen, der VAS-FA lag bei 95 Punkten und der Karlsson-Score bei 87 Punkten. Die Sportfähigkeit wurde erst nach durchschnittlich 90 Tagen wieder erreicht. Bezogen auf die oben genannten Outcome-Parameter ergab die statistische Analyse keine signifikanten Unterschiede für die unterschiedlichen Frakturtypen.
In Zusammenschau der vorhandenen Daten scheint die konservative Therapie insgesamt zu zufriedenstellenden Ergebnissen zu führen. Insbesondere die früh-funktionelle Behandlung führte bei allen Frakturtypen ohne Instabilitätszeichen zu einer hohen subjektiven und objektiven Zufriedenheit und schnellen Rückkehr zur Arbeitsfähigkeit ohne erhöhte Komplikationsrate. In der eigenen Klinik führen die Autoren daher bei allen Frakturen des PAC, die keinen Hinweis auf eine Instabilität oder Luxation zeigen, eine früh-funktionelle Therapie mittels beschwerdeadaptierter Vollbelastung durch. Dies erfolgt unabhängig vom Frakturtyp.
Operative Therapie
Auch die Therapieempfehlungen für die operative Therapie basieren auf retrospektiven Fallberichten. Von den insgesamt 13 identifizierten Arbeiten handelt es sich bei zehn Studien ausschließlich um einen Einzelfallbericht. Grundsätzlich lassen sich zwei Therapiestrategien unterscheiden. Bei akuten Verletzungen und größeren Fragmenten erfolgte zumeist die offene Reposition und Osteosynthese. Die Exzision wurde vorwiegend zur Behandlung symptomatischer Pseudarthrosen oder bei kleineren Fraktur-Fragmenten durchgeführt.
Offene Reposition und interne Fixierung (ORIF)
Die Versorgung der Processus anterior calcanei Frakturen erfolgt in der Regel über einen anterolateralen Zugang (alternativ Ollier-Zugang). Unter Schonung der Peronealsehnen sowie des N. cutaneus dorsalis intermedius erfolgt die Darstellung des Lig. bifurcatum. Die Fraktur sowie Gelenkflächen des CC-Gelenks werden sorgfältig inspiziert. Anschließend erfolgt die Reposition des Fragments/der Fragmente. Hierbei kann das Einbringen eines Kirschner-Drahts als „Joystick“ für die anatomische Reposition, insbesondere der CC-Gelenksfläche, hilfreich sein. Die Versorgung erfolgt mittels (Mini-/Kleinfragment-)Zugschrauben-Osteosynthese 11. Wie oben bereits aufgeführt bestehen nicht selten begleitende Bandverletzungen. Daher sollte im Anschluss an die osteosynthetische Versorgung stets eine Prüfung der Bandstabilität unter dem Bildwandler erfolgen. Bei entsprechender Instabilität wird eine temporäre Transfixation mittels Kirschner-Drähten empfohlen 11.
Zum Lesen der Bildbeschreibung und zur Vollansicht bitte das Bild anklicken. Bild: M. Walther
Die Ergebnisse der offenen Reposition und internen Fixierung bzw. Osteosynthese (ORIF) von Frakturen des PAC wird in vier Publikationen mit insgesamt 8 Patienten beschrieben 374011, (Pillai 2005). Zwei Arbeiten führten keine Klassifikation auf 3740, die beiden anderen führten die Operation bei Frakturen des Typs III nach Degan durch 11, (Pillai 2005). Nur drei Studien machen Angaben zum Frakturalter 4011, (Pillai 2005). Ein Fallbericht macht weder Angaben zum Frakturtyp noch zum Alter der Fraktur 37. Alle Autoren berichten über zufriedenstellende bis exzellente subjektive Behandlungsergebnisse 4011, (Pillai 2005), 37. Nur Ochman et al. erhoben zusätzlich einen objektivierbaren Zielparameter. Nach ORIF von fünf dislozierten Degan III Frakturen betrug der durchschnittliche AOFAS-Score 91 Punkte 11.
