Vorbemerkungen

Die minimal invasive mediale Closing Wedge Osteotomie nach Isham kommt entweder als Einzelverfahren (in Kombination mit minimal invasiver Exostosenabtragung, lateralem Release und Akin Osteotomie) oder in Kombination mit einer minimal invasiven Basisosteotomie (sogenannte Doppelosteotomie des 1. Mittelfußknochens) zur Anwendung. Seit den 90er Jahren findet die hier dargestellte Reverdin-Isham Osteotomie zunehmende Verbreitung 1. Die Stärken und Schwächen des Verfahrens werden inzwischen in einer Vielzahl von wissenschaftlichen Arbeiten dargestellt 2345678. Stärken des Verfahrens sind die Korrektur des Gelenkflächenwinkels analog der Reverdin-Green Osteotomie, sowie die Korrektur des Hallux valgus Winkels. Nachteilig ist die Verkürzung des Os metatarsale I und die fehlende Korrektur des Intermetatarsalwinkels, so dass sich das Verfahren nur für milde Fehlstellungen eignet. Wird eine gleichzeitige Korrektur des Intermetatarsalwinkels angestrebt, ist dies nur im Rahmen einer Doppelosteotomie (z.B. Kombination mit Basisosteotomie) möglich.

Operationsprinzip und -ziel

Die von Isham beschriebenen Technik umfasst eine minimal invasive Exostosenabtragung des Metatarsale I Köpfchens, eine schrägverlaufende (45° zur Schaftachse MT I), subcapitale intraartikuläre mediale Closing Wedge Osteotomie des Os metatarsale I, ein minimalinvasives laterales Release, sowie eine minimal invasive Akin Osteotomie.

Diese Technik führt sowohl zu einer knöchernen Korrektur des Hallux valgus Winkels und des Gelenkflächenwinkels (DMAA – Distal Metatarsal Articular Angle), als auch zu einer Korrektur der Weichteile (Zentrierung des Sehnenkomplexes sowie der Sesambeine). Zusätzlich wird der Tangentialwinkel zur Metatarsale II Achse (TASA - Tangential Angle to the Second metatarsal axis) normalisiert.

Sämtliche Operationsschritte werden über kleine Stichinzisionen durch die Haut durchgeführt. Isham beschrieb das Verfahren ohne Osteosynthese. Da es sich bei den knöchernen Korrekturen um mediale Closing wedge Osteotomien handelt, werden diese anschließend durch spezielle Zügelverbände (Tape) in Position gehalten. Postoperativ ist eine sofortige Vollbelastung im flachen Verbandsschuh möglich, der Wechsel auf Konfektionsschuhe erfolgt meist nach 4 bis 5 Wochen.

Vorteile

  • Minimales Weichteiltrauma.
  • Keine Blutsperre nötig.
  • Operation ambulant in Regionalanästhesie (Knöchelblock) möglich.
  • Verkürzte Operationszeit im Vergleich zu offenen Verfahren.
  • Korrektur des Gelenkflächenwinkels (DMAA) und des Tangentialwinkels zum Os Metatarsale II (TASA).
  • Geringe Narbenbildung mit kosmetisch sehr guten Ergebnissen.
  • Sofortige Vollbelastung im flachen Verbandsschuh (für 4 bis 5 Wochen).
  • Rasche Rückkehr zu Beruf und Sport.
  • Keine Implantate – dadurch keine Komplikationen durch Schrauben, K-Drähte, etc.
  • Keine Sekundär-OP im Sinne einer Metallentfernung nötig.
  • Keine Implantatkosten.

