Vorbemerkungen

Die anfangs kontrovers diskutierte Arthrodese des 1. Tarsometatarsalgelenkes (Albrecht 1911; Lapidus 1934) ist heute eine anerkannte und effiziente operative Behandlungsmethode eines mittelschweren und schweren Hallux valgus, insbesondere bei Instabilität des TMT-1-Gelenkes 1. Die zusätzliche Plantarisierung des ersten Strahls führt zu einer vermehrten Lastaufnahme des Os metatarsale I und hilft die verfahrensimmanente Verkürzung des Os metatarsale I auszugleichen 2. Wundheilungsstörungen sowie eine hohe Pseudarthroserate werden allerdings immer noch als problematisch erachtet 34. Beim Vorliegen eines Pes adductus kann das Korrekturpotential der Lapidusarthrodese nicht vollständig genutzt werden, da die adduzierten Ossa metatarsalia die Korrektur des Os metatarsale I limitieren. In der Literatur finden sich verschiedene Empfehlungen zur Therapie der Vorfußadduktion wie komplexe simultane distale Weichteileingriffe oder Korrekturen der Ausrichtung der Ossa metatarsalia durch basisnahe Osteotomien 5. Engel et al. 6 stellten eine einfache Messmethode des Vorfußalignments vor. Der vergrößerte Vorfußadduktionswinkel weist auf das Vorliegen des Pes adductus hin. Dies führt zu einer relativen Abnahme des Intermetatarsalwinkels, was wiederum zu Fehleinschätzungen, inadäquater Therapiewahl und damit zu einer erhöhten Rezidivgefahr nach operativer Therapie führen kann.

Das von Sharma et al. 5 vorgestellte Konzept empfiehlt die Durchführung basisnaher, lateralisierender Osteotomien der adduzierten Metatarsalia, bevor die endgültige TMT-1 Arthrodese vorgenommen wird.  Dieser Zusatzeingriff erfordert separate Zugänge und verursacht ein zusätzliches Weichteiltrauma mit erhöhtem Risiko postoperativer Komplikationen. Des Weiteren kann aufgrund der erforderlichen Osteosynthesen der Belastungsaufbau nur langsam erfolgen.

Das hier vorgestellte Konzept beruht auf den grundsätzlichen Überlegungen von Sharma, unter Anwendung der Prinzipien der minimalinvasiven Fußchirurgie. Die Korrektur der Adduktionsfehlstellung der Metatarsalia II bis IV erfolgt über eine modifizierte, lateralisierende, distale, minimalinvasive Metatarsale-Osteotomie (DMMO) (interner Link: OP Technik DMMO). Die Osteotomie der Metatarsalia II bis IV ohne Osteosynthese erlaubt eine limitierte Verlagerung der Metatarsaleköpfchen nach kranial, was ein etabliertes Verfahren zur Therapie einer Metatarsalgie darstellt 7. Eine zusätzliche, im Normalfall unerwünschte Lateralverschiebung der Metatarsaleköpfchen kann bei einem Pes adductus zur Korrektur genutzt werden. Verglichen zu offenen Therapieverfahren ermöglicht dieses Konzept die Korrektur der Adduktionsstellung der Metatarsalia II bis IV bei minimiertem Weichteiltrauma und verkürzter die OP-Dauer. Persönliche Erfahrungen mit dem Verfahren deuten darüber hinaus auf ein geringeres postoperatives Schmerzniveau, eine einfachere Mobilisierbarkeit und eine hohe kosmetische Zufriedenheit hin.

Operationsprinzip und -ziel

Das hier vorgestellte Verfahren umfasst die Kombination verschiedener etablierter Konzepte, die sich zur Korrektur eines des Pes adductus mit Hallux valgus Deformität in besonderer Weise eignen. Dabei wird eine offene Lapidus Arthrodese mittels winkelstabiler plantarer Platte mit verschiedenen perkutanen distalen Eingriffen zur Korrektur der Pes adductus Fehlstellung kombiniert 8910.

