Vorbemerkungen

Vor jeder Operation bei Arthrose am Großzehengrundgelenk sollten die konservativen Maßnahmen ausgeschöpft worden sein, da keiner der operativen Eingriffe die Arthrose rückgängig machen kann.
Eine erste Maßnahme ist meist die Spreizfußeinlage mit retrokapitaler Abstützung aus verschiedenen elastischen Materialien. Diese kann mit einer Rigidusfeder aus Metall oder Carbon kombiniert werden und führt oft schon zu einer sehr guten Schmerzreduktion 1.
Um die fehlende Dorsalextension zu kompensieren kann am Schuh selbst eine vordere Abrollhilfe an der Sohle befestigt werden. Diese vermindert den Bodendruck auf das Großzehengrundgelenk (Baumgartner 2013).
Günstig kann auch eine Schuhbodenversteifung bis zur Schuhspitze sein, da so auch das Gelenk entlastet wird; der Fuß aber seine funktionelle Lage behält 23.
Abschließend sei noch auf die lokale antiphlogistische Behandlung  oder auch die lokale Infiltration mit einem Lokalanästhetikum oder Hyaluronsäure, hingewiesen 45.
In der Regel können die konservativen Maßnahmen den zu weit fortgeschrittenen Prozess nicht aufhalten sondern nur verlangsamen und die Schmerzen lindern, sodass es häufig dann zur Operation kommt 6.

Operationsprinzip und –ziel

Keller (1904) und Brandes (1929) beschrieben in ihren ersten Arbeiten eine 2/3 Resektion des Grundgliedes der Großzehe. Max Lange empfiehlt 20 Jahre später (1949) die Resektion von etwas mehr als der Hälfte der Grundphalanx.
Ziel der Operation heute  ist, durch Resektion von mindestens einem Drittel des Großzehengrundgliedes und Interposition eines distal gestielten Kapselweichteillappens ein schmerzfreies und bewegliches  Abrollen im Großzehengrundgelenk zu ermöglichen.
Bei der Operation nach Keller-Brandes lässt sich eine Druckentlastung des Großzehengrundgelenks erzielen, nachteilig ist der Verlust des Ansatzes des M. flexor hallucis brevis.

Vorteile

  • Kurze Operationszeit.
  • Schneller Belastungsaufbau.
  • Nachbehandlung auch für geriatrische und gehbehinderte Patienten unproblematisch.
  • Nur wenige Tage Notwendigkeit einer Thromboseprophylaxe.
  • Gute Langzeitergebnisse 7.

Nachteile

  • Die Verkürzung der Großzehe kann zu einer reduzierten Kraftentwicklung im M.flexor hallucis longus führen, dadurch schwacher Zehenabdruck 8.
  • Verkürzung kosmetisch nicht immer zufriedenstellend 9.
  • Risiko der Entwicklung einer Transfermetatarsalgie 10.
  • In Extremfällen Standunsicherheit.

Indikationen

  • Verschmälerung des Gelenkspaltes und Hypertrophie des subartikulären Knochens mit Sklerosierung mit schmerzhafter Dorsalextension (Grad III und IV Arhrose des Großzehengrundgelenks).
  • Ummauerung mit aufgehobener Beweglichkeit.
  • Bei Kontraindikation für eine Arthrodese am Großzehengrundgelenk, z.B. gleichzeitige Arthrose bzw. Bewegungsstörung am Interphalangealgelenk.
  • Ältere oder wenig aktive Patienten.
  • Patientin die sich eine längere Ruhigstellung nicht erlauben können.

Kontraindikationen

  • Durchblutungsstörungen im Vorfuß.
  • Schlechte Hautverhältnisse.
  • Lokale Infektion.
  • Hohe funktionelle Erwartung.
  • Hallux valgus Fehlstellung ohne degenerative Veränderungen des Großzehengrundgelenks.

