Autoren Prof. Dr. med. Stefan Rehart, Martina Henniger, Axel Lust

Kurzzusammenfassung

Im Krankheitsverlauf der rheumatoiden Arthritis kommt es häufig zu einem Befall der Füße mit anfangs oft unbemerkten Artikulosynovialitiden bzw. Tenosynovialitiden, die später zu typischen Gelenkdestruktionen und Fehlstellungen führen. Für die Patienten bedeutet dies meist eine erhebliche Einschränkung der Lebensqualität.

In der Diagnostik und Therapieplanung der rheumatoiden Arthritis spielen die klinische Untersuchung, das konventionelle Röntgen und die Sonographie die wichtigste Rolle. Basis aller Therapiemaßnahmen dieser Systemerkrankung ist die medikamentöse Therapie, welche die entzündliche Aktivität eindämmen und eine progrediente Gelenkzerstörung aufhalten soll. Weitere konservative Therapiemöglichkeiten an den Füßen sind die Einlagen- und Schuhversorgung, Physiotherapie, physikalische Maßnahmen sowie lokale Cortisoninfiltrationen bzw. die Radiosynoviorthese. Häufig werden trotzdem Operationen notwendig, um Beschuhbarkeit und Mobilität der Patienten zu erhalten.

Die operative Therapie erfolgt stadienabhängig. In frühen Stadien mit erhaltenen Gelenken werden bei Versagen der konservativen Therapiemaßnahmen Synovektomien bzw. Tenosynovektomien durchgeführt. Wenn die Gelenkflächen bereits destruiert sind, kann heute an vielen Gelenken mit gutem und auch langfristigem Erfolg eine Prothesenversorgung (z.B. am oberen Sprunggelenk, Großzehengrundgelenk) erfolgen. Als Palliativeingriffe stehen beim rheumatischen Fuß Resektionsarthroplastiken (z.B. Köpfchenresektion der Metatarsalia nach Hoffmann) oder Arthrodesen zur Verfügung. Die häufigsten Komplikationen nach Operationen an den Füßen sind Wundheilungsstörungen und Infektionen. Besonderheiten entstehen bei dieser Patientengruppe durch den multiplen Gelenkbefall, die häufigen Komorbiditäten und die besonderen Medikamente.

Epidemiologie und Ätiologie

In Deutschland leiden etwa 1,5 Millionen Erwachsene (2% der Bevölkerung) an einer entzündlich-rheumatischen Erkrankung. Davon sind 440.000 (0,65% der Bevölkerung) an einer rheumatoiden Arthritis (RA) erkrankt. Die Ätiologie ist unklar. Die Erkrankung verläuft chronisch progredient und führt zu schmerzhaften Gelenkschwellungen mit Bewegungseinschränkung und fortschreitender Gelenkdestruktion, weshalb Betroffene mit RA den größten Anteil an Patienten der orthopädischen Rheumatologie darstellen.

Bei Diagnosestellung einer RA sind die Füße nur bei 20% der Patienten betroffen. Im Verlauf kommt es aber bei den meisten "Rheumatikern" zu einem Befall der Sprung- und Fußgelenke, der operative Interventionen notwendig macht 1. Mit 80-95% sind die Metatarsophalangealgelenke (MTP) am häufigsten befallen, gefolgt von den Mittelfußgelenken (40-60%) und dem oberen Sprunggelenk sowie dem Subtalargelenk (30-50%) 2.

Symptomatik

Zu Beginn der Erkrankung besteht die typische Symptomatik in schmerzhaften Gelenkschwellungen mit morgendlicher Steifheit der Gelenke über 60 Minuten. An den Füßen sind häufig mehrere Zehengrundgelenke symmetrisch betroffen, Schwellungen sind hier jedoch oft nicht oder kaum sichtbar, eine Überwärmung oder Bewegungseinschränkung fällt kaum auf.

