Kurzzusammenfassung

Die Ruptur der Sehne des M. tibialis anterior (MTA) betrifft häufig den avaskulären distalen Anteil der Sehne, in der Regel liegt eine degenerative Vorschädigung vor. Die Rupturen der MTA werden häufig klinisch aufgrund der guten Kompensation über die langen Zehen­strecker übersehen. Die konservativen Maßnahmen beinhalten die Versorgung mittels einer Peroneusfeder und die Therapie möglicher Folgeprobleme wie Metatarsalgien und Absenkung des medialen Fußrandes im Sinne der Ausbildung eines Pes plano valgus. Bei entsprechendem Leidensdruck ist die operative Maßnahme indiziert. Die direkte End-zu-End-Rekonstruktion ist aufgrund der häufig stattgefundenen Retraktion der Sehne selten möglich. Bei guter Substanz ist die entsprechende Umkehrplastik zu bevorzugen. Die Rückverlagerung des Ansatzes auf das Os naviculare verkürzt die zu überbrückende Strecke mit jedoch Inkaufnahme eines Kraftverlustes aufgrund des damit verkürzten Hebelarmes. Bei entsprechend großem Substanzdefekt ist die lokale Ersatzplastik mittels der Sehne des M. extensor hallucis longus (EHL) zu bevorzugen. Die Nachbehandlung bedingt in der Regel eine Entlastungsphase von mindestens sechs Wochen.
Die Studienlage hinsichtlich des therapeutischen Vorgehens ist nicht eindeutig. Die operative Therapie ist jedoch beim Vorliegen eines Leidensdruckes in der aktuellen Literatur als Mittel der Wahl anzusehen.

Epidemiologie und Ätiologie

Der M. tibialis anterior hat seinen Ursprung am Condylus lateralis und an der proximalen 2/3-Fläche der Tibia und der Membrana interossea und verläuft unter dem Retinaculum extensorum superius und inferius zum Ansatz auf Höhe des Os cuneiforme mediale und Os metatarsale I. Aufgrund des Verlaufes ist der M. tibialis anterior der Hauptdorsalextensor des oberen Sprunggelenks und wirkt als Supinator und Adduktor auf das untere Sprunggelenk 1.
Der Ansatz ist in der Literatur als variabel beschrieben. So berichtet Musial [1] in seiner anatomischen Studie über 4 unterschiedliche Ansatzformen der Sehne. Die häufigste Insertionsform (56,6 %) ist der Typ I mit einer breiten Insertion am Os cuneiforme mediale und einer schmalen Insertion an der Basis des Metatarsale I. Der Typ II (37,7 %) zeigt eine gleich starke Insertion am Os cuneiforme mediale als auch an der Metatarsale I-Basis, der Typ III (4,1 %) zeigt eine nahezu komplette Insertion am Os cuneiforme mediale und lediglich einen assessorischen Zügel an der  Metatarsale-I-Basis. Der Typ IV (1,6 %) zeichnet sich durch eine breite Insertion am Metatarsale I und lediglich eine schmale Insertion am Os cuneiforme mediale aus. Dagegen berichten Arthornthurasook und Gaew-Im 2 über 3 unterschiedliche Formen der Insertion. Die häufigste Form mit 56,8 % zeigt eine gleich starke Insertion sowohl am Os cuneiforme mediale als auch an der Basis des Metatarsale I. Der zweite Typ (27,3 %) zeichnet sich durch eine breite Insertion am Os cuneiforme mediale und eine schmale Insertion an der Basis des Metatarsale I aus, und die dritte Form (15,9 %) zeigt eine lediglich isolierte Insertion am Os cuneiforme mediale. Die unterschiedlichen Insertionsformen sollten bei der Beurteilung der Bildgebung beim Verdacht auf eine Ruptur der Sehne des M. tibialis anterior bekannt sein. Eine anatomische Rekonstruktion der primären Insertionstypen ist für die Wiederherstellung der Funktion und damit dem klinischen Ergebnis wichtig.
Anatomische Studien zeigen für den proximalen Anteil des M. tibialis anterior, inklusive des proximalen Anteils der Sehne, eine sehr gute Vaskularisation. Für den distalen Anteil, insbesondere 5 bis 30 mm proximal der Insertionsstelle, wird eine avaskuläre Zone beschrieben. Dieser Abschnitt ist für Degenerationen als auch für Rupturen besonders anfällig 1.

