Einleitung

Für eine normale Funktion des Vorfußes und der Zehen sind erforderlich:

  • Beweglichkeit und Stabilität der Gelenke an Fuß und Zehen
  • Integrität der plantaren Verspannung durch die plantare Platte und die tiefen intermetatarsalen Ligamente 1
  • Korrekte Funktion und Zugrichtung der beteiligten Muskeln und Sehnen (Stainsby 1994)

Die distalen Anteile der Plantaraponeurose sind mit den plantaren Platten der Metatarsophalangealgelenke verbunden (MTP-Gelenke), die wiederum an den Basen der zugehörigen Phalangen inserieren. Die vier tiefen transversalen Ligamente verbinden die plantaren Kapseln der Metatarsophalangealgelenke als stabile Verstrebung auf dem Level der Mittelfußköpfe. Eine weitere Stabilisierung findet über die Kollateralbänder der Metatarsophalangealgelenke statt. Eine funktionierende plantare Platte ist daher integraler Bestandteil einer stabilen Längs- und Querverspannung des Fußes.  
Die Funktion dieser Strukturen ist essentiell für eine normale Zehenfunktion und eine regelhafte Fußstellung. Unterstützt wird die Verspannung des Fußes durch den Windlass-Mechanismus der plantaren Aponeurose 23.
Bei einer rheumatoiden Arthritis kommt es oft zu einer schweren Destruktion der Metatarsophalangealgelenke und zu einer Ruptur der plantaren Verspannungssysteme. Die Dehnung der medialen Kapsel am Großzehengrundgelenk führt zu einer Hallux valgus Deformität mit medialer und dorsaler Dislokation des Metatarsale-I-Kopfes; die Überdehnung der lateralen Kapsel am Metatarsophalangeale-V-Gelenk führt analog zu einer Digitus quintus varus Fehlstellung. Die Schwächung der plantaren Platte an den Zehengrundgelenken begünstigt eine Protrusion der Metatarsaleköpfe durch die plantare Gelenkkapsel. Das Zehengrundglied wird nicht mehr ausreichend stabilisiert. Der reflektorische Versuch die insuffiziente plantare Platte durch einen erhöhten Tonus der Flexoren zu kompensieren führt dann zur Entwicklung einer klassischen Krallenzehendeformität.
Zusätzlich kommt es zu einer Distalisierung und Dorsalisierung des plantaren Fettpolsters, wodurch die Mittelfußköpfe direkt subkutan zu liegen kommen.
Im folgenden Kapitel findet sich eine Zusammenfassung der Funktionsweise der wichtigsten anatomischen Strukturen des Fußes, insbesondere der plantaren Platte und der Probleme die sich durch eine Destruktion dieser Strukturen ergeben.
Die Operation nach Stainsby beschreibt ein Verfahren zur Rekonstruktion der plantaren Platte und des plantaren Fettpolsters mit dem Ziel die plantare Verspannung des Fußes wieder herzustellen. Die Zehenstellung lässt sich mit diesem Verfahren gut korrigieren 4. Einschränkungen ergeben sich aufgrund des nicht rekonstruierbaren Windlass-Mechanismus. Dies hat zur Folge, dass die Zehen schwach und ohne mechanische Funktion bleiben. Die Stärken des Verfahrens liegen in der zuverlässigen Schmerzreduktion bei geringer Rezidivneigung. Die meisten Patienten kommen nach Ausheilen des Eingriffs mit Konfektionsschuhwerk zurecht (Stainsby 1990, Briggs 2001).

