Vorbemerkung

Bei nicht traumatischen Arthrosen am Tarsometatarsale (TMT) II und III Gelenk handelt es sich meist um proximale Überlastungsschäden bei ausgeprägtem Spreizfuß mit Instabilität im TMT I Gelenk oder auch alleiniger Hypermobilität im TMT I und dadurch fehlender Lastaufnahme über den ersten Strahl.
Häufig werden die Arthrosen der Lisfranc-Gelenklinie relativ spät diagnostiziert. Die Gründe dafür liegen oft daran, dass die Patienten selbst einen Schmerz an der Fußwurzel nicht mit dem Symptomkomplex Spreizfuß und Hallux valgus in Verbindung bringen. Auch werden in der Primärdiagnostik häufig nur vom Vorfuß Röntgenbilder angefertigt oder die angewandte Röntgentechnik erlaubt keine Einsicht in die Lisfranc-Gelenklinie.

Ursachen

Der ausgeprägte Spreizfuß führt bei vielen Patienten zu einer verringerten Lastübernahme am ersten Strahl. Ursache sind das medialisierte Os metatarsale I, sowie eine Hypermobilität im TMT I Gelenk. Unter Belastung weicht das Metarasale I nicht nur nach medial sondern auch nach dorsal aus, was die Belastung der Ossa metatarsalia II und III erhöht. Das typische klinische Symptom ist eine Transfer­metatarsalgie. Diese kann bereits bei einer isolierten Hypermobilität im TMT I auftreten. Sobald es zu einer isolierten Elevation des ersten Strahles unter Belastung kommt, steigt die Beanspruchung der medialen Metatarsalia. Weniger häufig sind posttraumatische Arthrosen, die nach Frakturen an den Basen der Metatarsalia oder (Sub-) Luxationen in der Lisfranc-Gelenklinie entstehen.

Klinik der Metatarsalgie

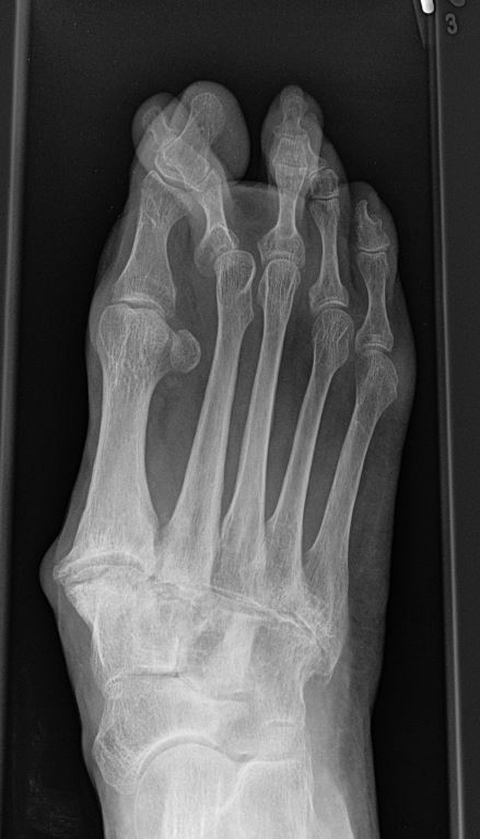
Die Überbelastung des Metatarsale II und III im distalen Bereich äußert sich in Druckschmerzen und Schwielenbildung plantar unter den Metatarsale II und III Köpfen (Abb. 1). Auch degenerative Veränderungen der plantaren Kapsel und der plantaren Platte der Metatarsophalangealgelenke treten auf, was zu einer Insuffizienz der Grundgelenke mit Subluxation oder Luxation der Kleinzehen führt (Abb. 2 und 3).

Zum Lesen der Bildbeschreibung und zur Vollansicht bitte die Bilder anklicken. Bilder: C. Hase

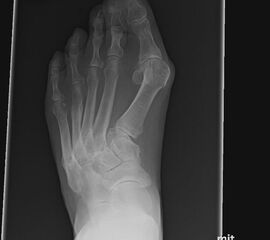
Die Überbelastung im Schaftbereich wird selten von den Patienten wahrgenommen. Manchmal findet sich vor allem am Os metatarsale II proximal eine Stressfraktur. Adaptiert sich der Knochen, kann im Röntgenbild häufig eine Kortikalisverdickung im Bereich der Metatarsale II und III Schäfte als Ausdruck einer vermehrten Lasteinleitung beobachtet werden (Abb. 4).

