Zusammenfassung

Arthrosen am oberen Sprunggelenk sind überwiegend posttraumatischer Genese. Über 60% der Arthrosen sind dabei asymmetrische Arthrosen. Varusarthrosen des oberen Sprunggelenks sind häufiger als Valgusarthrosen. Einfache Achsabweichungen in der Frontalebene müssen von komplexen, mehrdimensionalen Deformitäten unterschieden werden. Der Hauptort der Deformität muss erkannt werden. Typische assoziierte Begleitpathologien der Sehnen und Bänder müssen erkannt und therapiert werden, unter Einbeziehung der mechanischen Achse der gesamten unteren Extremität. Deformierende Kräfte proximal und distal müssen identifiziert werden. Die Achskorrektur supramalleolar stellt die Biomechanik des Sprunggelenks wieder her und kann so das Überleben des vorgeschädigten Gelenks verlängern oder Voraussetzungen zur erfolgreichen Implantation einer achsgerechten Sprunggelenksprothese schaffen.

Epidemiologie und Ätiologie

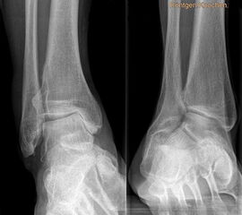
Auf dem linken Bild (a) Varusarthrose des oberen Sprunggelenks mit deutlicher Mehrbelastung der medialen Gelenkanteile. Dort bereits deutlich sichtbarer Knorpelverlust. Rechtes Bild (b) Valgusarthrose des oberen Sprunggelenks. Erhöhte Druckbelastung in de
Abbildung 1

Idiopathische, primäre Arthrosen des oberen Sprunggelenks sind selten. Während insgesamt 15% der Weltbevölkerung an Einschränkungen und Beschwerden durch Arthrose leiden (Felson 1995), liegt nur etwa bei 1% eine symptomatische Arthrose des oberen Sprunggelenks vor (Peyron 1984). Valderrabano et al. 1 untersuchten die Ätiologie von Sprunggelenksarthrosen bei 406 Sprunggelenken mit endgradiger Arthrose. Im Gegensatz zu Cox- und Gonarthrosen waren nur 9% der Arthrosen primärer Genese. 13% waren sekundäre Arthrosen, z.B. durch rheumatoide Arthritis, Hämochromatosen, Hämophilie oder andere zugrundeliegende Erkrankungen verursacht. Am häufigsten waren posttraumatische Arthrosen mit 78%.

Es wurde in der gleichen Arbeit auch das Alignement der arthrotischen Sprunggelenke untersucht. Insgesamt lag nur in 37% der Fälle ein physiologisches Alignement vor, 55% der Gelenke waren varisch eingestellt, 8% valgisch.

Symptomatik

Patienten mit Arthrose des Sprunggelenkes haben meist typische Beschwerden eines Gelenkverschleißes: belastungsabhängige Schmerzen, limitierte Gehstrecke, verminderte Beweglichkeit, Anlaufschmerz und Schwellneigung. Manche Patienten leiden auch an Bandinstabilitäten. Begleitende Pathologien des Sprunggelenks und Rückfußes können zusätzliche Beschwerden verursachen.

Diagnostisches Vorgehen

Basis jeder Therapieplanung ist die ausführliche klinische Untersuchung. Dabei sollte immer die Gesamtbeinachse mit einbezogen werden. Eventuell vorhandene Achsabweichungen im Bereich des Kniegelenks sind dabei besonders relevant. Müßten sie im weiteren Verlauf ebenfalls korrigiert werden, würden sich dabei Ausrichtung von OSG und Fuß wieder ändern. Daher sollten Korrekturen in der Regel von proximal nach distal durchgeführt werden 234. Auch Fehlstellungen des Rück- und Vorfußes müssen miterfasst werden. Die Beweglichkeit des oberen Sprunggelenks, des unteren Sprunggelenks und des Mittelfußes wird untersucht. Rigide Deformitäten müssen von flexiblen unterschieden werden. Dabei ist der Coleman Block Test hilfreich 5.

