Zusammenfassung

Das Management der (posttraumatischen) Früharthrose des Sprunggelenkes gliedert sich in nicht-operative und operative Maßnahmen. Die konservativen Maßnahmen umfassen die Beratung des Patienten hinsichtlich des Lebensstils und Sport. Insbesondere bei Adipositas kann häufig eine wesentliche Schmerzreduktion bei Reduktion des Körpergewichts erreicht werden. Weitere Therapieansätze umfassen Einlagen und Orthesen sowie Schuhzurichtungen. Die medikamentöse Therapie der Arthrose erfolgt vornehmlich mit NSAR. In den letzten Jahren hat die intraartikuläre Injektion von Hyaluronsäure und PRP auch am Sprunggelenk an Bedeutung gewonnen.

Die operative Behandlung zielt auf eine Verbesserung der Biomechanik des Gelenks durch Umstellungsosteotomien, Kapselband-Rekonstruktionen, arthroskopischer Synovektomie mit Osteophyten-Abtragung sowie rekonstruktive Maßnahmen bei lokalen Knorpelschäden.

Ätiologie

Ungefähr 15% aller Erwachsenen leiden an Schmerzen und Funktionsstörungen der Gelenke infolge von Osteoarthrose (OA), einer nichtentzündlichen chronisch-degenerativen Gelenkerkrankung mit entzündlichen Episoden, welche  im angloamerikanischen Sprachraum auch als Osteoarthritis bezeichnet wird (Felson, 1995). Nur ungefähr 1% der Erwachsenen jedoch weisen eine OA des Sprunggelenkes auf (Peyron 1984).

Anders als die OA des Hüft- und Kniegelenkes, welche häufig primären Ursprungs ist 1, handelt es sich bei der OA des Sprunggelenkes zumeist um die Folge einer Sprunggelenksverletzung, wie z.B. Frakturen von Innen- und Außenknöchel, des Tibiaplafonds und des Talus, isolierte osteochondrale Läsionen von Tibia und Talus, sowie Verletzungen der Seitenbänder und der tibio-fibularen Syndesmose 2.

Zirka 40 % aller Sportverletzungen sind akute Sprunggelenksdistorsionen. Etwa 90 % davon sind Supinationstraumata, wobei 20 bis 40 % der akuten Sprunggelenksdistorsionen eine chronische Instabilität entwickeln. Bei Orientierungsläufern liegt die Prävalenz sogar bei bis zu 70 %. Bei symptomatischer chronischer Sprunggelenksinstabilität liegen in ca. 50 % talare und in 25 % crurale Knorpelschäden vor 3.

Ein Zusammenhang von Verletzungen des Sprunggelenkes mit dem Auftreten von Knorpelschäden und damit auch der Entwicklung einer fokalen, posttraumatischen Arthrose des Sprunggelenkes ist somit durchaus erklärbar. Jedes Ereignis, das die Gelenkfläche des Sprunggelenks beeinträchtigt, kann zu einer posttraumatischen Sprunggelenksarthrose führen 4. Der Behandlung des posttraumatischen Knorpelschadens kommt somit eine zentrale Rolle im Management der (posttraumatischen) Früharthrose des Sprunggelenks zu.

Im Gegensatz zur primären OA, die in erster Linie ältere Erwachsene betrifft, überwiegt die posttraumatische Sprunggelenksarthrose in der jüngeren Bevölkerung, und schreitet hier unterschiedlich schnell voran.

Teilweise verwirrend ist die uneinheitliche Nommenklatur von lokalen Knorpeldefekten. Der Begriff „osteochondrale Läsion“ (OCL) ist rein deskriptiv und beschreibt einen lokalisierten Knorpelschaden. Eine Differenzierung hinsichtlich der Ursache erfolgt nicht. Zunächst ist daher zu unterscheiden, ob eine osteochondrale Läsion vorliegt, oder eine diffuse Gelenksschädigung. Weiterhin ist zu untescheiden, in welcher Form bei einer OCL Knochen und/oder Knorpel betroffen sind. Insbesondere für Läsionen mit intakter Knorpeloberfläche besteht keine oder allenfalls nur eine geringe Tendenz der Progredienz in Richtung Arthrose 5. Anders ist die Situation, wenn eine OCL die Gleitfläche des Knorpels betrifft. In solchen Fällen findet sich im zeitlichen Verlauf eine Progredienz der Veränderungen im Sinne einer Arthroseentwicklung, in Verbindung mit einer entsprechenden klinischen Symptomatik.

Diagnostik

Eine frühzeitige Diagnose erhöht die Wahrscheinlichkeit erfolgreich in den Krankheitsverlauf einzugreifen 6. Dazu werden insbesondere die klinische Untersuchung sowie bildgebende Verfahren verwendet.

Die Mehrzahl der Knorpelschäden am Sprunggelenk ist traumatischen Ereignissen zuzuordnen 7. Die typischen Symptome sind neben Schmerzen Schwellungen, Bewegungseinschränkung und muskuläre Defizite. Besonders Anlaufschmerzen, sowie Schmerzen bei und nach sportlichen Aktivitäten wie Laufen oder Springen sind ein Hinweis auf degenerative Gelenkveränderungen.

Weiterhin besteht ein Zusammenhang zwischen chronischer Instabilität des Sprunggelenks und der Entwicklung degenerativer Veränderungen 8. Häufige Untersuchungsbefunde sind Gelenkerguss und lokalisierte Schmerzen in einer oder mehreren periartikulären Regionen. Weitere häufige Befunde sind Achsfehlstellungen, wie z.B. Rückfuß-Varus oder -Valgus, Bewegungseinschränkungen, sowie eine Instabilität des oberen Sprunggelenks bzw. Subtalargelenks.

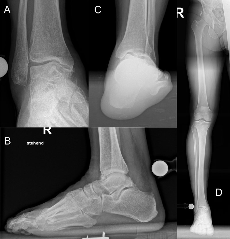
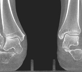
Native Röntgenaufnahmen des Sprunggelenks in 2 Ebenen unter Belastung (antero-posterior und lateral) erlauben Gelenkspaltverschmälerung, osteophytäre Anbauten sowie Achsfehlstellungen zu beurteilen. Eine „Canale-Aufnahme“ (Pronation des Fußes von ca. 15 °, Röntgenstrahl 75 ° nach kranial) 9 kann hilfreich sein, die subchondralen Oberflächen einzusehen. Die korrekte Abbildung der Sprunggelenkgabel in der sogenannten „Gabel-Aufnahme“ (mortise-view) ist zudem notwendig zur Beurteilung der Gelenkkongruenz. An Grenzen stößt die konventionelle Röntgenaufnahme allerdings bei OCLs ohne weitere knöcherne Veränderungen. Bis zu 50% der OCLs sind auf konventionellen Röntgenaufnahmen nicht sichtbar. Auch kann der Zustand des Knorpels nicht beurteilt werden 10. Bei Achsfehlstellungen werden zusätzlich Rückfußachs-Aufnahmen (Saltzman View) angefertigt bzw. eine Einbeinstandaufnahme zur Bestimmung der Becken-Bein-Achse.

