Zusammenfassung

Die Operation nach Hoffmann-Tillmann ist in der Rheumaorthopädie ein schon seit Jahrzehnten genutztes Verfahren, um bei destruierten Metatarsale Köpfen und luxierten, nicht mehr reponiblen Zehen in den Grundgelenken, die Patienten wieder gehfähig zu machen und die Schuhversorgung zu erleichtern.

Zur Namensgebung der Operation ist anzumerken, dass die Resektion der Mittelfußköpfchen bereits 1911 von Hoffmann veröffentlicht wurde 1. K. Tillman (1977, 1990) ergänzte das Verfahren um die plantare plastische Querinzision zur zehenflektierenden Dermatodese 2. Zuvor erfolgte die Resektion der Metatarsale Köpfe zumeist von dorsal durch Querinszisionen 3 (Kerschbaumer 2009). Auch die dorsalen Längsinzisionen wurden angewendet 4.

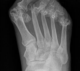
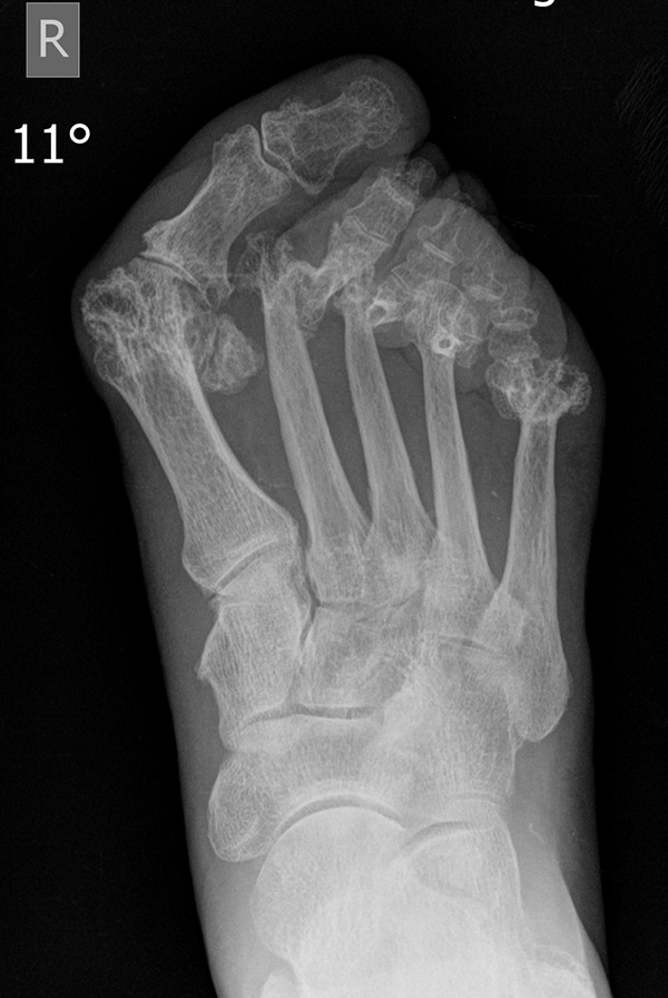
Es handelt sich bei dem „rheumatischen Vorfuß“ nicht um eine „normale“, meist rein mechanische Metatarsalgie, sondern um eine durch Synovialitiden sich häufig schnell entwickelnde und sehr ausgeprägte komplexe Fehlstellung. Die persistierend chronische Entzündung mit hoher Aktivität führt zu einer Veränderung oder Verlust der Sehnenfunktion mit Ruptur der plantaren Platte und Ligamente, subchondralen Usuren, Knorpel- und Knochendeformationen. (siehe auch Kapitel "Die Stainsby OP" von Briggs P, Stainsby D - Abschnitt "Pathomechanik des deformierten Rheumafußes").

Durch die verbesserte medikamentöse Rheumatherapie sind diese ausgeprägten Knochendestruktionen rückläufig. Die Indikation zur Resektionsarthroplastik mit Entfernung der Metatarsale II-V Köpfchen wird damit seltener 56. Auch bei nur teilweise erhaltenen Gelenken sollte in der modernen Rheumafußchirurgie einem gelenkerhaltenen Verfahren der Vorzug gewährt werden, da der Gelenkerhalt mit besseren funktionellen Ergebnissen korreliert 7. Allerdings werden auch noch heute schwere Gelenkdestruktionen beobachtet, da ein Teil der Patienten auf die medikamentöse Therapie unzureichend anspricht oder die Therapien nicht wahrnimmt.

