Die Fusion des Tarsometatarsale I-Gelenks (TMT-1-Gelenks) ist ein weit verbreitetes Verfahren zu Behandlung des mittleren und schweren Hallux valgus in Verbindung mit einer Pathologie des TMT-1-Gelenks 1. Eine konstitutionelle oder degenerative Instabilität des TMT-1-Gelenks wird als eine wesentliche Ursache für die Entstehung eines Hallux valgus diskutiert 2. Allen bisherigen Verfahren gemeinsam ist die verglichen mit distalen Verfahren hohe Pseudarthroserate von bis zu 20% 345 sowie postoperative Wundheilungsstörungen 678. Verschiedene Osteosyntheseverfahren wurden entwickelt um die Primärstabilität des Verfahrens zu verbessern, einschließlich Fixateur externe und winkelstabiler Platten 910.
Operationsprinzip
Das hier dargestellte OP-Verfahren beschreibt die Osteosynthese mit einer plantar angebrachten winkelstabilen Platte. Die plantare Platte hat bei der Fusion des TMT1-Gelenks mehrere Vorteile. Dies ist einerseits die optimierte Biomechanik. Bei plantarer Plattenanlage entsteht ein Zuggurtungsmechanismus, der bei Belastung zu einer Kompression der Arthrodese führt. Weiterhin wird die Platte vollständig durch den M. abductor hallucis abgedeckt, was postoperative Wundheilungsstörungen reduziert und in den meisten Fällen eine Metallentfernung überflüssig macht.
Vorteile
Biomechanisch optimale Konfiguration der Arthrodese durch einen Zuggurtungsmechanismus.
Hierdurch schnellerer Belastungsaufbau.
Verkürzte Thromboseprophylaxe durch schnelleres Erreichen einer hinreichenden Teilbelastung des Fußes.
Gute Abdeckung der Platte durch den M. abductor hallucis.
Präzise Korrektur auch mittlerer und großer Intermetatarsalwinkel.
Gute Kombinierbarkeit mit distalen Eingriffen wie Reverden-Laird-Green oder Akin Osteotomie zur Korrektur des Gelenkwinkels.
Bei Verwendung von modernen winkelstabilen Implantaten hohe Primärstabilität ohne Korrekturverlust.
Im Vergleich zur dorsalen und medialen Platte, bzw. zur Schraubenosteosynthese höhere Primärstabilität und geringere Pseudarthroserate.
Geringeres Risiko einer iatrogenen Anhebung des Metatarsale I.
Nachteile
Die diskrete Verkürzung des Os metatarsale I kann zu einer reduzierten Kraftentwicklung im M. flexor hallucis longus führen.
Risiko der Entwicklung von Transfermetatarsalgien
Implantatkosten.
Indikationen
Hallux valgus bei instabilem oder degenerativ verändertem TMT 1-Gelenk.
Arthrose isoliert im TMT 1-Gelenk.
Hypermobilität bzw. radiologische Instabilität des TMT 1-Gelenks.
Kontraindikationen
Kurzes Metatarsale I (hier ist im Einzelfall die Interposition deines Knochentransplantares zu überlegen).
Schwere degenerative Veränderungen im Großzehengrundgelenk.
Ausgeprägte periphere Durchblutungsstörungen.
Schlechte Hautverhältnisse.
Lokale Infektion.
Patientenaufklärung
6- 8 Wochen langsohliger Verbandschuh mit steifer Sohle, anschließend weiter, weicher Konfektionsschuh bis die Schwellneigung vollständig abgeklungen ist.
Belastung postoperativ nach Maßgabe der Beschwerden.
Verzögerte Knochenheilung, Pseudarthrose mit der Notwendigkeit einer operativen Revision 11.
Bruch von Platte und/oder Schrauben.
Unverträglichkeit des Materials.
Schwellneigung über mehrere Monate.
Wundheilungsstörungen, Sensibilitätsstörungen und/oder Durchblutungsstörungen, die bis zum Verlust der Zehe führen können.
Kompromittierung oder postoperative Adhäsion der Flexor hallucis longus-Sehne, der Extensor hallucis longus-Sehne und der Abductor hallucis-Sehne.
Tragen von weiten, weichen Konfektionsschuhen in der Regel nach 6-8 Wochen möglich. Eventuell Einlagenversorgung notwendig.
Arbeitsunfähigkeit: Sitzende Tätigkeiten nach 2 Wochen meist möglich, stehende Berufe nach 8-10 Wochen. Berufe mit hoher körperlicher Beanspruchung, evtl. auch der Notwendigkeit von Sicherheitsschuhen bis 12 Wochen.