Degenerationen der Sehne des M. tibialis anterior treten im Verhältnis zur Degeneration der Achillessehne seltener auf. In der Literatur sind aktuell 2 klinische Studien 34 über die konservative und operative Therapie bekannt. Inwieweit die Pathologie übersehen wird, ist nicht bekannt. Die Anamnese und klinische Befunderhebung sind jedoch für die ansatznahe Tendinopathie häufig wegweisend.
Die Ruptur der M. tibialis anterior Sehne kann sowohl akuter als auch chronischer Genese sein. Akute Rupturen können aufgrund einer direkten Schnittverletzung auftreten oder indirekt in Folge eines Hyperflexionstrauma. Spontane Rupturen können ebenfalls auftreten, sind aber in der Regel auf chronische Vorschädigungen der Sehne zurückzuführen 5. Bestimmte Grunderkrankungen  prädisponieren die Entstehung einer Ruptur. Berichte über vermehrtes Auftreten einer Tibialis anterior- Ruptur sind im Rahmen eines systemischen Lupus erythematodes, eines Hyperparathyreodismus, eines Diabetes mellitus, einer rheumatoiden Arthritis, Psoriasis und Gichtarthropathie bekannt. Zusätzlich können Sehnenschädigungen aufgrund vorhergehender Kortisoninjektionen als auch medikamen­töser Antibiotikatherapie (Chinilone) eine Ruptur begünstigen. Grundsätzlich treten Rupturen im distalen Anteil der Sehne auf, hervorgerufen durch die chronische Friktion unter dem Retinaculum extensorum, als auch aufgrund der avaskulären Zone in diesem Bereich. Teilweise kann von den Patienten ein direktes Trauma benannt werden. Insbesondere ältere Patienten berichten meistens über ein Minortrauma mit sich schleichend einstellender Symptomatik 6.
In der Literatur beziehen sich die Berichte hauptsächlich über Fallserien und sind in der Regel retrospektiven Charakters 7. Prospektive randomisierte Studien zwischen der konservativen und der operativen Therapie fehlen. Dies ist dem seltenen Auftreten und der Inhomogenität des betroffenen Patientengutes geschuldet. Daher ist die Entscheidung zwischen konservativer oder operativer Therapie im Zusammenhang mit dem Allgemein­zustand des Patienten und seinem funktionellen Anspruch zu treffen 57.

Symptomatik

Selektive Kraftprüfung des MTA: Durch die Fixierung der Zehen in Hyperextension werden die Zehenstrecker funktionell ausgeschaltet. Damit kann die Kraft des MTA selektiv getestet werden.
Abbildung 1

Bei Vorliegen einer ansatznahen Tendinopathie berichten die Patienten über vor allem in den frühen Morgenstunden oder bei initialer Belastung auftretende Schmerzen auf Höhe des Ansatzes der M. tibialis anterior Sehne. Beschwerdebildführend ist ein ansatznaher Druck­schmerz der Sehne. Zeitweise kann ein Ruheschmerz, insbesondere in den Morgenstunden, vorliegen. Die Kraft der Dorsal­extension gegen Widerstand kann schmerzhaft limitiert sein, ist aber in der Regel nicht abgeschwächt. Nicht selten liegt ein Pes planovalgus mit  Abflachung der Längswölbung begleitend vor 34.

