Vorbemerkungen

Hallux valgus Operationen gehören zu den am häufigst durchgeführten orthopädischen Eingriffen. Mit dem zunehmenden Wissen um die zugrundeliegenden pathologischen Mechanismen, kann die Anatomie der Fehlstellung präoperativ sehr genau definiert und dadurch eine präzise Planung der notwendigen Korrektur vorgenommen werden. Meistens besteht eine Fehlstellung zwischen dem ersten Metatarsalknochens und der Grundphalanx (HVA; Abb. 3a), welche häufig mit einem erhöhten Winkel zwischen Metatarsale 1 und 2 einhergeht (IMA; Abb. 3a). Seltener besteht eine Hallux valgus Fehlstellung aufgrund einer fehlgestellten distalen Gelenksfläche des Metatarsalknochens (DMAA; Abb. 3b). Die valgische Deformität der Grundphalanx mit veränderten Gelenksflächenwinkeln wird als Hallux valgus interphalangeus bezeichnet (PPAA, DPAA; Abb. 3 c-d). Die Fehlstellung wird normalerweise am Ort der Fehlstellung korrigiert. Im Rahmen der Hallux valgus Korrektur wird bei bis zu 50% der Patienten zusätzlich zur Metatarsale-Osteotomie eine Akin-Osteotomie angeschlossen 12. Eine isolierte Akin-Osteotomie ist nur in der Minderzahl der Fälle das Operationsverfahren der Wahl.
Als seltene Indikationsstellung kann auch eine andere Fehlstellung der Grundphalanx oder eine arthrotische Veränderung des Großzehengrundgelenkes 3 angesehen werden. Dabei wird eine Akinosteotomie mit dorsalbasigem Keil 4 oder eine Verkürzungsosteotomie der Grundphalanx durchgeführt.

Operationsprinzip und –ziel

In der hier dargestellten Operationsmethode wird eine zuklappende Osteotomie-Technik (closing wedge) präsentiert, die durch die Verwendung einer Doppelgewindeschraube zu einer guten Kompression des Osteotomiespalts führt. Durch das Kopfgewinde kann die Schraube ohne Überstand bis ans Knochenniveau versenkt werden. Dadurch ist eine Metallentfernung in der Regel nicht notwendig.

Vorteile

  • Gute Kompression der Osteotomie durch Verwendung einer Doppelgewindeschraube.
  • Dadurch hohe Primärstabilität (sofern die laterale Corticalis nicht durchtrennt wird, besteht auch eine Rotationsstabilität trotz der Verwendung von nur einer Schraube).
  • Gute Versenkbarkeit der Schraube im Knochenniveau mit vernachlässigbarer Morbidität durch das liegende Implantat.
  • Sehr schnelle Mobilisierbarkeit der Patienten im Verbandssandalen durch hohe Stabilität.
  • Sofortige aktive und passive Mobilisierbarkeit des Großzehengrundgelenkes ist durch die hohe Primärstabilität möglich.
  • Bei intraoperativ festgestellter Überkorrektur gute, einfache und v.a. stufenlose Korrekturmöglichkeit durch „stufenloses“ Rückdrehen der Doppelgewinde-Schraube bei unverändert weiter bestehender hoher Stabilität.
  • Hohes Korrekturpotential auch bei sehr großen Fehlstellungswinkeln.
  • Durch Abänderung der Osteotomie-Richtung Möglichkeit der Korrektur auch in anderen Ebenen.
  • Ohne Keilentnahme auch als verlängernde Technik im Sinne einer opening wedge Osteotomie möglich (bei Korrektur eines Hallux valgus interphalangeus Schnittführung jedoch von lateral).
  • Durch dorsalbasige Keil-Entnahme oder überhaupt Entnahme einer Knochenscheibe Möglichkeit zur Behandlung einer schmerzhaften Arthrose des GZGG (generell durch diese verkürzende oder zugleich korrigierende closing-wedge-Osteotomie verbesserte Beweglichkeit, v.a. was die Dorsalextension betrifft).

Nachteile

  • Verkürzung der Grundphalanx durch closing wedge Manöver
  • Kraftverlust der Flexor hallucis longus Sehne durch diese Verkürzung.
  • Implantatkosten.
  • Gefahr der Fraktur bzw. Durchtrennung der lateralen Corticalis mit Verlust der Stabilität.

