Kurzzusammenfassung

Fersenschmerzen, entweder plantar oder dorsal, gehören zu den häufigsten Anlässen für den Patientenbesuch in der orthopädisch-unfallchirurgischen Praxis. Die Beschwerden wie auch die Behandlung sind dann häufig langwierig und nicht unerheblich. Als Ursache kommen eine Vielzahl von Krankheiten und Funktionsstörungen in Frage. Die differentialdiagnostische Abklärung ist wichtig, um die geeignete Therapie zu wählen. Eine besondere Entität stellt dabei die Plantarfasziitis dar. Von einigen Autoren wird die Erkrankung auch als Ansatztendinose der Plantarfaszie bezeichnet. Als Folge des chronischen Reizes entwickelt sich häufig eine dornartige knöcherne Vorwölbung, für den Laien verständlich als Fersensporn bezeichnet. Abzugrenzen sind differentialdiagnostisch unter anderem Engpasssyndrome des Nervus tibialis posterior und seiner Äste, fortgeleitete Schmerzen auf Grund einer Funktionsstörung des ipsilateralen ISG, Morbus Ledderhose oder biomechanische Fehlbelastungen auf Grund eines erhöhten BMI oder fixierter Rückfußfehlstellungen 1. Als konservative Therapiemaßnahmen gelten (meist als Kombinationstherapie) fersenweichbettende Einlagen, Orthesen, eine breite Palette von physikalischen und physiotherapeutischen Therapiemaßnahmen inkl. exzentrischer Dehnungstherapie, Manuelle Therapie und KGG, Injektionstherapie mit Hyaluronsäure, Cortison oder PRP sowie Stoßwellentherapie, Röntgenreizbestrahlung, niederenergetische Laserbehandlungen oder percutane Radiofrequenzablation. Bei ausbleibender Ausheilung durch konservative Maßnahmen besteht eine Indikation zum operativen Eingriff. Als typische Operationsverfahren  gelten das offene oder minioffene Abtragen des Fersensporns sowie plantare Fasziotomie (endoskopisch oder minioffen) mit Denervation des schmerzhaften Periostes am Plantarfaszienursprung 2. Durch eine Verlängerung des Gastrocnemius-Achillessehnenkomplexes kann eine Entspannung des Achillessehnen/Plantarfaszienkomplexes erzielt werden, welche zur Reduktion des plantaren Fersenschmerzes führen kann 3. Zur Vermeidung von fehlgesteuerten Behandlungsstrategien sollten Differentialdiagnosen ausgeschlossen werden. Als Differentialdiagnosen gelten: Direktes Trauma, infektiöse, onkologische, vaskuläre und auch systemische Ursachen für den Fersenschmerz 4. Im folgenden Artikel sollen die häufigsten lokalen Ursachen beleuchtet werden: rezidivierende Mikrotraumata inklusive chronischer Überlastung mit daraus resultierender chronischer Reizung und Schmerz am Ursprung der Plantarfaszie sowie lokale Nervenengpasssyndrome. Die Evidenz für die meisten Therapien ist bisher gering. Ein multimodales Stufenkonzept, auf den einzelnen Patienten individuell zugeschnitten, ist empfohlen5.

Epidemiologie und Ätiologie

In den Vereinigten Staaten von Amerika werden geschätzt 2 Millionen Menschen per annum, meist zwischen dem 40. und 60. Lebensjahr, wegen plantarem Fersenschmerz behandelt. Im Laufe des Lebens erkranken 10 % der Menschen an plantaren Fersenschmerzen 6. Risikofaktoren sind die Belastung durch Überbeanspruchung durch Laufsport, pes planovalgus oder pes cavovarus, Belastung durch einen stehenden Beruf, insbesondere auch auf harten Böden, erhöhter BMI ( Body mass index) und eingeschränkte Dorsalextension im Sprunggelenk 7. In ca. 30 % der Fälle sind beide Fersen betroffen. 58. Die Prävalenz des Fersenschmerzes in der allgemeinen Bevölkerung liegt zwischen 3,6 % und 7 %, bei Läufern stellt er circa 8 % der sportartspezifischen Verletzung dar. Eine Vielzahl von Studien belegen eine höhere Prävalenz bei Frauen, wenige hingegen bei Männern 8. Die differentialdiagnostische Abklärung des plantaren Fersenschmerzes ist unabdingbar um die geeignete Therapie zu wählen 5. In 80 - 90 % der Fälle ist eine Spontanheilung innerhalb von 10 Monaten zu erwarten 9, für die spontan nicht ausheilenden Fälle besteht eine erhebliche Einschränkung der Lebensqualität. Eine prolongierte Symptomatik wird bei beidseitiger Erkrankung, bei erhöhtem BMI oder bei verspätet einsetzender Therapie beschrieben 8. Auf Grund der histologischen Befunde sollte die Erkrankung als Tendinose der Plantarfaszie an Ihrem Ursprung bezeichnet werden 5, da die Veränderungen am ehesten auf eine reversible Schädigung durch Mikrotraumata hindeuten. Auf Grund der entzündlichen Komponente findet sich meist eine lokale Hyperämie (siehe Abb. 1).  Eine Knochenausziehung am Fersenbein wird als Fersensporn bezeichnet (siehe Abb. 1). Die deutsche Bezeichnung Fersensporn für Plantarfasziitis ist ungenau, da es keinen gesicherten Zusammenhang zwischen dem Auftreten eines Sporns und dem Auftreten als auch dem Verlauf von Beschwerden gibt 59. Beides kann unabhängig voneinander auftreten. Leider ist keine deutschsprachige Bezeichnung für die Plantarfasziitis bekannt, die der wahren Krankheitsursache näherkommt. Es handelt sich bei der Plantarfasziitis, vergleichbar einem Tennis-Ellbogen (Epicondylitis radialis humeri), häufig eher um eine Enthesopathie und eine relative Überlastung und nicht um die Problematik des radiologischen Fersensporns. Diese Befunde erklären die Indikation für die multimodale konservative Therapie. Unter der vereinfachten Annahme, dass der Fersensporn für die Beschwerden verantwortlich ist, müsste ansonsten häufig, auch bei kurzem Schmerzverlauf - um einer Chronifizierung vorzubeugen - die OP-Indikation zur Abtragung des Sporns gestellt werden.