Zur Vollansicht und zum Lesen der Bildbeschreibung bitte das Bild anklicken.

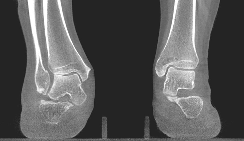
Der Computertomographie (CT) fehlt ebenfalls die Fähigkeit, den Knorpel direkt zu bewerten. Mit dem CT können jedoch weitere Details der knöchernen Verletzung, wie Größe, Form, Umfang und evtl. Dislokation der Läsion beurteilt werden 11. Insbesondere kleine Knochenkanten oder Gelenkkörper lassen sich in der CT wesentlich besser darstellen als mit einem MRT.

Zur Vollansicht und zum Lesen der Bildbeschreibung bitte das Bild anklicken.

In den letzten Jahren hat die digitale Volumen Tomografie (DVT) erheblich an Bedeutung gewonnen. Der Vorteil dieses Verfahrens ist eine computertomografieartige Abbildung unter Vollbelastung des Fußes mit der Möglichkeit einer 3-D Rekonstruktion. Verglichen zur Computertomografie hat die DVT eine deutlich geringere Strahlenbelastung 12. Aus dem Datensatz lassen sich Projektionsbilder errechnen, sodass viele belastete konventionelle Aufnahmen durch eine DVT überflüssig werden.

Zur Vollansicht und zum Lesen der Bildbeschreibung bitte das Bild anklicken.

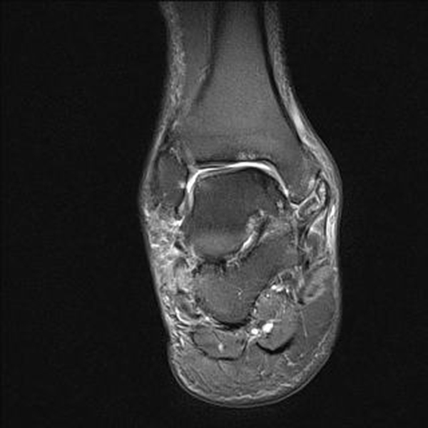
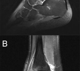
Die Magnetresonanztomographie (MRT) hat gezeigt, dass Knochenprellungen („bone bruises“), Knorpelschäden und andere Weichteil-Verletzungen erkannt werden 13 und mit arthroskopischen Befunden korrelieren 14.

Obwohl die MRT mittlerweile als Goldstandard für die Beurteilung von OCLs gilt sollte bedacht werden, dass aufgrund der hohen Sensitivität der Methode die Signalmuster im Sprunggelenk die Schwere der Knochenverletzung überschätzen können. Zudem wurde die gleiche diagnostische Genauigkeit für CT und MRT festgestellt 15.

Zur Vollansicht und zum Lesen der Bildbeschreibung bitte das Bild anklicken.

Eine weiteres, relativ neues Verfahren ist die Kombination einer 3-dimensionalen Knochen-Szintigraphie, der sogenannten SPECT (Single-Photon-Emissions-Computertomographie) mit einem CT-Scan, was neue Möglichkeiten in der orthopädischen Diagnostik verschiedener Erkrankungen bietet (Wuest 2007). Die SPECT-CT ermöglicht die szintigraphische Lokalisierung der Osteoblastenaktivität im interessierenden Bereich, in Kombination mit der anatomischen Auflösung eines CT-Scan. So erhält der Chirurg nicht nur morphologische, sondern auch biologische Informationen über OCL 16 oder Impingementkonstellationen 17. Die SPECT-CT zeigt zudem eine hervorragende interobserver und intraobserver Reliabilität 18.

Vergleichsstudien von SPECT-CT zur MRT hinsichtlich Bildinterpretation und Entscheidungsfindung zeigte, dass im Vergleich mit der MRT das SPECT-CT zusätzliche Informationen liefert und somit auch die Therapieentscheidung beeinflusst 1920.

Zur Vollansicht und zum Lesen der Bildbeschreibung bitte das Bild anklicken.

Konservative Behandlung der Früharthose

Beratung

Umfassende Kenntnisse des Patienten über seine Erkrankung können ihm helfen die Beschwerden und die sich hieraus ergebenden therapeutischen Konsequenzen besser einzuordnen. Auch ist ein realistischer Erwartungshorizont hinsichtlich der therapeutischen Möglichkeiten sehr hilfreich 21

Aus unserer Erfahrung hat es sich bewährt, folgende Punkte dem Patienten in aller Deutlichkeit zu vermitteln:

  • Unverändert gibt es kein Therapieverfahren, welches den Knorpel in seinen ursprünglichen Zustand zurückversetzt.
  • Möglicherweise gelingt es, Teilaspekte der Erkrankung zu verbessern, eine vollständige Beschwerdefreiheit in allen Lebenssituationen kann häufig nicht erreicht werden.
  • Kurzzeitig vermehrte Beschwerden nach intensiverer Belastung sind zwar unangenehm, führen aber in den seltensten Fällen zu einer richtungsweisenden Veränderung des Krankheitsverlaufs.
  • Es ist damit zu rechnen, dass mit und ohne therapeutische Intervention die Erkrankung im Laufe des Lebens weiter voranschreitet 4.
  • Ziel der Therapie soll sein, dass der Patient mit der Erkrankung leben kann, da eine Heilung nicht möglich ist. Daher wird es voraussichtlich notwendig sein, über die Zeit und den Krankheitsverlauf die Therapiekonzepte mehrfach anzupassen 22.
  • Arthrose bedeutet nicht, dass man auf sämtliche Aktivitäten verzichten sollte. Ganz im Gegenteil, sportliche Aktivitäten, welche den Zustand des Gelenks berücksichtigen, helfen die Beschwerden zu reduzieren und die Funktion zu erhalten 232425.
  • Auch wenn sich die meisten Studien auf das Kniegelenk beziehen, führt insbesondere bei übergewichtigen Patienten die Gewichtsreduktion zu einer signifikanten Besserung der Beschwerden. Anzustreben ist ein BMI von unter 25 (25-29,9 übergewichtig, 29.9 < fettleibig) 2623272829.

Sportberatung

Es gibt kaum wissenschaftliche Arbeiten, die sich mit der Thematik Sport bei Arthrose des Sprunggelenks beschäftigen. Daher stützen sich die meisten Empfehlungen auf Daten, die bei Arthrose von Knie- und Hüftgelenks erhoben wurden. Dabei kann festgehalten werden, dass moderate sportliche Aktivität grundsätzlich geeignet ist Arthroseschmerzen zu reduzieren und die Gelenkfunktion zu verbessern 30. Dabei scheinen die positiven Aspekte der Aktivität theoretisch denkbare negative Aspekte mehr als aufzuwiegen.

