Kurzzusammenfassung

Bei der häufigen Hallux abducto-valgus Deformität wird eine Instabilität bzw. Hypermobilität des 1. Strahles bzw. des TMT-I-Gelenkes als Ursache diskutiert. Wird eine solche Instabilität durch klinische und radiologische Untersuchungen diagnostiziert, empfehlen verschiedene Autoren zur Korrektur dieser Hallux abducto-valgus-Deformität die modifizierte Lapidusarthrodese. Ziel dieser Operation ist eine Optimierung der Hebelkräfte beim Abstoßvorgang im Gangzyklus durch Versteifung des tarsometatarsalen Gelenkes I. Unter Berücksichtigung spezifischer Kontraindikationen bietet dieses Verfahren in seinen unterschiedlichen Modifikationen ein verlässliches Verfahren zur Korrektur der Hallux abducto-valgus Deformität auf dem Boden einer Hypermobilität oder Instabilität des 1. Strahles.

Epidemiologie und Ätiologie

Die Hallux abducto-valgus Deformität ist die häufigste Erkrankung im Bereich des Vorfußes. Angaben über ihre Inzidenz schwanken zwischen zwei Prozent (in bevorzugt barfuß laufenden Populationen) bis zu 50 Prozent (in schuhtragenden, zivilisierten Populationen), (Mc. Glamry’s Comprehensive Textbook of Foot and Ankle Surgery 2001). Dem Tragen von Schuhen wird in der Literatur ein beschleunigender Einfluß auf die Deformität zugestanden, ätiologisch spielen jedoch hereditäre und genetische Faktoren eine dominante Rolle in der multifaktoriellen Genese. Root und Mitarbeiter beschreiben vier Konstellationen, die zu einer Hallux valgus Deformität führen können, bei den biomechanischen Abnormitäten spielt die Instabilität oder vielleicht besser Insuffizienz des 1. Strahles eine Rolle, auf die im Folgenden wegen der strittigen Diskussion etwas näher eingegangen werden soll.
In Kadaverstudien fanden Gellman et al. 1 eine Extension im TMT-I-Gelenk von etwa 6 Grad, wanivenhaus et al. 2 wies eine Dorsalverschiebung im TMT-I-Gelenk von etwa 3 mm nach. Diese Ergebnisse wurden in einer Untersuchung von Klaue et al.3 in vitro bestätigt und der Schluss gezogen, dass bei höheren Werten die Korrektur der Hallux valgus Deformität auf Grund einer Instabilität des TMT I- Gelenkes durch eine Lapidusarthrodese erfolgen soll. Dem gegenüber wiesen Coughlin et al. 4 in einer Kadaverstudie nach, dass nach Korrektur des Metatarsus primus varus über eine Crescentic-Osteotomie das Ausmaß der Mobilität des TMT-I-Gelenkes auf ein normales Maß zurückgehen und somit eine Re-Stabilisierung des TMT-I-Gelenkes durch eine weiter distal gelegene Korrektur erfolgt. Nach unserem Verständnis kann dies lediglich auf eine Optimierung der aktiven Stabilisierung durch die am Gehvorgang beteiligte Muskulatur zurückzuführen sein. Ein objektives Verfahren zur Feststellung der Mobilität im TMT-I-Gelenk steht zum jetzigen Zeitpunkt nicht zur Verfügung, so dass allein die subjektive Empfindung des Untersuchers über die Wahl des Verfahrens entscheidet. Auch der „Klaue-Apparat“ gibt nur Hinweise auf eine möglicherweise vorliegende Instabilität des TMT I.

