Zusammenfassung

Die Weil-Osteotomie der zentralen Metatarsale-Köpfchen ist ein bewährtes operatives Verfahren zur Therapie der konservativ ausbehandelten Transfermetatarsalgie des Vorfusses durch Druckentlastung. Dieses Operationsverfahren, entwickelt von Lowell Weil sen., dient außerdem als entlastende und korrigierende Osteotomie bei  klinisch relevanten Kleinzehen-Deformitäten wie Krallen-, Klauen oder Hammerzehe (Coughlin, 2007).
Eine isolierte Transfermetatarsalgie findet sich eher selten, meist ist sie in Kombination mit der Insuffizienz des 1. Strahls anzutreffen, z.B bei hypermobilem 1. Strahl mit Hallux valgus, oder auch nach Resektionsarthroplastiken wie z.B. Keller-Brandes oder Hueter Mayo 1.

Vorbemerkung

Die primäre Therapie von belastungsabhängigen Beschwerden im Vorfußbereich ist konservativ. Im Rahmen der Diagnostik werden Röntgenbilder des ganzen Fußes im Stehen angefertigt, um die statischen und funktionellen Verhältnisse des Vor- und Rückfußes zu beurteilen.
Isolierte Vorfußschmerzen ohne Deformität der Langzehen finden sich sehr selten und werden am ehesten bei einer Hohlfuß-Stellung des gesamten Fußes angetroffen, wodurch im Abrollvorgang eine reaktive Überlastung des Fußes verursacht wird.
Meist tritt eine Überlastung des Vorfusses in der Kombination mit Zehendeformitäten Digitus I-V und Insuffizienzen des 1. Strahls und Rückfußes auf, wie z.B. bei einer Knick-Senkfuß- Deformität.
Konservativ erfolgt hierbei eine Einlagenversorgung mit einer retrokapitalen Abstützung und Vorfußweichbettung unter den schmerzhaften Metatarsaleköpfchen. Bei zusätzlichen Problemen der Langzehen (flexible Krallenzehenstellung) kann ein Zehenbänkchen indiziert sein, welches zu einer verbesserten Rezentrierung der artikulären Weichteile und einer Druckreduzierung führt. Eine Abstützung bzw. Aktivierung im Bereich des Sustentaculum tali kann bei einer funktionellen Instabilität des Rückfußes bei Knick-Senkfuß-Stellung notwendig sein. Physiotherapeutisch sollte der Patient unter fachkundiger Anleitung eine stabilisierende Fußgymnastik z.B. unter den Gesichtspunkten der Spiraldynamik erlernen 2.
Bei therapierefraktären Beschwerden des Vorfußes und begleitender kontrakter Langzehenfehlstellung, ggf. auch noch zusätzlicher dorsaler Luxationsstellung der Grundglieder, besteht die Indikation einer operativen Korrektur des Vorfußes. Hier steht in der metaphysären Schräg-Osteotomie nach Weil ein etabliertes Verfahren zur Druckentlastung der schmerzhaften Metatarsalia zur Verfügung (Coughlin, 2007; Kitaoka 2002).

Operationsprinzip und –ziel

Die Korrekturosteotomie nach Weil ermöglicht durch eine von distal dorsal nach plantar proximal verlaufende metaphysäre Osteotomie eine Druckentlastung und Weichteil­entspannung des jeweils operierten Strahles. Diese Osteotomie kann als Einzeleingriff oder als Teil einer komplexen Vorfußkorrektur angewendet werden. Nach der Verschiebung des Mittelfußköpfchens wird dieses über eine Mini-Osteosynthese wieder fixiert, das MTP Gelenk wird hierbei mobil erhalten, die Gelenkkapsel wieder verschlossen und die Strecksehnen rezentriert.
Das Verfahren wird verwendet zur Korrektur von Metatarsalgien mit Überlastung der zentralen Strahlen, zur Korrektur von flexiblen Hammer- und Krallenzehendeformitäten und zur Korrektur von „Crossover“ Zehendeformitäten, sowie bei hochgradiger Dysmetrie des Mittelfußes (Fuhrmann, 2012).

