Vorbemerkungen

Das chronisch-mechanische plantare Ulkus ist mit einem Auftreten bei von etwa 15 % aller Patienten mit diabetischem Fußsyndrom und peripherer Polyneuropathie ein häufiges Phänomen 1. Es ist Ausgangspunkt für schwere, tiefe Infektionen wie Abszesse und Osteomyelitiden und führt bei etwa 71% bis 85 % der Fälle zu Amputationen 234.

Zur Etablierung geeigneter Behandlungsmaßnahmen ist die Pathogenese des neuropathischen Ulkus entscheidend. Im Rahmen der Neuropathie kommt es zur Hypotrophie der intrinsischen Fußmuskulatur mit nachfolgender Insuffizienz der muskulären Vorspannung des Vorfußes, folglich zur Plantarisierung der Mittelfußköpfchen (MFK) und Distalisierung des plantaren Fettpolsters. Letztlich ergibt sich eine vermehrte Druck- und Scherbelastung im Bereich der MFK, was dort die Ulkusbildung bedingen kann 1. Am häufigsten sind die Ulzera im Bereich des zweiten MFKs zu finden 5.

Bisheriger Goldstandard in der Therapie der chronisch-mechanischen plantaren Ulzera ist die konservative Wundtherapie: diese beinhaltet das Wunddébridement, Verwendung spezieller Wundauflagen, Entlastung des betroffenen Fußes sowie die Anpassung druckentlastender, neuropathiegerechter Therapieschuhe 16.

Initial können damit 77 % aller Ulzera zur Abheilung gebracht werden. Es kommt jedoch zu einer Rezidivrate von 40 % im 1. Jahr, 60 % innerhalb der ersten 3 Jahre und 65 % innerhalb von 5 Jahren nach primärer Heilung 1. Als Ursache hierfür betrachten wir die Tatsache, dass die konservativen Maßnahmen nicht in der Lage sind, einer Drucküberlastung durch knöcherne Deformitäten, wie z. B. der Steilstellung der Metatarsalia, dauerhaft entgegen zu wirken 78.

Operative knöcherne Eingriffe (Osteotomien, Metatarsale-Köpfchen-Resektionen, Arthrodesen) als auch Weichteil-Operationen (Achillessehnenverlängerungen, Gastrocnemius-Release, Plantarfaszien-Release) zielen darauf ab, den erhöhten plantaren Druck am Ulkus zu reduzieren. Dies erhöhte in Studien einerseits die Ausheilungsrate auf bis zu 100 % und senkte das Rezidiv-Risiko 2910. Andererseits ergab sich aber durch das offene, operative Vorgehen eine sehr hohe Komplikationsrate von 68 % 411.

Heutzutage werden zunehmend Osteotomien an den Mittelfußknochen in minimalinvasiver Technik durchgeführt 1. Bei der distalen minimalinvasiven metatarsalen Osteotomie (DMMO) wird, perkutan mit einer Stabfräse, eine Osteotomie im metaphysären Anteil der Metatarsalia durchgeführt, was zur Reduktion des plantaren Drucks unter dem MFK führt und zur Therapie der anterioren Metatarsalgie angewandt wird 112. Aufgrund der hohen Primärstabilität bei erhaltenem Weichteilmantel ist eine Osteosynthese nicht nötig 1. Diese Vorgehensweise ergab eine niedrige Komplikationsrate und scheint somit zur operativen Behandlung von Diabetikern mit schlechterem Wundheilungspotenzial gut geeignet zu sein (Mehlhorn 2020).

Mit zunehmender Anwendungserfahrung der DMMO wurde erkannt, dass es zu einer deutlich stärkeren Translation des Metatarsalköpfchens kommt, wenn die Osteotomie proximal des metadiaphysären Übergangs angesetzt wurde, da hier die Weichteile das Metatarsalköpfchen weniger stabilisieren 13. Dieser Effekt ist bei der Behandlung des chronisch-mechanischen plantaren Ulkus erwünscht 4, um eine stärkere Druckentlastung zu erzielen. Deshalb wurde in einer neueren Studie der Effekt einer weiter proximal gelegenen Osteotomie untersucht. Die neue Lage der Osteotomie war proximal des metadiaphysären Übergangs (Mehlhorn 2020), was zu dem Namen distale minimalinvasive diaphysäre Osteotomie (DMDO) führte 14.

Operationsprinzip und –ziel

Operationsziel ist die gewebeschonende Harmonisierung der plantaren Druckverteilung mit Ausheilung der chronisch-mechanischen plantaren Ulzera im Verlauf.