Funktionelle Anatomie des Vorfußes

<div style="text-align:left">(a) Die fünf bogenförmigen Strahlen bilden die Basisstruktur des Fußes. Die einzelnen Mittelfußknochen mit den dazugehörigen Ossa cuneiformia, dem Os naviculare und dem Os cuboideum setzen sich fort zu Calcaneus und Talus. All
Abbildung 1

Hicks betrachtet in seinen biomechanischen Arbeiten den Fuß als die Summe aus fünf isolierten, bogenförmig gespannten Strahlen 23(Abb. 1). Jeder dieser Strahlen besteht dabei aus dem Mittelfußknochen, dem dazugehörigen Fußwurzelknochen und dem Calcaneus bzw. dem Talus. Die Verspannung erfolgt über die kurzen und langen plantaren Bänder sowie das Ligamentum calcaneonaviculare (Spring-Ligament). Alle fünf flexiblen Strahlen werden durch die Plantaraponeurose unterstützt die proximal plantar an der Tuberositas des Calcaneus inseriert und distal in die proximalen Phalangen der fünf Zehen ausläuft.
In Höhe des Metatarsalehalses spaltet sich die Plantaraponeurose in einen medialen und lateralen Zügel. Diese umschließen die Flexorensehnen, um dann in die plantare Kapsel des Metatarsophalangealgelenks auszulaufen. Durch die Verspannung mit der plantaren Gelenkkapsel entsteht die Verbindung der Plantaraponeurose zur korrespondierenden Zehe. Dieses longitudinale Verspannungssystem findet sich in identischer Form an allen fünf Strahlen des Fußes.


Die fünf Strahlen des Fußes werden über die tiefen transversalen Bänder in Höhe der Zehengrundgelenke verbunden. Die tiefen intermetatarsalen Ligamente bilden dabei eine sehr stabile Querverstrebung zwischen den einzelnen Strahlen und kontrollieren die Aufspreizung des Vorfußes  unter Belastung (Abb. 2 und 3).
Hicks 2 konnte in seinen Arbeiten nachweisen, dass die plantare Platte nicht nur für die Längsverspannung der einzelnen Zehenstrahlen von entscheidender Bedeutung ist (oft auch als Längsgewölbe bezeichnet), sondern auch bei der Funktion der Zehen eine wichtige Rolle spielt (Abb. 3). Die Anspannung der Plantaraponeurose unter Belastung führt neben der Stabilisierung des Längsbogens der einzelnen Strahlen zu einer Plantarflexion der Zehen. Diese Funktion der Plantaraponeurose wird auch als “Reverser Windlass-Mechanismus” bezeichnet und bei der klinischen Untersuchung des Fußes im „Push up Test” überprüft.
Die Plantaraponeurose besteht aus zwei Gewebeschichten. In Höhe des Metatarsaleschafts teilt sich die Plantaraponeurose in fünf kräftige Zügel, die durch Fettkörper separiert werden (Abb. 4). Weiter distal, in Höhe des Metatarsalehalses trennt sich dann die oberflächliche von der tiefen Schicht.

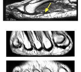
MRT Aufnahmen zeigen das plantare Fettpolster zwischen den beiden Schichten der Plantaraponeurose.
<div style="text-align:left">(a) In der sagitalen Schnittführung des MRTs ist erkennbar, wie die oberflächliche und die tiefe Schicht der Plantaraponeurose
Abbildung 5

Die tiefen Ausläufer spalten sich dann weiter in einen medialen und lateralen Zügel. Diese und ziehen dorsal um die Sehnenscheide der Flexoren mit Ausläufern in die plantare Platte und in die tiefen intermetatarsalen Ligamente. In diesem Bereich vereinigen sich die proximalen Ausläufer des plantaren Fettpolsters zu einer einheitlichen Struktur, die den Raum plantar der Metatarsophalangealgelenke und Grundphalangen über die gesamte Breite des Vorfußes ausfüllt. Zur Fußsohle hin begrenzt die der Haut aufliegende, oberflächliche Schicht der Plantaraponeurose das plantare Fettpolster. Distal davon zieht das Fettpolster nach dorsal und ist an den Grundphalangen, den Sehnenscheiden der Flexoren und den dazwischen liegenden Bandstrukturen fixiert (Abb. 5).