Symptomatik

  • Schmerzen am Fersenbein plantar, regelhaft etwas medial des Fersenbeinzentrums. Die Beschwerden treten auf nach längerer Belastung, als Anlaufschmerz bei den ersten Schritten nach Ruhe (v. a. morgens nach dem Aufstehen) oder auch beim Benutzen von Schuhwerk ohne ausreichende Pufferung der Ferse.
  • Gelegentlich findet sich auch eine Schmerzverstärkung bei Dorsalextension der Zehen - hervorgerufen durch den sogenannten Windlass-Mechanismus, der Verflechtung von Ischiocruraler Muskulatur und Plantarfaszie.
  • Möglich sind auch Schmerzen am Ansatz oder im Verlauf der Achillessehne oder auch Schmerzen bei Muskelverhärtungen der Wadenmuskulatur.
  • Druckschmerzhafte Schwellung des Plantarfaszienursprungs.
  • Evt. zusätzliches Tinelzeichen aus Ausdruck einer Einengung des ramus calcanearis des n. tibialis bzw des Baxter Nerven 10.
  • Fersenschmerz als fortgeleitete Symptomatik findet sich z. B. bei gleichseitiger ISG-Blockierung. Häufig ist diese Symptomatik mit einer schmerzbedingten Schonhaltung verbunden.

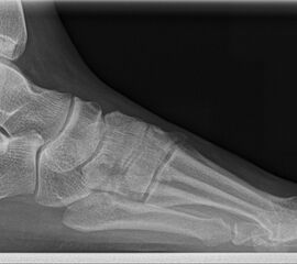
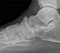
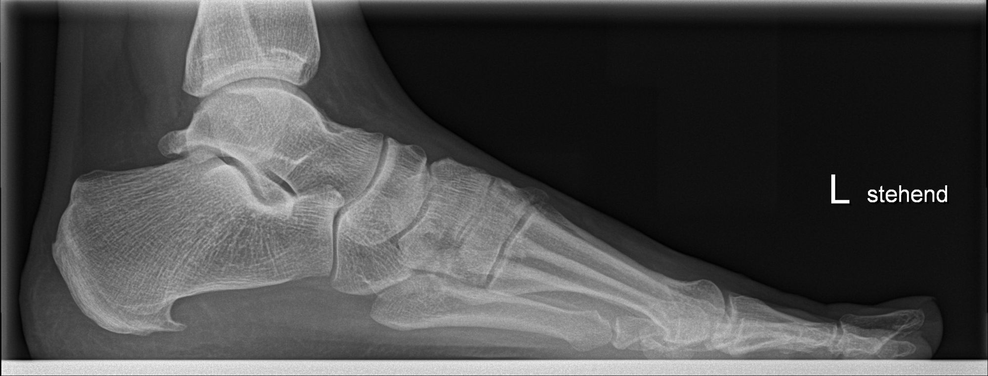
Abbildung 1: Plantarer und dorsaler Sporn im Röntgenbild und im MRT

Abb. 1a und Abb. 1b: großer dorsaler Fersensporn und ein minimaler plantarer Sporn, Patient, 50 Jahre.
Abb. 1c: Bild eines isolierten großen plantaren Fersensporns. Patientin, 32 Jahre.

Zum Lesen der Bildbeschreibung und zur Vollansicht bitte die Bilder anklicken. Bilder: Manfred Thomas.

Diagnostisches Vorgehen

1. Klinische Diagnostik

1.1. Inspektion

Untersuchung des Patienten im Gang, Stand und im Sitzen mit hängenden Füßen. Bei dieser Untersuchung wird auf das Gangbild und die Fuß- und Beinachse geachtet. Bei Achsfehlern können vermehrt Scherkräfte auftreten, die ein Überlastungssyndrom unterstützen können. Wenn der Patient in Reklination der Wirbelsäule geht, ist das Gangbild auffällig gestört und man kann dies z. T. beim Barfußgehen am harten Aufsetzen der Ferse auf den Boden hören. Dadurch kommt es zur Mehrbelastung beim Fersenauftritt zu Beginn der Standphase (initial contact). Zum Ausschluss von weiteren Ursachen für den dorsalen Fersenschmerz sollte auch die dorsale Fersenkulisse und die Rückfussstellung untersucht werden. Schwielen an der Fersenhinterkante deuten auf eine erhöhte Druckbelastung (oft kombiniert mit einer Achsfehlstellung des Fersenbeines) hin.

1.2. Palpation

Abtasten der Plantarfaszie in ihrem Verlauf. Die Vorspannung ist ebenso wie eventuelle Volumenzunahme zu untersuchen, meist besteht ein Druckschmerz am Ursprung des medialen Faszienanteils am Fersenbein etwas medial der Mittellinie entsprechend der kräftigsten Portion der Plantarfaszie.

1.3. Klinische Funktionsuntersuchung

Mit dem Silfverskjöld-Test (siehe Video) wird die Vorspannung des zweigelenkigen m. gastrocnemius und der Achillessehne überprüft 11. Bei gestrecktem Knie wird die Dorsalextension des in Inversion verriegelten Fußes im oberen Sprunggelenk getestet. Beim zweiten Untersuchungsschritt wird das Kniegelenk gebeugt und erneut die Dorsalextension des oberen Sprunggelenks geprüft. Dieser Bewegungsausschlag erlaubt die Unterscheidung zwischen einer Verkürzung des m. gastrocnemius oder des darunterliegenden m. soleus. In dieser vorgespannten Situation kann noch einmal das Areal der stärksten Druckschmerzhaftigkeit geprüft werden, neben dem Schmerz am Ursprung der Plantarfaszie auch hinten an der Ferse am Ansatz der Achillessehne und im Verlauf der Achillessehne selbst.