Symptomatik

Meistens berichten Patienten über Schmerzen im Bereich des Großzehengrundgelenkes oder der Pseudexostose, gelegentlich bestehen auch Entzündungen im Bereich der Pseudobursa. Durch die Valgusdeformität der Großzehe entsteht in einigen Fällen eine überkreuzende Deformität der 2. Zehe im Grundgelenk über D1, die neben dem typischen Schuhkonflikt des Metatarsale-I-Köpfchens auch einen Schuhkonflikt der 2. Zehe streckseitig hervorrufen kann. Gelegentlich berichtet der Patient über ein elektrisierendes Gefühl im Bereich der Pseudexostose oder ein Taubheitsgefühl an der dorsomedialen Seite der Großzehe; dies kann auf einer Irritation des dorsomedialen Nerven der Großzehe beruhen. Plantare Schmerzen deuten auf eine Beteiligung des Sesambeinkomplexes hin, z.B. durch Irritation des medialen Sesambeines an der Crista intersesamoidea. Bisweilen führen aber auch Schmerzen unter dem 2. Mittelfußköpfchen den Patienten zum Arzt, ohne Beschwerden im Bereich des 1. Strahles trotz bestehender Hallux valgus Deformität . Sollte gleichzeitig noch eine ausgeprägte Hornhautbeschwielung unter dem 2. Mittelfußköpfchen vorliegen, ist eine Insuffizienz des I. Strahles mit Transfermetatarsalgie anzunehmen. Werden auch Schmerzen barfuß geklagt, sind degenerative Veränderungen des Großzehengrundgelenkes oder Kapselstörungen am MTP II zu erwägen.

Diagnostisches Vorgehen

Plantare Schwielenbildung unter dem Metatarsale-II-Köpfchen als Ausdruck einer Überlastung des 2. Strahles oder Schwielenbildungen im Bereich der Beere der Großzehe bei Torsionsfehlstellungen und eingeschränkter Beweglichkeit des Großzehengrundgelenkes
Abbildung 1

Nach Anamneseerhebung stellen die klinische Untersuchung und die Durchführung von belasteten Röntgenaufnahmen in zwei Ebenen die wesentlichen Pfeiler für die spätere Operationsplanung dar. Bei der Inspektion können Begleitpathologien detektiert werden wie z.B. plantare Schwielenbildung unter dem Metatarsale-II-Köpfchen
(Abb. 1) als Ausdruck einer Überlastung des 2. Strahles oder aber Schwielenbildungen im Bereich der Beere der Großzehe bei Torsionsfehlstellungen und eingeschränkter Beweglichkeit des Großzehengrundgelenkes. Die typische Fehlstellung der Großzehe selbst im Sinne eines Hallux valgus interphalangeus am Grundglied ist ebenfalls oft nachzu weisen. Im Falle einer Rigiduskomponente liegt die knöcherne Prominenz am Köpfchen des 1. Mittelfußknochens eher dorsalseitig. Bei der Palpation können spezifische Schmerzpunkte gefunden werden. Bei der Beweglichkeitsprüfung deuten Einschränkungen der normalen Dorsalextension von 70-90° passiv auf beginnende arthrotische Veränderungen hin, die Beweglichkeitsprüfung des Endgelenkes dient zum Ausschluss von degenerativen Veränderungen auch in diesem Gelenk. Für die Wahl des Operationsverfahrens entscheidend ist die im Video beschriebene Stabilitätsprüfung: Um dem funktionellen Aspekt der stabilisierenden Muskulatur Rechnung zu tragen, prüfen wir bei der klinischen Untersuchung die Mobilität des 1. Strahles, durch Testen der relativen Beweglichkeit des Metatarsale I gegenüber den kleineren Metatarsalia, einmal im entspannten Zustand und anschließend nachdem der Patient aktiv die Peronealmuskulatur durch Anheben des lateralen Fußrandes angespannt hat (Abb. 2 u. Abb. 3) (Video 1).

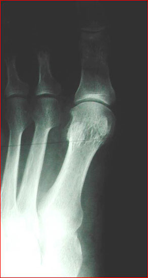
Wenn durch das Anspannen der Muskulatur der 1. Strahl zu einem starren Hebel wird und aussteift, empfehlen wir auf die Durchführung einer TMT-I-Arthrodese zu verzichten und z.B. eine proximale Korrekturosteotomie durchzuführen. So ist nach unserer Auffassung bei jeglicher Dorsalbewegung des 1. Strahles (Instabilität) trotz Anspannung der Peronealmuskulatur (wie beschrieben) die Indikation zur Lapidusarthrodese unabhängig vom Intermetatarsalwinkel gegeben. Bei der Beurteilung des a.p.-Röntgenbildes unter Belastungsbedingungen dient die Bestimmung des Hallux valgus interphalangeus-Winkes und des distalen Artikulationswinkels ggf. zur Indizierung einer additiven Akin-Osteotomie (Abb. 4). Die Stellung des proximalen Artikulationswinkels legt im Falle einer bereits praeoperativ bestehenden Vergrößerung nach Korrektur des Intermetatarsalwinkels eine Korrektur durch eine Reverdin-Green-Laird-Osteotomie nahe (Abb. 5). Die Größe des Intermetatarsalwinkels I/II beeinflusst je nach Größe bei stabilem 1. Strahl die Wahl des jeweiligen Operationsverfahrens.