Nachteile

  • Learning curve – Auch wenn der Eingriff einfach aussieht, ist ein Cadaver-Training dringend anzuraten. Die Isham Osteotomie ist keine Anfängeroperation.
  • Intraoperatives Röntgen notwendig.
  • Besonders anfänglich höhere Strahlenbelastung aufgrund der perkutanen Technik, die keine direkte Sicht auf das OP-Gebiet erlaubt. Die Strahlenbelastung verringert sich jedoch mit zunehmender Operationserfahrung.
  • Postoperatives Management aufwendiger als bei offenen Verfahren. Die Spezialverbände (Tape) müssen wöchentlich für die ersten 4 bis 5 Wochen, im Idealfall vom Operateur selbst, gewechselt werden.
  • Risiko des Bruchs der lateralen Kortikalis während der Nachbehandlung. Dies wird insbesondere bei älteren Patienten und schlechter Knochenqualität beobachtet und birgt die Gefahr der sekundären Dislokation des MT 1 Köpfchens nach medial und dorsal.
  • Selten Sekundärdislokation der Akin Osteotomie.
  • Gefahr der Weichteilschädigung durch die Fräse (Risiko erhöht bei zu hoher Drehzahl der Motorkonsole, unzureichender Spülung und stumpfer Fräse).
  • Lange anhaltende Sekretion mit dem Risiko sekundärer Infektionen durch ungenügendes Ausspülen des Knochendetritus.
  • Radiologisch lange Durchbauungsphase (muss den Patienten präoperativ mitgeteilt werden).
  • Verkürzung des 1.Strahles (Analog Reverdin-Green).
  • Keine Plantarisierung des MT I Köpfchens möglich. Gefahr der Ausbildung einer Transfermetatarsalgie 8.
  • Keine direkte Korrektur des Intermetatarsalwinkels MT I/MT II.

Indikationen

  • Leichte bis mittelschwere, symptomatische Hallux valgus Deformität (Intermetatarsalwinkel < 13°). Der Hallux valgus Winkel spielt in der Indikationsstellung nur eine nachrangige Rolle.
  • In Kombination mit einer minimalinvasiven Basisosteotomie höhergradigen Fehlstellungen (Intermetatarsalwinkel > 15°) im Rahmen einer Doppelosteotomie. Nachteilig ist hier die Kombination zweier verkürzender Verfahren die zusammen zu einer relevanten Verkürzung des 1. Mittelfußknochens führen.

Kontraindikationen

  • Primär verkürztes Os metatarsale I.
  • Vorbestehende Transfermetatarsalgie.
  • Schlechte Knochenqualität – Osteopenie bzw. Osteoporose – Gefahr des Bruches der lateralen Kortikalis mit nachfolgender Dislokation des Kopffragmentes.
  • Schwere Hallux valgus Fehlstellungen Intermetatarsalwinkel größer als 15 ° aufgrund des limitierten Korrekturpotentials.
  • Manifeste Arthrose im Großzehengrundgelenk (Hallux rigidus).
  • Instabilitäten bzw. Arthrosen im Tarsometatarsale 1 Gelenk.
  • Schlechte Weichteilverhältnisse.
  • Chronische Durchblutungsstörungen.
  • Florider Infekt.
  • Manifester, langjähriger Diabetes mellitus.
  • Mangelnde Patientencompliance.