Das Hoffmann-Tinel-Zeichen wird bei der Prüfung des Verlaufs des Nervus tibialis posterior und seiner Äste eingesetzt.  Bei Verdacht auf ein Nervenengpasssyndrom, z. B. bei einer Sensibilitätsstörung an der Fußsohle, sollte dies klinisch und neurophysiologisch weiter abgeklärt werden. Im Tarsaltunnel verläuft der Nervus tibialis posterior mit seinen Aufzweigungen, die sehr variabel sind. Bei einer Zuordnung der anatomischen Beziehung entsprechend, wird für gewöhnlich der erste zum Fersenbein hinziehende nach lateral weiter verlaufende Ast des Nervus plantaris lateralis als Baxter-Nerv bezeichnet (LC Shaun,1990). Dieser Nerv hat unter anderem sensible Qualitäten und versorgt die Region des Ursprungs der Plantarfaszie, also auch das Periost am Calcaneus. Seine motorischen Fasern versorgen den m. abductor digiti minimi. Daher kann die Nervenfunktion auch mit dem Abspreizen der Kleinzehe gegen Widerstand (im Seitenvergleich) getestet werden, bei Lähmungen ist von einer höhergradigen Schädigung des Nerven auszugehen. Bei 6 % der Patienten zeigt sich im MRT eine Atrophie des Musculus abductor digiti minimi (Recht MP et al., 2007). Für bis zu 20 % der plantaren Fersenschmerzen ist ein Engpass des Baxternerven verantwortlich (Lippincott Williams and Wilkins, 2002).

Video: Silfverskjöld-Test (Manfred Thomas)

Video: Hoffmann-Tinel-Zeichen (C. Zanzinger/M.Walther)

Der Nervenverlauf wird mit dem Finger abgeklopft (hier N. tibialis). Das Hofmann-Tinel-Zeichen gilt als positiv, wenn durch die Perkussion Parästhesien im Versorgungsgebiet des Nerven auftreten.
(C. Zanzinger/M. Walther). Das Video stammt aus dem Beitrag "Klinische Untersuchung des Fusses II - Spezifische Tests" von Christoph Zanzinger und Markus Walther.

2. Apparative Diagnostik (direkt)

2.1. Ultraschalluntersuchung

Die statische und dynamische Ultraschalluntersuchung kann eine Einengung im Tarsaltunnel aufdecken (Ganglien, Verdickung der Beugesehnen oder Tendinitis, etc.). Zusätzlich können Bursitiden am Ursprung der Plantarfaszie, Volumenzunahmen der Plantarfaszie oder ein Fersensporn dargestellt werden.

2.2. Röntgen

Mit Hilfe von  Röntgenaufnahmen können knöcherne Abnormalitäten und Achsfehlstellungen ausgeschlossen werden. Folgen von Unfällen, wie zum Beispiel fehlverheilte Fersenbeinfrakturen oder überstehende Schrauben oder Platten nach osteosynthetischen Verfahren am Fersenbein können als Ursachen für plantare Beschwerden an der Ferse ausgeschlossen werden.

2.3. MRT

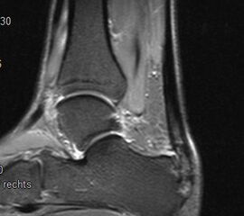
Eine Kernspinuntersuchung erlaubt eine Feindiagnostik des Tarsaltunnels, bei hoher Auflösung können Sehnen, Nerv, Arterie und Venen sowie Veränderungen der Plantarfaszie selbst oder des Faszienursprungs mit Signalalterationen dargestellt werden. Aufgrund der Sensitivität des Verfahrens kann unterschieden werden, ob es sich um eine Veränderung des Ursprungs der Plantarfaszie oder um eine weiter distal gelegene Problematik handelt. Gelegentlich findet man auch Teilrupturen etwas distal des Ansatzes (siehe Abb. 2). Diese Methode erlaubt auch eine Aussage über knöcherne Veränderungen.

2.4. CT

Durch ein Computertomogramm ist eine genaue Lokalisation von knöchernen Veränderungen möglich, speziell am Ursprung der Plantarfaszie oder im Tarsaltunnel.

Abb. 2: Teilruptur Plantaraponeurose in der MRT Diagnostik

Eine Teilruptur der Plantaraponeurose kann ursprungsnah oder auch einige cm distal des Ursprungs als Folge einer direkten Gewalteinwirkung auftreten.

Zum Lesen der Bildbeschreibung und zur Vollansicht bitte das Bild anklicken. Bild: Manfred Thomas

In seltenen Fällen findet sich eine komplette Ruptur der Plantaraponeurose als Ursache der Beschwerden (siehe Abb. 3).

Abbildung 3: Komplette Ruptur Plantaraponeurose und Therapie

Kasuistik: Frau, 45 Jahre.

Abb. 3a: Komplette Ruptur der Plantaraponeurose im MRT als Ursache der Beschwerden deutlich erkennbar.
Abb. 3b: Im präop Röntgenbild kein Fersensporn sichtbar.
Abb. 3c: MRT postoperativ, Knochenanker zur Refixation der Plantarfaszie.
Abb. 3d: Röntgenbild postoperativ, Knochenanker zur Refixation der Plantarfaszie.

Zum Lesen der Bildbeschreibung und zur Vollansicht bitte die Bilder anklicken. Bilder: Dr. Manfred Thomas, Augsburg.

Abbildung 4: OP-Situs

Darstellung der Ausrissverletzung, Refixation durch Anker.

Zum Lesen der Bildbeschreibung und zur Vollansicht bitte das Bild anklicken. Bild: Manfred Thomas.