Empfohlen werden vor allem Sportarten ohne Stoßbelastung innerhalb eines physiologischen Bewegungsumfangs. Positive Effekte sind nachgewiesen für:

  • Aquasport 24
  • Radfahren und Schwimmen 2131
  • Gerneller Vorteil von Low Intensity Sport 3233
  • Thai Chi 34

Orthopädietechnik

Eine mechanische Entlastung des Sprunggelenks, sowie die Verlagerung von Bewegung vom Gelenk auf die Schuhsohle ist durch verschiedene orthopädietechnische Maßnahmen möglich.

Einlagen

Der Effekt von Einlagen in der Behandlung der Arthrose des Sprunggelenks bezieht sich vor allem auf den Ausgleich von Fehlstellungen der Rückfußachse. Durch eine Anhebung des Fußinnen- bzw. Fußaußenrandes lassen sich flexible Fehlstellungen korrigieren. Dies ermöglicht eine Reduktion von Impingement-Konstellationen sowie eine Veränderung der intraartikulären Lastverteilung 353637.

Colin et al. 38 publizierten das „Sidewalk Zeichen“ als prognostischen Faktor für eine supramalleoläre Korrekturosteotomie bei Achsfehlstellung. Sie konnten feststellen, dass Patienten, die auf eine Kippung des Fußes aus der Fehlstellung heraus mit einer Schmerzreduktion reagierten, auch zu einem hohen Prozentsatz von einer knöchernen Korrektur der Fehlstellung profitierten.

Für die Therapieplanung ist daher wichtig, dass mit dem Patienten mögliche knöcherne Achskorrekturen besprochen werden sollten, solange korrigierende Einlagen noch effektiv sind. Sobald der schmerzreduzierende Effekt der Rückfuß korrigierenden Einlagen im weiteren Krankheitsverlauf verschwindet, ist es in vielen Fällen auch für eine Korrekturosteotomie zu spät.

Zur Vollansicht und zum Lesen der Bildbeschreibung bitte das Bild anklicken.

Bandagen und Orthesen

Bandagen und Orthesen begrenzen die Bewegung im Sprunggelenk, führen zu einer Kompression und stabilisieren den medialen und lateralen Bandapparat. Je nach Bauart der Orthese kann der Schwerpunkt mehr auf der Stabilisierung liegen, oder vor allem auf der Kompression. Limitierend können Achsfehlstellungen oder osteophytäre Anbauten sein, die sich mit einer vorgefertigten Orthese nicht versorgen lassen. Stehen entzündliche Veränderungen mit einer vermehrten Schwellneigung im Vordergrund, können komprimierende Bandagen von Vorteil sein. Das Ausmaß der Kompression ist dabei in Abhängigkeit vom subjektiven Empfinden des Patienten und dem Aktivitätszustand der Arthrose zu wählen. Im akuten, stark entzündlichen Zustand mit erheblicher Schwellung wird häufig nur eine milde Kompression toleriert. Steht bei wenig aktivierter Arthrose die Stabilisierung des Sprunggelenks im Vordergrund, kann ein Produkt mit entsprechend höherer Kompression eingesetzt werden. Ist das Therapieziel vor allem die mechanische Stabilisierung des Rückfußes, sind Orthesen mit stabilisierenden Elementen den Bandagen in ihrer Wirksamkeit überlegen 3940353637.

Zum Lesen der Bildbeschreibung und zur Vollansicht bitte die Bilder anklicken. 

Abrollhilfe

Die Abrollhilfe ist ein bewährtes Verfahren zur mechanischen Entlastung des oberen Sprunggelenks bei eingeschränkter Beweglichkeit 41. Routinemäßig erfolgt der Einsatz nach Arthrodese des Sprunggelenks 42. Das Wirkprinzip ist die Verlagerung der Bewegung vom Sprunggelenk auf die Außensohle des Schuhs. Vor allem Patienten mit einer schmerzhaften Bewegungseinschränkung profitieren von dieser Maßnahme 36. Auch verschiedene Konfektionsschuhe haben eine Abrollhilfe integriert. Sehr ausgeprägt findet sich dies beispielsweise bei MBT™- Schuhen und bei vielen Wanderschuhen.

Zur Vollansicht und zum Lesen der Bildbeschreibung bitte das Bild anklicken.

Physiotherapie

In der Literatur finden sich kaum Studien zur Effektivität von Physiotherapie bei degenerativen Veränderungen des Sprunggelenks 43. Die Mehrzahl der Arbeiten beschäftigen sich mit dem Kniegelenk. Für das Kniegelenk ist ein positiver Effekt von Physiotherapie zweifelsfrei nachgewiesen. Aufgrund der Unterschiede in der Pathogenese ist unklar, inwieweit die Ergebnisse dieser Studien auf das Sprunggelenk übertragen werden können.

Im klinischen Alltag finden die Verfahren Anwendung, die sich bei degenerativen Veränderungen verschiedenster Gelenke bewährt haben. Hierzu zählen Traktion und Mobilisation, Kräftigung bei muskulären Defiziten sowie physikalische Maßnahmen zur Reduktion von Reizzuständen (Ultraschall, Iontophorese, Friktionen, Wärme, Kälte) 4445464746.

Monticone et al. 48 fanden in einem Review eine höhere Effektstärke der Physiotherapie verglichen zu Hyaluronsäure bei Arthrose am Sprunggelenk. Die Überlegenheit der Physiotherapie zeigte sich sowohl in den Schmerz- als auch in den Funktions-Scores.

Medikamentöse Behandlung

Obwohl sich die Pharmakotherapie bei der Arthrosebehandlung als wirksam erwiesen hat, wird diese angesichts ihrer Nebenwirkungsprofile als „second line-“ bzw. Zusatztherapie vorgeschlagen 49.

Die pharmakologische Therapie der Sprunggelenksarthrose orientiert sich an der Leitlinie zur Gonarthrose (www.awmf.org - https://www.awmf.org/uploads/tx_szleitlinien/033-004l_S2k_Gonarthrose_2018-01_1.pdf).

Topische Anwendung von NSAR

Die topische Applikation von NSAR sollte vor deren oralen Anwendung zur Analgesie und Funktionsverbesserung erwogen werden. Äußerlich angewendete NSAR zeigen eine überlegene Wirksamkeit hinsichtlich Analgesie und Verbesserung der Funktion in mehreren Placebo-kontrollierten Studien, systematischen Übersichten und Metaanalysen 5051.

Glucosamin

Die klinischen Daten aus publizierten Studien und Metaanalysen zur symptomlindernden (analgetischen, funktionsverbessern­den) Wirkung von Glucosamin sind widersprüchlich. Derzeit liegen eine Reihe klinischer Studien und Metaanalysen zur symptomlindernden Wirkung von Glucosamin vor, das als Arzneimittel und Nahrungsergänzungsmittel erhältlich ist. Glucosamin zählt zur Gruppe der SYSADOA (SYmptomatic Slow Acting Drugs in OsteoArthritis) mit einem langsamen Wirkungseintritt. Die Gabe von Glucosamin bei Patienten mit NSAR-Unverträglichkeit kann in Erwägung gezogen werden. Auf eine ausreichende Dosierung (1500 mg pro Tag) sollte bei Glucosamin geachtet werden, da die Mehrzahl an Studienergebnissen bei dieser Dosierung vorliegt. Falls keine Besserung auftritt, sollte die Therapie spätestens nach drei Monaten abgebrochen werden. Eine kürzlich publizierte Studie konnte einen geringeren Verbrauch von NSAR nach Einnahme von Glucosamin zeigen 52.