Ursprünglich wurde die Metatarsaleresektion mit einer Resektionsarthroplastik am ersten Strahl z.B. in der Technik nach Keller (1904) und Brandes (1929) oder Hüter (1871) und Mayo (1908) kombiniert (Mai 2014) 8. Auch Tillmann empfahl dies noch 1977 2. Dies ergab allerdings schlechte Langzeitergebnisse. Tillmann beschrieb in einer Nachuntersuchung einen ca. 50% Korrekturverlust im Großzehengrundgelenk und einen Verlust der postoperativen Beweglichkeit nach mehr als zehn Jahren 9. Die Schmerzlinderung allerdings blieb voll erhalten 10.

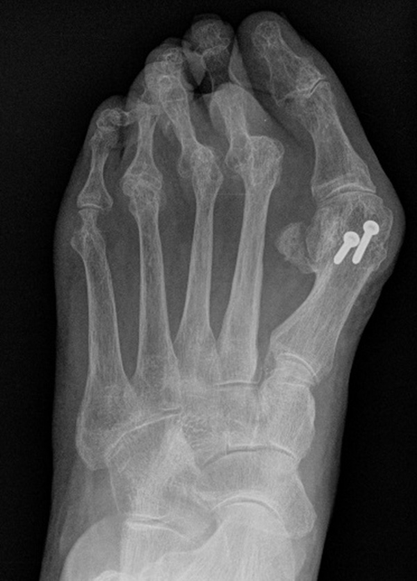
Zum Lesen der Bildbeschreibung und zur Vollansicht bitte das Bild anklicken.

Deutlich bessere Ergebnisse wurden erreicht durch eine Kombination der OP nach Tillmann mit einer Arthrodese des Großzehengrundgelenks oder auch einer Lapidus-Arthrodese 611. Dies wurde bereits 1956 durch Vainio empfohlen, hat sich aber erst in diesem Jahrtausend flächendeckend durchgesetzt 121314.

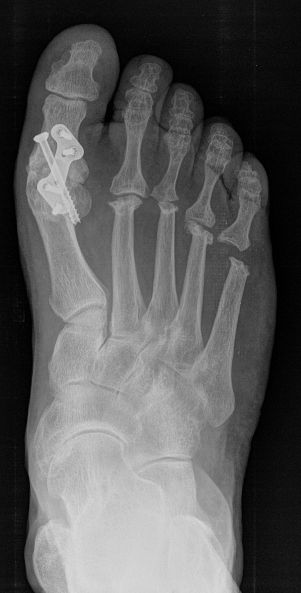
Zum Lesen der Bildbeschreibung und zur Vollansicht bitte das Bild anklicken.

Vorbemerkung

Die Indikation zur Operation nach Hoffmann-Tillmann beim Rheumapatienten ist immer dann zu diskutieren, wenn durch die zur Verfügung stehenden konservativen Verfahren keine ausreichende Schmerzreduktion mehr erreicht werden kann und sich die Versorgung der Patienten mit Schuhen schwierig gestaltet. Die konservativen orthopädietechnischen Verfahren umfassen Einlagen- und Schuhversorgung mit Vorfußweichbettung, Schmetterlingssohle und Abrollhilfe unter Berücksichtigung der häufig gleichzeitig vorhandenen Rückfußfehlstellung 15161718. (siehe auch Kapitel "Einlagenversorgung" von Stinus H, Walther M). Die konservative Behandlung kommt vor allem in frühen Behandlungsstadien zur Anwendung.

Die Resektion der Metatarsaleköpfe ist dann indiziert, wenn bei Destruktion der Metatarsophalangealgelenke (LDE IV und V - siehe Tabelle 1) keine gelenkerhaltenden Alternativen zur Verfügung stehen.

Zum Lesen der Bildbeschreibung und zur Vollansicht bitte das Bild anklicken.