Wertigkeit und Reihenfolge des diagnostischen Vorgehens

Anamnese Schmerzcharakter, Ausstrahlung, Zeit, Verlauf, Begleiterkrankungen.
Klinische Untersuchung Gangbild, Stand, Achsabweichungen, Palpation und Lokalisation des Schmerzpunktes, Hoffmann-Tinelsches Zeichen, Sifverskjöldtest, Weichteilschwellung, Hautveränderung (Morbus Ledderhose, dorsaler Fersenschmerz, etc.)
Konventionelles Röntgen (Fersenbein seitlich und tangential)
Arthrose der Fußwurzelgelenke, osteophytäre Ausziehung, plantarer oder dorsaler Fersensporn, Auffälligkeiten nach Unfällen oder Operationen (Fehlstellung, fehlpositioniertes Osteosynthesematerial, Fremdkörper), Veränderungen der Knochenstruktur (Ermüdungsfraktur, Osteoporose, Tumoren, etc.)
Ultraschall Darstellen der Plantarfaszie in ihrem Verlauf, Darstellung von Strukturunterbrechung oder Entzündung. Typisch sind eine verminderte Echogenität und/oder Verdickung der Plantarfaszie (> 4 - 4,5 mm) 812.
Abgrenzung von Bursitiden, Tumoren, Engpasssyndrom im Tarsaltunnel.
Bei bestehender Plantarfasziitis kann per Doppler-Ultraschalluntersuchung eine Hyperämie nachgewiesen werden 13, diese kann auch als Therapie-Monitoring verwendet werden.
Testinfiltrationen Unter sterilen Kautelen wird Lokalanästhetikum (ggf. unter Durchleuchtung oder Ultraschallkontrolle) gezielt infiltriert 5.
Kernspinuntersuchung Darstellung des Tarsaltunnels (Nervenengpass), der Plantarfaszie und des Faszienursprungs, sowie des Achillessehnenansatzes und einer lokalen Bursa, Differentialdiagnostik bei Tumoren und Knochenveränderungen.
Computertomografie Gezielte Darstellung knöcherner Ursachen wie Zysten und Tumoren, Fehlstellungen nach Unfällen.
Fokussierte Stoßwelle Suche nach positiven Triggerpunkten und daraus resultierend auch Triggerpunkttherapie.

3. Apparative Diagnostik (indirekt)

3.1. Ganganalyse mit Videodokumentation

Zum Beispiel bei auffälliger Störung des Gangbildes, muskulären Dysfunktionen und Fehlstellungen des Rückfußes.

3.2. Pedobarografie

Diese diagnostische Methode dient der digitalen Darstellung der Druckbelastung des Fußes während des Stands oder beim Gehen. Sie ermöglicht die digitale Darstellung der Druckbelastung und -verteilung während der Standphase. Geht der Patient z.B. in Reklination der Wirbelsäule oder besteht eine Fehlstellung des Rückfußes, zeigt sich in der dynamischen Druckmessung ein pathologisches Verteilungsmuster der Belastung von Ferse und gesamter Fußsohle.

3.3 EMG und NLG

Hilfreich bei Vorliegen eines Tarsaltunnelsyndroms oder einer Kompression des Baxternerven mit Atrophie des m. abductor digiti minimi.

Hinweis: Durch die Anwendung von bildgebenden Verfahren wird die multimodale symptomatische Therapie zu Beginn der Beschwerden in der Regel nicht beeinflusst 5. Bei Vorliegen eines Calcaneussporns, kann evt. die Indikation zur Stoßwellentherapie, zur Dekompression des Baxternerven, zur lokalen Knochenresektion oder zur therapeutischen Injektion gestellt werden 14.

Mögliche Differentialdiagnosen

  • Tarsaltunnelsyndrom: Brennende oder ziehende Schmerzen in Ruhe und ohne Belastung können ein Hinweis für ein Tarsaltunnelsyndrom sein. Die häufigsten Ursachen für ein Tarsaltunnelsyndrom sind entweder Folgen einer erlittenen Verletzung oder Engpässe durch raumfordernde Tumore oder Fußfehlstellungen 15.
  • Differentialdiagnostisch kann außerdem ein Engpasssyndrom auf einem anderen Schädigungsniveau vorliegen, wie zum Beispiel bei ischialgieformen und pseudoradikulären Beschwerden (S-1-Wurzelreizsyndrom).
  • Fersen-Fett-Syndrom: Hierbei treten unter Belastung tiefsitzende Schmerzen an der druckaufnehmenden Stelle des Calcaneus auf. Der Schmerz ist lokal begrenzt. Ohne Druckbelastung besteht Schmerzfreiheit, ursächlich ist eine reduzierte Elastizität des Fersenfettpolsters, zum Beispiel bei Älteren und Diabetikern.
  • Tendinöse Xanthome: z.B. mit Verbreiterung des Sehnenansatzes, können im Rahmen der familiären Hypercholesterinämie an der Ferse auftreten.
  • Dorsaler oder hinterer Fersenschmerz:
    Dorsaler Fersensporn: Dorsale Fersenschmerzen können auch durch einen echten dorsalen Fersensporn entstehen (siehe Abb. 1). Dieser entsteht als knöcherne Ausziehung durch Verkalkung der Achillessehne an ihrem Ansatz.
    Dorsolateraler Knochensporn: dorsolateraler kleiner Knochensporn mit Bursitis am Fersenbein. Dieser liegt lateral des Ansatzes der Achillessehne und kann isoliert schmerzhaft palpiert werden oder sogar die Achillessehne arrodieren.
  • Der hintere Fersenschmerz kann darüber hinaus ein Erstsymptom einer seronegativen, rheumatischen Erkrankung sein (Morbus Reiter, Morbus Bechterew, Psoriasis-Arthritis).
  • Ein diffuser Schmerz, in Ruhe und unter Belastung, kann Ausdruck für eine Stressfraktur des Calcaneus bei verminderter Knochendichte sein. Neben den Metatarsalia ist der Calcaneus eine häufige Lokalisation 16.
  • Dornwarzen, Fremdkörper, Tumore, eine Fibromatose der Plantarfaszie (Morbus Ledderhose) und nach plantar reichende knöcherne Vorsprünge bzw. Implantate nach Unfall oder operativer Versorgung können ebenfalls ursächlich für Fersenschmerz sein.
  • Arthrosen, auch des subtalaren Gelenkes, imponieren meist auf Höhe des Gelenkspaltes eher lateral auf Höhe der Außenknöchelspitze oder dorsal des Außenknöchels.
  • Tendinitis der Beugesehnen (besonders FDL und FHL) im Tarsaltunnel medial und der Peronealsehnen lateral sind im Einbeinzehenspitzenstand und durch Palpieren und Anspannung gegen Widerstand klinisch vom plantaren Fersenschmerz zu unterscheiden.