Im Verlauf kommt es durch Zerstörung des Kapsel-Band-Apparates und Sehnen zu Instabilitäten („loose type“) und durch Zerstörung der Gelenkflächen mit Bewegungseinschränkung („stiff type“) zu den typischen rheumatischen Veränderungen. Schlüsselgelenk für die Rückfußstabilität ist das Talonavikulargelenk. Die Lockerung des Kapsel-Bandapparates mit begleitender Insuffizienz der Tibialis-posterior-Sehne führt zum Tiefertreten des Taluskopfes und Verlust der medialen Längswölbung (rheumatischer Knick-Senkfuß). Im Subtalargelenk entsteht eine Valgusfehlstellung, oft begünstigt durch eine Valgusfehlstellung des Kniegelenkes. Verlust der Längswölbung und Medialisierung des Os naviculare führen zur Aufbiegung der Mittelfußknochen an DI (varisierend und supinierend) und DV (valgisierend und pronierend). Durch veränderte Sehnenzugrichtungen entsteht die Hallux valgus-Positionierung der Großzehe und Varisierung der Kleinzehe als Digitus quintus varus. Die Mittelfußköpfchen II-IV werden durch die Aufspreizung überlastet. Es kommt zur Metatarsalgie mit Hyperextension in den MTP und pathologischer plantarer Beschwielung sowie kontrakten Krallenzehen (Sabo D(ed). 2010).

Aufgrund multipler betroffener Gelenke und häufig bestehenden Komorbiditäten werden die Symptome an den Füßen oft erst relativ spät wahrgenommen, daher ist es sinnvoll, den RA-Patienten immer gezielt nach Beschwerden an den Füßen zu befragen und diese generell mit zu untersuchen.

Diagnostisches Vorgehen

Anamnese

Typischerweise berichten die Patienten zunächst von Schmerzen bei Belastung aber auch in Ruhe, Schwellung sowie morgendliche Steifheit länger als 60 Minuten, die dann über den Tag auch nicht wieder auftritt (kein Anlaufschmerz!). Die Schuhversorgung ist, insbesondere wenn bereits Fehlstellungen bestehen, erschwert und die Gehstrecke sowie Mobilität eingeschränkt. Bei der Anamnese sollte der "Rheumatiker" definitiv nach weiteren schmerzhaften Gelenken, der medikamentösen Therapie, Begleiterkrankungen und bisherigen Therapien gefragt werden. Auch die soziale Situation und die berufliche Tätigkeit müssen bei der Therapieplanung berücksichtigt werden.

Klinische Untersuchung

Die klinische Untersuchung sollte im Gehen, Stehen und Liegen durchgeführt werden. Im Gehen sind Gangbild und Abrollvorgang zu beobachten. Im Stehen erfolgt dann die Bestimmung der Beinachsen, Feststellung einer einseitigen Muskelminderung (z.B. der Wadenmuskulatur als Ausdruck einer Schonung) und die Beurteilung der Rückfußachse. Beim Erwachsenen sind 5-10° Valgusstellung physiologisch, die im Zehenstand bei suffizienter Tibialis posterior-Sehne in eine leichte Varusposition übergeht. Des Weiteren werden im Stehen Längs- und Querwölbung (Breite des Vorfußes zwischen MTPI und V) des Fußes beurteilt, der Valguswinkel zwischen Großzehe und Fußlängsachse gemessen sowie Zehendeformitäten wie Krallen-, Hammerzehen sowie eine Überkreuzung von Zehen festgestellt. Im Liegen können die Bewegungsausmasse der Gelenke, die Beschwielung des Fußes, Druckstellen, trophische Veränderungen der Haut und Fußnägel erfasst werden. Bei der Palpation der Gelenke und Sehnen sind Schwellung, Überwärmung und Schmerzhaftigkeit festzustellen.

Sonographie

Die sonographische Untersuchung des Fußes wird in der Regel mit 7,5MHz durchgeführt. Erfasst und differenziert werden können ein Gelenkerguss bei Synovialitis, eine Bursitis bzw. eine Tenosynovialitis. Mit Hilfe des Power-Dopplers kann auch eine Aussage über die Krankheitsaktivität gemacht werden.

Röntgen

Flüssigkeit und erhöhte Gewebeperfusion im Powerdoppler sind Kennzeichen der rheumatoiden Arthritis im Ultraschall. Hier zeigt sich die Entzündung um die Extensor hallucis longus Sehne.
Abbildung 3

Konventionelle Röntgenaufnahmen sind das wichtigste bildgebende Verfahren. Die Aufnahmen zur OP-Planung sollten a.p. und streng seitlich im Stehen durchgeführt werden. Typische radiologische Veränderungen im Verlauf einer RA sind konzentrische Gelenkspaltverschmälerungen, gelenknahe Entkalkung, periartikuläre Weichteilschwellung, Erosionen der Gelenkflächen, später Zerstörung der Gelenkflächen mit Fehlstellungen sowie knöchernen Ankylosen oder Gelenkluxationen. Eine radiologische Stadieneinteilung erfolgt nach dem Schweregrad der destruierenden Veränderungen nach Larsen, Dale und Eek in 6 Stadien 3.