Auch wenn nur eine Restfunktion der Gelenke erhalten bleibt, liefern gelenkerhaltende Verfahren funktionell bessere Ergebnisse als Resektionsarthroplastiken 719. Ein häufig durchgeführtes gelenkerhaltendes Verfahren ist die Weil-Osteotomie (siehe auch Kapitel "Die distale metaphysäre Korrekturosteotomie nach Weil" von Preiss M). Die als Alternativverfahren geltende OP nach Stainsby, welche ebenso eine Resektionsarthroplastik mit unwiderruflicher Gelenkresektion beinhaltet, sollte bei noch erhaltenen MT Köpfen bevorzugt werden (siehe auch Kapitel "Die Stainsby OP - Eine Salvage Prozedur für den schwer deformierten Fuß des Rheumapatienten", von Briggs P, Stainsby D) 20.

Praeoperative Diagnostik

Nach Anamnese und Untersuchung reichen meist konventionelle Röntgenbilder mit Belastung im Stehen a.p. und seitlich ggf. Schrägaufnahmen zur Beurteilung und Indikationsstellung aus. CT oder MRT sind in der Regel nicht erforderlich, im Einzelfall aber ergänzend sinnvoll. Szintigraphie und Sonographie spielen bei der Indikationsstellung und Operationsplanung eine untergeordnete Rolle.

Operationsprinzip und -ziel

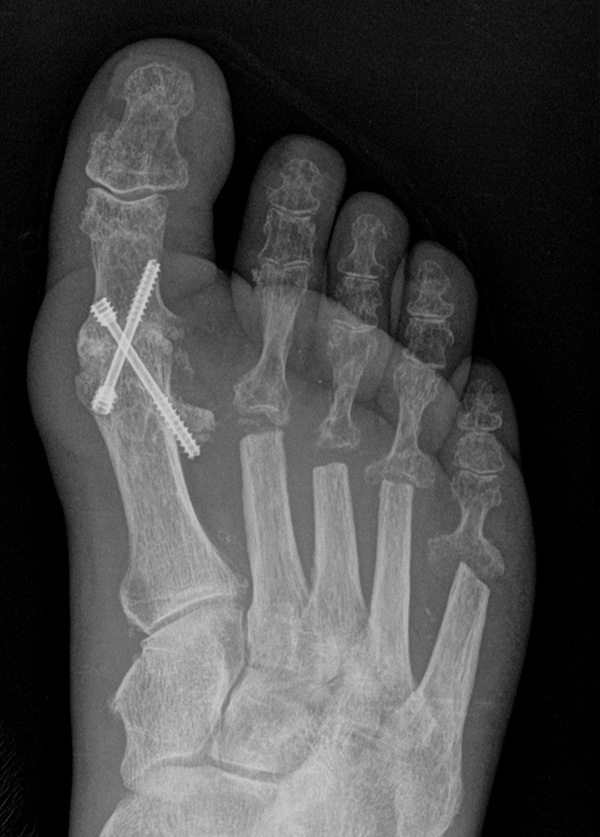
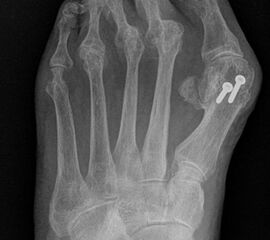
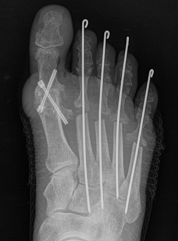
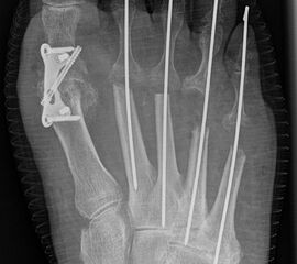
Die Operation nach Hoffmann-Tillmann (Abb. 4) ermöglicht durch die Resektion der Metatarsaleköpfe die Reposition der Zehen, da hierdurch der notwendige Platz geschaffen wird (Tillmann 1990). Meist sind nicht nur die knöchernen Strukturen der Metatarsaleköpfe destruiert, auch das plantare Polster ist disloziert, regelmäßig kommt es zur Ruptur der plantaren Platten mit Destruktion der Kapsel-, Band- und Sehnenstrukturen (Tillmann 2009) 6. Häufig findet man ausgeprägte Rheumaknoten oder Bursitiden plantar. Durch die breite, querovaläre Hautexzisionaus dem Vorfußballen werden plantare Schwielen entfernt, später beim Hautverschluß werden die plantaren Strukturen durch die plastische Dermatodese wieder in die Belastungszone reponiert.

Zum Lesen der Bildbeschreibung und zur Vollansicht bitte das Bild anklicken.