Abbildung 5: Differentialdiagnose Morbus Ledderhose

MRT präoperativ (keine Pathologie am Ansatz der Plantarfaszie).

Zum Lesen der Bildbeschreibung und zur Vollansicht bitte das Bild anklicken. Bild: Manfred Thomas.

Therapeutisches Vorgehen

Therapieziele

  • Schmerzfreie Belastbarkeit im Alltag und beim Sport. Vermeidung eines Rezidivs.
  • Die Ursachenforschung ist essentiell. Der plantare Fersenschmerz kann lokal oder auch fortgeleitet auftreten, nach ausführlicher Differentialdiagnostik kann die Therapie zielgerichtet zu Schmerzfreiheit und Ausheilung führen.
  • Um einer Chronifizierung vorzubeugen, ist die frühzeitige individuelle Behandlung anzustreben. Spontane Ausheilung - wenn überhaupt - ist häufig erst nach Jahren zu erwarten 17.
  • Beschleunigung der Ausheilung durch multimodales Vorgehen 18.
  • Die Dicke der verbreiterten Plantarfaszie - als Maß für die entzündliche Aktivität - zu reduzieren 14.
  • Beseitigung vorhandener Deformitäten von Fuß- und Sprunggelenk als mechanische Ursache der Plantarfasziitis 1.

Indikation zur Therapie - Kontraindikationen

Indikation

  • Uni- oder Bilateraler Fersenschmerz 17.
  • Nachgewiesene schmerzhafte Verdickung der Plantarfaszie.
  • Plantarfasziitis als Folge mechanischer Fehlbelastung 19.
  • Operatives Vorgehen nur bei Versagen der multimodalen konservativen Therapie 6.

Kontraindikation

  • Somatisierungsstörungen.
  • Nebenerkrankungen mit einer Erhöhung des Narkoserisikos im Falle der operativen Intervention.
  • Komplexes Regionales Schmerzsyndrom (CRPS).
  • Durchblutungsstörungen.
  • Floride lokale und systemische Infekte.
  • Relative Kontraindikation: pathologischer BMI (Body-Mass-Index) 6.

Aufklärung

Bei der Anwendung der verschiedenen Therapieformen können unterschiedliche Nebenwirkungen auftreten. Der konservative Ansatz inkludiert unter anderem die Anwendung von lokalen Injektionen (PRP, Cortison, Stammzellsuspension, Botulinumtoxin, etc.). Nach Cortisoninjektion ist (dosisabhängig) vor allem das Risiko einer Spontanruptur oder eine Ausdünnung des Fettpolsters bei wiederholten Injektionen zu erwähnen 62021. Bei der Anwendung von Platelet-Rich-Plasma (PRP) können lokale Nebenwirkungen wie kleine Blutergüsse, Rötungen und Schwellungen 20 eintreten. Mögliche Kontraindikationen für die Anwendung von PRP oder Stammzellsuspensionen sind neben einer Schwangerschaft akute Ausbrüche von Neurodermitis oder Schuppenflechte an der Injektionsstelle (allgemein akut infektiöse Hauterkrankungen) 2022. Störungen der Blutgerinnung, Autoimmunerkrankungen, Leberkrankungen stellen relative Kontraindikationen für Injektionen dar. Botulinumtoxin führt zu einer zeitlich begrenzten Einschränkung der Muskelfunktion an der Injektionsstelle 23. Gerade Injektionen in den Gastrocsoleus Komplex können zu einer therapeutisch relevanten Erniedrigung der Muskelspannung führen. Therapie mit Niedrigenergie-Laser (LLLT) zeigt in einer prospektiven Studie im Vergleich zur Extracorporalen Stoßwellentherapie (ESWT) ähnliche Resultate – sowohl kurz- als auch mittelfristig 12. Im Vergleich zur Stoßwellentherapie ist die Anwendung des Niedrigenergie-Laser schmerzfrei mit ähnlichen Resultaten und geringerer Morbidität 12. Stoßwellentherapie kann schmerzhaft sein - evtl. sind mehrfache Therapie­einheiten erforderlich 24. Lokale Radiofrequenztherapie oder Elektrisches Needling kann - in seltenen Fällen - zu oberflächlichen Verbrennungen führen, erzielt aber eine, der Stoßwellentherapie ähnliche Heilungsquote mit anhaltendem Effekt 25.

Bei Versagen der konservativen Therapie ist das operative Vorgehen indiziert. In diesem Fall muss der Patient über die allgemeinen und die für die jeweilige OP-Methode typischen Operationsrisiken aufgeklärt werden (Rezidivhäufigkeit, postoperative Schmerzdauer, chronische Weichteilschwellung, Nervenschmerzen, anhaltende Verdickung der Plantarfaszie, Plantarvenenthrombose, hypertrophe Narbenbildung, temporäre oder anhaltende Störung der Gehfähigkeit).

Abbildung 6: Darstellung des Baxter Nerven im MRT (siehe Pfeil)

Zum Lesen der Bildbeschreibung und zur Vollansicht bitte das Bild anklicken. Bild: Manfred Thomas.

Prinzipien der verschiedenen Therapieformen

Die Therapie der Plantarfasziitis beginnt konservativ. Aktive und passive Therapien sollten kombiniert werden und erhöhen damit die Erfolgsquote der Therapie 726.

Akuttherapie:

  • Bei aktiven Patienten (Hobby- oder Leistungssportler) Belastungspause bis ein Training im schmerzfreien Rahmen wiederaufgenommen werden kann und lokale antiinflammatorische Therapie (Kryotherapie, Iontophorese (Elektrotherapie)) oder lokale Externa (z. B. Quarkwickel und Retterspitz®, antiphlogistische Salben o.ä.)
  • Weichpolsternder und erhöhender Fersenkeil um die Spannung der hinteren Muskel-Sehnen-Einheit (Gastrocnemius-Achillessehne-Fersenbein-Plantarfaszienansatz) zu reduzieren.
  • Einlagenversorgung mit einer individuell angepassten Hohllegung und Weichbettung der Fersenregion.
  • Eigenständige exzentrische Dehnungsbehandlung.
  • Antiphlogistische systemische Medikation.