Bis zur stabilen knöchernen Konsolidierung kann kein Kraftfahrzeug geführt werden (Ausnahme OP links bei Automatik-Fahrzeugen).
Allgemeine Operationsrisiken.
Operationsvorbereitungen
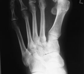
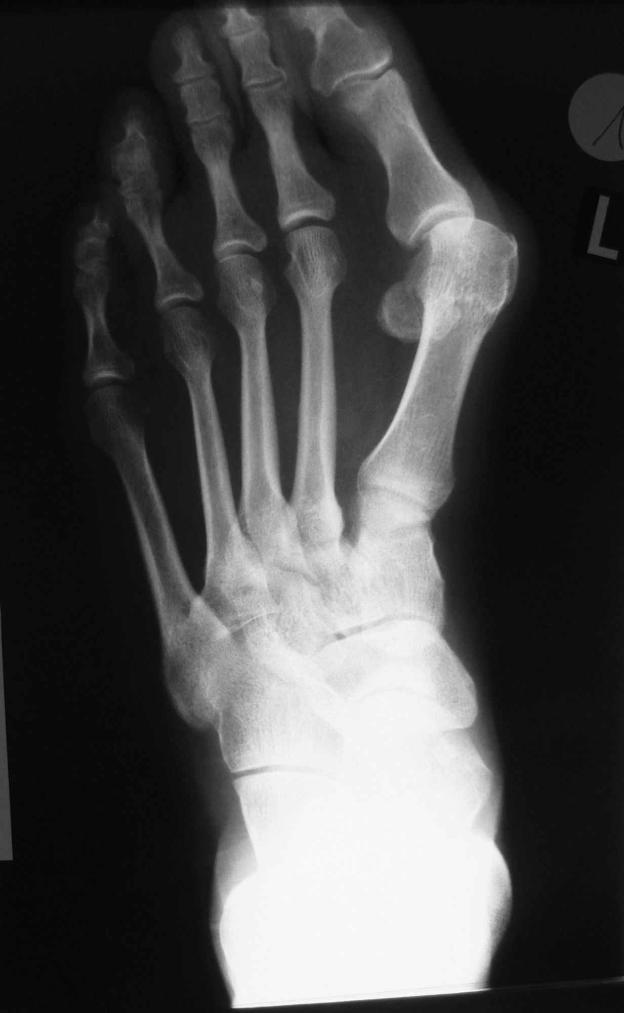
Röntgenaufnahme des Fußes (unter Belastung) in dorsoplantarem, seitlichen und schrägem Strahlengang (Abb. 1a-c).
Beurteilung des ersten Intermetatarsalwinkels (IMA), des Hallux valgus Winkels (HVA), des distalen (Distal Metatarsal Articular Angle, DMAA) und proximalen Gelenkflächenwinkels der Grundphalanx (Proximal Phalangeal Articular Angle, PPAA). Möglicherweise muss die Arthrodese des TMT-1-Gelenks mit weiteren distalen Eingriffen zur Korrektur des Gelenkwinkels kombiniert werden (z.B.: retrokapitale Osteotomie oder Grundphalanxosteotomie).
Dokumentation der Durchblutung des Fußes (Pulse der A. tibialis posterior und der A. dorsalis pedis, ggf. Dopplersonographie, Rekapillarisierungzeit).
Dokumentation der Sensibilität.
Allgemeine Operationsvorbereitung mit Rasur bis zur Mitte des Unterschenkels.
Zur Vollansicht bitte die Bilder anklicken.
Abbildung 1a
Abbildung 1b
Abbildung 1c
Instrumentarium
Fußinstrumentarium.
3,5 bis 4,5 mm durchbohrte Schrauben.
Winkelstabiles Plattensystem.
Bildverstärker.
Anästhesie und Lagerung
Intubationsnarkose, Larynxmaske, spinale Leitungsanästhesie, Fußblock oder Leitungsanästhesie. Beim Fußblock werden im proximalen Knöchelbereich 30 bis 40 ml Ropivacain (Naropin®) um den Nervus peronaeus superficialis, Nervus peronaeus profundus, Nervus suralis, Nervus saphenus sowie Nervus tibialis posterior verabreicht.
Blutleere (350 mm Hg, bzw. 40-100 mmHg über dem systolischen Blutdruck) am Oberschenkel bei spinaler Leistungsanästhesie; bei normaler Leitungsanästhesie oberhalb des oberen Sprunggelenkes (300 mm Hg), ebenso beim Fußblock.
