Indikation zum operativen Vorgehen

Im Folgenden sollen die wichtigsten für die Behandlung der häufigsten beiden Formen der tarsalen Coalitio in Betracht kommenden Operationsverfahren dargestellt werden. Grundsätzliches zur Epidemiologie, Klinik und Diagnostik findet sich im Kapitel „Die Coalitio des Rückfußes“. – Die Frage, ob und wenn ja in welcher Form operativ vorgegangen werden soll, läßt sich in vielen Fällen nicht pauschal nach einfachen Kriterien beantworten wie etwa „ohne Beschwerden wird nie operiert“ oder „nach Wachstumsabschluß wird immer versteift“. Es werden daher bei den einzelnen Techniken jeweils einleitend grundsätzliche Überlegungen zur Indikation vorausgeschickt. Nicht selten liegt bei tarsaler Coalitio eine deutliche Verkürzung des M. gastrocnemius zusätzlich vor; in diesen Fällen ist eine intramuskuläre Verlängerung [Baumann-Prozedur (Baumann, Koch 1989)] anzuraten. - Konservative Behandlungsmaßnahmen haben einen begrenzten Stellenwert, z.B. die Versorgung mit bettenden Einlagen oder symptomatisch-schmerzlindernde Maßnahmen und vorübergehende Ruhigstellung bei traumatisch ausgelösten Schmerzzuständen.

Resektion der Coalitio calcaneonavicularis

OP-Situs nach Resektion einer calcaneo-navicularen Coalitio bis in die Tiefe des Pfannenbandes. Laterale Anteile des Taluskopfes und der zur Interposition angeschlungene Extensor-digitorum-brevis-Muskel sind erkennbar.
Abbildung 1

Therapeutisch ist bei dieser Form im Kindes- und frühen Jugendlichenalter eine möglichst frühe Resektion direkt nach Diagnosestellung – weitgehend unabhängig vom Ausmaß der Beschwerden – empfehlenswert, da ihre Prognose bei operativer Frühbehandlung besonders günstig ist. In Einzelfällen können inkomplette Brückenbildungen jedoch auch noch im Erwachsenenalter mit gutem Ergebnis reseziert werden 1.

Über einen schrägen Hautschnitt im Verlauf der Hautspaltlinien mit L-förmiger Ablösung des M. extensor digitorum brevis–Ursprunges wird die Coalitio bis in die Tiefe des Pfannenbandes reseziert (Abb. 1) und es werden Anteile des M. extensor digitorum brevis in den etwa 10 mm breiten Resektionsbereich interponiert. Die Länge des Muskel-Interponates reicht zwar in der Regel nicht aus, die gesamte Tiefe des Resektionsspaltes auszufüllen, so daß einige Autoren zu einem Fett-Interponat raten 2; die überwiegend in der Literatur berichteten guten Ergebnisse auch mit Muskel-Interposition können jedoch vom Autor aus eigener Erfahrung bestätigt werden. Bei der Resektion geraten in der Regel gelenkbildende Anteile des lateralen Naviculare-Poles bzw. des vorderen Calcaneus-Abschnittes sowohl im Bereich des Talonavicular-Gelenkes als auch des Calcaneocuboidgelenkes in Wegfall.

Die Ergebnisse der Resektion sind in aller Regel günstig, sofern noch keine sekundären degenerativen Veränderungen insbesondere am Talonavicular-Gelenk eingetreten sind 3. Der Zugewinn an subtalarer Beweglichkeit ist nach ausreichender Resektion in den meisten Fällen deutlich. Die größte bisher publizierte Serie (96 Resektionen mit Interposition von Fettgewebe) wurde von Mubarak et al 2 beschrieben; in 87% trat eine volle Sportfähigkeit postoperativ ein. Besteht zusätzlich eine Deformität, etwa in Form eines Rückfuß-Valgus, so kann z.B. eine Calcaneus-Verschiebeosteotomie hinzugefügt werden.

