Der Hallux valgus ist mit einer Prävalenz von 2-4% und einer Bevorzugung des weiblichen Geschlechts die häufigste, klinisch relevante Vorfußfehlstellung 1. Pathogenetisch werden extrinsische (z.B. Schuhwerk) und intrinsische Ursachen (z.B. Veranlagung, Biomechanik) diskutiert 23. Aufgrund der meist unbefriedigenden konservativen Therapieversuche 45 bedarf der symptomatische Hallux valgus in der Regel einer operativen Korrektur. Historisch war die Resektionsarthroplastik (nach Keller und Brandes) des Metatarsophalangealgelenks lange Zeit in sehr breitem Umfang zur operativen Therapie des symptomatischen Hallux valgus verwendet worden 5. Die funktionellen Einbußen dieser „inneren Amputation“ ließ Orthopäden und Chirurgen immer wieder nach gelenkerhaltenden Operationen suchen. Die Operationsverfahren beispielsweise von Hohmann, Ludloff, Reverdin, Roux und Mitchell 67 belegen dies. Aber erst durch die V-förmige retrokapitale Osteotomie des distalen Metatarsale I nach Austin 64889 war eine Methode gefunden worden, die eine hohe Primärstabilität aufwies 106489. Austin hatte dieses Verfahren seit 1962 regelmäßig verwendet aber erst 1981 veröffentlicht 69. Johnson prägte 1979 für diese Operationstechnik den Begriff der Chevron-Osteotomie, gemäß dem V-förmigen Rangabzeichen britischer und amerikanischer Unteroffiziere 648. Das Verfahren erschien technisch nicht sehr kompliziert und somit relativ leicht erlernbar. Das zeigt auch die heute noch weit verbreitete Akzeptanz des Verfahrens zur Korrektur des Hallux valgus 111012131415. Inzwischen sind auch verschiedenste Variationen 142645161718 der ursprünglich V-förmigen Osteotomietechnik mit dem im Zentrum des ersten Metatarsaleköpfchens zusammenlaufendem Winkel der Sägeschnitte von 60° beschrieben 1110121319148209. Neben der von Austin und Leventen verwendeten Methode der manuellen Einstauchung der Fragmente ohne Osteosynthese 10196179 werden in der Literatur inzwischen verschiedenste resorbierbare und nichtresorbierbare Fixationsmethoden der Chevron-Operation zur Erhöhung der Primärstabilität und Erweiterung des Indikationsspektrums erwähnt 11121314481821. Bereits Austin beschrieb eine Kombination seines Verfahrens mit einem Weichteileingriff, der die lateral kontrakten Weichteilstrukturen mit den medialseitigen rebalancieren sollte 199. Der laterale Weichteileingriff ist in der Literatur hinsichtlich Notwendigkeit, chirurgischem Zugang und Umfang nach wie vor ein lebhaft diskutierter Aspekt 111012622. Ebenso ist die Art und Weise der medialen Kapsulotomie und deren Readaptation am Ende der Operation einer großen Varianz unterworfen 1110121314264589. Darüber hinaus kann die Chevron-Osteotomie mit weiteren Osteotomien des ersten Strahls, wie beispielsweise der Akin-Osteotomie, kombiniert werden 2315.
Operationsprinzip und –ziel
Die Chevron-Operation ist ein gelenkerhaltendes Operationsverfahren zur Therapie des symptomatischen Hallux valgus durch medialseitige Korrektur einer Spreizfußdeformität mit einem Metatarsus primus varus 518179. Durch die Lateralverschiebung des distalen Fragments nach V-förmiger Osteotomie des ersten Metatarsale wird der erste Intermetatarsalwinkel als Ursache der Hallux valgus Fehlstellung korrigiert. Dabei wird das erste Metatarsaleköpfchen wieder über den Sesambeinkomplex reponiert 6. Dies gelingt aufgrund der kontrakten Weichteilverhältnissen auf der lateralen Gelenkseite meist erst durch einen lateral lösenden Weichteileingriff. Dieser kann transartikulär 11189 oder über einen gesonderten Zugang von dorsal 10121458 erfolgen. Die genaue Kenntnis der arteriellen Blutversorgung des Metatarsale 1 162425 reduziert hierbei das Risiko einer postoperativen avaskulären Nekrose des MTK 1. Wobei hier anscheinend nicht alle Nekrosen klinisch relevant werden (Hetherington et. al 1994, Coughlin et al. 2007). Medial erfolgt ausgleichend eine Kapselverkleinerung bzw. –raffung. Durch die Achskorrektur des ersten Metatarsale wird aber auch die Zugrichtung insbesondere der langen Streck- und Beugesehnen in Bezug auf das erste Metatarsophalangealgelenk zentriert. Sie wirken somit nicht weiter fehlstellungsverstärkend 5. Sekundär wird so der Hallux valgus Winkel korrigiert. Auch die Zugrichtung des oft nach plantar unter das erste Metatarsale abweichenden und dann pronierend wirkenden Musculus abductor hallucis kann somit rezentriert werden.