Da bei asymmetrischen Arthrosen häufig neben der supramalleolaren Umstellung zusätzliche Korrekturen über separate Hautschnitte notwendig sind, sollten die periphere Durchblutung und der Zustand der Weichteile präoperativ sorgfältig überprüft werden, auch im Hinblick auf vorbestehende Narben 6. Es müssen neben knöchernen Fehlstellungen auch Sehnen und Bänder betreffende Dysbalancen erkannt und bei der Korrektur adressiert werden 6.
Ort und Ausmaß der Deformität werden nach dem CORA-Prinzip (Center of Rotation and Angulation) bestimmt. Dabei müssen Fehlstellungen in jeder Ebene in die Planung mit einbezogen und fallweise mitkorrigiert werden 4. Es ist essentiell isolierte Achsabweichungen in der Frontalebene von komplexen, mehrdimensionalen Deformitäten, die den gesamten Fuß miteinbeziehen, abzugrenzen 4. Es müssen neben den eigentlichen knöchernen Fehlstellungen auch Dysbalancen von Sehnen und Bändern erkannt und bei der Korrektur adressiert werden. Die Deformität muss in ihrer Gesamtheit verstanden werden (Myerson 2010).
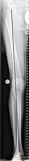
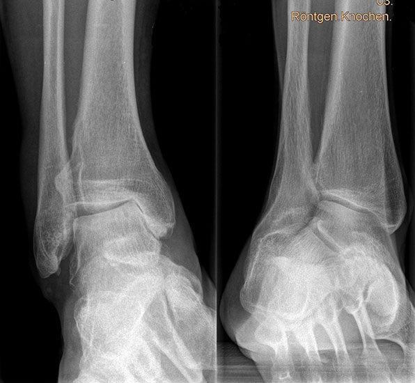
Die Standardröntgendiagnostik bei Fußfehlstellungen und asymmetrischen Arthrosen besteht in stehenden Aufnahmen des Fußes in 2 Ebenen (dorsoplantar und lateral), sowie einer stehenden ap Aufnahme des Sprunggelenks und eine „hindfoot alignment view“ nach Saltzman, mit der die inframalleoläre Rückfußachse beurteilt werden kann 7. Ganzbeinstandaufnahmen sind essentiell, um die mechanische Achse der gesamten unteren Extremität zu analysieren. Zur genauen Analyse des Knorpelzustands bietet sich die Kernspintomographie an. Für spezielle Indikationen steht das SPECT-CT zur Verfügung.
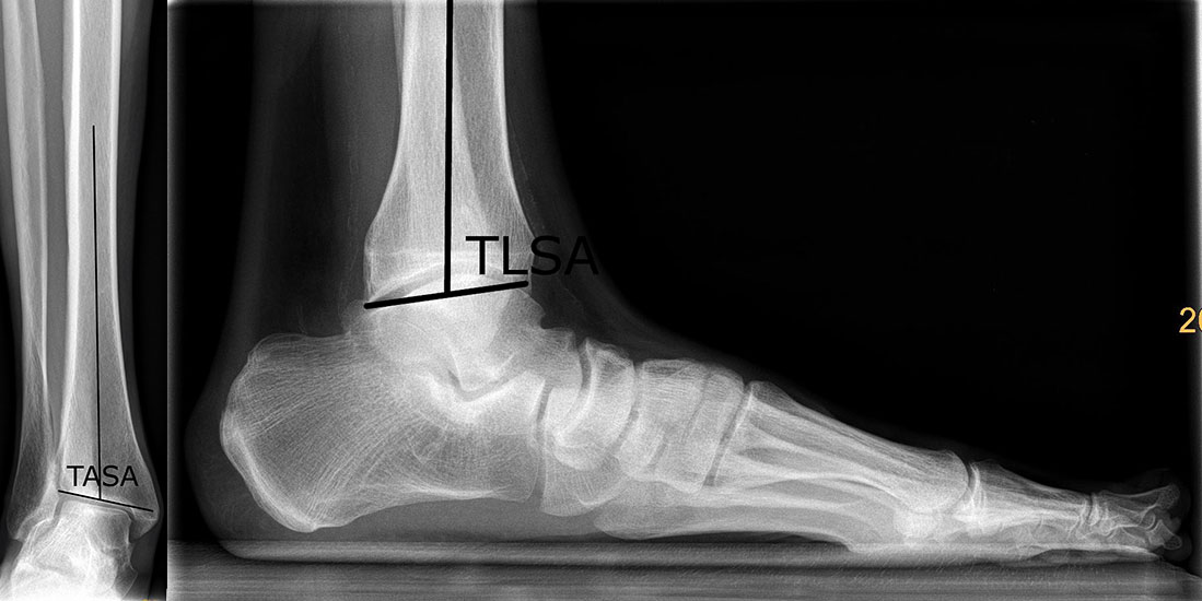
In der Standardröntgendiagnostik wird das Alignement unter Zuhilfenahme von 2 Winkeln bestimmt 3 (Abbildung 2):

