Zusammenfassung

Schmerzhafte Neogefäße spielen bei der Achillestendinopathie eine wesentliche Rolle – je mehr Gefäße, desto stärker der Schmerz. Eine Reihe an erfolgreichen Therapieoptionen zielen ab auf die Verminderung der Blutgefäße wie das exzentrische Krafttraining und die Sklerosierungstherapie mit Polidocanol. Stammzellaktivierung zur Sehnenheilung kann möglicherweise durch die Stosswellentherapie wie auch die Low Level Lasertherapie erreicht werden.

Epidemiologie und Ätiologie

Prinzipiell können Achillessehnenbeschwerden sowohl sportlich aktive Athleten wie auch ältere Nichtsportler betreffen. In einer Kohorte von 57725 Personen, die sich einem Allgemeinarzt vorstellten, lag die Rate an Achillessehnenbeschwerden bei 1,85 pro 1000 Patienten 1. In der Altersgruppe von 21-60 Jahren lag diese Rate sogar bei 2,35 pro 1000 Patienten.

Achillessehnenbeschwerden spielen eine wesentliche Rolle als Überlastungsschaden bei Sportlern. Insbesondere Fußballspieler und Laufsportler, aber auch Badminton- und Tennisspieler sind häufig betroffen. In einer Kohortenstudie 2 mit 291 Laufsportlern (42±9 Jahre) mit einem wöchentlichen Laufprogramm von 65±28km/Woche traten bei allen Teilnehmern nach einer Lebenslaufleistung von über 62500km Achillessehnenbeschwerden auf. Läufer, die länger als 10 Jahre ihren Laufsport ausgeübt haben, besitzen ein zweifach erhöhtes Risiko für eine Achillestendinopathie. 56% aller befragten Läufer hatten bereits mindestens einmal Achillessehnenbeschwerden in ihrer Karriere. Ehemalige Mittel- und Langstreckenläufer haben einer finnischen Studie zufolge ein 31-fach erhöhtes Risiko eine Achillestendinopathie zu entwickeln im Vergleich zu anderen olympisch aktiven Athleten 3.

Im modernen professionellen Fussball sind Achillessehnenbeschwerden insbesondere in der Saisonvorbereitungsphase während der Grundlagenausdauertrainingseinheiten ein häufiger Grund für die Trainingsunterbrechung. Bedenkt man das Laufpensum der Feldspieler in der Fussballbundesliga von 10-13km pro 90min erklärt sich, dass aufgrund der Laufexposition Achillessehnenprobleme im Fussball existieren. In der deutschen Damenfußballnationalmannschaft entfallen 10% aller Verletzungen auf die Achillestendinopathie 4.

Risikofaktoren

Intrinsische und extrinsische Risikofaktoren der Achillodynie
Abbildung 1

Eine Reihe von intrinsischen und extrinsischen Risikofaktoren sind für die Achillestendinopathie beschrieben (Abb. 1). Es gibt verschiedene Hinweise, dass Fettverteilungsstörungen der Achillestendinopathie in bestimmten Patientengruppen vorangehen können. Eine Untersuchung wies nach, dass asymptomatische Männer mit sonographischer Sehnenpathologie eine zentrale Fettdistribution zeigen, während asymptomatische Frauen eine periphere Fettverteilung zeigen 5. Gaida et al. Konnten in ihrem systematischen Review zeigen, dass in 43% der einbezogenen Studien eine Assoziation von Adipositas und Sehnenverletzungen bestand 6. Ein verändertes Fettprofil im Sinne einer Dyslipidämie ähnlich einer Insulinresistenz ist bei Patienten mit schmerzhafter Achillestendinopathie beschrieben worden 7.