Szintigraphie/CT/MRT

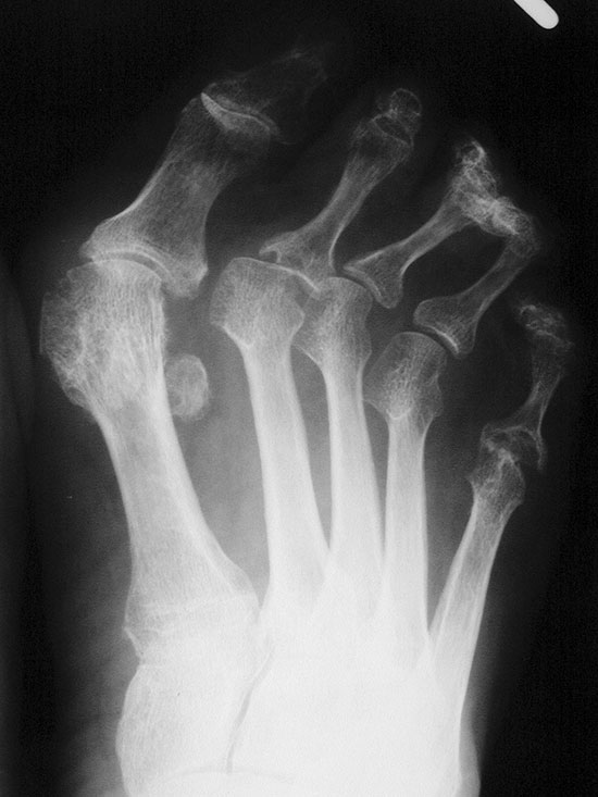
Dorsoplantare Darstellung des Vorfußes. Fortgeschrittene Destruktion des Metatarsophalangealgelenks am 5. Strahl und Lateraldeviation der Zehen.
Abbildung 4

Szintigraphie, Computertomographie oder Kernspintomographie bleiben speziellen Fragestellungen vorbehalten wie z.B. Zystenausdehnung, Spontanfrakturen oder Osteonekrosen, die sich initial in der konventionellen Röntgenaufnahme nicht ausreichend darstellen. Die Szintigraphie hat außerdem ihren Stellenwert in der Frühdiagnostik, bei der Erfassung des Befallsmusters sowie beim Verdacht auf eine Endoprothesenlockerung.

Labor

In der Frühphase einer Rheumaerkrankung können mit der MRT bereits Veränderungen an den Gelenken und Weichteilen identifiziert werden, die im konventionellen Röntgen nicht sichtbar sind.
Abbildung 5

Laboruntersuchungen (Blut, Punktat) dienen der Diagnosefindung, der Aktivitätsbeurteilung einer RA bzw. dem Ansprechen einer medikamentösen Therapie und zur Differentialdiagnose z.B. eines infektiösen Geschehens.

Therapeutisches Vorgehen

Konservative Therapie

Therapieziele sind in erster Linie das Eindämmen der entzündlichen Aktivität um die Gelenke möglichst zu erhalten und Deformitäten zu vermeiden. Des Weiteren gilt es, Schmerzen zu lindern sowie Mobilität, Eigenständigkeit und Beschuhbarkeit der Patienten zu erhalten bzw. wieder herzustellen.

Grundlage jeder Therapie der rheumatoiden Arthritis ist die sog. antiinflammatorische Basismedikation. Diese ist in der Lage, durch die Dämpfung der entzündlichen Aktivität auch die destruierenden Veränderungen zu verlangsamen. Hierfür stehen zunächst Medikamente aus der Gruppe der DMARDs („disease modifying anti rheumatic drugs“, z.B. Methotrexat, Leflunomid) zur Verfügung. Bei unzureichender Wirksamkeit werden dann in der Regel Medikamente aus der Gruppe der Biologika (TNF-alpha-Inhibitoren, z.B. Adalimumab, Etanercept bzw. der IL-6-Rezeptorantagonist Tocilizumab, der T-Zell-Co-Stimulations-Blocker Abatacept oder der B-Zell-Depletor Rituximab) eingesetzt. Zur Symptomkontrolle in Phasen gesteigerter entzündlicher Aktivität bzw. zur Überbrückung des Zeitraumes bis zum Wirkeintritts einer Basistherapie (ca. 4-12 Wochen) werden außerdem häufig Glukokortikoide und nichtsteroidale Antirheumatika eingesetzt.