Mittelfristige konservative Therapiemöglichkeiten (Erste Phase):

  • Wenn die klinische Untersuchung eine Verkürzung der dorsalen Funktionseinheit zeigt, gilt es diese durch geeignete Manuelle Therapie und Physiotherapie zu behandeln. Die Dehnung kann postisometrisch und exzentrisch erfolgen. Eine Anleitung zur Durchführung eigenständiger Dehnungsübungen ist essentiell. Diese Therapieformen bedürfen täglich häufiger Wiederholungen und müssen über längere Zeit durchgeführt werden. Mikrorisse, die dabei entstehen können, fördern die Heilung 5.
  • Die Querfriktion am schmerzhaften Plantarfaszienursprung kann manuell, mit Hilfe einer in eine Orthese integrierten Pelotte (Nauck T, Lohrer H, 2008) oder mit Hilfsmitteln wie dem Igelball oder der „Blackroll“ durchgeführt werden.
  • Die Druckentlastung sollte mit einer geeigneten Einlage zur Fußbettung erfolgen, dabei müssen der hintere Anteil und die seitlichen Partien des Fersenanteiles den Plantarfaszienursprung entlasten. Die druckempfindliche Stelle muss durch eine Weichbettung und eine Aussparung unter dem Ursprung und auch im Verlauf der proximalen Anteile der angespannten Plantarfaszie entlastet werden. Konfektioniert erhältliche Silikonfersenpolster können verwendet werden, sind einer individuell angefertigten Druckentlastung aber unterlegen. Ungünstig ist es, diese Aussparung an der falschen Stelle zu positionieren, weil dann die druckschmerzhafte Zone möglicherweise auf dem Rand der Aussparung zum Liegen kommt. Um dies zu vermeiden sollte bei der Anpassung der Einlagen die druckschmerzhafte Stelle markiert und bei der Einlagenherstellung individuell berücksichtigt werden 2728.
  • Eine Abstützung des Längsgewölbes unter dem Sustentaculum tali ist sinnvoll. Das Ziel ist gegebenenfalls die Korrektur einer Valgusachse und die ausreichende Unterstützung der Längswölbung des Fußes sowie die Lenkung der Kräfte auf gesunde Anteile der Faszie 7.
  • Mit einer gut ausgearbeiteten Form der Einlage kann das Fettpolster geformt werden und eine Schmerzlinderung erzielt werden (Landorf KE, Keenan AW, Hedert RD, 2006). Auch konfektionierte, nicht individualisierte Einlagen können den Beschwerden abhelfen 29.
  • Sensomotorischen Einlagen sind umstritten, können aber einen zusätzlichen Effekt durch Aktivierung von Reflexmechanismen auslösen.
  • Schuhwerk mit Pufferabsatz und (hinterer) Abrollhilfe, individuell angepasst oder konfektioniert.
  • Zusätzlich unterstützt die systemische Einnahme von nichtsteroidalen Antiphlogistika.
  • Vor allem bei verkürzter Wadenmuskulatur und morgendlichem Anlaufschmerz kann zur Vordehnung eine Nachtlagerungsschiene getragen werden, die den Fuß in einer Dorsalextension (Hackenfußstellung) hält (Lagerungsschiene, konfektioniert oder individuell angepasst). Alternativ können auch konfektionierte Orthesen, die teils auch zur Verstärkung des Effektes den Großzehen in Dorsalextension halten, rezeptiert werden. Dorsalextendierende Schienen sind kontraindiziert bei zusätzlich bestehender Hallux rigidus Deformität (Mehlhorn A et al., 2014) 26.

Langfristige konservative Therapiemöglichkeiten (Zweite Phase):

  • Unterstützend zu physiotherapeutischen Massnahmen werden Erfolge durch die Therapie mit Kinesiotaping beschrieben 30. Im Vergleich zu PRP treten die Erfolge beim Kinesiotape bereits nach wenigen Tagen ein, in einer vergleichenden Studie war nach 12 und 24 Monaten die Schmerzlinderung in der PRP Gruppe der Kinesiotape Gruppe überlegen 30.
  • Wenn die oben genannten Maßnahmen nicht nach wenigen Tagen oder Wochen eine Verbesserung ergeben, besteht im Rahmen des multimodalen Vorgehens eine Indikation zur Injektionstherapie, z. B. Corticoid mit Lokalanästhetikum als Mischung. Diese Injektionen können mehrfach wiederholt werden, eine schwache Evidenz für den Einsatz von Cortison existiert 3132. Eine Reduktion des plantaren Fettpolsters nach Injektionstherapie konnte in Studien widerlegt werden 21.
  • Zunehmende Berichte gibt es zur erfolgreichen Anwendung und Injektion von Platelet-Rich-Plasma (PRP) (Raheb EMS, Othman AMA, 2012), 3321. In unterschiedlichen Studien wurden für Cortison und PRP ähnliche therapeutische Effekte nachgewiesen, wobei der Eintritt des Therapieerfolges bei Cortison signifikant schneller ist und die Dauer des Effektes bei beiden Therapien ähnlich ist.
  • Im Falle eines protrahierten Verlaufes 34, sind weitere konservative Therapien nötig. Low Level Lasertherapien (LLLT) scheinen ähnliche Erfolge wie Stoßwellentherapie zu versprechen. Die Komplikationsraten und Schmerzen sind bei der Laserbehandlung geringer als bei ESWT 12.
  • Zur Behandlung mit extrakorporalen Stoßwellen gibt es verschiedene Studien mit unterschiedlichen Geräten und Therapieregimes hinsichtlich Impulsfrequenz und Energiestärke 353637. Die ESWT erfolgt entweder mit fokussierter oder radialer Stoßwelle. Durch die Stoßwellentherapie resultiert eine Neovaskularisation und eine erhöhte lokale Konzentration von Wachstumsfaktoren, Therapieerfolge bis zu 90 % sind beschrieben.
  • Radiotherapie mit „low dose“ 3Gy Strahlendosis erzielte in über 60 % der Behandelten eine anhaltende signifikante Schmerzlinderung und Funktionsverbesserung 3839
  • Injektion von 200 IE Botulinumtoxin (z. B. Dysportâ) mit einer daraus resultierenden Reduktion der Schmerzen 401423. Botulinumtoxin hat anti-nozizeptive und Anti-Allodynie-Effekte, es reduziert Neurotransmitter wie Substanz P und unterdrückt inflammatorische Reaktionen. In prospektiven Studien zeigt sich mittelfristig eine Abnahme des Plantarfasziendurchmessers sowie eine progrediente Reduktion der Schmerzen 14.
  • „Dry Needling „ als percutaner Stimulus für reparative Vorgänge am Plantarfaszienursprung, bislang nur mit unzureichender Studienlage aber ermutigenden Ergebnissen 41.

