Vorbemerkungen

Seine endgültige Erwachsenenform entwickelt der kindliche Fuss typischerweise im Alter zwischen 5-7 Jahren 1. Im Rückfuß entwickelt sich in diesem Alter ein physiologisches Alignement zwischen Talus und Calcaneus, welches den im Schrittzyklus wichtigen Wechsel zwischen Rückfußinversion und –eversion ermöglicht. (Root ML, Orlen WP, Weed JH. 1977).
Ein bis dahin morphologischer kindlicher flexibler Knick-Senkfuß geht in vielen Fällen in einen funktionellen flexiblen Knick-Senkfuß über, zumeist ohne Beschwerden. Treten Beschwerden auf, kann nach erfolgloser konservativer Therapie und dem Ausschluss anderer Ursachen wie einer tarsalen Coalitio oder neuromuskulären Erkrankung eine Arthrorise als operative Therapiemöglichkeit erwogen werden. Als Ziel hierbei gilt die Korrektur der klinischen und radiologischen Fehlstellungskomponenten: des Calcaneus valgus,des erhöhten Talocalcanearen Winkels mit Medialisierung und Plantarisierung von Talushals und –Kopf sowie der Vorfußsupination und -abduktion 2.
Die Arthrorise ist definiert als „Limitierung exogener Gelenkbewegung ohne vollständige Arthrodese“ (Nove-Josseran G. 1928)
Gängige Arthroriseverfahren sind die subtalare Arthrorise mittels einer Endorthese, die in den Sinus tarsi eingebracht wird sowie die hier vorgestellte minimal invasive subtalare Schraubenarthrorise, welche isoliert oder in Kombination mit anderen Eingriffen wie einer Achillessehnenverlängerung, Resektion eines Os naviculare accessorium und/oder Stabilisierung des Talo-navicularen Kapsel-Band-Komplexes durchgeführt wird.

Operationsprinzip und –ziel

Das Operationsziel ist die Herstellung einer physiologischen Stellung des Talus über dem Calcaneus durch extraarticuläres Einbringen einer retinierenden Schraube am lateralen Rand des Calcaneus auf Höhe des Sinus tarsi unter dem Processus lateralis tali.
Die Stellungskorrektur wird durch eine Kombination dynamischer, statischer und propriozeptiver Mechanismen erzielt. Hierdurch wird eine funktionelle Adaptation der beiden Knochen im Laufe des weiteren Wachstums mit einer dauerhaften Korrektur des flexiblen Knicksenkfußes möglich.
Ein Korrekturverlust ist bei Entfernung der Schraube nach Wachstumsabschluss nicht zu erwarten.

Vorteile

  • Minimal-invasives OP-Verfahren mit geringer Morbidität
  • Großes Korrekturpotential
  • Kurze Operationsdauer
  • Die Gelenkfunktion des Subtalargelenkes bleibt erhalten
  • Keine Eröffnung und potentielle Schädigung der Strukturen des Sinus tarsi
  • Keine postoperative Ruhigstellung notwendig
  • Geringe Implantatkosten

Nachteile

  • Vermeintlich technisch einfaches OP-Verfahren, aber bei fehlender Erfahrung Über- oder Unterkorrektur leicht möglich
  • Optimale Schraubenposition schwieriger zu erzielen als bei Sinus-tarsi-Implantaten
  • Intraoperative Bildwandlerkontrollen empfehlenswert
  • Folge-OP zur Metallentfernung bei Skelettreife notwendig
  • Lokale Schmerzen und Peronealsehnenspasmus als Folge einer Überkorrektur möglich

Indikationen

Persistierender, symptomatischer kindlicher Knick-Senkfuß mit lateralem Impingement, Schmerzen im Bereich des Ansatzes der Sehne des M. Tibialis posterior bzw prominentem medialem Taluskopf und Belastungsschmerz 2.

