Kurzzusammenfassung

Der lokalisierte Knorpelschaden am Talus stellt eine besondere therapeutische Herausforderung dar. In der Regel besteht eine osteochondrale Läsion, welche primär den subchondralen Knochen betrifft. Die bildgebenden wie auch therapeutischen Optionen haben sich im Laufe der letzten Jahre stetig weiterentwickelt. Voraussetzung für die Wahl einer adäquaten Therapie ist die genaue Evaluation der Pathologie im Rahmen der klinischen und bildgebenden Untersuchung. Ziel dieses Beitrages ist eine Übersicht über die Epidemiologie und Ätiologie, das diagnostische Vorgehen sowie die Möglichkeiten der Bildgebung und Therapie darzustellen um ein möglichst geeignetes Therapiekonzept zur Therapie des Knorpelschadens entwickeln zu können.

Ätiologie und Epidemiologie

Die Nomenklatur der lokalisierten Knorpelschäden am Talus ist nicht einheitlich. In der Regel besteht eine osteochondrale Läsion, welche primär den subchondralen Knochen betrifft. Unter osteochondralen Läsionen (OCL) werden die osteochondralen Frakturen und die Osteochondrosis dissecans (OCD) zusammengefasst 1. Die Ätiologie osteochondraler Läsionen ist multifaktoriell. Es besteht allerdings Konsens, dass die wichtigste Ursache hauptsächlich eine traumatische Ätiologie durch wiederholte Mikrotraumata bei chronischer Instabilität, hoher sportlicher Belastung oder akutem Trauma darstellt 23. Darüber hinaus werden auch eine genetische Prädisposition und metabolische Erkrankungen diskutiert 4. Bei rein den Knorpel betreffenden Läsionen handelt es sich meist und sog. degenerativ chondrale Läsionen, welche durch den fortlaufenden Verlust des Gelenkknorpels gekennzeichnet sind und häufig mit posttraumatischen Veränderungen, Achsabweichung und einer Instabilität assoziiert werden 256.
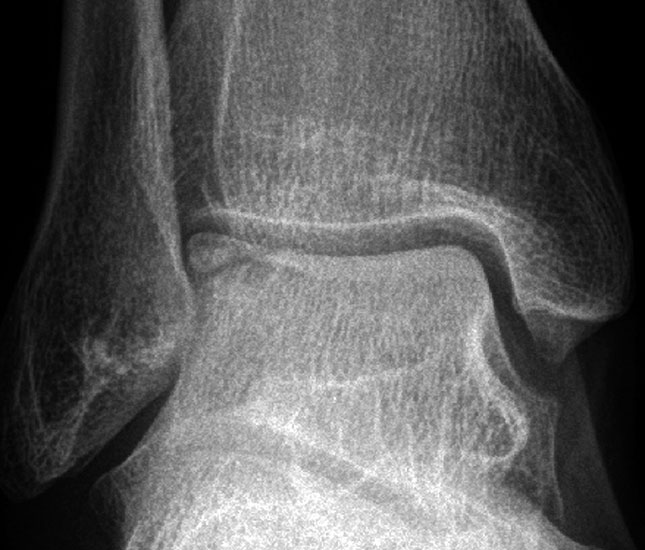
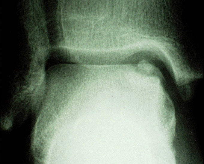
Laterale Läsionen entstehen meist durch ein akutes Trauma mit dorsalflektiertem und invertiertem Sprunggelenk, was zum Anschlag des Talus an der Fibula führt. Diese Läsionen sind meist vorderen Anteil der Talusrolle zu finden 7. Mediale Läsionen sind eher mit wiederholten Supinationtraumata verbunden oder treten aus ungeklärter Ursache auf. Insgesamt sind mediale Läsionen häufiger und meist im mittleren und hinteren Drittel des Talus zu finden 7. Laterale Läsionen sind von ihrer Konfiguration her eher flach und „waffelförmig“ (wafer-shaped) (Abb. 1), während sich mediale Läsionen eher tiefer und „tassenförmig“ (cup-shaped) darstellen (Abb. 2).

Da ein Teil der betroffenen Patienten keine Symptome entwickelt, ist die Inzidenz der osteochondralen Läsionen am Talus ist nicht eindeutig bestimmbar 8. Auf die Gesamtbevölkerung betrachtet wird eine Inzidenz der Erkrankung von 0,09% und eine Prävalenz von 0,002% angenommen 29. Am häufigsten sollen junge Erwachsene im 2-3 Lebensjahrzehnt von einer Symptomatik betroffen sein 210. In vielen veröffentlichten Therapiestudien befindet sich das Durchschnittalter der behandelten Patienten allerdings häufig zwischen 30-40 Jahren.