Es sollten immer alle MT Köpfe II-V reseziert werden, um einen harmonischen Metatarsale Index mit genauer Längenabstimmung herzustellen und keine Druckspitzen durch überlange Metatarsalia zu provozieren. Die kann in Einzelfällen bedeuten, dass ein weniger destruiertes Gelenk zwischen oder am Rand der metatarsalen Reihe geopfert werden muss. Die Operation nach Hoffmann-Tillmann wird meist ab LDE Stadium IV und V indiziert (Tabelle 1).

Tabelle 1:

Röntgenstadien nach Larsen, Dale und Eek (LDE Stadien) 21

Stadium Klinische Veränderungen Radiologische Befunde
0 Keine Röntgenveränderungen
I Diskrete Befunde Weichteilschwellungen
oder
Gelenknahe Osteoporose
und/oder
Gelenkspaltverschmälerungen
II Frühveränderungen Geringe Erosionen
oder
Gelenkspaltverschmälerungen
III Mittelgradige destruierende Veränderungen Zunehmende Erosionen/Usuren
und/oder
Gelenkspaltverschmälerungen
IV Schwere destruierende Veränderungen Schwere Erosionen/Usuren
oder
Gelenkspaltverschmälerungen
und/oder
Deformierung gewichttragender Gelenke
V Mutilationen Verlust der Gelenkkontur:
Schwund der Gelenkflächen, Gelenkspalt nicht mehr nachweisbar, ausgeprägte Deformierung gewichttragender Gelenke

Vorteile

  • Relativ schnelle Belastbarkeit in Abhängigkeit des Eingriffes am ersten Strahl, da keine metatarsalen Osteotomien heilen müssen (viele Rheumapatienten haben Probleme an der oberen Extremität und können eine längere Ent- oder Teilbelastung an Unterarmgehstützen nicht umsetzen). Auch führt die medikamentöse Therapie, insbesondere Biologicals, häufig zu einer Verzögerung der Knochenheilung 22.
  • Entfernung von Rheumaknoten und Bursen plantar sowie Reposition des nach distal dislozierten plantaren Fettpolsters durch die Dermatodese.
  • Zuverlässige Reposition der Kleinzehen.
  • Erleichterung der schuhtechnischen Versorgung.
  • Auch bei Malum perforans ohne floride Infektion durchführbar.
  • Osteoporose ist keine Kontraindikation.

Nachteile

  • Definitiver, gelenkdestruierender Eingriff.
  • Veränderte Biomechanik.
  • Keine Wiederherstellung einer willkürlichen und kräftigen Zehenbewegung.
  • Knöcherne Verkürzung des Fußes. Durch die Reposition der Zehen wird dies Verkürzung aber in der Praxis weitgehend kompensiert.
  • Relativ starke postoperative Schwellneigung.

Indikation

Schmerzhafte, konservativ ausbehandelte Metatarsalgie bei Gelenkdestruktion LDE Stadium IV oder V (Tabelle 1) im Rahmen einer rheumatologischen Erkrankung.

Zum Lesen der Bildbeschreibung und zur Vollansicht bitte die Bilder anklicken.

Kontraindikation

  • Allgemeine Kontraindikationen gegen Operationen durch reduzierten Allgemeinzustand des Patienten.
  • Mangelnde Durchblutung.
  • Fehlende Compliance.
  • Florider Infekt.

Patientenaufklaerung

  • Allgemeine Operationsrisiken.
  • Sensibilitätsstörungen im Bereich der Zehen.

Spezielle Operationsaufklaerung

  • Erneutes Auftreten von störenden Knochenkanten an der Fußsohle.
  • Wiederauftreten von Druckstellen/Ulcera/Bursen/Rheumaknoten.
  • Weitere Weichteilschrumpfung und Reluxation der Zehen.
  • Narbenprobleme plantar/dorsal.
  • Schwellneigung mehrere Monate.
  • Persistierende Beschwerden.
  • Erhöhte Infektgefahr durch immunsuppressive Rheumatherapie.
  • Verlust von Zehen, insbesondere erhöhtes Risiko nach Voroperationen.
  • In Abhängigkeit vom Eingriff am Metatarsale I: Verlängerte Knochenheilung durch Osteoporose, die rheumatische Erkrankung, sowie durch die Rheumamedikation.

