Eine zentrale Rolle in der Ätiopathogenese des erworbenen Plattfußes ist die Dysfunktion der Muskulus tibialis posterior Sehne. Diese Pathologie umfasst dabei sowohl eine Kontinuitätsunterbrechung, Ruptur, Partialruptur oder funktionelle Insuffizienz der Sehne. Der Tibialis posterior Muskel als stärkster Invertor ist ein wichtiger Stabilisator des Fußes beim Gang. Die kapsuloligamentären Strukturen der medialen Fußsäule (Spring-Ligament = Lig. Calcaneonaviculare plantare, Plantarfaszie, Lig. plantare longum) sind für die statische Sabilisierung der Fußwölbung verantwortlich, die Pathologie des Plattfusses mit Sehnenpathologie und Fehlfunktion wurden erst vor ca. 30 Jahren beschrieben. Es kommt zu einem progredienten Einsinken des medialen Gewölbes, weiters zu einem Versagen der kapsuloligamentären Strukturen, einer Valgisierung des Rückfußes und einer Abduktion des Vorfußes („too-many-toe sign“) verbunden mit klinischen Symptomen und fehlender Varisation der Ferse im Spitzfußstand. Zirka 1,5 cm distal vom medialen Malleolus ist die Sehne hypovaskularisiert und somit findet sich dort eine Prädilektionsstelle für degenerative Veränderungen. Unterschiedlichste Techniken von reinen Weichteiltechniken über knöcherne Eingriffe wie die medialisierende Kalkaneusosteotomie oder die Kalkaneus-Verlängerungsosteotomie nach Evans, sowie Arthrodesen werden in der Literatur mit unterschiedlichen und kontroversen Ergebnissen beschrieben, hier wird die Sehnentransfermethode beschrieben 123456.
Operationsprinzip und –ziel
Durch die medialisierende Calcaneusosteotomie wird der Rückfuß wieder in die Lotlinie des Beines gebracht, und die Zugrichtung der Achillessehne wird wieder physiologisch, was eine zusätzliche Stabilisierung des Fusses bewirkt. Durch den FDL-Sehnentransfer (FDL=Flexor wird das Fußgewölbe wieder aufgerichtet. Ziel ist ein schmerzfreier Fuß bei normaler Funktion und Form, der Zehenspitzenstand soll wieder ermöglicht werden.
Vorteile
Wiederherstellung des Längsgewölbes
Korrektur des Fersenvalgus
Schmerzbehandlung
Zehenspitzenstand
Korrektur der Vorfußabduktion
Nachteile
Die Kaliberstärke der FDL Sehne entspricht nicht der Kaliberstärke der Sehne des M. tib.posterior.
Vollständige Wiederherstellung des Längsgewölbes schwierig zu erreichen
Schwächung der Zehenbeugefunktion
Lange Ausheilungsdauer
Indikationen
Konservative Behandlung erfolglos
Gesicherte Dysfunktion der M. tib. post. Sehne
Erworbener Plattfuß Stadium II
Keine Arthrosen
Fuß passiv korrigierbar
Kontraindikationen
Floride Infektion
M. Sudeck
Stadium III oder IV
Fortgeschrittene Arthrosen des OSG und/oder USG
Rigider Plattfuß
Relativ: Diabetes und Neuropathie
Infektgefährdete Hautsituation
Relevante Störung der Durchblutung
Operationsvorbereitungen
linische Untersuchung und Diagnosestellung
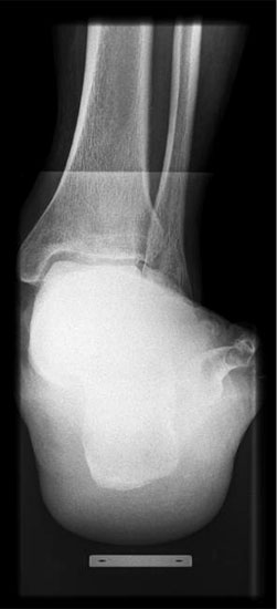
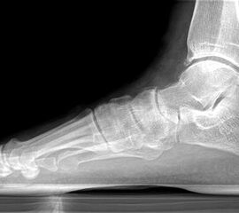
Abbildung Nr. 1: Röntgen Fuß: dp und seitlich stehend.