Symptomatik

Das Beschwerdebild stellt sich häufig unspezifisch dar. In den meisten Fällen klagen die Patienten über belastungsabhängige Schmerzen, insbesondere bei oder nach der Sportausübung. Gelegentlich finden sich auch Ruheschmerzen, dann häufig begleitet von Schwellungen und einem Steifheitsgefühl. In manchen Fällen finden sich auch rezidivierende Blockaden und ein Instabilitätsgefühl. Die Schmerzintensität korreliert nicht automatisch mit der Schwere der Läsion. Die Schmerzen werden häufig als dumpfer, tiefer Gelenkschmerz empfunden 211. Für diesen Schmerz wird bei osteochondralen Läsionen hauptsächlich der Anstieg des intraossären Druckes im subchondralen Knochen verantwortlich gemacht 121314. Sekundäre Schmerzursache ist vor allem bei Schwellungen der Anstieg des intraartikulären Druckes und eine Synovitis 1514
Nicht selten sind osteochondrale Läsionen am Talus asymptomatisch und werden zufällig im Rahmen der radiologischen Diagnostik nach beispielsweise Supinationstraumen diagnostiziert. Hier ist entsprechend in Bezug auf eine operative Therapieindikation Zurückhaltung geboten.

Diagnostisches Vorgehen

Klinische Untersuchung

Die klinische Untersuchung steht am Anfang jeder Diagnostik. Allerdings ist aufgrund der unspezifischen Symptomatik der chondralen und osteocondralen Läsionen häufig nur eine Verdachtsdiagnose möglich. Die Inspektion sollte immer bei entkleidetem Zustand der unteren Extremitäten erfolgen. Dabei können eventuelle Achsfehlstellungen, chronische Instabilitäten und Schwelllungen detektiert werden. Der Seitenvergleich kann hierbei wertvolle Erkenntnisse liefern. Die spezifische Untersuchung des oberen Sprunggelenkes (OSG) beinhaltet die aktive und passive Dorsalextension und Plantarflexion bei gebeugtem (zur Ausschaltung einer Verkürzung des Gastrocnemius-/Soleus-Komplexes) und gestrecktem Kniegelenk. Die Beweglichkeit ist dabei meist nur bei vorliegendem intraartikulärem Erguß und/oder durch ein knöchernes oder weichteiliges Impingement eingeschränkt. Ligamentäre Instabilitäten werden durch die Überprüfung des Talusvorschub und der Taluskippung untersucht. Die aktive Bewegung des Sprunggelenkes in allen Ebenen gegen Widerstand kann differentialdiagnostisch Hinweise auf evtl. Sehnen- und muskuläre Pathologien liefern. Bei der Palpation werden die prägnanten knöchernen Strukturen, die Sehnen und Bänder entlang ihres Verlaufes und die Gelenkspalte untersucht. Bei Plantarflexion können über dem Gelenkspalt des OSG die vorderen Anteile des Talus palpiert werden, bei Dorsalextension die posteromedialen Anteile. Lokalisierte Schmerzen können dabei Hinweise für das Vorliegen einer chondralen oder osteochondralen Läsion sein. Eine orientierende neurologische Untersuchung und die Palpation der Pulse sollte immer mit durchgeführt werden.

Bildgebende Diagnostik

Eine genaue bildgebende Analyse der Pathologie ist für die richtige Strategie der Behandlung unabdingbar. Ziel der Bildgebung ist primär die Entdeckung der Pathologie, Feststellung der Lokalisation und Größe der Läsion und zudem die Beurteilung des darüber liegenden Knorpels sowie des subchondralen Knochens in Bezug auf Vorliegen eines Knochenmarködems und zystischen Veränderungen. Zudem sollten mögliche sekundäre Begleitpathologien wie Band- und Sehnenverletzungen sowie Fehlstellungen mitbeurteilt werden. Zur präoperativen Planung und Klassifizierung der Läsion ist heutzutage ein Schnittbildverfahren zu fordern. Bezüglich der Wertigkeit der Verfahren untereinander besteht in der Literatur allerdings keine Einigkeit 1617.

Röntgen

Die konventionell im Stehen durchgeführte Röntgenaufnahme des oberen Sprunggelenkes in zwei Ebenen (a.p. mit 20° Innenrotation und seitlich) steht am Anfang der bildgebenden Diagnostik. Die Röntgenaufnahme besitzt allerdings für die sichere Detektion einer Läsion, insbesondere bei geringgradigen oder kleinen Läsionen, eine geringe Sensitivität mit Raten nicht-diagnostizierter Läsionen von bis zu 41% 18.
Bei Fußdeformitäten oder Achsabweichungen sollten weitere Aufnahmen (z.B. Ganzbeinstehaufnahme, Rückfußaufnahme (Saltzman view), ganzer Fuß in zwei Ebenen im Stehen, angefertigt werden um evtl. ursächliche Pathologien besser beurteilen zu können. Posteromediale oder posterolaterale Defekte werden evtl. erst durch eine Spezialaufnahme mit 4mm Fersenerhöhung und Plantarflexion sichtbar 18. Anterolaterale Läsionen, welche häufig bei Akuttraumata anzutreffen sind, können besser in leichter Dorsalextension eingesehen werden 19.