Im Falle einer Insuffizienz des 1. Strahles wird in jedem Falle eine TMT-I-Arthrodese indiziert sein, hier dient der Intermetatarsalwinkel planerischen Aspekten im Sinne des Ausmaßes der Korrektur am Os cuneiforme I. Die Bestimmung des Metatarsus adductus-Winkels dient der Detektion eines Pes adductus. Im Falle des Vorliegens einer solchen Deformität sind ggf. auch Korrekturosteotomien an den kleineren Metatarsalia zu erwägen, um ausreichend Platz für die Einstellung des Metatarsale I in die Rectusposition zu erhalten. Ein weiteres wichtiges Kriterium in der a.p.-Projektion stellt das Längenverhältnis von Metatarsale I zu Metatarsale II dar, da bei der Durchführung der TMT-I-Arthrodese das Vorliegen einer Minusvariante häufiger die Gefahr einer postoperativen Transfermetatarsalgie birgt und hier unter Umständen über Modifikationen des operativen Vorgehens nachgedacht werden sollte. Hier besteht die Möglichkeit von alternativen Präparationsverfahren im TMT I oder aber der Durchführung einer Interpositionsarthrodese des TMT I zur Verlängerung des 1. Strahles. Alternativ können auch Verkürzungsosteotomien des 2. und 3. Strahles erwogen werden. Als indirekte radiologische Zeichen einer Insuffizienz des 1. Strahles kann ein Klaffen des Spaltes zwischen dem Os cuneiforme mediale und dem Os cuneiforme intermedium sowie eine Hypertrophie der Corticalaes des Metatarsale II gedeutet werden (Abb. 6).
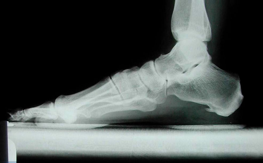
Im seitlichen Röntgenbild werden dorsale Osteophyten des Großzehengrundgelenkes als Ausdruck arthrotischer Veränderungen des Grundgelenkes befundet, eine nach dorsal gewinkelte Stellung der Oberkante des Metatarsale I im Verhältnis zum Metatarsale II deutet auf eine Elevatusposition des 1. Strahles hin (Abb. 7). Gelegentlich kann im seitlichen Röntgenbild ein plantares Klaffen des TMT I als Ausdruck einer Instabilität zu sehen sein (Abb. 8). Parallel verlaufende Metatarsalia I und II sind jedoch keinesfalls ein sicherer Beweis für das Fehlen einer Insuffizienz des 1. Strahles, da die Stellung der beiden Metatarsalia zueinander durch Rückfuß-Valgusdeformitäten fehlprojiziert sein kann.

von 2 Wochen Zusätzliche Information über Struktur und Stellung der Sesambeine kann die sogenannte Sprinter- oder Sesambein-Axialaufnahme liefern.

Weitere Zusatzuntersuchungen wie z.B. Computertomographie oder Magnetresonanztomographie sind nur in Einzelfällen erforderlich. Durch die Insuffizienz des 1. Strahles kann es zu einer Überlastung der TMT II und III-Gelenke mit Ausbildung von arthrotischen Veränderungen kommen, die durch die Überlagerung in den Standard Röntgenaufnahmen schwierig zu diagnostizieren sind. In diesem Falle bietet die Computertomographie mit der Darstellung der verschmälerten Gelenkspalten und osteophytären Randausziehungen die Möglichkeit der Darstellung bei klinischem Verdacht. Bei vermuteten begleitenden Weichteilveränderungen ist unter Umständen die Durchführung einer Magnetresonanztomographie mit gezielter Fragestellung indiziert.