Operationsvorbereitung

  • Fußbad und Zehennagelpflege.
  • Erhebung der Rheumamedikation und die Abklärung ob immunsuppressive Medikamente perioperativ abgesetzt oder reduziert ggf. ausgeschwemmt werden müssen bzw. können, um die postoperative Wund- und Knochenheilung nicht zu verzögern. Um dies und die Infektgefahr aufgrund der reduzierten Immunlage so gering wie möglich zu halten ist die Absprache mit dem rheumatologischen Internisten sinnvoll.
  • Ausschluß von Durchblutungsstörungen.
  • Perioperative Antibiotikaprophylaxe mit Cephalosporin der 2. Generation 23.

Instrumentarium

  • Fußsieb.
  • Zusätzlich: Hohmann Hebel, Langenbeck Haken, Wundhaken, Wundspreizer, Mc Glamry, Kocher, Backhaus-Klemme, Einzinker-Haken, Rasparatorium, Luer, Liston, Säge, 1,4mm K-Drähte, Bildverstärker.
  • Weitere Implantate und Instrumentarien in Abhängigkeit eines Zusatzeingriffes am ersten Strahl.

Anaesthesie und Lagerung

  • Intubationsnarkose, Larynxmaske, Spinalanästhesie, Ischiadikus-Femoralis-Block, Poplitealblock, Fußblock unter Einschluss des Nervus saphenus.
  • Oberschenkel-Blutsperre (250-300 mmHg bzw. 100 mmHg über systolischem Blutdruck). Alternativ Unterschenkel-Blutleere oberhalb der Malleolengabel (250 mmHg).
  • Patient in druckstellenfreier Rückenlage.
  • Ferse an der Tischkante. Nicht über die Tischkante hinaus, da sonst der Widerhalt fehlt. Ggf. Möglichkeit intraoperativer Schräglage, damit die Fußsohle besser zu erreichen ist.
  • Bleiabdeckung des Patienten und Bleischürzen für das OP Team zum Strahlenschutz.

Operationstechnik: Plantarer Zugang (bevorzugt)

Zum Lesen der Bildbeschreibung und zur Vollansicht bitte die Bilder anklicken.

Die Raffung des plantaren Kapselgewebes erfolgt mit 0er Vicryl. Besteht eine Lateraldeviation der Kleinzehen kann diese durch eine tibialseitige Raffung korrigiert werden. Tillmann beschreib in diesem Zusammenhang die Raffung der plantaren Gelenkkapsel tibialalseitig mit Einstich an der Grundgliedbasis und auf Höhe der metatarsalen Resektionsebene.

Das MTP V wird mittig gerafft zur Verhinderung eines Digitus quintus varus.

Das plantare Fettpolster wird in die Auftrittsfläche reponiert und mit Vicryl vernäht. Die plantare Hautnaht erfolgt mit robustem, nicht resorbierbarem Nahtmaterial (z.B. Ethilon 2,0).

Zum Lesen der Bildbeschreibung und zur Vollansicht bitte das Bild anklicken.

Operationstechnik: Dorsaler Zugang (seltener)

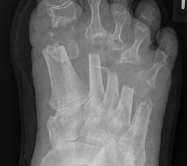
Querinszision dorsal der Metatarsale II bis V Köpfchen 324 (Böhme 2006, Kerschbaumer 2009). Es erfolgt die Darstellung der Längsverlaufenden Strukturen, häufig ist die Ligatur einiger Venen des Arcus venosum notwendig.

Nach Tenotomie der kurzen Strecksehnen werden die langen Strecksehnen Z-förmig verlängert. Es erfolgt eine dorsale Kapsulotomie über den Grundgelenken II-V, Lösung der Seitenbänder und Reposition der Grundgliedbasen. 

Teilweise ist dazu die Tenotomie der kontrakten Interosseussehnen notwendig. Meist müssen verklebte Strukturen mit dem Mc Glamry Elevatorium gelöst werden. Zum Schutz der Weichteile werden die Metatarsalia knapp proximal der Köpfe mit Hohmann Hebeln umfahren.

Die Resektion der Metatarsale Köpfe erfolgt in absteigender Länge. Bei Bedarf wird gleichzeitig eine Korrektur der Hammerzehenfehlstellung durch manuelle Mobiliation (Osteochondroklasie) oder mit PIP Arthrodesen durchgeführt. Einige Autoren präferieren auch die Resektionsarthroplastik nach Hohmann.

Abschließend erfolgt die temporäre K-Daht Fixation sämtlicher Kleinzehen in achsgerechter Stellung. Die Strecksehnen werden in Verlängerung vernäht.