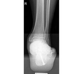
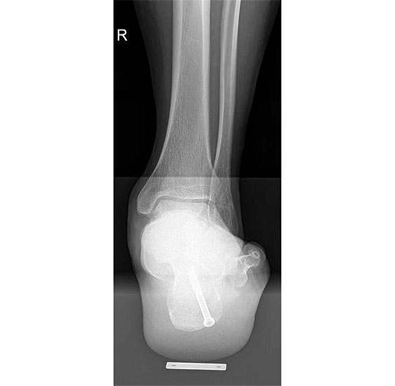
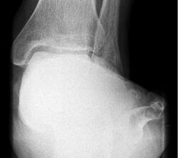
Abbildung Nr. 2: Saltzmannaufnahme zur Bestimmung des Fersenvalgus.
Ev. MRT
Inspektion der Haut
Ev. Durchblutungsprüfung (Ultraschall, im Zweifel Angiographie).
Blutleere (350 mm Hg, bzw. 40-100 mm Hg über dem systolischen Blutdruck) am Oberschenkel bei spinaler Leistungsanästhesie; bei normaler Leitungsanästhesie oberhalb des oberen Sprunggelenkes (300 mm Hg).
Rückenlage, leichte Kniebeugung über Schaumstoffrolle.
Keil unters Gesäß ipsilateral.
Strahlenschutzmatte ab Mitte Unterschenkel nach proximal für den Patienten.
Operationstechnik
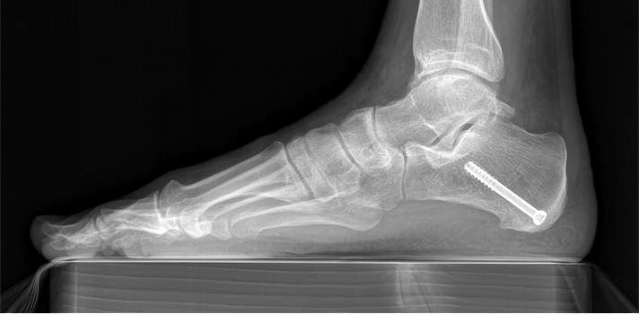
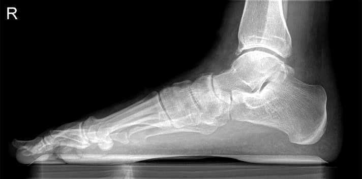
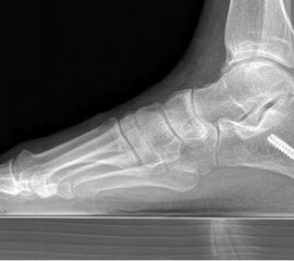
715.<br> Für die medialisierende Calcaneusosteotomie wird ein bogenförmiger Hautschnitt in Höhe des hinteren Fersenbeines gesetzt, die Subcutis bis zum Fersenbein durchtrennt und dieser bogenförmige Lappen nach ventral präpariert. Dadurch kommt es zu einem Schutz des Nervus suralis, welcher gemeinsam mit den Peronealsehnen nach vorne gehalten wird.<br> Es wird nun das Fersenbein mit einem Wundspreizer eingestellt und cranial sowie caudal mit 2 Hohmannhaken umfahren.<br> Dann wird das Fersenbein mit der oszillierenden Säge osteotomiert, mit dem Meißel und dem Wundspreizer distrahiert.<br> Danach wird das Fersenbein ca. 1 cm nach medial verschoben, unter Vermeidung der Cranialisierung des hinteren Calcaneus . Dann wird von dorsal über eine Hautstichincision der Bohrdraht für die 4,5mm (- 6,5 mm) kanülierte Schraube eingebracht und über die Osteotomie in den vorderen Calcaneusanteil vorgeschoben.<br> Kontrolle im Bildwandler in 2 Ebenen. Wenn die Bohrdrahtlage gut ist Überbohren für die kanülierten Schrauben und Eindrehen der Schraube. (Alternativ kann an Stelle der Schraubentechnik auch eine Fixation mit Stufenplatten oder Ähnlichem verwendet werden).<br> Wundverschluss am lateralen Zugang und über der Stichincision.</p>"> 715.<br> Für die medialisierende Calcaneusosteotomie wird ein bogenförmiger Hautschnitt in Höhe des hinteren Fersenbeines gesetzt, die Subcutis bis zum Fersenbein durchtrennt und dieser bogenförmige Lappen nach ventral präpariert. Dadurch kommt es zu einem Schutz des Nervus suralis, welcher gemeinsam mit den Peronealsehnen nach vorne gehalten wird.