Magnetresonanztomographie (MRT)

Im Laufe der Jahre hat sich die Magnetresonanztomographie (MRT) als sehr gute Option zur bildgebenden Diagnostik erwiesen. Die besonderen Vorteile liegen in der guten Beurteilbarkeit der Weichteilstrukturen und der Nichtinvasivität ohne Notwendigkeit der Verwendung von Röntgenstrahlen. Prinzipiell können alle geforderten Eigenschaften der Pathologie incl. der Veränderungen des subchondralen Knochens und des darüberliegenden Knorpels sowie der gelenkumgebenden Weichteilstrukturen visualisiert werden. Daher wird die MRT als Wichtigste anzufertigende Bildgebung angesehen 1720.
Die technischen Kenndaten der optimalen MR-Diagnostik von osteochondralen und chondralen Läsionen am Talus sind komplex und werden in der Literatur heterogen dargestellt. Grundsätzlich wird empfohlen ein Gerät mit einer Feldstärke von 0.5 – 3 Tesla zur Verfügung zu haben 17. In eigener Erfahrung lässt sich allerdings auch schon mit Niederfeldgeräten von 0,2 Tesla eine gute Beurteilbarkeit der Läsionen erreichen 21
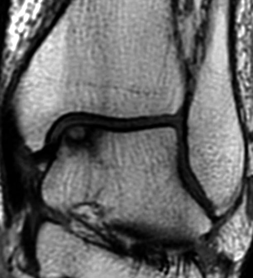
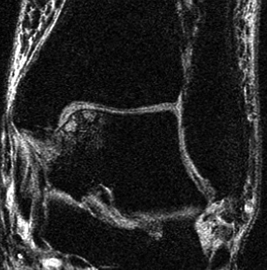
Die Standardsequenzen umfassen Fast-Spin-Echo (FSE) und Gradientenechosequenzen 22. Die Pulssequenzen umfassen typischerweise Protonendichte (PD) und fettunterdrückte Protonendichte Sequenzen (PD-FS) 17. In unserem eigenen Protokoll verwenden wir aktuell isotrope 3D-Gradientenechosequenzen (true FISP) (Abb. 3), protonendichte-fettunterdrückten Turbo-Spin-Echo-Sequenzen (PD-FS-TSE) (Abb. 4 und 5) und T1-gewichtete Spinechosequenzen (Abb. 6). Wichtig ist letztendlich die räumliche Auflösung als Funktion der Schichtdicke, dem Blickfeld (FOV) und der Bildmatrix 17.

Die Verwendung von intravenösem oder intraartikulärem Kontrastmittel kann die Diagnostik und Einteilung in eine Klassifikation erleichtern. Nach intravenöser Kontrastmittelgabe spricht die Aufnahme des Kontrastmittels im Interface zwischen osteochondralem Fragment und dem Fragmentbett für Granulationsgewebe im Grenzspalt. Wenn diese Kontrastmittelaufnahme in einer T2-Wichtung nicht stattfindet und das Signal unverändert bleibt, spricht dies für Flüssigkeit im Interface, was eine instabilere Situation bedeuten würde 23. Ebenso kann der Vaskularisierungsgrad des Fragmentes und damit die Vitalität abgeschätzt werden, dies ist allerdings nur eingeschränkt möglich 23. Bei intraartikulärer Kontrastmittelgabe kann die Integrität des Knorpels und der Dissektionsgrad des osteochondralen Fragmentes besser abgeschätzt werden. Ebenso kann eine Verbindung von subchondralen Zysten zum Gelenk beurteilt werden 19.
Trotz der vielfältigen Möglichkeiten der MRT ist die Beurteilung des Ausmaßes der knöchernen Beurteilung der Läsion teilweise schwierig. Die Ausdehnung des Knochenmarködems führt dabei manchmal zu einer Überschätzung der Läsionsgröße 24.