Patientenaufklaerung

  • Wie bei aller minimalinvasiven Operation sollte auch hier die Möglichkeit des Umstieges auf ein offenes Verfahren mit den Patienten diskutiert werden.
  • Sekundäre Dislokation des Köpfchens durch Bruch der lateralen Kortikalis.
  • Pseudarthrose des MT 1 Köpfchens (sehr selten).
  • Trotz minimalinvasiven Vorgehens Restrisiko der Schädigung von Weichteilen bzw. Weichteilstrukturen (Gefäß, Nerven, Sehnen, Gelenkskapsel).
  • Bewegungseinschränkung.
  • Frühfunktionelle Nachbehandlung 7 bis 10 Tage postoperativ mit physiotherapeutischen Maßnahmen, sowie mehrmals täglich durchgeführten Bewegungsübungen durch den Patienten selbst.
  • Tragen eines flachen Verbandschuhes für vier bis sechs Wochen.
  • Vermehrte Schwellneigung, dadurch Missempfindung im Bereich der Großzehe (insbesondere im Bereich der Akinostetomie). Diese durch Schwellung hervorgerufenen Dys- bzw. partiellen Paraesthesien bilden sich jedoch nach einigen Wochen bis Monaten zurück.
  • Postoperativ längere Schwellungen als bei offenen Verfahren möglich.
  • Abhängig von Alter, Geschlecht, körperliche Konstitution, Sportniveau, Venenstatus, Body mass Index etc. kann eine Schwellneigung bis zu einem Jahr bestehen.
  • Der radiologische Heilungsverlauf ist länger als bei offenen Verfahren trotz klinischer Ausheilung.
  • Länger anhaltende Schmerzen, diese sind häufig bedingt durch eine Bewegungseinschränkung, insbesondere in Dorsalflexion.
  • Notwendigkeit einer ausgedehnten physiotherapeutischen Nachbetreuung.
  • Notwendigkeit der Anlage von Spezialtapes. Diese sollte nur vom Operateur selbst gewechselt werden, wöchentliche Kontrollen mit Tapewechsel notwendig.
  • Aufklärung über Arbeitsunfähigkeit, abhängig vom Beruf.
  • Wiederaufnahme der sportlichen Betätigung. Vorfußbelastender Sport sollte ca. 3 Monate pausiert werden.
  • Verkürzung des ersten Strahles mit möglicher Mehrbelastung der Metatarsale II und III (Ausbildung einer Transfermetatarsalgie).
  • Auftreten eines Rezidives mit der Notwendigkeit einer Revisionsoperation.
  • Höhere Strahlenbelastung gegenüber offenen Verfahren durch Verwendung einer intraoperativen Röntgendiagnostik (Bildwandler).

Operationsvorbereitungen

  • Die Operationsvorbereitungen richten sich nach denen offener Verfahren.
  • Genaue Anamnese, inklusive etwaige Begleitpathologien des 2. bis 5. Strahles und des Mittelfußes, sondern auch Alter, Geschlecht, Bodymaßindex, sportliche Inaktivität, Art der sportlichen Aktivität sowie Berufsbild.
  • Genaue klinische Untersuchung des gesamten Fußes (Instabilitäten im TM 1 Gelenk, Verkürzungen im Bereich der Wadenmuskulatur, Begleitpathologien des 2. Bis 5. Strahles …) Zustand des Hautbildes, Beurteilung von Clavi sowie Hyperkeratosen.
  • Beurteilung des Fußes sowohl im Liegen als auch im Stehen bzw. im Gehen. Einbeziehen des Zehenspitzenstandes bzw. des Fersenstandes.
  • Anfertigung von standarisierten Röntgenaufnahmen des gesamten Fußes (d.p. und seitlich) unter Belastung. Gegebenenfalls Spezialaufnahmen z.B. Sprinteraufnahme bei Begleitpathologien des 2. bis 5. Strahles.
  • Planung der Operation in Zusammenarbeit mit der/dem Patientenin/Patienten, der angefertigten Röntgenaufnahmen, Anfertigung von einer Operationsskizze bzw. Darstellung der geplanten Operation am Kunststoffmodell.
  • Aushändigung eines Patientenmerkblattes über postoperatives Management.
    • Notwendigkeit von Spezialverbänden (diese dürfen nur vom Operateur, nicht extern, entfernt bzw. gewechselt werden).
    • Notwendigkeit von physiotherapeutischen Maßnahmen bzw. von selbstständig durchgeführten aktiven – passiven Bewegungsübungen nach Anleitung des Operateurs.
    • Aufklärung darüber, dass vor vollständiger Ausheilung der kleinen Stichinzisionen z.B. intensives Duschen, Vollbäder, Saunagänge etc. das Infektionsrisiko erhöhen und unterlassen werden sollten.
  • Single shot i.v. Antibiose mit Weichteil- und Knochengängigem Cephalosporin (2. Generation) bei Narkoseeinleitung.

