Vorbemerkungen

Langstreckige Defekte der Achillessehne stellen den Operateur oft vor große Schwierigkeiten, unabhängig davon, ob der Defekt durch mehrfache Rupturen, schwere degenerative Veränderungen des Sehnenmaterials oder durch eine Infektion nach Achillessehnennaht entstanden ist 1. Neben der Transposition des M. peronaeus brevis, die von Hepp und Blauth 1978 vorgestellt wurde 2, der immer eine Schwächung der Pronation und der aktiven lateralen Stabilisierung nach sich zieht, wurde die Transposition der Sehne des M. flexor hallucis longus zur Augmentation der Achillessehne erstmalig von Wapner 1993 3 beschrieben. Aufgrund der technisch einfachen Durchführbarkeit und den zuverlässig guten Ergebnissen hat sich dieses Verfahren gegenüber der Transposition des M. peronaeus brevis weitgehend durchgesetzt und wird heute von der Mehrzahl der Operateure eingesetzt.

Vorteile

  • Das Verfahren ermöglicht die Überbrückung von langstreckigen Defekten der Achillessehne bis hin zum Totalersatz der Sehne, z.B. nach Infekten.
  • Durch die Transposition des M. flexor hallucis longus kommt es zu einer Kräftigung der Plantarflexoren im Sprunggelenk. Dies bietet vor allem bei einer muskulären Insuffizienz des M. gastrocnemius bzw. des M. soleus Vorteile.
  • Der Muskelbauch des M. flexor hallucis longus kommt lappenartig im Achillessehnengleitlager zu liegen und ermöglicht auch bei kritischen Weichteilen eine problemlose Wundheilung 4.
  • Durch Fixation der Sehne am Kalkaneus mit einer Interferenzschraube kann eine hohe Primärstabilität erreicht werden.
  • Der Eingriff kann über einen einzelnen dorsalen Längszugang durchgeführt werden. Dieser ermöglicht eine ausreichende Transplantatlänge.
  • Optional besteht die Möglichkeit über einen zusätzlichen plantaren Zugang ein Sehnentransplantat von bis zu 15 cm Länge zu gewinnen.

Nachteile

  • Kraftminderung der Plantarflexion der Großzehe, welche aber von geringer klinischer Relevanz scheint 5. Aufgrund multipler Querverbindungen zwischen der Flexor digitorum longus Sehne und der distalen Flexor hallucis longus Sehne ist auch nach dem Eingriff in den meisten Fällen eine aktive Plantarflexion der Großzehe im distalen Interphalangealgelenk möglich. Wird die Flexor hallucis longus Sehne aber langstreckig plantar über einen weiteren Zugang präpariert, müssen viele dieser Querverbindungen durchtrennt werden.
  • Geringerer Muskelhub und Maximalkraft des M. flexor hallucis longus als M. soleus und M. gastrocnemius

Indikationen

Langstreckige degenerative Ruptur der Achillessehne.
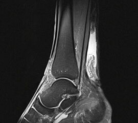
Abbildung 1
  • Langstreckige Defekte der Achillessehnen von >5 cm (Typ Myerson III) 6.
  • Rerupturen nach operativ versorgter Ruptur und schlechter Sehnenqualität.
  • Schwere, langstreckige degenerative Veränderungen der Achillessehne mit Ruptur (Abb. 1).
  • Nach teilweiser oder vollständiger Resektion der Achillessehne bei Zustand nach Infekt.
  • Zur Augmentation bei fettiger Degeneration der Wadenmuskulatur.

Kontraindikationen

  • Achillessehnenrupturen, welche durch eine direkte Naht oder durch eine V-Y-Plastik beherrschbar sind.
  • Zustand nach Transposition des M. flexor digitorum longus (z.B. Pes planovalgus Rekonstruktion)
  • Floride lokale Infektion.

Patientenaufklärung

  • 8 Wochen Unterschenkelwalker, anschließend Absatzerhöhung für 3 Monate.
  • Teilbelastung mit 20 kg für die ersten 4 Wochen mit Unterarmgehstützen.
  • Reduzierte Maximalkraft in Plantarflexion möglich.
  • Knöcherner Ausbruch der Fixation am Kalkaneus.
  • Kraftminderung beim Abdruck über die Großzehe möglich.
  • Wundheilungsstörungen, Sensibilitätsstörungen (N. suralis, N. tibialis) und/oder lokale Durchblutungsstörungen der Haut 7.
  • Arbeitsunfähigkeit: Sitzende Tätigkeiten nach 2 Wochen meist möglich, stehende Berufe nach 10-12 Wochen. Berufe mit hoher körperlicher Beanspruchung bis zu 6 Monaten.
  • Mit Unterschenkelwalker kann kein Kraftfahrzeug geführt werden (Ausnahme OP links bei Automatik-Fahrzeugen).
  • Allgemeine Operationsrisiken.

