Vorbemerkungen

Die open wedge Osteotomie bietet eine zuverlässige Methode zur Korrektur des Hallux valgus mit hohem Intermetatarsalwinkel. Insbesondere bei einem kurzen Metatarsale I oder bei Doppelosteotomien, die distal zu einem leichten Längenverlust führen (z.B. Reverdin Green) bietet die open wedge Osteotomie durch die leichte Verlängerung des Metatarsale I Vorteile. Voraussetzung für gute klinische Ergebnisse ist, dass am Großzehengrundgelenk keine Arthrose oder sonstige Bewegungseinschränkung vorliegen 1.
Die klassische Indikation für die Open wedge Osteotomie sind Intermetatarsalwinkel von 14-20° 2. Durch Einführung winkelstabiler Implantate konnte die hohe Pseudarthroserate der klassischen Schraubenosteosynthese von bis zu 10% deutlich reduziert werden 3, gleiches gilt für das Risiko eines Korrekturverlustes 45.
Durch die winkelstabile Fixation der Osteotomie ist eine frühzeitige Mobilisation der Patienten im Verband- oder Vorfußentlastungsschuh möglich 67. Durch die Osteotomie kommt es neben der Korrektur des Intermetatarsalwinkels zu einer Verlängerung des Metatarsale I und zu einer vermehrten Plantarsisierung des Metatarsale I. Dies begünstigt eine physiologische Lastaufnahme des ersten Strahls 89. Durch eine leicht dorsale Platzierung der Platte kann der Effekt noch verstärkt werden.
Die Verlängerung des Metatarsale 1 liegt bei ca. 1-2 mm. Der damit verbundene Druckanstieg im Großzehengrundgelenk kann zu einer Verschlechterung vorbestehender Bewegungseinschränkungen führen, weshalb degenerative Veränderungen diese Gelenkes eine relative Kontraindikation darstellen 10.

Operationsprinzip und –ziel

Ziel des Eingriffs ist eine Korrektur des vergrößerten Winkels zwischen Metatarsale I und II. Je größer die zu korrigierende Fehlstellung, desto basisnaher sollte die Korrektur durchgeführt werden 11. Die basisnahe open wedge Osteotomie des Metatarsale I ermöglicht die Korrektur schwerer Fehlstellungen bei gleichzeitiger, leichter Verlängerung des Metatarsale I. Die Verlängerung des Metatarsale I führt zu einer bei Spreizfußdeformitäten gewünschten Steigerung der Lastaufnahme des ersten Strahls 89 und schafft gleichzeitig günstige Voraussetzungen für distale Kombinationseingriffe die zur Korrektur des Gelenkwinkels unter Umständen gleichzeitig durchgeführt werden.

Vorteile

  • Präzise Korrektur mittlerer und großer Intermetatarsalwinkel 12.
  • Nachbehandlung im Verband- oder Vorfußentlastungsschuh möglich 67.
  • Osteotomie im gut heilenden metaphysären Knochen.
  • Gute Durchblutungssituation im Bereich der Osteotomie 1213.
  • Gelenkerhaltendes Verfahren.
  • Stabilisierung des ersten Strahls durch Optimierung der weichteiligen Verspannung 13.
  • Leichte Verlängerung des Os metatarsale I normalisiert die plantare Druckverteilung 89.
  • Geringe Instabilitäten des Tarsometatarsale I Gelenks werden mit adressiert 14.
  • Grad der Plantarisierung kann durch die Osteotomieebene justiert werden.
  • Gute Kombinierbarkeit mit distalen Eingriffen wie Reverdin-Larid-Green oder Akin Osteotomie zur Korrektur des Gelenkwinkels 15.
  • Lockere Füllung des Defekts mit Spongiosa aus der resezierten Pseudoexostose ist ausreichend. Eine routinemäßige Verwendung von Spongiosa von Tibiakopf oder Beckenkamm bzw. der Einsatz von Knochenersatzmaterialien ist nicht notwendig.

Nachteile

  • Die Verlängerung des Os metatarsale kann zu einer erhöhten Weichteilspannung im Großzehengrundgelenk führen.
  • Degenerative Veränderungen im Großzehengrundgelenk stellen eine Kontrainikation dar 1.
  • Bei bestehenden Gelenkkontrakturen kommt es durch den Eingriff zu einer weiteren Verschlechterung der Beweglichkeit im Großzehengrundgelenk
  • Pathologien im Tarsometatarsale I Gelenk werden im Gegensatz zur Lapidus Arthrodese nicht mit adressiert.
  • Implantatkosten.