Vorteile
Gelenkerhalt
Hohe Primärstabilität
Große knöcherne Kontaktfläche
Geringe Weichteiltraumatisierung und Kompromittierung der Gefäßversorgung bei transartikulärem Release der lateralen Weichteile
Durch entsprechende Ausrichtung der Sägeschnitte multiplanare Korrektur möglich
Technisch einfacher als Basisosteotomien oder Arthrodesen des ersten Tarsometatarsalgelenks
(Schmerzhafte) Bewegungseinschränkung des Großzehengrundgelenks 6
Hallux valgus Fehlstellung auf der Basis einer Pathologie des Tarsometatarsale-1-Gelenks
Infekt
Hautschädigung (z.B. Ulzeration)
Schlechte Knochenqualität
Durchblutungsstörung
Deformitäten mit hohen Intermetatarsalwinkel, die sich durch die alleinige Verschiebung des Metatarsale 1 Köpfchens nicht ausreichend korrigieren lassen
Patientenaufklärung
Verkürzung des Metatarsale 1 möglich mit dem Risiko einer Transfermetatarsalgie
Verlängerung des Metatarsale 1 mit dem Risiko einer Verschlechterung der Beweglichkeit („overstuffing“)
Fortschreiten von degenerativen Veränderungen im Großzehengrundgelenk möglich
Überkorrektur (Hallux varus) mit dem Risiko von Folgeeingriffen
Verletzung oberflächlicher Hautnerven (z.B. N. peroneus superficialis)
Verletzung des Nervus peroneus profundus insbesondere beim lateralem Release über einen Zugang zwischen Metatarsale 1 und 2 von dorsal
Avaskuläre Nekrose des Metatarsale 1 und ggf. resultierender Folgeeingriff (Arthrodese)
Verzögerte Knochenheilung und Pseudarthrose der Osteotomie
Implantatunverträglichkeit oder Metallkonflikt mit der Notwendigkeit einer Metallentfernung
Implantatdislokation
Korrekturverlust
Rezidiv der Valgusfehlstellung
Ggf. notwendige Zusatzeingriffe (z.B. Akin Osteotomie) zur Vervollständigung der Korrektur
Bewegungseinschränkung im Großzehengrundgelenk
Schwellneigung
Schmerzen
Funktion des redressierenden Kramerverbandes
Notwendigkeit der Vorfußentlastung (Spezialschuh, Gehstützen, Fersenbelastung)
Eigenständige aktive Mobilisation
Bei persistierender Schwellung oder Bewegungsstörung Unterstützung der Nachbehandlung durch Lymphdrainagen und Physiotherapie insb. zur Normalisierung des postoperativen Gangbildes
Oberflächlicher Infekt und Wundheilungsstörung
Tiefer Infekt und Osteomyelitis
Thromboembolie-Risiko und leitliniengerechte postoperative Prophylaxe
Operationsvorbereitungen
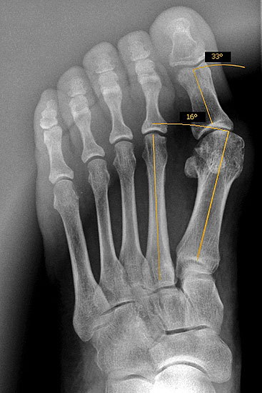
Abbildung 1
Klinische Untersuchung des gesamten Fußes unter Entlastung und Belastung
Beurteilung des Gangbildes
Evtl. Fotodokumentation der Fehlstellung
Röntgenaufnahmen des Fußes d.p., streng seitlich und schräg unter Belastung
Operationsplanung anhand der Röntgenaufnahmen unter Beachtung wichtiger radiologischer Landmarks wie Intermetatarsalwinkel, Hallux valgus – Winkel, Distaler Gelenkflächenwinkel (Distal metatarsal articular angulation: DMAA), Metatarsaleindex und Sesambeinposition (Abbildung 1)