Opioide

Der Einsatz von Opioiden bei der OA ist ein weltweit umstrittenes Thema mit dem Dilemma, dass der therapeutische Effekt der Opioide keine bessere Wirkung zeigt als NSAR, und nur mit dem Vorteil der besseren gastrointestinalen Verträglichkeit überzeugt 5354.

Nachteilig ist der zentralnervöse Effekt mit vermehrter Sturzneigung, Schwindel und Gleichgewichtsstörung 55. Ein weiteres Problem ist das Risiko einer Abhängigkeit, die gerade in jüngerer Zeit zu einer Neubewertung der Opiode geführt hat 5657.

Es gibt nur sehr wenige Studien zum Thema Opioide und Osteoarthrose, eindeutige Studien zum Einsatz von Opioiden bei Gonarthrose fehlen. Die Kombination von Tramadol und Paracetamol scheint effektiv zu sein, wenn dieses mit einem NSAR kombiniert wird, soweit das NSAR alleine nicht eine ausreichende Schmerzreduktion erlaubt 58.

Trizyklika und Ca-Antagonisten

Eine fortgeschrittene Arthrose ist auch mit Mechanismen der zentralen Sensibilisierung assoziiert und kann klinisch mit einer neuropathischen Schmerzkomponente einhergehen. In diesem Fall ist im Sinne einer mechanismen-orientierten Schmerztherapie auch an den Einsatz von Trizyklika und Ca-Antagonisten zu denken 59.

Die Dosierung und die Auswahl des Mittels sollte unter Berücksichtigung der Gesamtmedikation im Einzelfall entschieden werden, ggfs. im Rahmen einer interdisziplinären Schmerzkonferenz.

Intraartikuläre Glucocorticoide

Die intraartikuläre Injektion von Glucocorticoiden ist eine weitere nicht-operative Behandlungsmöglichkeit bei Arthrose, insbesondere wenn mit den o.g. Optionen keine ausreichende Schmerzreduktion zu erreichen ist. Intraartikulär applizierte Corticosteroide können für die kurzzeitige Therapie schmerzhafter Arthrosen angewendet werden. Randomisierte Studien belegen eine schmerzlindernde Wirkung von intraartikulär applizierten Corticosteroiden bei Gonarthrose über einen Zeitraum von bis zu 4 Wochen. So bestätigte 2006 ein Cochrane Review die Kurzzeit-Wirkung bei Schmerzen, funktionelle Parameter wie Beweglichkeit, Gehstrecke und Lebensqualität zeigten dagegen keine Besserung 60.

Intraartikulär applizierte Corticosteroide sollten in einer möglichst niedrigen, aber wirksamen Dosierung angewendet werden. Eine Metaanalyse zeigt, dass intraartikulär applizierte Corticosteroide in hoher Dosierung den Knorpelzellstoffwechsel hemmen können 61 und die Knorpelmasse reduzieren 62.

Intraartikuläre Viskosupplementation (Hyaluronsäure)

Auch die Viskosupplementation hat an Bedeutung in der Arthrosetherapie gewonnen.

So konnte die Wirksamkeit von Hyaluronsäure-Injektionen bei symptomatischer Sprunggelenksarthrose nachgewiesen werden 63. Mei-Dan et al. (2010) 64 fanden eine Wirkdauer von 7 Monaten und mehr nach einer Serieninjektion über 5 Wochen (1 Injektion pro Woche mit 25 mg Na-Hyaluronsäure).

Ferner stellte eine kürzlich durchgeführte systematische Untersuchung zur Viskosupplementation bei der OA des Sprunggelenks eine deutliche Funktionsverbesserung der behandelten Patienten fest 65.

Weitere randomisierte kontrollierte Studien mit höherer Qualität sind jedoch erforderlich, bevor endgültige Empfehlungen für Anwendung von Hyaluronsäure bei der Behandlung der Sprunggelenksarthrose gegeben werden können. 

Hyaluronsäure (HA) wird seit mehreren Jahrzehnten bei der symptomatischen Behandlung von Arthrosen unterschiedlicher Gelenke eingesetzt. Trotz einer Vielzahl an wissenschaftlichen Untersuchungen ist die Wirksamkeit dieser Therapieform in der Literatur nach wie vor umstritten 6667. Eine klinisch relevante Schmerzhemmung wird in neueren und hochwertigen Metaanalysen beschrieben, die aber in der Mehrzahl bei Arthrose am Kniegelenk durchgeführt wurden 686970. So wurde eine Effektgröße für die analgetische Wirkung mit 0,34 (0,22 – 0,46) bis 0,63 (0,36 – 0,88) angegeben, wobei diese sogar nach 4 Wochen besser als bei NSAR, intraartikulärer Corticosteroidinjektion und Paracetamol lag 7168.

Platelet-Rich-Plasma (PRP)

Der genaue Wirkungsmechanismus bzw. die biologischen Effekte von PRP in der Behandlung einer Arthrose und ihrer verschiedenen Stadien sind noch nicht bekannt.

Thrombozyten enthalten eine Vielzahl unterschiedlicher Wachstumsfaktoren und Botenstoffe, denen verschiedene regenerative oder auch entzündungshemmende Eigenschaften zugeschrieben werden 7273.

Daneben finden sich im PRP auch Bestandteile, die als eher kritisch angesehen werden müssen, da sie Entzündung, Angiogenese und andere unerwünschte Effekte induzieren können 74.

Durch Aktivierung des gewonnenen Plättchenkonzentrats, z.B. mit Hilfe von Thrombin oder Calciumchlorid, können im behandelten Gelenk bis zu 800 bisher bekannte Botenstoffe und Proteine freigesetzt werden 72.

Nach metaanalytischer Auswertung von 16 klinischen Studien mit insgesamt 1.543 Patienten wurden in einem Review für die symptomatische Behandlung einer Kniearthrose im Vergleich zu Placebo oder der Behandlung mit HA oder einem Cortikosteroid bessere Ergebnisse für PRP beschrieben 757677.

Radiosynoviorthese

Steht eine hohe Entzündungsaktivität im Vordergrund, stellt die Radiosynoviorthese ein mögliches Behandlungsverfahren da. Beschrieben ist eine signifikante Reduktion von Entzündungsaktivität und Schmerz 78. Die besten therapeutischen Effekte finden sich in der Literatur bei der Früharthrose im Rahmen einer Hämophilie und bei entzündlichen Gelenkerkrankungen 7980. Gerade bei der Hämophilie ist häufig das Sprunggelenk betroffen. Bei posttraumatischen Gelenkschäden ist die Radiosynoviorthese üblicherweise nicht indiziert.