Vorteile

  • Distale minimalinvasive OP-Verfahren mit sehr geringer Morbidität und ohne Notwendigkeit einer Osteosynthese:
    • Abtragung der Pseudoexostose und lat. Release.
    • Reverdin/Isham-Osteotomie zur Korrektur des distalen Metatarsalegelenkwinkels (Distal Metatarsal Articular Angle – DMAA).
    • Akin-Osteotomie zur Korrektur eine Hallux valgus interphalangeus (Proximal Phalangeal Articular Angle – PPAA).
    • Modifizierte lateralisierende DMMO der Metatarsale II bis IV.
    • Kleinzehenkorrektur in minimalinvasiver Technik.
  • Durch die durchgeführte DMMO:
    • Sofortige postoperative schmerzadaptierte Belastung (auf der Fußaußenseite/lat. Säule) möglich und notwendig.
    • Sehr geringes Risiko der Entwicklung einer Metatarsalgie 11.
  • Vollständiger Erhalt der Gelenkkapsel des Großzehengrundgelenkes und somit keine Kompromittierung der Durchblutung des Metatarsaleköpfchens.
  • Kürzere Operationsdauer verglichen mit offenen Eingriffen zur Korrektur des Pes adductus.
  • Verkürzung der Blutleere-Zeit.
  • Reduktion des Thromboserisiko durch frühzeitigen Belastungsaufbau.
  • Postoperativ lediglich ein Verbandsschuh erforderlich.
  • Durch geringes Weichteiltrauma geringes Risiko von störenden Narben.
  • Kombinierbarkeit der verschiedenen Verfahren je nach Grad der Fehlstellung.
  • Arthrodese des TMT-I-Gelenks mit plantarer Plattenosteosynthese:
    • Biomechanisch günstige Implantatplatzierung.
    • Hohe Primärstabilität durch winkelstabile Implantate.
    • Schnellerer Belastungsaufbau möglich.
    • Geringere Pseudarthroserate als bei Schraubenosteosynthesen 12.

Nachteile

  • Die Verkürzung des Os metatarsale I durch die Kombination zweier verkürzender Verfahren (TMT-I-Arthrodese, Reverdin-Isham) kann zur reduzierten Kraftentwicklung der Großzehenflexoren führen 13.
  • Primärstabilität der Arthrodese kann bei Patienten mit schlechter Knochenqualität beeinträchtigt sein.
  • Erfahrung in der minimalinvasiven Vorfußchirurgie wird vorausgesetzt.

Indikationen

  • Mittelschwerer bis schwerer Hallux valgus mit instabilem oder arthrotisch veränderten TMT-I-Gelenk, sowie Pes adductus der Metatarsalia.
  • In Abhängigkeit der Fehlstellung kann die Indikation für die einzelnen zusätzlichen Komponenten befundabhängig gestellt werden:
    • Adduktionsstellung der Metatarsalia II-III (IV) mit oder ohne Metatarsalgie: lateralisierende DMMO.
    • Metatarsalgie ohne Adduktionsstellung der Metatarsalia: klassische DMMO.
    • Adduktionsstellung der Kleinzehen: mediale closing wedge Osteotomie der Grundphalanx der Kleinzehen.
    • Hallux valgus interphalangeus: minimalinvasive Akin-Osteotomie.
    • Reverdin-Isham-Osteotomie: valgischabgekippter Gelenkflächenwinkel des Großzehengrundgelenks.

Relative Kontraindikationen

  • Kurzes Os metatarsale I:
    • Die Durchführung einer simultanen DMMO ausdrücklich empfehlenswert.
    • Eine starke Verkürzung des Os metatarsale I kann durch die Interposition eines trikortikalen Knochenspanes ausgeglichen werden.
  • Schlechte Knochenqualität bei schwerer Osteoporose.

Kontraindikationen

  • Infekt im Bereich des Operationsgebietes.
  • Schwere Arthrose des Großzehengrundgelenkes.
  • Periphere Durchblutungsstörungen.

Patientenaufklärung

  • Allgemeine Operationsrisiken.
  • 6-8 Wochen schmerzadaptierte Belastung im Verbandsschuh mit dünner, steifer Sohle oder Walker.
  • Schonung in den ersten 2 postoperativen Wochen mit häufigem Hochlagern und Kühlen der operierten Extremität.
  • Rezidivrisiko unter 5% 14.
  • Überkorrektur, Hallux varus.
  • Schwächung der Zehenbeuger möglich.
  • Verzögerte Knochenheilung mit Korrekturverlust und Materialversagen.
  • Materialunverträglichkeit.
  • Mehrere Monate anhaltende Schwellneigung, insbesondere aufgrund der DMMO.
  • Weites und weiches Konfektionsschuhwerk ab 6-8 Woche.
  • Arbeitsunfähigkeit: ca. 2 Wochen (sitzende Tätigkeit) und ca. 8-10 Wochen (stehende Tätigkeit).
  • Fahrtauglichkeit: Erst bei vollständiger Konsolidierung der Arthrodese gegeben (Ausnahme: Bei OP am linken Fuß und Automatikgetriebe nach Absetzen der Analgetika).

