Vorbemerkungen

In der operativen Therapie der fortgeschrittenen und schmerzhaften Arthrose des oberen Sprunggelenkes (OSG) haben sich die Implantation einer OSG-Totalendoprothese und die OSG-Arthrodese etabliert. Langzeitprobleme nach einer OSG-Arthrodese in Form von symptomatischen Anschlußarthrosen (bis 80%ige Fusionsrate einzelner oder mehrerer peritalarer Gelenke 10 Jahre nach Arthrodese 12345) forcierten die Weiterentwicklung der OSG-Endoprothetik, trotz der Fehlschläge nach Implantation der einachsigen Zweikomponentenmodelle in den 70er Jahren. Mit der Entwicklung der modernen 3-Komponenten-OSG-Prothesen, welche Seit- und Rotationenbewegungen zulassen und eine zementfreie Implantation mit geringer knöcherner Resektion ermöglichen, konnten gute mittlere Standzeiten erreicht werden, so dass die Implantation einer OSG-Prothese inzwischen eine gleichwertige Alternative zur OSG-Arthrodese darstellt 6789 (Hintermann 2005).
Galten in den 90er Jahren knöchern und ligamentär bedingte Fehlstellung von 20-30° als relative Kontraindikation für die Implantation einer OSG-TEP, haben in den letzten Jahren kombiniert oder zweizeitig durchgeführte Rückfußkorrekturen in Form von Osteotomien bzw. Bandplastiken und Sehnentransfers zu einer deutlichen Indikationserweiterung für die Implantation einer OSG-Prothese geführt.

Operationsprinzip und –ziel

Das Operationsprinzip umfasst eine minimale Knochenresektion mit zementfreier Implantation der Prothesenkomponenten am oberen Sprunggelenk.
Ein anatomisches Komponentendesign mit der Möglichkeit von Seit- und Rotationsbewegungen des Talus in der Malleolengabel spiegelt am besten die normale Biomechanik eines Sprunggelenkes wider (Hintermann 2005).
Voraussetzungen für eine langfristige stabile knöcherne Verankerung der Komponenten sind eine möglichst große Kontaktfläche zwischen Implantat und Knochen in der subchondralen Zone sowie die Vermeidung der Schwächung der kraftübertragenden Anteile der distalen Tibia. Dies betrifft insbesondere die ventrale Kortikalis der Tibia (Hintermann 2005).
Die Schaffung einer hohen Kongruenz mit mechanisch stabiler Führung zwischen dem Polyethylen (PE)-Inlay und den metallischen Komponenten dient der Vermeidung eines komponentenbedingten PE-Abriebes. Die achsgerechte Prothesenimplantation sowie die Wiederherstellung einer stabilen und physiologischen Rückfußeinstellung durch zusätzliche korrigierende und stabilisierende Operationen (Osteotomien, Sehnentransfers, Bandplastiken, Arthrodesen) sind Voraussetzungen für die Vermeidung eines frühzeitigen Polyethylenverschleiß bzw. Komponentenlockerung (Hamel, 2006).

Ein intraoperatives Bewegungsausmaß von 30° (DE/PF 10-0-20) sollte erreicht werden, um postoperativ ein physiologisches Gangbild wiederzuerlangen. Ggf. ist die Kombination mit einer Achillessehnenverlängerung (offen/percutan) oder mit einer intramuskulären Verlängerung der Wadenmuskulatur (Einkerben der Gastrocnemiusaponeurose) erforderlich.

Ziel der Prothesenimplantation sind eine Schmerzreduktion und eine Verbesserung der Lebensqualität des Patienten sowie die Wiederherstellung eines plantigraden Fußauftrittes mit Wiedererlangen eines physiologischen Gangbildes.

Vorteile

  • Vermeidung einer Überlastung der Nachbargelenke (Subtalargelenk, Talonavikulargelenk, Calcaneocubiodalgelenk).
  • Schnellere Rehabilitation im Vergleich zur Arthrodese.
  • Gute biologische knöcherne Integration der Prothesenkomponenten aufgrund der porösen Komponentenoberfläche/Calcium-Hydroxylapatitbeschichtungen.
  • Wiedererlangen eines physiologischen Gangbildes (Schrittlänge und Schrittgeschwindigkeit).
  • Revisionskomponenten für Tibia und Talus verfügbar.