Vorteile

  • Gelenkerhaltende, bzw. rekonstruierende OP-Technik, auch bei rheumatischen Vorfüßen bis LDE-Stadium III.
  • Kontrollierte Korrektur des Vorfusses mit einer entsprechenden Osteosynthese durch Schrauben oder Drähte.
  • Dreidimensionale Korrektur des Gelenkes.
  • Zugangsweg zum Knochen und periartikuläre Weichteilkorrektur erfolgen gemeinsam.
  • Risiko der Pseudarthrose ist gegenüber anderen distalen Osteotomie-Techniken deutlich reduziert.
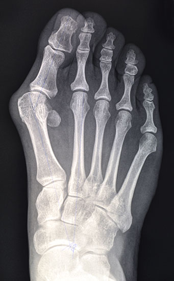
  • Möglichkeit der Korrektur eines klinisch relevanten metatarsalen Minusindex MT II-V nach Maestro.
Maestroindex am Skelettmodell
Abbildung 1

Nachteile

  • Biomechanik des Gelenks wird durch Rückverlagerung und Absenkung des Rotationszentrums maßgeblich verändert 3.
  • Gefahr des fehlenden Bodenkontaktes und verminderten Kraftaufbaus in der Abrollbewegung (floating toe) bis hin zur funktionellen Vorfußamputation 435.
  • reaktive, OP-Narben bedingte Kontraktur der Strecksehnen mit entstehenden Druckstellen der Langzehen im Schuh 6.
  • Kapselverklebung und Kontraktur mit Bewegungseinschränkung des operierten MTP-Gelenkes möglich (Coughlin, 2007).

Indikation

  • Konservativ ausbehandelte Transfermetatarsalgie bei einer Minusvariante des Maestro Vorfußindexes am 1. Strahl.
  • Nach dorsal luxierte Grundglieder bei fixierter Krallenzehenstellung (gleichzeitige Korrektur des PIP Gelenkes) (Fuhrmann 2012).
  • Transversalfehlstellung des betroffenen MTP-Gelenkes/Zehenstrahles 7.
  • Plantarflexionsfehlstellung des betroffenen MT-Köpfchens.
  • Eingeschränkte Indikation bei degenerativem Endstadium eines Morbus Freiberg-Köhler II 8.
  • Kombinationseingriff bei Überlastung der zentralen Mittelfußstrahlen und Ruptur der plantaren Platte 910.

Kontraindikation (Coughlin, 2007)

  • Nicht reponierbare Grundgliedluxation.
  • Rheumatische Destruktion LDE Stadium IV und V.
  • Infizierte plantare Druckulzera.
  • Infizierte Langzehen, z.B. durch dorsale Clavi bedingt.
  • Mangelnde Durchblutung.

Patientenaufklärung (Fuhrmann, 2012; Coughlin, 2007)