Bei substantieller Schädigung der M. tibialis anterior Sehne bzw. seiner Innervation (N. peroneus) sind klinische Befunde wie Ausfall bzw. Reduktion der Dorsalextension und reduzierte Supination und Adduktionskraft zu erwarten. Bei aktiver Dorsalextension lässt sich eine Eversion des Rückfußes und die Hyperextension der Zehen beobachten 89. Die selektive Testung des MTA kann unter funktioneller Ausschaltung der Zehenextensoren stattfinden. Hierzu ist die Stabilisierung der Zehen in maximaler Dorsalextension notwendig (Abbildung 1).
Bei länger bestehenden M. tibialis anterior-Rupturen zeigen sich typische klinische Verände­rungen. Die Dorsalextension wird wie erwähnt hauptsächlich über die langen Extensoren als auch über den langen Großzehenextensor kompensiert. Bei der klinischen Betrachtung zeigt sich daher eine Substitutionsbewegung der Zehe mit vermehrter Dorsalextension in den Metatarsophalangealgelenken im Vergleich  zur Gegenseite. Eine zunehmende Pes plano valgus-Fehlstellung stellt sich aufgrund der fehlenden medialen Stabilisierungsfunktion ein. Als weiteres Erscheinungsbild entsteht ein Tiefertreten des Metatarsale I-Kopfes im Verhäl­tnis zu den Metatarsalia II bis V.
Die Patienten berichten in der Regel über Gangunsicherheiten und über häufiges Stolpern oder Hängenbleiben. Das Gangmuster zeigt bei fehlender MTA-Wirkung einen schnellen Übergang vom „heel strike“ zur „midstance“ - Phase. Durch die fehlende Funktion des MTA fehlt die bremsende Dosierfunktion. Meist entsteht hierdurch ein hörbares Platschen beim Aufsetzen des Fußes. Der Fersengang ist auf der Seite der Sehnenruptur deutlich einge­schränkt bis nicht möglich 5.

Die passive Beweglichkeit des oberen Sprunggelenkes ist in der Regel primär nicht einge­schränkt, bei längerem Verlauf kann sich eine Verkürzung der Achillessehne einstellen. Die aktive Dorsalextension zeigt in der Regel eine Abschwächung von 10 bis 15° im Verhältnis zur Gegenseite 5101112.
Nach stattgefundener Ruptur kommt es zur Retraktion des proximalen Stumpfes. Dieser kann sich bis zum Retinaculum extensorum superius retrahieren. Einzelberichte zeigen sogar eine Retraktion von mehr als 10 cm. Der proximale Sehnenstumpf wird häufig als störend empfunden. Die geschilderte Schmerzsymptomatik ist in der Regel jedoch mild 131415.

Differenzialdiagnostisch sollten neurale Läsionen, z.B. des N. peroneus als auch zentrale Nervenläsionen wie bei einem Bandscheibenvorfall L4/5 mit Kompression der Nervenwurzel L5 ausgeschlossen werden. Ebenfalls sollte ein Kompartment-Syndrom als Schmerzursache und Ursache der Funktionsreduktion ausgeschlossen werden 16.

Diagnostisches Vorgehen

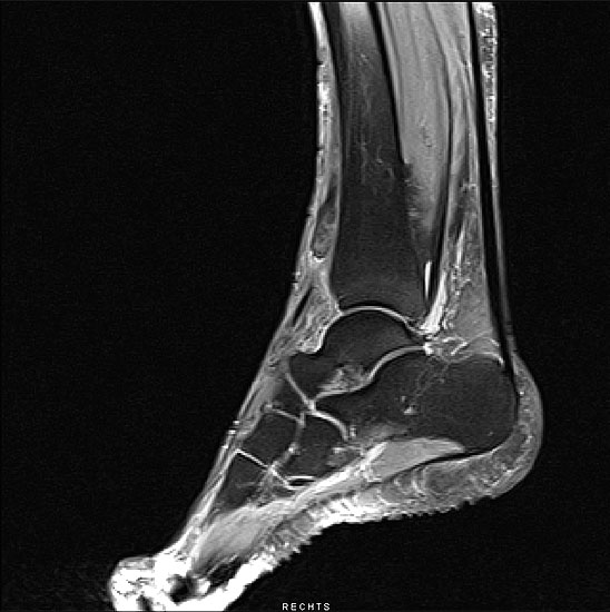
Bildgebende Diagnostik bei der Ruptur des MTA mittel MRT: 
Sagitaler Schnitt  mit Darstellung des nach proximal retrahierten Stumpfes der rupturierten Sehne.
Abbildung 2