Operationsvorbereitungen

  • Anamnese und klinische Untersuchung mit Beurteilung des Gangbildes, Pulsstatus und Sensibilität.
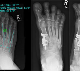
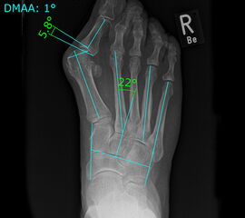
  • Belastete Röntgenaufnahmen in 2 Ebenen.
  • Klinische Prüfung der TMT 1-Stabilität.
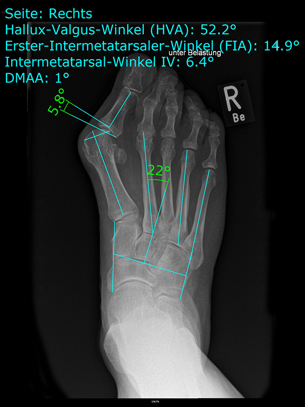
  • Folgende Winkel können präoperativ zur Erleichterung der Planung am Röntgenbild eingezeichnet werden:
    • IMW (Intermetatarsalwinkel).
    • HVW (Hallux valgus-Winkel).
    • DMAA (Distal Metatarsal Articular Angle) – Planung der ggf. notwendigen Reverdin-Isham-Osteotomie.
    • PPAA (Proximal Phalangeal Articular Angle) – Planung der ggf. notwendigen Akin-Osteotomie.
    • VAW (Vorfußadduktionswinkel) – Planung der Ausrichtung der DMMO (Distalen minimalinvasiven Metatarsale Osteotomien).

Einschränkend ist anzumerken, dass o.g. Winkel projektions- und rotationsabhängig sind 15. Daher ist intraoperativ die Planung anhand von Bildverstärkeraufnahmen zu verifizieren und ggf. anzupassen.

Zum Lesen der Bildbeschreibung und zur Vollansicht bitte das Bild anklicken.
  • Turbine für minimalinvasive Fußchirurgie (Drehzahl ca. 2000-5000 RPM und Drehmoment 80 N/cm).
  • Konische Fräse (Wedge burr 13 mm / 4,3 mm Ø).
  • Gerade Fräse (Straight burr 13mm / 2mm Ø) Shannon recta 2.0.
  • Beaver-Blade Messer.
  • MIS-Raspatorien.
  • winkelstabiles plantares Plattensystem.
  • BV für intraoperative Kontrollaufnahme.

Anästhesie und Lagerung

  • Narkoseart: Intubations-, Larynxmaskennarkose, Spinalanästhesie, distaler Ischiadicuskatheter oder Fußblock.
  • Blutleere (350mmHg, bzw. ca. 100mmHg über dem systolischen Blutdruck) am Oberschenkel.
  • Rückenlagerung.
  • Fuß ist auf der unteren Tischkante gelagert, so dass der Zugang von allen Seiten möglich ist (Abb. 3).
  • Strahlenschutzmatte und Röntgenschürzen für das OP-Personal.

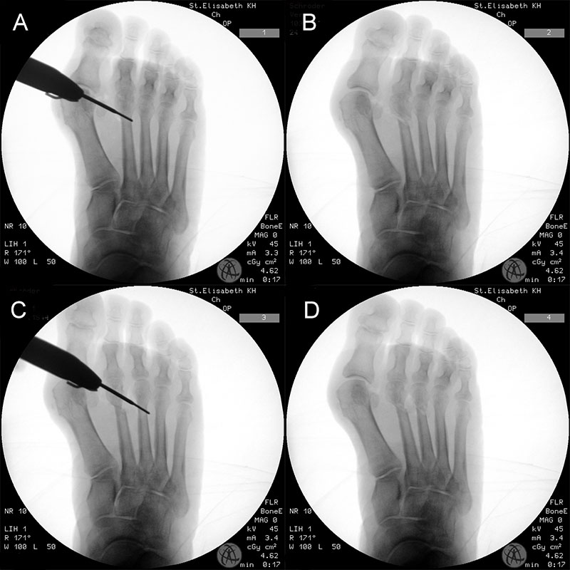
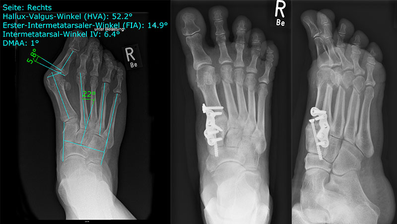
Operationstechnik

Zum Lesen der Bildbeschreibung und zur Vollansicht bitte die Bilder anklicken.