MRT Aufnahmen und Skizzen zur Demonstration des Effekts der Belastung auf den Vorfuß und das plantare Fettpolster. Dargestellt sind die verschiedenen Phasen des Gangzyklus. 
<div style="text-align:left">1. Beim Fersenaufsatz befinden sich die Zehengrundge
Abbildung 6

Die aus dem Reversen Windlass Mechanismus resultierende plantar flektierende Kraft ist direkt proportional zur Lastaufnahme des korrespondierenden Strahls 3.  Der Aufbau des plantaren Fettpolsters aus vielen septierten Fettzellen unterstützt die Druckverteilung unter den Metatarsaleköpfen auf ein relativ großes Areal des plantaren Fettpolsters. Der reverese Windlass Mechanismus führt dazu, dass auch proximale Anteile der Zehe relevante Anteile der Last aufnehmen (Abb. 6). Bei einem gesunden Fuß wird so sichergestellt, dass das plantare Fettpolster, die Haut und die plantare Platte beim Abrollvorgang ihre Position nicht verändern. Alle diese Mechanismen sind beim Rheumapatienten mehr oder weniger stark zerstört.

Pathomechanik des deformierten Rheumafußes

Die rheumabedingten Destruktionen am Vorfuß führen zu einer Zerstörung der Band- und Kapselstrukturen und damit zu einem Funktionsverlust der plantaren Verstrebung. In der Konsequenz kommt es zu einer progredienten Deformität der Zehen (Abb. 7, 8 und 9). Der Verlust der Querverstrebung begünstigt die Entwicklung eines Spreizfußes mit Hallux valgus und Digitus quintus varus Fehlstellung. Der Ausfall des Reversen Windlass Mechanismus und der Längsverstrebung der Kleinzehen resultiert in Krallenzehenfehlstellungen.

Am ersten Metatarsophalangealgelenk kommt es zu einer Aufdehnung der medialen Kapsel. Durch die Dislokation der Sesambeine wird die plantare Crista des Metatarsale I erodiert, das Sesambeingleitlager flacht sich ab. Strukturen, die normalerweise den Metatarsale I Kopf über den Sesambeinen stabilisieren, werden insuffizient und der Metatarsale-I-Kopf verschiebt sich nach medial. Die mechanische Achse der Plantaraponeurose sowie der Beuge- und der Strecksehne verschiebt sich nach lateral. Die Spannung, welche durch die Belastung des ersten Strahls generiert wird, zieht nun die Großzehe nach lateral, was eine weitere Verschiebung des Metatarsalekopfes nach medial begünstigt, verbunden mit einer weiteren Aufdehnung der medialen Gelenkkapsel. Damit verstärkt sich die Hallux valgus Fehlstellung mit einem zunehmenden Auseinanderweichen von Metatarsale I und II.
Am fünften Strahl kommt es zu einem ähnlichen Prozess. Die Dehnung der lateralen Kapsel des Metatarsophalangeale-V-Gelenks erlaubt eine zunehmende Abspreizung des Metatarsale V vom Metatarsale IV. Die mediale Kapsel des Metatarsopahlangeale-I-Gelenks und die laterale Kapsel des Metatarsophalangeale-V-Gelenks sind jeweils die medialen und lateralen Begrenzungen der plantaren Querverstrebung.

Nach heutigem Verständnis sind mehrere Mechanismen für die Entwicklung von  Kleinzehenfehlstellungen bei rheumatoider Arthritis verantwortlich. Schmerzen unter dem Vorfuß aufgrund der Synovitis führen zu einer Überaktivität der Beuge- und Streckmuskulatur mit dem Ziel durch eine Belastungsreduktion die Schmerzen zu reduzieren. Dies wiederum führt zu einer Dorsalextension der Metatarsophalangealgelenke bei gleichzeitiger Beugung der Mittel- und Endgelenke. Die Synovitis der Metatarsophalangealgelenke wiederum schwächt die plantare Platte, was deren zunehmende Aufdehnung begünstigt. Die fortschreitende Protrusion der Metatarsaleköpfe durch den proximalen Anteil der plantaren Platte erlaubt eine Dislokation der Zehe um den Metatarsalekopf nach dorsal bis hin zur Luxationen der Zehe. Die nach dorsal dislozierten plantaren Platten in Verbindung mit den an beiden Seiten inserierenden tiefen intermetatarsalen Ligamenten drücken die Metatarsaleköpfe weiter nach plantar (in der angloamerikanischen Literatur auch als „Plunger Effekt“ beschrieben, in Analogie zur Saugglocke (engl. plunger), die bei der Abflussreinigung eingesetzt wird (Stainsby 1994)).