Längsinzisionen (Larmon 1951): Alternativ zur Querinzision kann über jedem Strahl ein Längs- oder abgewinkelter Zugang angelegt werden. Häufig wird jedoch mit nur 2 Zugängen gearbeitet. Diese liegen dann zwischen dem Metatarsale II und III bzw. IV und V. Das weitere Vorgehen ist identisch mit der dorsalen Querinzision.

Postoperative Behandlung

Die postoperative Behandlung von Patienten mit rheumatoider Arthritis kann durch Begleiterkrankungen erheblich erschwert werden. Häufig führt der Befall anderer Gelenke, insbesondere auch der oberen Extremität zu einer Beeinträchtigung der Mobilität. Die Entlastung an Unterarmgehstützen ist für diese Patienten schwierig umzusetzen. Möglich sind Achselgehstützen oder die Verordnung eines Rollstuhls (siehe auch my medibook-Beitrag "Entlastung und Mobilität" von Thomas M, Pfanne C).

Zusätzlich sind die Patienten häufig Abwehrgeschwächt, einerseits durch die rheumatologische Grunderkrankung, andererseits durch die medikamentöse Therapie.

Im Einzelfall kann es sinnvoll sein die perioperative Antibiotikaprophylaxe zu verlängern. Ein erhöhtes Infektrisiko besteht insbesondere bei Patienten mit immunsuppressiver Therapie 232526.

Auch korreliert die Operationszeit direkt mit dem Risiko für Wundheilungsstörungen 27.

Die postoperative Schmerztherapie hat unter Berücksichtigung der Dauermedikation zu erfolgen. Häufig ist das Potenzial von NSAR ausgereizt, sodass Opiate eingesetzt werden sollten. Bewährt haben sich auch Regionalanästhesieverfahren in Katheter-Technik, die in der frühpostoperativen Phase im Sinne einer patientenzentrierten Analgesie vom Patienten gesteuert werden können.

Die Indikation zur Stressulkusprophylaxe mit Protonenpumpeninhibitoren ist großzügig zu stellen.

Thromboseprophylaxe entsprechend Leitlinien (Externer Link: http://www.awmf.org/leitlinien/detail/ll/003-001.html ).

Hochlegen, optional Kühlen.

Lymphdrainage. Der Einsatz von Lymphtape ist in Abhängigkeit vom Zustand der Haut abzuwägen. Bei sehr dünner Haut kann es durch das Lymphtape zu Hautschäden kommen.

Falls eine Redondrainage verwendet wurde, kann diese häufig am zweiten postoperativen Tag entfernt werden.

Mobilisation des Patienten im flachen Verband-Schuh für 4-6 Wochen. Die Dauer richtet sich nach der Therapie im Bereich des ersten Strahls.

Anleitung des Patienten in der Pflege der K-Drähte, Verbandswechsel und gegebenenfalls Zehen zügeln.

Der Fadenzug erfolgt plantar nach 21 Tagen. Fäden am Fußrücken können nach 14 Tagen entfernt werden.

Die Entfernung der K-Drähte wird sechs Wochen postoperativ im Rahmen der Sprechstunde geplant. Anschließend empfiehlt sich eine weitere Redression der Kleinzehen bis 3 Monate postoperativ bis sich das Narbengewebe ausreichend stabilisiert hat.

In seltenen Fällen ist eine physiotherapeutische Mobilisation des ersten Strahls indiziert, wenn ein gelenkserhaltendes Verfahren eingesetzt wurde. Im Bereich der Kleinzehen wird nach Entfernung der K-Drähte üblicherweise keine Physiotherapie eingesetzt.

Nach Entfernung der K-Drähte und Abschwellung des Fußes erfolgt die Versorgung mit rheumaadaptierten Einlagen und gegebenenfalls speziellen Schuhen.

Zum Lesen der Bildbeschreibung und zur Vollansicht bitte die Bilder anklicken.