Die apparative Diagnostik zeigt im Röntgenbild in der Regel keine wesentlichen pathologischen Veränderungen. Knöcherne Ausrisse liegen in der Regel nicht vor. Bei der ansatznahen Tendinopathie kann es in fortgeschrittenen Stadien zu Erosionen auf Höhe des Ansatzes am Os cuneiforme I kommen 3.
Die Sonographie als dynamische, preisgünstige und einfache Technik kann eine Ruptur oder Teilruptur sehr gut darstellen. Die Beurteilung der Degradation des Stumpfes ist jedoch nur eingeschränkt möglich 1718.
Der Gold-Standard zur Diagnostik einer ansatznahen Tendopathie des M. tibialis anterior ist die Magnetresonanz-Tomographie (Abbildung 2).

Hierbei können zum Beispiel  peritendinöse Flüssigkeitsansammlungen auf Höhe des Sehnenansatzes bzw. der distalen Anteile der Sehne darstellt werden. In Einzelfällen können Längsrupturen als Zeichen einer chronischen Schädigung nachgewiesen werden. Einschränkend ist zur Beurteilung der M. tibialis anterior-Sehne im MRT der anatomische Verlauf anzusehen. Schädigungen, insbesondere Längsrupturen, können aufgrund des Verlaufs außerhalb der MRT-Schichten leicht übersehen werden. Daher sollte die gesamte Sehne entsprechend ihres Verlaufes mittels Adaptation der Schnitteben erfasst werden. Das MRT stellt den Gold-Standard zur Diagnostik einer Ruptur der M. tibialis anterior-Sehne 1920 dar.
In der Regel tritt die Ruptur 0,5 bis 3 cm proximal der Insertion auf. Dieses Areal entspricht der anatomisch bekannten avaskulären Zone. Die Ruptur kann in der Regel auf den sagittalen und axialen Schnittbildern identifiziert werden. Bei Vorliegen des Verdachts auf eine M. tibialis anterior Sehnenruptur ist jedoch das zusätzliche Anfertigen schräg-axialer Flächen sinnvoll. Dabei sollte die schräg-axiale Schnittebene senkrecht zum Verlauf der M. tibialis anterior Sehne auf Höhe des anterioren Talus liegen mit einem Winkel von 45° zwischen der axialen und koronaren Fläche. Hierbei lassen sich insbesondere komplette Rupturen von partiellen Rupturen unterscheiden 21. Hinsichtlich der Gewichtung zeigen sich die Rupturen auf der T1-Schichtung mit Fettsättigung als auch auf der T2-Sequenz sehr gut. Meist lässt sich die Ruptur mit einem retrahierten Stumpf darstellen. Zusätzlich kann eine umgebende Signalerhöhung mit Erguss den Sehnenstumpf markieren (Abbildung 2).

Therapeutisches Vorgehen

Beim Vorliegen einer Tendinopathie der M. tibialis anterior-Sehne ist primär das konservative Vorgehen zu empfehlen. Die konservative Therapie beinhaltet dabei: Physiotherapie, insbesondere mit exzentrischer Dehnungsübungen. Begleitend können nichtsteroidale Antirheumatika oder physikalische Maßnahmen erwogen werden. Die Tabelle 1 stellt für die üblichen konservativen Maßnahmen den zugrunde liegenden Wirkmechanismus dar 22.

Eine, die mediale Fußwölbung stabilisierende, Einlagenversorgung ist einerseits zur Vermei­dung einer Pes plano-valgus Fehlstellung notwendig und andererseits kann durch die Anhebung des Ansatzes der MTA die Schmerzsymptomatik bei einer vorliegenden Degene­ration verringert werden.
Des Weiteren können zeitweilige Ruhigstellungen mittels Unterschenkelorthese und Entlas­tung als therapeutische Maßnahmen angewendet werden.
Bei frustraner konservativer Therapie besteht grundsätzlich die Indikation zur operativen Therapie. Diese beinhaltet das Debridement und ggf. ergänzend die Augmentation beim Vorliegen einer Teilruptur der Sehne. Eine anschließende Ruhigstellungsphase von mindes­tens 4 Wochen ist indiziert zur Rekonvaleszenz der Sehne.
Waizy et al. 3 berichteten 2011 über eine Fallserie von 5 Patienten mit ausbleibendem Erfolg der konservativen Therapie und durchgeführter operativer Therapie mittels Debride­ment und Augmentation durch Längsdoppelung der Sehne. Der präoperative AOFAS Score betrug im Schnitt 63 (50-68) Punkte und hatte sich bereits 3 Monate postoperativ auf 84 (80 – 90) Punkte erhöht. Die abschließende 6-Monats- Kontrolle ergab einen AOFAS Score von 96 (94-100) Punkten in dieser Fallserie. Die Indikation zum operativen Debridement mit Augmentation der Sehne besteht bei Ausbleiben des konservativen Therapieerfolgs. Hierbei sind Zeiträume von mindestens 6 Monaten intensiver konservativer Therapie anzustreben.

