Kurzzusammenfassung

Der Begriff Hallux rigidus beschreibt die zunehmende Einsteifung des Großzehengrundgelenkes im Rahmen einer Arthrose. Die Pathogenese ist nicht immer klar. Eine hereditäre Komponente wird diskutiert, häufig besteht ein Zusammenhang mit einem Unfallereignis oder mit repetitiven Mikrotraumen. Es werden klinisch und radiologisch verschiedene Stadien der Erkrankung definiert. Äußerliche Zeichen des fortgeschrittenen Hallux rigidus sind der Metatarsus primus elevatus und die periartikuläre Osteophytenbildung. Klassische Symptome sind der Schmerz (dorsales Impingement), die Schwellung und die eingeschränkte Beweglichkeit. Für die Stadieneinteilung sind Standardröntgenbilder im dorsoplantaren (dp), schrägen und seitlichen Strahlengang erforderlich. Das therapeutische Spektrum reicht von Einlagen, Schuhzurichtungen und Medikamenten bis zur Operation. Bei mittlerer Gelenksdestruktion sind gelenkserhaltende Eingriffe indiziert. In fortgeschritten Fällen der Arthrose oder als Rückzugsmöglichkeit bei misslungenen Operationen ist die Arthrodese nach wie vor die sicherste Methode. Die Prothetik des Großzehengrundgelenkes hat sich noch nicht als Goldstandard durchgesetzt.

Funktion des Großzehengrundgelenkes

Das Großzehengrundgelenk weist mehr als ein Bewegungszentrum auf. Es ist somit kein einfaches Scharniergelenk. Ähnlich dem Humeroglenoidalgelenk vermittelt es wenig intrinsische Stabilität. Diese basiert vor allem auf einem intakten kapsuloligamentösen Komplex (inklusive Sesamknöchelchen). Während des normalen Gehens nimmt die erste Zehe das zweifache Gewicht der Kleinzehen auf, das heißt 40% - 60% des Körpergewichts 1. Bei intensiven sportlichen Aktivitäten wie schnellem Laufen erreichen die Belastungsspitzen am Großzehengrundgelenk das Dreifache des Körpergewichtes. Der Gesamtumfang der Beweglichkeit vom Großzehengrundgelenk nimmt mit zunehmendem Alter ab. In Ruheposition liegt die Großzehe in einer Dorsalflexionsstellung von 16°. Der mittlere Wert für die maximale passive Dorsalflexion während der Abstoßphase beträgt über 80°. Für normales Barfußgehen ist eine Dorsalflexion der Großzehe von mindestens 60° notwendig. Die Entfernung der Sesamknöchelchen reduziert die Abstoßkraft der Großzehe. Die isolierte Entfernung des tibialen Sesamknöchelchens produziert rund 11% Verlust der Abstoßkraft der Großzehe. Die isolierte Entfernung des fibulären Sesamknöchelchens um 19% und 32% Kraftverlust für die Abstoßphase wenn beide Sesamknöchelchen entfernt werden 2.

Epidemiologie und Ätiologie

Der Hallux rigidus wurde in zwei verschiedenen Alterskategorien beschrieben: die jugendliche und die erwachsenen Form, wobei die jugendliche Form als Primärerkrankung und die erwachsenen Form im Sinne einer sekundären Deformität des Gelenkes interpretiert wurde. Gewisse Studien haben diese altersbezogene Klassifizierung nicht bestätigt 34. Obwohl der Hallux rigidus initial als einseitige Erkrankung wahrgenommen wird, zeigen Arbeiten, dass über eine längere Beobachtungsperiode 80% der Patienten eine bilaterale Symptomatik entwickeln 4. Gleiche Studien bestätigen eine höhere Inzidenz des Hallux rigidus bei weiblichen Patienten 35467. Einig sind sich alle Autoren, dass ein hereditärer Faktor vorliegt 43.
Der eigentliche Grund für einen Hallux rigidus oder für einen Hallux limitus wurde bisher nicht definiert, obwohl einige prädisponierende Faktoren bekannt sind. An erster Stelle steht die posttraumatische Arthrose nach einem einzelnen starken Trauma oder auch bei repetitiven Mikrotraumen. Neben intraartikulären Faktoren spielen vor allem die forcierte Plantar- oder Dorsalflexion eine pathogenetische Rolle 8. Andere diskutierte Gründe für das Entstehen einer Hallux rigidus Erkrankung sind eine flache Gelenksform 9, ein überlanger erster Strahl 6 und die Osteochondrosis dissecans. Ein Zusammenhang mit der Mobilität des ersten Strahls, der Verkürzung des Gastrocnemiuskomplexes, einer Fußdeformität, einem Hallux valgus oder beruflichen Tätigkeiten konnten nicht hergestellt werden 410. Unklarheit besteht ebenfalls in Zusammenhang mit dem beim Hallux rigidus oft gesehenen Metatarsus primus elevatus. Neuere Studien erklären den Metatarsus primus elevatus als sekundäres Phänomen, bedingt durch die gestörte Funktion des Großzehengrundgelenkes 411. Dabei konnte gezeigt werden, dass sich der Elevatus spontan durch eine Cheilektomie oder Interpositionsarthroplastik reduziert. Auch durch die Arthrodese des MP-I-Gelenkes korrigiert sich die Elevatusposition spontan. Durch die Reduktion des Elevatus verändert sich auch die Gesamtbeweglichkeit des ersten Strahles 410. Das Ausmaß des Metatarsus primus elevatus kann nicht für die Beurteilung der Schwere der Erkrankung beigezogen werden 12.

Symptomatik

Am Anfang der Erkrankung stehen beim Hallux rigidus der Schmerz, die Schwellung, die eingeschränkte Beweglichkeit und oftmals eine Impingement-Symptomatologie im Bereich des dorsalen Großzehengrundgelenkes im Vordergrund. Die Schmerzen verstärken sich beim Gehen oder Stehen und lassen in Ruhe spontan nach. Ein Ruhe- oder Nachtschmerz ist ungewöhnlich. Bei der degenerativen Erkrankung treten vermehrt Osteophyten über dem dorsalen und dorsolateralen Aspekt des Metatarsale-I-Kopfes und des Großzehengrundgliedes auf. Ein gleichzeitiges Auftreten eines Hallux rigidus mit einem Hallux valgus ist selten. Die zunehmende Osteophytenbildung provoziert Druckschmerzen, ausgelöst durch geschlossenes Schuhwerk. Oft kommt es zusätzlich zum schmerzhaften Einklemmen des dorsomedialen oder dorsolateralen sensiblen Nervs zwischen den Osteophyten und geschlossenen Schuhen. Mit der Größenzunahme der dorsalen Exostosen wird die proximale Phalanx nach plantar gedrückt, mit markanter Limitation der Dorsalflexion und Ausbildung eines Metatarsus primus elevatus. Die Spätform des Hallux rigidus zeigt eine beinahe komplette knöcherne Ankylose. Die klassische Lokalisation des Knorpelverlustes bezieht sich auf die dorsale Hälfte des Metatarsalekopfes 1314. Bei zunehmender Gelenksdegeneration nimmt der Knorpelschaden gegen plantar hin zu.
Mit zunehmender Krankheitsdauer nimmt die Häufigkeit von Transfermetatarsalgien zu. Hierbei kommt es einerseits durch die verminderte Dorsalflexion der Großzehe zu einem kompensatorisch erhöhten Druck auf die Zone des plantaren lateralen Vorfußes. Zudem zeigen die meisten Patienten ein schmerzbedingtes Ausweichverhalten mit vermehrter Belastung des Fußaußenrandes.

