Vorbemerkungen

Bei Hallux rigidus (syn. Hallux limitus, Großzehengrundgelenkarthrose) führen die bekannten gelenkerhaltenden Verfahren zwar zu einer Verzögerung des Krankheitsverlaufs, im fortgeschrittenen Stadium bleibt bis dato aber die Arthrodese der Goldstandard 12. Nachteilig sind hier jedoch die bekannten Einschränkungen wie z. B. gestörtes Abrollverhalten, Anschlussarthrosen, lange Entlastungsphase bis zur Knochenheilung und die Pseudarthroseentwicklung. Alternativ werden daher seit über 100 Jahren Versuche des Gelenkersatzes unternommen.

Bereits Ende des 19. Jahrhunderts wird über erste Kunststoffimplantate aus Acryl am Großzehengrundgelenk berichtet (Heuter 1887). Nach der relativ erfolgreichen Einführung von Hüft- und Kniegelenkendoprothesen wurden metallische Großzehenimplantate entwickelt, wobei diese bis heute nicht an die Zuverlässigkeit des Hüftgelenkersatzes heranreichen 3. Swanson experimentierte in den 50er Jahren zunächst mit einer Kobalt-Chrom-Hemiprothese. Wegen der unbefriedigenden Ergebnisse wurden dann Kunststoffimplantate verwendet, wobei 1967 Swanson ein Single-Stem-Implantat aus Silikon zunächst in der Handchirurgie und später in der Fußchirurgie einsetzte 45. Später wurden „Double-Stem-Prothesen“ relativ häufig implantiert, wobei die kurzfristigen Resultate sehr gut waren 67. Im Verlauf der Beobachtungen kam es aber vor allem bei stärkerer Belastung häufiger zu mechanischen Problemen mit Prothesenbruch und Implantatreaktionen mit Osteolysen, Synovitiden, Frakturen und Fremdkörpergranulomen 891011111213141516. Zur Verbesserung der Belastbarkeit wurden deshalb ab 1985 zusätzliche Titan-Grommets als Auflageverbesserung vor allem bei scharfkantigen Knochenoberflächen versucht 17. Hierbei handelte es sich um Schutzhülsen aus Titan, welche die mechanische Belastung des Silikons reduzieren sollten. Da die Spacer aber bei hoher Belastung weiterhin unbefriedigende Langzeitergebnisse aufwiesen, wurden in den letzten 2-3 Jahrzehnten viele neue metallische und keramische Hemi- und Totalendoprothesen entwickelt (Seeber 2007).  Doch zeigen auch diese Implantate vielfach Komplikationen wie Luxation, Osteolysen, Knochenfissuren, Lockerungen und Gelenkeinsteifung 18, so dass der endoprothetische Gelenkersatz des Großzehengrundgelenks bei weitem noch nicht den Stellenwert erreicht hat, den Hüft- und Knieendoprothetik heute innehaben 3.

Indikation

Als Indikation für eine Double-Stem Silastik-Spacer-Arthroplastik wird die schmerzhafte, fortgeschrittene Großzehengrundgelenkarthrose bei Hallux rigidus Stadium III nach Regnauld (Regnauld 1986), die Gelenkdestruktion bei rheumatoider Arthritis oder anderen Stoffwechselerkrankungen, Revisionssituationen nach fehlgeschlagenen gelenkerhaltenden oder resezierenden Eingriffen und posttraumatische Arthroseentwicklungen postuliert. Eine besondere Situation stellt die postoperative Entwicklung einer Arthrose nach Resektionsarthroplastiken z. B. nach Keller-Brandes dar (Brandes 1929, Keller 1904). Hier kann eine suffiziente Verankerung der Double-Stem Silastik-Spacer nur bei ausreichender Restlänge der Grundphalanx gewährleistet werden.