Tabelle 1: Konservative  Maßnahmen und deren zugrunde liegenden Wirkmechanismen nach Riley 22
Therapie Wirkmechanismus
Ruhigstellung/Limitierung der Aktivität Belastungsminimierung
Wärme Zellaktivität ↑
Blutfluss ↑
Elektrische Stimulation Zellaktivität ↑
Schmerzempfindung ↓
Laser Schmerzempfindung ↓
Ultraschall (0,75–3,0 MHz) Wärme ↑
Zellaktivität ↑
Blutfluss ↑
ESWL
Extrakorporale Stoßwellenlithotripsie
Neovaskularisation ↓
Zellaktivität ↑
Blutfluss ↑
Schmerzempfindung ↓
NSAR Entzündungsreaktion ↓
Kortikoidinfiltration Entzündungsreaktion ↓
Proteinsynthese ↓
Sklerosierung Neovaskularisation ↓
Plateletrichplasma - Injektionen Wachstumsfaktoren →, Reparaturvorgänge ↑
Therapie Wirkmechanismus

Indikation und Kontraindikation

Das Auftreten einer Ruptur der MTA-Sehne ist im Verhältnis zur Ruptur der Achillessehne oder auch zu Sehnenrupturen an der oberen Extremität ein eher seltenes Ereignis und kann aufgrund der häufig guten Kompensation übersehen werden. Einheitliche Leitlinien zur Therapie liegen nicht vor. In der Literatur finden sich sowohl Berichte über die konservative Therapie als auch über die operative Therapie. Grundsätzlich besteht Übereinkunft, dass beim Vorliegen einer guten Kompensation mittels der langen Zehenextensoren als auch des Großzehenextensor die konservative Therapie indiziert ist. Gerade bei Patienten mit redu­zier­tem funktionellem Anspruch ist die konservative Therapie vorzuziehen.
Einzelne Autoren machen die Entscheidung zur operativen Therapie vom Zeitfaktor ab­hängig. So empfehlen Dooley et al. 23 das konservative Vorgehen bei Patienten mit einer M. tibialis anterior-Sehnenruptur, welche länger als 3 Monate besteht. Diese Einschätzung wird jedoch von den meisten aktuellen Publikationen nicht geteilt 246.
Zusammenfassend besteht die Indikation zur operativen Therapie sowohl beim direkten Funktionsverlust der Dorsalextension und damit einhergehendem entsprechendem Leidens­druck des Patienten als auch um zunehmende sekundäre Veränderungen der Fußwölbung und Statik zu verhindern.
Kontraindikationen zur operativen Versorgung bestehen zusätzlich zu den allgemein gülti­gen Kontraindikationen bei mangelnder Compliance des Patienten als auch bei Unfähigkeit des Patienten an postoperativen Rehamaßnahmen teilzunehmen.

Aufklärung

Bei der präoperativen Aufklärung des Patienten muss  auf die intensive postoperative Nachbehandlung mit primärer Entlastungsphase und verzögert beginnender Aufbelastung hingewiesen werden. Die physiotherapeutischen Behandlungen sind  teilweise über mehrere Monate erforderlich. Über die Möglichkeit einer Reruptur als Komplikation sollte aufgeklärt werden.
Die allgemeinen perioperativen Operationsrisiken bestehen in durchschnittlichem Ausmass, das Risiko einer Thrombose während der langen Entlastungsphase ist jedoch erhöht.