Genetik bei Achillestendinopathie

In Analogie zur vorderen Kreuzbandruptur konnte eine familiäre Häufung der Achillestendinopathie und der Achillessehnenruptur nachgewiesen werden. Wir konnten in unseren Arbeiten zeigen, dass eine positive Familienanamnese mit einem relativen Risiko von 4.8 für eine Achillestendinopathie vergesellschaftet ist 8. Eine Reihe von genetischen Polymorphismen sind inzwischen identifiziert und patentiert worden, welche auf die Achillestendinopathie Einfluss nehmen könnten 9. Sowohl in Interleukin-1 Genen wie auch im COL5A1-Gen sind Veränderungen evident 10. COL5A1 kodiert für die Alpha-1-Kette des Kollagen Typ V 11. Es scheint, dass insbesondere der Apoptosesignalweg in diesem Zusammenhang eine Rolle zu spielen scheint 12.

Schmerzentstehung bei Achillestendinopathie

Eine Reihe von Faktoren sind an der Schmerzentwicklung bei Achillestendinopathie beteiligt. Neogefäße können bei Achillestendinopathie nachgewiesen werden, auf deren Oberfläche eine Reihe von Schmerzmediatoren wie Substanz P und CGRP immunhistochemisch nachgewiesen wurden 13. Auch Cytokine wie TNF-alpha, Neuropeptide Y1 14 und brain-derived neurotrophic factor (BDNF) sowie deren Rezeptoren sind bei Achillestendinopathie erhöht 15. Jüngst wurden auch erhöhte Kannabinoid CB1-Rezeptoren in Tenozyten und auf den Neogefäßen bei Achillestendinopathiepatienten im Vergleich zu Normalpersonen gefunde 16.

Symptomatik

Typisches Kardinalsymptom der Achillestendionpathie ist der Schmerz. Dieser kann zu Beginn der Erkrankung die Sportfähigkeit noch erlauben und erst Stunden bis einen Tag nach der Belastung als Reaktion auf die Überforderung auftreten. Später können die Beschwerden schon während der Belastung auftreten. Später können die Achillessehnenbeschwerden die Sportfähigkeit nachhaltig einschränken und die Belastung vorzeitig abbrechen lassen. Schließlich können die Achillessehnenbeschwerden schon in Ruhe vorhanden sein und die Sportfähigkeit überhaupt nicht zulassen. Insofern bietet es sich an, genau zu erfragen unter welchen Bedingungen die Achillessehnenbeschwerden auftreten und bestimmte Trainingsaspekte wie Trainingsumfangveränderungen, Laufschuhveränderungen, Laufuntergrundveränderungen oder auch die Trainingsphase bei Athleten zu erörtern.

Ein weiteres häufiges Symptom der Achillestendinopathie ist die Morgensteifigkeit. Diese ziehenden Schmerzen am Morgen sind typischerweise nach einigen Schritten rückläufig.

Diagnostisches Vorgehen

Verdickung der linken Achillessehne im mittleren Drittel bei chronischer Achillodynie.
Abbildung 2

Die klinische Untersuchung des betroffenen Patienten umfasst die Inspektion der Achillessehnenregion beim aufrechten Stand von hinten. Hier können schon Fußfehlstellungen wie ein Knick-Senk-Fuß mit Valgusposition des Rückfusses und entsprechend schrägem Zug der Achillessehne imponieren. Auch kann eine Schwellung fersennah bei Schleimbeutelaffektion oder auch eine spindelförmige Auftreibung der mid-portion der Achillessehne 2-6 cm oberhalb des Calcaneus bereits bei der Inspektion auffallen. Die Inspektion sollte zusätzlich auch im Zehenspitzenstand erfolgen.

Häufig lässt sich die spindelförmige Auftreibung im mittleren Drittel der Achillessehne tasten. Auch Krepitationen des Paratenons können mitunter beobachtet werden. Bei einer kompletten Achillessehnenruptur führt die Palpation der Wade nicht zu einer Plantarflexion des Fusses durch die Kontinuitätsunterbrechung (Thompson-Test).