Instrumentarium

  • Motorkonsole (Drehzahl der Fräse max. 6ooo U/min, Drehmoment >50 N/cm).
  • Minimalinvasive Instrumentarium (Raspatorium, Raspel, Beaver-Messer, Klemmchen, Nadelhalter)
  • Spezialfräsen – Wedge 3.1 oder 4.1 Fräse zur Abtragung der Exostose – Shannon Fräse 12 x 2 mm für die Isham Osteotomie, sowie 8 x 2mm für die Akin Osteotomie.
  • Bildverstärker.
  • Sterile Spülflüssigkeit.
  • Nahtmaterial zum Setzen von Hautnähten.
  • Verbandmaterial zum Anlegen eines Redressionsverbandes (sterile Kompressen, sterile Watte, Haftbinde, Tape).

Zum Lesen der Bildbeschreibung und zur Vollansicht bitte die Bilder anklicken.

Anaesthesie und Lagerung

  • Intubationsnarkose, Larynxmaskennarkose, Spinalanästhesie, Ischiadicuskatheter oder Fußblock mit Analgosedierung.
  • Rückenlagerung, mit abgewinkelten Beinteil (Ferse sollte über der Fußstütze etwas überhängen), alternativ gibt es auch die Möglichkeit der Lagerung in einer Beinschale.
  • Positionierung des Bildwandlers: 90° Winkel zum Os metatarsale I. Benötigt wird die Durchleuchtung des Vorfußes a.p., seitlich und schräg.
  • Strahlenschutz für Patient und Personal.
  • Eine Blutsperre ist grundsätzlich bei minimalinvasiven Vorgehen nicht notwendig. Die Blutungen aus den kleinen Hautinzisionen sind gering, unterstützen das Ausspülen von Knochenspänen und tragen zur Kühlung der Fräse bei.
  • Die prophylaktische Anlage einer Blutsperrenmanschette ohne Druck erleichtert den Umstieg auf ein offenes Verfahren, falls dies notwendig wird.

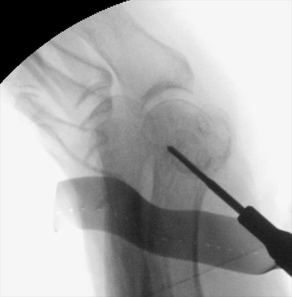
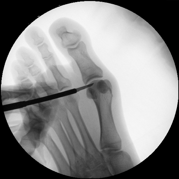
Operationstechnik

Der von Isham/Reverdin beschriebenen minimal invasiven Technik zur Korrektur einer Hallux valgus Deformität liegen 4 Operationsschritte zu Grunde:

1. Abtragung der Exostose am Köpfchen des 1. Mittelfußknochens

2. Subcapitale intraartikuläre Osteotomie

3. Laterales Release

4. Akin Osteotomie der Großzehengrundphalanx

Die Folge der Operationsschritte sollte strikt von 1. - 4. erfolgen, da ansonsten die mediale Closing Wedge Osteotomie bei vorzeitigem lateralem Release und/oder Akin Osteotomie nicht geschlossen werden kann. Nach der von Isham beschriebenen Originaltechnik finden Implantate keine Anwendung, zur Sicherung und besseren Fixation können osteosynthetische Verfahren angewandt werden (siehe auch Fehler, Gefahren und Komplikationen).

Zum Lesen der Bildbeschreibung und zur Vollansicht bitte die Bilder anklicken.

Zum Lesen der Bildbeschreibung und zur Vollansicht bitte die Bilder anklicken.

Zum Lesen der Bildbeschreibung und zur Vollansicht bitte die Bilder anklicken.

Zum Lesen der Bildbeschreibung und zur Vollansicht bitte die Bilder anklicken.

Zum Lesen der Bildbeschreibung und zur Vollansicht bitte die Bilder anklicken.

OP-Video

Hinweis: Es dauert ca. 3 Sekunden bis das Video anläuft.