Eine weitere deformierende Kraft resultiert aus den distalen Anteilen der plantaren Platte die nach dorsal um den Metatarsalekopf dislozieren (siehe Abb. 7, 8 und 9). Die Anspannung der Plantaraponeurose unter Belastung des Fußes führt zu einer weiteren Dislokation der luxierten proximalen Phalanx nach dorsal. Gleichzeitig wird der Metatarsalekopf nach plantar gedrückt. Ist die Basis der Grundphalanx nach dorsal disloziert, werden die Flexorensehnen um den Metatarsalekopf gespannt was zu einer weiteren Beugung der Zehengelenke führt. Dies wiederum resultiert in einer Anspannung der Extensorensehnen, die dann die Grundphalanx weiter nach dorsal ziehen. In der Summe ergibt sich hieraus die rheumatypische Deformität der Kleinzehen mit Krallenstellung und einer plantaren Prominenz des Metatarsalekopfs bei Luxation des Metatarsophalangealgelenks.

Der Funktionsverlust der plantaren Platte an den Kleinzehen ist umso wahrscheinlicher je stärker die Großzehe deformiert ist. Infolge der ausgefallenen Längsverspannung am ersten Strahl kommt es zu einer Verschiebung der Lastübertragung auf die zentral gelegenen Strahlen. Mit zunehmender Subluxation oder Luxationen der Zehengrundgelenke rutschen die Flexorensehnen nach dorsal und kommen meist lateral der Metatarsaleköpfe zu liegen. Das plantare Fettpolster folgt der Grundphalanx der deformierten Zehe und verschiebt sich nach distal und dorsal, so dass der Metatarsalekopf plantar subkutan zu liegen kommt (Abb. 7 und 8).

Operationstechnik

Die im Folgenden beschriebene Operationstechnik wurde in den siebziger Jahren zur Behandlung des schwer deformierten Rheumafußes entwickelt. Die bis zu diesem Zeitpunkt traditionell angewandten Operationsverfahren bestanden aus einer Resektion des Metatarsalekopfs mit insgesamt enttäuschenden Ergebnissen 5. In dieser Zeit setzte sich auch immer mehr die Erkenntnis durch, dass die Deformität im wesentlichen Folge der rupturierten und nach dorsal dislozierten plantaren Platte war. Das Grundprinzip der Operationstechnik ist die Reposition der plantaren Platte (einschließlich der Sesambeine am ersten Strahl), sowie des plantaren Fettpolsters unter die Köpfe der Metatarsalia. Das Ziel dabei ist die Querverstrebung des Fußes wiederherzustellen und das Aufspreizen des Vorfußes unter Last zu verhindern (Abb. 9).