Zum Lesen der Bildbeschreibung und zur Vollansicht bitte das Bild anklicken. Bild: C. Hase.

Bei den proximalen Überlastungsschäden mit Arthroseentwicklung im Übergang zur Fußwurzel am TMT II, seltener TMT III, beklagen die Patienten Schmerzen an der Fußwurzel vor allem beim Barfuß laufen oder in leichtem Schuhwerk. Auch kommt es häufig zu einer Affektion des N. peronaeus profundus, wenn ein dorsaler Osteophyt der tarsometatarsalen Gelenke vorliegt und der Nerv durch den Druck des Schuhs gegen die Knochenkante gedrückt wird. Die Kompression des Nervens ruft Beschwerden eines vorderen Tasaltunnelsyndroms hervor mit Dysästhesien oder Schmerzen im Nervenverlauf bis in den Interdigitalraum D1/2.

Die Patienten befinden sich meist im 6. Lebensjahrzehnt, wenn die Arthrosebeschwerden zu einer Operation führen.

Diagnostik

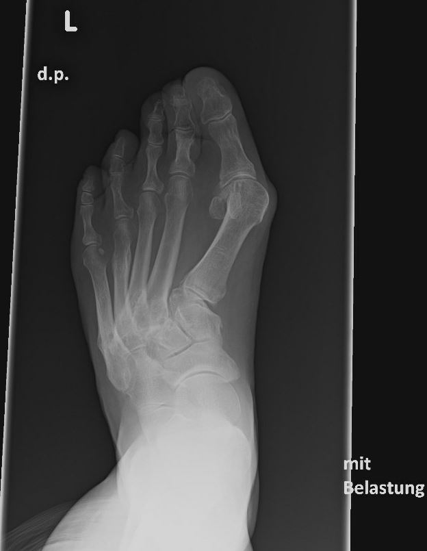
Eine Röntgenaufnahme unter Belastung mit Abbildungen des ganzen Fußes a. p. (mit 15-20° Röhrenkippung) und seitlich, sowie Schrägaufnahmen, reichen meist zur Diagnose. Manchmal ist ein MRT und DVT ergänzend hilfreich. Selten wird die Indikation für ein SPECT CT gestellt (Abb. 6).

Zum Lesen der Bildbeschreibung und zur Vollansicht bitte das Bild anklicken. Bild: C. Hase.

Konservative Therapie

In der Literatur finden sich zahlreiche Hinweise auf verschiedene konservative Verfahren. Das Grundprinzip ist jeweils die mechanische Entlastung der degenerativ veränderten Gelenke in Kombination mit einer Reduktion des Entzündungsreizes. Eine Bewertung der verschiedenen Verfahren auf der Basis der evidenzbasierten Medizin ist auf Basis der aktuellen Literatur nicht möglich 12.

  • Schuhzurichtung mit Sohlenversteifung und Mittelfußrolle (Abrollscheitel Fußwurzel) (Abb. 7).
  • Einlagenversorgung mit fester Unterstützung der Fußwurzel (Abb. 8).
  • Injektionen mit Steroid und/oder Hyaluronsäure.
  • Therapeutische Röntgenbestrahlung.
  • Physiotherapie.
Zum Lesen der Bildbeschreibung und zur Vollansicht bitte die Bilder anklicken. Bilder: C. Hase und T. Schraeder.

Operationsprinzip und -ziel

Die Korrektur des Spreizfußes und die Stabilisierung des TMT I ist das zentrale Element zur Entlastung des TMT II und III Gelenks. Dadurch kann die Lastachse wieder auf den ersten Strahl geführt werden. Aus Gründen der Stabilität sollte die Indikation zu einer Lapidusarthrodese großzügig gestellt werden. Eine TMT II und ggf. TMT III Arthrodese wird dann unter Berücksichtigung des Metatarsalindex unter Längenerhalt oder leichter Kürzung durchgeführt. Beim Pes metatarsus adductus kann der Eingriff mit einer Achskorrektur durchgeführt werden, um die Adduktionsstellung des Mittelfußes zu korrigieren (Abb. 9 und 10).