Therapeutisches Vorgehen

a) Therapieziele:

Neben der Stabilisierung des 1. Strahles und der damit verbundenen Optimierung der Hebelkräfte beim Abstoßvorgang gilt es, das Metatarsale-I-Köpfchen in allen drei Ebenen des Raumes korrekt zu positionieren: in der Transversalebene kann ein vergrößerter Intermetatarsale Winkel geschlossen werden, in der Sagittalebene kann eine Elevatusposition des 1. Mittelfußknochens korrigiert werden und in der Frontalebene können ggf. bestehende Rotationsfehlstellungen ebenfalls durch eine Korrekturarthrodese im TMT I behoben werden. Durch eine Zentrierung des Metatarsale-I-Köpfchens über dem Sesambeinkomplex wird das Großzehengrundgelenk durch die Kraftoptimierung der kurzen Beuger ebenfalls stabilisiert.

b) Indikation und Kontraindikation:

Die TMT-I-Arthrodese ist indiziert bei instabilem oder degenerativ verändertem TMT-I-Gelenk sowie bei einer isolierten Arthrose im TMT-I-Gelenk. Des Weiteren bei einer Hypermobilität bzw. Insuffizienz des 1. Strahles, wie sie häufig in Kombination mit Pronationsfehlstellungen des gesamten Fußes auftreten.
Als Kontraindikationen gelten insbesondere ausgeprägte periphere Durchblutungsstörungen, als relative Kontraindikation gilt ein kurzes Os metatarsale I (sparsame Entknorpelung oder ggf. Interposition eines Knochenimplantates) sowie höhergradige degenerative Veränderungen des Großzehengrundgelenkes.
Als absolute Kontraindikation gelten gefährdete Hautverhältnisse und lokaler Infekt.

c) Aufklärung:

Bei der Patientenaufklärung sollte auf folgende Risiken hingewiesen werden:

  • Rezidivfehlstellung, Rezidivrisiko
  • Überkorrektur, Hallux varus
  • Bewegungsstörung im Großzehengrundgelenk
  • Schwäche des kurzen Beugers der Großzehe
  • Transfermetatarsalgie
  • Verzögerte Knochenheilung
  • Pseudarthrose mit Notwendigkeit einer operativen Revision
  • Bruch von Platte und/oder Schrauben
  • Unverträglichkeit von eingebrachtem Fremdmaterial
  • Schwellneigung über mehrere Monate
  • Wundheilungsstörung
  • Nerven- und Gefäßverletzung

d) Prinzipien der verschiedenen TMT-I-Arthrodesetechniken:

Die Erstbeschreibung einer TMT-I-Arthrodese erfolgte 1911 durch Albrecht in russischer Sprache, weitere Veröffentlichungen griffen dieses Thema auf (Truslow 1925 und Kleinberg 1932). Populär wurde die TMT-I-Arthrodese durch die Arbeit von Paul Lapidus 1934 5. In dieser Arbeit wurde die Fixation der TMT-I-Fusion mit 0er Catgut beschrieben, eine Mobilisation erfolgte im Lederschuh. Eine hohe Rate von Pseudarthrosen und Transfermetatarsalgien führte zu unbefriedigenden Ergebnissen. Im Jahre 1989 wurden von Sangeorzan und Hansen6 Ergebnisse einer TMT-I-Fusion mit Schraubenosteosynthese und achtwöchiger Gipsnachbehandlung veröffentlicht. Immerhin wurde hier noch eine Pseudarthroserate von 10 Prozent angegeben. Verschiedene Autoren zeigten verbesserte Ergebnisse der TMT-I-Arthrodese durch Schraubenosteosynthese und postoperative Ruhigstellung.
Zusammenfassend ergab sich nach einer durchschnittlich sechswöchigen Entlastung im Unterschenkel-Liegegips eine Pseudarthrosenrate von etwa 5 Prozent. Somit war es nur konsequent, das man nach Fixationstechniken suchte, um die Dauer der postoperativen Entlastung und Ruhigstellung zu verkürzen und andererseits die Komplikationsrate, insbesondere die Entwicklung einer Pseudarthrose, zu verringern.

Einen wesentlichen Schritt hierzu stellte die Entwicklung von winkelstabilen Implantaten dar.

Im Jahre 2005 stellte Fuhrmann 7, die Ergebnisse der TMT-I-Korrekturarthrodese mit einer dorsomedial angelegten winkelstabilen Platte vor, als wesentlicher Vorteil wurde die postoperative Teilbelastung an Unterarmgehstützen im Verbandsschuh mit starrer Sohle mit einer Teilbelastung von 20 – 30 kg für die Zeit von 6 – 8 Wochen angegeben. Die Pseudarthroserate betrug 6 Prozent.