Thompson Test: Die Palpation der Wade führt normalerweise zu einer Plantarflexion des Fußes. Seitendifferenzen oder der vollständige Ausfall der Plantarflexion sind ein Indikator für einen Spannungsverlust der Sehne wie er bei akuten und chronischen Rupturen auftritt, hier bei einem Patienten mit Achillessehnenruptur links.

Die Graustufensonographie kann eine Reihe an Auffälligkeiten bei Achillestendinopathie nachweisen:

  • hypoechogene, unregelmäßige Textur der Achillessehne
  • paratendinöse Flüssigkeitsansammlung
  • Durchmesservergrösserung bei spindelförmiger Auftreibung (>8mm)

Die Farb-Doppler-Sonographie wurde 2001 erstmalig von Ohberg und Alfredson in Umea in Schweden bei schmerzhaften Achillessehnen eingesetzt 17. Bei 21 symptomatischen Sehnen konnten intratendionös mit Hilfe der Farb-Doppler-Sonographie pathologische Blutgefäße als Neovaskularisation nachgewiesen werden, die sich bei Achilles-gesunden Kontrollgruppe nicht fanden. Wenig später berichtete dieselbe Arbeitsgruppe über die erfolgreiche Farb-Doppler-kontrollierte Sklerosierung der Neogefäße mit Polidocanol 18.

2001 verglich Richards et al. die Power-Doppler-Sonographie bei symptomatischen Achillessehnenbeschwerden mit der Magnetresonanztomographie 19. Die Neogefäße in der Power-Doppler-Sonographie korrelierten mit Signalveränderungen in den T2-gewichteten MRT-Sequenzen. Aufgrund der guten Reproduzierbarkeit und Verfügbarkeit hat sich die Power-Doppler-Sonographie inzwischen bei der Darstellung der kleinen Neogefäße mit ihrem langsamen Blutfluss etabliert 202122. Die Neogefäße dringen von ventral in die Achillessehne ein. Typischerweise sind diese Neogefäße erst ab einem Sehnendurchmesser von >6,5mm nachweisbar. Bei erfolgreich behandelter Achillestendinopathie kann nach einem Jahr ein Rückgang der Anzahl der Neogefäße in der Power-Doppler-Sonographie, eine Durchmesserreduktion sowie eine Normalisierung der MRT-Signalalteration beobachtet werden 23. In einer Fallstudie konnte ein Abfall des Neovaskularisationsvolumens bei einem Patienten mit mid-portion Achillestendinopathie von 463mm3 auf 117mm3 belegt werden 24. Dies ging mit einer Verbesserung des Schmerzes in der visuellen Analogskala (von 8 auf 0) und des VISA-Scores (von 2 auf 92) einher.

634 asymptomatische Marathonläufer wurden mit der hochauflösenden Power-Doppler-Sonographie (12MHz) anlässlich von 23 Marathonveranstaltungen und 6 und 12 Monate im Anschluss untersucht 25. Mit einer odds ratio von 6.9 (p<0,001) konnte eine Neovaskularisation bei asymptomatischen Läufern die Entwicklung einer midportion Achillestendinopathie anzeigen. Eine positive Vorgeschichte für Achillessehnenbeschwerden hatte eine odds ratio von 3,8 und stellt damit ebenfalls einen ernst zu nehmenden Risikofaktor für weitere Beschwerden dar.

Mit der experimentell genutzten Laser-Doppler-Flussmessung und Spektrophotometrie (Oxygen-to-see, LEA Medizintechnik, Gießen) konnten wir eine kapilläre Blutflusssteigerung am Ort des Schmerzes sowohl bei midportion Achillestendinopathie wie auch bei insertionalen Achillessehnenbeschwerden nachweisen 26.