Korrektur der Großzehe

Die Resektionsarthroplastik ist bei destruiertem Großzehengrundgelenk ein etabliertes Verfahren, die Beweglichkeit am Großzehengrundgelenk zu erhalten und eine gleichmäßige Lastübertragung auch in der Abstoßphase des Gangzyklus zu ermöglichen. Über eine dorsomediale Längsinzision unter Schutz des dorsomedialen Hautastes lässt sich das Großzehengrundgelenk gut erreichen. Auch die Kapsel des Metatarsophalangealgelenks und das Periost der Grundphalanx werden längs inzidiert. Der dorsale Hautlappen wird zurückgeschlagen und die Extensor hallucis longus Sehne wird dargestellt. Die Extensor hallucis longus Sehne wird durch eine Z-Plastik verlängert, die Sehne des Extensor hallucis brevis wird durchtrennt. Die Erfahrung hat gezeigt, dass ein Belassen der Extensorensehnen in ihrer ursprünglichen Länge mit einem hohen Risiko einer postoperativen Dorsalextensionsfehlstellung der Großzehe verbunden ist.
Anschließend werden Kapsel und Periost dorsomedial am Metatarsale I Kopf abpräpariert und die mediale Exostose sowie gegebenenfalls dorsale Osteophyten dargestellt. Das Periost um den proximalen Schaft der Grundphalanx wird anschließend inzidiert und die Kapselstrukturen werden vorsichtig von der Basis der Grundphalanx abgelöst. So entsteht eine Periost-Kapsel-Schlinge. Die Kontinuität der plantaren Platte einschließlich der Sesambeine mit dem plantaren Periost der Grundphalanx ist dabei zu erhalten. 25-30 % der Grundphalanx werden reseziert und die Schnittfläche geglättet, wobei im spannungsfreien Zustand eine Lücke von mindestens 5 mm verbleiben sollte.

Anschließend wird die mediale Exostose am Metatarsalekopf abgetragen, ebenso dorsale Randosteophyten. Der laterale Rand des plantaren Anteils der Gelenkfläche des Metatarsalekopfes wird auf mögliche plantar-laterale Osteophyten untersucht, die sich im Randbereich des lateralen Sesambeingleitlagers gebildet haben können. Plantar-laterale Osteophyten entstehen immer wieder im Sinne einer „Abstützungsreaktion zum lateralen Sesambein“ wenn der Metatarsalekopf nach medial disloziert. Die Abtragung dieser Osteophyten erleichtert erheblich die anschließende exakte Reposition des Metatarsalekopfs über die Sesambeine wenn die mediale Kapsel gerafft und verschlossen wird (siehe Abb. 9). Ein laterales Kapselrelease mit Durchtrennung der Querverstrebung zwischen den ersten beiden Strahlen sollte vermieden werden. Da der Windlass Mechanismus der Plantaraponeurose nicht rekonstruiert werden kann, würde ein laterales Release eine zusätzliche Schwächung der verbliebenen Stabilisierungssysteme des ersten Strahls zur Folge haben. Der Wundverschluss am ersten Strahl erfolgt erst nachdem auch die Korrektur der Kleinzehen erfolgt ist. Erst nach Korrektur der Kleinzehen kann die korrekte Vorspannung der Querverstrebung am Vorfuß abgeschätzt werden.

Korrektur der Kleinzehen

Dorsal der Metatarsophalangealgelenke der Kleinzehen werden parallel verlaufende, nach medial abgewinkelte Zugänge angelegt (Abb. 10). Gerade Inzisionen über den Metatarsophalangealgelenken der Kleinzehen tendieren zu narbigen Kontrakturen. Die von den plastischen Chirurgen übernommenen abgewinkelten Zugänge helfen diese Komplikation zuverlässig zu vermeiden.
Jeder Zugang beginnt an der dorsolateralen Seite des proximalen Interphalangealgelenks und wird nach proximal über den medialen Aspekt des Metatarsophalangealgelenks fortgesetzt. Anschließend verläuft der Schnitt nach proximal und lateral. Über dem Metatarsophalangealgelenk liegt der Winkel, wobei die Spitze des Winkels nach medial zeigt. Die Zugänge sollten in gleichmäßigen Abständen angelegt werden. Es hat sich bewährt die Schnittführung zunächst mit einem Stift einzuzeichnen. Es hat sich bewährt die Schnitte zunächst nur distal anzulegen und im Verlauf der Operation nach proximal zu erweitern. Die im Weiteren dargestellten Operationsschritte werden in identischer Form an allen Kleinzehen durchgeführt (Abb. 11 und 12).