Diagnostisches Vorgehen

Klinische Untersuchung

Die klinischen Untersuchungsbefunde hängen vom Schweregrad der Erkrankung ab. In der Frühphase findet sich eine Verdickung der Weichteile um das Großzehengrundgelenk, bedingt durch die Synovia. Bei fortgeschrittenen Fällen lassen sich perkutan die dorsalen Exostosen palpieren. Klassischerweise ist die Beweglichkeit im Großzehengrundgelenk markant reduziert, initial vor allem für die Dorsalextension. Die Plantarflexion wird erst in der Spätphase der Erkrankung spürbar eingeschränkt 15. Das Großzehenzwischengelenk ( IP- Gelenk) kann eine kompensatorische und mit der Zeit schmerzhafte Hyperextension entwickeln 1617. Hautirritationen sind selten, können jedoch im Bereich der Exostosen in Zusammenhang mit sehr engem Schuhwerk auftreten. Bei der Funktionsprüfung des Gelenkes verursacht die forcierte Dorsalextension Schmerzen durch Impingement der Weichteile. Bei der forcierten Plantarflexion ist es die Überdehnung der M. extensor hallucis longus-Sehne beziehungsweise der Gelenkskapsel, der sensiblen Nerven und der Synovialis über den dorsalen Osteophyten. Schmerzen bei axialer Kompression der Grosszehe auf den Metatarsalekopf ohne Flexion oder Extension weisen auf einen markanten Knorpelschaden in der Hauptbelastungszone des Metatarsalekopfes hin. Patienten mit einem Hallux rigidus zeigen oftmals eine bewusste oder unbewusste kompensatorische Überlastung des lateralen Fußrandes infolge Ausweichbewegung. Das asymmetrische Verteilungsmuster der plantaren Beschwielung und begleitende Neuralgien der Plantarnerven II/III und/oder III/IV sind hierfür klinisch wegweisend.
Als Synthese der klinischen Untersuchung sollten folgende Fragen beantwortet werden können:

  • Was löst die Schmerzen aus: Impingement, arthrogene Schmerzen, Nerven-Entrapment, Arthrose metatarsosesamoidal?
  • Gelenkschmerz oder Druckschmerz von außen (Schuhe)?
  • Einschränkung der Gesamtbeweglichkeit des Gelenkes?
  • Beeinflusst die Funktion des restlichen Fusses die Funktionalität des Großzehengrundgelenkes?
  • Ist eine Transferproblematik vorhanden?
  • Handelt es sich um eine isolierte Problematik am Großzehengrundgelenk oder bestehen Verdachtsmomente für eine generalisierte Problematik des Bewegungsapparates?

Radiologie

Die radiologische Untersuchung dient der Dokumentation und Klassifikation des Hallux rigidus und ist damit in der Klinik ein wichtiger Parameter für die Wahl des operativen Procedere. Die klassische konventionelle radiologische Bestandsaufnahme eines arthrotisch veränderten Großzehengrundgelenkes beinhaltet das belastete Vorfußbild im dorsoplantaren (dp) und im seitlichen Strahlengang sowie die Darstellung der Sesamknöchelchen in axialer Projektion. Im Zweifelsfall kann eine Schrägaufnahme des Gelenkes den durch Osteophyten verdeckten Gelenkspalt besser darstellen.
Üblicherweise zeigt sich in der dp-Projektion: eine Gelenkspaltverschmälerung mit Abflachung und Ausweitung der Kontur am Metatarsale-I-Kopf. In fortgeschrittenen Stadien kann zur Verschmälerung des Gelenkspaltes die klassische subchondrale Zystenbildung und Sklerose mit Hypertrophie der Sesamknöchelchen hinzukommen. Osteophyten formieren sich in den allermeisten Fällen eher im Bereich des lateralen Gelenkanteiles. Medialseitig sind sie selten. Osteochondrale Defekte projizieren sich im zentralen Bereich der Gelenksfläche.
Der seitliche Strahlengang eignet sich zur Beurteilung der dorsalen Osteophyten und freien Gelenkskörpern. Zudem kann der Metatarsus primus elevatus im Verhältnis zu den restlichen Metatarsalia beurteilt werden. Als pathologisch gilt eine Höhendifferenz zwischen dem Os metatarsale I und II von mehr als 5 mm 12.
Die Einschränkung der Dorsalflexion kann in einer Funktionsaufnahme objektiviert werden. Eine Arthrose der metatarsosesamoidalen Gelenke, welche üblicherweise nur bei sehr fortgeschrittenen Fällen des Hallux rigidus auftritt, kann im axialen Strahlengang beurteilt werden. Die Beurteilung dieser Region ist wichtig für die Beurteilung der Operationstechnik (gelenkserhaltende Operation versus Arthrodese).
Bei den Frühformen des Hallux rigidus mit klinischem Verdacht auf eine Knorpelläsion kommt klassischerweise das MRI bei der differentialdiagnostischen Abklärung von Schmerzen des Großzehengrundgelenkes zum Einsatz. Hierbei geht es oft um die Frage nach einer reinen Impingement-Symptomatologie und den Ausschluss eines osteochondralen Defektes.

Klinische und radiologische Klassifikation des Hallux rigidus

Grad 4: Wie Grad 3, aber mit Schmerzen auch in der Neutralposition der Großzehe.
Abbildung 1

Wir verwenden die Klassifikation nach Coughlin 10, welche den radiologischen Befund mit dem Ausmaß der Beweglichkeit am Großzehengrundgelenk und den klinischen Symptomen kombiniert.

Grad 0: Normale Radiologie, Dorsalflexion 40 – 60° mit minimaler Bewegungseinsschränkung im Vergleich zur gesunden Seite. Klinisch im Vordergrund steht die relative Gelenksteife ohne wesentliche Schmerzen.

Grad 1: Dorsale Osteophyten des Os metatarsale I, minimale Gelenkspaltverschmälerung, Dorsalflexion reduziert auf 30° – 40°, bzw. 20 – 50% Verlust im Vergleich zur gesunden Gegenseite, gelegentlicher Schmerz, Steifheitsgefühl und Impingement-Symptomatologie bei maximaler Dorsal- oder Plantarflexion.

Grad 2: Periartikuläre Osteophyten mit abgeflachtem Metatarsale-I-Kopf und wenig ausgeprägter Verschmälerung des Gelenkspaltes, Sklerose, Dorsalflexion von 10° – 30° bzw. Verlust von 50 – 75% im Vergleich zur gesunden Seite, markante Gelenksteifigkeit mit Schmerzen schon bei geringer Bewegung im Gelenk.

Grad 3: Gleicher radiologischer Befund wie bei Grad 2. Sesamknöchelchen verbreitert oder von irregulärer Morphologie, Dorsalflexion eingeschränkt auf 10° mit 75 – 100% Verlust der Beweglichkeit im Vergleich zur normalen Seite, praktisch konstant für das gesamte Bewegungsausmaß, aber noch nicht in der Neutralposition der Großzehe, ausgeprägte Gelenksteifigkeit.

