Sehnen zählen zu den bradytrophen Geweben, die sich durch eine geringe Vaskularität und einen niedrigen Zellumsatz auszeichnen. Die histopathologische Untersuchung von Sehnengewebe zählt zu den Standarduntersuchungen der orthopädischen Pathologie. Die Frage der Kausalität einer Ruptur ist in diesem Zusammenhang die wohl häufigste Fragestellung und hat auch Haftungs- und Versicherungsrechtliche Bedeutung. Strukturelle Veränderungen des Sehnengewebes erlauben eine zeitliche Datierung und die Beantwortung der Frage ob einem aktuellen Trauma eine Schädigung vorausgegangen ist. Der Begriff der Degeneration sollte verlassen werden und durch den der Texturstörung oder Vorschädigung ersetzt werden. Auch die Kontur der Risskante erlaubt Rückschlüsse über das Alter einer Ruptur. Neben exogenen spielen auch endogene Schädigungen eine bedeutende Rolle in der Pathologie der Sehnen. Erkrankungen aus dem rheumatischen Formenkreis sind hier ebenso von Bedeutung wie die Kristalltendopathien Kalziumpyrophosphattendopathie und Gicht. Auch hier liefert die histopathologische Untersuchung oft beweisende, mindestens jedoch wegweisende, Befunde.
Mikroskopische Anatomie
Die Kenntnis über den Aufbau des Sehnengewebes ist wichtig für die Beurteilung und das Verständnis von exogenen und endogenen Schädigungen. Es ist hinlänglich bekannt, dass Sehnen zu den bradytrophen Geweben zählen und aus straffem kollagenem Bindegewebe (Kollagen-Typ I) aufgebaut sind.
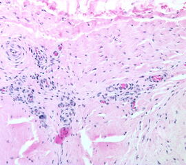
Sehnen, die einer Richtungsänderung unterworfen sind werden von Sehnenscheiden umgeben, die von Synovialis ausgekleidet werden. Die übrigen Sehnen werden vom Paratenon umgeben, das die Verbindung zum umgebenden Weichgebe darstellt. Die Sehne selbst wird vom Epitenon umhüllt. Das Endotenon strahlt vom Epitenon aus in die Sehne ein und unterteilt diese in primäre und sekundäre Faszikel. In das Endotenon eingebettet verlaufen die versorgenden Strukturen: Arterien, Venen, Lymphgefäße und Nerven. Reparative Prozesse gehen vielfach von diesen Strukturen aus. Die Sehnenfasern weisen eine parallele Ausrichtung auf. Im nicht gespannten Zustand sind sie leicht gewellt. Die sog. Flügelzellen, die sich in ihrer Form der Umgebung anpassen und ein kaum sichtbares Zytoplasma aufweisen, liegen den Sehnenfasern angelagert im Gewebe. Sie sind gleichmäßig verteilt. Die Zellkerne - hier als Tendozytenkerne bezeichnet – sind kondensiert und zeigen auf Längsschnitten eine längliche Form (Abbildungen 1 und 2)
Abbildung 1
Abbildung 2
Abbildung 3
An Stellen, die einer erhöhten Beanspruchung (Hypomochlien, Insertionszonen) ausgesetzt sind, tritt physiologischerweise eine chondroide Differenzierung auf. In der Standardfärbung der Histopathologie der Hämatoxilin&Eosin (H&E) – Färbung fallen diese Areale durch auch eine stärker basophile (bläulich) Anfärbung auf. Die Zellkerne sind rundlich und werden von einem hellen Hof (Halo) umgeben (Abbildung 3).
Der feingewebliche Aufbau von Sehnenscheiden gleicht dem von Gelenkkapseln. Die Synovialmembran stellt die innere Auskleidung dar und besteht aus mehreren Lagen von Synoviozyten. Man kann hier zwei Zelltypen unterscheiden. Makrophagen und spezialisierte Fibroblasten. Letztere produzieren verschiedene Proteine, die für den Erhalt der Sehnenscheiden und die Gleitfähigkeit notwendig sind.
Bänder und Aponeurosen entsprechen in ihrem Aufbau dem von Sehnen.