  • TASA (tibial anterior surface angle) - Winkel zwischen der Tibiaachse und der tibialen Gelenklinie im OSG ap Röntgenbild des oberen Sprunggelenks. Der Normalwert liegt bei 91-93° (32).
  • TLSA (tibial lateral surface angle) - Winkel zwischen der Tibiaachse und der tibialen Gelenkfläche im OSG im seitlichen Röntgenbild oberes Sprunggelenk. Hier liegt der Normwert bei 81° +- 5°8.
Bestimmung des supramalleolaren Alignements: TASA (a) und des TLSA (b)
Abbildung 2

Bei Deformitäten mit einer Verkippung des Talus in der Gelenkgabel ist es obligat neben dem TASA und TLSA auch den Tilt-Winkel zu bestimmen 9.
Der Tilt Winkel ist definiert als der Winkel zwischen der distalen Gelenkfläche der Tibia und der Gelenkfläche des Talus 10. Tilt-Winkel bis 5° erlauben gute Resultate mit alleiniger Korrektur des knöchernen Alignments. Liegt der Tiltwinkel über 10° ist ein normaler Gelenkspalt rein über knöcherne Korrekturen nicht mehr zu erreichen 10. Lee und Mitarbeiten fanden 7,3° präoperativen Tilt als Grenzwert, um einen hohen postoperativen Tilt vorherzusagen 11.

Takakura und Tanaka beschreiben eine Klassifikation zur Beurteilung der asymmetrischen Arthrosen des oberen Sprunggelenks, die 4 Stadien unterteilt 10:

  • Stadium 1: Gelenkspalt erhalten, es liegen subchondrale Sklerose und Osteophyten vor
  • Stadium 2: Gelenkspalt einseitig verschmälert
  • Stadium 3: Gelenkspalt einseitig verschmälert mit subchondralem Knochenkontakt
    • 3a: Verschmälerung des Gelenkspaltes auf die Facette zum medialen oder lateralen Malleolus beschränkt
    • 3b: Verschmälerung bezieht die Überdachung des Talusdoms mit ein
  • Stadium 4: Gelenkspalt über die gesamte Breite aufgehoben mit Knochenkontakt über die ganze Breite des Gelenkspaltes.

Die Gruppe um Takakura und Tanaka beschreibt supramalleolare Osteotomien als effektiv im Stadium 2 und 3a 9. Es gibt aber auch Publikationen, die supramalleolare Korrekturen noch im Stadium 3b als effektiv beschreiben 4.

Therapeutisches Vorgehen

Therapieziele

Asymmetrische Belastung des oberen Sprunggelenks kann zu asymmetrischer Arthrose führen. Varus- und Valgusfehlstellungen führen zur Überlastung der lateralen oder medialen Anteile des oberen und unteren Sprunggelenks. Ziel der Osteotomie ist es Areale mit geschädigtem Knorpel im Sprunggelenk zu entlasten, und die physiologische Biomechanik wieder herzustellen. Letztlich soll dadurch bei asymmetrischer Arthrose das obere Sprunggelenk und die Mobilität erhalten und der Gelenkersatz oder die Arthrodese möglichst weit hinausgezögert werden. Im Mittelpunkt der Behandlung stehen die Mobilität und Lebensqualität des Patienten.

Indikation und Kontraindikation

Grundsätzlich besteht die Indikation zur Supramalleolarosteotomie bei Deformitäten der distalen Tibia mit dadurch veränderter mechanischer Achse, sowie bei Arthrosen, die mit intraartikulärem Varus oder Valgus assoziiert sind mit noch partiell erhaltenem Knorpel. Ziel der Supramalleolarosteotomie ist die Korrektur der Achsausrichtung, so dass die mechanische Tragachse des Beines über dem oberen Sprunggelenk und dem Subtalargelenk zentriert eingestellt wird. Dadurch wird die Gelenkbiomechanik verbessert, und die Lastachse so verschoben, dass noch intakter Knorpel belastet wird, während geschädigte Gelenkanteile entlastet werden. Insgesamt soll das Fortschreiten der degenerativen Veränderungen verhindert oder zumindest verlangsamt werden, mit dem Ziel eine Versteifung oder Endoprothese des Sprunggelenks entweder zu vermeiden oder möglichst weit nach hinten zu verschieben.