Prinzipien der verschiedenen Therapieformen

Als konservative Maßnahme bei klinisch evidenter Tibialis-anterior-Insuffizienz bietet sich die Schienenversorgung im Sinne einer Peroneus-Feder an. Die Problematik bei der entspre­chenden Schienenversorgung liegt nicht nur im Patientenkomfort sondern auch im Erzielen der erforderlichen Wirkung. Die Schiene sollte das passive Herabfallen des Fußes verhindern, jedoch eine noch vorhandene aktive Plantarflexion des Fußes und der Zehen erlauben. Die komplette Sperrung der Dorsalextension des Fußes sollte aufgrund der häufig noch guten Kompensationsmöglichkeit über die langen Strecker nicht stattfinden. Diese Anforderungen an die Schiene in Kombination mit einem guten Tragekomfort werden zur Zeit von keiner Schienenversorgung vollständig erfüllt. Ansätze eines Scharniergelenkes haben sich auf­grund des schlechten Tragekomforts nicht durchgesetzt. Insbesondere beim älteren Patienten­gut ist die Compliance hinsichtlich des Tragens der Schiene als schlecht anzusehen. Gerade im älteren Patientengut kann neben dem Kraftverlust der Dorsalextension aufgrund der Tibialis-anterior-Ruptur eine zusätzlich bestehende Gangunsicherheit und reduzierte Koordinationsfähigkeit zur Verschlechterung des Befundes führen.

In einer klinischen Studie zeigten Ouzounian und Andersen 25 bei 12 Patienten nach chirurgisch rekonstruierter Tibialis anterior-Ruptur, dass das funktionelle Ergebnis nach operativer Therapie in der Gruppe der traumatischen Rupturen besser war. Das inhomogene Patientengut bestand dabei aus älteren Patienten mit atraumatischen Rupturen und jüngeren Patienten mit einer traumatischen Ruptur. Eine weitere retrospektive Analyse mit 16 Patienten durch Markarian et al. 5 untersuchten das klinische Ergebnis nach operativer oder nicht operativer Therapie. Aufgrund der geringen Größe der Gruppen konnte ein signifikanter Unterschied nicht dargestellt werden. Auch diese Autoren sehen die Indikation zur operativen Rekonstruktion bei jungen, aktiven Patienten. Sammarco et al 6 zeigten dagegen in einer Fallserie, dass sowohl ältere Patienten als auch jüngere Patienten unab­hängig von der Dauer der Ruptur bis zur operativen Therapie eine signifikante Verbesserung erfahren haben. Daher schlussfolgerten die Autoren, dass eine Rekonstruktion bei allen symptomatischen Patienten indiziert ist.
Zur operativen Rekonstruktion der Sehnenruptur beim Vorliegen eines retrahierten proxi­malen Sehnenstumpfes bieten sich verschiedene operative Vorgehensweisen an.
Eine dieser Therapiemöglichkeiten besteht in der Rekonstruktion durch einen freien Sehnen­transfer im Sinne einer Interpositionsplastik . Als freies Sehnentransplantat bietet sich die Sehne des M. peroneus brevis an. Diese Methode wird von Forst et al. 26 in ihrer Veröf­fent­lichung dargestellt. Die Entnahmestelle des M. peroneus brevis wird durch Tenodese mit der Sehne des M. peroneus longus versorgt. Weitergehende Ergebnisse sind hierzu aber nicht bekannt.

Chirurgische Technik

Bei Patienten mit längerer Zeit bestehender Ruptur der Tibialis anterior-Sehne stellen sich im Verlauf Verkürzungen des Gastrocnemius-Komplexes ein. Dieser sollte im Rahmen der opera­tiven Therapie mit adressiert werden. Das Release des Gastrocnemius-Komplexes ist einer­seits nötig, um entstandene Kontrakturen zu adressieren, andererseits ist ein Ausgleich der Dorsalextension als auch der Plantarflektoren für die Funktionalität notwendig.