Fehler, Komplikationen, Gefahren

  • Malalignement bei nicht korrekt abgestimmten Schaftlängen. Das Metatarsophalangealgelenk sollte so weit reseziert werden, dass intraoperativ die Fingerspitze bequem im Gelenk zu liegen kommt. Ein homogener Metatarsaleindex lässt sich intraoperativ mit dem Bildverstärker kontrollieren.
  • Zu viel Resektion, zu wenig Resektion. Intraoperativ sollte die Resektion so erfolgen, dass die Zehen entspannt in eine korrekte Position zu bringen sind. Müssen die Zehen bereits intraoperativ mit Druck korrigiert werden, ist das Risiko für Rezidivfehlstellungen hoch. Der K-Draht soll nur dazu dienen, die Zehe in ihrer korrekten Position zu halten, eine Reposition der Zehe durch den K-Draht ist meist nicht dauerhaft erfolgversprechend.
  • Wundheilungsstörungen. Die wichtigste Prophylaxe ist es, intraoperativ auf starken Hakenzug zu verzichten. Weiterhin besteht eine direkte Korrelation zwischen Operationszeit und dem Risiko von Wundheilungsstörungen. Treten postoperativ Wundheilungsstörungen auf, so erfolgt die Behandlung mit Sekret absorbierten Wundauflagen. Sobald keine Sekretion mehr vorliegt, wird auf Wundauflagen gewechselt, welche die Gratulation und Epithelialisierung fördern.
  • Rheumaschub bei Patienten deren Rheumamedikation perioperativ ausgesetzt wurde. Reichen NSAR nicht aus den Rheumaschub zu behandeln, kann dieser in der perioperativen Phase mit Steroiden therapiert werden. Verglichen mit Biologicals wird von Steroiden die Heilung deutlich weniger beeinträchtigt 282930313233.
  • Vernarbungen im Bereich des dorsalen oder plantaren Zugangsweges können erneute Fehlstellungen begünstigen. Entsprechend wichtig ist es, einem sich abzeichnenden Narbenzug durch redressierende Tapeverbände gegenzusteuern.
  • Ein zu straffer plantarer Weichteilverschluß führt zu einer vermehrten Plantarflexion der Zehen. Intraoperativ kann diese Situation durch eine sparsame Nachresektion von Knochen korrigiert werden.
  • Führt der plantare Weichteilverschluss zu keiner ausreichenden Stabilisierung der Zehengrundgelenke, kann durch eine Nachresektion der Wundränder am plantaren Zugang der korrigierende Effekt der Dermatodese verstärkt werden.
  • Erscheint nach Entfernung der K-Drähte eine Zehe zu locker, kann diese mit Tape-Verbänden noch für einige Wochen stabilisiert werden.
  • Durchblutungsstörungen bis hin zum Zehenverlust. Insbesondere nach Voroperationen ist das Risiko für Durchblutungsstörungen erhöht.
  • Neue Exostosen an den Resektionsflächen der Metatarsalia sind der häufigste Grund für Revisionsoperationen. Diese Knochenkanten können aber meist durch einen lokal begrenzten Eingriff abgetragen werden, wenngleich erneute Rezidive nie ausgeschlossen werden können (Tillmann 2005).
Zum Lesen der Bildbeschreibung und zur Vollansicht bitte das Bild anklicken.

Ergebnisse

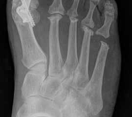
Die Arthrodese des Großzehengrundgelenks in Kombination mit einer Resektionsarthroplastik der Metatarsaleköpfchen der Kleinzehen führt zu guten klinischen Langzeitergebnissen bei Patienten mit rheumatoider Arthritis und destruiertem Metatarsaleköpfchen 34. Auch aktuelle Metaanalysen zeigen, dass dieses Verfahren den Standard bei dieser Pathologie darstellt und dass sich insbesondere auch gelenkerhaltende Therapieverfahren an diesen Ergebnissen messen müssen 35. Triolo et al. 11 berichteten über die Ergebnisse von 89 Füßen (62 Patienten) mit einem Follow up von mindestens 4 Jahren. Der AOFAS Score verbesserte sich nach Arthrodese am Großzehengrundgelenk und OP nach Tillmann Metatarsale II-V von präoperativ 33,4 ±16 auf 82,9 ± 11,9 Punkte. Schlechte Ergebnisse wurden beobachtet bei Patienten mit Revisionseingriffen aufgrund von Pseudarthrosen, verzögerter Knochenheilung, ungenügender Knochenresektion der Metatarsalia und störendem Osteosynthesematerial. Hulse et al. 36 verglichen die Ergebnisse nach Tillmann OP mit und ohne gleichzeitiger Resektion des Metatarsale I Kopfes. 44% der Patienten bei welchen das Großzehengrundgelenk erhalten wurde benötigten im 5-Jahres Follow-up einen weiteren Eingriff an diesem Gelenk. Die Autoren empfahlen daher, das Großzehengrundgelenk in jedem Fall in das Therapiekonzept einzubeziehen. Eine Langzeit Kohortenstudie an 203 Patienten (370 Füße) mit einem Follow-up von 11,4 Jahren wurde von Jüsten et al. veröffentlicht 10. 90,2% der Patienten berichteten über eine signifikante Besserung der Beschwerden, 87,5% über eine Besserung der Gehstrecke.