Postoperative Behandlung

  • Schmerzadaptierte Belastung des Fußes in einem Verbandsschuh mit steifer Sohle oder einem Walker während der ersten 6 Wochen. Die Patienten werden physiotherapeutisch geschult den Fuß vorwiegend lateral des 2. Metatarsale zu belasten und den ersten Strahl zu schonen. Nach einer DMMO ist die Belastung des Fußes von besonderer Bedeutung, denn nur unter Belastung kommt es zu der erwünschten Kranialisierung der Metatarsaleköpfchen 1617.
  • Bei postoperativer Schwellungsneigung ist eine Schonung (Aufklärung und Compliance des Patienten), Kryotherapie sowie Verordnung von Lymphdrainagen von besonderer Bedeutung.
  • Nach Konsolidierung der Weichteile und Fadenzug wird eine konfektionierte Hallux valgus-Redressionsschiene angelegt. Empfohlen wird die Schiene Tag und Nacht zu tragen. Regelmäßige Kontrollen (alle 2 Wochen) haben sich bewährt.
  • Nach 6 Wochen erfolgt eine geplante Röntgenkontrolle und bei regelrechter Konsolidierungstendenz der Arthrodese schrittweiser Übergang zur Vollbelastung im weiten, weichen, konfektionierten Schuhwerk. Die Hallux valgus-Redressionsschiene wird nur noch zur Nacht angelegt.

Fehler, Gefahren, Komplikationen

  • Wie bei allen Operationen unter Blutleere besteht postoperativ durch die reaktive Hyperämie eine Schwellneigung. Der Patient ist auf eine notwendige Schonung, Hochlagerung und Kryotherapie hinzuweisen. Lymphdrainage wird in Abhängigkeit vom Lokalbefund empfohlen.
  • Eine zu ausgedehnte Resektion der Exostose kann zu einer medialen Luxation des Sesambeinkomplexes führen.
  • Eine Überkorrektur mit konsekutivem Hallux varus ist aufgrund der fehlenden offenen Raffung der medialen Kapsel sehr unwahrscheinlich und im eigenen Patientenkollektiv bisher nicht beobachtet worden – theoretisch aber z.B. durch Narbenzug denkbar.
  • Wie bei allen minimalinvasiven Eingriffen besteht die Gefahr der Sehnen- und Gefäßverletzung. Insbesondere sollte darauf geachtet werden, dass keine Weichteile gegen die laufende Fräse gedrückt werden 16. Des Weiteren ist immer auf eine ausreichende Wasserkühlung der Haut zu achten (Link Grundlagen MIS).
  • Zur Minimierung des Risikos einer Pseudarthrose empfehlen wir NSAR nur möglichst kurzzeitig einzusetzen 1819.
  • Ist nach 6 Wochen keine ausreichende knöcherne Durchbauung der Arthrodese nachweisbar, sollte der Übergang zur Vollbelastung für die nächsten 2 Wochen aufgeschoben werden. Bei einer verzögerten Knochenheilung wäre die Anwendung von niedrig gepulstem Ultraschall (LIPUS – low-intensity pulsed ultrasound) zu erwägen 2021, bzw. der Einsatz von Stoßwelle 22. Ist nach 6 Monaten keine vollständige Konsolidierung der Arthrodese zu beobachten, handelt es sich per definitionem um eine Pseudarthrose. Asymptomatische (straffe) Pseudarthrosen werden alle 6 Monate kontrolliert. Hier kommt es im Verlauf häufig doch noch zu einer knöchernen Überbauung. Bei anhaltenden Beschwerden empfiehlt es sich die Ausräumung der Pseudarthrose und winkelstabile Re-Osteosynthese mit kortikospongiösem Span. Die postoperative Nachbehandlung soll dementsprechend restriktiv erfolgen.