Bei der direkten Rekonstruktion ohne Sehnentransplantation ist eine Darstellung des Seh­nen­stumpfes erforderlich. Über eine anteromediale Inzision entlang der Tibialis anterior-Sehne können die Retinacula dargestellt werden. Primäres Ziel ist der Erhalt des Retinaculum extensorum superius als Hypomochlion. Der Sehnenstumpf lässt sich in der Regel nach distal unter Erhalt des Retinaculum mobilisieren. Bei notwendiger Inzision des Retinaculum ist im Anschluss an die operative Therapie die Rekonstruktion des Retinaculum essentiell. Hierbei sollte eine entsprechende Schnitttechnik gewählt werden.
Die z-förmige Verschiebeplastik zur Sehnenrekonstruktion ist eine bekannte Technik. Grundsätzlich kann die Z-Plastik in der Frontalebene als auch Sagittalebene durchgeführt werden.

Bei den sich häufig darstellenden, nicht frischen Rupturen der Tibialis anterior-Sehne findet sich zumeist eine Degeneration und Retraktion des Sehnenstumpfes. Der Sehnenstumpf muss deshalb präpariert und angefrischt werden. Durch manuelle Traktion kann eine Mobili­sation nach distal stattfinden. Hilfreich ist hier eine digitale Mobilisation der proximalen Anteile der Sehne, ggf. zusätzliches Einschneiden der proximalen Muskelfaszie. Durch manu­elle Traktion lässt sich meistens ein Zugewinn an Strecke von mindestens 3 cm erreichen. Diese reicht in der Regel jedoch nicht aus für eine direkte Insertionsnaht auf Höhe des Ansatzes / oder eine End-zu-End-Naht mit dem distalen Stumpf.

  1. Ein entsprechender Längengewinn ist jedoch mit einer Umkehrplastik zu erreichen (Abbildungen 3a-c). Die Verankerung am os cuneiforme mediale kann hierbei mittels transossärer Sehnenfixation oder Ankerfixation stattfinden. Mit Hilfe des distalen Stumpfes sollte eine zusätzliche Augmentation der Fixierung stattfinden.
  2. Das retrahierte Sehnenende kann zur Verbesserung der Vaskularisation in einer spongi­ösen Nut an der dorsomedialen navicularen Kante fixiert werden. Diese Technik der Proximalisierung des Ansatzes bietet den Vorteil, den proximalen Sehnenstumpf in seinem gesamten Durchmesser zu erhalten. Nachteilig ist die Reduktion des effektiven Hebelarmes der M. tibialis anterior-Sehne und damit resultierend eine reduzierte Dorsalextension, aber auch eine reduzierte stabilisierende Wirkung auf das untere Sprunggelenk. Zur knöchernen Stabilisierung ist sowohl eine Ankerfixation als auch eine transossäre Fixation der Sehne möglich.
  3. Es besteht die Möglichkeit eines freien Sehnentransplantates zur Rekonstruktion der Tibialis anterior-Sehne. Als Transplantat bietet sich die M. semitendinosis- oder M. gracilis-Sehne an.
  4. Lokale Ersatzplastiken sind ebenfalls möglich. Die EHL-Sehne als auch die EDL-Sehne stehen hierfür zur Verfügung. Wobei der EHL aufgrund seines Verlaufes und seiner Kraft bevorzugt werden sollte (Abbildungen 4a-c). Hierbei wird die EHL-Sehne distal auf Höhe des Großzehengrundgelenkes komplett tenotomiert. Der distale Stumpf sollte mit der Sehne des M. extensor digitorum brevis verbunden werden. Der proximale Stumpf wird über ein dorso-plantares Bohrloch am Os cuneiforme mediale verankert. Zur Augmentation kann dann der MTA Sehnenstumpf benutzt werden. Alternativ ist auch ein hälftiger EHL-Sehnentransfer möglich, erschwert aber die Einstellung der Sehnen­spannung.

Das funktionelle postoperative Ergebnis steht in Zusammenhang mit der Qualität des MTA. Deshalb sollte präoperativ eine MRT Untersuchung des gesamten Unterschenkels zur Beur­teilung des Degenerationsstatus des Muskelbauches des MTA durchgeführt werden. Die stabile Rekonstruktion der Sehnenstümpfe stellt keine Garantie für die postoperative Funk­tion des MTA dar. Insbesondere ältere Rupturen können zur fettigen Degeneration des MTA führen, in diesen Fällen ist die Ersatzplastik vorzuziehen.