Computertomographie (CT)

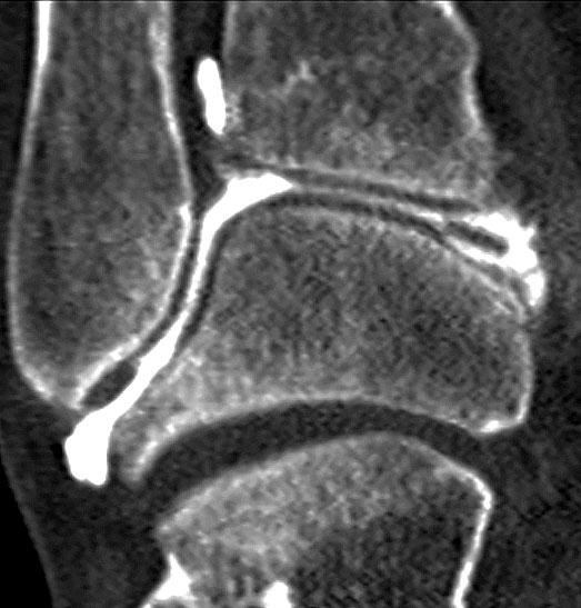
Die Computertomographie hat im Laufe der letzten Jahre eine Renaissance in der Diagnostik von chondralen und osteochondralen Läsionen am Talus erlebt. Die Verwendung von Spiral-CT´s (Abb. 7 und 8) mit der Möglichkeit multiplanarer Rekonstruktionen hat die diagnostische Qualität deutlich erhöht 18. Die Stärken zeigen sich insbesondere in der Beurteilung des subchondralen Knochens. In der Diagnostik kleiner Risse mit zystischen Veränderungen in welche Synovialflüssigkeit eindringen kann und daher klinisch bedeutsam ist, zeigt sich eine Überlegenheit gegenüber der MRT-Diagnostik 17. Die im CT abschätzbare Ausdehnung der subchondralen Zyste entspricht im Gegensatz zur MRT mit Abbildung des perifokalen Knochenmarksödems besser dem intraoperativ zu erwartenden Befund 16. Zudem ist die Untersuchungszeit kürzer im Vergleich zum MRT. Allerdings ist eine Beurteilung des Knorpels ohne die Applikation von Kontrastmittel nicht möglich. In einer Vergleichsstudie zwischen MRT und CT in der Diagnostik osteochondraler Läsionen am Talus wurde deshalb nur 81% der osteochondralen Läsionen mit der CT-Untersuchung korrekt diagnostiziert, während dies bei 96% der MRT-Untersuchungen der Fall war. Dafür wies die CT allerdings eine leicht höhere Spezifität auf (99% vs. 96%) 18. Im Vergleich zur MRT-Arthrographie besteht sogar eine höhere Interobserver Reliabilität und leicht bessere Sensitivität in der Entdeckung von Knorpelläsionen 25.

Mit der SPECT-CT, einer Art Hybridverfahren aus Szintigraphie und Computertomographie, kann die biologische Aktivität in Kombination mit der hohen CT-Auflösung der knöchernen Läsion genauer untersucht werden (Abb. 9). Bei Untersuchungen am Knie konnte gezeigt werden, dass die szintigraphische Aktivität dabei besser mit dem Schmerz korreliert als das im MRT dargestellte Knochenmarksödem 26. In einer Vergleichsstudie zur Verwendung der MRT und des SPECT-CT in der Entscheidungsfindung für eine Therapie wurden beide Diagnostika wurde ein zusätzlicher Informationsgewinn durch das SPECT-CT nachgewiesen mit daraus folgendem Einfluss auf die Entscheidungsfindung für eine Therapie 27.

Arthroskopie

Die arthroskopische Diagnostik bietet gegenüber den rein bildgebenden Methoden den Vorteil, dass der Defektbereich auch mit einem Tasthaken palpatorisch untersucht werden kann. Dadurch kann die Defektgröße bestimmt und eine evtl. Instabilität eines osteochondralen Fragmentes festgestellt werden 28. Der Nachteil ist dabei allerdings, dass eine genaue Beurteilung des subchondralen Knochens nur bedingt erfolgen kann.

Klassifikation

Tabelle 1
Stadium Röntgen 12930 MRT 31 CT 11 Arthroskopie  32
I Lokalisierte Zone subchondraler Trabekelkompression Verdickung des Knorpels und Signalminderung, fokaler Ödemnachweis Zystische Läsion mit intakter Kortikalis Knorpelerweichung
II Inkomplette Separation des Fragments Aufbruch des Knorpels, Signalminderung hinter dem Fragment als Zeichen einer fibrösen Anheftung, fokaler und perifokaler Ödemnachweis IIa: Zystische Läsion mit Kommunikation zur Oberfläche
IIb: Offene artikuläre Läsion mit nichtdisloziertem Fragment
Knorpelerweichung und Rissbildung
III Komplette Separation des Fragments ohne Dislokation Aufbruch des Knorpels, Darstellung von Synovialflüssigkeit zwischen Fragment und subchondralem Knochen Komplette Separation des Fragments ohne Dislokation Teilabgelöstes Knorpel-Knochen-Fragment
IV Dislokation des Fragments Dislokation des Fragmentes Dislokation des Fragments Dislokation des Fragments
V Subchondrale Zystenbildung

