Vorbemerkungen

Minimalinvasive Korrekturosteotomien am 1. Strahl entsprechen der Indikation nach den offenen Verfahren, sind aber technisch weitaus anspruchsvoller und dürfen keinesfalls als Anfängeroperationen betrachtet werden.

Bei entsprechend korrekter Technik können mit verschiedenen minimalinvasiven Eingriffen sowohl im distalen Bereich des Metatarsale I (Isham, minimalinvasiver Chevron und Akin) als auch im proximalen Bereich von MT 1 (minimalinvasive Basisosteotomie) gleich gute Ergebnisse erzielen wie mit offenen Techniken bei deutlich geringerem Weichteiltrauma 1.

Ein häufig angewandtes Verfahren zur Korrektur eines erhöhten intermetatarsalen Winkels ist die laterale basale Closing Wedge Osteotomie des Os metatarsale I, entweder als Einzelverfahren oder in Kombination mit einer Isham-Osteotomie (sogenannte Doppelostetomie des 1. Mittelfußknochens) 2.

Operationsprinzip und -ziel

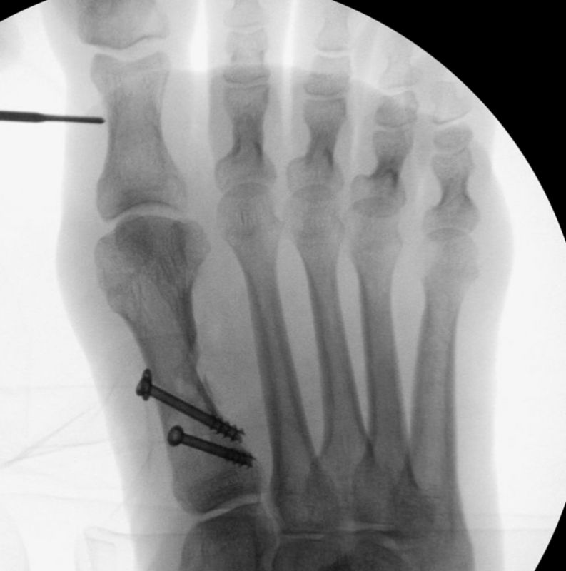
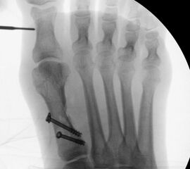
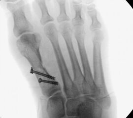
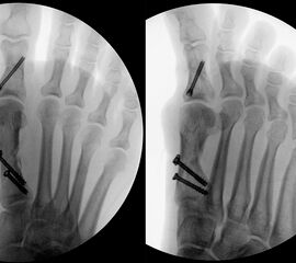
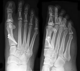
Die minimalinvasive Basisosteotomie des 1. Strahles stellt – entsprechend offenen Verfahren - die Operationstechnik mit dem größten Korrekturpotential dar. Sie kann entweder mit einer medialen Exostosenabtragung des Metatarsale-I-Köpfchens oder aber mit einer zusätzlichen minimalinvasiven subcapitalen medialen Closing wedge Osteotomie (Isham) kombiniert werden 2.  Diese Doppelosteotomie stellt ein hochpotentes Werkzeug zur Korrektur von schweren Hallux Valgus Fehlstellung dar. Im Unterschied zu offenen Verfahren an der Basis des Os metatarsale I sind minimal invasiv immer nur in Closing Wedge Technik möglich, womit eine leichte Verkürzung des 1. Strahls verbunden ist. Die Indikation entspricht dem offenen Techniken.