Grad 4: Wie Grad 3, aber mit Schmerzen auch in der Neutralposition der Großzehe (Abb. 1).

Therapeutisches Vorgehen

Konservative Behandlung

Das konservative Vorgehen beim Hallux rigidus hängt von den Symptomen des Patienten und der Schwere des degenerativen Prozesses ab. Frühformen mit synovialer Entzündung können mit nicht-steroidalen Antiphlogistika, mit Sohlenversteifung und Abrollkappe (Schuhanpassung und Einlagen) und evt. mit intraartikulären Infiltrationen behandelt werden. Wiederholte intraartikuläre Kortisongaben sind zu vermeiden, da sie die intraartikulären degenerativen Prozesse beschleunigen. Differentialdiagnostisch muss an eine funktionelle Einschränkung der Gelenksbeweglichkeit durch eine Tendovaginitis stenosans der Flexor hallucis longus Sehne retromalleolär gedacht werden 18. In jedem Fall können die konservativen Therapien den natürlichen Verlauf der Erkrankung nur zu verzögern. Nur selten kann ein operatives Vorgehen über längere Zeit hinaus vermieden werden 1920.

Chirurgische Behandlung

Die Entscheidung für eine spezifische chirurgische Methode zur Behandlung des Hallux rigidus basiert radiologisch auf dem Ausmaß der Arthrose bzw. auf der klinischen Beurteilung. Wir empfehlen als Richtlinie für die Wahl der Operationsmethode die Einteilung nach Coughlin 10. Selten kann bei Grad 0 und klaren Zeichen des Impingements eine reine Synovektomie durchgeführt werden. Bei axialen Kompressionsschmerzen soll auf eine gelenkserhaltende Methode verzichtet werden.

Grad 1: Cheilektomie mit oder ohne Osteotomie Os metatarsale/Phalanx, Débridement und Mikrofrakturierung {Pridie-Bohrung} falls nötig.

Grad 2: Cheilektomie mit/ohne phalangeale Osteotomie, evt. zusätzliche Osteotomie am distalen Os metatarsale I.

Grad 3: Interpositionsarthroplastik, Prothese oder Arthrodese,

Grad 4: Interpositionsarthroplastik, Prothese oder Arthrodese, Resektionsarthroplastik bei älteren Patienten.

Operationsmethoden

Cheilektomie

Therapieziele:

Verbesserung der Gelenksbeweglichkeit unter Erhalt der Stabilität und Kraft mit maximaler Schmerzreduktion

Prinzip:

Die am häufigsten durchgeführte Prozedur bei den Frühstadien des Hallux rigidus. Es geht um die Entfernung von störenden Exostosen dorsal am Großzehengrundgelenk, sowohl am Metatarsalekopf, als auch an der dorsalen Basis des Großzehengrundgliedes (Abb. 2). Neben der Exostosenentfernung besteht die Möglichkeit, freie Gelenkskörper und eine hypertrophe akute oder chronische Synovialitis mit zu entfernen. Pridiebohrungen können kombiniert werden. Eine spezielle Form der Cheilektomie ist die Valenti-Osteotomie (Abb. 4)

Indikation und Kontraindikation:

Gelenksveränderung nach Grad 1 und 2 eignen sich für die Cheilektomie. Die Cheilektomie ist kontraindiziert im Falle von fortgeschrittenen Stadien der Arthrose, bei Kompressions-/Rotationsschmerzen des Gelenkes in Neutralstellung der Großzehe und bei Schmerzen oder degenerativen Veränderungen im Bereich der Sesamknöchelchen.

Aufklärung:

Die Cheilektomie kann den Verlauf der Arthrose nicht verändern und zielt in der Regel auf eine temporäre verbesserte Gesamtfunktion der Großzehe hin. Im Regelfall zeigt sich kein Exostosenrezidiv. Eine zunehmende Verschmälerung des Gelenksspaltes ist mittelfristig in den allermeisten Fällen zu erwarten 21. Postoperativ persistierende leichte Gelenksschmerzen trotz verbesserter Gesamtfunktion oder eine Schmerzreduktion ohne Verbesserung der Gelenkfunktion sind möglich 7.

Technik:

Der Zugang erfolgt medial zwischen dem dorsomedialen und plantomedialen Gefäß-Nerven-Bündel (internervous plane) mit Darstellung der Gelenkkapsel über eine longitudinale Inzision. Dann wird die Kapsel vorsichtig vom dorsalen Aspekt des Os metatarsale I und der Grundphalanx wegpräpariert, bis das ganze Gelenk eingesehen werden kann. Jetzt wird die Synovektomie und die Entfernung von freien Gelenkskörpern vorgenommen inklusive einer präliminären Entfernung der störenden Exostosen (zunächst ohne Gelenksanteile) mit der oszillierenden Säge für eine bessere Übersicht. Nun wird die Knorpelqualität an den Gelenksflächen und die Qualität der Sesamoidea durch manuelle Distraktion und Bewegung der Großzehe beurteilt. Für die Cheilektomie muss mindestens 50% des Restknorpels an den jeweiligen grossen Gelenksflächen erhalten sein 10. Die Menge des zu resezierenden Knochens am Metatarsalekopf richtet sich nach der Größe des Osteophyten und des Knorpelschadens. Mit einer schrägen Osteotomie wird mindestens 25% des dorsalen Metatarsalekopfes bis an die Knochen-Knorpelgrenze reseziert. Die Hauptbelastungszone des Kopfes (Apex) sollte erhalten bleiben. Bei Bedarf erfolgt die schräge Osteotomie auch auf Seiten der Großzehe. Kritische Knorpelzonen in der Hauptbelastungszone können via Pridiebohrungen angefrischt werden (Abb. 3). Wir verwenden hierfür einen Kirschnerdraht. Jetzt erfolgt die Weichteillyse des Rezessus zwischen den Sesamknöchelchen und dem plantaren Aspekt des Os metatarsale I mit einem Raspatorium oder Meißel. Hier zeigen sich oftmals Weichteilverklebungen, welche die passive Dorsalflexion behindern. Das Ziel ist eine intraoperativ erreichbare Dorsalflexion von etwa 60°.

Resultate:

Die Resultate sind abhängig vom präoperativen Grad der Bewegungseinschränkung, dem Ausmaß der Knorpeldegeneration und den Schmerzen. Bei schlechten Resultaten bleibt bei der Cheilektomie der Rückzug für weitere Eingriffe offen 22. Die meisten Studien berichten von einer guten postoperativen Schmerzreduktion und einer kurzfristig guten Funktionsverbesserung 23 aber nicht von einer längerfristig guten Verbesserung der Gelenksbeweglichkeit 7. Je jünger und je aktiver die Patienten, desto weniger häufig sind langfristig gute Resultate zu erwarten und umgekehrt 2425.