Die supramalleolare Osteotomie ist eine akzeptierte Operationstechnik zur Korrektur von angeborenen oder erworbenen Deformitäten der distalen Tibia und des Sprunggelenks. In der modernen Orthopädie stellt die supramalleolare Osteotomie immer mehr auch ein Instrument der Erwachsenenorthopädie dar. Es sollen dabei Deformitäten korrigiert werden um ein funktionierendes Sprunggelenk zu erhalten, und den Zeitpunkt der Notwendigkeit der Arthrodese oder der Prothese zu verzögern 2. Dadurch soll eine Korrektur der Achsausrichtung der unteren Extremität mit Verbesserung der Lastverteilung und damit der biomechanischen Verhältnisse der unteren Extremität erreicht werden 2. Bis heute ist die Beziehung zwischen Fehlstellung und Sprunggelenksarthrose nicht mit letzter Sicherheit geklärt. Es gibt auch keinen Konsens über tolerable Achsdeformitäten der distalen Tibia und dem damit verbundenen Potential zur Entwicklung von Sprunggelenksarthrose 2. Es existieren jedoch Labormodelle, die distale Tibiadeformitäten simulieren. Diese zeigen Veränderungen der Kontaktdrücke im Sprunggelenk bei Deformitäten der distalen Tibia 2.

Tarr und Mitarbeiter beschreiben bei distalen Achsabweichungen von 15 Grad bis zu 42% Reduktion der Kontaktfläche, wobei die größten Veränderungen bei Deformitäten in der Sagittalebene gefunden wurden 12. Bei verminderter Beweglichkeit im Subtalargelenk verminderte sich die Kontaktfläche zusätzlich, was die kompensatorische Rolle des Subtalargelenks unterstreicht 12. Stamatis und Kollegen konnten diese Ergebnisse bestätigen, als sie mit einer 10 Grad valgisierenden Supramalleolarosteotomie die Kraft auf dem medialen Talusdom um 42% verminderten 6.

Kristensen und Mitarbeiter verfolgten 22 Patienten mit Tibiafrakturen, die in 10 oder mehr Grad Achsabweichung ausgeheilt waren, 20 Jahre postoperativ nach 13. Interessanterweise waren 38% der Patienten asymptomatisch. Kein Patient wies eine um mehr als 10 Grad verminderte Beweglichkeit auf, kein Patient zeigte Zeichen einer Arthrose des oberen Sprunggelenks.

Bei Varus- und Valgusschwingungen der distalen Tibia muss das Subtalargelenk durch Inversion oder Eversion ausgleichen um einen plantigraden Fuß zu erreichen. Daher bestimmt vor allem die Flexibilität des Rückfußes die Grenzen innerhalb derer eine Deformität kompensiert werden kann 2.

Deshalb ist bei der klinischen Untersuchung präoperativ die Untersuchung der Beweglichkeit des Subtalargelenks essentiell zur Therapieplanung und Indikationsstellung.

Unser Eindruck ist, daß Valgusdeformitäten relevant besser toleriert werden. Dies liegt vor allem daran, dass das Subtalargelenk weiter invertieren als evertieren kann 1415.

Becker und Myerson folgern daraus, dass bei guter Beweglichkeit des Subtalargelenks 10 Grad Fehlstellung kompensiert werden können, daß dies aber bereits mit abnormer Biomechanik verbunden wäre 2. Sie empfehlen daher Deformitäten über 10 Grad in jeder Ebene zu korrigieren 2. Dies ist aber nicht als Absolutwert zu sehen, sondern muss in den Kontext der individuellen Beschwerdesymptomatik und der Beweglichkeit des Subtalargelenks gestellt werden.

Absolute Kontraindikationen für supramalleolare Korrekturen sind schwerer Nikotinabusus, Charcotarthropathie, periphere Polyneuropathie, relevante peripher-arterielle Verschlusskrankheit, schlechte lokale Weichteilverhältnisse oder akute Infektionen (33). Relative Kontraindikationen stellen deutlich veränderte Knochenstruktur bei großen Taluszysten, Osteoporose oder fortgeschrittenes Alter dar (Hintermann 2013). Eine Knorpelschädigung Grad 3-4 nach Outerbridge im gesamten Gelenkbereich stellt eine absolute Kontraindikation dar, es sei denn als vorbereitender Eingriff für eine Totalendoprothese, für die die Biomechanik des Gelenks ebenfalls wieder hergestellt werden muss 16.