Patientenanleitung (ggf. Merkblatt) folgende präoperative Punkte zu beachten: Fußwaschung, Entfernung von Nagellack und/oder Schmuck, kein Eincremen der Füße vor der Operation
Clipping von Haaren nur, wenn diese ein relevantes Operationshindernis darstellen
Knöchel-, Unterschenkel- oder Oberschenkelblutleere, Desinfektion des Operationsgebietes und Abdeckung
Single shot i.v. Antibiose mit weichteil- und knochengängigem Cephalosporin vor Blutleere bei Narkoseeinleitung
Bildwandler
Instrumentarium
Abbildung 2
Allgemeines Fußinstrumentarium mit Pinzetten, Skalpell(en), Klemmchen, Luer, kleiner Meisel, Seidenschneider, Zange, kleine Langenbeckhaken und Hohmann-Hebel, Präparierschere, kleines Raspatorium und McGlamry Elevator (Abbildung 2)
Säge-/Bohrmaschine mit Kirschnerdrähten von 1,0 bis 1,6 mm
Bipolare Pinzette zur Blutstillung (alternativ monopolare Koagulation)
Osteosynthesematerial und ggf. zugehöriges Implantationsset (z.B. Doppelgewindeschrauben, Gewindekirschnerdrähte, resorbierbare Schrauben) OP Technik im weiteren Implantationsset für bioresorbierbare „BioCompression-Screws“ der Firma Arthrex mit zugehörigen Kirschnerdrähten, kanülierten Bohrern und Gewindeschneidern sowie Implantaten verschiedener Längen)
Verbandmaterial für modifizierten Kramerverband (sterile Kompressen, Polsterwatte, elastische Binde)
Anästhesie und Lagerung
Intubationsnarkose oder Larynxmaskennarkose
Spinalanästhesie, Ischiadicuskatheter oder Fußblock
Blutleere durch Druckmanschette am Oberschenkel (350 mmHg), Unterschenkel oder Knöchel (250 mmHg)
Rückenlagerung ggf. mit Keilkissen unter der Glutealregion
Kleines Kissen oder Bauchtuchbündel unter die Ferse (knapp proximal des Kalkaneus)
Strahlenschutzmatte und Röntgenschürzen optional
Operationstechnik
Abbildung 3
Abbildung 4
Abbildung 5
Abbildung 6
Abbildung 7
Abbildung 8
816. Der Apex des 60° Winkels soll, wie von Austin beschrieben, im Zentrum des ersten Metatarsaleköpfchens (MTK 1) liegen. Liegt der Apex weiter distal, resultiert eine erhöhte Frakturgefahr für das Köpfchen. Weiter proximal verringert sich die spongiöse Kontaktfläche der Osteotomie. Die Sägeebene kann alternativ auch durch einen Kirschnerdraht im Apex der Osteotomie, der bei längenneutraler Ausrichtung senkrecht auf die Achse des zweiten Metatarsale zielt, markiert werden."> 816. Der Apex des 60° Winkels soll, wie von Austin beschrieben, im Zentrum des ersten Metatarsaleköpfchens (MTK 1) liegen. Liegt der Apex weiter distal, resultiert eine erhöhte Frakturgefahr für das Köpfchen. Weiter proximal verringert sich die spongiöse Kontaktfläche der Osteotomie. Die Sägeebene kann alternativ auch durch einen Kirschnerdraht im Apex der Osteotomie, der bei längenneutraler Ausrichtung senkrecht auf die Achse des zweiten Metatarsale zielt, markiert werden." srcset="/assets/images/h/9-ampjy24ne22jbef.jpg 1x, /assets/images/5/9-130tkqcqkn7t759.jpg 1.5x, /assets/images/z/9-5w1jfh92tmfvfgh.jpg 2x" width="270" height="240" loading="lazy">
Abbildung 9