Arthrodesen bei Coalitio calcaneonavicularis

Sind bereits deutliche degenerative Veränderungen am Talonaviculargelenk zu erkennen, so bleibt als Sekundär-Lösung lediglich die isolierte talonaviculare Arthrodese oder eine Chopart-Arthrodese ab einem Alter von etwa 12 Jahren unter Inkaufnahme der hiermit gegebenen deutlichen Bewegungseinschränkung des talocalcaneo-navicularen Komplexes. Auch in den eher seltenen Fällen persistierender Beschwerden nach Coalitio-Resektion ist in dieser Weise vorzugehen.

Resektion der Coalitio talocalcanearis

Die Indikationsstellung zur operativen Behandlung ist bei der talocalcanearen Coalitio im Kindesalter und Jugendlichenalter besonders schwierig, da ein resezierendes Vorgehen einerseits nicht immer zur Beschwerdefreiheit führt, andererseits die Ergebnisse im jüngeren Alter deutlich besser sind, so daß einfaches „Zuwarten“ keinesfalls die Standard-Lösung darstellt. Dem Autor hat sich der in Abb. 2 dargestellte Algorithmus bewährt. Hierbei wird – unter Einbeziehung der Bildgebung – zunächst geprüft, ob ein resezierendes Vorgehen grundsätzlich erfolgversprechend erscheint. Wichtige Parameter sind Lebensalter, Größe (Längs- und Querausdehnung im Dünnschicht-CT, vgl. Abb. 5) und Lage der Coalitio, Zustand des Restgelenkes und der Nachbargelenke, Vorhandensein einer Planovalgus-Deformität und andere. Auch kann die Entscheidung intraoperativ aufgrund der nach Resektion erreichten Mobilität und des Zustandes des Subtalargelenkes getroffen werden. Bei völliger Beschwerdefreiheit (genaue Anamnese erforderlich!) erscheint ein operatives Vorgehen bei der talocalcanealen Form meist eher nicht indiziert, ggf. kann auch eine vorhandene Deformität unter Belassen der Coalitio selber korrigiert werden 4; bei belastungsabhängigen Beschwerden ist im Kindes- und Jugendalter ein primär-resezierendes Vorgehen in der Regel anzustreben, allerdings immer unter dem Vorbehalt möglicher sekundärer Arthrodese-Notwendigkeit (Abb. 5). Grundsätzlich ist eine Resektion der Coalitio auch im jüngeren Erwachsenenalter möglich; dieser Weg bleibt jedoch wenigen Einzelfällen vorbehalten.

Algorithmus
Abbildung 2
OP-Situs nach Resektion einer talocalcanearen Coalitio. Mit einem Knochenspreizer kann das Talocalcanealgelenk vorsichtig mobilisiert werden.
Abbildung 3

Operatives Vorgehen: Die Resektion einer talocalcanearen Coalitio wird unter Beiseitehalten und Schonung der Beugesehnen mit Verwendung von Osteotomen, oszillierender Säge und Knochenfräsen durchgeführt 56, bis die hintere Kammer des unteren Sprunggelenkes breit eingesehen und mit einem Distraktor leicht aufgespreizt und beurteilt werden kann (Abb. 3). Die Resektionsflächen sollen eine Distanz von ca. 10 mm zueinander aufweisen und können mit Knochenwachs abgedeckt werden. Die Interposition von freiem Fettgewebe hat sich bewährt. Postoperativ ist eine Frühmobilisation des unteren Sprunggelenkes aus einer Schiene oder Orthese heraus anzustreben.

Die postoperativen Verläufe sind oft ausgesprochen langwierig mit erst nach Monaten abklingenden Restbeschwerden. Dies hängt damit zusammen, daß es sich um jahrelang fehlentwickelte Gelenke handelt und die Resektion der Coalitio nur die Voraussetzung zur Restituierung einer gewissen Teilmobilität schafft. Hetsroni et al 7 konnten zeigen, daß der erzielte Beweglichkeitszugewinn zudem funktionell kaum ausgenutzt wird. Zahlreiche Fallberichte über meist kleinere Patientengruppen beschreiben längerfristig Erfolgsraten zwischen 50 bis etwa 90 % nach Resektion. Einen guten Literatur-Überblick gibt die Arbeit von Lemley et al 3. Eine aktuelle Arbeit aus drei Zentren mit einem größeren Kollektiv (49 Resektionen mit Fettgewebs-Interposition) und einer mittleren Beobachtungszeit von 42,6 Monaten beschreibt 85% gute und sehr gute Ergebnisse mit einem mittleren AOFAS-Score von 90 von 100 möglichen Punkten; in immerhin 34% der Patienten wurde allerdings ein Zweiteingriff zur Stellungskorrektur erforderlich 5.