Operationsprinzip

Die Implantation eines Swanson-Spacers in das Großzehengrundgelenk umfasst eine Resektion beider Gelenkflächen unter Erhalt der Sehnenstrukturen bei fortgeschrittener Arthrose am Großzehengrundgelenk. Das Verfahren ist nicht zur Achskorrektur bei Hallux valgus geeignet. Das Verfahren findet vor allem bei rheumatoider Arthritis Anwendung, kann aber auch bei Sekundärarthrose nach Keller-Brandes Operationen eingesetzt werden, soweit noch ausreichend Knochensubstanz vorhanden ist. 

Vorteile

  • Erhalt der Beweglichkeit im Großzehengrundgelenk.
  • Schnelle Mobilisation der Patienten mit kurzer Entlastungsphase.
  • Implantation auch bei Patienten mit Metall-Allergien durchführbar.
  • Spätere Arthrodese oder Explantation der Swanson Prothese möglich.
  • Auch bei Großzehenendgelenkarthrose / Arthrodese realisierbar (IP-Arthrose/Arthrodese). 

Nachteile

  • Biomechanisch hohe Beanspruchung des Materials bei hohem Aktivitätsniveau.
  • Gefahr der Silikon-Synovialitis und Granulombildung, evtl. Spacerbruch.
  • Meist limitierte Beweglichkeit (wie bei allen Zehengelenkendoprothesen).
  • Nur bei erhaltener Knochenstruktur Implantation möglich.
  • Nicht zur Achsenkorrektur bei stärkerer Fehlstellung (z.B. Hallux valgus) geeignet.
  • Schlechtere Voraussetzungen für spätere Arthrodese wegen Knochenverlust u. Verkürzung.

Indikationen

  • Fehlgeschlagene konservative Therapie des Hallux rigidus.
  • Hallux rigidus im Stadium 2 nach Regnauld bei hohem Schmerzniveau.
  • Hallux rigidus im Stadium 3 nach Regnauld.
  • Fehlgeschlagene Arthroplastik oder gelenkerhaltende Osteotomie des Großzehengrundgelenks.
  • Rheumatoide Arthritis mit Gelenkdestruktion.
  • Sekundärarthrose nach Resektionsarthroplastik (z.B. Keller-Brandes-OP) sofern noch ausreichend Knochenlänge des Grundgliedes vorhanden.

Kontraindikationen

  • Ausgeprägte periphere Durchblutungsstörungen.
  • Schlechte Hautverhältnisse.
  • Lokale Infektion oder floride Knocheninfektionen.
  • Hohes Belastungsniveau (Laufsportarten).
  • Achsenfehlstellungen.
  • Z. n. Resektionsarthroplastiken mit kurzem Grundglied.
  • Materialallergien (Silikon, Titan).

Patientenaufklärung

  • 4 Wochen Verbandschuh.
  • Standzeit des Implantats und Vorgehen bei Implantatversagen.
  • Silikon-Synovialitis, Knochendestruktion u. Granulombildung.
  • Erschwerte Reoperationsbedingungen bei späterer Arthrodese.
  • Fehlpositionierung der Swanson-Prothese und Prothesenmigration.
  • Überlastungsbedingter Materialbruch oder Knochenbruch.
  • Tranfermetatarsalgie und Schmerzen über Sesambeinkomplex.
  • Persistierende Funktionsstörung des Großzehengrundgelenks mit Bewegungseinschränkung.
  • Materialunverträglichkeit.
  • Schwellneigung über mehrere Monate.
  • Wundheilungsstörungen, Wundinfektionen.
  • Blutgefäß- und/oder Nervenverletzung mit Sensibilitäts- und/oder Durchblutungsstörung.
  • Eventuell dauerhafte Einlagenversorgung notwendig.
  • Arbeitsunfähigkeit: Sitzende Tätigkeiten meist nach 2 Wochen, stehende Berufe nach 6 Wochen möglich. Berufe mit hoher körperlicher Beanspruchung, evtl. auch der Notwendigkeit von Sicherheitsschuhen bis 8 Wochen.
  • Bis zur sicheren Mobilisation kann kein Kraftfahrzeug geführt werden (Ausnahme OP linker Fuß bei Fahrzeugen mit Automatik-Getriebe).
  • Allgemeine Operationsrisiken.