In einer Arbeit von Saxena et al. 8 wurde der Vorteil einer Plattenosteosynthese mit gleichzeitig eingebrachter Zugschraube nachgewiesen, mit einer Entlastung im Unterschenkelgips für 4 Wochen und einer anschließenden Aufbelastung zeigte sich eine Pseudarthroserate von 0 Prozent.

Die Fixation der TMT-I-Arthrodese mittels einer Zugschraube in Kombination mit einer winkelstabilen Plattenosteosynthese kann als die stabilste Form der Osteosynthese angesehen werden. Seit einigen Jahren werden auch verschiedene plantarseitig angebrachte Plattensysteme angeboten und eingesetzt, wobei hier durch das Anbringen der Platte an der Zuggurtungsseite eine frühzeitige Belastung in einem Therapieschuh mit starrer Sohle erlaubt werden kann. Die plantarseitig angebrachte Platte ersetzt bis zum endgültigen knöchernen Durchbau die am physiologisch funktionierenden Fuß greifenden plantaren Verspannungsmechanismen, insbesondere die der plantaren Bandstrukturen und der Sehne des Musculus flexor hallucis longus (Debrunner und Jacob: „Biomechanik des Fußes“). Nach unserer Auffassung funktionieren diese physiologischen Mechanismen bei Patienten, bei denen die Indikation zur Lapidusarthrodese gestellt wurde, (siehe Kapitel 6) nicht mehr. Hinzu kommt, dass nach Resektion des Gelenkes diese Mechanismen ebenfalls nicht mehr greifen können.
In vorliegenden Untersuchungen liegt die Pseudarthroserate zwischen 1 – 2 Prozent.

Tipps zur Vermeidung von spezifischen Komplikationen bei der TMT-I-Arthrodese

  1. Zur Vermeidung einer übermäßigen Verkürzung des 1. Strahles nur sparsame Resektion der Gelenkanteile, ggf. lediglich Entknorpelung der Gelenkflächen.
  2. Reduzierung der Pseudarthroserate: je sparsamer die Resektion der Gelenkknorpel tragenden Anteile des Gelenkes ist bzw. nur mit verschiedenen Küretten und Meißeln entknorpelt wird, ist die minutiöse Perforation und Mikrofrakturierung der Arthrodeseflächen erforderlich, um hier ausreichend biologisch potentes Material um die Arthrodese zu erhalten.
  3. Ein medialseitiger operativer Zugang erlaubt eine bessere Einsicht in die Gelenkebene des TMT-I-Gelenkes und kann zu einer sparsameren Resektion beitragen. Des Weiteren ist das Risiko der Verletzung der größeren Fußrückensammelvenen und der von lateral her ziehenden Äste des Nervus peronaeus superficialis geringer.
  4. Nach erfolgter Arthrodese sollte intraoperativ eine Beweglichkeitsprüfung des Großzehengrundgelenkes durchgeführt werden. Zeigt sich hierbei eine schlechte Dorsalextension mit Abweichung der Großzehe nach lateral, sollte kritisch der proximale Artikulationswinkel des Metatarsale I geprüft werden und ggf. eine Korrektur über eine Reverdin-Green-Laird-Osteotomie durchgeführt werden. Nach eigener Erfahrung kommt es hier regelhaft zu einer Verbesserung der Dorsalextension.
  5. Bei gleichzeitig vorliegendem Hallux valgus interphalangeus oder noch verbliebenen Rotationsfehlstellungen der Großzehe und bei noch exzentrisch verlaufender langer Strecksehne sollte ebenfalls intraoperativ kritisch die Durchführung einer zusätzlichen Grundgliedosteotomie nach Akin geprüft werden.

e) Instrumente, Anästhesie und Lagerung:

Nach heutigem Ermessen ist die Fixation der TMT-I-Arthrodese mittels Zugschraube in Kombination mit einer winkelstabilen Plattenosteosynthese als die stabilste Form der Osteosynthese angesehen werden kann, neben den bekannten Standard Fußinstrumentarien werden zusätzlich Instrumentarien mit kanülierten Schraubensystemen den Dimensionen 3,5 bis 4,5 mm sowie winkelstabile Plattensysteme benötigt. Die Benutzung eines intraoperativen Bildverstärkers wird empfohlen, um das Ausmaß der erreichten Korrektur sowie die korrekte Lage des Osteosynthesematerials zu dokumentieren.