Begleitend zur medikamentösen Therapie sollte bei Patienten mit RA regelmäßige Physio- und Ergotherapie und physikalische Maßnahmen durchgeführt werden. Lokal kommen infiltrative Maßnahmen wie die Radio- oder Chemosynoviorthese und Cortisoninfiltrationen zum Einsatz.

Ganz wichtig bei einem Befall der Füße ist die orthopädietechnische Versorgung mit Einlagen bzw. Schuhzurichtungen. Orthopädische Schuhe sind nur bei Kontraindikationen zu operativer Sanierung indiziert.

Indikation und Kontraindikation für operative Behandlungsmaßnahmen

Am Fuß sind die konservativen Therapiemöglichkeiten begrenzt und können das Entstehen einer Deformität meist nicht aufhalten bzw. eine bereits bestehende Deformität nicht dauerhaft korrigieren, so dass häufig Operationen notwendig werden. Die Indikation für einen operativen Eingriff besteht prinzipiell bei einem Nichtansprechen bzw. ungenügendem Ansprechen einer optimierten konservativen Therapie. Verschiedene Eingriffe sollten, wenn möglich, als Kombinationseingriffe (z.B. beidseitige Vorfußkorrektur in einer Sitzung) durchgeführt werden, um den Patienten unnötig viele Gänge in den OP bzw. Zeit im Krankenhaus zu ersparen.

Kontraindikationen für operative Eingriffe bestehen bei akuten Infekten oder Ulzerationen, fortgeschrittenen Durchblutungsstörungen, schlechtem Allgemeinzustand bzw. schwerwiegenden Komorbiditäten.

Aufklärung

In der Regel handelt es sich in der rheumaorthopädischen Fußchirurgie um elektive Eingriffe, die entsprechend geplant bzw. vorbereitet werden können. Da nicht jeder mögliche operative Eingriff auch gewinnbringend für den Patienten ist, sollte rechtzeitig eine ausführliche Aufklärung des Patienten unter Berücksichtigung angrenzender Deformitäten oder Funktionseinschränkungen erfolgen. Das perioperative Management (z.B. Pausieren von Medikamenten), Erfolgsaussichten, Komplikationsraten sowie die Nachbehandlung nach dem operativen Eingriff, aber auch Behandlungsalternativen werden besprochen.

Operative Therapieformen

Die Operationsplanung richtet sich nach dem klinischen, sonographischen und radiologischen Befund und erfolgt stadienabhängig.

In den Larsen-Stadien 0-2/3 mit noch erhaltenen Gelenkflächen werden in der Regel Synovektomien vorgenommen. Wenn möglich werden diese arthroskopisch durchgeführt und können dann zur Rezidivprophylaxe mit einer Radiosynoviorthese 6 Wochen postoperativ kombiniert werden. In den Larsen-Stadien 4 und 5 bestehen fortgeschrittene Gelenkdestruktionen, die eine gelenkerhaltende Therapie nicht mehr erlauben und entweder eine Prothesenversorgung, Arthrodese oder Resektionsarthroplastik erforderlich machen.

Bei mehreren anstehenden Eingriffen, die nicht miteinander kombiniert werden können, gilt bei gleichwertiger Operationsnotwendigkeit der rheumaorthopädische Grundsatz „ proximale vor distalen Gelenken“ zu behandeln (z.B. Rückfuß vor Vorfuß).

Exemplarisch möchten wir im Folgenden einige rheumaorthopädische Eingriffe herausgreifen und ausführlich darstellen.

Endoprothesenversorgung des oberen Sprunggelenkes

Bei Destruktion der Gelenkflächen (LDE-Stadien 4 und 5) kommen am oberen Sprunggelenk (OSG) die endoprothetische Versorgung oder die Arthrodese (Cave: erhöhte Pseudarthrosenrate bei RA!) in Betracht. Die erfolgreiche Implantation einer Endoprothese am OSG setzt einen stabilen Bandapparat, eine gerade oder korrigierbare Bein- bzw. Rückfußachse, eine ausreichende Knochenqualität und eine nur moderate körperliche Belastung voraus, ansonsten sollte der Arthrodese der Vorzug gegeben werden. Bei korrekter Indikation weisen die beiden Verfahren hinsichtlich AOFAS (American Orthopedic Foot and Ankle Society) hindfoot score, Patientenzufriedenheit und Revisionsraten ähnliche Ergebnisse auf 4. Die 10-Jahres-Überlebensrate liegt für die modernen Sprunggelenksimplantate der zweiten Generation bei 70-90%. Die Prothesenversorgung ermöglicht Rheumapatienten mit einer im Durchschnitt niedrigeren physischen Belastung eine 8-10 jährige schmerzfreie Funktion 5.