Patientenaufklärung

  • 2 Wochen Vorfußentlastungsschuh, anschließend weiter, weicher Konfektionsschuh.
  • K-Draht-Entfernung nach 10-12 Tagen ambulant.
  • 3 Monate Schienung der Großzehe (Toe-splint).
  • Rezidivgefahr.
  • Transfermetatarsalgie und Schwellneigung über Monate.
  • Wundheilungsstörungen.
  • Spätere Spreizfußeinlagenversorgung (Abdruck nach 4Wochen).
  • Konkurrierende operative und konservative Behandlungsmöglichkeiten (Arthrodese Großzehengrundgelenk, Orthopädischuhtechnische Versorgung)

Operationsvorbereitungen

  • Röntgenaufnahme des Vorfußes im Stand in 2 Ebenen (dorsoplantar, mediolateral)
  • Beurteilung der degenerativen Veränderungen am Röntgenbild nach der Einteilung von Hattrup und Johnson (1988) 11.
  • Beurteilung des Intermetatarsalwinkels (Intermetatarsal angle - IMA), des Hallux valgus Winkels (Hallux valgus angle - HVA) und des distalen Metatarsalegelenkflächenwinkels (Distal metatarsal articular angle - DMAA).
  • Dokumentation der Durchblutung des Fußes und der Sensibilität.

Instrumentarium

  • Fußinstrumentarium
  • 1,8 mm K-Draht doppelspitz
  • McGlamry-Elevatorium  (siehe auch Abb. 4)

Anästhesie und Lagerung

  • Intubationsnarkose, Larynxmaske, spinale Leitungsanästhesie, Ischiadicus-Femoralis-Blockade oder Fußblock.
  • Blutleere (100 mm Hg über dem systolischen Blutdruck) am Oberschenkel bei spinaler Leistungsanästhesie; bei distaler Leitungsanästhesie oberhalb des
    oberen Sprunggelenkes (300 mm Hg), ebenso beim Fussblock.
  • Rückenlagerung.

Operationstechnik

Vor jeder Operation wird mit einem sterilen Stift der Hautschnitt und der evtl. auszuschneidende Hautlappen eingezeichnet. Zusätzliche Längsstriche helfen später die Hautnaht optimal wieder zu adaptieren.
Gerader oder bei zusätzlichem Hallux valgus augenförmiger Schnitt im distalen Anteil des Großzehengrundgliedes bis knapp über die Pseudoexostose am Metatarsale-I-Köpfchen.
Weghalten der Haut nach ventral und plantar. Darstellen der Gelenkkapsel unter Schonung der dorsal verlaufenden Gefäße.

Soll bei gleichzeitig erhöhtem Intermetatarsalwinkel auch der Intermetatarsalwinkel korrigieren werden, wird nach Mobilisierung der Sesambeine der Metatarsale I Kopf nach lateral geschoben und die Kapsel straff verschlossen. Dieser Vorgang wird auch als “Cerclage fibreux“ bezeichnet und führt zu einer guten Korrektur einer gleichzeitig bestehenden Hallux valgus Fehlstellung 12.

Zur Stabilisierung wird vor der „Cerclage fibreux“ ein Kirschner-Draht retrograd von der Basis der Osteotomie nach distal durch die Zehenspitze gebohrt und retrograd wieder im Metatarsale-I-Kopf verankert.
Der Abstand zwischen Metatarsalekopf und Grundgliedbasis sollte knapp 1 cm betragen. Wichtig ist, den Kapselweichteillappen nicht auf dem Kirschner-Draht aufzurollen.
Nach Wundverschluss erfolgt ein Vorfußverband (Kramerverband). Die Wunde wird dabei mit einer  nichthaftenden Fettgaze abgedeckt.

Besonderheiten

Vor dem Wundverschluss wird die Blutsperre geöffnet, entfernt und eine ausgiebige Blutstillung durchgeführt. Die Gelenkkapsel kann nach Spülung adaptierend geschlossen werden. Nach Einzelknopfhautnaht kann das OP Gebiet zur Schmerzreduktion mit 10 ml Lokalanästhetikum infiltriert werden (z.B. Ropivacaine 0,5 – 1%).