Vorteile

  • Minimales Weichteiltrauma.
  • Minimale Narbenbildung.
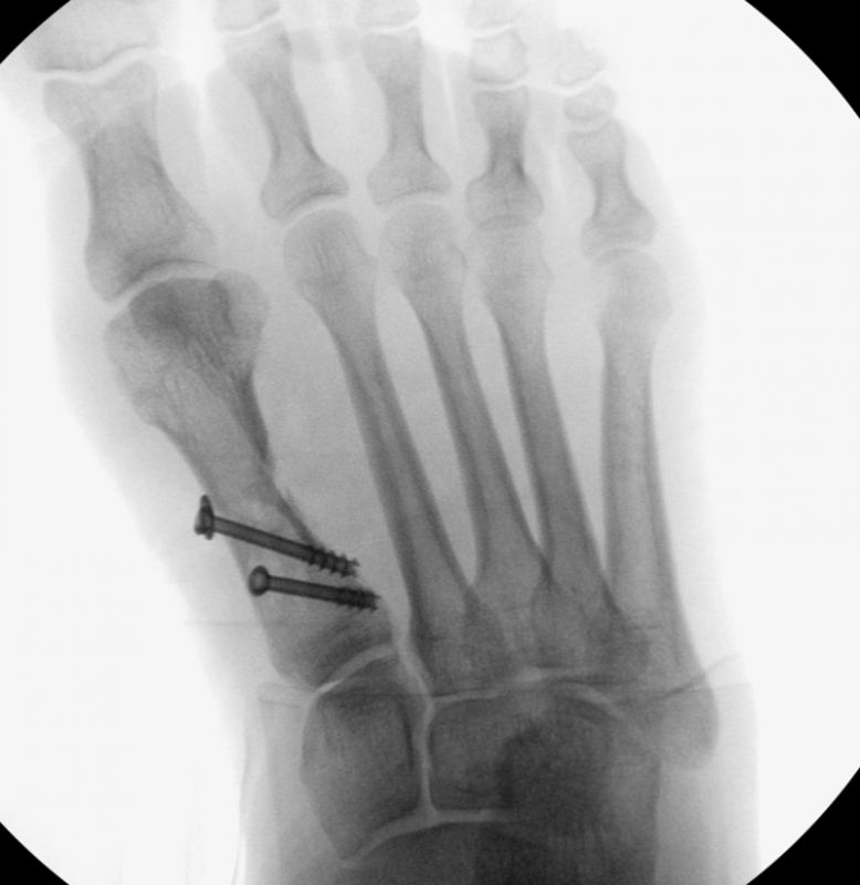
  • Gute Stabilität durch Stabilisierung mit einer oder zwei perkutanen Schrauben möglich.
  • Durch die zweiseitige und dreidimensionale Schnittführung, gute Plantarisierung des Köpfchens von MT 1 möglich
  • Schnellere Rückkehr zu Beruf und Sport gegenüber offenen Basisosteotomien.
  • Keine Blutsperre notwendig.
  • Ambulante Operation im Fußblock und Analgosedierung möglich.
  • Kürzere OP-Zeit im Vergleich zu offenen Verfahren.
  • Postoperative Vollbelastung im Verbandschuh.

Nachteile

  • Leichte Verkürzung des 1. Strahles.
  • Kippung des Gelenkflächenwinkels nach lateral, so dass ggf. eine distale Gegenkorrektur erforderlich wird.
  • Teilweise lange andauernde Schwellneigung.
  • Höhere Strahlenbelastung aufgrund der Notwendigkeit von häufigeren intraoperativen radiologischen Kontrolle verglichen mit offenen Verfahren.
  • Aufwendigere Nachbehandlung als bei offenen Operationen. Insbesondere bei der Kombination mit einer distalen Osteotomie sind die korrigierenden Tapeverbände für den Therapieerfolg wichtig und sollten nur von Operateur oder speziell geschultes Personal durchgeführt werden.
  • Radiologisch längere Durchbauungsphase. Dies sollte Patienten und mitbetreuenden Radiologen mitgeteilt werden.
  • Lange Lernkurve.
  • Gefahr der Weichteilschädigung durch Hitzeentwicklung.
  • Gefahr des sekundären Bruches der medialen Kortikalis mit sekundärer Dislokation und Verkürzung des Metatarsale I.

Indikationen

  • Mittelgradige bis schwere Hallux valgus Fehlstellung (Intermeterversalvinkel ab ca. 15°)
  • Bei hohem Hallux valgus Winkel oder pathologischem Gelenkflächenwinkel besteht die Indikation zu einer zusätzlichen Isham Osteotomie 2, die im Wesentlichen der offenen Reverden Green Osteotomie entsprecht.