Thomas et al. 37 führten eine prospektive Kohortenstudie an 23 Patienten (37 Füßen) durch. Durchgeführt wurde die Resektion aller Metatarsaleköpfchen über drei dorsale Inzisionen. Nach 64,9 Monaten lag der AOFAS Score bei 64,5 Punkten, der durchschnittliche Hallux valgus Winkel lag bei 22,3°. Es kam zu keinen Revisionseingriffen.

Bei destruiertem Metatarsolphalangealgelenk stellt die Operation nach Hoffmann-Tillmann ein zuverlässiges und etabliertes Verfahren da. Das Ziel des Eingriffs ist die Reduktion der Schmerzen, die Verbesserung der Gehfähigkeit und die Erleichterung der Schuhversorgung. Dies gelingt in der überwiegenden Zahl der Fälle, auch wenn Arthritis- und Verfahrensbedingt funktionelle Defizite verbleiben.

Weitere Literatur

  • Böhme T, Rehart S. Vorfußrekonstruktion beim Rheumatiker über den dorsalen Zugang. Fuss Sprunggelenk (2006) 4:84-88
  • Brandes M. Zur operativen Therapie des Hallux valgus. Zentralblatt Chir 56 (1929) 56: 2434-2440
  • Fuhrmann R, Abramowski I, Venbrocks R. Spätergebnisse nach Operationen am rheumatischen Vorfuß und Analyse der Fehlschläge. Aktuelle Rheumatologie (1995) 20:227-233
  • Fuhrmann R, Anders J, Kinne R, Venbrocks R: Gibt es einen Unterschied zwischen rheumatischen und degenerativen Fußdeformitäten? Aktuelle Rheumatologie (2005) 30:308-315
  • Gruber A. Neue Operationsstrategien und -techniken in der Rheumafußchirurgie. Chirurgen Magazin (2010) 1:43
  • Hueter C. Klinik der Gelenkkrankheiten. 1.Bd. F.C.W. Vogel, Leipzig 1871, S.338
  • Keller W. The surgical treatment of bunios and hallux valgus. Y. med. J. (1904) 80:741-742
  • Kerschbaumer F, Rehart S, Henninger M. Operative Korrektur rheumatischer Destruktion und Deformierungen der MTP Gelenke II-V, dorsaler Zugang Arthritis und Rheuma (2009) 5:296-298
  • Larmon WA. Surgical treatment of deformities of rheumatoid arthritis of the forefoot and toes. Northwest Univ Med School (1951) 25:39–42
  • Mai B. Übersicht über Operationsverfahren bei rheumatisch bedingten Pathologien des Fußes. Orthopädisch Unfallchirurgische Praxis (2014) 3:407-413
  • Tillmann K, Rüther W. Die Korrektur des Hallux valgus rheumaticus. Operative Orthopädie und Traumatologie (1993) 5:24-32
  • Tillmann K, Rüther W. Die Korrektur typischer rheumatischer Deformitäten der Zehen II bis V Operative Orthopädie und Traumatologie (1990) 2:169-177
  • Tillmann K. Operative Korrektur rheumatischer Destruktionen und Deformierungen der MTP Gelenke II-V, plantarer Zugang. Arthritis und Rheuma (2009) 5:300-303
  • Tillmann K. Rheumaorthopädie, ARO (2005) 321-339

Weitere Interessante Literatur

  • Deutsche Gesellschaft für Rheumatologie e.V. - Externer Link: https://www.dgrh.de/
  • Rheumatologie: Diagnostik - Klinik – Therapie Hans-Jürgen Hettenkofer, Matthias Schneider, Jürgen Braun Georg Thieme Verlag, 2014 (6.Auflage) ISBN: 9783131563866
  • Rheumaorthopädie Hrsg. Assoziation für orthopädische Rheumatologie (ARO) Steinkopf Darmstadt ISBN3-7985-1491-7
Loading…
Loading the web debug toolbar…
Attempt #