Abbildung 7a-c: perkutane Radiofrequenz Ablation (TOPAZ)

Abb. 7a: Markieren des Schmerzareals am Plantarfaszienursprung.
Abb. 7b: Perforation der markierten Einführungspunkte an der Fersenhaut und Einführen der TOPAZ Sonde.
Abb. 7c: Einführen der TOPAZ Radiofrequenz Sonde.

Operative Therapieoptionen

Sollte nach mehrmonatigen konservativen Maßnahmen und unzureichendem Therapieerfolg eine OP-Indikation gestellt werden, bestehen folgende operative Möglichkeiten:

  • Konventionelle offene Fasziotomie mit mittel- und langfristig zunehmender Zufriedenheit des Patienten post-op 42
  • Endoskopisches Plantarfaszienrelease. Unterschiedliche Zugangswege, meist von medial, werden beschrieben. In einer prospektiven Studie konnte nachgewiesen werden, dass auch nach kompletter plantarer Fasziotomie kein signifikantes Absenken der Fußwölbung nachzuweisen ist 3419.
  • Proximales Release des medialen Gastrocnemiusanteiles (PMGR) im Falle eines verkürzten Gastrocsoleus Komplexes. In einer randomisierten Studie bei therapieresistenter Plantarfasziitis zeigten sich zwischen PMGR und dem offenen Release der Plantarfaszie vergleichbare Ergebnisse bei kürzerer Rekonvaleszenzphase in der PMGR Gruppe 3. Das proximale Release des medialen Gastrocnemiuskopfes sollte daher im Rahmen einer operativen Therapieplanung mit berücksichtigt werden.
  • Abtragen eines Fersensporns mit Denervation des schmerzhaften Periostes. Diese Therapie kann entweder konventionell offen oder perkutan/minioffen mit radiofrequenter Nervenablation des calcanearen Nervenastes an der Fersenkontur medial und am Ursprung der Plantarfaszie erfolgen. Besonders wenn der Schmerz durch den Nervenast verursacht ist, ermöglicht diese Therapie eine signifikante Schmerzreduktion bei Patienten mit Fersenschmerz in Verbindung mit Plantarfasziitis 43.
  • Percutane Radiofrequenz Ablation (TOPAZ®-Methode) mit Hilfe einer minimalivnasiv eingeführten Coblations-Elektrode. Die ca. 0,25 mm dicke Elektrode wird in ca. 5 mm messende Abständen durch Hautperforationen bis zur Plantarfaszie vorgeschoben (Abb. 7a-c). Bei Kontakt zur Plantarfaszie wird über Plasmaimpulse das schmerzhafte Areal der Faszie verödet und die Neubildung von Regeneratgewebe angeregt 444546. Diese Technik erzielt je nach Studie vergleichbare Ergebnisse wie ein minimalinvasives Plantarfaszienrelease mit kürzerer Operationszeit und signifikant kürzerer Rekonvaleszenz.

Abbildung 8: Standardzugang zum offenen oder auch perkutanen Plantarfaszienrelease von medial

Zum Lesen der Bildbeschreibung und zur Vollansicht bitte das Bild anklicken. Bild: Manfred Thomas.

Operationsbedürftige Befunde einer Plantarfasziitis finden sich je nach Studie in 1-5 % der Fälle benötigen nur circa 1 % der Patienten eine Operation 4748. Erfolgsaussichten der schon lange bekannten offenen Fasziotomie werden mit 85 % angegeben, bei teils sehr langen Heil- und Rehabilitationsverläufen von bis zu einem Jahr 4950. Die möglichen Vorteile einer mikrochirurgischen Vorgehensweise bestätigen sich nicht unbedingt. Auch wenn das Verfahren trotz des Risikos einer Nervenverletzung als reproduzierbar und sicher gilt 51523453 sind sich die Autoren bezüglich kürzerer Dauer der Arbeitsunfähigkeit im Vergleich zum offenen Verfahren uneinig 54934.

Abb. 9a–d: chron. Plantarfasziitis mit plantarem Fersensporn und Irritation Baxternerv plantar lateral

Kasuistik: 28-jähriger Patient, Profisportler.

Abb. 9a: Plantarer Fersensporn und Plantarfasziitis im MRT prä-op.
Abb. 9b: Plantarer Fersensporn im CT prä-op.
Abb. 9c: Lateraler Zugangsweg bei atypisch weit nach plantar lateral liegendem Sporn.
Abb. 9d: Röntgenkontrolle nach Minioffenem Plantarfaszienrelease und Abtragung Fersensporn mit Neurolyse.

Zum Lesen der Bildbeschreibung und zur Vollansicht bitte die Bilder anklicken. Bilder: Manfred Thomas.

Nachbehandlung

1. Phase: Wundheilung (Woche 1+2)

Im Anschluß an den operativen Eingriff empfiehlt sich eine schmerzgesteuerte Entlastung oder Teilbelastung an Unterarmgehstützen mit 0-20 kg für die Zeit der Wundheilung. Frühzeitiger Beginn mit Lymphdrainage, passiver KG und Querfriktion, um einer hypertrophen Narbenbildung vorzubeugen.

2. Phase: Passive und aktiv assistierte Bewegung (Woche 3-6)

Bei unkompliziertem postoperativem Verlauf im Anschluss an die Wundheilung Physiotherapie mit passiven und aktiv assistierten Bewegungsübungen. In Woche 5+6 schmerzgesteuerter Sohlenkontakt.