  • Allgemeine Operationsrisiken, welche bei jedem chirurgischen Eingriff bestehen.
  • Spezielle Operationsrisiken:
    • Köpfchenluxation.                                
    • Köpfchennekrose.
    • Schraubendislokation.
    • Überschiessende Narbenbildung mit Kontraktur der Kapsel und Verkürzung der Strecksehnen.
    • Reluxation des Grundgliedes.
    • Persistierende Schwellneigung des Vorfußes, 8-12 Wochen ist das normale Maß, auch längere Schwellneigung und Spannungsgefühl möglich.
    • Unter Belastung des Fußes kommt es zur Veränderung der Biomechanik, dies kann zu Beschwerden am Fuß führen, die weitere Maßnahmen erfordern.
  • Entstehung bzw. Verschlimmerung einer Arthrose mit der Notwendigkeit weiterer operativer Eingriffe.
  • Persistierende Restbeschwerden trotz Operation.
  • Notwendigkeit zum Tragen einer Zehenschiene zur passiven Plantarisierung für 4 Wochen Tag und Nacht; anschließend weitere 8 Wochen zur Nacht.
  • Tragen eines Verbandsschuhs für 4-6 Wochen postoperativ, anschließend Röntgen-Kontrolle und weitere Aufbelastung mit Einlagenversorgung (retrocapitale Abstützung)
  • Arbeitsunfähigkeit je nach Berufsbild und körperlicher Belastung - sitzende Tätigkeiten meist nach wenigen Tagen möglich.
  • Führen eines Kraftfahrzeuges bis zur Abnahme des Verbandsschuhs nicht gestattet (Ausnahme OP links bei Automatik-Fahrzeugen, ggf. Klärung mit der KFZ-Versicherung).
  • Frühzeitige physiotherapeutische Behandlung mit Mobilisation der Langzehen nach plantar, Lymphdrainage nach klinischem Befund.

Operationsvorbereitung

  • Klinische Untersuchung, Anamnese, Bildgebung mit Röntgen des Fußes unter Belastung in mindestens 2 Ebenen.
  • Ggf. pedobarographische Druckverteilungsmessung zur Dokumentation und Visualisierung der gestörten Vorfußmechanik.
  • Ausschluss von Gefäßerkrankungen.
  • Standardisierte OP-Aufklärung.

Instrumentarium

  • Fußsieb mit kleinen Meißeln, Hohmann-Haken, Luer, große Klemme, Knochenfasszangen.
  • Oszillierende Säge, ideal ist eine „Pen“-Säge.
  • Bildverstärker (idealerweise Fluoroskop mit niedriger Strahlenbelastung).

Anästhesie und Lagerung

  • Intubationsnarkose, Larynxmaske, spinale Leitungsanästhesie, Fußblock mit zusätzlicher Blockade des Nervus saphenus.
  • Oberschenkel-Blutleere (250-300 mm Hg bzw. 40-100 mm Hg über dem systolischen Blutdruck). Oberschenkel-Blutleere bei spinaler Leistungsanästhesie. Unterschenkel-Blutleere bei distaler Leitungsanästhesie. Beim Fußblock distaler US Ringwall oberhalb der Malleolengabel des OSG im Bereich der BS (300mg HG).
  • Patient in Rückenlage.
  • Bei Einsatz des BV Strahlenschutz ab Knie nach proximal.

Operationstechnik

Die Operation erfolgt am Patienten in Rückenlage mit Blutleere (Myerson, 2005; Kitaoka, 2002).
Der Hautschnitt über den Metatarsaleköpfchen verläuft quer oder längs - bei kontrakten Weichteilverhältnissen empfiehlt sich ein z-förmiger Hautschnitt. Die Gelenkkapsel wird längs gespalten unter Schonung der Strecksehnen. Bei der anschliessenden Mobilisation der Gelenkkapsel und der periartikulären Weichteile sollten die Kollateralbänder geschont werden. Die Osteotomie (siehe Video) sollte parallel zur Fußsohle verlaufen und eine maximale Verkürzung von 3 mm vorgenommen werden (Rotationsachse!). Nach Osteosynthese der Osteotomie mit regelrechter Einstellung der Gelenklinie des Mittelfußköpfchens wird der knöcherne Überstand abgetragen, die Gelenkkapsel wiederverschlossen und die Strecksehnen rezentriert (Myerson, 2005).

Video 1

Hautschnitt mit Präparation auf die Sehnenscheide der Extensorensehne, Blutstillung der venösen Gefäße.

Video 2

Darstellen der beiden Strecksehnen, intertendinöses Eingehen mit dem Skalpell  bis auf den distalen Schaftanteil des Metatarsale. Bei kontrakten Luxations- und Subluxationsstellungen kann eine Tenotomie der kurzen Strecksehne  und auch eine Z-Plastik der langen Strecksehne indiziert sein.