Nachteile

  • Hohe Lernkurve der OP Technik.
  • Polyethylenabrieb, insbesondere bei verbliebener Rückfußdeformität oder persistierender Instabilität nach Prothesenimplantation. Als prognostisch ungünstig gilt, wenn der Gleitkern über die metallischen Komponenten der Prothese hinausragt.
  • Periprothetische Zystenbildung 10.
  • Ausbildung periartikulärer Ossifikationen mit sekundärer Bewegungseinschränkung.
  • Bei Unterdimensionierung der Prothesenkomponenten: erhöhtes Risiko der Komponentensinterung.
  • Bei Überdimensionierung der Prothesenkomponenten: Impingementsymptome, knöcherne Destruktion distale Fibula/Innenknöchel.
  • SALTO Tibiakomponente: in ventro-dorsaler Richtung ist die Komponente in manchen Fällen unterdimensioniert, mögliche Entwicklung eines dorsalen Impingements bzw. Zysten.
  • Implantatkosten.

Indikationen

  • Fortgeschrittene schmerzhafte OSG Arthrose unterschiedlicher Genese:
    • Posttraumatische Arthrose
    • Postarthritischer Gelenkdestruktion (Rheumatoide Arthritis; Psoriasis; periphere Gelenkbeteiligung bei seronegativen Spondylarthropathien; nach Gelenkempyem bei sicher nachgewiesener Infektfreiheit).
    • Primäre Arthrose.
    • Sekundärer Arthrose bei anderen Grunderkrankungen (Hämochromatose, Kristallarthropathien, angeborene Fußdeformitäten).

Kontraindikationen

  • Nicht korrigierbare Rückfußfehlstellungen.
  • Hochgradige muskuläre oder ligamentäre Instabilität.
  • Gelenkdestruktion bei Neuoarthropathie.
  • Neurogene Fehlstellungen des Sprunggelenks.
  • Massive Osteoporose.
  • Lähmungen.
  • Massive knöcherne Destruktionen mit unsicherer Komponentenverankerung.
  • pAVK IV°.
  • Junger, schwer körperlich arbeitender Patient – Hier besteht nach wie vor die Indikation zur Arthrodese des oberen Sprunggelenks in einer Technik die ggf. zu einem späteren Zeitpunkt eine Konversion in eine Arthroplastik zulässt (z.B. 3-Schrauben-OSG Arthrodese nach Zwipp, Arthroskopische OSG-Arthrodese).
  • Talusnekrose (> 50% des Taluskörpers).
  • Persistierender Infekt im Gelenk oder den umgebenden Weichteilen.
  • Schlechte Weichteildeckung am distalen Unterschenkel, insbesondere ventrales Sprunggelenk.
  • Adipositas permagna (BMI>35), wobei ein mäßiges Übergewicht zu keiner Verschlechterung der Resultate zu führen scheint 11.