Indikationen

  • Intermetatarsalwinkel übersteigt das Korrekturpotential distaler Verfahren (>14°).
  • Junge Patienten ohne degenerative Veränderungen des Großzehengrundgelenkes.

Kontraindikationen

  • Überlanges Metatarsale I (bei überlangem Metatarsale I sind subtraktive Verfahren, z.B. closing wedge Basisosteotomie, proximaler Chevron mit Keilentnahme zu bevorzugen).
  • Degenerative Veränderungen im Großzehengrundgelenk, Hallux rigidus.
  • Kontraktes Großzehengrundgelenk.
  • Pathologie des Tarsometatarsale I Gelenks wie Subluxation oder Arthrose.
  • Bei einem bereits präoperativ erhöhten distalen Gelenkwinkel (DMAA) ist die open wedge Osteotomie als alleiniger Eingriff nicht geeignet sondern muss mit einer distalen Osteotomie zur Korrektur des Gelenkwinkels kombiniert werden.
  • Ausgeprägte periphere Durchblutungsstörungen.
  • Schlechte Hautverhältnisse.
  • Lokale Infektion.

Patientenaufklärung

  • Allgemeine OP Risiken.
  • 6- 8 Wochen Verband- oder Vorfußentlastungsschuh, anschließend in Abhängigkeit einer oft noch bestehenden Weichteilschwellung weiter, weicher Konfektionsschuh.
  • Eventuell Einlagenversorgung notwendig.
  • Teilbelastung mit 20 kg für die ersten 2 Wochen.
  • In seltenen Fällen Metallentfernung.
  • Rezidivrisiko für Hallux valgus unter 5 %.
  • Überkorrektur mit Hallux varus.
  • Bewegungsstörung im Großzehengrundgelenk.
  • Fortschreiten einer Arthrose im Großzehengrundgelenk.
  • Verlängerte postoperative Entlastung bei Bruch der lateralen Kortikalis.
  • Verzögerte Knochenheilung oder Pseudarthrose mit der Notwendigkeit einer operativen Revision.
  • Bruch des Osteosynthesematerials.
  • Unverträglichkeit des Materials.
  • Schwellneigung über mehrere Monate möglich.
  • Selbstversorgung für mind. 2 Wochen nur eingeschränkt möglich.
  • Arbeitsunfähigkeit je nach Tätigkeit zwischen 2-10 Wochen.
  • Mit Vorfußentlastungsschuh kann in der Regel kein Kraftfahrzeug geführt werden.

Operationsvorbereitungen

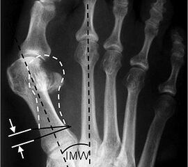
Präoperative Planung. Ziel ist es, den Metatarsalekopf auf den Sesambeinkomplex zu reponieren.
Abbildung 1
  • Röntgenaufnahme des Fußes unter Belastung in d.p., schräg und seitlichem Strahlengang.
  • Beurteilung des Intermetatarsalwinkels (IMA) und des distalen und proximalen Gelenkwinkels (DMAA, PMAA) (Abb. 1).
  • Beurteilung des Großzehengrundgelenkes.
  • Beurteilung des Tarsometatarsale I Gelenkes.
  • Möglicherweise zusätzliche Korrektur der Gelenkwinkel des Großzehengrundgelenk notwendig.
  • Beurteilung der geplanten Plantarsierung im Hinblick auf Transfermetatarsalgien.
  • Planung der Korrekturosteotomie: 1 mm Plattensteg korrigiert etwa 2° Intermetatarsalwinkel.
  • Planung der Osteotomie mit ausreichendem Abstand vom Tarsometatarsale I Gelenk (ca. 1 cm). Vor allem bei sehr schräg angelegten Tarsometatareale I Gelenken besteht das Risiko mit den proximalen Schrauben in das Gelenk vorzudringen.
  • Dokumentation der Durchblutung des Fußes (Fußpulse, ggf. Dopplersonographie, Rekapillarisierungzeit).
  • Dokumentation der Sensibilität (Spitz/Stumpf Unterscheidung, 2 Punkte Diskriminierung) der Zehen.
  • Allgemeine Operationsvorbereitung. Nach aktuellen Richtlinien der RKI kann auf eine Rasur des OP Gebietes verzichtet werden (www.rki.de).