Die meisten aktuell auf dem Markt befindlichen OSG-Endoprothesen werden über einen ventralen Zugang implantiert. Der Patient wird hierfür auf dem Rücken gelagert. Die Aussenrotation des Beines wird durch die Unterlage eines Kissens unter das Gesäß bzw. eine entsprechende Seitenstütze am Oberschenkel vermieden. Zur besseren Übersicht empfehlen wir die Anlage einer Oberschenkelblutsperre. 30-45 Minuten präoperativ sollte eine Antibiotikaprophylaxe („single shot“) gegeben werden.

Die Hautinzision erfolgt ventral in Längsrichtung mittig über dem OSG (12-15 cm) bis zum Talonavikulargelenk reichend. Dann erfolgt die Darstellung des Retinakulum extensorum. Hierbei ist der mediale Ast des N. peroneus superficialis zu schonen. Eröffnung des Retinakulum extensorum lateral der Tibialis anterior-Sehne. Die Sehne wird nach medial retrahiert und die distale Tibia dargestellt. Durch Einsatz von 2 Langenbeck-Haken werden die Weichteile weggehalten. Das Gefäßnervenbündel mit A. dorsalis pedis und N. peroneus profundus liegt dann lateral. Darstellen der Gelenkkapsel und Eröffnen derselben. Dann werden schrittweise mit den entsprechenden Resektionslehren unter Schonung der Malleolen die tibialen und talaren Resektionen durchgeführt. Mit Probeimplantaten werden dann Prothesengrößen und Inlayhöhe endgültig festgelegt. Zur Verankerung des heutzutage in der Regel zementfrei zu implantierenden Prothesen müssen dann je nach Prothesenmodell Verankerungsfinnen oder -zapfen mit entsprechenden Schablonen gebohrt werden. Nach gründlicher Spülung werden die Originalimplantate eingebracht. Nochmalige Spülung. Einlage einer Redondrainage. Rekonstruktion des Retinakulum extensorum. Subkutan- und Hautnaht in Einzelknopftechnik. Nach sterilem Wund- und Kompressionsverband und einer radiologischen Kontrolle wird eine vorgefertigte dorsale Unterschenkelgipsschiene angelegt.

Postoperativ kann der Patient für insgesamt 6 Wochen unter Thromboseprophylaxe mit einer Lauforthese mobilisiert werden mit der nach Abschluss der Wundheilung in der Regel voll belastet werden darf. Essentiell ist eine sofortige aktive und passive Physiotherapie für die Bewegung zur Vermeidung von Adhäsionen.

Planung einer Prothesenversorgung am oberen Sprunggelenk.
Abbildung 6

Die häufigsten Komplikationen sind Wundheilungsstörungen und Infektionen. Zur Risikoreduktion empfiehlt sich das Pausieren von Medikamenten wie z.B. Leflunomid, Azathioprin oder Biologika. Infektherde wie z.B. eine Cystitis oder ein schlechter Zahnstatus sollten präoperativ saniert werden. Glukokortikoide sollten im Vorfeld der Operation auf eine möglichst geringe Dosis reduziert werden.

Weitere Komplikationen sind Thrombose, Embolie (Thromboseprophylaxe!), Prothesenlockerung, Bewegungseinschränkung durch z.B. Adhäsionen, Bandinstabilität, Frakturen (besonders gefährdet ist der Malleolus medialis!) und natürlich Gefäß-, Nerven- und Sehnenverletzungen.