Komplikationen:

Das intraoperativ erreichte Bewegungsausmaß kann postoperativ durch die periartikulären Vernarbungsprozesse nicht erhalten werden. Bei zu zurückhaltender ossärer Resektion steift das Gelenk in der Regel wieder ein 26. Bei zu extremer Knochenresektion hingegen besteht die Gefahr der Gelenksinstabilität mit einem Teilverlust der Gelenksfunktion in der Abstoßphase des Gehens 13.

Ist der Knorpelschaden zu gross, muss auf eine Cheilektomie verzichtet werden, um keine postoperative Schmerzexazerbation zu riskieren. Im Falle einer Arthrose der Sesamknöchelchen muss entweder eine Sesamoidektomie durchgeführt oder auf die Cheilektomie zugunsten einer Arthrodese verzichtet werden.

Nachbehandlung:

Für eine effektive Analgesie empfehlen wir den Gebrauch eines Stiefels/Walkers, der die Wadenmuskulatur miteinbezieht. Nur so sind die extrinsischen Muskeln des Vorfußes optimal ruhiggestellt. Mit dem Stiefel ist die Vollbelastung ohne Gehstützen ab dem ersten Tag postoperativ erlaubt. Nach erfolgter Wundheilung, etwa ab dem 7. Tag postoperativ, wird aus dem Stiefel heraus eine progressive aktive und passive Mobilisation des Großzehengrundgelenkes durchgeführt {Physiotherapie, Heimprogramm}. Die maximal mögliche Beweglichkeit des Gelenkes wird im Schnitt etwa 3 Monate postoperativ erreicht, die Abschwellung benötigt etwa 6 Monate.

Osteotomie Großzehengrundglied

Therapieziele:

Verbesserung der Gelenksbeweglichkeit unter Erhalt der Stabilität und Kraft mit maximaler Schmerzreduktion

Prinzip:

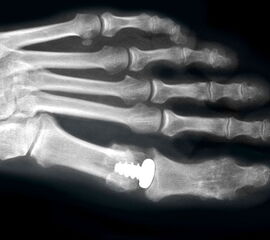
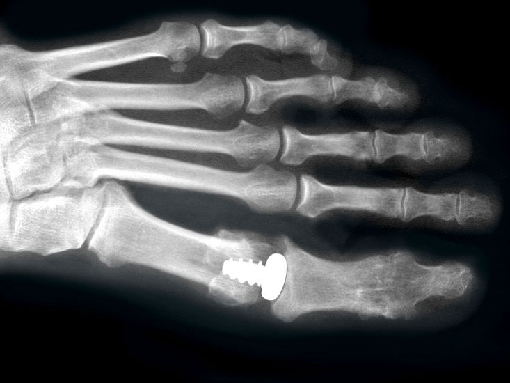
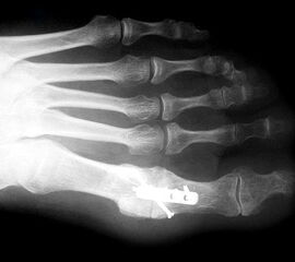
Die Osteotomie kommt als dorsal zuklappende, basis- und gelenksnahe Prozedur am Großzehengrundglied zur Anwendung (Moberg Osteotomie)14. Sie soll einen funktionellen Transfer von der Plantarflexion in die Dorsalflexion ermöglichen. Ziel ist eine Pseudo-Dorsalflexion der Großzehe mit weniger Stoßentwicklung auf das Großzehengrundgelenk in der Abschlussphase des Gehens. Wird diese Technik gewählt, muss die Plantarflexion am Großzehengrundgelenk möglich sein. Bei der Modifikation mit zusätzlicher Verkürzung kommt es zu einer deutlichen Entspannung im Gelenk. Die Osteotomie nach Moberg kann mit der Cheilektomie kombiniert werden 27(Abb. 5, 6) und entspricht dem operativen Vorgehen nach Kessel- Bonney.

Indikation und Kontraindikation:

Die klassische Indikation für die alleinige Moberg-Osteotomie ist der beginnende Hallux rigidus bei Jugendlichen ohne signifikante Osteophytenbildung. Ein Release- oder Verlängerungsplastik der M. flexor hallucis-Sehne kann kombiniert werden. Bei schlechter Gelenksmobilisation im Rahmen einer Cheilektomie ist die verkürzende Moberg-Osteotomie eine sinnvolle Ergänzung 21. Bei markanten Knorpelalterationen ist die Moberg-Osteotomie nicht sinnvoll.

Aufklärung:

Wie im Kapitel Cheilektomie. Zusätzlich besteht die Möglichkeit einer ossären Non-Union der Osteotomie.

Technik:

Bei der isolierten Osteotomie erfolgt der Schnitt medial am Großzehengrundglied mittig und nach proximal bis auf Höhe des Großzehengrundgelenkes. Es ist wichtig, den Gelenkspalt zu identifizieren, um die Osteotomie sicher extraartikulär zu führen. Wir empfehlen die Arthrotomie mit Inspektion des hyalinen Knorpels, um eine Osteochondrose auszuschließen. Die proximale Platzierung der Osteotomie im spongiösen Teil des Knochens sichert eine gute ossäre Konsolidation und eine effiziente Stellungskorrektur der Zehe. Idealerweise erfolgt die Osteotomie 1 cm distal des Gelenkspaltes mit der oszillierenden Säge. Bei Jugendlichen muss gegebenenfalls auf die Epiphysenfuge Rücksicht genommen werden. Der Schaft wird über eine möglichst kurze Strecke gelenksnahe freipräpariert. In Kombination mit der Cheilektomie erfolgt der Zugang wie oben beschrieben und wird nach distal verlängert.
Die Osteotomie wird monokortikal V-förmig angelegt. Dadurch wird die Reposition vereinfacht und ein Rotationsfehler vermieden. Die Breite der Basis des keilförmigen Resektates richtet sich nach dem Ausmass des gewünschten Korrektureffektes. Wird ein zusätzlicher Verkürzungseffekt beabsichtigt, wird die Osteotomie bikortikal angelegt. Die Verkürzung erfolgt auf der distalen Seite der Osteotomie durch Entnahme einer parallel geschnittenen Knochenscheibe. Die Osteotomie wird mit einem Kirschnerdraht fixiert und via Osteosynthese komprimiert.

Resultate:

Tendenziell ergeben Studien etwa die gleichen Resultate wie bei der Cheilektomie. Studien mit isolierter Moberg-Osteotomie beschreiben nur kleinen Fallzahlen und klare Aussagen für Kombinationseingriffe sind nicht erhältlich. Aus persönlicher Erfahrung ist die Moberg-Osteotomie nur in Kombination sinnvoll: Grad 0 bis 1 mit Synovektomie, Grad 2 mit Cheilektomie.

Komplikationen:

Wie im Kapitel Cheilektomie. Bei der isolierten Moberg-Osteotomie besteht die Gefahr der ossären Non-Union, vor allem bei zu früher und aggressiver Mobilisation der Großzehe 28.