Patientenaufklärung

  • Intraoperative Innen-/Außenknöchelfraktur.
  • Zusätzliche knöcherne Eingriffe am Rückfuß zur Korrektur von Deformitäten, Sehnentransfers, bandstabilisierende Maßnahmen, Verlängerung Achillessehne/Wadenmuskulatur.
  • Wundheilungsstörung: bei großflächigen tiefen Defekten kann im Verlauf eine freie Lappenplastik zur Defektdeckung erforderlich werden.
  • Funktionseinschränkung der Strecksehnen infolge einer Tenodese.
  • Unterschenkelamputation bei nicht beherrschbarem Infekt, Fehlschlag einer sekundären Weichteildeckung bzw. bei postoperativen Durchblutungsstörungen.
  • Verletzung der A. dorsalis pedis.
  • Früh/Spätinfekt mit ein/zweizeitigem Prothesenwechsel oder Prothesenausbau
  • Prothesenlockerung: Komponentenwechsel möglich, wenn eine ausreichende Knochensubstanz zur Wiederverankerung einer zementfreien Revisionskomponente vorhanden ist. Alternative: Prothesenausbau und nachfolgende OSG Arthrodese, ggf. Erweiterung auf eine pantalare Arthrodese bei großen knöchernen Defekt am Talus mit Destruktion des Subtalargelenkes erforderlich
  • Periprothetische Zystenbildung.
  • Polyethylen-Abrieb mit erforderlichem Inlaywechsel.
  • Inlay/Gleitkern-Bruch.
  • Periprothetische Ossifikationen mit sekundärer Bewegungseinschränkung.
  • Verletzung des N. peroneus superficialis.
  • Verletzung der Flex. hallucis longus oder Tibialis anterior Sehne.
  • Stenose/Verschluß der A. dorsalis pedis im Rahmen des schichtweisen Wundverschlußes mit Entwicklung einer Wundheilungsstörung.
  • Jährliche Rate an operativen Revisionen unterschiedlicher Ursache 3-4% der Patienten (Coetzee, 2009).
  • Implantatunverträglichkeit.
  • 6 wöchige Ruhigstellung in einem Unterschenkelwalker; 2 Wochen 20 kg Teilbelastung; Beginn einer Krankengymnastik und Belastungsaufbau nach sicherem Abschluß der Wundheilung.
  • Anschlussheilbehandlung erst 6 Wochen postoperativ sinnvoll möglich mit Gangschulung im Konfektionsschuh, Muskelaufbau, Ergometertraining, Aufdehnung der Wadenmuskulatur/Achillessehne.
  • Verzögerter Belastungsaufbau und Mobilisierung im Konfektionsschuh bei zusätzlichen knöchernen Rückfußkorrekturen oder Sehnentransfers (10-12 Wo. Unterschenkelwalker).
  • Arbeitsunfähigkeit: In Abhängigkeit vom Beruf ca. 3 Monate, ggf. stufenweise Wiedereingliederung. Berufe mit hoher Beanspruchung des Sprunggelenks können auch nach erfolgreicher Operation nicht wieder ausgeführt werden (z.B. Dachdecker, Gerüstarbeiter).
  • Persistierende Schwellungsneigung.
  • Kein selbständiges Führen eines Kraftfahrzeuges ca. 8 Wochen (Ausnahme Automatikgetriebe und linke betroffene Extremität).
  • Regelmäßige klinische und radiologische Kontrollen: 6 Wochen postoperativ; 3,6,12 Monate postoperativ, dann im Abstand von 12-18 Monaten.
  • Freiwillige Teilnahme am Prothesenregister.
  • Aufklärung über operative und konservative Alternativen (OSG Arthrodese; Maßschuhversorgung).
  • Thromboseprophylaxe bis zum Wiedererreichen der Vollbelastung im Konfektionsschuh (6 Wochen; bei Zusatzeingriffen evtl. 10-12 Wochen).
  • Eingeschränkte Sportfähigkeit auch bei erfolgreicher Operation. Sportarten mit unkontrollierter Belastung des Sprunggelenks, schnellen Richtungswechseln oder hoher Stoßbelastung sind nicht empfehlenswert und können von den meisten Patienten auch nicht durchgeführt werden 12.