Kontraindikationen

  • Manifeste Arthrose im Großzehengrundgelenk (Hallux Rigidus) mit vorbestehender schmerzhafter Bewegungseinschränkung.
  • Kurzes Os Metatarsale I, insbesondere wenn gleichzeitig eine Isham Osteotomie geplant ist.
  • Instabilitäten bzw. Arthrosen im Tarsometatarsale-I-Gelenk.
  • Schlechte Weichteilverhältnisse.
  • Chronische Durchblutungsstörungen.
  • Manifester jahrelanger DM.
  • Schlechte Knochenqualität (Gefahr des Implantatversagens mit sekundärer Dislokation).
  • Unzureichende Patientencompliance.

Patientenaufklärung

  • Postoperativ längere Schwellungen als bei offenen Verfahren möglich.
  • Irritation und Schädigung von Hautnerven im OP Gebiet mit temporärer oder dauerhafter Gefühlsstörung.
  • Verletzungen von anatomischen Strukturen (Hautnerven, Gefäße, Sehnen)
  • Notwendigkeit einer physiotherapeutischen Nachbetreuung.
  • Spezielle Tapeverbände zur Sicherung des Operationserfolges notwendig (müssen vom Operateur oder speziell geschultem Personal wöchentlich die ersten 4 bis 6 Wochen postoperativ gewechselt werden).
  • Der radiologische Heilungsverlauf ist länger als bei offenen Verfahren trotz klinischer Ausheilung.
  • Möglicherweise ist intraoperativ ein Umstieg auf eine offene Technik notwendig.
  • Sekundäre Dislokation mit Dorsalisation des Metatarsaleköpfchens möglich mit Ausbildung einer Transfermetatarsalgie.
  • Verkürzung des ersten Strahles.
  • Köpfchennekrose.
  • Implantatversagen.
  • Metallentfernung kann notwendig werden.
  • Auftreten eines Rezidives mit der Notwendigkeit einer Reoperation.
  • Höhere Strahlenbelastung gegenüber offenen Verfahren durch Verwendung einer intraoperativen Röntgendiagnostik (Bildwandler).
  • Postoperative Schmerztherapie.
  • Thromboseprophylaxe.
  • Postoperatives Management (Tragen eines Verbandschuhs sechs Wochen, die ersten 2 Wochen Belastung des Fußes über die Ferse).
  • Selbständiges Durchführen von Mobilisationsübungen im Bereich des Großzehengrund- und -endgelenkes.
  • Tiefer Infekt und Osteomyelitis.
  • Thrombose- und Embolie-Risiko und leitliniengerechte postoperative Thromboseprophylaxe.
  • Arbeitsunfähigkeit in Abhängigkeit von der körperlichen Beanspruchung (Sitzende Tätigkeiten ca. 2 Wochen, bei hoher körperlicher Beanspruchung mit Sicherheitsschuhen bis zu 3 Monaten).
  • Mit dem Verbandschuh ist Autofahren nicht erlaubt (Ausnahme Operation links und Automatikschaltung).
  • Aufklärung über Wiederaufnahme von sportlichen Betätigungen (Lauf- und Sprungbelastung 8-12 Wochen)
  • Bis zur vollständigen Ausheilung sämtlicher Operationswunden sind die Wundbereiche trocken zu halten. Intensives Duschen, Vollbäder, Saunagänge oder Schwimmen bergen ein hohes Infektionsrisiko.