Nachbehandlung:

Für eine effektive Analgesie empfehlen wir den Gebrauch eines Stiefels/Walkers, der die Wadenmuskulatur miteinbezieht. Nur so sind die extrinsischen Muskeln des Vorfußes optimal ruhiggestellt. Mit dem Stiefel ist die Vollbelastung ohne Stöcke ab dem ersten Tag postoperativ erlaubt. Nach erfolgter Wundheilung, etwa ab dem 7. Tag postoperativ, wird aus dem Stiefel heraus eine vorsichtige passive Mobilisation des Großzehengrundgelenkes durchgeführt {Physiotherapie, Heimprogramm}. Die volle Mobilisierbarkeit ist erst nach der ossären Konsolidation frühestens 4 Wochen postoperativ gegeben (Röntgenverlaufskontrolle). Die maximal mögliche Beweglichkeit des Gelenkes wird im Schnitt etwa 3 Monate postoperativ erreicht, die Abschwellung benötigt etwa 6 Monate.

Osteotomie Os metatarsale I

Therapieziele:

Schmerzreduktion und Verbesserung der Gelenksfunktion durch Veränderung der Position des Metatarsale-I-Kopfes und/oder Modifikation der Stellung/Länge des Metatarsale-I-Schaftes.

Prinzip:

Mit der Osteotomie am Os metatarsale I kann der Kopf derotiert, verkürzt und gleichzeitig plantarflektiert werden. Mit der Derotation kann der noch vorhandene intakte hyaline Knorpel in die Hauptbelastungszone des Metatarsalekopfes eingedreht werden. Hierfür wird ein schräger Keil am Collum des Os metatarsale I entnommen und so der Kopf beim Zuklappen der Osteotomie nach dorsal eingedreht. Dadurch verschiebt sich der plantare Knorpel nach dorsal. Gleichzeitig wird das Os metatarsale I etwas verkürzt und damit das Gelenk entspannt. Durch die Breite der Basis des Keiles wird das Ausmaß der Derotation bzw. der Verkürzung definiert. Wird eine zusätzliche Verkürzung gewünscht, empfiehlt sich eine mittschaftige schräge Osteotomie (von distal dorsal nach proximal plantar) um einer Transfermetatarsalgie vorzubeugen. Bei einem ausgeprägten und fixierten Metatarsus primus elevatus kann eine proximale plantar zuklappende Osteotomie der Basis des Os metatarsale I erfolgen 315. Die Osteotomien am Os metatarsale I können mit der Cheilektomie kombiniert werden.

Indikation und Kontraindikation:

Eine gute Indikation für die dorsal rotierende Osteotomie ist der substantielle Knorpeldefekt in der Hauptbelastungszone des metatarsophalangealen Gelenkes mit gutem plantaren Restknorpel. In diesem Sinne stellt sie eine Erweiterung der Indikation für die Cheilektomie dar. Ob und inwiefern sich der gelenksentlastende Effekt durch die rotationsbedingte Verkürzung des Metatarsalekopfes auswirkt, ist umstritten. Eine zusätzliche Verkürzung (Entlastung) durch die Entnahme einer Knochenscheibe beinhaltet die Gefahr einer Destabilisierung des Gelenkes und der Transfermetatarsalgie. Da sich der Metatarsus primus elevatus unabhängig von der Ausprägung durch die Cheilektomie (oder Arthrodese) spontan korrigiert 10, ist die Indikation für eine plantar flektierende proximale Osteotomie des Os metatarsale auf seltene fixierte Fälle (z.B. Arthrose des TMT I-Gelenkes) beschränkt.

Aufklärung:

Gemäß Kapitel Cheilektomie. Zusätzlich besteht die Möglichkeit einer ossären Non-Union der Osteotomie. Wie bei der Cheilektomie und der Moberg-Osteotomie kann der Spontanverlauf der Erkrankung nicht wesentlich beeinflusst werden.

Technik:

Bei der isolierten Osteotomie erfolgt der Schnitt medial am Großzehengrundgelenk mittig und nach proximal bis auf Höhe der Schaftmitte des Os metatarsale I. Es erfolgt die Arthrotomie, um den hyalinen Knorpel zu inspizieren. Die plantare hyaline Knorpelschicht muss gut erhalten sein. Das Ausmass des Knorpeldefektes definiert das Maß der Rotation des Metatarsalekopfes. Das Ziel ist es, gut erhaltenen Knorpel in die Hauptbelastungszone zu drehen. Es erfolgt die Synovektomie und gegebenenfalls eine zurückhaltende Osteophytenabtragung. Die Osteotomie erfolgt keilförmig schräg dorsal vom Collum an die Basis des Metatarsalekopfes. Bei Bedarf wird nachreseziert, bis das gewünschte Maß an Rotation gefunden ist. Die korrigierte Stellung wird mit einem Kirschnerdraht fixiert und mittels Kleinfragmentschraube komprimiert. Ossäre Überstände werden mit der Säge reseziert. Die proximale plantar zuklappende Osteotomie wird basisnahe geführt. Wichtig ist die Definition des tarsometatarsalen Gelenkspaltes, um die Osteotomie sicher extraartikulär zu legen. Mit einer Auflagefläche unter dem Fuss (z.B. Deckel des Instrumentensiebes) kann der Boden simuliert und so die Position des Os metatarsale I dreidimensional überprüft werden.

Resultate:

Zurzeit liegen keine Resultate über Langzeitstudien der Osteotomien am Metatarsale-I-Schaft vor. Der Nutzen der Entspannung des Gelenkes durch Verkürzung ist nicht erhärtet 2829. Die Fallzahlen der Studien sind zu klein und die Beobachtungszeiten zu kurz. Insgesamt bleiben neben der Cheilektomie und den guten Langzeitresultaten 10 wenig Indikationen, welche den Gebrauch der Korrekturosteotomie am Os metatarsale I bei Arthrosen Grad I und II rechtfertigen

Komplikationen:

Bei der Osteotomie besteht die Gefahr der ossären Non-Union, vor allem bei zu früher und aggressiver Mobilisation der Großzehe. Durch eine unsachgemässe Technik kann es zu dreidimensionalen Fehlstellungen des Metatarsale-I-Kopfes kommen, welche nur schwer zu korrigieren sind 28.

Nachbehandlung

Für eine effektive Analgesie empfehlen wir den Gebrauch eines Stiefels/Walkers, der die Wadenmuskulatur miteinbezieht. Nur so sind die extrinsischen Muskeln des Vorfußes optimal ruhiggestellt. Mit dem Stiefel ist die Vollbelastung ohne Gehstützen ab dem ersten Tag postoperativ erlaubt. Nach erfolgter Wundheilung, etwa ab dem 7. Tag postoperativ, wird aus dem Stiefel heraus eine vorsichtige passive Mobilisation des Großzehengrundgelenkes durchgeführt {Physiotherapie, Heimprogramm}. Die volle Mobilisierbarkeit ist erst nach der ossären Konsolidation frühestens 4 Wochen postoperativ gegeben (Röntgenverlaufskontrolle). Die maximal mögliche Beweglichkeit des Gelenkes wird im Schnitt etwa 3 Monate postoperativ erreicht, die Abschwellung benötigt etwa 6 Monate

Interpositionsarthroplastik

Therapieziele:

Schmerzreduktion und Erhaltung einer residuellen Gelenksbeweglichkeit auch bei fortgeschrittener Gelenksdestruktion

Prinzip:

Resektionsarthroplastik in Kombination mit einem Kapsel- oder Sehneninterponat als biologischer Platzhalter unter Erhalt der Zehenlänge, der Gelenkszentrierung und Insertionen der kurzen Flexoren-Sehnen. Gebräuchlich sind die kapsuläre Interpositionsarthroplastik 30313233 sowie die Sehneninterpositionsarthroplastik 11. Bei der kapsulären Interpositionsarthroplastik wird die Resektionsarthroplastik mit der Interposition von Kapselgewebe kombiniert. Dieses dient als biologischer Puffer. Die Sehneninterpositionsarthroplastik basiert auf der gleichen Idee. Hier wird jedoch eine ortsfremde Sehne als Puffer verwendet, ähnlich der Eppingplastik an der Hand bei der Behandlung der Rhizarthrose. Bei der Methode nach Coughlin 11 kommt die M. grazilis-Sehne zum Einsatz. Zur Aufnahme und Stabilisierung der gequirlten Sehne im Gelenksspalt wird die Basis des Grundgliedes sowie der Metatarsalekopf konisch gefräst.