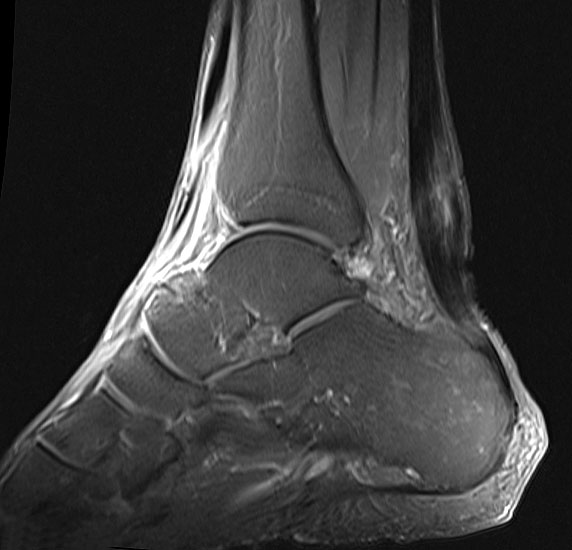
Schwere Veränderungen der Binnenstruktur der Achillessehne im MRT in den T2 gewichteten Aufnahmen als Korrelat einer ausgeprägten Achillodynie
Abbildung 7

Interessanterweise zeigen sich auch Geschlechterunterschiede zwischen symptomatischen Frauen und Männern. Bei vergleichbarem Schmerzlevel zeigten symptomatische Frauen eine bessere Achillessehnenoxygenierung im Vergleich zu symptomatischen Männern 27. Dies geht einher mit einem verbesserten kapillarvenösen Abflussdruck bei den symptomatischen Frauen. Möglicherweise erklärt diese Beobachtung das geschlechtabhängige Ansprechen auf bestimmte Therapieformen.

Die Magnetresonanztomographie (MRT) hat insbesondere bei ansatznahen Beschwerden Ihren Stellenwert (Abb. 7). Sie kann ein begleitendes Knochenödem des Calcaneus wie auch ggf. eine Stressfraktur ausschließen helfen. Neben Signalalterationen insbesondere in der T2-Wichtung sind Nekrosen, Teilrupturen und begleitende Ödeme häufige Befunde, wie auch in 10% eine fettige Degeneration des M. gastrocnemius 28.

Therapeutisches Vorgehen

Ein patienten-relevantes Therapieziel ist die Schmerzreduktion bzw. die Schmerzfreiheit idealerweise unter Erhalt oder sogar Verbesserung der Sportfähigkeit. Zusätzlich spielt insbesondere im professionellen Sport die rasche Rückkehr in den Sport (return to sport) eine entscheidende Rolle. Insofern stellt die Verkürzung der Heildauer ein weiteres mitunter hochrelevantes Therapieziel dar.

Zur Erfassungen der Schmerzintensität bei Studien bietet sich die visuelle Analogskala (z.B. von 0=kein Schmerz bis 10=maximaler Schmerz) an 2930. Gerade bei Tendinopathien hat sich neben der Erfassung des Ruheschmerzes morgens ohne Belastung (VAS Ruhe) die Dokumentation des Schmerzes während der stärksten Belastung im Alltag (z.B. VAS Belastung Jogging oder VAS Belastung Teamtraining Fußballbundesliga) bewährt. Schmerztagebücher mit täglichen Eintragungen über 12 Wochen sind empfehlenswert.

Darüber hinaus existieren patientenorientierte Messinstrumente für die Lebensqualität bei Achillestendinopathie. Der VISA-A-Score wurde 2001 von der Victorian Insitute of Sports Tendon Study Group vorgestellt. Er besteht aus acht Fragen zur Beeinträchtigung des Alltags und des Sports durch die Achillestendinopathie. Gewertet wird von 0=maximale Einschränkung bis zu 100=keinerlei Einschränkung.
In der VISA-A-Veröffentlichung wurden vier Patientengruppen verglichen 31:

  • Gruppe 1: konservativ zu behandelnde Achillestendinopathie (n=45)
  • Gruppe 2: präoperative Patienten mit Achillestendinopathie (n=14)
  • Gruppe 3: Achillessehnen-gesunde Studenten
  • Gruppe 4: Achillessehnen-gesunde Laufsportler

Die Auswertung des VISA-A-Scores bei diesen vier Gruppen konnte klare Unterschiede zwischen den Achillessehnen-erkrankten Patienten und den Achillessehnen-gesunden Gruppen nachweisen.