Operationsvorbereitungen

  • Genaue Anamnese hinsichtlich Beschwerden, Alter, Geschlecht und Body-Maß -Index, sportliche Aktivitäten sowie berufliche Belastung.
  • Klinische Untersuchung des gesamten Fußes unter Entlastung und Belastung.
  • Mögliche Verkürzungen den M. gastrocnemius in die OP Planung mit einbeziehen. Die Vorfußkorrektur kann gut mit einem M. gastrocnemius Release kombiniert werden.
  • Beurteilung des Gangbildes.
  • Evtl. Fotodokumentation der Fehlstellung.
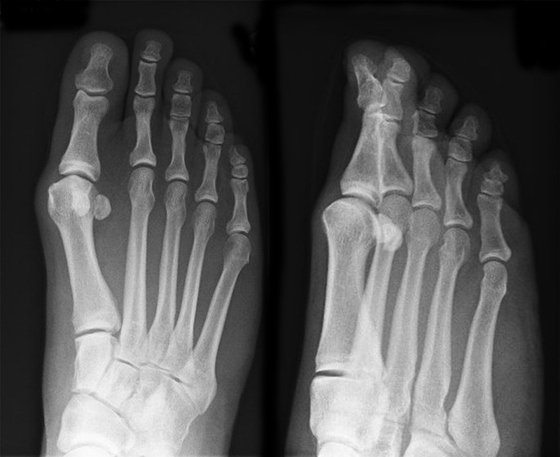
  • Die Operationsplanung erfolgt anhand der Röntgenaufnahmen des Vorfußes unter Belastung in 2 Ebenen. Für die Verfahrenswahl sind wichtig der Intermetatarsalwinkel und die Breite des Os metatarsale, der Hallux valgus Winkel, der distalen Gelenkflächenwinkels (Distal Metatarsal Articular Angulation - DMAA), des Metatarsaleindex und Sesambeinposition (Abb. 1).
  • Patientenanleitung (ggf. Merkblatt) über folgende präoperativ zu beachtende Punkte: Fußwaschung, Entfernung von Nagellack und/oder Schmuck, kein Eincremen der Füße vor der Operation
  • Clipping von Haaren nur, wenn diese ein relevantes Operationshindernis darstellen.
  • Single shot i.v. Antibiose mit weichteil- und knochengängigem Cephalosporin (2. Generation) bei Narkoseeinleitung.
  • Bildverstärker für intraoperative Kontrollaufnahmen 3.
  • Eine Knöchel-, Unterschenkel- oder Oberschenkelblutleere kann für den Fall eines möglichen Verfahrenswechsels vorbereitet werden. Für Minimalinvasive Verfahren sollte die Blutleere oder-sperre aber nicht verwendet werden. Der Blutfluss ist für die Kühlung des OP-Gebiets erforderlich. Wird eine Blutsperre angelegt, steigt das Risiko für Hitzeschäden des Gewebes.

Instrumentarium

  • Motorkonsole (RPM max. 6000 Touren bzw. weniger) (Abb. 2).
  • Shannonfräse 12 mm Länge 2 mm Durchmesser (dorsale Osteotomie), Shannonfräse 8 mm Länge 2 mm Durchmesser (plantare Osteotomie).
  • Spülflüssigkeit (Kontinuierliche Spülung entweder über die Konsole oder manuell).
  • Bildverstärker.
  • Gegebenenfalls röntgendichte Handschuhe.
  • Beaver-Blade Messer.
  • Gebogene Miniklemme bzw. Miniraspatorium.
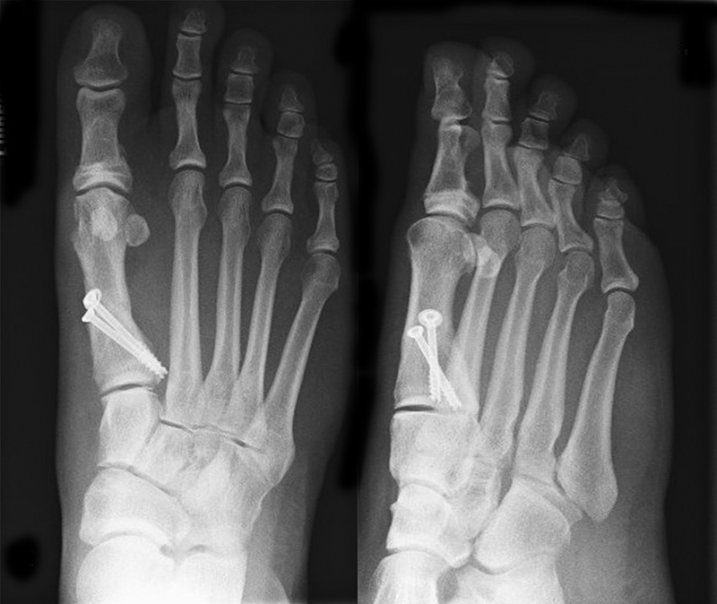
  • Kanülierte Schrauben bis 50 mm Länge, 4 mm Durchmesser, Beilagscheiben.
  • Akkubohrmaschine, Kirschnerdrähte.
  • Für das Anlegen des Spezialverbandes, entsprechendes Verbandsmaterial (sterile Kompressen, 4 cm Haftbinde, Pflaster oder Tapestreifen).

