Operationsprinzip

  • Beseitigung der Druckschmerzen über dem Großzehenballen durch Korrektur des Spreizfußes.
  • Beseitigung einer Transfermetatarsalgie durch Wiederherstellung der Lastaufnahme des Metatarsale 1.
  • Korrektur der Valgusfehlstellung der Großzehe und Verhinderung der Verdrängung der zweiten Zehe.
  • Resektion der Pseudoexostose, Reposition des Großzehengrundgelenkes durch ein Release der lateralen Gelenkkapsel, Reposition des MTK 1 durch Ablösen der Sesambeinaufhängung, Wiederherstellung des physiologischen Intermetatarsalewinkels durch eine proximale Verschiebeosteotomie.

Vorteile

  • Die V-förmige Osteotomie bietet im Vergleich zur Crescentic oder geraden Osteotomie eine höhere Primärstabilität.
  • Die Verwendung einer winkelstabilen Plattenosteosynthese erhöht diese Primärstabilität nochmals 123.
  • Das Korrekturpotential ist immens 45.
  • Durch die Schnittführung kann eine Verlängerung oder Verkürzung des MT 1 erreicht werden.
  • Dies ist ein Vorteil gegenüber den nachfolgenden Verfahren: Bei der Open wedge Technik kommt es in der Regel zu einer Verlängerung des MT 1 36, bei der Closing wedge Technik kommt es in der Regel zu einer Verkürzung des MT1 4 mit Erhöhung des DMAA-Winkels.
  • Größeres Korrekturpotenzial als bei den distalen Osteotomien ohne die Gefahr der Nekrose des MTK 1.
  • Niedrigere Pseudarthrosenrate als bei der Arthrodese des TMT 1 Gelenkes.

Nachteile

  • Höhere Pseudarthrosenrate als bei den distalen Osteotomien.
  • Häufig bestehende Druckschmerzen und Irritationen über der Plattenosteosynthese.
  • Im Vergleich zu den distalen Osteotomien ist eine direkte postoperative Vollbelastung in der Orthese nicht empfohlen.
  • Zur Korrektur des DMAA ist eine additive Osteotomie notwendig.

Indikationen

  • Hallux valgus Fehlstellungen mit einem erhöhten Intermetatarsale Winkel 578.

Kontraindikationen

  • Eine schmerzhafte Bewegungseinschränkung des MTP 1 Gelenkes mit Arthrose kann eine Kontraindikation für einen gelenkerhaltenden Eingriff darstellen.
  • Fehlende Patienten Compliance.

Patientenaufklärung

  • Risiko der Pseudarthrose.
  • Druckbeschwerden über der Plattenosteosynthese.
  • Korrekturverlust.
  • Zusatzeingriffe am ersten Strahl (Reverdin, Akin).
  • Wundheilungsstörung/Infektion.
  • Druckbeschwerden über der Plattenosteosynthese.
  • Überkorrektur.
  • Sensilibitätsstörungen an der Großzehe.
  • CRPS.
  • Metatarsalgie.
  • Hypertrophe Narben.
  • Postoperative Schwellung und Schmerzen.
  • Bewegungseinschränkung MTP 1.
  • Postoperative Teilbelastung an UAGS.

Operationsvorbereitungen

Obligat:

  • Röntgenaufnahmen des Fußes in 2 Ebenen, a.p. stehend
  • Aufklärungsprotokoll.
  • Klinischer Befund.
  • Ausschluss florider Infektionen.

Fakultativ:

  • Fußdruckmessung.
  • Fotodokumentation.

Instrumentarium

  • Winkelstabiles Implantat (z.B. TOM Platte der Firma Wright Medical).
  • Bildverstärker nicht obligat.

Anästhesie und Lagerung

  • Alle Narkosearten möglich (Leitungsanästhesien, Larynxmaske und Vollnarkose).
  • Supramalleoläre Blutleere.
  • Rückenlagerung mit gespreizten Beinen.
  • Keilkissen unter die ipsilaterale Gesäßhälfte zum Ausgleich der Außenrotation im Hüftgelenk.