Üblicherweise werden bei Ulzerationen im Mittelfußbereich die Ossa metatarsalia 2-4 durch Osteotomien angehoben, unabhängig davon, unter welchem Metatarsaleköpfchen sich das Ulkus befindet. So sollen Transferulcera im postoperativen Verlauf vermieden werden 1. Ist das Ulkus unter dem Os metatarsale 5 lokalisiert, wird in der Regel die Osteotomie auf dieses Metatarsale limitiert.

Postoperativ sollen die Metatarsaleköpfchen unter Vollbelastung im Verbandsschuh ihre korrekte Position finden, knöchern in korrigierter Stellung ausheilen und so eine ausbalancierte Druckverteilung plantar ermöglichen. Hierdurch sollen die Ulzera zur Ausheilung kommen. Das minimalinvasive Vorgehen soll dabei die Komplikationsrate senken (Mehlhorn 2020). 

Vorteile

  • Minimal-invasives OP-Verfahren mit Reduktion der Zugangsmorbidität und kleineren Narben.
  • Kürzere Operationsdauer durch schnelleres Vorgehen.
  • Geringeres Risiko für postoperative Wundheilungsstörungen.
  • Kein Einbringen von Osteosynthesematerial notwendig.
  • Niedrigeres Infektionsrisiko.
  • Gelenkerhaltende Vorgehensweise mit Vermeidung postoperativer Fibrosierung und Gelenksteife.
  • Postoperativ sofortig mögliche Vollbelastbarkeit der Extremität.
  • Geringere Kosten, keine Implantatkosten.

Nachteile

  • Im Vergleich zum konservativen Vorgehen mögliches Risiko von Wundheilungsstörungen.
  • Möglichkeit der Schädigung wichtiger Strukturen.
  • Fehlpositionierung des Metatarsaleköpfchens bei falscher OP-Technik.
  • Im Vergleich zum offenen Vorgehen höhere Röntgenstrahlenbelastung.
  • Keine kontrollierte Ausrichtung der Position des Metatarsaleköpfchens möglich.

Indikationen

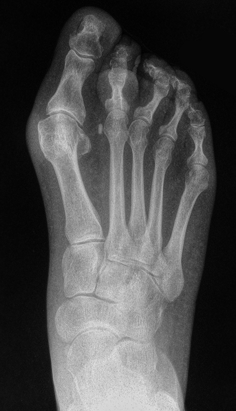
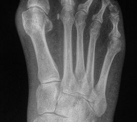
  • Plantares Ulkus unter dem 2., 3., 4. oder 5. MFK mit mechanischer Ursache (siehe Abb. 1).
  • Versagen der konservativen Therapie (einschließlich Entastung, Anpassung orthopädisches Schuhwerk, antibiotische Therapie und moderne Wundbehandlung gemäß ICW (Initiative Chronische Wunden e.V.)) über mindestens 6 Monate.
Zum Lesen der Bildbeschreibung und zur Vollansicht bitte das Bild anklicken. Bild: A. Mehlhorn.

Kontraindikationen

  • Fehlender palpabler arterieller Puls der A. dorsalis pedis und/oder A. tibialis posterior.
  • Bekannte periphere arterielle Gefäßerkrankung.
  • Akute Infektion des Fußes (Erhöhung des C-reaktives Proteins >150mg/l und/oder lokale akute Infektionszeichen).
  • Kontralaterale Major- oder Minoramputation.

Patientenaufklärung

  • Wundheilungsstörung.
  • Bildung von Transferulzera.
  • Rezidivulkus.
  • Fibrose/Pseudarthrose der Osteotomie.
  • Heterotope Ossifikationen.
  • Lokalisierte Schmerzen und/oder Missempfindungen im Operationsbereich.

Operationsvorbereitungen

  • Sorgsame präoperative statische und dynamische Diagnostik zur Evaluation der plantaren Drücke und Verhinderung von Transferulzera.
  • Röntgenaufnahmen des Fuß in drei Ebenen im Stehen (siehe Abb. 2).
  • Neurovaskuläre Abklärung der betroffenen Extremität.
Zum Lesen der Bildbeschreibung und zur Vollansicht bitte das Bild anklicken. Bild: M. Walther.