Operationsvorbereitungen

  • Präoperative Röntgenaufnahmen:
    • Sprunggelenk mit Belastung 2 Ebenen.
    • Fuß mit Belastung 3 Ebenen (Stellung des Fußes, Zustand Talonaviculargelenk und Calcaneocuboidalgelenk).
    • Saltzman Aufnahme (Verifizierung von Rückfußfehlstellungen) 1314.
    • Einbeinstandaufnahme (Fehlstellungen im Unterschenkel; Varus/Valgus-Beinachse).
    • Gehaltene Aufnahme im Seitenvergleich bei präoperativer ligamentärer Instabilität.
  • Optional MRT mit Kontrastmittel zur Beurteilung der Durchblutungssituation des Knochens und bei Verdacht auf Osteonekrosen (Stäbler 2012).
  • Optional CT; insbesondere bei ausgedehnten Knochendestruktionen.
  • Berücksichtigung von weiteren Pathologien wie Vernarbungen der Weichteile, Neuropathien, vorbestehende degenerative Veränderungen im unteren Sprunggelenk oder Talonavikulargelenk.
  • Dokumentation der präoperativen peripheren Durchblutung/Pulsstatus.
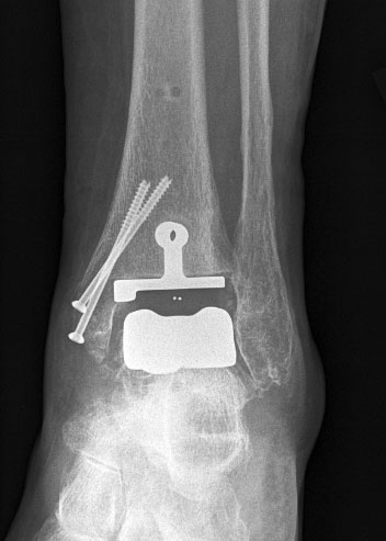
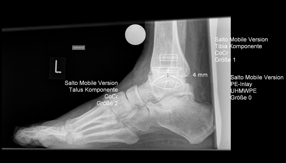
  • Prothesenplanung anhand von Röntgenschablonen (Abb. 1 und 2).
  • Gewährleistung, daß alle Implantate vorhanden sind.
  • Gewährleistung der postoperativen häuslichen Patientenversorgung.
  • Patienten mit Basistherapie und/oder Immunsuppression: perioperative Anpassung der medikamentösen Therapie, ggf. in Absprache mit dem behandelnden Internisten/Onkologen.

Instrumentarium

  • Instrumentarium SALTO II/Talaris
  • Stichsäge (Schutz des Innenknöchels, mediale Ausrichtung der Tibiakomponente)
  • Rangeur, Knochenstanze (Erleichtert die dorsale Arthrolyse. Die vollständige Entfernung der dorsalen Osteophyten ist zur Prävention dorsaler periartikulärer Ossifikationen sinnvoll.)
  • 4,5 mm od. 7,0 mm durchbohrte Schrauben bei zusätzlichen knöchernen Rückfußkorrekturen oder Arthrodesen.
  • Fadenanker für Sehnentransfers
  • Bildverstärker

Anästhesie und Lagerung

  • Allgemeinanästhesie (Intubationsnarkose oder Larynxmaske) oder Regionalanästhesie (Ischiadicus- und Femoraliskatheter) oder rückenmarknahe Anästhesieform
  • Oberschenkelblutleere 40-100 mmHg über dem systolischen Blutdruck; Anpassung der Manschettengröße in Abhängigkeit des Oberschenkelumfanges zur Vermeidung einer venösen Stauung
  • Rückenlagerung, Unterlagerung der seitengleiche Hüfte, um der spontanen Außenrotation des Unterschenkels entgegenzuwirken und eine gute Aufsicht auf das Sprunggelenk zu ermöglichen
  • Die Fersen des Patienten sollen mit dem Tischende abschließen (Abb. 3)
  • Strahlenschutzmatte; die intraoperative Darstellung des ipsilateralen Hüftgelenkes zur Überprüfung der mechanischen Beinachse (Hüftkopfzentrum/Kniegelenk/ Sprunggelenk) sollte gewährleistet sein