  • Gruppe 1: konservativ zu behandelnde Achillestendinopathie VISA-A-Score 64±17 Punkte
  • Gruppe 2: präoperative Patienten mit Achillestendinopathie (n=14) VISA-A-Score 44±28 Punkte
  • Gruppe 3: Achillessehnen-gesunde Studenten VISA-A-Score 96±7 Punkte
  • Gruppe 4: Achillessehnen-gesunde Laufsportler VISA-A-Score 98±3 Punkte

Eine validiert übersetzte deutschsprachige Version liegt für Achillestendinopathiepatienten inzwischen ebenfalls vor 32.

Konservative Therapieoptionen

Exzentrisches Krafttraining

Exzentrisches Krafttraining an einer Stufe mit 6x15 Wiederholungen pro Tag und Bein mit Halten jeder Position für 2s über 12 Wochen täglich.
Abbildung 8

Das schmerzhafte exzentrische Krafttraining (Abb. 8, Video 2) ist in mehreren Studien als sinnvolle Therapiemaßnahme bei Achillestendinopathie beschrieben worden 3334. Eine Metaanalyse 35 mit acht randomisierten Studien und 416 Patienten zeigte vielversprechende Effekte. Aufgrund der unterschiedlich langen Nachuntersuchungszeiträume von 12 bis 52 Wochen und unterschiedlichen primären Endpunkten (VAS, VISA-A Score, FAOS Score) konnten jedoch keine gepoolten Daten generiert werden.
Interessant ist das unterschiedliche Ansprechen von Männern und Frauen. Ein 12-wöchiges tägliches exzentrisches Krafttraining führte bei Männern zu einer Schmerzreduktion von 44%, während für Frauen nur eine Verbesserung von 27% dokumentiert wurde 36. Der VISA-A-Score verbesserte sich bei Männern um 27%, bei Frauen wiederrum nur um 20%. Vor allem Unterschiede in der Mikrozirkulation werden für diese Geschlechtsunterschiede verantwortlich gemacht 27. Eine aktuelle Untersuchung aus den Niederlanden beschreibt das 5-Jahresergebnis bei 58 Patienten nach exzentrischem Krafttraining 37. Der VISA-A-Score verbesserte sich signifikant von 49 auf 84 Punkte. 40% aller Patienten waren komplett schmerzfrei, 48% der Patienten erhielten eine weitere Therapiemodalität. Eine weitere Studie aus Schweden zeigte nach 5 Jahren bei 65% der Probanden eine Beschwerdefreiheit bei Achillestendinopathie nach exzentrischem Krafttraining als alleinige Maßnahme 38.

Achillodynie - Anleitung zur Eigenübung für Patienten:
Download Exzentrisches Dehnen

Extrakorporale Stosswellentherapie (ESWT)

Die Ergebnisse nach extrakorporaler Stosswellentherapie bei Achillestendinopathie sind differenziert in Bezug auf das verwendete Gerät, die Art der Stosswellengenerierung, die Energieflussdichte und die Anzahl der Behandlungen beurteilt werden. Eine Energieflussdichte von 0,17mJ/mm2 führte zu erhöhten Konzentrationen von Matrixmetalloproteinasen und Interleukinen bei kultivierten Tenozyten 39. In einer Kohortenstudie mit 60 Patienten sind Erfolgsraten über ein Jahr zwischen 75% und 84% beschrieben 40. Diese Erfolgsrate wurde in einer weiteren Beobachtungsstudie nach 12 und 24 Monaten mit der elektromagnetisch erzeugten Stosswellentherapie (0,08-0,4mJ/mm2, 2500 Impulse, vier Sitzungen) bestätigt 41. In einer doppel-blinden, placebo-kontrollierten randomisierten Studie war die fokussierte Stosswellentherapie der Sham-Stosswellentherapie nach 8 und 12 Wochen überlegen 42. Die Kombination einer repetitiven niedrig-energetischen Stosswellentherapie mit dem exzentrischen Krafttraining scheint dabei der alleinigen Trainingstherapie überlegen 43. Im Einzelvergleich zeigen das exzentrische Krafttraining und die niedrigenergetische Stosswellentherapie vergleichbare Ergebnisse 44.