Tenosynovektomie

Tendosynovialitis um Bereich des Tarsaltunnels.
Abbildung 7

Nicht selten bestehen beim "Rheumatiker" begleitend zu einer Artikulosynovialitis oder isoliert Tenosynovialitiden. Am Fuß sind am häufigsten die Peronealsehnen, die Tibialis posterior-Sehne und die Achillessehne betroffen. Nach Versagen eines konservativen Therapieversuches einschließlich peritendinealer Cortisoninfiltration, sollten diese offen tenosynovektomiert werden, da es sonst durch Durchsetzung der Sehne mit dem entzündlichen Gewebe zu Sehnenrupturen kommen kann. Eine direkte Naht der Sehnen ist dann aufgrund des langstreckigen Befalls meist nicht mehr möglich und aufwendige Rekonstruktionen werden notwendig.

Der Patient wird je nach Lokalisation auf dem Rücken oder auch auf dem Bauch gelagert. Eine Oberschenkelblutsperre ist zur besseren Übersicht ratsam.

Zur Tenosynovektomie wird die Hautinzision in Längsrichtung über der betroffenen Sehne durchgeführt. Unter Schonung der Gefäß- und Nervenstrukturen dann die Sehnenscheide dargestellt und eröffnet. Das entzündliche Gewebe muss, um Rezidive zu vermeiden, sorgfältig entfernt werden. Anschließend erfolgen eine ausgiebige Spülung und der schichtweise Wundverschluss sowie die Anlage eines Wund- und Kompressionsverbandes.

Die Nachbehandlung kann in der Regel frühfunktionell erfolgen.

Neben den allgemeinen Komplikationen (s.o.) sind natürlich die Sehnenverletzung und die Rezidivgefahr, insbesondere bei inkompletter Tenosynovektomie, zu nennen.

Endoprothesenversorgung des Großzehengrundgelenks mit einem Swanson-Silastik-Spacer

Die Indikation zur endoprothetischen Versorgung des Großzehengrundgelenkes besteht bei fortgeschritten destruiertem Gelenk entsprechend einem LDE-Stadium 4 oder 5. Die Silikonendoprothesen wurden in den 60iger Jahren von Swanson entwickelt, sind umfassend nachuntersucht worden und stellen auch heute noch den „Goldstandard“ bei der endoprothetischen Versorgung des Grosszehengrundgelenkes (zumindest bei RA) dar. Meist wird langfristig Schmerzfreiheit und eine gute Beweglichkeit mit entsprechendem Abrollverhalten beim Gehen erreicht 678.

Bei einem Intermetatarsalwinkel I/II > 15° sollte dieser durch eine (basisnahe) Osteotomie des Metatarsale I korrigiert werden. Die Alternative ist die Arthrodese, der vor allem bei jüngeren Patienten mit hohem Mobilitätsanspruch der Vorzug gegeben werden sollte. Die früher häufig durchgeführten Resektionsarthroplastiken am MTP D 1 (nach Brandes oder Hueter-Mayo) sind nur noch in Ausnahmefällen indiziert, da durch die starke Verkürzung des 1. Strahls Transfermetatarsalgien auftreten.

Der Patient wird auf dem Rücken gelagert. Anlage einer Oberschenkelblutsperre. 30-45 Minuten präoperativ sollte eine Antibiotikaprophylaxe („single shot“) gegeben werden.

Die Hautinzision erfolgt dorsomedial. Die Gelenkkapsel wird dann in Längsrichtung eröffnet. Dann erfolgt ein Kapselrelease und entweder transartikulär oder über eine Zweite Hautinzision interdigital D1/2 ein Lateralrelease mit Tenotomie der Sehne des M. adductor hallucis longus. Anschliessend wird die Pseudoexostose mit der oszillierenden Säge abgetragen. Unter starker Flexion des Gelenkes wird dann das Metatarsalköpfchen sparsam in 10° Valgusposition und 10° Dosalextension zur Längsachse abgetragen. Dann wird der Markraum mit einem Pfriem eröffnet und mit den entsprechenden Raspeln in aufsteigender Größe aufgeraspelt. Die Grundgliedbasis wird ebenfalls sparsam senkrecht zur Längsachse reseziert und der Markraum des Grundgliedes mit dem Pfriem eröffnet und dann mit den dafür vorgesehenen Raspeln aufsteigender Größe aufgeraspelt. Mit Probeimplantaten kann dann eine Probeimplantation der Prothese erfolgen und eine abschließende Größenbestimmung vorgenommen werden. Nach ausgiebiger Spülung wird dann das Originalimplantat eingebracht. Verschluss der Gelenkkapsel sowie Hautnaht in Einzelknopftechnik. Steriler Wund- und Kompressionsverband. Zum Abschluss sollte eine radiologische Kontrolle erfolgen.