Zum Lesen der Bildbeschreibung und zur Vollansicht bitte die Bilder anklicken. Bilder: C. Hase

Indikation

Schmerzhafte, konservativ ausbehandelte Arthrose TMT II/III.

Kontraindikation

  • Allgemeine KI gegen Operationen durch reduzierten Allgemeinzustand des Patienten.
  • Unfähigkeit zur initialen Ent-/Teilbelastung.
  • Mangelnde Durchblutung.
  • Malcompliance.
  • Florider Infekt.
  • Relative Kontraindikation: Vitamin D3 Mangel, Nikotinabusus.

Patientenaufklärung

Allgemeine Operationsaufklärung.

Spezielle OP-Aufklärung

  • Irritation/Schädigung des N. peronaeus profundus mit Sensibilitätsstörungen, Dysästhesien.
  • Narbenprobleme.
  • Distale Metatarsalgie.
  • Schwellneigung mehrere Monate.
  • Persistierende Restbeschwerden.
  • Pseudarthrose.
  • Unterkorrektur, Korrekturverlust, Rezidiv.
  • Osteosyntheseversagen, Metallwanderung, –bruch, –allergie, –druck.
  • Wundheilungs- und Durchblutungsstörungen bis zu Amputationen.

Operationsvorbereitung

  • konventionelle Röntgenbilder mit Belastung im Stehen a. p. und seitlich, ggf. schräg (Abb. 9, 10 und 11).
  • Berücksichtigung anderer Fehlstellungen.
  • allgemeine Operationsvorbereitung.
  • Fußbad und Zehennagelpflege.
  • Ausschluss von Durchblutungsstörungen.
  • Dokumentation pDMS.
  • Vorhalten von Knochenersatzstoffen (z. B. autogene Spongiosachips).
  • TIPP: Markierung der A. dorsalis pedis vor der OP auf dem Fußrücken, um beim Zugang sicher medial oder lateral des Gefäß-Nervenbündels einzugehen (Abb. 12).
Zum Lesen der Bildbeschreibung und zur Vollansicht bitte die Bilder anklicken. Bilder: C. Hase.

Instrumentarium

  • Fußsieb mit Säge, K-Draht- und Bohraufsatz.
  • Osteosynthesematerial je nach gewählter Operationstechnik: K-Draht, Schrauben, Plattensystem.
  • Bildverstärker.

Anästhesie und Lagerung

  • Intubationsnarkose, Larynxmaske, Spinalanästhesie, lateraler Ischiadikus-Femoralisblock, Fußblock.
  • Oberschenkel Blutsperre (250-350 mm Hg bzw. ca.100 mm Hg über dem systolischen Blutdruck) oder OSG-Blutleere oberhalb der Malleolengabel (250-300 mg Hg).
  • Patient in druckstellenfreier Rückenlage.
  • Ferse an der Tischkante. Nicht über die Tischkante hinaus, da sonst der Widerhalt fehlt.
  • Möglichkeit intraoperativer Schräglage, damit der laterale Fußrand besser zu erreichen ist (Stütze an Gegenseite, Kissen oder aufklappbarer Winkel unter das Gesäß der zu operierenden Seite).
  • Bleischürzen, Schutz des Patienten durch bleihaltige Unterlage.

Operationstechnik

Folgende Beiträge zur Korrektur des Spreizfußes mit Arthrodesen des TMT I Gelenks sind ebenfalls auf my medibook zu finden:

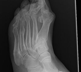
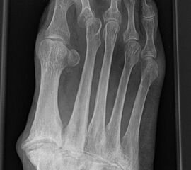
Es gibt neben der Möglichkeit mit der in situ TMT II, III Arthrodese auch die Möglichkeit Fehlstellungen wie den Pes metatarsus adductus zu adressieren (Abb. 9 und Abb. 24 zeigen das prä- und postoperative Röntgenbild eines Patienten mit Pes adductus Korrektur).

Zum Lesen der Bildbeschreibung und zur Vollansicht bitte die Bilder anklicken. Bilder: C. Hase.

Verschiedene Fixationsverfahren wie Kompressionsschrauben, Zugschrauben, Platten und Klammern vorhalten.

Ob man einen guten stabilen Knochen vorfindet oder eine Spongiosaplastik notwendig ist, muss Patientenindividuell entschieden werden.