Operationsvorbereitungen

  • Röntgenaufnahme des Fußes (unter Belastung) in dorsoplantarem, schrägem und seitlichem Strahlengang.
  • MRT des Rückfußes:
    • Beurteilung der Achillessehne und des Ausmaßes des Schädigung
    • Nachweis von fettigen Degenerationen des M. gastrocnemius und des M. soleus.
  • Dokumentation der Durchblutung des Fußes (Pulse der A. tibialis posterior und der A. dorsalis pedis, ggf. Dopplersonographie, Rekapillarisierungzeit).
  • Dokumentation der Sensibilität (Spitz/Stumpf Unterscheidung, 2 Punkte- Diskriminierung) der Zehen.
  • Allgemeine Operationsvorbereitung mit Rasur bis zum Knie.

Instrumentarium

  • Unterschenkelinstrumentarium.
  • 2,5, 3,5, 4,5 und 6 mm Bohrer.
  • Interferenzschrauben (Titan oder resorbierbares Material).
  • Bildverstärker.

Anästhesie und Lagerung

  • Intubationsnarkose mit Mangensode.
  • Blutleere (350 mm Hg) am Oberschenkel
  • Bauchlage mit Polsterung unter dem Thorax und dem Beckenkamm (bzw. Lagerungsrahmen). Die Füße überragen den OP-Tisch.
  • Schaumstoffhalbrolle unter den Sprunggelenken.
  • Strahlenschutzmatte ab Mitte Unterschenkel nach proximal für den Patienten.

Besonderheiten

Wir mehr Sehnenmaterial benötigt, kann durch einen zusätzlichen Hautschnitt in Höhe des Chiasma flexorum die Sehne des M. flexor hallucis longus und die Sehne des M. flexor digitorum longus dargestellt werden 9. Wird ein Redonschlauch dorsal am Sprunggelenk in die Sehnenscheide des M. flexor hallucis longus geschoben, kann der Verlauf der Sehnen palpatorisch gut identifiziert werden. Diese Technik erlaubt ein Absetzen der Sehne proximal des Chiasmas über eine kleine Inzision. Beim Absetzen der Sehne des M. flexor hallucis longus ist darauf zu achten, dass sämtliche Querverbindungen der beiden Sehnen vom Stumpf abgelöst werden, damit ein problemloses herausziehen aus dem Tarsaltunnel gelingt 10. Diese Technik ermöglicht eine langes Transplantat entweder in den distalen Achillessehnenstumpf einzuflechten oder über eine Querbohrung durch den Kalkaneus zu ziehen und mit sich selbst zu vernähen (Abbildung 13)

Langer Sehnenstumpf, der über eine Querbohrung durch den Kalkaneus gezogen wurde und mit sich selbst vernäht werden kann.
Abbildung 13

Beschrieben ist auch ein Ablösen der Sehne auf Höhe des Großzehengrundgelenks. Mit dieser Technik kann zwar ein sehr langer Sehnenstumpf gewonnen werden, die Traumatisierung des Fußes ist aber ungleich höher, da die häufig vorhandenen multiplen Querverbindungen der Sehnen des M. flexor hallucis longus und des M. flexor digitorum longus eine langstreckige Darstellung der Sehne erfordern.
Die Autoren verwenden inzwischen ausschließlich den dorsalen Zugang 11. Da der Muskelbauch des M. flexor hallucis longus bis zur Eintrittsstelle in den Kalkaneus zieht, ersetzen Muskel und Sehne zusammen die Achillessehne. Insgesamt ist die transponierte Sehne mit Muskelbauch etwas dicker als die ursprüngliche Achillessehne. Da ein 4 cm langer Sehnenstumpf für eine stabile Verankerung im Kalkaneus ausreichend ist, sehen wir keinen Vorteil in einem längeren Transplantat. Auch die Arbeiten von Tashjian et al. (2003) der an Leichenpräparaten die Festigkeit beider Fixationsverfahren verglich, konnte keine mechanische Überlegenheit einer der beiden Techniken feststellen 12.

Postoperative Behandlung

  • 8 Wochen Unterschenkelwalker (Vacoped™)
    • 1. - 4. Woche 30° Spitzfußstellung, Teilbelastung 20 kg
    • 5. - 6. Woche 15° Spitzfußstellung, Belastungsaufbau bis Vollbelastung
    • 7. – 8. Woche 0° Stellung, Vollbelastung.
  • 8 Wochen postoperativ Röntgenkontrolle Kalkaneus seitlich.
  • Anschließend für 3 Monate Silikonfersenkissen zur Absatzerhöhung von 1,5 cm.

Fehler, Gefahren, Komplikationen

  • Wundheilungsstörung: Frühzeitige Indikationsstellung zur plastischen Deckung zum Erhalt des Transplantats.
  • Ausbruch des Bohrkanals: Bricht der Bohrkanal aus, so findet sich am Kalkaneus genug Knochensubstanz um einen zweiten Kanal zu bohren. Weiterhin ist es möglich durch eine Bohrung von medial nach lateral die Sehne durch den Kalkaneus zu ziehen und dann mit sich selbst zu vernähen. Zusätzlich besteht immer die Option einer Fixation der Sehne mit Knochenankern 13.