Besonderheiten

Die TOM Platte wurde für eine gerade bikortikale Osteotomie am MT 1 entwickelt (Thomas M. 2009). Durch die v-förmige Osteotomie ergibt es sich relativ häufig dass die Platte besser am Knochen anliegt wenn sie seitenverkehrt angebracht wird d.h. die Platte mit der Aufschrift R am linken Fuß und umgekehrt. Das nicht winkelstabile Gleitloch sollte sich immer distal der Osteotomie befinden.

Postoperative Behandlung

  • Durchblutungskontrolle der Zehe.
  • Erster Verbandswechsel am Tag nach der Operation, bei normaler Wundheilung alle 2-3 Tage.
  • Sofortiger Beginn mit der Lymphdrainage und Gangschulung.
  • Mobilisation in einer Orthese mit steifer durchgängiger Sohle und Abrollhilfe für 6 Wochen, davon 3 Wochen an UAGS mit halbem Körpergewicht.
  • Zehenmobilisation nach 5-7 Tagen.
  • Arbeitsunfähigkeit für stehende und gehende Berufe ca. 8-10 Wochen, für sitzende Tätigkeiten sehr variabel.
  • Röntgenkontrolle am ersten postoperativen Tag, nach 3 und 6 Wochen.

Fehler, Gefahren, Komplikationen

  • Platte liegt nicht am Knochen an: Schränken der Platte in geringem Ausmaß möglich. Nicht in den winkelstabilen Schraubenlöchern biegen.
  • Stufe ist zu groß: Die Knochenstufe kann mit dem Luer oder der oszillierenden Säge verkleinert bis komplett entfernt werden.
  • Nach Fixation der Platte wird ein Hallux varus bemerkt: Durchführung einer Reverdin Osteotomie. Das MTK 1 1-2 mm nach lateral translieren. Die Zehe stellt sich sofort ein.
  • Unterkorrektur: Überprüfung der Translation und Angulation in der Osteotomie. Durchführung einer distalen Chevron Osteotomie. Eine Nachbesserung in der Osteotomie mit Neuanlage der Platte nachdem bereits alle 4 oder 5 Schrauben fest sitzen, ist auf Grund der engen anatomischen Verhältnisse schwierig und sollte nur in Ausnahmefällen durchgeführt werden.

Ergebnisse

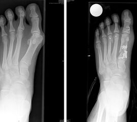
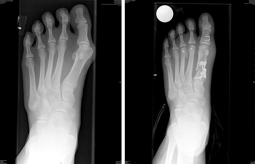
Die OP Methode hat sich als Standardeingriff bei größeren Hallux valgus Fehlstellungen etabliert. Der Intermetatarsale Winkel kann sehr gut korrigiert werden. Der Erste Strahl wird stabilisiert und kann wieder Last aufnehmen. Die Verwendung einer winkelstabilen Plattenosteosynthese zur Fixation einer proximalen Osteotomie am MT 1 hat sich bereits bewährt123, insbesondere auch mit der hier verwendeten TOM Platte (Thomas M. 2009). Die V-förmige Knochenschnittführung bietet eine zusätzliche Stabilität.
Häufig wird additiv eine Akin Osteotomie durchgeführt. Irritationen über der tastbaren Platte führen in vielen Fällen zur Metallentfernung. Eine Studie zur Auswertung der Ergebnisse wurde begonnen.

Abkuerzungsverzeichnis

MT1 Metatarsale 1
MTK1 Erster Metatarsale Kopf
TMT1 Erstes Tarsometatarsal Gelenk
DMMA Distaler Metatarsale-Artikulationswinkel
MTP1 Erstes Metatarsophalangeal Gelenk
CRPS Komplexes regionales Schmerzsyndrom
UAGS Unterarmgehstützen

Weitere Literatur

  • Thomas M: Die proximale Verschiebeosteotomie mit winkelstabiler Plattenosteosynthese zur Korrektur der fortgeschrittenen Hallux valgus Deformität. Fuss und Sprunggelenk, (2009) 7:14-21.
Loading…
Loading the web debug toolbar…
Attempt #