Indikationen

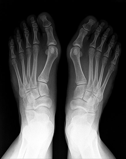
  • Hallux valgus interphalangeus (Abb.1, Abb.2)
  • Unzureichende Korrektur einer Hallux valgus Deformität nach metatarsaler Osteotomie
  • Korrektur anderer Großzehendeformitäten (Flexion, Extension, Hyperpronation, Hallux varus interphalangeus)
  • Hallux rigidus (dorsalbasiger Keil zur Verbesserung der Dorsalextensionsfähigkeit, Verkürzungsosteotomie)

Kontraindikationen

  • Schwere degenerative Veränderungen im Großzehengrundgelenk
  • Ausgeprägte periphere Durchblutungsstörungen
  • Schlechte Hautverhältnisse
  • Lokale Infektion

Patientenaufklärung

  • 6- 8 Wochen langsohliger Verbandschuh mit steifer Sohle, anschließend weiter, weicher Konfektionsschuh bis die Schwellneigung vollständig abgeklungen ist.
  • Belastung postoperativ nach Maßgabe der Beschwerden.
  • Rezidivfehlstellung, Rezidivrisiko unter 5 % .
  • Überkorrektur, Hallux varus, andere Fehlstellung der Großzehe.
  • Bewegungsstörung im Großzehengrundgelenk.
  • Schwäche oder Verletzung des langen Beugers der Großzehe.
  • Verzögerte Knochenheilung, Pseudarthrose mit der Notwendigkeit einer operativen Revision.
  • Bruch der Schraube.
  • Unverträglichkeit des Materials mit folgender Materialentfernung.
  • Schwellneigung über mehrere Monate.
  • Morbus Sudeck.
  • Fraktur der Grundphalanx.
  • Wundheilungsstörungen, Sensibilitätsstörungen und/oder Durchblutungsstörungen, die bis zum Verlust der Zehe führen können.
  • Kompromittierung oder postoperative Adhäsion der Flexor hallucis longus-Sehne.
  • Tragen von weiten, weichen Konfektionsschuhen in der Regel nach 6-8 Wochen möglich. Eventuell Einlagenversorgung notwendig.
  • Arbeitsunfähigkeit: Sitzende Tätigkeiten nach 2 Wochen meist möglich, stehende Berufe nach 8-10 Wochen. Berufe mit hoher körperlicher Beanspruchung, evtl. auch der Notwendigkeit von Sicherheitsschuhen bis 12 Wochen.
  • Bis zur stabilen knöchernen Konsolidierung kann kein Kraftfahrzeug gelenkt werden (Ausnahme OP links bei Automatik-Fahrzeugen).
  • Allgemeine Operationsrisiken.

Operationsvorbereitungen

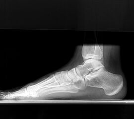
  • Röntgenaufnahme des Fußes (unter Belastung) in dorsoplantarem und seitlichen Strahlengang (Abb. 2a-b).
  • Beurteilung des proximalen Gelenkflächenwinkels der Grundphalanx (Proximal Phalangeal Articular Angle, PPAA) sowie des distalen Gelenkflächenwinkels der Grundphalanx (Distal Phalangeal Articular Angle, DPAA) 56 (Abb. 3c und 3d).
  • Bestimmung des ersten Intermetatarsalwinkels (IMA, Abb. 3a), des Hallux valgus Winkels (HVA, Abb. 3a), des distalen metatarsalen Gelenskflächenwinkels (Distal Metatarsal Articular Angle, DMAA, Abb. 3b) 7. Möglicherweise muss die Akin-Osteotomie mit weiteren Eingriffen kombiniert werden (z.B.: retrokapitale Osteotomie oder andere metatarsale Osteotomie; Arthrodese).
  • Dokumentation der Durchblutung des Fußes (Pulse der A. tibialis posterior und der A. dorsalis pedis, ggf. Dopplersonographie, Rekapillarisierungzeit).
  • Dokumentation der Sensibilität.
  • Allgemeine Operationsvorbereitung mit Rasur bis zur Mitte des Unterschenkels.
  • Eventuell präoperative Fotodokumentation.