64. Da alleine durch das Sägen ein Längenverlust von ca. 1 mm wird von viele Operateuren bereits in der Standardversorgung eine leichte Plantarisierung angestrebet. Eine weitere Modifikationsmöglichkeit ist die Entnahme eines dorsalen, medial basierten Knochenkeils zur Rotationskorrektur eines pathologischen DMAA 24518."> 64. Da alleine durch das Sägen ein Längenverlust von ca. 1 mm wird von viele Operateuren bereits in der Standardversorgung eine leichte Plantarisierung angestrebet. Eine weitere Modifikationsmöglichkeit ist die Entnahme eines dorsalen, medial basierten Knochenkeils zur Rotationskorrektur eines pathologischen DMAA 24518." srcset="/assets/images/5/10-ecmcsay69ypb1s4.jpg 1x, /assets/images/r/10-yme1x785wfzs0hn.jpg 1.5x, /assets/images/q/10-t3jy1391efs44rh.jpg 2x" width="270" height="240" loading="lazy">
Abbildung 10
Abbildung 11
1468. Diese Faustregel gilt nur bei strikt lateraler Verschiebung. Bei gleichzeitiger Plantarisierung ergibt sich eine geringere Winkelkorrektur 616."> 1468. Diese Faustregel gilt nur bei strikt lateraler Verschiebung. Bei gleichzeitiger Plantarisierung ergibt sich eine geringere Winkelkorrektur 616." srcset="/assets/images/4/12-ftxkb1as6d7q7y1.jpg 1x, /assets/images/3/12-w4tg57723hy5bxg.jpg 1.5x, /assets/images/p/12-mewkmw04vmcnqkc.jpg 2x" width="270" height="240" loading="lazy">
Abbildung 12
Abbildung 13
Abbildung 14
Abbildung 15
Abbildung 16
Abbildung 17
Abbildung 18
Abbildung 19
Abbildung 20
Abbildung 21
Abbildung 22
Abbildung 23
Abbildung 24
OP-Video
Besonderheiten (optional)
Abbildung 25
Abbildung 26
Postoperative Behandlung
Vorfußentlastungsschuh (mit schmerzadaptierter Fersenbelastung) und modifizierter Kramerverband für 6 Wochen
Antiphlogistika und Analgetika nach Bedarf
Postoperative Hochlagerung und Eisauflage
Thromboembolieprophylaxe gemäß Leitlinien bis zur vollen Fersenbelastung im Entlastungsschuh und ausreichend aktivem Bewegungsumfang im OSG
Vollbelastung (Gehen) im bequemen Konfektionsschuh nach der 6. postoperativen Woche
Röntgenkontrollen (Vorfuß in zwei Ebenen) postoperativ und ggf. nach zwei Wochen jeweils ohne Belastung. Abschlusskontrolle zur Dokumentation der knöchernen Konsolidierung nach sechs Wochen unter voller Belastung.
Postoperativ passive, bei zunehmend Wundheilung auch aktive Beübung des Großzehengrundgelenks in Extension und Flexion
Lymphdrainagen ab dem 1. bis 2. postoperativen Tag in Abhängigkeit von der Schwellneigung
Walking, Radfahren, Schwimmen und andere Sportarten ohne Stauchungsbelastung („Impact“) nach 6 Wochen
In Abhängigkeit von der Koordinationsfähigkeit Verordnung von Krankengymnastik zur Gangbildschulung nach der 6. postoperativen Woche 26
Vollständige Sportfreigabe nach 12 Wochen
Arbeitsunfähigkeit in Abhängigkeit vom Berufsbild
Fehler, Gefahren, Komplikationen
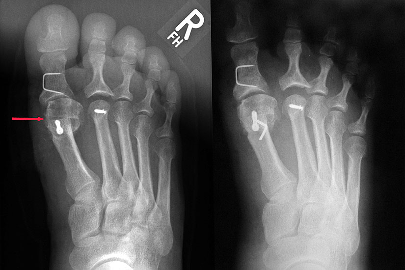
Abbildung 27
Rezidiv durch Unterkorrektur oder unzureichende laterale Entspannung der kontrakten Weichteile 101314489.