Aufklärung

  • Allgemeine OP Risiken
  • Infektion
  • Wundheilungsstörung
  • Pseudarthrosenbildung
  • Sekundärer Korrekturverlust
  • Materialversagen Osteosynthesematerial
  • CRPS
  • OP Risiken bzgl. Entnahmestelle bei Beckenkammentnahme
  • Veränderung der Beinlänge bei großen Deformitäten
  • Verminderte Kraftentfaltung des Trizeps surae bei Keilentfernung von mehr als 7 mm 17
  • Therapieversagen mit Notwendigkeit
    • Arthrodese
    • Sprunggelenkstotalprothese
  • Risiko für Folgeeingriffe:
    • Metallentfernung bei störendem Osteosynthesematerial
    • Arthrodese/Totalendoprothese bei Therapieversagen
  • Gipsbehandlung/ Ruhigstellung im Walker für 6 Wochen postoperativ
  • Entlastung für 8-10 Wochen 16

Prinzipen der verschiedenen Therapieformen

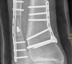
  • Die unterschiedlichsten Arten von Osteotomien sind für Supramalleolarosteotomien beschrieben worden: Open-wedge Osteotomien, Closed-wedge Osteotomien, Schrägosteotomien und Domosteotomien 9. Auch die unterschiedlichsten Systeme zur Fixation, vom Fixateur externe über Schrauben bis zur Plattenosteosynthese sind benutzt worden 9. Um den Rahmen des Kapitels nicht zu sprengen, möchten wir hier nur die in unserer Institution übliche Vorgehensweise darstellen.
  • Im Folgenden wird das Vorgehen bei Varus- und Valgusachsabweichungen differenziert dargestellt. Grundsätzlich empfehlen wir im CORA (Center of Rotation and Angulation) zu korrigieren.

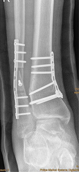
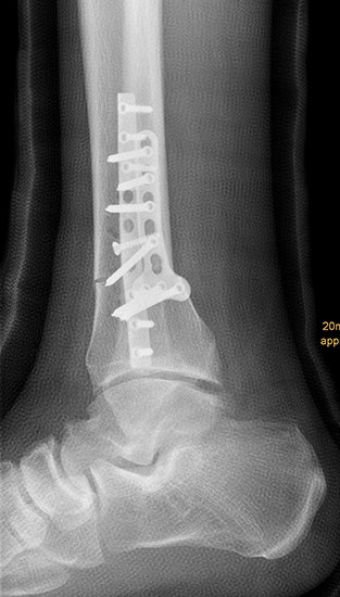
Varusarthrose des oberen Sprunggelenks

Grundsätzlich können Varusabweichungen des distalen Unterschenkels mit medial aufklappenden oder lateral schließenden Osteotomien korrigiert werden. Bei den medial aufklappenden Osteotomien muß ein Knochentransplantat oder künstlicher Knochenersatz eingebracht werden 16. Lateral zuklappende Osteotomien erfordern eine begleitende Fibulaosteotomie, die bei den medial aufklappenden Osteotomien erst ab einem Korrekturwinkel von ca. 10° notwendig ist 164. Sie ist zudem technisch anspruchsvoller, da bei nicht absolut sauberer Schnittführung leicht unerwünschte Veränderungen der Gelenkorientierung in der Sagittalebene stattfinden oder sich Über- und Unterkorrekturen einschleichen. Wichtig ist daher in die Planung der Keilhöhe auch jeweils 1 mm Knochenverlust durch die Sägeschnitte mit einzuberechnen.

Zusätzlich kommt es bei der lateral schließenden Osteotomie zu einer Verkürzung der lateralen Säule der Tibia, was zumindest theoretisch eine Schwächung der Peronealmuskulatur mit sich bringt 2.

Bei der medial öffnenden Osteotomie dagegen kann mit zwei kleinen Arthrodesenspreizern, die im vorderen und hinteren Anteil der Osteotomie eingebracht werden, nicht nur die erforderliche Korrektur eingestellt, sondern auch ohne Aufwand zusätzlich in gewissen Grenzen in der Sagittalebene korrigiert werden.

Allerdings muss bei der lateral schließenden Osteotomie kein Knochentransplantat oder Knochenersatz verwendet werden. Wir bevorzugen sie daher bei Patienten, bei denen einen verzögerte Knochenheilung zu befürchten ist, z.B. bei Nikotinabusus.

 

Valgusarthrose des oberen Sprunggelenks

Valgische Achsabweichungen der distalen Tibia können mit medial schließenden oder lateral öffnenden Osteotomien addressiert werden. Wir bevorzugen die medial schließende Osteotomie außer bei Patienten mit vorbestehender Beinverkürzung der betroffenen Extremität 2. Grund dafür ist, dass bei der schließenden Osteotomie kein Knochentransplantat einheilen muss, und dadurch potentiell die Ausheilungszeit kürzer ist. Zudem muss bei der lateral öffnenden Osteotomie die Fibula mit osteotomiert werden, was bei medial schließenden Tibiaosteotomien nur bei ausgedehnten Korrekturen notwendig ist.