Instrumentarium

Instrumentarium für die open wedge Basisosteotomie.
Abbildung 2
  • Kleines Fußinstrumentarium.
  • Herstellerspezifisches Plattensieb und Osteosynthesen für ergänzende Korrekturen (z.B. Axomed Pedus-O® (Abb. 2.) -Axomed GmbH, Heinrich-von-Stephan-Str. 5c, 79100 Freiburg; Darco MFS® - DARCO GmbH & Co. KG, Gewerbegebiet 18, D82339 Raisting; Merete® - Merete Medical GmbH, Alt-Lankwitz 102, 12247 Berlin usw.).
  • Bildverstärker.

Anästhesie und Lagerung

  • Intubationsnarkose, Larynxmaske, spinale Leitungsanästhesie, Fußblock (Nervus peroneus superficialis, Nervus peroneus profundus, Nervus suralis, Nervus saphenus sowie Nervus tibialis posterior werden im Knöchelbereich mit 30 bis 40 ml Ropivacain (Naropin®) umspritzt) oder Ischiadicus Femoralis Oburatorius Blockade (IFOB).
  • Blutleere (350 mm Hg, bzw. 40-100 mmHg über dem systolischen Blutdruck) am Oberschenkel, bei distalen Anästhesieverfahren oberhalb des oberen Sprunggelenkes (300 mm Hg).
  • Rückenlage, leichte Kniebeugung über Schaumstoffrolle, weiche Unterpolsterung.
  • Strahlenschutzmatte ab Mitte Unterschenkel nach proximal für den Patienten.

Besonderheiten

Abbildung 13

Bei sehr schräg verlaufendem Tarsometatarsalgelenk ist darauf zu achten, mit den proximalen Schrauben nicht das Gelenk zu verletzen.

Postoperative Behandlung

Redressierender Zehenverband
Abbildung 14
  • 6 Wochen Verband- oder Vorfußentlastungsschuh. Teilbelastung von 20 kg während der ersten 2 Wochen, dann Vollbelastung. Redressierender Zehenverband (Abb. 14)
  • 6 Wochen postoperativ Röntgenkontrolle zur Festlegung des weiteren Belastungsaufbaus. Erscheint die Überbauung noch nicht ausreichend, erfolgt die Mobilisation im Verbands- oder Vorfußentlastungsschuh für weitere 2 Wochen mit anschließender erneuter Röntgenkontrolle.