Anästhesie und Lagerung

  • Analgosedierung mit Fußblock 4. Vorteile: Patienten sind in den ersten Stunden postoperativen Stunden schmerzarm und das Verfahren ist für ambulante Eingriffe gut geeignet 5. Alterantiv Intubationsnarkose, Larynxmaskennarkose, Spinalanästhesie, Ischiadicus- oder Poplitealkatheter.
  • Rückenlagerung mit abgewinkeltem Bein, Ferse sollte über der Fußstütze etwas überhängen.
  • Positionierung des Bildverstärkers im 90° Winkel zur Fußlängsachse (Abbildung 4).
  • Strahlenschutz für Patient und Personal.
  • Die Anlage einer Blutleere- oder Sperre ist optional. Wird eine Blutsperre angelegt ist es noch wichtiger, auf eine ausreichende Spülung zur Kühlung des Gewebes zu achten.

OP-Technik

Die Fräse wird auf eine Drehzahl von 3000 – 5000 RPM eingestellt.

Besonderheiten

  • Im Unterschied zur minimalinvasiven Chevron-Osteotomie in Verbindung mit einer minimalinvasiven Akin Osteotomie (MICA) besteht bei der minimalinvasiven Basisosteotomie keine Möglichkeit der Verlängerung des ersten Strahles. 
  • Die Verfahrensimmanente leichte Verkürzung des Os metatarsale I durch die basale Closing Wedge Osteotomie kann gut durch eine leichte Plantarisierung des Os metatarsale I ausgeglichen werden 6.

OP-Video: minimalinvasive Basisosteotomie mit distaler Isham Osteotomie

OP-Video: minimalinvasive closing-wedge Basisosteotomie mit Akin-Osteotomie

Nachbehandlung

  • Vorfußentlastungsschuh für 2 Wochen, anschließend flacher Verbandschuh für weitere 4 Wochen.
  • Verbandswechsel (nur vom Operateur selbst oder durch speziell geschultes Personal) 7, 14, 21, 28 Tage postoperativ mit Freigabe nach 6 Wochen.
  • Beinhochlagerung, Kryotherapie je nach Schwellneigung - Antiphlogistika und Analgetika nach Bedarf.
  • Thromboseprophylaxe entsprechend den aktuell gültigen Leitlinien.
  • Tragen von normalem, bequemem Schuhwerk z.B. Sneakers ab der 6. postoperativen Woche.
  • Röntgenkontrollen (Vorfuß d.p. und seitlich) postoperativ ohne Belastung. Weitere Kontrollen erfolgen 6 Wochen, sowie 3, 6 und 12 Monate jeweils unter Belastung.
  • Physiotherapie mit Lymphdrainagen nach dem 1. Verbandswechsel (7 Tage postoperativ). Die passive und aktive Beübung des Großzehengrundgelenks in Extension und Flexion kann nach Anleitung vom Patienten selbständig durchgeführt werden, alterativ oder in Ergänzung kann Physiotherapie rezeptiert werden.
  • Beginn der sportlichen Aktivität ohne Vorfußbelastung ab 6 Wochen postoperativ (Standradfahren, Schwimmen). Vorfuß belastende Sportarten z.B. Lauftraining, Tennis etc. 12 Wochen postoperativ).
  • Die Arbeitsunfähigkeit richtet sich nach dem beruflichen Belastungsprofil und liegt üblicherweise zwischen 1 Woche (sitzende Tätigkeit, Fuß kann bei Bedarf hochgelagert werden, Arbeitsplatz kann gut erreicht werden) bis zu 3-4 Monaten (hohe körperliche Beanspruchung, Sicherheitsschuhe).