Topisch Nitroglycerin

Aktuell in der Diskussion ist die Anwendung von Nitroglycerin. Eine placebo-kontrollierte, doppel-blinde randomisierte Studie bei Achillestendinopathie zeigte ab Woche 12 der Anwendung eine signifikant größere Schmerzreduktion in der Verum- vs. der Placebogruppe. Es wurden dabei 1,25mg/d in Form eines Nitroglycerinpflaster angewendet 45.
Auch noch 3,5 Jahre nach einem halbjährigen Nitroglycerintherapiezeitraum blieb die Achillesssehnenempfindlichkeit in der Verumgruppe signifikant niedriger als in der Placebogruppe 46.
Aus praktischen Gründen hat sich die Therapie mit 2x2 Hüben Nitrolingualspray (z.B. Nitrolingualspray, pro Hub 0,4mg) über sechs Monate auf die schmerzhafte Achillessehne bewährt. Die Durchblutung wird interessanterweise nicht akut durch Nitrospray verändert 47. Vielmehr scheint die Kollagensynthese induziert zu werden.

Power-Doppler-kontrollierte Sklerosierung mit Polidocanol

Die Farb-Doppler- oder auch Power-Doppler-gesteuerter extratendinöse Sklerosierung der Neogefäße und der begleitenden Schmerzfasern ist ein etabliertes Konzept zur Therapie der Achillestendinopathie. Ohberg und Alfredson stellten 2002 ihre Pilotergebnisse bei zehn Patienten mit mid-portion Achillestendinopathie vor 18. Die Schmerzstärke reduzierte sich signifikant von 74 auf 8 bei acht der zehn Respondern. Auch in einem randomisiert-kontrolliertem Studiendesign konnten die positiven Effekte der extratendinösen Sklerosierung mit Polidocanol bestätigt werden 48. Der Abstand zwischen zwei Sklerosierungen sollte mindestens 6 Wochen betragen 49. Der Sehnendurchmesser nimmt durch eine Sklerosierungstherapie von 10 auf 8mm signifikant ab im Sinne eines Remodellings der Achillessehne 50. Unterschiede zwischen einer Polidocanoldosierung von 5 und 10mg/ml konnten in einer randomisierten Studie nicht identifiziert werden 51. Auch bei Ansatztendinopathie kann die Sklerosierung im Bereich des Karger-Fettkörpers signifikant den Schmerz reduzieren 52. Eine Studie verglich die Polidocanolsklerosierung mit einer Farbdoppler-gestützten Chirurgie an der Achillessehne 53. Die klinische Schmerzreduktion war in beiden Studiengruppen gleich mit einer Infektion in der Operationsgruppe.

Sport bei Achillestendinopathie

Basierend auf den Daten einer randomisiert-kontrollierten Studie aus Schweden 54 kann Sport bis zu einer Schmerzstärke von 5 auf einer visuellen Analogskala bis 10 (maximaler Schmerz) empfohlen werden. 38 Patienten mit Achillestendinopathie wurden alle mit exzentrischem Krafttraining behandelt. Eine Gruppe durfte über 6 Wochen keinen zusätzlichen Sport ausüben, die zweite Gruppe durfte sich schmerzlimitiert bis zu einer Schmerzstärke von 5 belasten mit besseren Ergebnissen im VISA-Score.

Low Level Lasertherapie

Experimental konnte eine Low Level Lasertherapie (660nm, 1-2J/cm2) an der Achillessehne von Ratten eine Stimulation der Tenocytenmigration nachweisen, welches Dynamin 2 vermittelt ist 55. Eine Metanalyse belegt die Kombination der Low Level Lasertherapie mit einem exzentrischen Krafttraining bei symptomatischer Achillestendinopathie 56.