Instrumentarium

  • Fußinstrumentarium.
  • kanülierte 2,5mm oder 3,0mm Doppelgewinde-Schrauben (2 unterschiedliche Gewindesteigungen).
  • Eventuell Bildverstärker

Anästhesie und Lagerung

  • Intubationsnarkose, Larynxmaske, spinale Leitungsanästhesie, Fußblock (95 %) oder Leitungsanästhesie. Beim Fußblock werden im proximalen Knöchelbereich 20 bis 25 ml eines Gemisches (1:1) aus Bupivacain (Bucain 0,5%®) und Lidocain (Xylanest purum 2 %®) um den Nervus peronaeus superficialis, Nervus peronaeus profundus, Nervus suralis, Nervus saphenus sowie Nervus tibialis posterior verabreicht.
  • Blutleere direkt oberhalb des oberen Sprunggelenkes (250 - 280 mm Hg)
  • Rückenlage, leichte Kniebeugung über Schaumstoffrolle
  • Strahlenschutzmatte bei Verwendung eines Bildwandlers

Operationstechnik (Text und Fotos)

Zum Lesen der Bildbeschreibung und zur Großansicht bitte die Bilder anklicken.

OP-Video

Besonderheiten

Zum Lesen der Bildbeschreibung und zur Großansicht bitte die Bilder anklicken.

Alternative Fixierung ohne Schraubenmaterial

Sollte auf den Einsatz von Schraubenmaterial verzichtet werden wollen, besteht die Möglichkeit, eine Fadenosteosynthese durchzuführen.

Postoperative Behandlung

  • 6 Wochen langsohliger „Post-OP Schuh“ (Hallux Schuh) mit Belastung nach Maßgabe der Beschwerden.
  • 6 Wochen postoperativ Röntgenkontrolle in 2 Ebenen (dorsoplantar, lateral). Erscheint die Überbauung noch nicht ausreichend, erfolgt die Mobilisation im „Post-OP-Schuh“ für weitere 2-6 Wochen mit anschließender erneuter Röntgenkontrolle.
  • Sportbeginn frühestens nach 6 Wochen bzw. bis 12 Wochen bei Lauf- und Kontaktsportarten.
  • Arbeitsunfähigkeit berufsabhängig.
  • Das Lenken eines PKW ist durch den Verbandsschuh für 6 Wochen nicht möglich.

Fehler, Gefahren, Komplikationen

  • Überkorrektur 8: Eine Korrektur ist möglich, indem der Schraubenzug durch Rückdrehen verringert wird. Durch das Doppelgewinde besteht weiterhin eine unverändert hohe Stabilität.
  • Instabilität oder Korrekturverlust nach Setzen der Schraube. Sitzt die Schraube nicht bicortical oder besteht eine sehr schlechte Knochenqualität, besteht eine zu geringe Kompressionswirkung. Ursächlich ist oft eine zu flach gewählte Schraubenrichtung (diese sollte in etwa rechtwinkelig auf den Osteotomiespalt zu liegen kommen).
  • Tiefe Wundinfektion: Fäden entfernen, Wundabstrich und gezielte Antibiotikabehandlung nach chirurgischem Débridement. Eventuell Schraubentausch.
  • Perforation oder Frakturierung der lateralen Corticalis. Dadurch besteht eine Rotationsinstabilität: Die Behebung erfolgt durch Setzen einer zweiten Stabilisierung (Schraube, K-Draht, Klammer).
  • Sehr selten Pseudarthrose 9: Kommt es innerhalb von 6 Monaten anhand der normalen Röntgenaufnahmen in 2 Ebenen zu keiner sicheren knöchernen Durchbauung, ist ein Computertomographie zur Beurteilung der Knochenstabilität indiziert. Bestätigt sich diese, muss bei entsprechender Beschwerdesymptomatik eine operative Revision erfolgen. Nach Ausräumung der Pseudarthrose und Spongiosaanlagerung vom lateralen dorsalen Calcaneus oder Beckenkamm erfolgt die Reosteosynthese neuerlich mit einer Schraube oder einer Klammer. Die Nachbehandlung nach Pseudarthrosenrevision erfolgt identisch wie beim Primäreingriff.
  • Hallux valgus-interphalangeus-Rezidiv: Meistens wurde der Keil zu klein gewählt oder es ist durch ein Versagen des Kompressionsmechanismus (schlechter Schraubensitz, schlechte Knochenqualität) zu einer Rezidivfehlstellung gekommen. Nach erfolgter knöcherner Konsolidierung ist eine neuerliche Korrektur mittels Reosteotomie möglich. In jedem Falle muss eine genaue radiologische Analyse zur optimalen Planung der Korrektur und Auswahl des Osteosynthesematerials erfolgen.
  • Fehlstellung der Grundphalanx: Bei Abweichen des Sägeblattes aus der gewünschten Osteotomie-Richtung kann eine Fehlstellung durch die veränderte Keilrichtung resultieren. Eine Korrektur ist entweder intraoperativ durch Veränderung der Schraubenposition nach deren Zurückdrehen möglich oder sekundär durch eine Reosteotomie nach erfolgter Konsolidierung.
  • Sehnenverletzung des M. flexor hallucis longus: Da die lange Beugesehne der großen Zehe in einem „Sulcus“ der Grundphalanx verläuft (siehe Abbildung Nr. 15a und b), kann es bei der Osteotomie zu einer Verletzung derselbigen kommen, wenn sie unzureichend durch einen Hohmann-Hebel geschützt wird. Sie sollte unbedingt rekonstruiert werden, da der Kraftverlust der Großzehenbeugesehne beim Gehen sehr störend wirkt.
  • Nervenverletzung der kutanen Hautäste: Die verletzten Nervenäste sollten denaturiert bzw. koaguliert werden, um einer schmerzhaften Neurom-Bildung vorzubeugen.