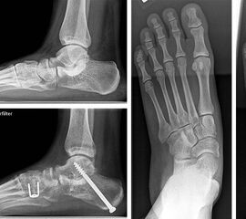
Nichtversteifende Stellungskorrektur bei Coalitio talocalcanealis

Zum Operationszeitpunkt 11-jähriger Junge mit großer Coalitio talocalcanearis (Längsausdehnung 25 mm, Querausdehnung 15 mm) und ausgeprägter kontrakter Planovalgus-Deformität (a und b). 4 Jahre nach Coalitio-Resektion, Fett-Interposition,
Abbildung 4

Nicht selten ist bei der Coalitio talocalcanealis zusätzlich eine Planovalgusdeformität zu beobachten. Die umfangreiche Literatur der vergangenen Jahrzehnte zur Coalitio beschrieb diese Kombination als prognostisch ungünstig für ein resezierendes Vorgehen, ließ bis vor wenigen Jahren die Frage des Vorgehens in diesen Fällen aber weitgehend offen. Luhmann und Schoenecker 8 berichteten von einem Fall sekundärer Calcaneus-Verlängerungsosteotomie, Hamel beschrieb 2009 die simultane Coalitio-Resektion und Calcaneus-Osteotomie an 9 Patienten im Kindes- und Jugendlichenalter 6 und berichtete später (2012)(Hamel 2012) über mittelfristige Ergebnisse mit Beschwerdefreiheit in 5 von 8 Fällen (Abb. 4); zwei Fälle hatten noch Beschwerden bei intensiver Belastung und in einem Fall mußte eine in-situ-Arthrodese sekundär durchgeführt werden. Blitz (2010) 9 stellte vier Fälle und Mosca und Bevan (2012) 4 zwei Fälle von Coalitio-Resektion und simultaner Calcaneus-Verlängerung vor mit jeweils überwiegend guten Ergebnissen. Giannini et al 10 berichteten über gute Ergebnisse nach Resektion und Einbringung eines Sinus-tarsi-Spacers zur Stellungskorrektur.

Insbesondere Mosca und Bevan weisen 4 auf die Möglichkeit hin, daß geklagte Beschwerden in diesen Fällen nicht immer durch die Coalitio selber, sondern z.T. mehr durch die Deformität ausgelöst sein können; sie beschreiben neun Fälle kindlich-jugendlicher Patienten, in denen sie mit einer Calcaneus-Verlängerung ohne Coalitio-Resektion überwiegend gute Ergebnisse im mittelfristigen Verlauf erzielen konnte.

Bei kombinierter Planovalgus-Deformität und Coalitio talocalcanealis sollte über eine primäre 96 (Hamel 2012) oder sekundäre 58 Korrektur durch Osteotomien mit oder ohne Resektion der Coalitio nachgedacht werden. Wird die Fehlstellung bei Resektion der Coalitio belassen, kann dies zu einer Dekompensation und Persistenz der Beschwerden beitragen, da das Subtalargelenk durch die Resektion einer größeren Coalitio erheblich destabilisiert wird.

Die Deformitäten-Korrektur richtet sich nach der Ausprägung der drei Komponenten der Planovalgus-Deformität in den drei Ebenen des Raumes: Das Standard-Korrektur-Verfahren stellt die „tarsale Triple-Osteotomie“ dar, bei der die Mittel-Vorfuß-Abduktion durch eine (leichte) Calcaneusverlängerung (Evans-Prozedur (Evans 1975)), die dann verbleibende Rückfuß-Valgus-Komponente durch eine Verschiebung des Tuber calcanei und die danach meist demaskiert zu beobachtende Mittel-Vorfuß-Supination durch eine plantarisierende Cuneiforme-mediale Osteotomie adressiert wird. Im Einzelfall kann sich je nach Ausprägung der Deformität eine der Osteotomien erübrigen.