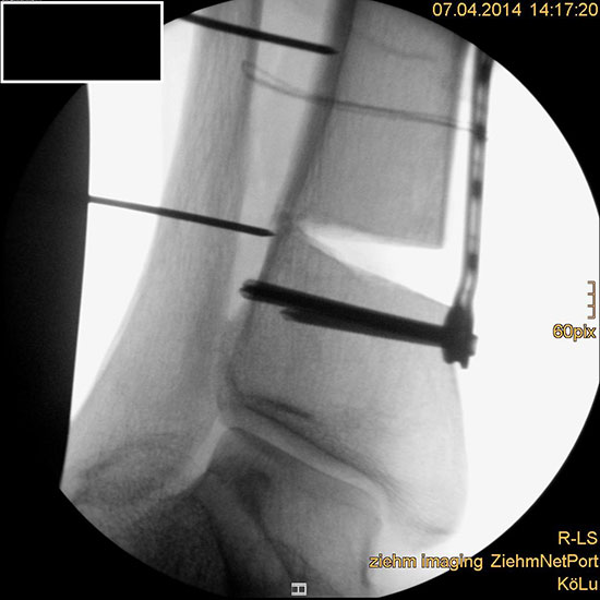
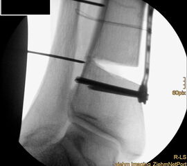
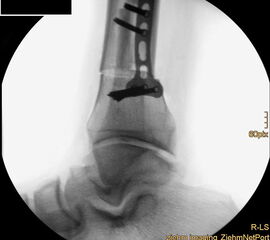
Auch hier wird die Korrektur im CORA (Center oft Rotation and Angulation) durchgeführt. Primär werden intraoperativ unter Bildwandler Kontrolle Kirschner Drähte als Sägelehre konvergierend eingebracht. Dann wird der geplante medialbasige Keil mit der oszillierenden Säge entfernt. Die laterale Kortikalis sollte geschont werden, sie dient als Drehpunkt für die Osteotomie. Die Osteosynthese kann dann im Sinne einer Zuggurtung ein besonders stabiles Konstrukt bilden. Liegen mehrdimensionale Deformitäten vor, die eine Korrektur in Translations- und Rotationsebene erfordern, ist eine Durchtrennung der lateralen Kortikalis notwendig, ebenso bei ausgedehnten Korrekturen mit Keilhöhen über 10mm 218.

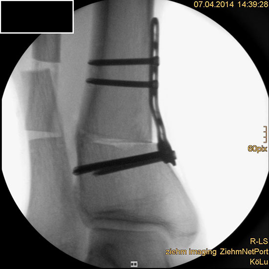
Wir benutzen zur Osteosynthese 3,5 mm LCP T-Platten. In der intraoperativen Röntgenkontrolle kann im seitlichen Bild die Zentrierung des Talus überprüft werden, und ggf. durch eine milde extendierende oder flektierende Korrekturkomponente verbessert werden 18. Eine begleitende Deformität der Fibula korrigieren wir üblicherweise mit einer z-förmigen Osteotomie die wir mit einem 1/3 Rohrplättchen sowie einer Zugschraube sichern 18.

Grundsätzlich führen wir, wenn noch kein struktureller Knorpelverlust eingetreten ist, eine Korrektur des TASA auf Normwerte durch. Wenn die Knorpelhöhe schon gemindert ist, zielen wir auf eine milde Überkorrektur von 2-4°, da der übrige intakte Knorpel nach Wiederherstellung der physiologischen Lastachsen die ganze Last des Gelenkes aufnehmen muss 9.

Im Bereich des TLSA zielen wir wie von Tanaka und Mitarbeitern empfohlen auf einen TLSA von 81 – 82°9. Patienten mit präoperativ relevant geminderter Dorsalextension können von einer milden dorsalextendierenden Einstellung profitieren, da dadurch die Funktionalität im Alltag verbessert werden kann, weil die Dorsalextension meist deutlicher als die Plantarflexion eingeschränkt ist.

Nach dem CORA-Prinzip sollten posttraumatische Deformitäten möglichst auf Höhe der ehemaligen Fraktur korrigiert werden.