Ergebnisse

In der gängigen Literatur werden mittels der Akin-Osteotomie reproduzierbar gute Resultate erzielt. In mehreren mittel- und langfristigen Analysen wird (meistens anhand des AOFAS-Scores mit 87 bis 89 Punkten) in 90% über gute bis sehr gute Ergebnisse berichtet 910. Die guten Resultate waren unabhängig davon, ob zusätzlich metatarsale Osteotomien durchgeführt wurden 1112.

Bei der Hallux-valgus-Korrektur wird über eine zusätzliche Akin-Osteotomie zur Metatarsale-Osteotomie in bis zu 50% berichtet 12. In einer vergleichenden Studie bei moderater Hallux Valgusfehlstellung wurden 72 Patienten entweder mittels isolierter Chevronosteotomie bzw. kombinierter Chevron- und Akinosteotomie behandelt. Die Ergebnisse beider Gruppen waren vergleichbar, wobei in der Gruppe mit dem kombinierten Verfahren eine Tendenz zu einem etwas besserem Outcome festgestellt werden konnte 11. Im Zweifelsfalle sollte daher zusätzlich zur Korrektur des Intermetatarsalwinkels eine Akinosteotomie durchgeführt werden, zumal das klinische Ergebnis trotz Doppelosteotomie sogar tendenziell besser ist.

Komplikationen im Sinne von Pseudarthrosen (unter 1%) 9, Materialüberstand (bis zu 5% je nach Fixationstechnik) 13 und Überkorrektur (unter 1%) 14 treten sehr selten auf. Am häufigsten wurde in einer Studie über eine vermehrte Plantarangulation der Grundphalanx in 20% der Fälle berichtet 9. Es gibt eine große Anzahl unterschiedlicher Fixationstechniken, die alle ähnlich gute Ergebnisse mit vergleichbarer Konsolidierungsrate liefern. In einer biomechanischen Vergleichsstudie 15 zeigte lediglich die Fixierung der Osteotomie mittels zweier Kirschnerdrähte am Kunstknochen eine signifikant höhere Stabilität im Vergleich zur Fixation mittels winkelstabiler Platte, bikortikale gesetzter Minifragmentschraube, Memory staple oder monofiler Fadenosteosynthese. Angesichts der Pseudarthrosenrate von unter 1 % erscheint der Vorteil von gekreuzten Kirschnerdrähten gering, insbesondere der theoretische Vorteil der Stabilität durch eine signifikant höhere Rate an Irritationen durch das liegende Metall erkauft wird.

An unserer Abteilung wurden in den vergangenen 7 Jahren 136 zuklappende Akin-Osteotomien durchgeführt. Bei 82 davon wurde die Kompressionsschraubentechnik angewendet, bei den anderen 54 die Technik der Fadenosteosynthese. Eine Metallentfernung wurde nur in einem Fall nach 11 Monaten vorgenommen, eine Pseudarthrose trat bei keinem Patienten auf, eine verzögerte Knochenheilung (Osteotomiespalt nach 7 Monaten immer noch gut sichtbar) in einem Fall. In drei Fällen trat ein Rezidiv der Fehlstellung aufgrund einer Unterkorrektur auf, eine Überkorrektur trat in keinem unserer Fälle auf. Damit decken sich unsere Ergebnisse mit den Berichten aus der Literatur.

Zusammenfassend lässt sich festhalten, dass die Akinosteotomie eine sehr sichere Technik mit niedrigem Komplikationsrisiko ist, die zu guten Ergebnissen führt, sowohl bei der isolierten Korrektur des Hallux valgus interphalangeus als auch als Zusatzeingriff bei Hallux valgus Eingriffen.

Loading…
Loading the web debug toolbar…
Attempt #