Beurteilung von exogenen Sehnenschäden
Die klassischen Fragestellungen, wenn es um die Beurteilung von Sehnenpräparaten geht, sind die Frage nach der Degeneration und die Altersbestimmung eines Traumas. Der Begriff der Degeneration sollte allerdings vermieden werden. Hintergrund der Frage nach einer Degeneration ist ob einer Ruptur oder Teilruptur ein adäquates Trauma vorausgegangen ist oder ob möglicherweise eine mangelnde Beschaffenheit des Gewebes bzw. krankhafte Veränderung ursächlich für den Riss sein könnte. Der Begriff wird von verschiedenen Autoren aus unterschiedlichen Gründen abgelehnt. Die uneinheitliche Verwendung und Missverständlichkeit des Begriffs werden von Hempfling und Krenn als Kritikpunkte genannt 1. Von den Autoren wird darauf hingewiesen, dass der Begriff der Zellpathologie entstamme. Mohr empfiehlt die Verwendung des Terminus „Vorschädigung“, der die pathophysiologische Entstehung der Veränderungen berücksichtigt. Aktuell wird der Begriff der Texturstörung empfohlen, der deskriptiv geprägt ist.
Die Altersbestimmung eines Traumas zielt in eine ganz ähnliche Richtung. Die Korrelation der histopathologischen Veränderungen mit dem anamnestischen Traumazeitpunkt ermöglicht eine Aussage darüber ob eine entsprechende Kontinuitätstrennung traumatisch oder nicht traumatisch bedingt ist. An dieser Stelle sei jedoch explizit darauf hingewiesen, dass für die Beantwortung gutachterlicher Fragestellung sämtliche Befunde von Relevanz sind und das Ergebnis der histopathologischen Untersuchung eines von mehreren Untersuchungsverfahren darstellt.
Texturstörung (Vorschädigung, Degeneration)
Texturstörungen können als Folge von Mikrotraumen aufgefasst werden. Im Allgemeinen können hier auch Alterungsprozesse eine Rolle spielen. Bei Sehnen hingegen ist mit steigendem Lebensalter zwar wohl von einem Verlust an Elastizität und Zugfestigkeit auszugehen, hochgradige Veränderungen der kollagenen Matrix sind jedoch nicht zu erwarten 2.
Histologische Korrelate einer Texturstörung von Sehnen sind:
Granulationsgewebsbildung
Variable Zellularität
Narbenbildung
Kalzifikationen und Ossifikationen
Altersbestimmung einer partiellen Kontinuitätsunterbrechung
Nach einem Trauma kommt es zu einer Abfolge von sich bedingenden reparativen Vorgängen der Wundheilung, die in ähnlicher Form auch bei Verletzungen in anderen Geweben und Organen auftreten und sich unter anderem auch histomorphologisch erkennen lassen. Die entsprechenden Veränderungen erlauben eine relativ exakte zeitliche Datierung einer entsprechenden Läsion und damit die Beantwortung wichtiger Fragstellungen. Das Nebeneinander verschiedener Stadien lässt auf ein mehrzeitiges Geschehen rückschließen.
Abbildung 4
Abbildung 5
Abbildung 6
Abbildung 7
Abbildung 8
Abbildung 10
Tabelle 1
Tag 2 (Abbildung 4)
Reduzierung der Tendozytenkerne und granulozytäres Infiltrat
Tag 4
Erste Kollagenfasern erscheinen
Tag 6 (Abbildung 5)
Gefäß- und zellreiches Granulationsgewebe
Tag 12
Gefäß- und zellreiches Granulationsgewebe mit Kollagenbündeln
Tag 21
Das Ersatzgewebe wird zellärmer; die extrazelluläre Matrix wird stärker entwickelt
Tag 35 (Abbildung 6)
Weitere Zunahme der extrazellulären Matrix, Längsausrichtung der Fibroblastenkerne und Fasern.
Tag 64 (Abbildungen 7 und 8)
Imitation einer weitgehend intakten Sehne mit nur leichter Hyperzellularität und kondensierten Tendozyten
Tag 90
Weitgehende Wiederherstellung der Sehne. Es liegt meist herdförmig noch etwas zellreicheres ungeordnetes Narbengewebe vor.