Operative Behandlung der Früharthrose

Das Hauptziel der chirurgischen Behandlung ist die Rekonstruktion des Knorpel- und Knochendefektes 81. Da hyaliner Knorpel avaskulär ist und eine schlechte Regenerationsfähigkeit besitzt, setzen Schäden, welche die subchondrale Platte nicht durchdringen, keinen Reiz für eine entzündliche Reaktion und damit Heilung. Wenn aber eine Osteochondrale Läsion (OCL) am Talus sich auf den subchondralen Knochen erstreckt, werden Knochenmark-Stammzellen stimuliert, um neues Gewebe im Defektbereich zu bilden 82.

Auf dieser Grundlage wurde die Methode der Mikrofrakturierung entwickelt. Dabei kommt es zur Bildung von faserknorpeligem Ersatzgewebe, welches jedoch nicht die biomechanischen Eigenschaften von hyalinem Gelenkknorpel besitzt. Im Fall kleinerer Läsionen kann dieses Ersatzgewebe zu guten funktionellen Ergebnissen führen. Aufgrund der eingeschränkten Belastbarkeit ist der Faserknorpel bei größeren Läsionen nicht ausreichend, die hohen biomechanischen Anforderungen zu erfüllen. Alternative Behandlungsansätze zielen darauf ab, geschädigten Gelenkknorpel direkt durch Gelenkknorpel bzw. durch Gewebe zu ersetzen, das hyalinem Gelenkknorpel möglichst nahekommt.

Arthroskopische Synovektomie und Osteophyten-Abtragung

Die arthroskopische Synovektomie mit Abtragung von Osteophyten ist häufig der nächste Schritt, sollten die konservativen Behandlungsoptionen keine ausreichende Beschwerdelinderung mehr ergeben 83. Bei diesem Eingriff kommt dem Erwartungsmanagement eine große Bedeutung zu. Viele Patienten leben in dem Glauben, dass die Abtragung der am Röntgenbild sichtbaren Kanten zu einer vollständigen Beseitigung der Probleme am Sprunggelenk führt. Der Erfolg arthroskopischer Maßnahmen ist allerdings wesentlich vom Ausmaß der vorhandenen Knorpelschäden abhängig. Eine großzügige Abtragung von osteophytären Anbauten führt immer wieder zu einer Verkleinerung der lasttragenden Fläche, verbunden mit einer raschen Progression der Arthrose in den verbliebenen Gelenkanteilen. Gerade beim vorderen Impingement hat sich aus unserer Sicht bewährt, die ventralen Osteophyten der Tibiakante nur sehr zurückhaltend abzutragen. Wesentlich weniger Probleme entstehen durch eine großzügige Notch-Plastik am Talushals. Die intraartikuläre Injektion von Hyaluronsäure oder PRP am Ende des Eingriffs scheint sich positiv auf den Heilverlauf und die Rehabilitation auszuwirken 84.

Zur Vollansicht und zum Lesen der Bildbeschreibung bitte die Bilder anklicken.

Arthroskopisches Debridement von Knorpeldefekten und Knochenmark-Stimulation

Als Knochenmark-Stimulation (KMS) bezeichnet man die gezielte Eröffnung des subchondralen Knochenmarkraumes (zumeist durch Mikrofrakturierung oder mittels Anbohrung). Intraossäre Blutgefäße werden dabei eröffnet und setzen Wachstumsfaktoren frei, welche zusammen mit den pluipotenten Zellpopulationen zur Bildung eines fibrösen Ersatzgewebes führen 8182.

Im Fall kleinerer Läsionen kann dieses Ersatzgewebe zu guten funktionellen Ergebnissen führen. Aufgrund der eingeschränkten Belastbarkeit ist der Faserknorpel bei größeren Läsionen nicht ausreichend, die hohen biomechanischen Anforderungen zu erfüllen. 

Die Methode führt bei chondralen und osteochondralen Läsionen (OCL) am Talus zu überwiegend guten klinischen Ergebnissen 8586.

Chuckpaiwong et al. 87 untersuchten 105 talare OCLs, welche durch Mikrofrakturierung behandelt wurden. Dabei gab es keine Therapieversager bei Läsionen < 15 mm (n=73), unabhängig von der Lokalisation. Bei Läsionen > 15 mm (n=32) gab es hingegen nur einmal ein erfolgreiches Ergebniss. Höheres Alter, höherer BMI (body mass index), Trauma-Anamnese, und vorhandene Osteophyten wurden als negative prädiktive Faktoren identifiziert. Görmeli et al. 84 berichteten über bessere Schmerz- und Funktionsscores durch die Injektion von Hyaluronsäure bzw. PRP am Ende der Behandlung.

Zur Vollansicht und zum Lesen der Bildbeschreibung bitte das Bild anklicken.

Matrix-assoziierte Knochenmarkstimulation

Talare OCLs mit tiefem knöchernem Defekt, sklerotischen Veränderungen, Osteonekrosen, oder subchondralen Zysten stellen eine große Herausforderung für den Behandler dar, da neben der Verbesserung der Symptome die Integrität des subchondralen Knochens wiederhergestellt werden muss 88.

Es gibt hierfür verschiedene Behandlungsansätze mit guten Ergebnissen, aber auch methodischen Nachteilen. Bei der osteochondralen Zylinder-Transplantation (OCT, Mosaikplastik) wird an der Entnahmestelle bewußt die Schädigung gesunder Gelenke bzw. Gelenkbereiche in Kauf genommen, um für die Defektfüllung gesundes Gewebe zu gewinnen. Nachteile der autologen Chondrozyten-Transplantation (ACT) umfassen das zweizeitige Vorgehen (OP 1 zur Entnahme der Knorpelzellen, OP 2 mit Implantation des gezüchteten Gewebes) und die hohen Kosten 89. Im angloamerikanischen Bereich werden regelmäßig Knochen-Knorpel-Zylinder von Spenderknochen verwendet, die aber in Deutschland nicht oder nur sehr eingeschränkt verfügbar sind 90.

Die autologe Matrix-induzierte Chondrogenese (AMIC ©) wurde erstmals von Behrens et al. (2004) 91 beschrieben. Es ist ein einzeitiges Verfahren auf Grundlage der Knochenmarkstimulation, ggf. mit autologer Spongiosaplastik, und der Abdeckung des Defektes durch eine Kollagen I/III-Matrix. Diese Membran schützt das Regenerat und die darin enthaltenen mesenchymalen Stammzellen 92. In einer Serie von Valderrabano et al. 93 wurden 26 Patienten mit talaren OCLs durch AMIC © behandelt. 17 Patienten wurden zusätzlich mit einer Bandstabilisierung, 16 Patienten zusätzlich mit einer Fersenbein-Osteotomie versorgt. Die 2-Jahres-Ergebnisse anhand des American Orthopaedic Foot and Ankle Society (AOFAS)-Score, der visuellen Schmerzskala (VAS) und des „magnetic resonance observation of cartilage repair tissue” (MOCART)-Scores zeigten überwiegend gute klinische und MRT-Ergebnisse.

Die guten klinischen Ergebnisse wurden auch im Langzeitverlauf von verschiedenen Arbeitsgruppen bestätigt 9495.

Zur Vollansicht und zum Lesen der Bildbeschreibung bitte das Bild anklicken.