Insbesondere bei in Valgusposition fehlverheilten OSG Frakturen nimmt die Fibula eine Schlüsselposition zur korrekten Einstellung des Gelenkes ein 1920. Verheilt die Fibula in Verkürzung, führt dies zu einer Lateralisation des Talus. Eine korrigierende Verlängerungsosteotomie ist dann zur Rezentrierung des Gelenkes essentiell 2122. Auch die umfassenden biomechanischen Arbeiten von Stufkens und Kollegen unterstreicht die essentielle Bedeutung der Fibula bei Deformitäten des oberen Sprunggelenks in der Fronalebene 23.

Reidsma und Mitarbeiter arbeiteten die Langzeitergebnisse nach Korrekturosteotomien bei fehlverheilten Sprunggelenksfrakturen auf. Sie kamen zu dem Ergebnis, dass mäßige degenerative Veränderung nicht nur keine Kontraindikation, sondern gerade im Sinne der gelenkerhaltenden Chirurgie eine besonders gute Indikation zur Korrektur darstellen, da die Zeitdauer bis zur Rekonstruktion negativ mit dem Outcome korrelierte 24.

Vorhandene Osteophyten sollten nach achskorrigierenden Eingriffen entfernt werden, da sonst ggf. der Talus impingt und nicht ausreichend rezentriert (Myerson 2013).

Grundsätzlich muss bei Korrekturen im Bereich der distalen Tibia immer die mechanische Achse der gesamten unteren Extremität einschließlich der Rückfußachse mit einbezogen werden. Korrekturen werden idealerweise von proximal nach distal durchgeführt, da eine Änderung des proximalen Alignements sich immer auch distal auswirkt 16183.

Auch Fehlstellungen des Mittel- und Rückfußes müssen in der Planung Berücksichtigung finden, und evtl. mitkorrigiert werden, wie Dysbalancen und Pathologien der Sehnen und Ligamente des oberen Sprunggelenks und Rückfußes 16183. Dabei kommen Bandrekonstruktionen, Sehnentransfers und –rekonstruktionen ebenso zum Einsatz wie Fußumstellungen und selektive Arthrodesen.

Dieses Kapitel befasst sich mit der Durchführung der Supramalleolarosteotomien, bezüglich der Begleiteingriffe (Bandrekonstruktion, Sehnentransfer, etc.) verweisen wir auf die entsprechenden Kapitel.

 

Komplikationen der verschiedenen Therapieformen

  • Nervenverletzung
    • N. suralis (lateraler Zugang)
    • N. peroneus profundus (anteriorer Zugang)
    • N. saphenus (medialer Zugang)
  • Gefäßverletzung
    • A. tibialis posterior (medialer Zugang)
    • A. dorsalis pedis (anteriorer Zugang)
  • Sehnenverletzung:
    • M. tibialis posterior (medialer Zugang)
    • M. tibialis anterior, M. extensor hallucis longus (vorderer Zugang)
    • Mm. peronei (lateraler Zugang)
  • Wundheilungsstörung
    • verzögerte Wundheilung
    • Wundnekrosen
    • Wunddehiszenz
  • Korrekturverlust
  • verzögerte Knochenheilung
  • Pseudarthrosenbildung
  • postoperativer Infekt
  • Über- oder Unterkorrektur

Nachbehandlung

  • watteelastischer Verband im OP, Ruhigstellung in Gipsschiene oder Orthese
  • 48 h gelockerte Bettruhe
  • Anlage eines geschlossenen Unterschenkelgipses, sobald die Wunde reizlos und trocken ist; alternativ Walker
  • Belastung: Entlastung für 6-8 Wochen im Unterschenkelgips oder Walker mit Bodenkontakt, Belastungsaufbau über 2-3 weitere Wochen nach radiologischer Kontrolle der Überbauung der Osteotomie
  • Beginn der Berufstätigkeit postoperativ:
    • sitzender Beruf: 4-6 Wochen
    • stehender Beruf: ca. 12 Wochen
    • schwerer, körperlich belastender Beruf: 16 Wochen und länger

Begutachtung

Grundlage der Begutachtung ist der Funktionsverlust der Extremität. Die Bewertung wird dabei in der privaten Unfallversicherung nach der Gliedertaxe vorgenommen. In der gesetzlichen Unfallversicherung wird die Minderung der Erwebsfähigkeit (MdE) bewertet.