Operatives Vorgehen: Nach Resektion der Coalitio (s.o.) wird über eine schräge Hautinzision über der lateralen Fußwurzel unter Schonung der Suralis-Äste und der Peronealsehnen der vordere Calcaneusabschnitt subperiostal umfahren. Nach Anbringen eines Distraktors erfolgt eine Osteotomie etwa 8 mm distal der vorderen Begrenzung der Gelenkfläche der hinteren Kammer des Subtalargelenkes. Hier wird je nach Ausmaß der Deformität ein trikortikaler Keil von ca. bis zu 5 bis 8 mm Basisbreite aus dem vorderen Beckenkamm eingebracht. Eine Sicherung des Calcaneocuboidgelenkes wie früher bei wesentlich ausgedehnteren Verlängerungen empfohlen erscheint nicht erforderlich. Die Rückfußvalgus-Komponente wird über eine separate Inzision im Bereich des lateralen Tuber calcanei durch medialisierende Osteotomie korrigiert. Im Kindes- und Jugendlichenalter ist eine Osteosynthese mit zwei perkutan von der Ferse aus eingebrachten Kirschner-Drähten ausreichend, wobei beide Drähte beide Calcaneus-Osteotomien stabilisieren. In aller Regel wird dann ein zweiter trikorticaler Span (ca. 5 mm Basisbreite) über einen dorsalen Zugang im Bereich des Os cuneiforme mediale in open-wedge-Technik zur Plantarisierung des medialen Strahles eingebracht. Hier ist eine Osteosynthese oft nicht erforderlich.

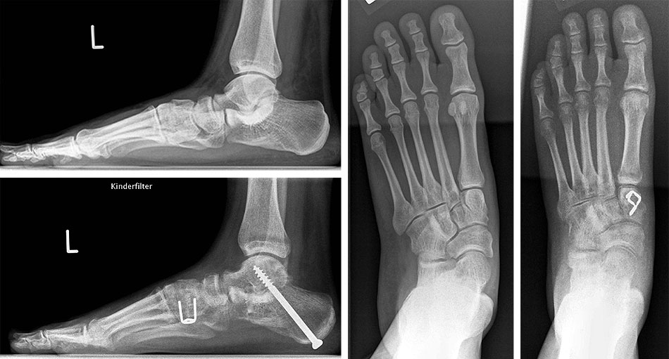
Isolierte subtalare Arthrodese bei TC-Coalitio

Die isolierte talocalcaneare Arthrodese stellt bei nichtresektabler symptomatischer Coalitio oder bei längerfristig persistierenden Beschwerden nach Resektion im Jugendlichenalter wie beim Erwachsenen 11 eine funktionell sehr befriedigende Lösung dar (Abb. 5 und 6), zumal bereits eine weitgehende Einsteifung durch die Coalitio vorbestehend ist. Sie kann – wie die Resektion – von einem medialen Zugang aus als in-situ-Arthrodese durchgeführt werden (auch eine intraoperative Entscheidung Resektion versus Arthrodese ist möglich). Bei deutlicher Rückfuß-Valgus-Deformität oder der Notwendigkeit der Interposition von corticospongiösen Spänen ist ein Zugehen von lateral (auch als Grice-Arthrodese (Grice 1952)) oder auch von dorsal in Bauchlage mit und ohne Resektion der Coalitio alternativ möglich. Auch Kombinationen mit tarsalen Osteotomien zur Korrektur weiterer Fehlstellungskomponenten kommen entsprechend dem oben beschriebenen Vorgehen bei Coalitio-Resektion in Betracht (Abb. 6).

Die Abbildung 5 steht Ihnen in Kürze wieder zur Verfügung. Vielen Dank für Ihr Verständnis.