Operationsvorbereitungen

  • Klinische Untersuchung: MTP-I- und IP-Gelenk-Beweglichkeit, Achsfehlstellungen des Vor- und Rückfußes, Überprüfung der Durchblutung des Fußes (Pulse der A. tibialis posterior und der A. dorsalis pedis, ggf. Dopplersonographie, Rekapillarisierungzeit) und der Sensibilität
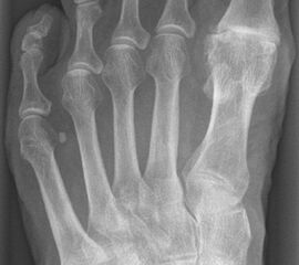
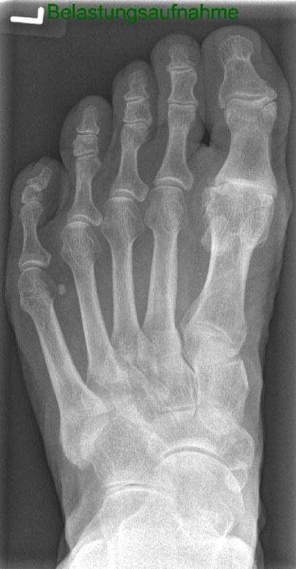
  • Röntgenaufnahmen des Vorfußes (unter Belastung) im dorsoplantaren und seitlichen Strahlengang (Abb. 1a+b)
  • Beurteilung des Erkankungsstadiums anhand der typischen Arthrosekriterien (Einteilung nach Regnauld). Beurteilung des Intermetatarsal-Winkels (IMA), des Hallux valgus-Winkels (HVA), da nur geringe Korrekturmöglichkeit durch die Osteotomieebene, darüber hinaus evtl. zusätzliche basisnahe MT-I-Korrektur notwendig
  • Beurteilung der Grundgliedlänge, insbesondere nach Voroperationen, hinsichtlich möglicher Überlänge des Implantat-Stems.
  • Allgemeine Operationsvorbereitung.

Tabelle 1: Einteilung der Arthrose des Großzehengrundgelenks anhand klinischer und radiologischer Kriterien

Grad Dorsalextension Röntgen Klinische Befunde
0 40-60° und/oder 10-20% schlechtere Beweglichkeit verglichen zur Gegenseite normal Keine Schmerzen, leichte Bewegungseinschränkung,
1 30-40° und/oder 20-50% schlechtere Beweglichkeit verglichen zu Gegenseite. Dorsaler Osteophyt, geringe Gelenkspaltverschmälerung, periartikuläre Sklerose, Abflachung des Metatarsalekopfs Milde, gelegentliche Beschwerden, Gelenksteife, Schmerzen bei forcierter Dorsalextension oder Plantarflexion,
2 10-30° und/oder 50-75% schlechtere Beweglichkeit verglichen zu Gegenseite. Osteophyten dorsal, lateral und ggf. auch medial. Abflachung des Metatarsalekopfs. >1/4 der Gelenkfläche betroffen
(seitliches Röntgenbild). Milde bis mäßige Gelenkspaltverschmälerung, Sklerose. Sesambeine nicht betroffen.
3 ≤10° und/oder 75-100% schlechtere Beweglichkeit verglichen zu Gegenseite. Deutliche Einschränkung der Plantarflexion (häufig ≤10°) Wie Grad 2, allerdings Gelenkspaltverschmälerung noch ausgeprägter, periartikuläre Zysten möglich. >1/4 der Gelenkfläche betroffen (laterales Röntgenbild). Sesambeine vergrößert, osteophytäre Anbauten, unregelmäßige Begrenzung. Nahezu konstante Beschwerden mit deutlicher Bewegungseinschränkung am Großzehengrundgelenk. Schmerzen vor allem bei maximalen Bewegungsausschlägen, keine Schmerzen bei passiver Bewegung im mittleren Bewegungssegment.
4 Wie Grad 3 Wie Grad 3 Wie 3, zusätzlich Beschwerden über den gesamten Bewegungsausschlag bei der passiven Bewegung des Gelenks

Instrumentarium

  • Fußinstrumentarium.
  • Raspelset und Probespacer.
  • Kleiner und großer Pfriem.
  • Implantate in verschiedenen Größen.
  • Bildverstärker.