Indikation und Kontraindikation:

Die Indikation beinhaltet Hallux rigidus Grad III und IV, wo eine Arthrodese, eine Keller-Brandes Operation oder die Implantation einer Prothese in Betracht gezogen wird. Die Vorteile gegenüber der reinen Resektionsarthroplastik sind: weniger Transfermetatarsalgien, weniger Fehlstellungen der Großzehe (cock-up deformity), weniger Verkürzungen der Großzehe, bessere aktive Kontrolle der Großzehenfunktion, weniger ausgeprägter Kraftverlust der Beugekraft. Wegen der erhöhten Komplikationsrate bleibt die reine Resektionsarthroplastik anspruchslosen älteren Patienten vorbehalten, welche sich nicht für eine andere Operationstechnik eignen. Für die Interpositionsarthroplastik sollte die Länge der Metatarsalia I und II gleich sein. Wegen der erhöhten Gefahr einer Transfermetatarsalgie stellt ein kurzes erstes Os metatarsale eine Kontraindikation dar.

Aufklärung:

Zu rechnen ist mit einem Verlust an Beugekraft der Großzehe. Die präoperativ vorhandene Gesamtbeweglichkeit kann postoperativ meist nicht erhalten werden. Bei unbefriedigendem Resultat besteht wie bei den das Gelenk erhaltenden Eingriffen die Rückzugsmöglichkeit in die Arthrodese.

Technik:

Bei der reinen Resektionsarthroplastik erfolgt der Zugang medial zum Gelenk. Die Kapsel wird längs eröffnet. Es erfolgt die Exostosenabtragung für eine gute Gelenksübersicht. Anschließend wird der Knochen reseziert und plane Flächen geschaffen. Es ist es wichtig, die Resektion am Zehengrundglied so zu limitieren, dass die M. flexor hallucis brevis-Sehnenzügel nicht durchtrennt werden. Damit soll eine Destabilisierung der Großzehe (cock-up deformity) verhindert werden. Am Metatarsale-I-Kopf kann bis auf die Höhe der maximalen Zirkumferenz reseziert werden. Damit bleibt die Aufnahme von Gewicht unter dem Metatarsalekopf gewährleistet und wird einer Transferproblematik vorgebeugt. Es empfiehlt sich, die Großzehe für 4 Wochen über eine temporäre Kirschnerdrahtfixation zu stabilisieren.

Kapsuläre Interpositionsarthroplastik nach Hamilton 31:

Zuerst erfolgt das Darstellen der Gelenkkapsel über einen medialen Zugang mit Längsinzision der Kapsel mittig sowie Ablösen des Kapselgewebes periostal dorsal und plantar vom Grundglied und dem Os metatarsale I. Dann wird mit der oszillierenden Säge die Cheilektomie  am Metatarsale-I-Kopf und die Resektion von maximal 25% der Basis des Grundgliedes vorgenommen. Hierbei wird die M. flexor hallucis brevis-Sehne durchtrennt und vorerst belassen. Die Gelenkkapsel wird zusammen mit der M. extensor hallucis brevis-Sehne mobilisiert und nach distal in den Gelenkspalt transferiert. Die M. flexor hallucis brevis-Sehne und die M. extensor hallucis brevis-Sehne werden im Gelenkspalt miteinander vernäht und die Kapsel mit der Umgebung refixiert. Es erfolgt eine temporäre Stabilisierung des Gelenkes mit einem doppelspitzen Kirschnerdraht in inside-outside Technik.

Sehneninterpositionsarthroplastik nach Coughlin 11:

Der Zugang erfolgt längs dorsal am Großzehengrundgelenk, um die Gelenksflächen gut bearbeiten zu können. Das Extensorenretinakulum wird längs medial der Streckersehnen gespalten und die Sehnen nach lateral weggehalten. Dann wird die Kapsel längs eröffnet mit Entfernung der Osteophyten und Exposition der Basis des Grundgelenkes sowie des Metatarsalekopfes. Nun wird ein Führungskirschnerdraht eingebracht und die beiden Gelenksflächen gemäss der Dimension der proximalen Grundgliedbasis konisch gefräst. Dann erfolgt die Entnahme der ipsilateralen M. grazilis- oder M. semitendinosus-Sehne mit dem Sehnenstripper. Das Transplantat wird kugelförmig gerollt, vernäht und in die gefräste Knochenhöhle eingebracht. Anschließend wird das Transplantate an der Kapsel armiert und die Kapsel verschlossen. Bei ungenügender Stabilität der Großzehe kann ein temporärer Kirschnerdraht für 4 Wochen eingebracht werden.

Resultate:

Bei der reinen Resektionsarthroplastik berichtet die Literatur über eine hohe Komplikationsrate und schlecht planbare Resultate 834353637. Die Resultate waren besser bei der Behandlung des Hallux rigidus im Vergleich zur Therapie beim Hallux valgus 5.
Bei der kapsulären Interpositionsarthroplastik wird eine gute Patientenselektion empfohlen, d.h. wichtig ist die Länge des ersten Os metatarsale  (länger oder mindestens gleichlang wie das Os metatarsale II) 31. Die Literaturangaben sind widersprüchlich aber es darf wohl realistischerweise bei mehr als der Hälfte der Patienten mit befriedigenden Resultaten gerechnet werden 31303211. Die Interpositionsarthroplastik soll als Alternative bei Patienten empfohlen werden, bei denen die Arthrodese trotzt genauer Aufklärung nicht in Frage kommt. Bei Versagen bleibt der Rückzug in die Arthrodese offen. Gleiches gilt für die Sehneninterpositionsarthroplastik.

Komplikationen:

Bei der reinen Resektionsarthroplastik werden folgende häufige  Komplikationen in der Literatur beschrieben: Dorsalfehlstellung der Großzehe (cock-up deformity), Einsteifung des interphalangealen Gelenkes, übermäßige Verkürzung der Großzehe, reduzierte Zehenfunktion, Kraftreduktion 538. Aus diesem Grund wird die Resektionsarthroplastik nur bei älteren Patienten ohne große Ansprüche an die Fußfunktion empfohlen.
Bei den Interpositionsarthroplastiken wird als Komplikation ein Kraftverlust der Großzehe und die Gefahr einer Transfermetatarsalgie erwähnt 3130343211.