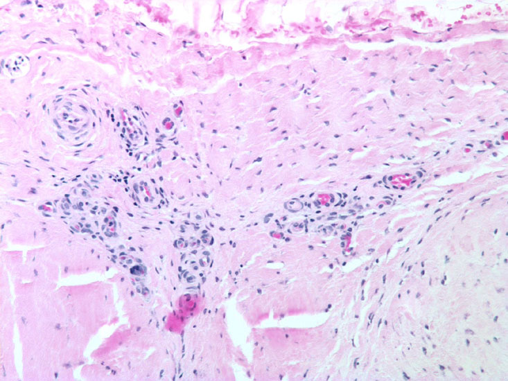
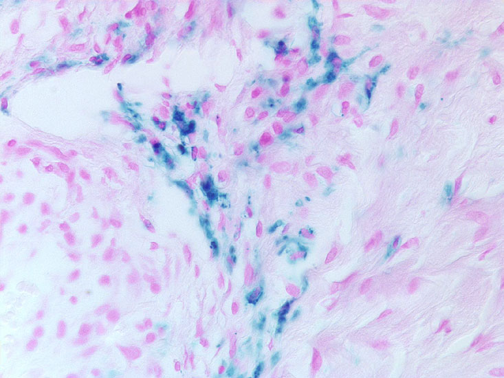
Die in Tabelle 1 beschriebenen zeitlichen Angaben wurden im Tierexperiment durch partielle Sehnendurchtrennung ermittelt 3 und in verschiedenen Standardwerken zitiert. Erfahrungsgemäß korrelieren diese Werte sehr gut mit den Befunden, die in der täglichen Praxis erhoben werden. Zu den Standardbefunden gehört daneben auch der Nachweis bzw. Ausschluss von Siderinpigmenteinlagerungen. Siderin wird in der Berliner Blau Färbung durch das Vorhandsein von blauem granulärem Pigment nachgewiesen. Es entsteht beim Abbau von Blut nach etwa 5 – 6 Tagen und kann auch noch nach Monaten nachweisbar bleiben. Es ermöglicht somit im Wesentlich nur den indirekten Nachweis eines Traumas mit Einblutung, das älter als 4 – 5 Tage sein muss (Abbildung 9). Die Abbildungen 4 bis 8 zeigen entsprechende histomorphologische Veränderungen. Letztlich entsprechen diese Befunde den oben aufgeführten Texturstörungen, deren Entstehung auf wiederkehrende Traumen bzw. Mikrotraumen beruht.
Altersbestimmung einer vollständigen Kontinuitätsunterbrechung
Die oben beschriebenen Veränderungen einer Sehne die im Rahmen einer partiellen Durchtrennung entstehen sind auch bei kompletten Kontinuitätsunterbrechungen nachweisbar. Die Rissenden zeigen zudem Konturveränderungen wenn es nicht zur Adaption kommt. Diese erlauben zusätzlich eine grobe zeitliche Einteilung. Eine frische Ruptur zeichnet sich durch unregelmäßige, scharf konturierte, aufgefaserte Risskanten aus (Abbildungen 10 und 11). Ältere Verletzungen zeigen ebenfalls noch Auffaserungen. Die Kanten werden jedoch abgerundet Es besteht eine hohe Zellularität. Alte Sehnenrisskanten zeichnen sich durch eine vollständige Abrundung aus. Das Sehnengewebe wird zudem sehr zellarm.
Abbildung 9
Abbildung 11
Impingement-Syndrom
Hierunter wird die Einengung einer Sehne in einem Sulkus verstanden. Meist tritt diese Veränderung im Schultergelenk auf. Ursächlich können hierfür Subluxationen aber auch Schwächen der Schultergelenkmuskulatur sein, ebenso wie Mikrotraumen und Teilrupturen.
Korrelierende histologische Veränderungen sind neben klassischen Befunden der Texturstörung die Aufsplitterung der Sehne mit Ausbildung von Kollagenrollen und die chondroide Metaplasie der Sehne 45. Auch die kalzifizierende Tendopathie (Tendinosis calcarea) kann für ein Impingementsyndrom verantwortlich sein. Am häufigsten ist die Supraspinatussehne betroffen – sie tritt jedoch auch in sehr vielen anderen Lokalisationen auf (Hände, Ellbeugen, Hüfte, Knie u.a.). Pathomorpholoigsch sind die Verkalkungen als amorphe „kreide- bis zahnpastaähnliche“ Herde beschrieben worden 6. Feingeweblich finden sich ausgedehnte Verkalkungen aber auch die Bildung von Psammomkörperchen. In der Umgebung könnnen Granulationsgewebsbildung und auch Riesenzellen beobachtet werden.