Video 3

Mit einem Elevatorium retrocapitales Unterfahren des Periostes und Einsetzen von kleinen Hohmann-Haken zur Darstellung des Köpfchens des MTP Gelenkes.

Video 4

Durch maximale Plantarflexion des Grundgliedes kommt es zu einer Anspannung der Seitbänder. Mit dem Skalpell dann schrittweise knochennahes Abschieben der Seitenbänder ohne diese zu durchtrennen, bis eine volle Plantarflexion des Grundgliedes gewährleistet ist.

Video 5

Es erfolgt dann die Osteotomie des Köpfchens im dorsalen ¼ des Köpfchens, parallel zur simulierten Bodenauftrittsfläche. Es ist streng darauf zu achten, dass es zu keiner Plantarisierung des Köpfchens kommt. Die Hohmann-Haken müssen so gesetzt werden, dass sie die Strecksehnen während der Osteotomie schützen. Während des Sägevorgangs ist eine entsprechende Stellungskorrektur der Hohmann-Haken durchzuführen um eine komplette Osteotomie zu gewährleisten. Der Winkel des Sägeschnittes bei MT II beträgt ca. 45° zur Schaftachse und nimmt im weiteren Verlauf zu den lateralen Metatarsalia auf ca. 20° ab. Die Osteotomien werden dementsprechend länger. Kommt es zu einer Verletzung der langen Strecksehne, muß diese dann wieder durch eine spannungsfreie Naht rekonstruiert werden. Dieser Schritt ist der entscheidende für den Erfolg der Operation und ist mit der entsprechenden Sorgfalt und Planung durchzuführen.

Video 6

Darstellung des Sägeschnittes im dorsalen Drittel des Metatarsaleköpfchens.

Video 7

Die Osteotomie wird nun mit einem Meißel Stärke 10 mm dargestellt, das mobilisierte Köpfchen nach plantar gedrückt. Durch eine leicht nach proximal abfallende Osteotomie erfolgt die Bestimmung der Verkürzung und das Ausmaß der Verschiebung des Köpfchens nach dorsal. Zur Vermeidung einer Plantarisierung des Köpfchens durch die Verschiebeosteotomie erfolgt ein 2. paralleler Sägeschnitt mit Resektion einer 2-3 mm dicken Knochenscheibe.

Video 8

Durch eine maximale Plantarflexion der Zehe kommt es zu einer Reposition des osteotomierten Köpfchens, da die intakten Seitenbänder einen entsprechenden Zug ausüben. Dies kann noch durch einen retrokapitalen Druck unterstützt werden. Das Köpfchen wird mit einer entsprechend großen Klemme oder Fasszange positioniert, unter Berücksichtigung einer eventuell notwendigen Rotationskorrektur. Bei korrekter Gelenkflächenstellung wird die Osteotomie komprimiert, hierbei ist dringend darauf zu achten, dass die Hohmann-Haken nicht im Spalt der Osteotomie einen kompletten Knochenkontakt des Köpfchens verhindern. Dies ist vermutlich der Hauptgrund für verzögerte Knochenheilungen oder Luxationen des Köpfchens in der Aufbelastungsphase. Sofern diese Punkte kontrolliert wurden erfolgt die Fixation des Köpfchens, hier durch Vorbohren mit einem 1,6 mm Draht und einer 2,0 mm Titanschraube.

Video 9

Abschließend erfolgt die klinische Kontrolle hinsichtlich Stellung, Alignement und passiver Funktion. Überprüfen der Sehnenspannung durch den retrocapitalen Push-up Test.

Postoperativ ist auf eine Zügelung der operierten Zehen nach plantar zu achten, damit es in der Heilungsphase zu einer entsprechenden Position der Langzehen kommt. Dadurch kann einer Kontraktur der dorsalen Weichteile der betroffenen Zehen, inklusive Verkürzung der Strecksehnen vorgebeugt werden 12. Ein Vorfußverband in der Vainio-Technik mit dieser Zügeltechnik hat sich hier bewährt.