Anästhesie und Lagerung

  • Intubationsnarkose, Larynxmaske, spinale Leitungsanästhesie, Fußblock oder Leitungsanästhesie.
  • Blutleere (250 mmHg bzw. mind. 40-100 mmHg über dem systolischen Blutdruck).
  • Rückenlage, der Fuß sollte mit der Ferse über der gepolsterten OP-Tischkante hängen.
  • Strahlenschutzmatte ab Mitte Unterschenkel nach proximal für den Patienten.

Vor dem Kapselverschluss erfolgt nochmals eine Überprüfung des Bewegungsumfangs. Auch bei maximalem axialem Zug an der Großzehe und bei maximaler Flexion sollte der Spacer nicht luxieren. Eine sorgfältige Kapselnaht dient der Abdeckung des Spacers und der Stabilisierung des Gelenks. Optionale kann eine Redondrainage verwendet werden. Der Hautverschluss erfolgt in klassischer Nahttechnik.

 

Besonderheiten der Operationstechnik

Wichtig ist die achsengerechte Implantation des Swanson-Spacers mit balancierter Weichteilspannung und korrekter Rotation, da ansonsten die Gefahr der Spacer-Migration oder des Spacerbruchs besteht.

Die Knochenränder sollten abgerundet werden und bei scharfkantigem Knochen die Grommets als Spacerschutz verwendet werden. Die Osteotomie kann zur Optimierung der Beweglichkeit leicht schräg nach dorsal angelegt werden. Die Verwendung der Raspeln mit proximaler und distaler Unterscheidung (Bezeichnung P oder D) reduziert das Risiko der Perforation in das Interphalangeal-Gelenk, da die entsprechenden distalen Raspeln kürzer sind.

Um eine Beschädigung des Spacers zu vermeiden sollten keine scharfen OP Instrumenten während der Implantation zum Einsatz kommen. Scharfe Instrumente können die Oberfläche des Spacers beschädigen. Dies kann zu Rissen der Siliconoberfläche führen, was einen vorzeitigem Spacerbruch begünstigt. Bei Fehlstellungen im Metatarsophalangeal-Gelenk (Hallux valgus/varus und Intermetatarsalwinkel größer 15°) ist die Gefahr der Spacermigration und Luxation erhöht. Ggf. sind hier proximale Korrekturosteotomien und gelegentlich auch ein lateral Release evtl. mit Resektion des lateralen Sesambeins erforderlich. Die Silastik Spacer sind nicht zur Achsenkorrektur geeignet und sollten nur bei balancierten Kapsel-Bandverhältnissen verwendet werden.

Postoperative Behandlung

  • Röntgen-Kontrolle der Osteotomieebenen intraoperativ, postoperativ, nach 3-4 Wochen und nach 6 Monaten. Anschließend sind jährliche Röntgenkontrollen empfehlenswert.
  • Perioperative Antibiotikaprophylaxe als Einmalgabe (Cephalosporin 2. Generation).
  • Optionale Redondrainage (wird am 1. postop. Tag entfernt).
  • Kompressionsverband für die ersten 5 Tage.
  • Hochlagerung und intermittierende Kühlung für 5-7 Tage.
  • Thromboseprophylaxe bis zur Vollbelastung.
  • Analgetika und NSAR ggf. unter Magenschutz (Protonenpumpenhemmer) nach Bedarf.
  • Fadenentfernung je nach Wundsituation nach ca. 14 Tagen.
  • Lymphdrainage je nach Schwellungszustand.
  • Mobilisation an Unterarmgehstützen unter Verwendung eines Verbandschuhs.
  • Abrollen über den Vorfuß im Konfektionsschuh mit fester Sohle nach 4 Wochen möglich.
  • Keine Traktionsmobilisation in der Krankengymnastik (Gefahr der Gelenkluxation), ansonsten freie Mobilisation je nach Wundheilung möglich