Anerkannte Klassifikationen (Tabelle 1) zur stadiengerechten Einteilung der Läsion können bei der Entscheidungsfindung hilfreich sein. Die klassische Röntgeneinteilung osteochondraler Läsionen geht auf die 1959 publizierte Klassifikation nach Berndt & Harty zurück 1 (Abb. 10). Dabei werden vier Stadien beschrieben. Im Rahmen der arthroskopischen Diagnostik empfiehlt sich die Klassifikation nach Guhl 32, welche sich der Klassifikation nach Berndt & Harty richtet. Loomer, sowie Scranton und McDermott fügten der Röntgeneinteilung später ein fünftes Stadium hinzu um die OCL mit subchondraler Zystenbildung zu erfassen 2930. Für das MRT entwickelten Dipaola et al. 31 eine Klassifikation für osteochondrale Läsionen in vier Stadien, basierend auf der radiologischen Einteilung nach Berndt und Harty. Für rein chondrale Läsionen wird standardmäßig die ebenfalls vier Stadien umfassende Klassifikation nach Outerbridge verwendet 33. Hier kennzeichnen die Stadien III und IV tiefgreifende Knorpelerosionen bzw. Knorpelkrater mit freiliegendem Knochen. Diese Klassifikation kann MR-tomographisch oder intraoperativ verwendet werden, wobei die Beurteilung im MRT durch die geringe Dicke des talaren Gelenkknorpels erschwert ist. Von Ferkel u. Sgaglione wurde eine CT-Klassifikation in ebenfalls vier Stadien veröffentlicht 11. Im Unterschied zu den bisher erwähnten Klassifikationen beschreibt das Stadium 1 zystische subchondrale Veränderungen ohne Kommunikation zum Gelenk, während beim Stadium 2 die Kortikalis aufgebrochen ist. Die Stadien 3 und 4 entspricht dann wieder der Klassifikation nach Berndt & Harty.

Therapeutisches Vorgehen

Therapieziele

Die Behandlung chondraler und osteochondraler Läsionen bietet eine Reihe von Möglichkeiten, welche letztendlich ein Ziel verfolgen: Die Gelenkoberfläche und der subchondrale Knochen sollen weitgehend wiederhergestellt sowie die Gelenkfunktion und Schmerzsymptomatik verbessert werden. Eine genaue Analyse der Pathologie und Kenntnisse der Therapieoptionen sind für die richtige Strategie der Behandlung vorauszusetzen.

Konservative Therapie

Grundsätzlich sollten beschwerdefreie Patienten mit „akzidentell“ radiologisch festgestellter osteochondraler Läsion (z.B. nach Supinationstrauma) keiner operativen Therapie zugeführt werden 34. Bei der Läsion zuzuordnenden Beschwerden sollte in den meisten Fällen ohne Ablösung des osteochondralen Fragmentes, chondralen Läsionen und osteochondralen Läsionen mit intakter Knorpeloberfläche in den Stadien 1 und 2 (nach Bernd & Harty 1 und Guhl 32, sowie allgemein bei geringer Beschwerdesymptomatik ein konservativer Therapieversuch mit temporärer Teilbelastung unternommen werden 343528. Ob und wie lange eine Teilbelastung erfolgen sollte, ist in der Literatur allerdings nicht eindeutig geklärt und sollte entsprechend beschwerdeadaptiert durchgeführt werden. Bei akuten, neu aufgetretenen Beschwerden und fehlenden begleitenden Pathologien ist eine Teilbelastung von 6-12 Wochen mit konsekutiver Steigerung der Belastung bei Beschwerdefreiheit angezeigt. Dies gilt v.a. für Kinder und Adoleszenten. Immobilisierende Verbände sollten, wenn überhaupt, nur im Akutstadium verwendet werden. Physiotherapeutische, physikalische und medikamentöse Maßnahmen sollten begleitend verordnet werden. Der Einsatz und die Auswahl der Therapiemittel basiert dabei eher auf empirischen Überlegungen und Erfahrungen bei fehlendem Nachweis einer spezifischen Wirksamkeit. Entsprechend erscheint derzeit eine symptomorientierte Therapie sinnvoll 36.
Bei erreichter Beschwerdefreiheit müssen keine Kontrollen erfolgen. Ansonsten sollten im Verlauf klinische und radiologische Kontrollen (MRT) in Jahresabständen durchgeführt werden. Falls sich im Laufe von ca. 3-6 Monaten keine durchgreifende Besserung einstellt, ist eine operative Therapie indiziert.

Operative Therapie

Das operative Behandlungsspektrum für die Behandlung von chondralen und osteochondralen Läsionen ist weitgehend identisch. Eine Vielzahl von operativen Behandlungsmöglichkeiten wurde publiziert. Der Evidenzgrad ist allerdings gering. Nach heutigem Stand wurde bisher keine einzige Level-1 Studie veröffentlicht. Meist handelt es sich um retrospektive Fallserien. Evidenzbasierte Empfehlungen können basierend auf der verfügbaren Literatur entsprechend nicht gegeben werden. Einige Autoren haben allerdings allgemeine Richtlinien zur Therapie dargestellt 1637383940.