Postoperative Behandlung

  • Ein Verbandswechsel am 1. postoperativen Tag ist empfehlenswert, da trocknendes Blut in der Kompresse zu einer Durchblutungsstörung führen kann.
  • Vorfußentlastungsschuh oder Verbandsschuh für 2 Wochen.
  • Röntgenkontrolle postoperativ mit einliegendem Draht (Vorfuß in 2 Ebenen).
  • K-Draht-Entfernung nach 10-12 Tagen.
  • Physiotherapie nach Drahtentfernung für 2 Wochen.
  • Lymphdrainage bei stärkerer Schwellung.
  • Sportbeginn nach 6 Wochen.
  • Arbeitsunfähigkeit für 2- 4 Wochen.

Fehler, Gefahren, Komplikationen

Floppy toe nach zu starker Verkürzung der Grundphalanx.
Abbildung 7
  • Eine zu sparsame Resektion der Grundgliedbasis (< 30%) fördert ein Rezidiv 13.
  • Eine zu großzügige Resektion der Grundgliedbasis (> 50%) führt zu einer mechanisch instabilen Großzehe (flopy toe) mit oft unbefriedigendem funktionellem und kosmetischem Ergebnis (Abb. 7) 13.
  • Verletzung der Sehne des M. flexor hallucis longus.
  • Infekt.

Ergebnisse

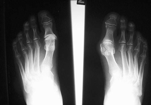
Röntgenbild 30 Jahre nach Brandes OP links zur OP Planung rechts.
Abbildung 6

Meine positive Einstellung gegenüber diesem Operationsverfahren stammt aus der Zeit meiner Promotion (Thomsen 1988) über die Ergebnisse nach Brandesoperation. Damals war diese Operation favorisiert für Patienten über 40 Jahre. Von den 244 Patienten mit 391 Brandesoperationen waren knapp 90 Prozent auch nach 10-15 Jahren noch mit dem funktionellen Ergebnis der Operation zufrieden, 83 % auch mit dem kosmetischen Ergebnis.
Generell ist die subjektive Zufriedenheit der Patienten mit dieser Operationstechnik aber sehr hoch und die Komplikations- und Revisionsrate auch nach langer Zeit  im Vergleich zu konkurrierenden Verfahren gering 14. Auch sehen wir unverändert Patienten die 20-30 Jahre nach Primäreingriff zufrieden zur Operation der Gegenseite kommen (Abb. 6)

Auch Schneider und Mitarbeiter 7 fanden bei 87 Fällen mit einem durchschnittlichen follow-up von 23 Jahren und einem Durchschnittsalter von 50 Jahren 94% zufriedene Patienten mit einem AOFAS score von durchschnittlich 83 Punkten und einem altersentsprechendem SF-36 Score.
Sahudo  15 schließt seine Untersuchungen mit dem Satz: „Diese Methode darf auch heute noch als ein gutes Verfahren für fortgeschrittene Stadien des Hallux rigidus angesehen werden, insbesondere gilt dies für Patienten mit geringerer funktioneller Erwartungshaltung“.

Vallier und Mitarbeiter sahen gute Ergebnisse mit 87,5% Zufriedenheit und betonen die Wichtigkeit der K-Draht-Distraktion 16.
Bei fehlgeschlagenen Keller-Brandes Resektionsarthroplastiken bietet die Arthrodese des Großzehengrundgelenks eine zuverlässige Therapieoption, insbesondere da bei Resektion von ca. 1/3 der Grundphalanx auf eine Beckenkammspan-Interposition oft verzichtet werden kann 1718.

Weitere Literatur

  • Baumgartner R, Möller M, Stinus H: Orthopädieschuhtechnik. Maurer, Geislingen, 2013
  • Brandes M: Zur operativen Therapie des Hallux valgus. Zentralbl Chir 56:2434–2440, 1929.
  • Cotta H: Die operative Behandlung des Hallux valgus.  Chir Praxis 4: 453-460,1948
  • Keller WL: The surgical treatment of bunion and hallux valgus. New York J Med 80: 741-742, 1904
  • Lange M: Behandlung von Fußvertsteifungen und Fußdeformitäten nach Verletzungen. Unfallorthopädie. Enke, Stuttgart, 1949.
  • Thomsen M: Therapie des Hallux valgus. Operative Erfahrungen der letzten 15 Jahre und die Spätergebnisse. Inauguraldissertation, Universität Heidelberg,  1988
Loading…
Loading the web debug toolbar…
Attempt #