<br> Es wird nun das Fersenbein mit einem Wundspreizer eingestellt und cranial sowie caudal mit 2 Hohmannhaken umfahren.<br> Dann wird das Fersenbein mit der oszillierenden Säge osteotomiert, mit dem Meißel und dem Wundspreizer distrahiert.<br> Danach wird das Fersenbein ca. 1 cm nach medial verschoben, unter Vermeidung der Cranialisierung des hinteren Calcaneus . Dann wird von dorsal über eine Hautstichincision der Bohrdraht für die 4,5mm (- 6,5 mm) kanülierte Schraube eingebracht und über die Osteotomie in den vorderen Calcaneusanteil vorgeschoben.<br> Kontrolle im Bildwandler in 2 Ebenen. Wenn die Bohrdrahtlage gut ist Überbohren für die kanülierten Schrauben und Eindrehen der Schraube. (Alternativ kann an Stelle der Schraubentechnik auch eine Fixation mit Stufenplatten oder Ähnlichem verwendet werden).<br> Wundverschluss am lateralen Zugang und über der Stichincision.</p>" srcset="/assets/images/a/3-raswd6qgkh6s353.jpg 1x, /assets/images/g/3-exngvjjv83x827d.jpg 1.5x, /assets/images/w/3-836r57qt8j3eh0w.jpg 2x" width="270" height="240" loading="lazy">
Abbildung 3
Abbildung 4
8. Bei Bedarf kann zur Verstärkung des talonavicularen Kapsel-Bandapparates der Stumpf der Tibialis posterior Sehne verwendet werden</p>"> 8. Bei Bedarf kann zur Verstärkung des talonavicularen Kapsel-Bandapparates der Stumpf der Tibialis posterior Sehne verwendet werden</p>" srcset="/assets/images/4/5-b32ybaf1nq8e0pj.jpg 1x, /assets/images/9/5-djkrnnkb21s2gpr.jpg 1.5x, /assets/images/5/5-gmxasnncbyn5dbb.jpg 2x" width="270" height="240" loading="lazy">
Abbildung 5
Abbildung 6
Abbildung 7
Abbildung 8
Abbildung 9
Abbildung 10
Abbildung 11
Abbildung 12
Abbildung 13
Abbildung 14
Besonderheiten (optional)
Alternativ können unterschiedliche Möglichkeiten zur Fixation der transferierten Sehne im Knochen gewählt werden (z.B. kann die Sehne durch ein Bohrloch im Os navikulare gezogen und mit sich vernäht werden) 6591011.
Postoperative Behandlung
Der Unterschenkelspaltgips in leichter Adduktions- und Spitzfußstellung wird bis zur Abschwellung beibehalten (wenige Tage)
Anschließend ist eine Entlastung in einem Unterschenkelgipsverband (in Null-Grad Stellung) für 4 Wochen vorgesehen, danach Teilbelastung für 2 Wochen. Ab der 6. bis zur 8 Vollbelastung im Unterschenkelgips
Ab der 8. Woche (nach Gips ex.) ist eine konsequente physiotherapeutische Nachbehandlung (aktive und passive PT) notwendig. Sie beginnt mit manueller Lymphdrainage mehrmals wöchentlich.