Postoperative Behandlung

  • 1. Verbandswechsel am 2. postoperativen Tag mit Drainagenentfernung.
  • 1.-6. Woche Ruhigstellung in einer dorsalen Unterschenkel-Kunststoffschiene, nach Abschwellung am Tag Ruhigstellung in einem Unterschenkelwalker, zur Nacht in der Schiene; bei knöchernen Zusatzeingriffen bzw. Sehnentransfers weitere Ruhigstellung im Unterschenkelwalker am Tag bis Ende der 12. Woche; aktiver Hinweis auf einen vollständigen Fersenkontakt im Walker zur Vermeidung einer Spitzfußkontraktur.
  • 1.-2. Woche Teilbelastung 20 kg, nach sicherem Abschluss der Wundheilung schmerzadaptierter Belastungsaufbau; bei knöchernen Zusatzeingriffen bzw. Sehnentransfers 6 Wochen 10-20kg Teilbelastung, dann Belastungsaufbau über weitere 4-6 Wochen.
  • Beginn von selbständigen Bewegungsübungen in Dorsalextension/Plantarflexion nach sicherem Abschluss der Wundheilung, keine Pro/Supinationsbewegungen für 6 Wochen
  • Nach 6 Wochen (bei Zusatzeingriffen 10-12- Wochen) Beginn einer Gangschulung im Konfektionsschuh ggf. mit Einlagenversorgung, aktive und passive Krankengymnastik mit Aufdehnen der Wadenmuskulatur/Achillessehne; Muskelstabilisierung, Ergometertraining, Wassergymnastik.
  • Röntgenkontrollen: 2 Tage postoperativ, 6 Wochen postoperativ; 3, 6, 12 Monate postoperativ, dann im Abstand von 12-18 Monaten.
  • Arbeitsunfähigkeit: 2-3 Monate in Abhängigkeit vom Beruf, ggf. Wiedereingliederung.
  • Sport: Vermeidung von „Stop-and-Go“ Bewegungen und von hohen Scher/Stoßkräften;
    • gut möglich: Radfahren, Schwimmen, Wanderungen 3-4 Stunden, Golf, Skilanglauf, Tennis-Doppel
    • nicht zu empfehlen: Ski alpin, Klettern, Joggen, Volleyball, Fußball, Surfen, Squash 12.