Nachbehandlung:

Für eine effektive Analgesie empfehlen wir für alle erwähnten OP Techniken den Gebrauch eines Stiefels/Walker, der die Wadenmuskulatur mit einbezieht. Mit dem Stiefel ist die Vollbelastung ohne Stöcke ab dem ersten Tag postoperativ erlaubt.  Ein allfällig verwendeter Kirschnerdraht wird nach 4 Wochen gezogen. Die Großzehenmobilisation wird erst ab der 5. Woche postoperativ initiiert. Die maximal mögliche Beweglichkeit des Gelenkes wird im Schnitt etwa 3 Monate postoperativ erreicht. Die Abschwellung des Gelenkes benötigt etwa 6 Monate.

Arthrodese

Therapieziele:

Vollständige Schmerzreduktion bei fortgeschrittener Gelenksdestruktion

Prinzip:

Fusion des Gelenkes unter Resektion der arthrotisch veränderten Gelenksflächen. Durch die Aufhebung der Gelenksfunktion wird eine effiziente Schmerzbeseitigung erreicht. Die Fußwurzelgelenke und das Großzehenzwischengelenk vermögen die verminderte Vorfußbeweglichkeit funktionell zu einem großen Teil zu kompensieren. Mit der Arthrodese wird die Stabilität und Belastbarkeit des ersten Strahles erhalten.

Indikation und Kontraindikation:

Die klassische Indikation für die Arthrodese ist der Hallux rigidus Grad III und IV. Die Arthrodese bietet darüber hinaus die ideale Rückzugsmöglichkeit bei Versagen aller anderen OP-Techniken. Kontraindikationen bestehen nur, wenn eine ossäre Non-Union zu befürchten ist (Infektion, Osteonekrose etc.).

Aufklärung:

Das Hauptproblem bei der Arthrodese ist die Wahrnehmung von Patientenseite. Die „Versteifung des Großzehengrundgelenkes“ wird als invalidisierende Maßnahme eingeschätzt. Umso wichtiger ist die gründliche Aufklärung des Patienten, dass die Arthrodese im Rahmen eines Hallux rigidus durch die effiziente Schmerzbefreiung zu einer deutlichen Funktionsverbesserung des Fußes führt (Abstoßkraft, Gangbild etc.). Bei Revisionsoperationen ist die Toleranz gegenüber der Arthrodese präoperativ in der Regel deutlich besser. Erwähnenswert ist die mögliche leichte Verkürzung der Großzehe, was bei einer Überlänge Dig II unter Umständen in die OP-Planung einfließen muss (Verkürzung Dig. II). Der Zehenspitzenstand ist aufgehoben und die Absatzhöhe bei Damenschuhen auf etwa 4 cm begrenzt. Bei Damen mit einer Vorliebe für überhohe Absätze muss die resultierende Großzehenposition genau besprochen werden (siehe OP Technik).

Technik:

Die Morphologie des Gelenkes ist Grundlage für die Wahl der Operationstechnik (Röntgenbild). Bei flachem Metatarsalekopf erfolgt die Arthrodese über plane Osteotomieflächen (Abb. 7), ansonsten kann mit konkaven (Metatarsalekopf) und konvexen (Grundglied) Fräsen die Gelenkskonfiguration erhalten werden. Die Technik mit den Arthrodeseflächen ist technisch anspruchsvoll (Definition der korrekten Stellung der Großzehe) und resultiert in einer Verkürzung der Großzehe um einige Millimeter. Mit den Fräsen kann wie bei einem Kugelgelenk die optimale Großzehenposition einfach getestet werden ohne dass die Großzehe wesentlich an Länge einbüsst (keine Nachresektion zur Stellungskorrektur nötig).
Der Zugang bei der Arthrodese über Osteotomieflächen erfolgt von medial auf das Gelenk. Nach der Eröffnung der Gelenkkapsel folgt die Osteophytenabtragung, um die Übersicht und den Zugang zum Gelenk zu verbessern. Eine Kapsulolyse zur Entspannung des Gelenkes ist hilfreich. Zuerst wird die metatarsale Gelenksfläche am Collum anatomicum osteotomiert. Die Osteotomiefläche liegt rechtwinklig zum Metatarsale-I-Schaft. Dann wird die Großzehe in der gewünschten Position manuell gehalten, auf die Osteotomiefläche abgestützt und so die Resektionsebene am Grundglied visuell abgeschätzt. Das Ausmass der Resektion am Grundglied richtet sich nach der Konkavität der Gelenksfläche. Der subchondrale Knochen ist meist sehr hart und die Resektion deshalb schwierig. Die Großzehe wird auf dem Os metatarsale mit einem Kirschnerdraht fixiert und die Zehenposition überprüft. Mit dem Deckel der Implantatbox kann der Boden simuliert werden (Abb. 8). Unter Umständen muss die Osteotomieebene korrigiert werden. Dies erfolgt auf der weicheren metatarsalen Seite. Die optimale Zehenstellung ist individuell und hängt von der Form der Fußlängswölbung und den Bedürfnissen des Patienten ab. Die Höhe des Fersenabstandes zum Boden kann mit dem Fuß auf dem Deckel des Instrumentensiebes und einem Maßstab gut definiert werden. Der Assistent beurteilt die Ausrichtung der Großzehe in der transversalen Ebene. Eine leichte Valgus-Stellung ist wünschenswert.
Der Zugang bei der Arthrodese mit den konischen Fräsen erfolgt von dorsal, da das Gelenk dadurch besser exponiert werden kann. Die Streckersehnen werden nach lateral weggehalten. Das Grundglied wird nach der Osteophytenabtragung und der Kapsulolyse scharnierartig nach plantar gekippt. Zentral in die Knochen eingebrachte Führungskirschnerdrähte ermöglichen das Fräsen und Abrunden des Kopfes und das Modellieren der kongruenten Grube an der Zehenbasis. Die Definition der idealen Zehenposition erfolgt wiederum mit einer flachen Unterlage. Diverse Fixationstechniken sind beschrieben 3940. Wir fixieren die Arthrodese mit einer Platte 2,0 (Abb. 9-12) oder 2,7, da mit den kleinen Implantatdimensionen bei Bedarf mehrere unterschiedliche Schraubenpositionen möglich sind.

Resultate:

Im Vergleich zu den übrigen Methoden zur Behandlung des Hallux rigidus zeigt die Arthrodese eine Erfolgsrate von 80 – 100% 341424340. Nur in wenigen Fällen ist die Metallentfernung notwendig 44. Die Osteosynthesetechnik scheint keinen wesentlichen Einfluss auf die Fusionsrate zu haben. Neuerdings werden für selektierte Fälle perkutane Verfahren propagiert 40.

Komplikationen:

Hauptkomplikationen sind: ungünstige Stellung der Großzehe, ossäre Non-Union und Schmerzen im Großzehenzwischengelenk. Ungünstige Stellungen der Großzehe werden in allen Ebenen (Flexion, Rotation, Varus/Valgus) schlecht toleriert und resultieren meist in einem schmerzhaften Großzehenzwischengelenk. Eine Position um 20° Dorsalflexion wird als optimal zur Verhinderung von Überlastungsreaktionen am Großzehenzwischengelenk gesehen 45. Bei der Non-Union kann das Metall entfernt werden, mit dem Resultat einer fibrösen Verbindung mit stabiler, oftmals schmerzfreier Wackelbewegung der Großzehe 44.