3. Phase: Exzentrische Dehnungsübungen und Belastungsaufbau/Gangschulung (Woche 6-12)

Beginn mit exzentrischen Dehnübungen ab 6.Woche nach OP und Belastungsaufbau mit weichbettender Einlage und Fersenpolster. Falls erforderlich Nachtlagerungsschiene in Hakenstellung des Fußes oder aufdehnende Orthesen (Mehlhorn A et al. 2014).

Medikamentöse Nachbehandlung: NSAR zur Analgesie und Abschwellung, leitlinienkonforme Thromboseprophylaxe bis zur ausreichenden Belastung.

Die Nachbehandlungsdauer zeigt je nach Verfahren und Ausprägung der präoperativen Befunde eine ausgeprägte Varianz.

Therapiebedingte Komplikationen

1. Injektionstherapie

  • Corticoidinjektionen an den Ursprung der Plantarfaszie können dosisabhängig eine Spontanruptur der Faszie auslösen 55. Als Folge hiervon kann eine sekundäre Fehlbelastung des Vorfußes resultieren.
  • Schädigung des plantaren Fersenfettes/Fettkörperatrophie: Bei Injektion streng an den knöchernen Faszienursprung ist eine Fettkörperatrophie unwahrscheinlich 5. Für Injektionen gilt, dass der Zugang von medial den N. tibialis posterior oder seine Äste schädigen kann, dies lässt sich bei einem plantar-medialen oder hinteren Zugang vermeiden 14.
  • Infekt im Injektionszugang: Ein Infektionsrisiko ist auch bei leitliniengerechtem Vorgehen nie auszuschliessen.

2. Operative Therapie

  • Wundheilungsstörungen, Nervenläsionen mit persistierenden Dysästhesien, Gefäßverletzungen, hypertrophe Narbenbildung 9. Beim Release der Plantarfaszie sollte die Ablösung auf maximal 70 % des gesamten knöchernen Ursprungs begrenzt werden. Bei subtotaler oder auch kompletter Ablösung besteht das Risiko einer ( geringfügigen) Abflachung der Fußwölbung 56957. Das Patientenalter scheint eine untergeordnete Rolle zu spielen, in einigen Studien zeigt ein höheres Patientenalter Vorteile für eine rasche Ausheilung des Befundes 53.
  • Thrombose/Embolie: Auf Grund der langdauernden Entlastungsphase ist eine leitliniengerechte Thromboseprophylaxe empfohlen.
  • Entwicklung eines CRPS (Complex Regional Pain Syndrome).
  • Proximales mediales Gastrocnemiusrelease: Risiko für Verletzung der kniegelenksnahen neurovaskulären Strukturen, Risiko für tiefes Wundhämatom.
  • Risiko von Residuen und Rezidiven.
  • Anhaltende Schmerzsymptomatik (Verletzung oder Irritation des neurovaskulären Bündels, fehlerhafte Diagnosestellung).

Zusammenfassung

Aufgrund der hohen Erfolgsquote der konservativen Therapie der Plantarfasziitis ist die operative Behandlung in den Hintergrund gerückt. Sobald fortgeleitete Ursachen für den plantaren Fersenschmerz ausgeschlossen wurden kann mit einem multimodularen konservativen Therapiekonzept begonnen werden. Zusätzlich zur exzentrischen Dehnungsbehandlung ist die niedrigenergetische Laserbehandlung, die ESWT und die Injektionstherapie mit Cortisonpräparaten, PRP und/oder Botulinumtoxin in das Behandlungskonzept zu integrieren. Die Anwendung der Röntgenreizbestrahlung (3 Gy) resultiert auch nach 55 Monaten in ca. 60 % der behandelten Patienten in einer anhaltend signifikanten Schmerzlinderung 38.

Sollte nach 6-monatiger konservativer Therapie keine signifikante Besserung eingetreten sein bietet sich als invasives Verfahren die Radiofrequenz Ablation als Verfahren mit geringem Risiko und schneller Rekonvaleszenz. Sollte ein Plantarfaszien-Release erforderlich sein, empfiehlt sich das minimalinvasive Vorgehen bei geringerem Risiko und schnellerer Rekonvaleszenz im Vergleich zum offen OP-Vorgehen. Das proximale mediale Gastrocnemiusrelease stellt besonders bei gleichzeitiger Verkürzung der Wadenmuskulatur eine komplikationsarme und effektive Alternative zum Plantarfaszien-Release dar.

Weitere Literatur

  • Baxter DE, Release of the nerve to the abductor minimi. In: Kitaoka HB (ed). Master techniques in orthopaedic surgery of the foot and ankle. Philadelphia PA: Lippincott Williams and Wilkins, 2002: 359.
  • Landorf KE, Keenan AW, Hedert RD. Effectiveness of footorthoses to treat plantar fasciitis. A randomized trial. Arch Intern Med 2006; 166: 1305-10.
  • LC Shaun, BaxterNEU, Neuropathies of the foot and ankle in Athlethes. Sports MED 1990; 9 (2): 489-509.
  • Mehlhorn A, Hirschmüller A, Südkamp NP, Schmal H. Eine dorsale Lagerungsschiene mit kontinuierlicher Dorsalextension der Großzehe zur Behandlung der therapierefraktären, plantaren Fasziitis. FuSpru 2014; 12: 42-47.
  • Nauck T, Lohrer H. Faszitis plantaris: Wirksamkeitsprüfung einer neuen Bandage. OrthopSchuhtechnik 2008; 10: 19-23.
  • Raheb EMS, Othman AMA. Platelets rich plasma for treatment of chronic plantar fasciitis. Arch Orthop Trauma Surg 2012; 132: 1065-1070.
  • Recht MP, Groof P, Ilaslan H, Recht HS, Sferra J, Donley BG. Selective atrophy of the abuctor digiti quinti: an MRI study. AJR Am J Roentgenol 2007; 189(3): W123-127.
Loading…
Loading the web debug toolbar…
Attempt #