Eine Modifikation der AMIC © ist die sogenannte „Nanofractured autologous Matrix-induced chondrogenesis (NAMIC©)” 96. Hierbei wird der subchondrale Knochen mit einer speziellen Nadel von 1 mm Durchmesser 9 mm tief penetriert. Anschließend wird analog zur AMIC©-Technik der Defekt mit einer Kollagen-Membran abgedeckt. Als Vorteile werden die bessere Freisetzung mesenchymaler Knochenmark-Stammzellen, die Standardisierung der Technik, kleinere Löcher und dadurch die Vermeidung von Fakturen des subchondralen Knochens angegeben. Die Methode ist prinzipiell für alle großen Gelenke geeignet. In wie weit sich die Technik am Sprunggelenk durchsetzt bleibt abzuwarten, da klinische Studien hier bisher fehlen.

Osteochondrale Transplantationen

Für die Transplanation osteochondraler Zylinder in den Talus ist ein rechtwinkliger Zugang zum Defekt notwendig, was in vielen Fällen eine Osteotomie notwendig macht. Muir et al. 97 konnten am Leichenpräparat zeigen, dass bis zu 85 % der Talus-Oberfläche auch ohne Osteotomie erreicht werden können. Allerdings betreffen OCL in der Mehrzahl der Fälle die zentrale mediale oder laterale Talusschulter, die ohne Osteotomie nicht erreicht wird.

Allerdings betreffen OCL in der Mehrzahl der Fälle die zentrale mediale oder laterale Talusschulter, die ohne Osteotomie nicht erreicht wird.

Ein weiterer Nachteil der osteochondralen Zylinder-Transplantation (OCT, Mosaikplastik) ist, dass an der Entnahmestelle bewußt die Schädigung gesunder Gelenke bzw. Gelenkbereiche in Kauf genommen wird, um für die Defektfüllung gesundes Gewebe zu gewinnen. Im angloamerikanischen Bereich werden regelmäßig Knochen-Knorpel-Zylinder von Spenderknochen verwendet, die aber in Deutschland nicht oder nur sehr eingeschränkt verfügbar ist 90.

Zur Vollansicht und zum Lesen der Bildbeschreibung bitte das Bild anklicken.

Mosaikplastik

Hangody et al. 98 beschrieben eine Methode der Transplantation von mehreren osteochondralen Zylindern aus dem Kniegelenk in eine talare OCL, welche dort mosaikartig angeordnet werden. Dabei wird eine Defektgröße von bis zu 4 cm² angegeben. Das Verfahren ist für Läsionen der medialen und lateralen Talusschulter besser geeignet als für zentrale Knorpeldefekte {ref:12911240 }

Osteochondrale Zylinder-Transplantion (OCT)

Die Transplantation einzelner osteochondraler Zylinder (OCT) wird für die Behandlung großer zystischer OCLs über 6 mm Durchmesser empfohlen.

Dabei wird die OCL an den Knorpelrändern debridiert, um die echte Größe des Knorpeldefektes zu bestimmen. Anschließend wird dieses Empfängerareal mit der Empfänger-Stanze ausgestanzt. Mit der Spender-Stanze wird der passende Knorpel-Knochen-Zylinder aus einer nicht-lasttragenden Zone (parapatellare Gleitbahn) des ipsilateralen Kniegelenkes gehoben und in die Defektzone eingebracht.

In einer Studie mit 50 durchgeführten OCT-Fällen mit einer Läsionsgröße von 8-20 mm konnte eine 90 %ige Erfolgsrate erreicht werden 99. In einer weiteren Untersuchung an talaren OCLs mit einem follow-up von durchschnittlich 16 Monaten wurde ein postoperativer AOFAS-Score von 88 und ein Lysholm Knie-Score (für die Beurteilung der Entnahmemorbidität) von 97 erreicht. 89 % der Patienten würden das Verfahren erneut wählen 100. Die Autoren empfehlen zudem diese Technik als Rückzugs-Methode für Therapieversager nach z.B. der Mikrofrakturierung oder bei einer langen Symptomdauer einzusetzen.

Die Vitalität der Chondrozyten im Randbereich des Transplantates wird durch Hitzeentwicklung bei der Benutzung von Diamant-Fräsen negativ beeinflusst, sodass für die Gewinnung des Transplantates eher die Verwendung entsprechender Stanzen empfohlen wird, welche mit einem Hammer eingeschlagen werden 101.

Neben der anterograden Technik ist auch die retrograde Implantation für OCLs der postermedialen Talusschulter unter Zuhilfenahme eines CT-basierten Navigationssystems in einer Kadaverstudie beschrieben 102. Dabei wird zunächst ein Zieldraht zentral in der Läsion plaziert, welcher anschließend überbohrt wird, bevor ein entsprechender Spenderzylinder aus dem ipsilateralen Knie eingebracht wird. Die Auswertung nach Osteotomie und mittels CT zeigte eine gute Oberflächenkongruenz und Stabilität. Eine weitere Machbarkeits-Studie an 9 Kadavern konnte die arthroskopische Technik als sicheres Verfahren zur retrograden osteochondralen Zylindertransplantation bestätigen 103.

Eine klinische Anwendung dieser Technik wurde von Kilicoglu et al. 104 beschrieben. Bisher hat diese Technik aber im klinischen Alltag keine weitere Verbreitung erfahren.

Osteochondrale Allograft-Transplantation

Eine Alternative zur Mosaikplastik oder der autologen osteochondralen Zylinder-Transplanation ist die Verwendung von Allografts. Dies ist insbesondere für große OCLs des Talus geeignet und hat den Vorteil, dass man zuvor die Geometrie der Empfängerseite (Defektareal) mit Hilfe von CT- oder MRT-Daten genau bestimmen und auf das Spendergewebe übertragen kann.

Einige Autoren bevorzugen aufgrund der besseren Vitalität der Chondrozyten frische Spender-Allografts anstatt gefrorene Allografts 105. In solchen Fällen sollte die Transplantation innerhalb von 7 Tagen postmortem erfolgen.

Andere Autoren berichten über gute Ergebniss mit gefrorenen Allografts, wenn diese weniger als 14 Tage vor der Transplantation eingefroren wurden 106. Typischerweise wird zusätzlich etwas autologe Spongiosa (Entnahme z.B. von der distalen Tibia) an der Kontaktfläche verwendet, um die Integration des Transplantates zu verbessern. Anschließend wird das Transplantat mit Schrauben fixiert.

Raikin 106 schlug vor, OCLs größer 3 cm³ Volumen als „massive OCL“ (mega-OCL) zu bezeichnen und sie als Grad VI der Berndt und Harty-Klassifikation einzustufen. Er berichtet über 6 Fälle von talaren OCLs, 5 medial und 1 lateral. 5 der 6 Fälle waren traumatisch. 2 Patienten erhielten frische Allografts, 4 gefrorene Allograft. Der AOFAS-Score verbesserte sich von 42 auf 86. Ein Patient wurde später mit einer Arthrodese versorgt und alle Patienten würden die OP auch am kontralateralen Sprunggelenk durchführen lassen. In der Serie von Gross et al. 105 wurden 9 Patienten mit talaren OCLs mit frischen Allografts versorgt. 6 davon waren auch nach 11 Jahren noch in situ, während 3 Patienten aufgrund von Resorption und Fragmentation eine Arthrodese benötigten.