Postoperative Behandlung

Im Vorfeld der Operation erhält der Patient einen antibiotischen Single-shot mit 1500 mg Cefuroxim als intravenöse Kurzinfusion. Diese sollte 30 min. vor der Operation (und vor dem Verschluss der Blutleere) appliziert worden sein.
Die Patienten sollten die ersten 24 Std. nach der Operation den Fuß möglichst schonen, am besten ist für diese Zeit eine gelockerte Bettruhe mit Hochlagern der operierten Extremität. Am 1. Tag erfolgt ein Verbandswechsel und Verkleinerung des Verbandes um eine Anlage des Zehenzügelverbandes zu gewährleisten. Analgetisch werden die Patienten mit NSAR und Opioden wie z.B. Perfalgan und Novaminsulfon als Kurzinfusion behandelt.
Aufgrund der bestehenden knöchernen Schmerzen und Schwellung, kann eine Dauermedikation mit NSAR (z.b. Iboprofen oder Diclofenac), unter Berücksichtigung der Magenschleimhautprotektion, bis zum Fädenziehen indiziert sein. Da eine volle Belastung mit dem Verbandschuh erlaubt ist, besteht keine Ruhigstellung der venösen Muskelpumpe. Gemäß der Leitlinien ist somit eine Heparinisierung postoperativ nicht zwingend erforderlich, sollte aber von Patient zu Patient (anhand des individuellen Gesundheitsrisikos) entschieden werden.

Die Zehenzügelungsbandage, mit und ohne Korrektur des 1. Strahls, sollte die Zehen nach plantar ziehen, um dem funktionellen Übergewicht der Extensorensehnen entgegen zu wirken. Dies dient der Vorbeugung einer dorsalen Narbenkontraktur mit Elevationsstellung der Zehen und dem daraus resultierenden mangelnden Kontakt der Langzehen.

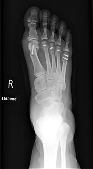
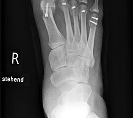
Die Mobilisation kann in einem flachen Verbandsschuh erfolgen (Abb. 15), mit schmerzabhängiger Vollbelastung.

Die Fäden werden nach der 2. postoperativen Woche gezogen. Der Verbandsschuh wird für 4-6 Wochen getragen, anschließend erfolgt eine Röntgenkontrolle (Abb.16). Das Führen eines Kraftfahrzeuges mit diesem Schuh ist nicht gestattet. Eine Ausnahmekombination stellt die Operation des linken Fußes und Automatik-Fahrzeug dar.

Aus der klinischen Erfahrung heraus können die Patienten, bei unauffälligem Röntgenbild weiter mit einer entsprechenden Einlagenversorgung mit retrocapitaler Abstützung und ggf. notwendigen Modifikationen im weiten, bequemen Konfektionsschuh mobilisiert werden. Die klinischen Verlaufskontrollen in den letzten 14 Jahren haben gezeigt, dass bei korrekter Stellung zu diesem Zeitpunkt die osteotomierten Köpfchen auch in dieser Position verbleiben. Sollte eine korrekturbedürftige Fehlstellung vorliegen, ist diese 4 Wochen nach Primär-OP mit einem geringeren operativen Aufwand durchzuführen.

Die Patienten erhalten, je nach klinischem Befund, Rezepte für Krankengymnastik und Lymphdrainage. Die Schwellung ist post-operativ ein störender Faktor für die Patienten. Sie müssen daher im Vorfeld explizit auf dieses Problem in der Nachbehandlung aufgeklärt werden.