Fehler, Gefahren, Komplikationen

Die größten Gefahr des OP-Verfahrens liegt primär in der Fehlpositionierung bei vorbestehenden Achsenfehlstellungen, mangelhaftem Weichteilbalancing und schlechten Knochen- oder Weichteilverhältnissen. Für ein sicheres Langzeit-Ergebnis ist die korrekte Achsenausrichtung bei balancierter Band-Sehnenspannung entscheidend. Eine stärkere Korrektur möglicher vorbestehender Achsen- oder Rotationsfehlstellungen über das Implantat ist nicht möglich. Intraoperativ muss die Großzehe nach Einbringen des Probespacers achsengerecht neutral mit einem maximalen, physiologischen Valgus von 10° stehen und korrekt rotiert sein. Die üblichen Tenotomieverfahren mit ggf. lateralem Release, Sesambeinmobilisation oder auch Resektion des lateralen Sesambeins müssen im Einzelfall berücksichtigt werden.

Implantatluxation: Hyperflexion und Traktion der Großzehe in der Phase der Kapselheilung kann im Rahmen der Mobilisation und Krankengymnastik zur distalen Luxation des Spacers führen, insbesondere bei zu großzügiger Knochenresektion oder ausgiebigem Weichteilrelease ist die Luxationsgefahr erhöht. Die Dorsalextension ist dagegen unproblematisch.

Siliconsynovitis und Osteolysen: Aus eigener Erfahrung spielt die Gefahr der Knochendestruktion durch Siliconsynovitis keine so große Rolle wie in der Literatur beschrieben, sofern die Grundlagen der Implantationstechnik und bereits bei Indikationsstellung das Alter und Aktivitätsniveau des Patienten berücksichtigt wird.

Implantatbruch: Auch Implantatbrüche werden selten in den ersten Jahren beobachtet. Hier kann ggf. auch ein Implantatwechsel 19 oder die Implantatentfernung 7 zu befriedigenden Ergebnissen führen, da die straffe, verdickte Gelenkkapsel hier genügend Stabilität bietet. Die Indikation zur Revision und die jeweiligen Möglichkeiten müssen aber im Einzelfall diskutiert werden, da hier vor allem das Alter und der Funktionsanspruch des Patienten große Wertigkeit haben. Im Falle der Revision mit Arthrodese muss ggf. eine ausgedehnte Spongiosaplastik und die Implantation eines trikortikalen Beckenkammspans geplant und besprochen werden. Hier ist die knöcherne Integration der Knochenimplantate meist erst nach 3-6 Monaten zu erwarten.

Verkürzung des Grundgliedes nach Vor-Eingriff: Vor allem bei präoperativ bereits bestehender relativer Verkürzung des 1. Strahls z. B. nach vorangegangenen Osteotomien und Resektionsarthroplastiken nach Keller-Brandes, fehlgeschlagener Gelenkarthroplastik und Hallux-Valgus-Korrekturosteotomie ist eine genaue Überprüfung der Längenverhältnisse notwendig, da bei deutlicher Verkürzung des Grundgliedes evtl. die Implantation des distalen Spacer-Stems nicht mehr möglich ist. Die denkbare Verkürzung des distalen Implantat-Stems ist kritisch zu bewerten, da neben der rechtlichen Problematik der Implantatveränderung (Operateur evtl. in der Produkthaftung) vor allem eine erhöhte Luxationsgefahr bei zu starker Reduktion resultiert.