  1. Die Korrektur beginnt an der zweiten Zehe. Die Haut wird in ihrer vollen Dicke durchtrennt und anschließend unter Mitnahme des Subkutangewebes bis zum lateralen Rand der Extensorsehne abpräpariert. Eine weitere Freilegung sollte vermieden werden um die Durchblutung der Haut zwischen den Zugängen der Strahlen nicht unnötig zu beeinträchtigen. Die Extensorenssehnen werden proximal durchtrennt und dann nach distal ungeschlagen bis zum distalen Drittel der Grundphalanx (Abb. 11). Anschließend wird das Periost der Grundphalanx longitudinal inzidiert. Sobald kleine Hohmannhebel unter das Periost geschoben werden können, wird der Knochen durchtrennt. Hierbei ist besonders darauf zu achten, die Beugesehnensscheide und die Beugesehnen nicht zu verletzen. Anschließend wird die Knochenoberfläche geglättet. Die Resektion des Knochens erfolgt so weit distal, dass eine kontrakte Deformität des proximalen Interphalangealgelenks ignoriert werden kann. Der Schaft der proximalen Phalanx und die Basis der Zehe werden vorsichtig entfernt. Die Präparation erfolgt dabei hart am Knochen, so dass die Beugesehnenscheide, das darunter liegende plantare Fettpolster und die tiefen intermetatarsalen Bänder nicht geschädigt werden. Dieses Vorgehen wird an allen Kleinzehen schrittweise von medial nach lateral wiederholt. Eine weniger radikale Resektion der proximalen Phalanx hat sich bei Patienten bewährt, die nur eine geringgradige Deformität und Weichteilkontraktur der Metatarsophalangealgelenke und proximalen Interphalangealgelenke aufweisen. Allerdings werden bei weniger ausgedehnter Resektion Restbeschwerden oder wieder neu auftretende Zehendeformitäten etwas häufiger beobachtet.
  2. Beginnend an der zweiten Zehe wird die rupturierte plantare Platte aufgesucht. Die nach dorsal dislozierte, plantare Platte wird nun sequenziell wieder unter die Metatarsaleköpfe reponiert (Abb. 12). Ist die plantare Platte mit den Metatarsaleköpfen verklebt, kann diese durch stumpfe Präparation mit der Schere gelöst werden. Die Seitenbänder werden nicht durchtrennt. Anschließend wird ein kleines Elevatorium zwischen die plantare Platte und den Metatarsalekopf geschoben. Um Verletzungen des Gefäß-Nerven-Bündels zu vermeiden und die Collateralbänder nicht zu schädigen sollte sich das Elevatorium exakt in der Mitte des Metatarsalekopfs befinden. Anschließend wird das Elevatorium vorsichtig nach proximal geschoben, um die Verklebungen der plantaren Platte zu lösen. Noch vorhandene Verklebungen in der plantaren Platte sind ein häufiges Repositionshindernis bei dem Versuch die plantare Platte in ihre anatomische Position zu bringen. Beim Vorschieben des Elevatoriums verspürt man zunächst einen Widerstand. Ist dieser Widerstand überwunden, ist ein weiteres Vorschieben des Elevatoriums nicht notwendig (Abb. 12d). Diese Prozedur wird auch an den anderen Kleinzehen schrittweise von medial nach lateral wiederholt.
    Nun sollte überprüft werden, ob sich die plantare Platte der Kleinzehen ausreichend unter die Metatarsaleköpfe reponieren lässt und hierdurch das plantare Fettpolster ebenfalls plantar unter den Mittelfußköpfen zu liegen kommt. Das Alignement der Mittelfußköpfe wird kontrolliert, um sicherzustellen, dass diese alle in einer Ebene liegen. Dies ist eine wesentliche Voraussetzung für einen plantigraden Auftritt. Selten besteht die Indikation für korrigierende Schaftosteotomien an einzelnen Metatarsalia. Anschließend wird die Position der Beugesehnen untersucht. Verbleibt eine Sehne in Subluxationsstellung medial oder lateral des Metatarsalekopfs, werden Verklebungen solange gelöst bis eine vollständige Reposition der Sehne nach zentral möglich ist.
  3. Die Kleinzehen werden nun durch intramedulläre K-Drähte (1,4 mm) stabilisiert die bis in die Metatarsaleköpfe vorgebohrt werden. Es hat sich bewährt, an der zweiten Zehe zu beginnen. Ist der zweite Strahl exakt positioniert werden die weiteren Kleinzehen schrittweise ausgerichtet.
  4. Der distale Stumpf der durchtrennten Extensorensehnen wird nun in die Spalte zwischen dem Metatarsalekopf und dem verbliebenen distalen Anteil der proximalen Phalanx gezogen und mit der Beugesehne locker vernäht (Abb. 12f). Ziel dieser Maßnahme ist es, zu verhindern, dass die Extensorensehnen wieder Kontakt zu ihrem proximalen Anteil gewinnen. Weiterhin fungiert die Sehne als fibröser Platzhalter im ehemaligen Gelenkspalt unter der Vorstellung, dass die plantare Platte mit der Sehne verwächst und so die plantare Aponeurose wieder eine Art longitudinale Verspannung des Strahls ermöglicht. Bei ausreichender Länge werden die Extensorensehnen locker um den K-Draht gewickelt bevor sie mit den Beugesehnen vernäht werden.