Offene Exzision
In sechs von sieben verfügbaren Studien erfolgte bei symptomatischen Patienten nach erfolgloser konservativer Therapie die sekundäre offene Exzision 344142395. Vier Patienten beklagten trotz Exzision persistierende Beschwerden 34, bei 13 Patienten führte die Operation zu einem zufriedenstellenden Ergebnis. Eine objektive Erfassung des Outcomes erfolgte in keiner der genannten Arbeiten und nur zwei Fallberichte nennen die Frakturklassifikation (Typ Degan III). Ein Einzelfallbericht berichtet über die primäre Exzision eines großen Fragmentes (keine Klassifikation) und beschreibt ein zufriedenstellendes Ergebnis 33.
Nachbehandlung
Die postoperative Nachbehandlung richtet sich nach dem jeweils erfolgten Eingriff. Nach osteosynthetischer Versorgung erfolgt in der Regel eine Teilbelastung mit 20 kg an Unterarmgehstützen für 6 - 8 Wochen unter Leitlinien-gerechter Thromboseprophylaxe 11. Eine belastungsfreie Mobilisierung des Sprunggelenks/Fußes kann bereits unmittelbar postoperativ erfolgen. Bei einer komplexen Luxationsverletzung kann entsprechend des intraoperativen Befundes eine zusätzliche Orthesen-/Gipsbehandlung sinnvoll sein 11. Nach primärer/sekundärer Fragment-Exzision kann nach abgeschlossener Wundheilung eine schmerzabhängige Vollbelastung erwogen werden.
Komplikationen
Unabhängig von den bekannten, allgemeinen postoperativen Komplikationen (wie z. B. Wundheilungsstörung, Infekt, sekundäre Dislokation, Pseudarthrose, Arthrose der benachbarten Gelenke, hier insbesondere des CC-Gelenks) liegt die erste Herausforderung bei dieser Verletzung schon in der zeitnahen Diagnosestellung. Erfolgt diese nach der entsprechenden klinischen und (Schnitt-)bildgebenden Diagnostik einschließlich möglicher Begleitverletzungen, so liegt die nächste Schwierigkeit für den behandelnden Arzt in der Einleitung der bestmöglichen Therapie. Dies erscheint insbesondere deshalb schwierig, da die wenig differenzierte Klassifikation und die insuffiziente Studienlage eine eindeutige und evidenzbasierte Therapieempfehlung erschweren. Diese Faktoren begünstigen die sehr heterogenen Ergebnisse der Patienten mit PAC Fraktur. Hier können für die Zukunft nur hochwertige Studien Abhilfe schaffen.
Perspektiven und aktuelle Trends
Arthroskopische Exzision
Die arthroskopische Resektion kann eine Alternative zur offenen Exzision der Fraktur-Fragment darstellen. In zwei Fallberichten führte die arthroskopische Exzision symptomatischer Pseudarthrosen (unklare Klassifikation) zu einer vollständigen Beschwerdefreiheit 4344. Auch hier erfolgte allerdings keine objektive Score-Erhebung.
Zusammenfassung
Bei entsprechendem Unfallmechanismus sollte differentialdiagnostisch immer an eine Fraktur des Processus anterior calcanei gedacht werden. Die Diagnosestellung kann heute mittels der hohen Verfügbarkeit schnittbildgebender Verfahren sicher und frühzeitig gelingen. Patienten mit akuter Fraktur und großem, disloziertem Fraktur-Fragment (Typ Degan III) können von der Durchführung einer Osteosynthese profitieren (Abb. 4). Aufgrund der guten Erfahrungen mit der früh-funktionellen Therapie mittels beschwerdeabhängiger Vollbelastung empfehlen die Autoren den Patienten die Operation im Rahmen der akuten Verletzung vor allem dann, wenn eine Instabilität im Chopart-Gelenk vorliegt. Zur Entscheidung werden Röntgenaufnahmen im seitlichen Strahlengang des Fußes unter Belastung angefertigt und auf eine Instabilität in der Chopart-Gelenklinie geachtet. Zusätzlich werden bei Verdacht auf eine Instabilität Stress-Aufnahmen des CC-Gelenkes durchgeführt. Fast alle Autoren führen eine Exzision der Fragmente nur dann durch, wenn sich die Beschwerden nicht bessern und es zur Ausbildung einer Pseudarthrose kommt.
Weitere Literatur
- Pillai A, Arora J, Williams C et al. (2005) The sprain fracture of the calcaneus revisited. The Foot 15:198-201