Fehler, Gefahren, Komplikationen

Osteosynthese eines intraoperativ frakturierten medialen Malleolus mit perkutanen Schrauben.
Abbildung 19
  • Fehler
    1. intraoperative Innenknöchelfraktur:
      Mögliche Ursachen können eine zu weit medial plazierte Tibiakomponente oder eine zu weit mediale, nicht nach lateral konvergierende Sägerichtung im Rahmen der ventrodorsalen distalen Tibiaresektion sein (Abb. 19).
    2. intraoperative Außenknöchelfraktur:
      Mögliche Ursachen können eine zu groß gewählte Tibiaresektionslehre oder eine zu weit laterale, nicht nach medial konvergierende Sägerichtung im Rahmen der ventrodorsalen distalen Tibiaresektion sein.
    3. Plazierung der Taluskomponente zu weit ventral:
      Ursache ist eine unzureichende Entfernung der ventralen Talusosteophyten
    4. Plazierung der Taluskomponente zu weit dorsal:
      Ursache ist die zu weit dorsale Ausrichtung der ventralen Talusresektionslehre unter Nichtbeachtung der zur Orientierung angebrachten Markierung an der Resektionslehre. Diese sollte mit der ventralen Tibiakante in Neutralstellung des Rückfußes abschließen.
    5. Plazierung der Tibiakomponente in Varus- oder Valgusfehlstellung:
      Die intraoperative Überprüfung der mechanischen Beinachse nach Festlegung der Resektionsebene ist empfehlenswert. Eine asymmetrische Resektion ist bei präoperativ pathologischem distalen Gelenkwinkel erforderlich.
    6. Plazierung der Taluskomponente in Varus- oder Valgusfehlstellung:
      Eine asymmetrische Resektion ist bei präoperativ pathologischer intrartikulärer Talusfehlstellung, evtl. auch in Kombination mit einer Rückfußfehlstellung oder Bandinstabilität erforderlich. Diese ist durch das Anbringen der Platzhalter an der medialen oder lateralen Schiene der Talusdomresektionslehre möglich.
    7. Verschiebung der Gelenklinie nach proximal durch zu hohe Resektion der distalen Tibia bzw. nach distal durch eine zu hohe Talusdomresektion.
    8. Verletzungen Tib. ant. Sehne; Extensor hallucis Sehne; Flexor hallucis Sehne; A. dorsalis pedis.
  • Gefahren
    1. Wundheilungsstörung infolge einer hohen intraoperativen Druck- und Zugbelastung auf den periartikulären Weichteile; Lösung: dosierte Weichteilbehandlung durch die Hacken durch den Assistenten; aktive Erinnerungen während der Operation (Abb. 20 und 21)
    2. Dorsales Auslaufen der Tibiakomponente, wenn beim Bohren der Tibiaverankerung oder beim Einschlagen der Tibiakomponente ventral zu großer Druck ausgeübt wird.
    3. Unterdimensierung der Prothesenkomponenten: Einsinken der Prothese; Ossifikationen, insbesondere dorsale Tibia
    4. Überdimensierung der Prothesenkomponenten: Impingement, Malleolenfrakturen (Abb. 22).
  • Komplikationen
    1. 1. Frühkomplikationen (bis 6 Monate postoperativ):
      1. Wundheilungsstörung: siehe oben
      2. Frühinfekt: 1.-6. postoperative Woche: Weichteildebridement; lokale Einlage von Antibiotikumträgern; systemische resistenzadaptierte Antibiose; Inlaywechsel unter Erhalt der Tibia- und Taluskomponente
      3. Innenknöchelfraktur im Verlauf des Belastungsaufbaus: konservative Therapie bei nicht dislozierter Fraktur mit guter Prognose einer Konsolidierung unter Ruhigstellung; bei dislozierter Fraktur mit sekundärer intraartikulärer Fehlstellung der Komponenten bzw. bei postoperativ persistierender Rückfußfehlstellung Indikation zur frühzeitigen Revision (Innenknöchelosteosynthese und Reposition,ggf. in Kombination mit zusätzlicher Rückfußkorrektur/stabilisierung)
    2. Spätkomplikationen (länger 6 Monate postoperativ):
      1. Malalignment / Fehlpositionierung von Komponenten: siehe Erläuterungen unter „Fehler“
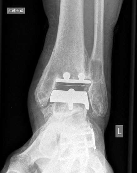
      2. Periartikuläre Zystenbildung (Abb. 23) 15.
      3. Periartikuläre Ossifikationen mit sekundärer Einschränkung der ROM (Abb. 24) 1617.
      4. Aseptische Komponentenlockerung/Inlaybruch.
      5. chronisches regionales Schmerzsyndrom.
      6. Spätinfekt: Prothesenausbau; Einlage eines Zementspacers, ggf. mit resistenzadaptierten Antibiotikumzusatz; Reimplantation einer Prothese bei ausreichender Knochensubstanz oder Interpositionsarthrodese des OSG; bei zusätzlicher Destruktion des unteren Sprunggelenkes pantalare Arthrodese 18.

Ergebnisse

Im Zeitraum zwischen 2006-2010 analysierten wir 118 SALTO-OSG-Prothesen bei 118 Patienten, 67 (56,8%) ohne zusätzliche Rückfußeingriffe, 51 (43,2%) mit zusätzlicher Rückfußkorrektur. Die Patienten wurden klinisch und radiologisch nachuntersucht. Das mittlere Follow up betrug 36 Monate.
Der AOFAS hindfoot score wies bei den Patienten ohne zusätzliche Rückfußkorrektur eine Steigerung von 40,8 Punkten präoperativ auf 86,2 Punkte postoperativ (2 Jahre postoperativ) auf. Bei den Patienten mit zusätzlicher Rückfußkorrektur wurde eine Steigerung von 39,0 auf 83,6 Punkte beobachtet.
Der Bewegungsumfang im OSG verbesserte sich bei den Patienten ohne zusätzlichen Korrektureingriff von präoperativ 25,4° auf 32,3° 24 Monate postoperativ (Dorsalextension von 2,9° auf 6,4°; Plantarflexion von 22,5° auf 25,7 °). Bei den Patienten mit vorbestehender Rückfußfehlstellung beobachteten wir nach Prothesenimplantation mit Rückfußkorrektur ebenfalls eine deutliche Steigerung des Bewegungsumfanges im OSG von präoperativ 22,2° auf 29,6° 24 Monate postoperativ (Dorsalextension von 0,9° auf 6,0°; Plantarflexion von 20,0° auf 23,6 °).
In beiden Gruppen konnte eine postoperative Schmerzreduktion (VAS Skala) auf 2,2 bzw. 2,4 beobachtet werden.
Eine Prothesenrevision wurde in beiden Gruppen in 15 Fällen (12,7%) erforderlich. In 5 Fällen (alle mit zusätzlicher Rückfußkorrektur) trat eine tiefe Wundheilungsstörung auf. Aufgrund eines Frühinfektes war die Indikation zum Prothesenausbau gegeben. 3 Komponentenwechsel erfolgten bei einer aseptischen Frühlockerung (ohne Rückfußdeformität ) und in 2 Fällen bei Komponentenmalalignements (je 1 Fall pro Patientengruppe). In 2 Fällen (ohne Rückfußdeformität) beobachteten wir eine periprothetische Zystenbildung mit Notwendigkeit zur Revision und Auffüllung, in weiteren 3 Fällen (ohne Rückfußdeformität) entwickelte sich eine symptomatisches Impingement mit Ossifikationen. Dies deckt sich mit den Beobachtungen von Cotzee (2009) der in einer Metaanalyse über eine Revisionsrate von 3 – 4% berichtet.