Fehler, Gefahren, Komplikationen

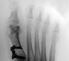
  • Bruch der lateralen Kortikalis beim Aufspreizen der Osteotomie: Impaktieren der spongiösen Osteotomieflächen in der gewünschten Stellung. Mit der winkelstabilen Platte kann so ein stabiles Repositionsergebnis erzielt werden. Erscheint dies nicht ausreichend, kann mit einer temporären Kirschnerdrahtfixation der Osteotomie über 4-6 Wochen eine zusätzliche Stabilisierung erreicht werden. Zusätzlich sollte nach einem Bruch der lateralen Kortikalis die Belastung für 6 Wochen auf 10 kg limitiert werden (Abb. 15). Bietet diese Fixation keine vertrauenswürdige Stabilität kann zusätzlich ein Cast oder Unterschenkelwalker angelegt werden.
  • Zu großzügige Resektion der Exostose (Abb. 16): Ein flächiger Kontakt der artikulierenden Flächen ist Voraussetzung für ein gutes Ergebnis. Eine Korrektur ist möglich mit einer inversen retrokapitalen Osteotomie, wo durch eine Verschiebung des Metatarsale I Kopfes nach medial eine Deckung der Sesambeine erreicht werden kann (Abb. 17).
  • Tiefe Wundinfektion: Fäden entfernen, Wundabstrich und gezielte Antibiotikabehandlung nach chirurgischem Debridement.
  • Intraoperative Varusfehlstellung der Großzehe: Verwendung einer Platte mit geringerer Korrektur. Ist die laterale Gelenkkapsel zu locker, kann diese mit einem nicht resorbierbaren Faden gerafft werden. Entsprechend spannungsfrei erfolgt der Verschluss der medialen Gelenkkapsel (Abb. 18).
  • Osteotomie zu weit distal im diaphysären Knochen: Wird die Osteotomie im Schaftbereich des Metatarsale I durchgeführt, besteht eine deutlich erhöhte Gefahr der Pseudarthrosenbildung und der sekundären Dislokation. Der diaphysäre Knochen bricht wesentlich leichter, was die Primärstabilität weiter reduziert (Abb. 19).
  • Pseudarthrose: Kommt es innerhalb von 3 Monaten zu keiner knöchernen Durchbauung, ist eine operative Revision indiziert. Nach Ausräumung der Pseudarthrose und Spongiosaanlage vom Beckenkamm erfolgt die Reosteosynthese mit einer winkelstabilen Platte. Die Nachbehandlung nach Prseudarthrose umfasst eine 6 wöchige Phase der Entlastung im Cast oder Unterschenkelwalker. Anschließend Belastungsaufbau nach Röntgenkontrolle. Insgesamt ist die Pseudarthrose eine seltene Komplikation der metaphysären Osteotomie. Mann et al. 19 berichteten über weniger als 1% in ihrer Langzeitstudie.
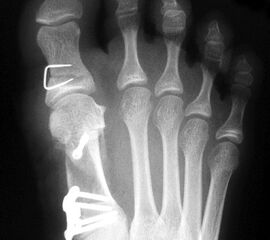
  • Hallux valgus-Rezidiv: Im Falle eines Rezidivs ist eine umfassende Ursachenanalyse angezeigt. Liegt das Problem in einem instabilen Tarsometatarsale I Gelenk, welches ein weiteres Abweichen des Metatarsale I nach medial erlaubt, besteht die Indikation zur Arthrodese des Tarsometatarsale I Gelenks. Kommt es zum Rezidiv aufgrund einer unzureichenden primären Korrektur, so kann mit einer erneuten Durchführung eines priximalen Verfahrens die adäquate Stellung des Metatarsale I hergestellt werden. Liegt die Ursache in einem nach medial abgekippten distalen Gelenkwinkel (DMAA), so erfolgt die Korrektur durch eine retrokapitale Osteotomie mit Reorientierung der Gelenkfläche (z.B. Reverdin-Green-Laird 18). Bei einem Hallux valgus interphalangeus ist eine zusätzliche Akin-Osteotomie (Abb. 20) abhängig von der Ursache des Rezidivs indiziert 20.
  • Transfermetatarsalgie: Aufgrund der Verlängerung des Metatarsale I sind Transfermetatarsalgien eine seltene Komplikation. Die konservative Behandlung umfasst eine Einlagenversorgung mit Unterfütterung des Metatarsale I bei gleichzeitiger Weichbettung der Metatarsale II-IV. Bei Beschwerdepersistenz ist eine Verkürzungsosteotomie der betroffenen Metatarsale möglich 21.