Wundverschluss

Klinisches Bild eines Fußes zehn Tage postoperativ nach Stainsby Prozedur.
Abbildung 13

Die geschwungene Inzision über den Kleinzehen wird zuerst verschlossen. Ziel ist es, durch kleine Stiche, die nur wenig Haut und Unterhautgewebe fassen, die Spannung der Hautbrücken zwischen den Strahlen möglichst gering zu halten (Abb. 13).
Die Schlinge aus Gelenkkapsel und Periost am Metatarsophalangealgelenk der Großzehe wird mit einer doppelreihigen Naht verschlossen. Dabei wird die plantare Kapsel nach medial gezogen mit dem Ziel, den Metatarsalekopf über die Sesambeine zu reponieren und die Querverstrebung mit den plantaren Platten der Kleinzehen wiederherzustellen (Abb. 9).
Anschließend wird ein gepolsterter Verband angelegt, der die Großzehe in leichter Varusposition stabilisiert. Die Zehenspitzen sollten sämtlich sichtbar sein um eine kontinuierliche Kontrolle der Durchblutung zu ermöglichen.

Eröffnen der Blutsperre

Die Blutsperre kann vor dem Hautverschluss geöffnet werden oder erst nach Anlage des Verbands. Erfolgt die Rekapillarisierung der Kleinzehen verzögert, kann oft durch kleine Korrekturen an der Zehenstellung (z.B. ein Schieben der Zehe zum Fuß hin oder durch ein leichtes Biegen des intramedullären Drahtes nach dorsal oder plantar) das Problem behoben werden. Führt diese Maßnahme nicht zum Erfolg, kann der K-Draht entfernt werden, was aber nur in Ausnahmefällen erforderlich ist.

Nachbehandlung

Präoperatives Bild eines schwer deformierten Vorfußes und das Ergebnis ein Jahr postoperativ nach Stainsby Prozedur.
Abbildung 14