Die Therapieoptionen richten sich generell nach folgenden Grundprinzipien 3941.

  • Erhalt der Gelenkoberfläche durch Refixation eines osteochondralen Fragmentes 42 oder Revitalisierung des subchondralen Knochens durch ein retrogrades Vorgehen (retrograde Anbohrung 43 oder retrograde Spongiosaauffüllung 44.
  • Debridement der Läsion mit Entfernung des pathologisch veränderten Knorpel und Knochens und Stimulierung des subchondralen Knochens zur Bildung eines Ersatzgewebes (z.B. anterograde Anbohrung 28, Mikrofrakturierung 45. Dabei evtl. Anwendung eines matrixassoziierten Verfahrens (AMIC) 46.
  • Debridement der Läsion mit Entfernung des pathologisch veränderten Knorpel und Knochens und Transplantation eines autologen Knorpel-/Knochenzylinders (OATS, Mosaikplastik) mit Ersatz des hyalinen Gelenkknorpels 4748 oder Versuch der Wiederherstellung eines hyalinartigen Knorpelersatzgewebe durch autologe matrixassoziierte Knorpelzelltransplantation (MACT) 49. Alternativ besteht auch die Möglichkeit der Implantation eines lokalen metallischen Oberflächenersatzes (HemiCAP) 50.

Grundsätzlich müssen bei der operativen Therapie Begleitpathologien, wie z.B. an eine Instabilität oder ein Malalignment berücksichtigt werden, welche dann entsprechend im Rahmen der Behandlung der chondralen oder osteochondralen Läsion mit adressiert werden müssen. Weiterhin sind Einflussfaktoren bei der Wahl der Therapieoptionen mit zu bedenken. Dazu gehören die Ätiologie der Läsion (traumatisch oder nicht traumatisch), Symptomdauer (akut oder chronisch), Größe der Läsion, Klassifikation, Alter und Gewicht des Patienten, sonstige Erkrankungen (z.B. Knochenstoffwechselstörungen) sowie Ziele des Patienten in Bezug auf sportliche und berufliche Aktivitäten.

Operative Therapieoptionen

Im Folgenden soll eine Übersicht über die gängigen operativen Therapieverfahren ohne Anspruch auf Vollständigkeit gegeben werden.

Refixierung eines osteochondralen Fragmentes

Bei einer akuten Verletzung oder allgemein bei vitalem osteochondralem Fragment kann vor allem bei Adoleszenten mit Hilfe von kleinen resorbierbaren Implantaten oder Schrauben eine operative Refixation angestrebt werden 42. Die Studienlage lässt allerdings kein abschließendes Urteil über die Erfolgsaussichten dieses Verfahren zu.

Retrograde stimulierende Techniken

Prinzip der retrograden Verfahren ist die Revitalisierung des betroffenen subchondralen Knochenareals durch Wiederherstellung des Anschlusses an die Blutversorgung, Reduktion der venösen Stase und/oder Entfernung von nekrotischem subchondralen Knochen und Wiederauffüllung mit vitaler Spongiosa vom Beckenkamm, Tibiakopf oder lokal entnommen vom Calcaneus. Eine Computerassistierte oder Iso-C3D-navigierte Bildgebung könnte dabei zu einer erleichterten Auffindung des Herdes und besseren Zielgenauigkeit führen 51. Diese Techniken werden in der Regel dann angewendet, wenn nach Überprüfung mit dem Tasthaken eine stabile Knorpeloberfläche mit erhaltener Kontinuität besteht (≤ Stadium 2). Es ist jedoch nicht abschließend geklärt, in wieweit der intakte Knorpelüberzug entscheidend für das klinische Ergebnis ist.

Debridement des Defektes und anterograde stimulierende Techniken

Bei chondralen Läsionen III-IV° oder bei osteochondralen Läsionen (≥ Stadium 2) mit Kontinuitätsunterbrechung der Knorpeloberfläche und Instabilität des Fragmentes (Abb. 11), besteht in der Regel die Indikation zum Debridement und Kürettage der Läsion und Anwendung von knochenmarkstimulierenden Techniken wie der Anbohrung oder Mikrofrakturierung. Durch die chirurgische Eröffnung des subchondralen Knochens sollen über die gesetzten Blutungsherde pluripotente mesenchymale Stammzellen in die Defektzone gelangen und einen Reparaturprozess einleiten 52. Ziel ist die Bildung eines möglichst belastungsstabilen Ersatzknorpelgewebes. Das arthroskopische Vorgehen mit Knochenmarkstimulation stellt nach einem Expertenkonsensus während der „Conference of the International Society of Arthroscopy, Knee Surgery and Orthopaedic Sports Medicine and International Federation of Sports Medicine (ISAKOS—FIMS)” aus dem Jahre 2005 für die meisten Fälle die Methode der ersten Wahl dar 39. Bevorzugt wird heute meist die Mikrofrakturierung, bei der rein arthroskopisch nach Stabilisierung der Läsion mit Schaffung intakter Knorpelkanten mit verschieden abgewinkelten Ahlen multiple Löcher unter Erhalt von Knochenbrücken in das Defektbett geschlagen (Abb. 12 und 13) und so eine Verbindungen zum spongiösen Knochen hergestellt wird. In der Regel können die Läsionen mit den arthroskopischen Standardportalen behandelt werden 5354. Orientierend kann bei der Planung und physiologischer uneingeschränkter Plantarflexionsmöglichkeit angenommen werden, dass neben den anterioren Defekten auch Läsionen, welche die vordere Hälfte des posterioren Anteil des Talus betreffen, erreicht und rein arthroskopisch behandelt werden können 39. Im Zweifelsfall kann eine Bildgebung in maximaler Plantarflexion weitere Hinweise geben.