Kontraindikationen

  • kontrakter Plattfuß
  • Neurogener Knick-Senkfuß
  • abgeschlossenes Längenwachstum mit Verschluß der Wachstumsfugen
  • Kosmetische Indikation
  • Chronische Ruptur der Tibialis posterior -Sehne
  • Talus verticalis

Patientenaufklärung

  • Lokale Schmerzen, Mißempfindungen im Operationsbereich
  • Zweiteingriff zur Metallentfernung notwendig
  • Im Falle einer Über- oder Unterkorrektur eventuell nötiger Revisionseingriff
  • Peronealsehnenspasmus
  • Schraubenlockerung oder Schraubenausbruch
  • Knochenverlust durch stress-shielding

Operationsvorbereitungen

  • Röntgenaufnahmen Fuß in drei Ebenen im Stehen
  • Photodokumentation Fuß im Stehen präoperativ
  • Falls erhältlich Videoanalyse

Instrumentarium

  • Bildverstärker, steril bezogen
  • Sterile Kanüle und Kirschnerdraht als Lokalisationshilfe
  • 3,2mm Bohrer
  • 6,5mm Titan-Spongiosaschrauben, Länge 25-35mm

Anästhesie und Lagerung

  • Rückenlage
  • Fersen liegen gerade frei über Op-Tischende
  • Gelmatte auch am Tischende
  • Strahlenschutzmatte
  • Blutleere
  • Sterile Abdeckung beider Füße

Operationstechnik (Fotos und Video)

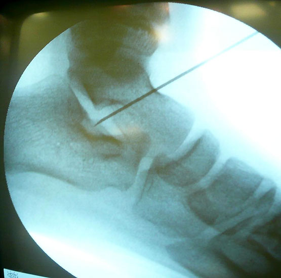
Abwaschen und steriles Abdecken beider Füße in Rückenlage und Unterschenkelblutleere (Abb. 1). Ertasten des Sinus Tarsi, zur genaueren Lokalisation Verwendung einer Kanüle (Abb. 2) um die korrekte Position über dem Eingang zum Sinus tarsi unter Bildverstärker zu kontrollieren. Über einen 1-2cm messenden Hautschnitt (Abb. 3) erfolgt nun die Präparation des Eingangs zum Sinus tarsi durch stumpfe Präparation. Die Knochenoberfläche des Calcaneus am tiefsten Punkt des Sinus tarsi wird dargestellt, unterstützt durch eine manuelle Rückfußinversion. Nach Markieren der korrekten Eintrittstelle mit einem Kirschnerdraht und anschließender Bildwandlerkontrolle (Abb. 4) wird nun die calcaneare Eintrittstelle in ca 20° Kippung nach lateral und dorsal mit einem 3,2mm Bohrer aufgebohrt.
Hierbei ist darauf zu achten, einerseits den Eintrittspunkt nicht zu weit lateral zu wählen um eine Aussprengung der lateralen Calcaneus-Corticalis oder Kompromittierung der Peronealsehnen beim Bohren oder Eindrehen der Spongiosaschraube zu vermeiden, andererseits das Calcaneo-cuboidale Gelenk (C-C-Gelenk) nicht zu verletzen. Nach Gewindeschneiden und Längenmessen Einbringen einer 6,5 mm Titan-Spongiosaschraube mit durchgehendem Gewinde und einer Länge von durchschnittlich 25 bis 35mm. Der Abstand zum C-C Gelenk sollte mindestens 10 mm betragen.

Siehe hierzu auch Video Calcaneostoppschraube

Die Schraube muss so weit eingedreht werden, dass sich der Schraubenkopf nach Aufheben der manuellen Rückfussinversion genau unter dem Processus lateralis tali befindet und eine pathologische Eversion des Rückfußes durch Anschlag des Schraubenkopfes am processus lateralis tali verhindert wird (Abb. 5). Eine zusätzliche Kontrolle der korrekten Schraubenposition kann klinisch am ausgestreckten Bein (mit Streckung des Kniegelenkes)erfolgen:
Bei persistierender Valgusstellung des Calcaneus muß die Schraube aus dem Knochen dosiert ausgedreht werden, bei Varusstellung des Calcaneus muß die Schraube weiter eingedreht werden. Nach dem Hautverschluß wird das Bein elastokompressiv gewickelt (Abb. 6).