Komplikationen der verschiedenen Therapieformen

Zusätzlich zur Rekonstruktion sind folgende operative Schritte zu beachten:
Im Falle einer Rekonstruktion mittels der EHL Sehne sollte das Interphalangealgelenk beachtet werden und ggf. eine Arthrodese dieses Gelenkes primär im Rahmen der Rekons­truktion durchgeführt werden. Alternativ bietet es sich an, den distalen Stumpf der EHL Sehne mittels einer Tenodese mit der Sehne des EHB zu verbinden. Damit ist das Ausbilden einer Flexionskontraktur im IP-Gelenk vermeidbar.
Bei der Läsion oder Insuffizienz der Retinakula kann es zum Kraftverlust und zur Prominenz der Sehne kommen. Insbesondere in der primären Wundheilungsphase kann die Prominenz der Sehne zu Wundheilungsstörungen führen.

Nachbehandlung

Postoperativ sollte eine Ruhigstellung in einer Unterschenkel-Gipsschiene und nach Wund­heilung eine zirkuläre Gips- bzw. Orthesenanlage erfolgen. In Abhängigkeit von der Qualität der rekonstruierten Sehne ist der Belastungsaufbau möglich, sollte aber nicht vor Abschluss der Wundheilung stattfinden. Die Ruhigstellung ist für mindestens 6 Wochen postoperativ indiziert, dabei sollte eine Dorsalextension im OSG von 10° eingestellt sein. Die aktive oder passive Plantarflexion oder Dorsalextension sollte in dieser Phase nicht stattfinden. Nach Abnahme der Orthese bzw. des Unterschenkelgipses ist die physiotherapeutische Mobili­sation zur Verbesserung der Funktion als auch Wiederherstellung der Kraft des M. tibialis anterior notwendig.

Begutachtung

Rupturen der Sehne des M. tibialis anterior führen zu einem funktionellen Defizit. Bei der Betrachtung der Kausalität im Rahmen von Begutachtungen sollte auf das Vorliegen eines auslösenden Ereignisses, in der Regel ein Trauma, geachtet werden. Weitere Risikofaktoren sind bereits oben aufgeführt worden. Wiederholte Mikrotraumen können ebenfalls zu einer Ruptur der Sehne führen und sollten anamnestisch (Arbeitsanamnese) mit beachtet werden. Insbesondere bei den häufigen Rupturen auf der Basis von degenerativen Veränderungen sind entsprechende Anamnesepunkte zu berücksichtigen. Im Rahmen der operativen Thera­pie ist die Gewinnung einer histologische Gewebeprobe zu empfehlen. Neben diesen häufig auf degenerative Veränderungen aufsetzenden Rupturen sind direkte scharfe Durchtren­nungen durch ein Anprall- oder Schlag- bzw. Schnittverletzungen möglich.
Die direkte klinische Diagnose ist, wie bereits erwähnt, häufig schwierig und führt meist zu einem Übersehen der Pathologie. In der Begutachtung sollte daher der zeitliche Krank­heits­verlauf entsprechend dokumentiert werden.

Beurteilung der MdE:

Aufgrund der meist gut kompensierten Dorsalextension über die Extensoren kann durch die konservative Therapie ebenfalls ein ausreichendes funktionelles Ergebnis erreicht werden. In Fällen mit Operationsindikation bei insuffizienter Kompensation über die Extensoren zeigt die operative Therapie ebenfalls eine gute Wiederherstellung der Funktion. Bleibende Funktionsbeeinträchtigungen, Bewegungseinschränkungen und Kraftminderung können zu einer MdE von 10 % führen. Bei veralteten Rupturen, komplizierten Verläufen, Kontrakturen oder persistierenden Sehnendefekten kann eine MdE von 20 bis 30 % resultieren.

Weitere Literatur

  • Musial WW (1963) Variations of the terminal insertions of the anterior and posterior muscles in man. Folia Morphologica 22:237-247
Loading…
Loading the web debug toolbar…
Attempt #