Unterkorrektur bei falscher Indikationsstellung 8.
Überkorrektur (Hallux varus). Das Risiko für die Entwicklung eines Hallux varus steigt insbesondere an bei zu aggressivem lateralen Release, zu starker knöcherner Korrektur, zu ausgedehnter Resektion der Pseudoexostose, ggf. mit Entfernung der medialen Gleitrinne, zu starker Kapselraffung oder zu starker Zügelung durch den postoperativen Verband 19144.
Transfermetatarsalgie mit Überlastung von Metatarsale 2 und 3, insbesondere bei Verkürzung des Metatarsale 1 ohne ausreichende Plantarisierung 149.
Bewegungseinschränkung im Großzehengrundgelenk. Das Risiko besteht insbesondere bei Verlängerung des Metatarsale 1 mit Drucksteigerung im Gelenk („overstuffing“) oder bei zu straffer Kapselnaht 10121989.
Fortschreiten von degenerativen Veränderungen bis hin zur Arthroseentwicklung.
Verzögerte Knochenheilung oder Pseudarthrose (höheres Risiko bei Rauchern) 1014.
Avaskuläre Nekrose des ersten Metatarsaleköpfchens. Das Risiko wird erhöht durch ausgedehnte Ablösung der Weichteile, z.B. durch ein aggressives laterales Release 101213144162425.
Weichteilirritation durch Implantate. Am häufigsten bei Kirschnerdrähten 128.
Materialunverträglichkeit (präoperative Abfrage von Allergien)
Dislokation des MTK 1 bei zu starker Verschiebung oder/und unzureichender Osteosynthese. Am häufigsten scheint die laterale Verkippung des MTK 1 aufzutreten 19146. Abbildung 27 zeigt eine solche Komplikation am 2. postoperativen Tag. Es folgte die sofortige Revision, mit Schluss der Osteotomie, Austausch der Schraube und Rotationssicherung über einen zusätzlichen Draht.
Ergebnisse
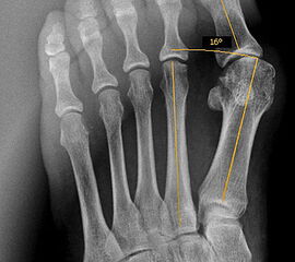
Die Chevron Osteotomie ist eine der weltweit am häufigsten angewandten Verfahren zur Korrektur einer milden bis mittelgradigen Valgusfehlstellung der Großzehe 1110121319148. Die zahlreichen Publikationen berichten über relativ verlässlich gute und reproduzierbare Ergebnisse. Durch Modifikationen in der Operationstechnik versuchten einige Autoren den Indikationsbereich auf mittelgradige bis schwerwiegende Fehlstellungen auszuweiten 121314. Die Bestimmung des Schweregrades der Fehlstellung erfolgt in erster Linie am belasteten Röntgenbild im dorsoplantaren Stahlengang (siehe Abbildung 1). An dieser Aufnahme können die wichtigsten radiologischen Vermessungen zur Operationsplanung vollzogen werden 112310121312728172930, auch wenn in einigen Studien eine große inter- und intraindividuelle Schwankungsbreite der Messergebisse dargestellt werden konnte 2930. Ebenso zeigt sich eine gewisse Varianz in der Methodik zur Bestimmung des ersten Intermetatarsalwinkels 18282931. Als Grenzwerte für einen milden bis mittelgradigen Hallux valgus werden in der Literatur in relativ weiter Übereinstimmung ein Intermetatarsalwinkel bis maximal 16° und ein Hallux valgus Winkel bis 40° genannt 688. Der DMAA ist radiologisch schwierig zu beurteilen und sollte intraoperativ bei Gelenkeröffnung inspektorisch überprüft werden 2. 2007 verglichen Trnka et al. (2007) die Ergebnisse von vier verschiedenen Nachuntersuchungsgruppen, die sich durch Modifikationen der OP Technik unterschieden: 66 Chevron Operationen von 1991 bis 1992, 100 Chevron Operationen von 1992 bis 1995, 55 Chevron Operationen von 1994 bis 1995 und 89 Chevron Operationen von 2000 bis 2002. So wurde der dorsomediale Zugang 1992 durch einen streng medialen Zugang mit L-förmiger Kapsulotomie ersetzt. 