Die Fußwurzel ist ein diffiziles Operationsgebiet, da das Gefäß-Nervenbündel der A. dorsalis pedis und der begleitenden Nervus peronaeus profundus zur Seite gehalten werden müssen. Es kommt häufig zu temporären Sensibilitätsstörungen im postoperativen Verlauf. Bis zur knöchernen Konsolidierung ist mit ca. 8-10 Wochen ist zu rechnen. Im Rahmen der Nachbehandlung ist eine initiale Entlastung zu empfehlen.

  • Hautschnitt lateral / medial der A.dorsalis pedis über dem II./III. Tarsometatarsalgelenk (Abb. 13). 
  • TIPP: Das TMT II befindet sich in Verlängerung der 3. Zehe, das TMT III in Verlängerung der 4. Zehe.
  • Mobilisation der Äste des N. peronaeus superficialis Retraktion nach medial oder lateral (Abb. 14). 
  • In der Tiefe Schutz des Gefäß-Nervenbündels mit A. dorsalis pedis und N. peronaeus profundus. Meist ist es einfacher das Gefäß-Nerven-Bündel nach medial zur retrahieren (Abb. 15).
  • Identifizieren und weghalten der Sehne des M. extensor hallucis brevis (Abb. 16 + 17).
  • Eröffnen der Gelenkkapsel (Abb. 18).
  • Abtragen von dorsalen Osteophyten an TMT II und III (Abb. 19).
  • Sparsame Resektion der Basis von Os metatarsale II und III mittels Säge (erst kurzes dann langes Sägeblatt) oder Meißel (Abb. 20).
  • Analoges Resezieren der subchondralen Knochenlamelle am Os cuneiforme intermedius und laterale.
  • Stellungskorrektur durch keilförmige Resektion bei Pes metatarsus adductus. Durch eine ausgedehntere Resektion kann bei Überlänge ein Längenangleich erreicht werden (Abb. 21).
  • Anbohren und Anfrischen der Arthrodesen-Partner mit einem K-Draht, Bohrer oder Meißel (Abb. 22).
  • Mobilisierung der MT II, III Basis (Abb. 23).
  • Optional Interposition von autologer oder autogener Spongiosa bzw. Einbringen von Knochenersatzmaterialien um Spalten aufzufüllen.
  • TIPP: Lösen der medialen und lateralen Strukturen an der Basis der Ossa metatarsalia mit dem scharfen Raspatorium, da sonst eine Annährung der Arthrodesenpartner nicht gelingt. Manchmal müssen auch Osteophyten medial und lateral an der Basis der Ossa metatarsalia II/III entfernt werden, insbesondere wenn diese ein Repositionshindernis darstellen.
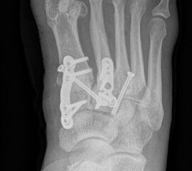
  • Temporäre Fixierung mit 1,6 K-Drähten, BV- Kontrolle. Bei korrekter Stellung definitive Osteosynthese entweder mit je 2 Kompressionsschrauben, Platten oder Klammern.
  • Die mechanisch stabilste Situation ist mit dorsalen winkelstabilen Platten, optional mit Kompressionsschraube zu erreichen 3.
  • BV-Kontrolle von Stellung der Knochen und der Lage des Osteosynthesematerials.
  • Öffnen der Blutleere und Kontrolle der Arterie.
Zum Lesen der Bildbeschreibung und zur Vollansicht bitte die Bilder anklicken. Bilder: C. Hase