Postoperative Behandlung

  • Röntgenkontrollen (a.p. und seitlich) postoperativ ohne Belastung – 6 Wochen, 3, 6 und 12 Monate postoperativ unter Belastung.
  • Sofortige Vollbelastung des Fußes postoperativ im flachen Verbandschuh für 4 -6 Wochen. Anschließend Röntgenkontrolle unter Belastung.
  • Verbandswechsel (vom Operateur selbst) 7, 14, 21 und 28 Tage postoperativ mit Freigabe nach 4-6 Wochen.
  • Beinhochlagerung, Kryotherapie je nach Schwellneigung - Antiphlogistika und Analgetika nach Bedarf.
  • Thromboseprophylaxe entsprechend der Leitlinie der AWMF (awmf.de – S3 Leitlinie Prophylaxe der venösen Thromboembolie).
  • Physiotherapie mit Lymphdrainagen nach dem 1. Verbandswechsel (7 Tage postoperativ). Die passive und aktive Beübung des Großzehengrundgelenks in Extension und Flexion kann nach Anleitung vom Patienten selbst durchgeführt werden.
  • Tragen von normalem, bequemem Schuhwerk z.B. Sneakers ab der 6. postoperativen Woche.
  • Beginn der sportlichen Aktivität ohne Vorfußbelastung 6 Wochen postoperativ (Fahrradergometer, Schwimmen). Vorfuß belastende Sportarten z.B. Lauftraining, Tennis etc. 12 Wochen postoperativ.
  • Arbeitsunfähigkeit abhängig vom Beruf.

Fehler, Gefahren, Komplikationen

  • Falsche Indikation – zu großer präoperativer Intermetararsalwinkel oder primär verkürztes Os metatarsale I.
  • Falscher Zugang, daraus resultierend falsche Osteotomieebene.
  • Verbrennungen: Falsche Einstellung der Motorkonsole (zu hohe Drehzahl) und/oder Verwendung von stumpfen Fräsen, bzw. zu wenig Spülung. Kommt es zu Verbrennungen kann die Haut exzidiert werden. Durch Mobilisation ist meist ein direkter Wundverschluss analog dem offenen Vorgehen möglich.
  • Hebeln der Fräse, mit dem Risiko diese abzubrechen.
  • Falsche Osteotomie Planung mit der Gefahr einer Elevation des 1. Strahles. Kommt es intraoperativ zu einer falschen Osteotomieebene, sollt auf ein offenes Verfahren gewechselt werden, z.B. mit winkelstabilen Platten.
  • Bruch der medialen Kortikalisbrücke - sekundäre Dislokation mit Verkürzung und Elevation des 1. Strahles. Bricht die Kortikalis intraoperativ kann die Länge des 1. Strahles durch eine schräg platzierte Schraube gesichert werden (von lateral nach medial). Bei einem Bruch während der Nachbehandlungsphase kann eine Reduktion der Belastung auf 10 kg Teilbelastung im Walker das Risiko für eine sekundäre Dislokation senken.
  • Korrekturverlust durch falsche Tape-Technik postoperativ.