Nach Mikrofrakturierung am Talus scheint sich im Verlauf keine Verschlechterung der Ergebnisse einzustellen 21. Selbst bei zystischen Läsionen konnten mit alleiniger Mikrofrakturierung gute Ergebnisse erreicht werden 55. Die Grenze der Defektgröße für ein erfolgreiches Ergebnis nach arthroskopischer Mikrofrakturierung am Talus wird mit 1,5cm2 angegeben 5657.

Transplantation von osteochondralen Zylindern (OATS, Mosaikplastik)

Eine Gelenkflächenrekonstruktion mit körpereigenem Gewebe kann durch den Transfer eines Knorpel-Knochen-Zylinders (autologe osteochondrale Transplantation - OATS) aus einem möglichst wenig belasteten Areal des Knies realisiert werden 4748. Die lokale Entnahme des Zylinder am Talus ist ebenfalls möglich 58. Diese Technik stellt die einzige Möglichkeit dar, die Läsion mit hyalinem Knorpel wiederaufzufüllen. Die Entscheidung, ob einzelne Transplantate oder mehrere (Mosaikplastik) zum Einsatz kommen, ist abhängig von der Größe, Oberflächenkontur und Lokalisation der primären Läsion. Die Wiederherstellung einer weitgehend normalen Gelenkfläche mit Integration des Transplantates mit keiner oder allenfalls geringer Inkongruenz (gemessen am MRT-Ergebnis) scheint das Ergebnis des Eingriffes signifikant zu beeinflussen 59.
Nachteilig bei der OATS ist die größere Morbidität durch die erforderliche Arthrotomie des OSG, die häufig notwendige Osteotomie des Innen- oder Außenknöchels, sowie die Transplantatentnahme. Dies kann zusätzliche Schmerzen und Komplikationen verursachen. So klagten nach einem durchschnittlichen Nachuntersuchungszeitraum von 6 Jahren 50% der Patienten nach Transplantatentnahme am Knie über Knieschmerzen und eine Reduktion der sportlichen Aktivität 60. In einer Vergleichsstudie mit Mikrofrakturierung und Chondroplastik hatten die Patienten nach OATS postoperativ ein signifikant höheres Schmerzniveau 61. Entsprechend wird der Transfer von Knorpel-Knochen-Zylindern eher als Methode der zweiten Wahl bei Versagen der rein arthroskopischen Verfahren angesehen 39.

Matrixassoziierte Verfahren

Eine Verbesserung der Ergebnisse in Zusammenhang mit Durchführung einer Mikrofrakturierung v.a. bei größeren Defekten könnte eventuell durch Aufbringen von zellfreien Membranen (z.B. Kollagenmembran) erreicht werden. Für diese Verfahren wird auch der Begriff „AMIC“ (Autologe Matrixinduzierte Chondrogenese) verwendet. Ziel ist das durch die Mikrofrakturierung ausgetretene Blut besser im Defekt zu halten und eine verbesserte Regeneratstruktur zu erreichen. Bis auf die Beschreibung der Technik und einen Fallbericht sind allerdings noch keine Ergebnisse dieser Technik publiziert 46. Kontrovers wird diskutiert, ob ein offenes Vorgehen gewählt werden muss, oder ob auch ein arthrokopisches Vorgehen möglich ist. Hauptunterschied ist, dass beim offenen Vorgehen die Membran perfekt auf den Defekt zugeschnitten wird, während beim arthroskopischen Vorgehen dies nicht möglich ist und die Membran die Defektränder nach dem Einbringen überlappt. Beim offenen Vorgehen können vorhandene zystische subchondrale Veränderungen oder lokale Knochennekrosen durch vollständige Ausräumung der Läsion, Anbohrung der Randzone und Spongiosaauffüllung besser adressiert werden. Die Kollagenmembran wird mit Fibrinkleber passgenau in der Defektzone fixiert (Abb. 14). Die arthroskopische Implantation der Kollagenmembran ermöglicht ein weichteilschonendes Vorgehen ohne Notwendigkeit einer Arthrotomie oder Osteotomie der Malleolen. Die Indikation besteht aufgrund der einfachen Anwendbarkeit und des Vorteils einer Art Versiegelung des Defektes durch die Membran bei Defektgrößen > 1cm². Durch Bewegung werden die über den Defektrand überstehenden Bereiche der Membran abgerieben. So entsteht eine perfekte Deckung der subchondralen Schicht (Abb. 15). Die Kollagenmembran wird mit Hilfe einer Moskitoklemme redundant überlappend im Sinne einer Versiegelung auf den Defekt gelegt (Abb. 16) und mit einem Tasthaken anmodelliert (Abb. 17). Bei tieferen Defekten wird evtl. eine Doppelung der Kollagenmembran im Sinne einer Sandwichtechnik vorgenommen, um somit eine größere Oberfläche zu erreichen.