Danach Mobilisation(Woche 8-12) in normalen Straßenschuhen unter Verwendung einer U-förmigen Sprunggelenksschiene ( z.B. Aircast Schiene)
Nach der 12 Woche ist das Tragen von normalen Straßenschuhen mit Einlagenversorgung vorgesehen
Fehler, Gefahren, Komplikationen
Schmerzen an der Ferse durch überstehende Schraubenköpfe
Schädigung des N. suralis mit Hypästhesie
Störende Knochenkante am Calcaneus lateral (cave: Abschrägen)
Verletzungen medial (Gefäß- oder Nervenbündel, Sehnen)
Hämatom
Ausreißen der Fixationsschraube bei mangelhafter Knochenqualität
Ergebnisse
Es wurden insgesamt 16 Patienten nach dieser Methode operiert, sie erhielten alle das oben genannte postoperative Regime. Der durchschnittliche Nachuntersuchungszeitraum betrug 15 Monate (10-31 Monate), das Patientenalter betrug im Durchschnitt 54 Jahre (48-75 Jahre), das Geschlechtsverhältnis männlich : weiblich betrug 3 : 13. Das durchschnittliche Körpergewicht der Patienten betrug 84kg (66-98 kg). Die Auswertung erfolgte durch die VAS und den AOFAS Score, sowie an Hand der Zufriedenheit der Patienten. Desweiteren wurden die radiologischen Parameter (lateraler talonavicularer Winkel, Saltzmann-Aufnahme und talonavicularer Überdeckungswinkel) prä- und postoperativ ausgewertet sowie die Komplikationen analysiert.
Intraoperativ wurden folgende Pathologien gefunden: Tendinopathien 33%, Teilrupturen 22%, Komplettrupturen 44%. In 75% der Fälle fanden sich zusätzlich Rupturen des „Spring ligaments“.
Es konnte postoperativ eine Verbesserung der VAS von 8 auf 1 Punkt erreicht werden, der AOFAS Score stieg von 43 auf 97 Punkte signifikant an, wobei der Schmerzsubscore von 10 auf 38 Punkte und der Funktionssubscore von 31 auf 59 Punkte stieg. 14 der 16 Patienten waren sehr zufrieden, 1 Patient zufrieden und 1 Patient unzufrieden (Unfähigkeit zum Fersenstand). 15 der 16 Patienten würden die Operation nochmals durchführen lassen.
Komplikationen: In 1 Fall zeigte sich eine temporäre Läsion des Nervus suralis, welche jedoch nach 3 Monaten komplett ausgeheilt war. Es fanden sich keine Osteolysen, keine Schrauben- oder Dübelprobleme, keine Zystenbildung.
Es konnte, bei präoperativer Unfähigkeit zum einbeinigen Zehenspitzenstand, beim letzten Follow up in 62% der Fälle ein schmerzloser einbeiniger Zehenspitzenstand erreicht werden. Der Saltzmann-Winkel konnte von präoperativ 11° (7-17°) auf 3° (1-8°) korrigiert werden. Der seitliche Metatarsale I Winkel wurde von 18° präoperativ (13-23°) auf 7° (5-13°) postoperativ korrigiert. Der talonaviculare Überdeckungswinkel konnte von präoperativ 10° (4-18°) auf postoperativ 7° (2-15°) reduziert werden.
Zusammenfassung
Bei flexibler Plattfußdeformität des Erwachsenen im Stadium II besteht die Indikation zur operativen Aufrichtung des Plattfußes mittels medialisierender Calcaneus-Osteotomie und Flexor digitorum longus Sehnentransfer. Die, bei uns verwendete Fixation mit resorbierbarer Interferenzschraube ergab eine signifikante Verbesserung der verwendeten Scores bei hoher Patientenzufriedenheit.
Durch den Erhalt des Henry’schen Knotens, kann das Operationstrauma reduziert werden. Hierdurch ist eine geringere Morbidität mit Reduktion der Hämatombildung und Schwellneigung zu erwarten.
Klinische Klassifikation der Knickfußdeformität. (Nach Johnson u. Strom) Schmerzen Rückfußstellung Mittelfußstellung Einbeiniger Zehenstand Therapie