Wundheilungsstörung: Wundheilungsstörungen treten wie bei allen Vorfußoperationen gehäuft bei Revisionseingriffen und relevanten Begleiterkrankungen (chronische Polyarthritis, pAVK, Diabetes mellitus, etc.) auf. Speziell bei der Implantation von Fremdmaterialien wie auch Silastikspacern besteht dann eine erhöhte Infektionsgefahr. Eine schonende Operationstechnik bei Verwendung der scharfen Raspeln sollte beachtet werden, um die wichtigen Kapselstrukturen und die Haut nicht zu schädigen.

 

Ergebnisse

Die Resultate sind maßgeblich von der korrekten Indikationsstellung (Knochensituation, Alter, Aktivität), OP-Technik mit optimaler Positionierung des Spacers, sowie den Begleiterkrankungen abhängig (Voroperation, Revision, rheumatoide Arthritis) 20. Die langfristigen Ergebnisse werden dabei sehr unterschiedlich bewertet:

1996 beschrieben Neumann und Reisch in einer retrospektiven Studie mit einem großen Patientenkollektiv von 430 Fällen mit 10 Jahres-Nachbeobachtung nach Silastic-Spacer Implantation gute Resultate. In der Studie wurde nach Patienten mit Arthrose oder rheumatoider Arthritis unterschieden. In der Arthrosegruppe waren 78% der Patienten subjektiv schmerzfrei, in der Arthritisgruppe dagegen nur 67% der Fälle. In beiden Gruppen wiesen 80% der Patienten auch 10 Jahre postoperativ keine wesentliche radiologische Reaktion auf. Dennoch waren auch hier Spacerverformungen nach 10 Jahren in 54% der Arthritispatienten und 63% der Arthrosepatienten erkennbar. Spacerbrüche, Dislokationen, Luxationen wurden in Einzelfällen dargestellt. Lysereaktionen wurden nach 10 Jahren Beobachtunszeit in 19% der Patienten mit entzündlicher Gelenkerkrankung und 25% der Patienten mit rein degenerativen Gelenkveränderungen beobachtet 20.

Laird berichtete in einer retrospektiven Studie an 228 Patienten eine subjektive Patientenzufriedenheit in 89% der Fälle bei einer Nachbeobachtung bis zu 8 Jahren 6. Ähnlich gute Resultate finden sich bei anderen Autoren 2122423. Krismer et al. beschränkten die Indikation auf einen präoperativen Hallux valgus Winkel von 18° 24. Dies deckt sich mit unseren Erfahrungen, dass sich die Technik nicht zur Korrektur einer Hallux valgus Fehlstellung eignet.

Morgan et al. (2012) berichteten in ihrer retrospektiven Studie an 108 Spacern (83 Patienten) mit einem durchschnittlichen Nachbeobachtungs-Zeitraum von 8,5 Jahren über eine insgesamt hohe Patientenzufriedenheit von 80%. 78% der Patienten waren schmerzfrei. 23% der Fälle zeigten zwar radiologisch Osteolysen, diese waren in den regelmäßigen Kontrollen nicht progredient. Eine Implantatmigration trat in dieser Studie nicht auf 4.

Shi et al. 2007 untersuchten zudem die Kombination der Metatarsale I Korrektur mit open-wedge Osteotomie und zugleich Implantation einer Swanson-Prothese. Die Gruppe berichtete über insgesamt gute Resultate. Der AOFAS verbesserte sich von präoperativ 39 Punkten auf 81.7 Punkte postoperativ 25.

Cracchilo beschriebt bei kürzeren Nachbeobachtungszeiten unter 10 Jahre ebenfalls sehr gute Ergebnisse sowohl bei Arthrose- als auch Arthritis-Patienten. Er fand in beiden Gruppen eine sehr hohe Patientenzufriedenheit im Rahmen einer prospektiven Studie mit durchschnittlich 5,8 Jahren (2-15 Jahre) Nachbeobachtungszeitraum. Hier waren 82% der Fälle mit Arthrose und 84% der Fälle mit Arthritis subjektiv sehr zufrieden 8.