Orthesen

Die pneumatische Bandage AirHeel wurde im Vergleich zum exzentrischen Krafttraining in zwei randomisiert-kontrollierten Studien geprüft. Petersen et al. zeigten die AirHeelBandage als vergleichbar effektiv wie exzentrisches Krafttraining über einen dreimonatigen Beobachtungszeitraum 57. Unsere Arbeitsgruppe verglich das exzentrische Krafttraining alleine mit der Kombination des exzentrischen Krafttrainings mit der AirHeelBandage. Es zeigte sich in der randomisiert-kontrollierten Studie kein signifikanter Unterschied zwischen den beiden Gruppen in Bezug auf Schmerzreduktion und die Mikrozirkulation 34.

Einlagenversorgung

Die Einlagenversorgung bei Fußdeformitäten bei Laufsportlern wurde in einer randomisiert-kontrollierten Studie mit 51 Läufern über acht Wochen geprüft 58. Dabei zeigten sich signifikante Veränderungen im "Pain disabilitiy index" und eine verbesserte Tragequalität insbesondere in den ersten vier Wochen der Einlagenversorgung. Die Compliance für das exzentrische Training lag bei 79% 59.

Nahrungsmittelergänzung

Tierexperimentell hat die hochdosierte Vitamin-C-Supplementation einen stimulierenden Effekte auf die Achillessehnenheilung 60. Eine randomisiert-kontrolllierte Studie verglich den Zusatznutzen einer Nahrungsmittelergänzung mit Vinitrox (Arginin, Vitamin C, Kollagen, Bromelain) in Ergänzung zu drei Sitzungen Stosswellentherapie bei Insertionstendinopathie 61. Nach sechs Monaten waren die Schmerzlevel in der Gruppe mit Nahrungsmittelergänzung signifikant niedriger als in der Gruppe mit alleiniger Stosswellentherapie.
Die Therapie mit Salben ist möglich, jedoch liegen derzeit keine randomisiert-kontrollierten Studien zum eindeutigen Nutzen vor. In Einzelfällen ist selbst bei Verwendung von potentiell ungefährlich erscheinenden Kühlgels mit Komplikationen zu rechnen. So hat die Eigentherapie einer engagierten Läuferin mit Achillessehnenbeschwerden zu einer schweren akuten Dermatitis an beiden schmerzhaften Achillessehnen durch ein Kühlgel mit Arnikablütentinktur geführt (Abb. 9 und 10).

Magnetfeldtherapie

Derzeit liegen keine randomisiert-kontrollierte Studien zur Effektivität der Magnetfeldtherapie bei Achillestendinopathie vor. Unkontrollierte Studien deuten einen potentiellen Effekt an 62. So wird durch die pulsierende Magnetfeldtherapie nach 21 Tagen in einem Rattentiermodell die Achillessehnenzugkraft signifikant um 69% stärker als in der Kontrollgruppe 63.

Empfehlung für die Praxis

Schmerzhafte Neogefäße spielen bei der Achillestendinopathie eine wesentliche Rolle – je mehr Gefäße, desto stärker der Schmerz. Eine Reihe an erfolgreichen Therapieoptionen zielen ab auf die Verminderung der Blutgefäße, wie das
Exzentrische Krafttraining und die Sklerosierungstherapie mit Polidocanol. Stammzellaktivierung zur Sehnenheilung kann möglicherweise durch die Stosswellentherapie wie auch die Low Level Lasertherapie erreicht werden. Die Kollagensynthese wird durch topisch Nitroglycerinspray unterstützt. Sollten die genannten Maßnahmen simultan über sechs Monate keine entscheiden Besserung erzielen wäre die operative gezielte Verödung der Blutgefäße eine therapeutische Option.

Loading…
Loading the web debug toolbar…
Attempt #