In die Einschätzung sollten Folgeschäden wie Achsabweichungen, Fehlstellungen, Beinverkürzungen und Muskelminderungen einfließen. Pseudarthrosen, Narbenadhärenzen z.B. Sehnen, venöse Abflussstörungen, Folgen von Kompartmentsyndromen müssen Berücksichtigung finden. Üblicherweise liegen die Einschätzungen je nach Ausmaß der Funktionsstörungen zwischen 10-40% MdE bzw. 1/5-1/2 Beinwert (Izbicki 1992, Otto 2001).

Perspektiven und aktuelle Trends

Nach Supramalleolarosteotomien kann keine Verbesserung der Beweglichkeit des oberen Sprunggelenks erwartet werden 4. Die Indikation sollte deshalb Patienten mit erhaltener Beweglichkeit des oberen Sprunggelenks vorbehalten sein.

Die korrekte Indikationsstellung vorausgesetzt, kann die Supramalleolarosteotomie die Schmerzsymptomatik verbessern und die Funktion des oberen Sprunggelenkes erhalten. Dies bestätigen verschiedene Arbeiten 8103254.

Die Datenlage ist jedoch nach wie vor spärlich, da meist von kleinen Patientenkollektiven berichtet wird, in denen zudem asymmetrische Arthrosen unterschiedlicher Ätiologie zusammengefasst sind. Knupp und Mitarbeiter definierten in diesem Zusammenhang in einer ausgezeichneten Übersichtsarbeit eine Klassifikation zur Einteilung von supramalleolaren Deformitäten auf der Basis von 94 Fällen aus ihrem Patientenkollektiv und beschrieben dabei differenzierte Behandlungsalgorithmen 4. Sie konnten bei allen Patientengruppen eine Verbesserung von Schmerz und Funktion nachweisen. Es zeigte sich jedoch ein Trend zu einem besseren Outcome bei Valgusarthrosen mit Talus-Tilt.

Es kam sowohl zu einer Verbesserung der radiologischen arthrotischen Veränderungen, als auch zu einer signifikanten Verbesserung des Alignements in der Saltzman View.

Immerhin 60 von 94 Sprunggelenken wiesen einen präoperativen Talus Tilt auf, der nur in 25 Fällen verbessert werden konnte. Valgusarthrosen zeigten ein besseres Outcome als Varusarthrosen. Kongruente Valgusarthrosen, bei denen die Fibulalänge nicht korrigiert worden war, und Varusarthrosen mit Gelenkspaltverschmälerung vor allem im medialen Kompartiment sowie Arthrosen mit begleitender Bandinstabilität wiesen ein tendenziell schlechteres Ergebnis auf. Als wesentliche Risikofaktoren für ein Versagen der supramalleolaren Osteotomie wurden persistierende knöcherne Imbalance bei fehlender Korrektur einer begleitenden Fibuladeformität, Bandinstabilität sowie eine intraartikuläre Varuskonfiguration identifiziert.

10 der 94 Patienten benötigten im Nachuntersuchungszeitraum eine Konversion zur Prothese oder Arthrodese. Auch bei Notwendigkeit zur späteren Konversion nach gelenkerhaltender Chirurgie des Sprunggelenks war die Situation für den Patienten verbessert, da dann mit guten Erfolgschancen in einem korrekt alignierten Sprunggelenk der endoprothetische Ersatz oder die Arthrodese durchgeführt werden konnte.

Weitere Literatur

  • Felson DT. The epidemiology of osteoarthritis: prevalence and risk factors. In: Kuettner KE, Goldberg VM, eds. Osteoarthritis Disorders. Rosemont , IL: American Academy of Orthopaedic Surgeons; 1995:13-24
  • Hintermann B, Knupp M. Supramalleolar Tibial Osteotomy. In: Master Techniques in Orthopaedic Surgery: The foot and the ankle 3rd edition. Kitaoka et al. Lippincott Williams & Wilkins (2013)
  • Inman  VT, Stiehl JB. Inman’s joints of the ankle, 2nd ed: Baltimore, MD, Williams and Wilkins. XVI, 155 S., 1991
  • Izbicki W, Neumann N, Spohr H. Unfallbegutachtung. 9. Aufl. Berlin, de Gruyter, 1992
  • Myerson MS. Reconstructive foot and ankle surgery Management of complications. Elsevier Saunders, 2010
  • Otto W. MdE nach Unterschenkelfrakturen. Trauma Berufskrankheiten. 2001; 3:177 -179
  • Peyron JG. The epidemiology of osteoarthritis. In: Moskowitz RW, Howell DS, Goldberg VM, Mankin HJ, eds. Osteoarthritis. Diagnosis and Management. Philadelphia, PA: WB Saunders; 1984:9-27
Loading…
Loading the web debug toolbar…
Attempt #