Instrumentarium

  • Bildverstärker, steril bezogen.
  • MIS Fräsenantrieb.
  • MIS Beaver-Klingen Gr. 64.
  • Shannon-Fräse mit 2 mm dickem Fräsenkopf und mit 20 mm Fräsenkopflänge.
  • Raspatorium.
  • Sterile Kochsalzlösung.
  • Knopfkanüle und Spritze (20ml).
  • Elastische Binde.
  • Nahtmaterial zum Hautverschluss.

Anästhesie und Lagerung

  • Rückenlagerung.
  • Lagerungskissen zur Unterfütterung des Kniebereichs am zu operierenden Bein zur Erleichterung der Einstellung der dorsoplantaren Achse des Bildverstärkers.
  • Bevorzugt Regionalanästhesie (Femoralis-/Saphenusblockade), alternativ Allgemeinanästhesie.
  • Keine Blutleere oder -sperre nötig.
  • Gelmatte zur Prävention von Druckschäden.
  • Strahlenschutzmatte.
  • Bildwandler am Fußende in d. p. Ausrichtung in Bezug auf den Fuß positioniert.
  • Präoperative i. v.-Antibiose entsprechend Leitlinien.
  • Steriles Abkleben des Ulkus.

OP-Technik

  • Zugang je nach Händigkeit des Operateurs bzw. Seite des betroffenen Fußes von dorsolateral oder -medial der Strecksehnen auf Höhe der betroffenen Metatarsaleköpfchen.
  • Hautschnitt von ca. 2-3 mm Länge.
  • Stumpfes Abschieben der Weichteile vom Knochen im Bereich der geplanten Osteotomie mit einem Raspatorium.
  • Unter Durchleuchtungskontrolle Positionieren der Shannon-Fräse mit 20 mm langem und 2 mm dicken Fräsenkopf in 45° Neigung an den Hals des Metatarsale (siehe Abbildung 3 a und b).
  • Verschieben der Fräsenspitze um wenige Millimeter nach proximal.
  • Röntgenkontrolle, um die korrekte Position von Fräsenspitze bzw. Osteotomieebene an der distalen Diaphyse des Metatarsale-Knochens zu bestätigen (Abbildung 3 c).
  • Beginn der Osteotomie im Winkel von 45° zur Längsachse des Os metatarsale in einer von dorsal-distal nach proximal-plantar-reichenden Ebene.

Cave: Ein Abkippen der Osteotomie in der Koronarebene nach medial oder lateral gilt es dabei zu vermeiden, da es sonst zu einem Abrutschen der Metatarsaleköpfchen nach fibular oder tibial kommen kann.

  • Fortführung der halbmondförmigen Osteotomie, bis die Fräse nach dorsal quer zu Schaftachse aus dem Metatarsale geführt werden kann.

Cave: Während der Osteotomie sollte auf kontinuierliches Spülen zur Vermeidung von Hitzeläsionen der Haut und des Knochens („Hot Burr-Syndrom“) sowie einer damit verbundenen Pseudarthrose geachtet werden. Nach stattgehabter Osteotomie sorgfältiges Ausspülen von Knochenabrieb zur Verhinderung ektoper Ossifikationen. 

  • Nach Beendigung der Osteotomie Zusammenpressen der Knochenanteile, um Druck in distal-proximaler Richtung auf das Metatarsale auszuüben, wodurch das MFK nach dorsal gedrückt wird und ein guter Knochenkontakt entsteht.
  • Wundverschluss mit Einzelknopfnaht.
  • Optional vor oder nach der Osteotomie Débridement des Ulkus.
Zum Lesen der Bildbeschreibung und zur Vollansicht bitte die Bilder anklicken. Bilder: A. Mehlhorn.

Postoperative Behandlung

  • Leichter Kompressionsverband am Mittelfuß für 6 Wochen.
  • Thrombembolieprophylaxe bis zur gesicherten Vollbelastung des Fußes.
  • Lymphdrainage ab dem 1. postoperativen Tag.
  • Anweisung zur sofortigen schmerzadaptierten Belastung im Verbandsschuh.
  • Durch die Gewichtsaufnahme erfolgt die selbstständige Einstellung des Metatarsaleköpfchens unter Reduktion des plantaren Drucks.
  • Postoperative Röntgenkontrolle in 2 Ebenen vor der Entlassung.
  • Nach 6 Wochen erneute Röntgenkontrolle und Wechsel auf einen orthopädischen Maßschuh oder Diabetesschutzschuh, abhängig von Fußdeformität und weiteren Risikofaktoren.