Ergebnisse

Etwa 30% der Patienten, die aufgrund einer Hallux valgus Fehlstellung operativ behandelt werden, erfüllen die radiologischen Kriterien eines Pes adductus 23.

In der Literatur finden sich nur wenige Case Reports, die über eine Lapidusarthrodese mit gleichzeitiger Korrektur eines Pes adductus berichten. Empfohlen wird vor der Reposition des TMT 1-Gelenkes eine proximale, basisnahe Korrektur der Metatarsalia 2-4 vorzunehmen 5. Okuda et al. haben eine diaphysäre Korrektur der Metatarsalia vorgeschlagen 24. Die hier beschriebene minimalinvasive distale Metatarsale-Osteotomie (DMMO) wurde von de Prado (2009) zur Behandlung der Metatarsalgie beschrieben. Aufgrund der guten klinischen Ergebnisse bei geringem Weichteiltrauma hat das Verfahren rasch an Popularität gewonnen 252627282930. Eine klinische Studie zur lateralisierenden DMMO mit dem Ziel der Korrektur der Adduktusfehlstellung ist bisher noch nicht publiziert worden. Allerdings findet sich der Hinweis an verschiedenen Stellen in der Literatur, dass durch eine entsprechende Verkippung der Osteotomieebene eine Translation nach medial oder lateral erreicht werden kann.

In unserer prospektiven Studie wurden 10 Patienten (8 Frauen und 2 Männer; Ø Alter 58 ¼ Jahre) mit einem symptomatischen Hallux valgus bei Pes adductus und Metatarsalgie mittels einer Lapidusarthrodese und einer lateralisierenden DMMO versorgt. Die Fusion des TMT-I-Gelenkes erfolgte offen mittels einer winkelstabilen, plantaren Platte. Alle zusätzlichen distalen Eingriffe (DMMO, Isham-OT, Akin-OT, Kleinzehenkorrekturen) wurden in minimalinvasiver Technik durchgeführt. Die Patienten wurden nach 6 Monaten klinisch und radiologisch nachuntersucht.

Der präoperative AOFAS-Score betrug 41,5 Punkte und konnte postoperativ auf durchschnittlich 86,2 Punkte verbessert werden (p<0,005). Der IMW reduzierte sich von Ø 16,7° (8,5°-20,3°) präoperativ auf Ø 7,14° (6,1°-9,5°) (p<0,005). Ebenso konnte der HVW von präoperativ Ø 45,2° auf postoperativ Ø 9,4° (p<0,005) korrigiert werden. Durch die Durchführung der modifizierten, lateralisierenden DMMO veränderte sich der präoperative VAW von Ø 23° (19,3°-33,5°) auf Ø 15,6° (13°-17,2°; p<0,004).

Bei einem Patienten wurde eine verzögerte Wundheilung im Bereich der Lapidusarthrodese beobachtet, die jedoch keine operative Revision erforderte. Pseudarthrosen des TMT 1-Gelenkes wurden nicht beobachtet. Ebenso kam es in allen Fällen zur vollständigen Konsolidierung der DMMOs, wobei einige Patienten über eine mehrere Monate anhaltende Schwellneigung berichteten. Dies ist ein bekanntes postoperatives Merkmal der DMMO 25 und wurde von allen Patienten bei entsprechender präoperativer Aufklärung akzeptiert und gut toleriert. 

Die vorgestellte Technik verbindet das hohe Korrekturpotential der Lapidusarthrodese mit den Vorteilen der minimalinvasiven Chirurgie zur Therapie eines Pes adductus. Damit kann mit begrenztem Operationstrauma beim Pes adductus eine wesentlich bessere Korrektur der Fehlstellung erreicht werden, als dies durch eine alleinige Chirurgie am 1. Strahl möglich wäre.

Weitere Literatur

  • Albrecht GA. Zur Pathologie und Therapie des Hallux valgus. Russkij Wratsch. 1911;10:p 14-9
  • Lapidus PW. Operative correction of the metatarsus varus primus in hallux valgus. Surg Gynecol Obstet. 1934;58:183-91.
  • De Prado M, Ripoll P L, Golano P. Cirurgia percutanea del pie. Barcelona: Masson, S.A. 2003
  • De Prado M, Ripoll P L, Golano P. Minimally Invasive Foot Surgery. 2009; 1st english edition; ISBN-13t: 978-84-613-1609-0
Loading…
Loading the web debug toolbar…
Attempt #