Der Eingriff wird in normaler Rückenlage, ggf. in leichter Kniebeugung durchgeführt, die Verwendung einer Strahlenschutzmatte wird empfohlen. Wir führen den Eingriff in Blutleere durch und empfehlen die Anlage des Torniquets am distalen Oberschenkel, um eine durch Druck auf die Unterschenkelmuskulatur ausgelöste Stellungsveränderung (z.B. Spitzfuß) zu vermeiden. Hieraus resultiert, dass im Regelfall eine Intubationsnarkose, Larynx-Maske oder Spinalanästhesie angewandt wird.

f) Nachbehandlung:

Die Nachbehandlung richtet sich nach den im Einzelnen durchgeführten Osteosyntheseverfahren zur Stabilisierung der Arthrodese, die Arbeitsunfähigkeit richtet sich nach der jeweiligen beruflichen Tätigkeit des Patienten.
Ein wesentlicher Bestandteil der postoperativen Nachbehandlung ist die Schmerzbekämpfung. Hier kann allgemein empfohlen werden, in Absprache mit der Anästhesie ein festes postoperatives Medikamenten Schmerzschema zu implementieren, hier können alle gängigen Therapien (postoperativer Fußblock, nichtsteroidale Antiphlogistika, Opioide) eingesetzt werden.
Dauer und Art und Weise der postoperativen Belastung und Versorgung mit orthopädischen Hilfsmitteln (langschaftiger Walker, kurzschaftiger Walker, Vorfußentlastungsschuh, Verbandsschuh mit starrer Sohle) richtet sich nach dem jeweilig gewählten Osteosyntheseverfahren. Im eigenen Krankengut wird nach TMT-I-Arthrodese die schmerzabhängige Aufbelastung im Verbandsschuh mit starrer Sohle erlaubt, diese Nachbehandlung wird für 6 Wochen beibehalten, dann erfolgt eine Röntgenkontrolle unter Belastungsbedingungen. Ergeben sich hierbei keine Anzeichen einer verzögerten Knochenheilung, wird das Tragen eines Konfektionsschuhs erlaubt, wobei hier Konfektionsschuhen mit einer etwas steiferen Sohle der Vorzug gegeben wird.

Zur Bekämpfung der postoperativen Schwellung haben sich manuelle Lymphdrainagen bewährt.

Die Dauer der Arbeitsunfähigkeit schwankt von 2 Wochen bei sitzenden Tätigkeiten bis zu 8-10 Wochen bei stehenden Berufen. Bei Berufen mit hoher körperlicher Beanspruchung und erforderlichem Tragen von Sicherheitsschuhen kann die Arbeitsunfähigkeit bis zu 12 Wochen betragen.

g) Perspektiven und aktuelle Trends:

Unter den oben aufgeführten therapeutischen Vorgehensweisen liegt in Deutschland ein Trend vor, die Lapidusarthrodese mittels Zugschraube und plantarer Plattenosteosynthese zu versorgen, da dies zu einer Vereinfachung der Nachbehandlung bei vertretbaren Komplikationsraten geführt hat.
Des Weiteren besteht ein Trend, die oben aufgeführten additiven Eingriffe zur Verbesserung des postoperativen Ergebnisses eher großzügig durchzuführen. Da es sich bei der TMT-I-Arthrodese trotz aller Verbesserungen immer noch um einen relativ invasiven Eingriff handelt, ist mit einer Schwellneigung von4-6 Monaten postoperativ zu rechnen. Sollte in diesem Zeitraum keine Tendenz zur Besserung der Schwellneigung bestehen und im Röntgenbild eine knöcherne Durchbauung der Arthrodese nicht zweifelsfrei nachgewiesen werden können, besteht aus unserer Sicht die Indikation zur Durchführung einer Computertomographie zum Nachweis der knöchernen Ausheilung.

Weitere Literatur

  • Kapitel 3, Mc. Glamry’s Comprehensive Textbook of Foot and Ankle Surgery, 3.Auflage 2001, Lippincott Williams& Wilkins
Loading…
Loading the web debug toolbar…
Attempt #