1992 wurde das laterale Release über einen dorsalen Zugang eingeführt mit Perforation der lateralen Kapsel längs zwischen Metatarsale 1 und fibularem Sesambein, sowie vertikal im Verlauf der Gelenklinie ohne Ablösung des Adduktors oder Durchtrennung des intermetatarsalen Bandes. Zwischen 1994 und 2000 wurde eine temporäre Fixation mit einem Kirschnerdraht durchgeführt. Seit 2000 wird die Osteotomie mit einer kanülierten Kompressionsschraube fixiert. Insbesondere die Einführung des lateralen Release führte zu einer signifikanten Verbesserung des Hallux valgus- und Intermetatarsalwinkels, ohne vermehrt Probleme mit einer avaskulären Nekrose des MTK 1 zu bekommen. Die Einführung einer Osteosynthese mittels Kirschnerdraht zeigte im follow up nach 34 Monaten gegenüber der lediglich manuellen Einstauchung des distalen Fragments, wie in der Originalarbeit von Austin beschrieben, eine geringere Rate an Korrekturverlusten und Dislokationen des ersten Metatarsaleköpfchens. Durch die Verwendung einer Schraube konnte das Indikationsspektrum hinsichtlich Schweregrad des Hallux valgus erweitert werden. Der Vergleich einer 2-Jahres- und eines 5-Jahres-Nachuntersuchung zeigte gegenüber der präoperativen Untersuchung eine Verbesserung des IM-Winkels von 13° auf 8° respektive 9°. Der HV-Winkel konnte von durchschnittlich 29° auf 15° respektive 16° reduziert werden. Ergebnisse, welche auch die langfristige Zuverlässigkeit der Chevron-Osteotomie in der Behandlung des milden bis mittelgradigen Hallux valgus belegen.
Weitere Literatur
Chadchavalpanichaya N, Chueluecha C. Effectiveness of hallux valgus strap: a prospective, randomized single-blinded controlled trial. Siriraj Med J 63: 42-46, 2011
Corte-Real N, Silva JV, Pereira E, Caramelo J. “Chevron” osteotomy fixed with biodegradable screws in the treatment of Hallux valgus. Foot Ankle Surg 4: 87-91, 1998
Coughlin MJ, Mann RA. Hallux Valgus. In Coughlin MJ, Mann RA, Saltzman CL (eds). Surgery of the foot and ankle. 8th edition. Philadelphia: Mosby, 2007
Dohle J: Pathoanatomie des Vorfußes. In Sabo D (ed). Vorfußchirurgie, 2nd edition. Berlin: Springer, 2012
Hetherington VJ. Austin procedure and modified Austin procedures. In Hetherington VJ (ed). Hallux valgus and forefoot surgery. New York: Churchill Livingstone, 1994
Hohmann G: Hallux valgus und Spreizfuß. In Hohmann G (ed). Fuss und Bein, ihre Erkrankungen und deren Behandlung, 5th edition, München, Bergmann, 1951
Laporta DM, Melillo TV, Hetherington VJ. Preoperative assessment in hallux valgus. In Hetherington VJ (ed). Hallux valgus and forefoot surgery. New York: Churchill Livingstone, 1994
Piggott H. The natural history of hallux valgus in adolescence and early adult life. J Bone Joint Surg (Br) 42 (4): 749-760, 1960
Redfern DJ, Bendall SP. Bunion surgery: can capsular closure influence range of motion? Foot Ankle Surg 9: 205-207, 2003
Snyder AJ, Hetherington VJ. Overview of distal first metatarsal osteotomies. In Hetherington VJ (ed). Hallux valgus and forefoot surgery. New York: Churchill Livingstone, 1994
Trnka HJ, Hofstätter S. The chevron osteotomy for correction of hallux valgus. Interact Surg 2: 52-61, 2007
Waldecker U. Lateral release in hallux valgus surgery: comparison of two approaches. Foot Ankle Surg 10:195-199, 2004
Walther M. Bildgebung. In Sabo D (ed). Vorfußchirurgie, 2nd edition. Berlin: Springer, 2012