Autologe Chondrozyten-Transplantation (ACT / ACI)

Die autologe Chondrozyten-Transplantation bzw. -Implantation ist eine Alternative zur osteochondralen Transplantation bei Knorpeldefekten höheren Grades 107. Die Methode wurde hauptsächlich von Matts Brittberg und Lars Peterson seit den 1980 ern für den Einsatz am Kniegelenk entwickelt, aber dann auch für Defekte am Sprunggelenk eingesetzt.

Ein wesentlicher Nachteil der autologen ACT ist das zweizeitige Vorgehen (OP 1 zur Entnahme der Knorpelzellen, OP 2 mit Implantation des gezüchteten Gewebes) und die hohen Kosten 89.

Die von Giannini et al. 108 für das Sprunggelenk beschriebene Technik umfasst die arthroskopische Entnahme kleiner Knorpelstückchen vom ipsilateralen Knie und die anschließende Kultivierung der Zellen in vitro für ungefähr 30 Tage. Bei einer zweiten Operation am Sprunggelenk (zumeist mit Innen- oder Außenknöchel-Osteotomie) wird die OCL debridiert und ggf. mit autologer Spongiosa (z.B. aus der ipsilateralen distalen Tibiametaphyse) aufgefüllt. In der Originaltechnik wird Periost von der proximalen ipsilateralen Tibiametaphyse gehoben und mit resorbierbaren Nähten fixiert um den Transplantationsbereich abzudecken. Die flüssigen Knorpelzellen werden unter den Periostlappen in die sogenannte „bioaktive Kammer“ instilliert. Anschließend wird der Bereich vernäht und mit Fibrinkleber versiegelt. Die Osteotomie wird entsprechend reponiert und mit 1-2 Schrauben refixiert. Nach 1 Jahr werden die Schrauben entfernt. Giannini et al. 108 führten zu diesem Zeitpunkt eine Re-Arthroskopie durch um das Transplantat vor Ort zu beurteilen. Der AOFAS-Score verbesserte sich im Verlauf von 2 Jahren von 32,1 auf 91 Punkte. In einer ähnlichen Untersuchung Baums et al. 109 mit einem Follow-up von 63 Monaten verbesserte sich der AOFAS-Score von 43,5 präoperativ auf 88,4 Punkte postoperativ.

Zwischenzeitlich werden verschiedene Trägermaterialien eingestzt, welche als 3-dimensionales Gerüst für die Knorpelzellen dienen. Die Verwendung von Membranen als Trägermaterial hat die Implantationstechnik deutlich vereinfacht. Das Verfahren wird als „Matrix assoziierte Chondrozyten-Transplantation“ (MACT) bezeichnet.

Giannini et al. 110 verwenden ein Hyaluronan-basiertes 3-dimensionales Trägermaterial (Hyalograft C, Fidia Advanced Biopolymers, Abana Terme, Italien). Die Chondrozyten werden aus der OCL selbst gewonnen und nach in vitro-Kultivierung arthroskopisch implantiert.

In der Auswertung der 46 Patienten berichteten sie über exzellente klinische und histologische Ergebnisse, mit einer Zunahme des AOFAS-Scores von 57,2 auf 86,8. Ein hyalin-ähnliches Knorpelregenerat wurde bei 3 Patienten nach Re-Arthroskopie durchschnittlich 18 Monate nach der Operation histologisch identifiziert.

In einer eigenen Untersuchung an 18 Patienten mit einem durchschnittlichen follow-up von 24,5 Monaten nach arthroskopischer MACT unter Verwendung einer Kollagen-Membran konnten überwiegend gute bis sehr gute klinische Ergebnisse anhand des Foot Function Index (FFI) und des AOFAS-Scores, sowie stabile MRT-radiologische Ergebnisse anhand des MOCART-Scores gezeigt werden 111. Die klinischen Ergebnisse korrelierten mit dem Alter der Patienten und der Dauer der Symptome, jedoch nicht mit der Größe des Defektes vor der OP.

Die Matrix-gekoppelte autologe Chondrozytentransplantation (MACT) ist ein sicheres Verfahren für die Behandlung von osteochondralen Defekten am Sprunggelenk mit einem reproduzierbaren guten Erfolg in der klinischen und radiologischen Kontroll-Untersuchung. Es kann offen oder arthroskopisch angewendet werden und führt zu Bildung eines hyalin-ähnlichen Regeneratgewebes. Dem gegenüber stehen die höheren Kosten des Verfahrens und das zweizeitige operative Vorgehen.

Zur Vollansicht und zum Lesen der Bildbeschreibung bitte das Bild anklicken.

Metall-Implantate (Talus HemiCAP ©)

Eine kleines Metall-Implantat (Talus HemiCAP©) wurde im Jahr 2007 für mediale OCLs mit großem Kochendefekt oder zur Therapie nach fehlgeschlagener Primärbehandlung entwickelt. Die Oberfläche wird metallisch in Form eines Inlays ersetzt. Dadurch soll die Knorpeloberfläche rekonstruiert und der knöcherne Defekt dauerhaft und stabil ausgefüllt werden. Das Talus-Implantat besteht aus 15 Offset-Größen, um die Geometrie der medialen Talusschulter möglichst genau abzubilden.

Die Ergebnisse einer Kadaverstudie zeigten, dass das Implantat sicher angewendet werden kann, ohne übermäßigen Druck auf die gegenüberliegende Knorpelfläche 112.

Anhand einer weiteren Kadaverstudie konnte geschlussfolgert werden, dass die fokale Oberflächenversiegelung mit kleinen metallischen Implantaten (Inlays) das Potential zur Wiederherstellung der normalen Gelenkfunktion bei großen OCLs am Talus hat. Wichtig ist jedoch die exakte Implantat-Positionierung, da hiervon die Druckverteilung maßgeblich beeinflusst wird 113.

Die klinischen und radiologischen Ergebnisse einer prospektiven Fallstudie mit einem follow-up von 2 Jahren waren vielversprechend 114. Studien mit längerem Follow-up konnten die zunächst guten Ergebnisse nicht nachvollziehen, so dass dieses Verfahren inzwischen vor allem als Salvage Therapie eingestuft wird 115.

Zur Vollansicht und zum Lesen der Bildbeschreibung bitte das Bild anklicken.

Supramalleoläre Korrektur-Osteotomien

Patienten mit frühen Stadien einer Arthrose am Sprunggelenk sollten auf mögliche bestehende Achsabweichungen hin untersucht werden. Valgus- oder Varus-Deformitäten des Rückfußes und des Unterschenkels zeigen pathologisch veränderte Druckverteilungsmuster insbesondere im OSG, was langfristig zur Entwicklung einer asymmetrischen Sprunggelenks-Arthrose führt 116.