In den genannten Studien wurde die Indikation auf fortgeschrittene Arthroseformen, arthritische Destruktionen bzw. Fehlschläge nach vorangegangenen Operationen eingegrenzt und speziell darauf hingewiesen dieses OP Verfahren bei sportlich aktiven Patienten (insbesondere Laufsport) zu vermeiden.

Verschiedene Autoren beobachteten jedoch bei längerfristigen Nachuntersuchungen schlechtere Ergebnisse 10111112131426.

So zeigte die Studie von Cracchiolo et al. bei 66 Patienten zwar nach 5,8 Jahren eine Patientenzufriedenheit von 82-84%, im Verlauf fanden sich aber bei 35% der Fälle im Röntgenbild Knochenzysten und 8 der 66 Implantate werden gebrochen.

Ledermann et al. beschreibt in einer retrospektiven Studie mit 10 Jahres Follow-up bei single-stem Silasticspacern eine inakzeptable Lockerungsrate von 75%. In 95% fand sich eine relevante Destruktion der Knochensubstanz 95% 12. Auch die Double-Stem Varianten weisen in mehreren Studien langfristig hohe Komplikationsraten und unbefriedigende Ergebnisse auf 102711111315.

Ob die Verwendung von Titan Grommets die langfristigen Ergebnisse verbessert, kann noch nicht abschließend beurteilt werden 28. Die Verwendung wird jedoch bei scharfkantigen Knochenrändern auch vom Hersteller empfohlen. Furikado et al. kamen unter Verwendung von Grommets sogar bei höhergradigen Hallux valgus Fehlstellungen (Hallux valgus Winkel 47°) zu guten radiologischen Resultaten mit Osteolysen in nur 3,8 % nach bis zu 4,5 Jahren Nachbeobachtungszeit 29.

Ein weiterer kritischer Diskussionspunkt stellt die Verwendung von Siliconimplantaten aufgrund der möglichen Silikon-Synovitis dar, die zu Knochenerosionen und Fremdkörperreaktionen führen kann 930. Auch eine lymphatische Ausbreitung von Silikon-Mikropartikeln in inguinale Lymphknoten wurde beschrieben 1631.

Zusammenfassend zeigen sich damit bei der Verwednung des Swanson-Spacers am Großzehengrundgelenk sehr unterschiedliche Ergebnisse in den genannten Studien bezüglich der Patientenzufriedenheit, aber vor allem im Hinblick auf mögliche Komplikationen wie Osteolysen, Spacerbruch und Fremdkörperreaktionen. Ob die Verwendung von Titan-Grommets zu einer wesentlichen Änderung der langfristigen Resultate führt, ist noch unklar. Daher sollte die Indikation zur Verwendung von Swanson Silikon-Spacern kritisch gestellt werden. Die besten Resultate können auch aus unserer Erfahrung bei Patienten mit hochgradiger Arthrose oder rheumatoider Arthritis im höheren Alter mit niedrigem bis mäßigem Aktivitätsniveau und geringer präoperativer Fehlstellung erzielt werden. Somit stellt die Implantation eines Swanson-Silastic-Spacer eine gute Therapieoption zur Arthrodese bei sorgfältiger Patientenselektion dar.

Datum der Veröffentlichung: 15.09.2016

Weitere Literatur

Heuter C: Klinik der Gelenkkrankheiten mit Einschluss der Orthopädie, Vol 1. FCW Vogel, Leipzig, 1887.

Seeber E, Dobbert D: Systeme des endoprothetischen Gelenkersatzes des Großzehengrundgelenkes. Fuß & Sprunggelenk (2007) 5:262–268.

Regnauld B: Hallux rigidus. In: Regnauld B.: The Foot. Springer. Berlin Heidelberg New York, 1986. S. 345-359.

Brandes M: Zur operativen Therapie des Hallux valgus, Zbl. Chir (1929) 56:2434–2440.

Keller WL: The surgical Treatment of bunions and Hallux valgus. NY Med J (1904) 80:741–742.

Loading…
Loading the web debug toolbar…
Attempt #