Einbau eines Swanson Spacers
Abbildung 8

Die Nachbehandlung erfolgt unter Vollbelastung im Verbandsschuh für 6 Wochen. Neben den o.g. allgemeinen Komplikationen treten Prothesenbrüche, Silikonabrieb mit Reizsynovialitiden und Osteolysen, Fehlstellungen der Großzehe, Transfermetatarsalgien und Ankylosierungen auf.

Hoffmann-Köpfchenresektion

Bei rheumatischer Destruktion der Mittelfußköpfchen (LDE –Stadium 4 und 5) mit Metatarsalgie und pathologischer plantarer Beschwielung sowie kontrakten Krallenzehen, die trotz einer entsprechenden Schuh- und Einlagenversorgung zu einer Einschränkung der Gehstrecke und/oder exulzerierenden Clavi, Bursen oder Schwielen geführt haben, besteht die Indikation zur Resektionsarthroplastik der Mittelfußköpfchen nach Hoffmann, die von ihm erstmals 1911 beschrieben wurde 9.

Die Operation erfolgt in Rückenlagerung des Patienten. Anlage einer Oberschenkelblutsperre zur besseren Übersicht. 30-45 Minuten präoperativ sollte eine Antibiotikaprophylaxe („single shot“) gegeben werden.

Die Resektionsarthroplastik der Mittelfußköpfchen 2-5 kann sowohl über einen dorsalen als auch über einen plantaren Zugang durchgeführt werden. Der Zugangsweg scheint nicht entscheidend im Hinblick auf das langfristige Ergebnis und die Komplikationsrate zu sein, so dass die Entscheidung dem Operateur und seinen Erfahrungen überlassen bleibt. Aufgrund der besseren Übersicht über die Längenverhältnisse der Metatarsalia und der Möglichkeit, die Weichteile individuell einzustellen (z.B. Durchführung einer Strecksehnenverlängerung) wählen wir den dorsalen Zugang quer über den MTP-Gelenken 2-5 am dorsum pedis. Dieser Zugang wurde erstmals 1959/1960 von Fowler und Clayton beschrieben 1011.

Dorsaler Zugang zur Resektionsarthroplastik der Mittelfußköpfchen 2-5.
Abbildung 9

Nach der Hautinzision erfolgt die Darstellung der Strecksehnen. Die kurzen Strecksehnen werden tenotomiert. Dann wird die Gelenkkapsel des MTP-Gelenkes dorsal eröffnet und das Gelenk gründlich synovektomiert. Der kontrakte Seitenbandapparat wird scharf abgelöst. Das Metatarsaleköpfchen wird nun dargestellt und mit einer oszillierenden Säge möglichst sparsam von distal-dorsal nach proximal-plantar reseziert. Wichtig ist hierbei ein harmonisches Alignement der Metatarsalia zu erreichen. In Neutralstellung des oberen Sprunggelenkes wird nun getestet, ob sich die MTP-Gelenke neutral einstellen, sonst muss evtl. eine z-förmige Verlängerung der langen Strecksehnen angeschlossen werden, bei kontrakten PIP-Gelenken möglicherweise auch eine Arthrodese der PIP-Gelenke mit temporärer K-Drahtschienung.

Ausgiebige Spülung. Der Hautverschluss erfolgt mit Einzelknopfnähten. Der Verband erfolgt mit braunolgetränkten Kompressen, mit denen die Zehen in Plantarflexion gezügelt werden können. Zur Entspannung der Wunde legen wir bis zum Abschluss der Wundheilung eine dorsale Unterschenkelgipsschiene in Neutralstellung des oberen Sprunggelenkes an. Postoperativ sollte eine radiologische Kontrolle erfolgen.

Die Mobilisierung erfolgt im Verbands- oder Vorfußentlastungsschuh (in Abhängigkeit vom operativen Vorgehen an der Großzehe) unter Vollbelastung.

Neben den o.g. allgemeinen Komplikationen treten erneute Fehlstellungen der Zehen, Metatarsalgien durch Bildung von plantaren Spikulae an den Resektionsflächen und Bewegungseinschränkung der MTP-Gelenke auf.

Weitere Literatur

  • Sabo D(ed). Vorfußchirurgie 1. Auflage. Berlin, Heidelberg: Springer-Verlag, 2010
Loading…
Loading the web debug toolbar…
Attempt #