Korrektur-Osteotomien können die normale Biomechanik des OSG wiederherstellen und damit den degenerativen Prozess aufhalten bzw. verlangsamen 117.

Dieser Sachverhalt ist in den aktuellen Studien meist unterrepräsentiert 118. Die eventuelle Notwendigkeit von begleitenden knöchernen Korrekturen zum Re-Alignement des Rückfußes ist jedenfalls immer kritisch zu überprüfen. 

Die supramalleoläre Osteotomie ist ein gelenkerhaltendes Verfahren, das der Behandlung des exzentrischen Knorpelverlustes infolge einer übermäßigen Varus- oder Valgusfehlstellung vorbehalten ist. Der Grad der supramalleolären Fehlstellung hat einen signifikanten Einfluss auf die Kraftübertragung auf die Gelenkoberfläche 119. Die daraus resultierende fokale statische und dynamische Überlastung im Gelenk führt zu einer raschen Degeneration der Gelenkoberfläche 116120.

Supramalleolare Osteotomien werden durchgeführt, um die mechanische Achse neu auszurichten und so die Belastung im Sprunggelenk neu zu verteilen, mit dem Ziel, die degenerative Kaskade zu verzögern oder zu stoppen 118121122

Indikationen für eine supramalleoläre Osteotomie sind asymmetrische Valgus- oder Varusarthrosen mit mindestens 50% erhaltener tibiotalarer Gelenkoberfläche. Kontraindikationen sind ältere Patienten mit einer Instabilität des Rückfußes, die durch eine Bandrekonstruktion nicht behoben werden kann, Patienten mit schweren vaskulären oder neurologischen Erkrankungen der betroffenen Extremität, entzündlichen Arthritiden und aktive Infektionen. 

Ein Vorteil der medialen öffnenden Osteotomie ist die Möglichkeit der Korrektur von Fehlstellungen in der coronaren und sagittalen Ebene. Nachteilig ist die Notwendigkeit eines zusätzlichen Zugangs, falls der Patient eine Fibulaosteotomie benötigt.

Die lateral schließende Osteotomie hat den Vorteil, leicht auf die Fibula zuzugreifen, die Notwendigkeit einer eventuellen Knochentransplantatinsertion zu umgehen, sowie die inhärente Stabilität des Konstrukts zu erhöhen. Zudem werden die Weichteile weit weniger kompromittiert 123124

Für die Korrektur einer Valgus-Fehlstellung empfehlen die meisten Autoren eine medial schließende Osteotomie mit dem Ziel einer Überkorrektur von 2-4° Varus. Eine zusätzliche Fibulaosteotomie durch einen separaten lateralen Zugang ist erforderlich, wenn die Talusreposition durch die Fibula blockiert ist. Eine medial öffnende Osteotomie kann ebenfalls in Betracht gezogen werden, ist jedoch kontraindiziert bei schlechten medialen Weichteilen. Die mediale Kortikalis ist ebenfalls schwächer als lateral und kann zu einer Überkorrektur führen. 

Sobald eine supramalleoläre Korrektur erreicht ist, müssen verbleibende Fehlstellungen, Kontrakturen und Instabilitäten ebenfalls behoben werden. Dies betrifft vor allem eine mögliche Kontraktur des Subtalargelenks, der Tibialis posterior-Sehne, eine Fehlstellung des Rückfußes, oder eine Kollateralband- und Peroneus brevis-Insuffizienz. Ein Korrekturverlust kann auftreten, wenn diese Pathologien nicht bzw. nicht ausreichend adressiert wurden 121125.

Zur Vollansicht und zum Lesen der Bildbeschreibung bitte das Bild anklicken.

Gelenkdistraktionsarthroplastik

Eine Gelenkdistraktionsarthroplastik ist bei strenger Indikationsstellung , d.h. hochmotivierten Patienten mit therapierefraktären Schmerzen, erhaltenem Alignement und ausreichendem Bewegungsumfang (> 20 Grad) angezeigt, insbesondere wenn weder eine Sprunggelenkarthrodese noch eine totale Sprunggelenkarthroplastik gewünscht bzw. möglich ist. Eine gleichzeitige extraartikuläre Deformität der distalen Tibia oder des Rückfußes ist keine absolute Kontraindikation, solange Maßnahmen ergriffen werden, um die Deformität vor dem Distraktionsverfahren zu behandeln 126.

Relative Kontraindikationen sind das komplexe regionale Schmerzsyndrom (CRPS), entzündliche Arthritiden, Infektionen, neuropathische Gelenke, niedrige funktionelle Anforderungen und Steifheit (<20 Grad ROM).

Durch die Gelenkdistraktion soll die körpereigene Regenerationsfähigkeit durch mechanisches Entlasten des erkrankten Gelenks optimiert werden 127128.

Es gibt Hinweise darauf, dass die Knorpelregeneration am zuverlässigsten in einem mechanisch gut ausgerichteten und unbelasteten Zustand erfolgt 129130.

Man geht davon aus, dass mit dieser Technik verminderte Scherkräfte im Gelenk  sowie eine erhöhte Proteoglykansynthese und eine vermehrte Rekrutierung von mesenchymalen Stammzellen stattfinden 131132.

Zusätzlich zur Gelenkentlastung und externen Fixierung können knorpelreparative Maßnahmen, wie z.B. die Mikrofrakturierung, je nach individueller Pathologie des jeweiligen Patienten durchgeführt werden.

Dazu gehört auch die Verwendung von Knochenmarkaspirat aus dem Beckenkamm. Die Injektion erfolgt vor der Distraktion des Gelenks und hat sich als vielversprechende Strategie zur Förderung der Knorpelregeneration erwiesen 133134. Dies betrifft auch die Verwendung von Hyaluronsäure und Platelet Rich Plasma (PRP), was weiter oben beschrieben wurde.

Insgesamt sind die Ergebnisse zur Distraktionsarthroplastik in der Literatur unterschiedlich. Zu den mit dieser Technik verbundenen Vorteilen gehören insbesondere ein minimal-invasiver Ansatz und das Fehlen einer internen Fixierung, was zukünftige Rekonstruktionsverfahren erleichtert.

Zur Vollansicht und zum Lesen der Bildbeschreibung bitte das Bild anklicken.

Weitere Literatur

  • Felson DT. The epidemiology of osteoarthritis: prevalence and risk factors. In: Kuettner KE, Goldberg VM, eds. Osteoarthritis Disorders. Rosemont, IL: American Academy of Orthopaedic Surgeons; 1995:13–24
  • Peyron JG. The epidemiology of osteoarthritis. In: Moskowitz RW, Howell DS, Goldberg VM, Mankin HJ, eds. Osteoarthritis. Diagnosis and Treatment. Philadelphia, PA: WB Saunders; 1984:9–27
  • Wuest W, Kuwert T, Grunewald M, et al. Skeletal SPECT/CT of the peripheral extremities: interdisciplinary approach in orthopaedic disorders. First clinical results. Cent Eur J Med. 2007; 2:499-510
Loading…
Loading the web debug toolbar…
Attempt #