Rückenlage, leichte Kniebeugung über Schaumstoffrolle.
Strahlenschutzmatte ab Mitte Unterschenkel nach proximal für den Patienten.
Operationstechnik (Fotos)
Zum Lesen der Bildbeschreibung und zur Vollansicht bitte die Bilder anklicken.
Abbildung 2
Abbildung 3
Abbildung 4
Abbildung 5
12. Der darunter liegende M. adductor hallucis wird dann sichtbar und wird soweit abgelöst, dass die Großzehe ohne erhebliche Krafteinwirkung in eine Varusstellung von 20° gebracht werden kann 13. Eine vollständige Durchtrennung aller lateralen Bandstrukturen sollte vermieden werden, da ansonsten das Risiko einer Überkorrektur besteht."> 12. Der darunter liegende M. adductor hallucis wird dann sichtbar und wird soweit abgelöst, dass die Großzehe ohne erhebliche Krafteinwirkung in eine Varusstellung von 20° gebracht werden kann 13. Eine vollständige Durchtrennung aller lateralen Bandstrukturen sollte vermieden werden, da ansonsten das Risiko einer Überkorrektur besteht." srcset="/assets/images/d/6-e2vy9aybrjtxx10.jpg 1x, /assets/images/w/6-k8qjgg5jpfk7q5d.jpg 1.5x, /assets/images/g/6-8aqm2mtbz902ftg.jpg 2x" width="270" height="240" loading="lazy">
Abbildung 6
Abbildung 7
Abbildung 8
Abbildung 9
Abbildung 10
OP-Video: Kurzer medioplantarer Zugang und plantare Platte
Besonderheiten
Das Os cuneiforme mediale läuft manchmal nach plantar spitzwinklig zusammen. Dies kann dazu führen, dass Teile der Platte nicht vollständig dem Knochen aufliegen. Bei der Verwendung eines winkelstabilen Implantates im Sinne eines Fixateur interne kann trotzdem eine hohe primäre Stabilität erreicht werden.
Ein medialer Überstand der Platte ist zu vermeiden. Dies kann zu Irritationen im Schuh führen und eine spätere Metallentfernung notwendig machen, die im Normalfall nicht vorgesehen ist.
Postoperative Behandlung
6 Wochen langsohliger „Post-OP Schuh“ oder kurzer Walker mit Belastung nach Maßgabe der Beschwerden. Anleitung des Patienten zur Fersenbelastung (Abb. 11 - Post-OP Schuh - Abbildung folgt in Kürze).
6 Wochen postoperativ Röntgenkontrolle in 4 Ebenen (dorsoplantar, lateral, 45° schräg von medial und lateral). Erscheint die Überbauung noch nicht ausreichend, erfolgt die Mobilisation im „Post-OP-Schuh“ für weitere 2 Wochen mit anschließender erneuter Röntgenkontrolle.
Fehler, Gefahren, Komplikationen
Zu großzügige Resektion der Exostose: Eine Korrektur ist möglich mit einer inversen retrokapitalen Osteotomie, wo durch eine Verschiebung des MT1-Kopfes nach medial eine Deckung der Sesambeine erreicht werden kann.
Tiefe Wundinfektion: Fäden entfernen, Wundabstrich und gezielte Antibiotikabehandlung nach chirurgischem Débridement.
Intraoperative Varusfehlstellung der Großzehe: Bei Überkorrektur des Intermetatarsalwinkels Entfernen der Zugschraube und Korrektur der Resektionsebenen. Bei zu großzügigem lateralen Release kann die laterale Gelenkkapsel mit einem nicht resorbierbarem Faden gerafft werden. Entsprechend spannungsfrei erfolgt der Verschluss der medialen Gelenkkapsel. Im seltenen Fall einer Fehlstellung in der Grundphalanx der Großzehe Korrektur der Achse durch eine Reverse Akin-Osteotomie.
Pseudarthrose: Kommt es innerhalb von 6 Monaten zu keiner knöchernen Durchbauung, ist eine operative Revision indiziert. Ist anhand der normalen Röntgenaufnahmen in 4 Ebenen die Arthrodese nicht sicher zu beurteilen, kann mit Hilfe eines Computertomogramms die Überbauung sicher eingeschätzt werden (Abb. 12). Nach Ausräumung der Pseudarthrose und Spongiosaanlage vom Beckenkamm erfolgt die Reosteosynthese mit einer winkelstabilen Platte. Die Nachbehandlung nach Pseudarthrose umfasst eine 6-wöchige Phase der Entlastung im Castverband. Anschließend Belastungsaufbau nach Röntgenkontrolle. Insgesamt ist die Pseudarthrose eine seltene Komplikation der Arthrodese des TMT 1-Gelenks mit plantarer Osteosynthese.