2004 zeigte Kofoed 8 den Vorteil der zementfreien Implantation gegenüber der zementierten Komponentenverankerung mit einer höheren Überlebensrate nach 10 Jahren von 95,4% (zementfreie Implantation) versus 70% (zementierte Implantation) bei 58 S.T.A.R.™ Prothesen auf. Auch das funktionelle Ergebnis war nach zementfreier Prothesenimplantation besser als bei zementierter Komponentenverankerung.

Die von Schenk et al. 19 puplizierten Ergebnisse bei 218 implantierten SALTO Prothesen (FU 3,6 Jahre) weisen einen postoperativen AOFAS Score Anstieg (von 50,9 auf 82,2 Punkte) auf. Die dort berichtete Revisionsrate von 11,0% entspricht unseren Ergebnissen. Hintermann et al. 7beobachtete 3 Jahre nach Implantation von 271 Hintegra®-Prothesen eine AOFAS Score Steigerung von präoperativ 40,3 auf 85,0 Punkte sowie eine Revisionsrate von 14,4%.
Mann et al. 20 untersuchte 84 S.T.A.R.™ Prothesen mit einem Follow up von 9,1 Jahren nach und wies gute Prothesenstandzeiten mit guter postoperativer Funktion nach (Steigerung AOFOS von 42,7 auf 81,9 Punkte; Revisionen im Beobachtungszeitraum von 17,0%; 5-Jahresüberlebensrate: 96% ; 10-Jahresüberlebensrate: 90%).
Eine geringe Revisionsrate von 7,0% publizierten Wood et al. 21 3,9 Jahre nach 200 implantierten S.T.A.R. ™ Prothesen. 2009 berichteten Wood et al. 22 über die Ergebnisse nach je 100 implantierten S.T.A.R. Prothesen und Buechel-Pappas™ (BP)-Prothesen mit einem Follow up von 4,5 Jahren. Sie fanden gute funktionelle Ergebnisse. Der AOFAS Score verbesserte sich bei der S.T.A.R. Prothese von 38 auf 83 Punkte, bei der BP™ Prothese von 40 auf 87 Punkte. Die Revisionsrate lab mit 18,0% etwas höher als in den anderen Veröffentlichungen.

Weitere Literatur

  • Coetzee J, Hurwitz S.: Arthritis and Arthroplasty. The Foot and Ankle. Philadelphia, Saunders Elsevier, 2009.
  • Hintermann B. Endoprothetik des Sprunggelenkes. Wien New York: Springer-Verlag, 2005.
  • Hamel J.: Tibialis anterior Versetzung im Rahmen der OSG-Endoprothetik – erste Erfahrungen. Fuß und Sprunggelenk (2008) 6:37-44.
  • Stäbler A.: Bildgebende Diagnostik des Fußes. Stuttgart, Thieme, 2012.
Loading…
Loading the web debug toolbar…
Attempt #