Beurteilung von endogenen Sehnenschäden
Kristallopathien
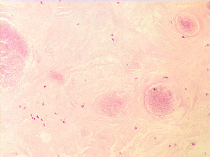
Kalziumpyrophosphat-Tendopathien sind relativ seltene Manifestationen der „Pseudogicht“, die die häufigste Kristallarthropathie darstellt und mit Ausnahmen der familiären Form sporadisch zu meist im höheren Lebensalter auftritt und hier vorwiegend die großen Gelenke befällt. Klinisch tritt das Krankheitsbild unterschiedlich auf zum Teil auch ähnlich anfallsartig wie bei der „echten“ Gicht. Makroskopisch erkennt man punkt- und streifenförmige, weißliche Ablagerungen. 7 Histologisch erkennt man in der Standard H&E Färbung (unentkalkt!) amorphe blaß-eosinophile Einlagerungen in das Gewebe (Abbildung 12). Die grob-granulären Kristalle kommen im polarisierten Licht zur Darstellung (Abbildung 13). Hier ist die Anfertigung von ungefärbten Nativpräparaten, die mehr Kristalle enthalten, oft hilfreich.
7 Histologisch erkennt man in der Standard H&E Färbung (unentkalkt!) amorphe blaß-eosinophile Einlagerungen in das Gewebe.</p>"> 7 Histologisch erkennt man in der Standard H&E Färbung (unentkalkt!) amorphe blaß-eosinophile Einlagerungen in das Gewebe.</p>" srcset="/assets/images/w/12-dcg1wr83dpqmv86.jpg 1x, /assets/images/4/12-rzs3rqrpj1599dp.jpg 1.5x, /assets/images/5/12-1726yh24gmnqqez.jpg 2x" width="270" height="240" loading="lazy">
Abbildung 12
Abbildung 13
Die Gicht entsteht als Folge eines erhöhten Harnsäurespiegels oft im Rahmen eines metabolischen Syndroms. Das morphologische Korrelat der Gicht stellt der Gichttophus dar. Makroskopisch erscheint der Tophus als weißliche amorphe pastenartige Masse mit bindegewebigen Septen. 7 Histologisch erkennt man Granulome, oft mit chondroidem Aspekt und amorphem Material im Zentrum. Polarisationsoptisch kann man dann büschelartig angeordnete Kristalle erkennen. Hier ist einschränkend zu erwähnen, dass die Kristalle bei üblicher Formalinfixierung in Lösung gehen. Der histologische Kristallnachweis gelingt daher nur bei sehr großen Tophi oder bei Übersendung in 100%igem Alkohol (was bei entsprechender Fragestellung unbedingt zu empfehlen ist).
Rheumatoide Tenosynovialitis
Die rheumatoide Arthritis kann sich auch in Form einer Tenosynovitis manifestieren. Bei der histopathologischen Beurteilung von Synovialis-Proben hat sich der von Krenn et al. eingeführte Synovialitis-Score in der praktischen Diagnostik sehr bewährt 8. Hier werden die drei Kriterien:
Synoviale Deckzellschicht
Synoviales Stroma
Leukozytäres Infiltrat
mit jeweils 0 bis maximal 3 Punkten bewertet und die einzelnen Punkte addiert (0 - 9Punkte). Werte ab 5 Punkte sprechen hierbei für eine “high grade Synovialitis“. Letzere kann als granulomatöse (V.a. Sarkoidose, TBC) oder nichtgranulomatöse Entzündung auftreten. Letztere tritt im Rahmen einer Erkrankung aus dem rheumatoiden Formenkreis auf.
Literatur
Junqueira LC, Carneiro J. Histologie. 3. Auflage. Berlin: Springer: 1991
Lüllmann-Rauch R. Taschenlehrbuch Histologie. 2. Auflage. Stuttgart: Thieme: 2006
Krenn V, Rüther W. (Herausgeber). Pathologie des Bewegungsapparates. 2. Auflage. Berlin : De Gruyter, 2012.