Die Enden der K-Drähte werden durch Pflaster oder Kunststoffkappen geschützt. Sobald die Wundsituation dies erlaubt, kann der Fuß über die Ferse belastet werden. Im Sitzen empfiehlt es sich zur Schwellungsprophylaxe den Fuß konsequent hoch zu legen. Die Entfernung des Nahtmaterials wird normalerweise zwischen dem 10. und 14. Tag postoperativ durchgeführt in Verbindung mit einem Verbandswechsel. Die K-Drähte werden zwischen der 3. und  6. postoperativen Woche entfernt. Anschließend wird eine passive Mobilisation der Zehen in Dorsalextension und Plantarflexion begonnen. Ist eine vorzeitige Entfernung der K-Drähte notwendig, sollten die Zehen durch redressierende Verbände für sechs Wochen konsequent in der korrekten Position stabilisiert werden, einschließlich einer leichten Varusstellung der Großzehe.
Eine überschießende plantare Verhornung über den Mittelfußköpfen bildet sich normalerweise spontan zurück, nachdem das plantare Fettpolster reponiert ist. Ein Operationsergebnis 12 Monate postoperativ zeigt Abbildung 14. Die Langzeitergebnisse des Eingriffs sind in verschiedenen Publikationen veröffentlicht (Briggs 2001, Godey 2008).

Zusammenfassung

Bei der als Stainsby Procedure beschriebenen Operationstechnik handelt es sich um eine Salvage-Prozedur für den schwer deformierten Rheumafuß, bei dem eine anatomische Rekonstruktion der plantaren Platte und der Metatarsophalangealgelenke nicht möglich ist. Aber auch in anderen Fällen, in welchen eine anatomische Rekonstruktion des Metatarsophalangealgelenks keine Option darstellt, bietet das Verfahren gute Ergebnisse 6. Eine normale Zehenfunktion kann durch den Eingriff nicht wiederhergestellt werden.
Für schwer deformierte Hammerzehen ohne irreversible Gelenkdestruktion wurden in den letzten Jahren verschiedene andere Techniken entwickelt. Zusätzlich zur Reposition des plantaren Fettpolsters unter den Metatarsalekopf und der anatomischen Rekonstruktion der plantaren Platte haben diese Techniken das Potenzial den Windlass Mechanismus zu rekonstruieren und damit die Zehenfunktion wiederherzustellen 7. Andere beschriebene Verfahren zur Therapie der luxierten Metatarsophalangealgelenke umfassen Verkürzungsosteotomien der Metatarsalia, die Transposition von Anteilen der Flexorensehne auf die Grundphalanx, sowie die Arthrodese des Metatarsophalangealgelenks. Ein Schlüssel zum Erfolg in der Behandlung dieser komplexen Pathologien ist die Abstimmung des Verfahrens mit dem Patienten im Hinblick auf Aktivitätslevel, Alter und Ätiologie der Läsion 8.

Weitere Literatur

  • Stainsby GD, Miller JSG, Harkness CE. The importance of the plantar plates and deep transverse metatarsal ligaments in the normal foot and in abnormalities of the forefoot. J Bone Joint Surg Br 1994;76-B:136.
  • Stainsby GD, Briggs PJ. Modified Keller’s procedure for the lateral four toes. J Bone Joint Surg Br 1990;72-B:530
  • Briggs PJ, Stainsby GD. Metatarsal head preservation in forefoot arthroplasty and the correction of severe claw toe deformity. Foot Ankle Surg 2001;7:93-101.
  • Godey S, Tandon R, Thomas O. Stainsby procedure for Claw Toes – Ten Year Experience
    J Bone Joint Surg Br 2008, 90-B, SUPP II 229,
    http://www.bjjprocs.boneandjoint.org.uk/content/90-B/SUPP_II/231.2
  • Hossain S, Dhukaram V, Sampath J, Barrie JL. Stainsby procedure for non-rheumatoid claw toes. J Bone Joint Surg Br 2004, 86-B, SUPP III 345,
    http://www.bjjprocs.boneandjoint.org.uk/content/86-B/SUPP_III/345.5.abstract
  • Roberts VI, Allen PE. The outcome of Stainsby Procedure in treating the rheumatoid forefoot.
    J Bone Joint Surg Br 2012, 94-B, SUPP XLIII 22,
    http://www.bjjprocs.boneandjoint.org.uk/content/94-B/SUPP_XLIII/22.abstract
Loading…
Loading the web debug toolbar…
Attempt #