Postoperative Behandlung

  • Röntenkontrolle nach 14 Tagen und nach 6 Wochen Fuß in 3 Ebenen
  • Fadenzug am 14. postop. Tag
  • Physiotherapie: Gangschulung, frühzeitige Mobilisation der Wadenmuskulatur, Aufrichtung der medialen Säule, Training der intrinsischen Muskulatur. Ziel: Erreichen der Sportfähigkeit bei freier Beweglichkeit 6 Wochen nach dem operativen Eingriff
  • Lymphdrainage ab 1. postoperativem Tag
  • Mobilisation nach Maßgabe der Beschwerden, Teilbelastung ab dem 1. Tag nach OP, gehstützenfreies Gehen idealerweise ab dem 4. postoperativen Tag
  • Abhängig von Alter, Gewicht und Risikofaktoren evt. Thromboseprophylaxe bis zur ausreichenden Belastung

Fehler, Gefahren, Komplikationen

  • Schraubenfehlpositionierung mit Gefahr der Über- oder Unterkorrektur sowie des Schraubenausbruches (siehe Operationstechnik)

Ergebnisse

De Pellegrin veröffentlichte 2007 die 15-Jahres Ergebnisse der subtalaren Schraubenarthrorise (Calcaneo- Stop Technik) beim kindlichen pes planovalgus bei insgesamt 226 Füßen. 2. Bei einem Durchschnittsalter von 10,6 Jahren zum OP- Zeitpunkt wurden in 95,4% gute Ergebnisse erzielt. Die Schraube wurde bei 55 Patienten nach einer durchschnittlichen Dauer von 2,9 Jahren nach Implantation ohne nachweisbaren Korrekturverlust entfernt.
In 4,6% der Fälle traten Komplikationen auf, diese bestanden einerseits in einer Überkorrektur mit Rückfussvarus (der Rückfussvarus und die vermehrte laterale Fussbelastung besserten sich ausnahmslos im Laufe eines halben Jahres nach OP spontan); zum anderen zeigten sich Unterkorrekturen bei 4% der Patienten mit verbliebener Restdeformität.
Die Therapie bestand entweder in vorzeitiger Schraubenentfernung oder konservativ im Unterschenkelgehgips bei Peronealmuskelkontraktur bzw. bei 1,8% der Patienten in Form einer Revisionsoperation mit Wechsel auf eine längere Schraube.
Kellermann et al konnten bei 43 operativ versorgten juvenilen Planovalgusdeformitäten bei 95% der Fälle exzellente oder gute Ergebnisse erzielen bei einer Nachuntersuchungszeit von durchschnittlich 9,7 Monaten 3.
Hamel veröffentlichte 2010 seine Ergebnisse nach 41 Arthrorisen in Calcaneostop Technik. Bei 80,5% der Fälle konnte ein guter Korrektureffekt bei unauffälligem postoperativem Verlauf über einen mittleren Nachuntersuchungszeitraum von 20,8 Monaten erzielt werden. Komplikationen traten bei 9,8% der Patienten in Form einer Unterkorrektur auf, bei ebenfalls 9,8% als schmerzhafter Peronealsehnenspasmus, ausgelöst durch den Schraubenkopf im Subtalargelenk (Hamel J 2010).

Weitere Literatur

  • Root ML, Orlen WP, Weed JH. Normal and Abnormal Function of the foot. Los Angeles: Clinical Biomechanics Corporation; 1977:259-339
  • Nove-Josseran,G: Arthrorise of the foot. J Bone Joint Surg. 10:261-267. 1928
  • Hamel J; Die Calcaneostop-Arthrorise – eine retrospektive klinische Studie mit Komplikationsanalyse; Fuss- und Sprunggelenk; 8(2010) 35-41
Loading…
Loading the web debug toolbar…
Attempt #