Ergebnisse

Verschiedene Verfahren werden zur Korrektur des Hallux valgus mit hohem Intermetatarsalwinkel empfohlen. Die basisnahe open wedge Osteotomie ist dabei ein etabliertes Verfahren 1, welches durch die Stabilisierung mit einer winkelstabilen Platte zusätzlich an Sicherheit gewinnt. Neben der potenten Korrektur des Intermetatarsalwinkels ist die Kombinierbarkeit mit distalen Verfahren z.B. nach Reverdin Green oder Akin ein weiterer Vorteil 221. Im Gegensatz zur subtraktiven Osteotomie oder zur Lapidus Arthrodese führt die open wedge Osteotmie zu einer leichten Verlängerung und Plantarisierung des Metatarsale I 1. Je weiter dorsal die Stegplatte platziert wird, desto ausgeprägter ist die Korrektur des Metatarsale I nach plantar, was vor alle bei Spreizfußdeformitäten die physiologische Lastaufnahme begünstigt 89. Günstig wirkt sich die Verlängerung des Metatarsale I auch aus, wenn die open wedge Osteotomie mit einer zweiten, distalen Osteotomie am Metatarsale I kombiniert wird. Hier kann die technikimmanente Verkürzung des Metatarsale I durch die distale Osteotomie mit Hilfe der basisnahen Verlängerung ausgeglichen werden 5. Die Reduktion einer klinischen Instabilität des Tarsometatarsale I Gelenks durch eine Verlängerung des Metatarsale I ist mehrfach beschrieben 1423.
Im eigenen Patientengut wurden bei entsprechender Indikation 35 konsekutive Füße mit Hallux valgus und einem Intermetatarsalwinkel von >14° (range 14 – 23°) mit einer proximalen Open wedge-Osteotomie des Metatarsale I behandelt. Die verwendete winkelstabile Platte (Pedus-O, Axomed GmbH) zeichnet sich durch einen Steg aus, welcher sich im Osteotomiespalt verklemmt und gleichzeitig die Stellung sichert.
Das durchschnittliche Alter lag bei 43,7 Jahre (Range: 19-72 Jahre), es wurden 27 Frauen und 8 Männer behandelt. Bei 15 Patienten die Basisosteotomie mit einer Akin-Osteotomie der Grundphalanx kombiniert. Patienten mit Doppelosteotomien am Metatarsale I wurden von der Untersuchung ausgeschlossen.
Entsprechend der präoperativen Planung wurde ein Steg von 2 bis 6 mm Breite gewählt, wobei bei 15 Patienten die Stegbreite von 4 mm eingesetzt wurde. Die Stegbreite von 3 mm kam in 10 Fällen und die Stegbreite von 5 mm in 5 Fällen zur Anwendung. Der Osteotomiespalt wurde locker mit Spongiosa aus der resezierten Pseudoexostose aufgefüllt. Analysiert wurden der postoperative Verlauf und die erzielte Korrektur sowie das klinische und radiologische Ergebnis nach 6 Monaten.
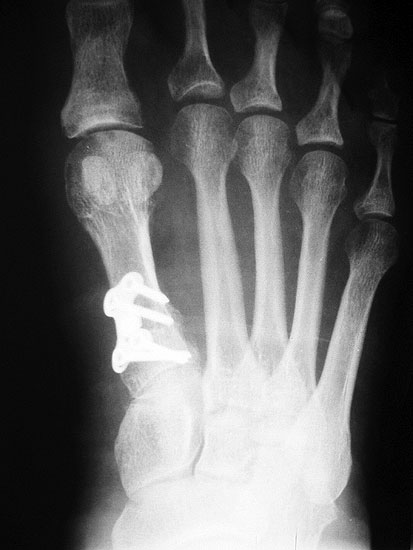
Beim Follow up nach 6 Monaten zeigte sich eine Korrektur des ersten Intermetatarsalwinkels (IMW) um durchschnittlich 9° (Range 4-15°) auf Normwerte (6,8° SD 1,3) (Abb. 21).

Gutes postoperatives Ergebnis mit physiologischem Intermetatarsale I-II Winkel nach open wedge Osteotomie.
Abbildung 21

In zwei Fällen kam es intraoperativ zu einem Bruch der lateralen Kortikalis. In einem Fall konnte durch die winkelstabile Platte eine ausreichende Stabilität erzielt werden, in dem anderen Fall wurde zusätzlich ein perkutaner Kirschnerdraht eingebracht, der nach 6 Wochen entfernt wurde. Eine stabile knöcherne Konsolidierung der Osteotomie ohne Korrekturverlust konnte in beiden Fällen erreicht werden. Die Analyse der Röntgenaufnahmen ergab eine Verlängerung des Os metatarsale I von durchschnittlich 1,8 mm (Range 1-4 mm).
Bei 31 Patienten war nach 6 Wochen die Vollbelastung möglich, in den verbleibenden Fällen nach 8 Wochen. In einem Fall kam es zu einer lokalen Wundheilungsstörung, die mit oraler Antibiotikatherapie und antiseptischen Verbänden behandelt werden konnte. Eine operative Revision war in keinem der Fälle notwendig.
Der AOFAS-Score 24 verbesserte sich von präoperativ 56 auf 88 Punkte beim 6 Monats Follow up. 33 der 35 Patienten waren zu diesem Zeitpunkt beschwerdefrei, 2 Patienten klagten über anhaltende Schmerzen im Großzehengrundgelenk. Die detaillierte Analyse der beiden Fälle zeigte, dass es sich um ältere Patienten mit bereits vorbestehenden degenerativen Veränderungen am Großzehengrundgelenk handelte, welche möglicherweise die Verlängerung des Metatarsale I schlecht tolerieren 1. In diesen Fällen scheinen subtraktive Verfahren bessere Ergebnisse zu liefern, insbesondere wenn durch eine Plantarisierung des Metatarsale I die Verkürzung kompensiert wird 2515.
Es kam zu keinem Implantatversagen und zu keiner Pseudarthrosenbildung. In einem Fall wurde die Platte entfernt, da die Patientin in engen Schuhen über ein Fremdköpergefühl klagte.

Loading…
Loading the web debug toolbar…
Attempt #