Ergebnisse

Verschiedene Autoren haben über die Ergebnisse des Flexor hallucis longus Transfers berichtet. Wegrzyn (2009) untersuchte 11 Patienten mit einem Follow up von 79 Monaten 9. Der AOFAS-Hindfoot Score zum Zeitpunkt der Nachuntersuchung lag bei 98 Punkten, allerdings war das Kollektiv deutlich jünger als in unserer Studie. Richardson et al. 5 untersuchten 48 Patienten mit einem Follow up von 28 Monaten mit der Frage, in wie weit der Verlust des Flexor hallucis longus zu einer Funktionsbeeinträchtigung an der Großzehe führt. Der AOFAS Forefoot Score 14 betrug durchschnittlich 96,4 (R: 72-100) Punkte. Ein signifikanter Unterschied in der plantaren Druckverteilung zwischen operierten und dem nicht operierten Bein konnte nicht gefunden werden, insbesondere war die Kraftübertragung unter der Großzehe nicht signifikant unterschiedlich. Lediglich die maximale Flexionskraft der Großzehe war vermindert. Will et al. 13 berichteten über 19 Patienten mit einem AOFAS Score von 96,4 (SD 5,7). Ergebnis aller Studien ist eine sehr gute Reduktion der Schmerzsymptomatik im Bereich der Achillessehne. Allerdings erweckt der AOFAS Scores den Eindruck einer nahezu normalen Funktion, welche einer klassischen Achillessehnenrekonstruktion in nichts nachsteht. Dies ist vor allem darauf zurückzuführen, dass der AOFAS Score Schmerz und die Belastbarkeit im Alltag bewertet 14, die sportliche Belastbarkeit aber ausblendet. Auch scheint die Erwartungshaltung der Patienten bezüglich der sportlichen Belastbarkeit zwischen Nordamerika und Europa nicht identisch zu sein, was die unterschiedliche Bewertung der Funktion durch den Patienten erklären könnte. Mit Defiziten im Bereich der sportlichen Belastbarkeit, insbesondere der Maximalkraft in Plantarflexion ist aber bei einer Transposition des M. flexor hallucis longus zu rechnen 11.
In einer konsekutiven Serie von 25 Patienten (m: 15, w: 10, Durchschnittsalter 61 Jahre (R: 37-79 Jahre) konnte in allen Fällen eine Achillessehnenfuktion rekonstruiert werden. Das Risikoprofil der Patienten umfasste 5x Reruptur nach Naht, 2x tiefe Wundinfekte nach Nacht, 4x Diabetes mellitus, 1x Cortisondauertherapie bei COPD. Der AOFAS Hindfoot Scale verbesserte sich von 62 auf 89 Punkte. Insbesondere in der Kategorie „Schmerz“ wurden 38 von maximal 40 Punkten erreicht, was sich mit den Ergebnissen der anderen Autoren deckt 5139. Im Vergleich zur gesunden Seite fand sich aber eine Reduktion der Maximalkraft in Plantarflexion was sich mit durchschnittlich 42 von maximal 50 Punkten niederschlägt. Insbesondere von den 13 sportlich aktiven Patienten wurden Limitierungen bei der Sportausübung angegeben. Diese betrafen vor allem den kräftigen Abdruck des Fußes beim Laufen oder Springen, sowie eine geringere Flexibilität im Sprunggelenk mit unter Last reduzierter Dorsalextension im Sprunggelenk, wie sie auch Hahn et al. (2008) und Martin et al. (2005) berichteten 1516. Auch wenn es über die Monate zu einer reaktiven Hypertrophie des transponierten Muskels kommt, berichten Hahn et al. (2008) nach 46,5 Monaten über ein um 35% reduziertes Drehmoment im oberen Sprunggelenk, verglichen zur gesunden Gegenseite 17. An Komplikationen kam es zu einer Wundheilungsstörung die mit Debridement und Vacuumverband bei Erhalt des Transplantates zur Ausheilung gebracht werden konnte.
Zusammenfassend lässt sich festhalten, dass die Transposition des Flexor hallucis longus bei langstreckigen Defekten der Achillessehne ein bezüglich Alltagsbelastung und Schmerzen exzellentes Therapieverfahren darstellt, welches auch bei kritischen Weichteilen zuverlässig gute Ergebnisse liefert. Die Grenzen des Verfahrens sind die sportliche Belastungsfähigkeit, da die Maximalkraft des M. flexor hallucis longus in den meisten Fällen nicht das Niveau des M. gastrocnemius und des M. soleus erreicht.

Weitere Literatur

  • Blauth W: Die Peroneus-brevis-Plastik bei großen Achillessehnendefekten. Operative Orthopädie und Traumatologie 1990;2:14-21.
Loading…
Loading the web debug toolbar…
Attempt #