Ergebnisse

Die Korrektur des Gelenkflächenwinkels wird in der Literatur als alleinige Prozedur oder in Kombination mit proximalen Verfahren zur Behandlung des Hallux valgus beschrieben. Gerade in der Kombination eines basisnahen Verfahrens mit einer Korrektur des Gelenkflächenwinkels (Doppel Osteotomie) sehen viele Autoren ein zuverlässiges Konzept zur Behandlung mittelschwerer bis schwerer Hallux valgus Deformitäten (Coughlin 1995). Bauer et al. 9 veröffentlichten 2010 eine Serie von 104 Reverdin-Isham Osteotomien, die als isoliertes Verfahren durchgeführt wurden. Die Indikation wurde bei Fehlstellungen bis 15° Intermetatarsalwinkel gesehen 1011. Der Intermetatarsalwinkel besserte sich von 14° (Range 12° bis 15°) auf 11° (Range 9° bis 13°). Der Hallux valgus Winkel reduzierte sich durch den Eingriff von 30° (Range 25-32°) auf 15° (Range 11° bis 18°). Die Stellung des Gelenks besserte sich von einem Gelenkflächenwinkel von 15° auf 7°. In einer zweiten Arbeit stellte die Autorengruppe um Bauer eine prospektive Kohortenstudie an 168 Patienten vor 12. 87 % der Patienten waren zufrieden bzw. sehr zufrieden mit dem Eingriff, der AOFAS Score lag ein Jahr postoperativ bei 93 Punkten. Biz et al. 5 berichteten über ihre 48-Monatsergebnisse von 80 Patienten. Während Patienten mit gering- und mittelgradiger Hallux valgus Deformität gute Ergebnisse aufwiesen, zeigte diese Studie die Grenzen des Verfahrens bei schweren Deformitäten. Di Giorgio et al. 4 verglichen die Ergebnisse nach Reverdin-Isham Osteotomie mit den Ergebnissen nach Hallux valgus Korrektur durch das Endolog System. Zwei Jahre postoperativ lag der AOFAS Score bei 90,3 ±5,3 Punkten nach Reverdin-Isham Osteotomie und 89,2 ±10,5 Punkten in der Gruppe nach Behandlung mit dem Endologsystem. In beiden Gruppen konnte eine Korrektur des Intermetatarsalwinkels auf Normwerte erreicht werden, signifikante Unterschiede zwischen beiden Verfahren ergaben sich nicht. 2017 veröffentlichten Restuccia et al. 2 ihre Ergebnisse mit einer leicht modifizierten Technik und einem mittleren Nachuntersuchungszeitraum von 34 Monaten. Der Hallux valgus Winkel verbesserte sich von durchschnittlich 35,2° auf 14,3°, der Intermetatarsalwinkel von 15,5° auf 8,7°. Der Gelenkflächenwinkel wurde von präoperativ 7,2° auf 5,3° reduziert. Der AOFAS Score lag bei 95 Punkten. Die Autoren kamen zu dem Ergebnis, dass die Reverdin-Isham Osteotomie vergleichbare Ergebnisse liefert wie andere perkutane und konventionelle Verfahren zur Korrektur des Hallux valgus. Sowohl die klinischen, als auch die radiologischen Ergebnisse lagen in ähnlichen Bereichen bei insgesamt hoher Patientenzufriedenheit.

Höhergradige Deformitäten sind durch die Reverdin-Isham Osteotomie nicht zufriedenstellend zu behandeln. Hier findet die Reverdin-Isham Osteotomie Anwendung in Kombination mit einer Basisosteotomie. Fernández 6 stellte die Ergebnisse der perkutanen Doppel-bzw. Triple Osteotomie vor. Kombiniert wurde eine minimalinvasive Basisosteotomie (LINK OP Technik Basis-Osteotomie), eine Reverdin-Isham Osteotomie sowie in einigen Fällen eine Akin Osteotomie. Der präoperative Hallux valgus Winkel von 39,2 ± 7,2° besserte sich auf 10,8 ± 6,4°. Der Intermetatarsalwinkel konnte durch das Verfahren von präoperativ 16,9 ± 2,0° auf einen Wert von 8,4 ± 3, 1° verbessert werden. Nachteilig ist sowohl bei der Reverdin-Isham Osteotomie als auch bei der Anwendung in Kombination mit einer Basisosteotomie, dass sämtliche Verfahren zu einer Verkürzung des Os metatarsale I führen 8. Dies ist insbesondere ungünstig bei vorbestehender Metatarsalgie oder einem kurzen Os metatarsale I.in diesen Fällen sollte anderen Verfahren der Vorzug gegeben werden.

Weitere Literatur

  • Coughlin M. Juvenile bunions, in Surgery of the Foot and Ankle, Edited by Mann, R., and Coughlin, M., St. Louis: Mosby, 1993:297–339.
  • De Prado M, Golano P, Ripoll PL: Minimally Invasive Foot Surgery. AYH Publishers, Barcelona, 2009
  • Szeimies U, Stäbler A, Walther M: Diagnostic Imaging of the Foot and Ankle. Thieme, Stuttgart, 2015
Loading…
Loading the web debug toolbar…
Attempt #