Die auch in neuerer Zeit noch standardmäßig empfohlene Triple-Arthrodese 8 sollte Fällen mit sekundären talonavicularen Veränderungen vorbehalten bleiben. In den meisten Fällen ist jedoch die Chopart-Gelenklinie bei talocalcanearer Coalitio noch erhaltungswürdig; das „talar beaking“ sollte nicht mit einem Osteophyten verwechselt und als Hinweis auf höhergradige degenerative Schädigung des Talonavicular-Gelenkes verkannt werden.

Operatives Vorgehen: Zunächst ist die Frage zu entscheiden, ob die Coalitio reseziert oder belassen werden sollte. Bei breiter, kompletter Coalitio ohne Deformität kann eine in-situ-Arthrodese von anterolateral über einen Sinus-tarsi-Zugang durchgeführt werden. Ein corticospongiöser Span wird zur Verblockung paßgenau in ein ensprechend ausgefrästes oder ausgesägtes Fenster im lateralen Subtalargelenk eingebolzt. Alternativ kann auch ein Knochenspan extraartikulär in den Sinus-tarsi eingepaßt werden, entsprechend der Grice-Arthrodese. Bei inkompletter, schmerzauslösender Coalition erscheint die Resektion von medial aus sicherer. Das verbleibende Subtalargelenk (hintere Kammer) wird danach mit dem Hintermann-Distraktor aufgespreizt und mit Küretten und Knochenfräse entknorpelt und subchondral angefrischt. Eine leichte Rückfuß-Valgus-Deformität kann hierbei gut mit ausgeglichen werden; das bei der Coalitio-Resektion angefallene knöcherne Material kann als Spongiosaplastik Verwendung finden, eine zusätzliche Spongiosa-Entnahme ist fakultativ möglich und nicht selten sinnvoll. Die Osteosynthese erfolgt bei geschlossener Tuber-Wachstumsfuge mit zwei perkutan unter BV-Kontrolle eingebrachten Lochschrauben mit Kompressionseffekt, bei offener Fuge mit zwei K-Drähten der Stärke 1,6 mm.

Bei höhergradiger Planovalgus-Deformität kann mit corticospongiösen Spänen von lateral aus gearbeitet werden; alternativ ist eine Korrektur auch über eine zusätzliche Tuber-Osteotomie möglich. Verbleibende Mittel-Vorfuß-Deformitäten (Abduktion, Supination) sollten wie oben beschrieben zusätzlich durch Calcaneus-Verlängerungs-Osteotomie bzw. Cuneiforme-mediale-Osteotomie behoben werden.

Triple-Arthrodese bei Coalitio talocalcanealis

Nur bei sehr kontrakter und ausgeprägter Deformität im Erwachsenenalter oder bei Vorliegen erheblicher degenerativer Veränderungen ist primär eine ausgedehnte Rückfuß-Arthrodese in Erwägung zu ziehen. Sie kann von medial aus am Talocalcaneal- und Talonaviculargelenk realisiert werden. Zumindest wenn hierdurch die bestehende Mittel-Vorfuß-Supination nicht vollständig zu beheben ist, sollte über einen lateralen Zugang das Calcaneocuboid-Gelenk mit in die Arthrodese einbezogen werden.

Weitere Literatur

  • Baumann JU, Koch HG. Ventrale aponeurotische Verlängerung des M. gastrocnemius. Operat Orthop Traumatol (1989) 1, 254-8
  • Evans D. Calcaneo-valgus deformity. J Bone Joint Surg 57-B (1975) 270-8
  • Grice DS. An extra-articular arthrodesis of the subastragalar joint for correction of paralytic flat feet in children. J Bone Joint Surg 34-A (1952) 927-40
  • Hamel J. 3-6-Jahres Ergebnisse nach Resektion einer talocalcanearen Coalitio kombiniert mit Calcaneus-Verlängerung im Kindes- und Jugendlichen-Alter. FussSprungg 10 (2012) 175-83
Loading…
Loading the web debug toolbar…
Attempt #