Postoperative Behandlung

  • Entlastung bis 4. Woche postoperativ.
  • ggf. gespaltener Unterschenkel Gips zur Ruhigstellung/Walker.
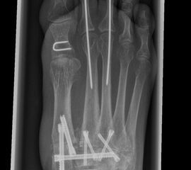
  • Röntgenkontrolle nach 4 Wochen und stufenweiser Belastungsaufbau mit Unterschenkelorthese (Walker) ab 5. Woche.
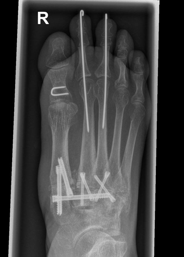
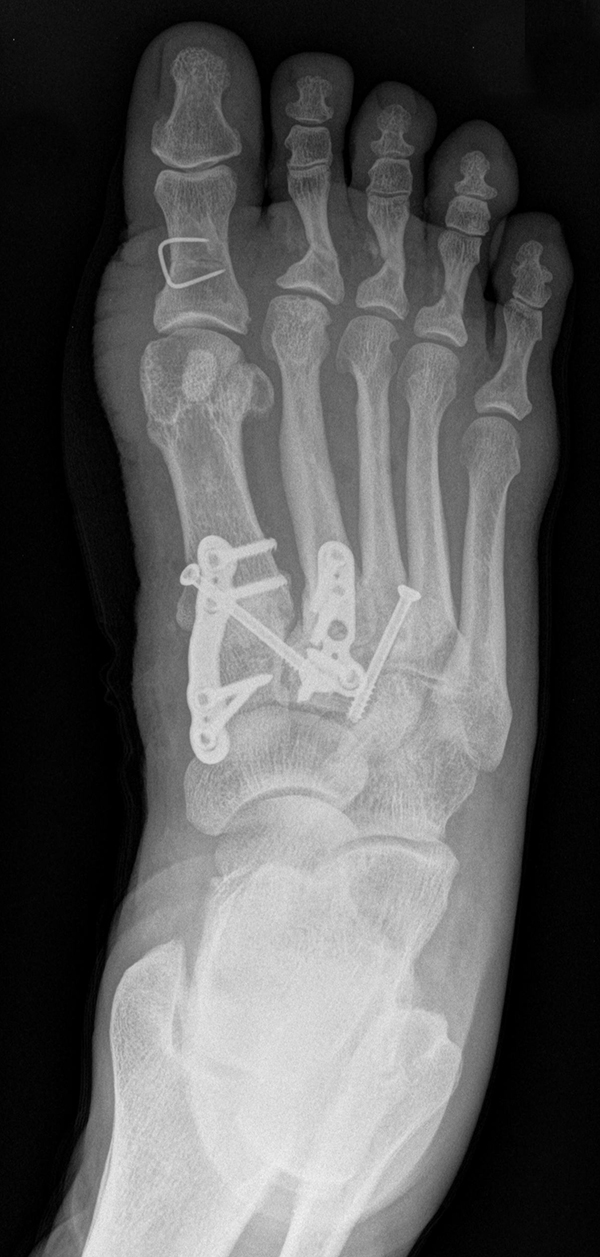
  • Röntgenkontrolle nach 8-10 Wochen, dann - je nach knöchernem Durchbau - Übergang zur Vollbelastung im Konfektionsschuh (Abb. 24 und 25).
  • Gehstöcke.
  • Rollstuhl oder Fußentlastungsroller zur Mobilisation unter Ent-/Teilbelastung.
  • Eigene aktive und passive Bewegungsübungen im oberen Sprunggelenk ab sofort aus dem Gips/Walker heraus.
  • Physiotherapie Mobilisation und Gangschule zum Belastungsaufbau.
  • Bei Schwellung Lymphdrainage und Wickelung, sobald schmerzbedingt möglich Wechsel auf einen Kompressionsstrumpf.
  • Hochlegen, Kühlen.
  • Verbandwechsel/Pflaster bei Bedarf.
Zum Lesen der Bildbeschreibung und zur Vollansicht bitte die Bilder anklicken. Bilder: C. Hase.

Fehler, Gefahren, Komplikationen

  • Beim postoperativen Wundverschluss ist darauf zu achten die Nerven Strecksehnen nicht durch die subkutanen Nähte zu fixieren. Aufgrund der dünnen Weichteildeckung der Region hat sich in unseren Händen dünnes, resorbierbares Nahtmaterial (zum Beispiel wie Vicryl 2.0) bewährt.
  • Postoperative Irritationen des Nervus peronaeus superficialis oder des Nervus peronaeus profundus sind möglich, auch wenn der Nerv nicht iatrogen durchtrennt wurde. Häufig führt allein die Retraktion zu einer in vielen Fällen temporären Funktionsstörung, die sich dann aber über mehrere Monate wieder zurückbildet.
  • Die Pseudarthrose ist mit ca. 12% die häufigste Komplikation nach Arthrodesen von Mittelfußgelenken. Entsprechend wichtig ist es intraoperativ auf einen guten Kontakt der Knochenflächen zu achten und bei Bedarf Spongiosa oder Knochenersatz Materialien zur Stimulation der Knochenneubildung einzubringen 4.
  • Aufgrund der postoperativen Vernarbungen hat eine Metallentfernung ein deutlich höheres Risiko bezüglich Gefäß-Nervenverletzungen als der primäre Eingriff. Dies sollte beim primären Eingriff bereits bedacht werden. Ziel ist es das Osteosynthesematerial so zu platzieren, dass eine Irritation durch das Metall möglichst vermieden wird.