Zum Lesen der Bildbeschreibung und zur Vollansicht bitte das Bild anklicken.
Abbildung 12
Hallux valgus-Rezidiv: Im Falle eines Rezidivs ist eine umfassende Ursachenanalyse angezeigt. Kommt es zum Rezidiv aufgrund einer unzureichenden primären Korrektur, so kann mit einer erneuten Durchführung eines proximalen Verfahrens die adäquate Stellung des Metatarsale I hergestellt werden. Liegt die Ursache in einem nach medial abgekippten distalen Gelenkwinkel (DMAA), so erfolgt die Korrektur durch eine retrokapitale Osteotomie mit Reorientierung der Gelenkfläche (z.B. Reverdin-Green-Laird 14. Bei einem Hallux valgus interphalangeus ist eine zusätzliche Akin-Osteotomie indiziert.
Transfermetatarsalgie: Aufgrund der Verkürzung des Metatarsale I sind Transfermetatarsalgien eine mögliche Komplikation. Durch die Plantarisierung des Metatarsale I kann in den meisten Fällen eine normale plantare Druckverteilung erreicht werden. Ein Korrekturverlust durch Abweichen des Metatarsale I nach dorsal ist durch die plantare Zuggurtungsosteosynthese seltener als bei anderen Osteosyntheseverfahren. In retrospektiven Studien werden Transfermetatarsalgien mit ca. 4% angegeben 11. Die konservative Behandlung umfasst eine Einlagenversorgung mit Unterfütterung des Metatarsale I bei gleichzeitiger Weichbettung der Metatarsale II-IV. Bei Beschwerdepersistenz ist eine Verkürzungsosteotomie der betroffenen Metatarsale möglich.
Ergebnisse
In einer initialen vergleichenden prospektiven Studie wurden je 20 konsekutive Patienten mit einer dorsalen Platte bzw. einer plantaren Platte zur Fusion des TMT 1-Gelenks versorgt. Verglichen wurden die unerwünschten Ereignisse in beiden Gruppen, welche definiert waren als Wundheilungsstörung, Pseudarthrose und notwendige Metallentfernung. In der Gruppe mit dorsaler Platte wurden 1 Wundheilungsstörung und 2 Pseudarthrosen beobachtet, eine Metallentfernung war bei 3 Patienten notwendig. In der Gruppe mit plantarer Plattenanlage kam es zu keiner Wundheilungsstörung und keiner Pseudarthrose; eine Metallentfernung war bei einem Patienten notwendig.
Die Autoren haben bisher 72 Patienten mit plantarer Plattenosteosynthese über mehr als 1 Jahr prospektiv nachverfolgt. In allen Fällen wurde der Intermetatarsalwinkel durchschnittlich um 11° reduziert, was zu physiologischen Werten von 7,2° (Range: 2-12°) führte.
Es gibt nur wenige prospektive Studien zur Arthrodese des TMT 1-Gelenks 15111617. Coetzee et al. 11 berichten über 104 Patienten bei primärer Fusion des TMT 1-Gelenks in klassischer Schraubentechnik bei einem Hallux valgus-Winkel von mehr als 30° und einem Intermetatarsalwinkel von mehr als 14°. Der AOFAS-Hallux valgus Score (7951968) verbesserte sich von präoperativ 52 auf 87 Punkte beim 3,7 Jahres Follow-up. Die Pseudarthroserate lag bei 7%, die Rezidivrate bei 5% und in 4% wurden Transfermetatarsalgien beobachtet. In 4% kam es zu Wundheilungsproblemen bzw. zur Neurombildung. Patel et al. 18 berichtete in einer retrospektiven Analyse von 227 Patienten über eine Pseudarthroserate von 5,3%. Ist es zu einer Pseudarthrose gekommen, so konnte mit einer Knochenspaninterposition eine Durchbauung in 82% erreicht werden 19.
Zusammenfassend lässt sich festhalten, dass durch die plantare Positionierung des Osteosynthesematerials die grundlegend guten Korrekturmöglichkeiten der Fusion des TMT-1- Gelenks erhalten bleiben, die Raten von unerwünschten Ereignissen aber signifikant gesenkt werden kann.