Nachbehandlung:

Wir verwenden einen Walker/Stiefel für 4 Wochen nach der Operation. Die Vollbelastung ist mit dem Stiefel ab dem ersten Tag nach dem Eingriff erlaubt. Eine Röntgenverlaufskontrolle erfolgt nach 4 Wochen mit Entscheid für den weiteren Belastungsaufbau in normalem Schuhwerk. Bei Bedarf kann in Alltagsschuhen eine Sohlenversteifung mit Abrollrampe angefertigt werden.

Prothetik

Therapieziele:

Vollständige Schmerzreduktion bei fortgeschrittener Gelenksdestruktion

Prinzip:

Vollständiger oder teilweiser Ersatz der destruierten Gelenksflächen unter Erhalt  der  Gelenksbeweglichkeit bzw. Stabilität und damit des biomechanischen Verhaltens des Fusses unter Belastung. Verschiedene Produkte sind auf dem Markt: Hemiprothesen zementiert und unzementiert, Totalprothesen mit Metall-Metall-Paarungen oder Metall-Polyäthylen-Paarungen zementiert und unzementiert, Silikonimplantate, Keramikkomponenten.

Indikation und Kontraindikation:

Prothesen am Großzehengrundgelenk werden für folgende Indikationen diskutiert: Hallux rigidus Grad III und IV, Rheumatoide Arthritis und als Rückzugsmöglichkeit bei misslungener Chirurgie am ersten Strahl 46.

Aufklärung:

Nach heutigem Stand der Erfahrungen muss die Prothese des Großzehengrundgelenkes als Therapieversuch offeriert werden. Meist sind es Patientinnen, die sich mit der Idee einer Arthrodese (Stichwort „Versteifung“) nicht anfreunden können, welche die Prothese wünschen. Wichtig ist die Erwähnung, dass die Beweglichkeit trotz Prothese nur in Ausnahmefällen der eines gesunden Gelenkes entspricht. Meist resultiert ein zusätzlicher Verlust an Beweglichkeit und die vollständige Schmerzbefreiung ist nicht so sicher wie bei der Arthrodese. Zeigt sich intraoperativ, dass die Prothese nicht wie gewünscht korrekt implantiert werden kann, muss eventuell auf eine Arthrodese gewechselt werden. Diese Möglichkeit besteht vor allem bei voroperierten Gelenken und muss mit den Patienten vorher so besprochen werden.
Für den Fall eines Versagens der Prothese muss zudem die Konsequenz einer aufwändigen Zweitintervention diskutiert werden (Interpositionsarthrodese mit Beckenkammkortikalis und Spongiosaplastik).

Technik:

Die Technik richtet sich im Detail nach dem Produkt. Üblicherweise wird ein dorsaler Zugang zum Gelenk gewählt. Wichtig ist, dass der intermetatarsale Winkel I/II normal ist oder korrigiert wird. Bei allen Prothesentypen gilt es, die Band- und Sehnenspannung am Gelenk zu erhalten (Weichteilbalancierung) unter gleichzeitiger Korrektur der Großzehenstellung. Gelingt dies nicht, muss intraoperativ auf die Arthrodese gewechselt werden. Die Prothetik am Großzehengrundgelenk zeigt eine lange Lernkurve mit noch vielen Unbekannten. Sie ist deshalb nur sehr erfahren Fußchirurgen vorbehalten.

Resultate:

Die ersten Versuche mit der Prothetik am Großzehengrundgelenk wurden mit metallischen Hemi-Implantaten (Abb. 13, 14) vorgenommen. Eine Studie 47 mit größerem Kollektiv im Langzeitverlauf zeigte befriedigende Resultate, trotzdem hat sich die Technik bis heute nicht wirklich durchgesetzt. Der gleiche Autor verglich die Endoprothese mit der periartikulären Osteotomie und konnte keine wesentlichen Unterschiede feststellen 48. Eine neuere Studie vergleicht die Hemiarthroplastik mit der Arthrodese und der Resektionsarthroplastik und kann keine signifikanten Unterschiede feststellen 49. Metall–Polyäthylen-Paarungen zeigten eine hohe Lockerungsrate der Komponenten, weshalb sich diese Paarung ebenfalls nicht durchsetzte 505152. Am meisten Erfahrung besteht mit der Silikonprothese. Initial als Hemiprothese propagiert 46, wurde wegen mangelhaften Erfolgen 5354 die Totalprothese mit zwei Schäften eingeführt 55. Die Langzeitergebnisse sind widersprüchlich 55565758 so dass wegen der Verunsicherung dieses Model aktuell nicht regelmässig zum Einsatz kommt.
Bei vielen Studien sind entweder die Zahlen zu klein, die Beobachtungszeit zu kurz oder der Langzeitverlauf unklar. Aus den Studien lassen sich somit aktuell keine klaren Empfehlungen ableiten.

Komplikationen:

Der Grund für die hohe Komplikationsrate (Schmerzen, Bewegungsverlust, Fehlstellungen, Prothesenlockerungen) 59 bei der Prothetik am Großzehengrundgelenk ist nicht gänzlich geklärt. Neben materialtechnischen Faktoren (z.B. Ermüdungsfrakturen bei Silikonimplantaten, Lyse durch Silikonpartikel) oder Problemen an Kontaktflächen (Zystenbildung) spielen biologische und chirurgisch-technische Faktoren eine Rolle. Oft resultiert trotz intraoperativ tadelloser Beweglichkeit ein dramatischer Verlust an Beweglichkeit im Rahmen der postoperativen Fibrose oder wegen periprothetischen Exostosen.  Chirurgische Faktoren sind: ungenügende Korrektur des intermetatarsalen Winkels I/II beim Hallux valgus, Verletzungen von Bändern und Sehnen am Großzehengrundgelenk, schlechte Balancierung der Weichteile mit asymmetrischen Sehnen- und Bandzügen, mangelhafte Verankerung der Implantate und schlechte kortikale Abstützung, low grade-Infektion, schlechte Patientenselektion. Die Rückzugsmöglichkeit ist die Prothesenentfernung mit anschliessender Interpositionsarthroplastik, meist mit einem trikortikalen Stück autologem Beckenkamm und Spongiosaplastik.

Nachbehandlung:

Für eine effektive Analgesie empfehlen wir für alle erwähnten OP Techniken den Gebrauch eines Stiefels/Walker, der die Wadenmuskulatur mit einbezieht. Mit dem Stiefel ist die Vollbelastung ohne Stöcke ab dem ersten Tag postoperativ erlaubt.  Nach erfolgter Wundheilung, etwa ab dem 7. Tag postoperativ, wird aus dem Stiefel heraus eine aktive und passive Mobilisation des Großzehengrundgelenkes (Physiotherapie, Heimprogramm). Die maximal mögliche Beweglichkeit des Gelenkes wird im Schnitt etwa 3 Monate postoperativ erreicht. Die Abschwellung des Gelenkes benötigt etwa 6 Monate. Regelmäßige klinische und radiologische Kontrollen werden empfohlen.

Loading…
Loading the web debug toolbar…
Attempt #