Diskussion

Da die Literatur zu posttraumatischer Arthrose der Lisfranc'schen Gelenklinie deutlich zahlreicher ist und die Ergebnisse vergleichbar, werden hier auch posttraumatische Ergebnisse aufgeführt.

Insgesamt ist die Fußwurzel eine Region mit hoher Pseudarthrosenrate und hoher Rate an Irritationen des N. peronaeus. In der Diskussion geht es um die Versorgung Schraubenosteosythese vs. Plattenosteosynthese. Bei etwas niedigerer Pseudarthrosenrate unter Verwendung einer Platte sind die Nervenirritation etwas haufiger und auch die Rate der Metallentfernungen durch Plattendruck. Dies bestätigt die Autorin bei Betrachtung der eigenen Ergebnisse.

Insofern ist im Zweifel immer die Interposition von Eigenspongiosa in die Arthrodesespalte zu empfehlen (s. OP-Technik). Dies ist durch die Literatur (s. u.) bestätigt.

Buda et al.4 untersuchten 88 Patienten mit operativer Versorgung durch Arthrodesen bei Mittelfußarthrose. Die Pseudarthroserate lag bei 11 %. Neben den bereits genannten Risikofaktoren wurde Nikotinabusus als isolierter negativer Faktor identifiziert. Die Anlagerung von Spongiosa oder Knochenersatzmaterialien hatte einen signifikant positiven Effekt auf die knöcherne Durchbauung.

Nach komplexen Verletzungen der Lisfranc-Gelenklinie bietet die primäre Arthrodese Vorteile, insbesondere wenn die Gelenkflächen weitgehend zerstört sind. Yu-Sen et al. fand nach primärer Arthrodese einen signifikanten besseren Aufbauscore mit geringerer Komplikationsrate verglichen zu gelenkerhaltenden Vorgehen 5. Auch bei primär übersehenen Verletzungen der Lisfranc-Gelenklinie mit sekundärer Arthrose ist häufig die Arthrodese die einzige sinnvolle Maßnahme die Belastbarkeit des Fußes wieder herzustellen 6.

Lee et al. 7 verglichen vier verschiedene Operationsverfahren im Rahmen einer retrospektiven Kohortenstudie. Die Pseudarthrose Rate lag bei 13 %. Die Autoren fanden, dass die alleinige Schraubenarthrodese eine signifikant höhere Pseudarthrosenrate aufwies als Platten und Kompressionsklammern. Weitere Risikofaktoren für eine verzögerte Knochenheilung waren Diabetes mellitus sowie schwere Fehlstellungen.

Lui beschrieb 2016 erstmalig ein arthroskopisches Vorgehen 8. Als alternatives Verfahren wird bei Arthrose auch eine Resektionsarthroplastik mit Interposition von Kapselgewebe an TMT II und TMT III diskutiert 9. Zu einer Beurteilung des Verfahrens fehlen aber bisher größere klinische Serien.

Ein alternatives operatives Verfahren ist die Denervation der betroffenen Region. Kindred et al. 10 berichteten 2021 über 34 behandelte Füße. In 21 % waren aufgrund erneuter Beschwerden weitere Maßnahmen notwendig. Von den Autoren wurde das Verfahren vor allem als Alternative diskutiert bei Patienten mit hohem Risiko eines Fehlschlags einer Arthrodese. Iturregui et al 11 kamen in ihrer Nachuntersuchung an 48 Patienten zu ähnlichen Ergebnissen.

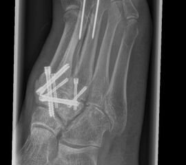
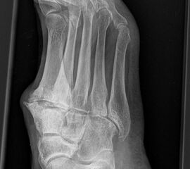
Beispiel Lisfranc Arthrodese bei posttraumatischer Arthrose

Zum Lesen der Bildbeschreibung und zur Vollansicht bitte die Bilder anklicken. Bilder: C. Hase
Loading…
Loading the web debug toolbar…
Attempt #