Fehler, Gefahren, Komplikationen

  • Wundheilungsstörungen und Infektionen, Osteomyelitis.
  • Abrutschen des Metatarsaleköpfchens durch Abkippen der Fräse während der Osteotomie.
  • Nicht vollständige Osteotomie, meist durch Belassen einer plantaren Knochenbrücke mit dem Risiko der unzureichenden Druckentlastung.
  • Verletzung umgebender Strukturen wie Nerven, Gefäße oder Sehnen.
  • Intraartikuläre Fehllage der Fräse mit Destruktion der Gelenkfläche.
  • Sekundäre Dislokation der osteotomierten Metatarsalia.
  • Ausbleibende Heilung bzw. Pseudarthrose der Osteotomie.
  • Heterotope Ossifikationen, begünstigt durch ungenügendes Ausspülen des Knochenabriebs nach der Osteotomie.
  • Hautverbrennungen und Wundrandnekrosen durch die Hitzeentwicklung der Fräse.
  • Rezidiv-Ulkus.
  • Ausbildung eines Transferulkus bei nicht ausbalancierten, plantaren Druckverhältnissen.

Ergebnisse und eigene Erfahrungen

Eine in unserer Klinik durchgeführte Studie an 26 Patienten mit fachneurologisch gesicherter peripherer Polyneuropathie, Grad-IA-, IIA- und -IIIA-Ulcus und bereits durchgeführter, frustraner konservativer Therapie erzielte nach Anwendung der minimalinvasiven Technik eine Heilungsrate der Ulzera von 100 %. Die Dauer bis zur endgültigen Abheilung des Ulkus (Epithelialisierung) betrug 5 ± 1 Wochen. Im Nachuntersuchungszeitraum von 26 ±18 Monate traten bei 19 % der Patienten Komplikationen auf. So erlitten 11 % im Verlauf einen Transferulkus und 8 % stellten sich mit einem Rezidivulkus vor. Im oben genannten Nachbehandlungszeitraum waren weder Wundheilungsstörungen im Bereich des operativen Zugangsweges noch Pseudarthrosen oder die Induktion einer Neuroosteoarthropathie beobachtet worden 1. Die Osteotomie wurde in dieser Studie auf Höhe der distalen metatarsalen Metaphyse und nicht weiter proximal, wie bei der DMDO, durchgeführt.

Eine aktuelle Studie verfolgte den gleichen minimalinvasiven Ansatz. Hierbei erfolgte die Osteotomie aber am distalen diaphysären Anteil des Os metatarsale 4. Die 35 Patienten inkludierten Patienten litten an Ulcera der Stadien IA bis IIID. Auch hier kam es zu einer Heilungsrate der Ulzera von 100 % mit einer mittleren Ausheilungszeit von 7,9 ± 4,0 Wochen. Pseudarthrosen wurden keine beobachtet, während Tamir et al. in ihrer Untersuchung über eine Pseudarthroserate von 30 % berichteten 14. Im Nachbeobachtungszeitrum von 25,3 ± 10,0 Monaten erlitt lediglich einer der Patienten eine Komplikation im Rahmen einer bakteriellen Wundinfektion. Es zeigten sich weder die Bildung von Transferulzera noch von Rezidiven. Eine Neuroosteoarthropathie wurde im Patientengut nicht beobachtet.

Die bisherigen Daten mit Nachuntersuchungszeiträumen von über 2 Jahren zeigen, dass durch die DMDO eine hohe Abheilungsrate plantarer Ulzerationen unter den Mittelfußköpfchen zu erreichen ist, bei einer niedrigen Rate an Weichteilkomplikationen. Die hohe Druckentlastung erklärt sich unter anderem durch die diaphysär liegende Osteotomie und die damit verbundene stärkerer Verkürzung der Mittelfußknochen.

Im Verlauf bis 2 Jahre zeigt sich das minimalinvasive Vorgehen offenen Eingriffen in der Therapie plantarer Vorfußulzerationen bei prominenten Metatarsaleköpfchen überlegen. Langfristig angelegte Studien mit einer Betrachtung von späten Rezidiven oder Transferulzera fehlen aber bisher. Vor allem bei kritischen Weichteilverhältnissen sehen wir wesentliche Vorteile des minimalinvasiven Vorgehens.

Weitere Literatur

  • Mehlhorn, A., Minimal-invasive Fußchirurgie zur Ulkusbehandlung beim diabetischen Fußsyndrom. derm, 2020. 26: p. 7.
Loading…
Loading the web debug toolbar…
Attempt #