Bei einem zeitgerechten Verlauf sind die Patienten ab der 5. bis 7. Woche wieder unter Tragen eines Konfektionsschuhs mit weiter Zehenkappe mobil, je nach beruflicher Exposition und Belastung besteht dann auch wieder eine Arbeitsfähigkeit. Die Zehenzügelungsbandage sollte noch weiter 4-8 Wochen zur Nacht getragen werden.

Fehler, Gefahren, Komplikationen

  • Knöcherne Überkorrekturen.
  • Fehlrotation des Köpfchens.
  • Mangelhafte Osteosynthese.
  • Köpfchennekrose, Chondrolyse.
  • Vernarbung von Gelenkkapsel und umgebenden Sehnen.
  • Kontraktur des Hautnarbe.
  • Verschiebung des Rotationszentrums des MTP-Gelenkes mit sekundärer Störung der Gelenkmechanik.

Ergebnisse

In einer im Jahre 2014 durchgeführten retrospektiven Analyse unseres eigenen Patientengutes untersuchten wir die Hypothese, dass auch bei bereits fortgeschrittenen Destruktionen mit LDE Stadium 3 und auch 4 noch für den Patienten gute Ergebnisse zu erzielen sind.
In unserer Klinik werden jährlich ca. 1000 Patienten am Fuß operiert, der Anteil an Rheumapatienten liegt hierbei im Schnitt bei ca. 15 %, unter den neuen Basismedikamenten ist der Anteil jedoch rückläufig. Es wurden an unserem Patientengut von Mai 2003 bis Dezember 2013 insgesamt 8691 Vorfuß-Operationen durchgeführt. Bei 2027 Patienten erfolgten insgesamt 4597 Weil-Osteotomien. Der Anteil an Rheumapatienten betrug 275 Patienten, also 13,57 %. Davon wurden 50 Patienten radiologisch kontrolliert, deren Follow-up mindestens 2 Jahre betrug.
Bei 50 Patienten mit 148 Weil-Osteotomien betrug das Follow up zwischen 750 und 2895 Tagen (2 J. 1 Mon. und 7 J. 11 Mon), mittleres Follow up 1762 Tage (4 J. 10 Mon.).

Tabelle der LDE Stadien prä- und post-operativ im zeitlichen Verlauf
Abbildung 17

Die radiologischen Ergebnisse der LDE Stadien Einteilung, gerade bei den destruierten Gelenken, zeigt eine Tendenz zur Verbesserung des Gelenkstatus im Sinne einer Gelenkerhaltung. Die Stadien 0-2 stagnierten bzw. verschlechterten sich um 1 Punkt.
Diese Ergebnisse unterstützen die These, dass ein erhaltenes Gelenk immer noch besser ist als ein reseziertes Gelenk. Die Weil Osteotomie ist eine gelenkerhaltende Maßnahme, knochensparend bis LDE Stadium 3, additive Maßnahmen sind häufig erforderlich (Preis, 2014), 13.

Weitere Literatur

  • Coughlin M, Mann R, Saltzman C, Weil Osteotomy; Surgery of the Foot and Ankle, Coughlin M, Mosby/Elsevier, 429- 513, 8th Edition 2007
  • Fuhrmann R , Weil-Osteotomie; Vorfußchirurgie, Sabo, Springer, 99-101, 2. Auflage 2012
  • Kitaoka H, Realignement of lesser toe deformities ;Mastertechniques in Orthopaedic Surgery „The Foot and Ankle”,Kitaoka H, Lippincott, 147- 170, 2nd  Edition 2002
  • Myerson M, Metatarsalgia, Reconstructive Foot and Ankle Surgery,Myerson M, Elsevier/Saunders, 121- 130, 2005
  • Preis M , Vortrag „Gelenkerhaltende Eingriffe beim rheumatischen Vorfuß“ (14-103) Abstractsession II – Rheuma-Orthopädie & Diagnostik/Bildgebung DGRH Kongress Düsseldorf, Donnerstag, 18.09.2014
Loading…
Loading the web debug toolbar…
Attempt #