Fehler, Gefahren, Komplikationen

  • Falscher Zugang, daraus resultierend falsche Osteotomieebene.
  • Falsche Einstellung der Motorkonsole (zu hohe Drehzahl) und/oder Verwendung von stumpfen Fräsen mit der Gefahr von Hitzenekrosen an Haut und Knochen.
  • Zuwenig Spülung mit Gefahr von Hitzenekrosen an Haut und Knochen.
  • Hebeln mit der Fräse, was zum Bruch der Fräse führen kann.
  • Falsche Planung der Osteotomieebenen, was zu einer Elevation des 1. Strahles führen kann.
  • Bleiben Knochenbrücken in der Osteotomie stehen, verhindern diese die ausreichende Schließung der Osteotomie mit unzureichender Korrektur.
  • Bruch der medialen Kortikalisbrücke mit Verkürzung und Elevation des 1. Strahles. In diesem Fall muß die Länge des 1.Strahles durch eine quer zur Schaftachse plazierten Schraube gesichert werden. Als Alternative bietet sich eine lange Schraube durch den Schaft als intramedullärer Kraftträger an
  • Gefahr eines Korrekturverlustes oder einer Pseudoarthrose, vor allem bei sekundärem Bruch der medialen Kortikalisbrücke im Verlauf der Nachbehandlung.
  • Korrekturverlust durch falsche Platzierung der Osteosynthese.

Ergebnisse

Verschiedene Techniken wurden in den letzten Jahren unter dem Begriff „Minimalinvasive Hallux valgus Korrektur“ publiziert 1. Diese unterscheiden sich erheblich in der technischen Durchführung, der primären Stabilität der Osteotomie und der Osteosynthese. Ein Teil der Verfahren war primär nicht Belastungsstabil und hat bei hohen Raten sekundärer Dislokationen eine zurückhaltende Sicht gegenüber den minimalinvasiven Techniken hervorgerufen 7.

Die zur Verfügung stehenden technischen Möglichkeiten haben sich in den letzten Jahren wesentlich weiterentwickelt. Zwischenzeitlich wurden die Resultate verschiedener großer Serien publiziert, die exzellente Ergebnisse nach minimalinvasiver Hallux valgus Korrektur dokumentieren 892. Ein Vorreiter war Isham der erstmalig eine distale minimalinvasive closing wedge Osteotomie beschrieb 10. Sun et al. 11 berichteten über die Ergebnisse an 705 Füßen und einem Follow up von 5,3 bis 13,2 Jahren. Dabei lagen die Komplikationsraten niedriger als bei offenen Operationen. Bauer et al. 9 konnten diese Ergebnisse im Rahmen einer prospektiven Fallkontrollstudie an 168 Patienten bestätigen.

De Lavigne et al. 12 analysierte eine Serie von 6 Patienten im Rahmen einer prospektiven Kohortenstudie die mit einer perkutanen Doppelosteotomie (Basisosteotomie und Isham Osteotomie) behandelt wurden. Der AOFAS Score verbesserte sich von 34 auf 84 Punkte, es wurden keine Komplikationen berichtet. Diaz Fernandez 13 bestätigt diese Ergebnisse an einer Serie von 42 Patienten. Verglichen zum offenen Vorgehen wurde insbesondere das geringere Weichteiltrauma und die kürzere OP Zeit herausgestellt.

Die hier beschriebene Technik umfasst die Prinzipien der Basisosteotomie, analog dem offenen Vorgehen unter Beibehaltung der bekannten und etablierten Konzepte der Vorfußkorrektur 10.

Datum der Veröffentlichung: 03.10.2016
OP-Video: Dr. med. Gerhard Suger - Datum der Veröffentlichung : 01.11.2016

Weitere Literatur

  • De Prado M, Ripoll PL, Golano P: Minimal invasive foot surgery. About Your Health, 2009.
Loading…
Loading the web debug toolbar…
Attempt #