Alternativ kann der Knorpelersatz durch die Anzüchtung von autologen Knorpelzellen im Labor erreicht werden. Die in einem ersten Eingriff entnommenen Knorpelzellen werden nach Vermehrung im Labor an eine Gewebematrix gekoppelt (Matrix-gestützte Autologe Chondrozyten Transplantation; MACT). Eine Überlegenheit gegenüber den Standardverfahren konnte für die Anwendung im Sprunggelenk aufgrund ausschließlich vorliegender Fallserien mit kleinen Fallzahlen nicht abgeschätzt werden. In einer aktuellen Meta-Analyse wird die klinische Erfolgsrate allerdings immerhin mit 89,9% angegeben 62. Nachteile der ACT sind die erhöhte Morbidität durch zwei notwendige operative Eingriffe sowie die deutlich höheren Kosten im Vergleich zu den anderen Techniken. Aufgrund des ausstehenden Nachweises mit ausreichenden Hinweisen oder Belegen für Nutzen und medizinische Notwendigkeit mit Überlegenheit der ACT gegenüber anderen etablierten Techniken, erfolgt aktuell eine Kostenübernahme zu Lasten der Gesetzlichen Krankenversicherung nur im Rahmen von genehmigten klinischen Studien.

Nachbehandlung

Die Nachbehandlung ist bei allen Techniken mehr oder weniger dieselbe. Falls eine Malleolarosteotomie durchgeführt wurde, ist die Anlage eines Walkers für 6 Wochen zu empfehlen. Ansonsten sollte die Nachbehandlung nach folgenden Prinzipien gerichtet werden:

  • Anlage einer dorsalen Gipslongette in 90° Stellung mit 48h strikter Ruhigstellung.
  • Teilbelastung von 10-15 kg für 6 Wochen, nach 6 Wochen erfolgt ein stufenweiser Belastungsaufbau mit 10-20 kg pro Woche bis zum Erreichen der Vollbelastung. Nach ca. 12 Wochen ist die Vollbelastung unter Alltagsbedingungen möglich. Bei beschwerdefreien Patienten kann der Belastungsaufbau ggf. auch schneller erfolgen.
  • Passive und aktive Beübung des OSG in Dorsalextension/Plantarflexion ab dem 3. Postoperativen Tag.
  • Möglichst Verwendung einer Motorschiene zur CPM (Continuous Passive Motion) mit Steigerung der Dauer der Nutzung je nach Schmerz- und Schwellungszustand auf möglichst 5-8 Stunden/Tag.
  • Impact- und Kontaktsportarten sollten ca. 9 Monate lang möglichst unterlassen werden.

Zusammenfassung

Das Behandlungsspektrum für die Behandlung von chondralen und osteochondralen Läsionen bietet eine Vielzahl von Optionen. Der Evidenzgrad ist allerdings gering. Eine adäquate Analyse der Pathologie und patientenindividuelle Faktoren sind zu beachten. Beschwerdefreie Patienten mit akzidentell festgestellter Läsion werden grundsätzlich nicht operiert. Bei Patienten mit geringgradigen Läsionen und geringer Beschwerdesymptomatik sollte ein konservativer Behandlungsversuch erfolgen. Bei der Wahl der operativen Verfahren sollte entsprechend dem Prinzip „Nil nocere“ eine möglichst minimalinvasive Technik bevorzugt werden. Die Verletzung gesunder Gelenke (z.B. Knie im Rahmen der OATS) muss heutzutage bei einer guten Auswahl anderer Möglichkeiten Kritisch gesehen werden. Arthroskopische Techniken sollten für die Zukunft die Verfahren der Wahl zu werden. Wissenschaftliche Studien mit Vergleichsgruppen sind für eine bessere Bewertung der Verfahren untereinander zu fordern.

Loading…
Loading the web debug toolbar…
Attempt #