Kurzzusammenfassung

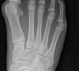
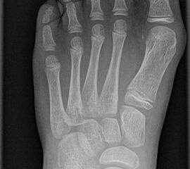
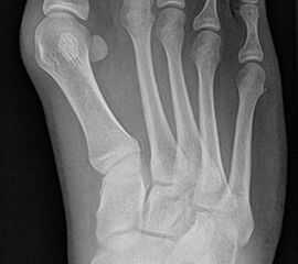
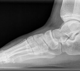
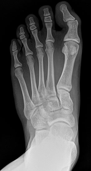
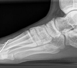
Bei einem juvenilen Hallux valgus handelt es sich um eine schon im Kindes – oder Adoleszentenalter 1 bestehende Valgusdeviation der großen Zehe bei Spreizfuß mit vergrößertem Intermetatarsalwinkel I / II aufgrund einer Adductionsstelllung des Metatarsale I – Metatarsaus primus varus.

Davon abzugrenzen ist der Hallux valgus interphalangeus ohne zugrundeliegenden Spreizfuß. Hierbei handelt es sich um eine Fehlstellung des Grundgliedes bei dem der mediale Anteil länger ist als der laterale und dadurch die distale Gelenkfläche des Grundgliedes am Endgelenk valgisch steht. Das Grundgelenk steht orthograd. Möglich ist darüber hinaus eine Kombination aus einer Hallux valgus Fehlstellung mit Hallux valgus interphalangeus Deformität.

Epidemiologie und Ätiologie

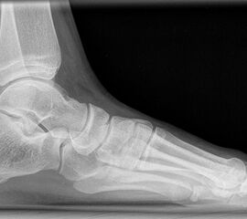
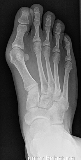
Im Gegensatz zum Hallux valgus des Erwachsenen ist die Valgusabweichung der großen Zehe meist geringer ausgeprägt als bei Erwachsenen, der Intermetatarsalwinkel oft stark vergrößert. Die Angaben ab wann der Intermetatarsalwinkel als vergrößert gilt schwanken zwischen > 9° 2 und >14°3. Das Ausmaß der Beschwerden korrelieren nicht mit dem Auftreten und dem Schweregrad der Deformität (Zollinger 1990, Zollinger 1993). Begünstigend wirkt eine Schrägstellung des ersten Tarsometatasalgelenkes (Hefti 1998) und eine Hypermobilität dieses Gelenkes 2 in Kombination mit einer Bindegewebsschwäche. Häufig liegt eine positive Familienanamnese vor. In einer Untersuchung von Coughlin fand sich eine Vererbung über die mütterliche Linie in 72%, ein milder bis stark ausgeprägter Knick-Senkfuß in 17% (das entspricht der Quote von Knick-Senkfüßen in der Normalbevöl­kerung) aber in 22% ein Pes adductus, das ist wesentlich mehr als in der Normalbevölkerung zu erwarten wäre 4. Auch für Hefti (1998) gilt der Pes adductus als Komponente des Sichelfußes als begünstigend. Zur Inzidenz des Hallux valgus juvenilis finden sich je nach Autor verschiedene Angaben. Nach Auswertung von Schuluntersuchungen liegt die Häufigkeit zwischen 1,6 % bis 17% 56. Häufig tritt die Fehlstellung doppelseitig auf. Der Anteil der betroffenen Mädchen liegt 4-5x höher als bei Jungen (Lamprecht 2015).
Auch einige Syndrome gehen mit der Ausbildung eines ausgeprägten Spreißfuß mit Hallux valgus einher. Auf der Abbildung ein junger Erwachsener mit Trisomie 21.

Beim Hallux valgus interphalangeus sind Jungen 3x häufiger betroffen als Mädchen (Lamprecht 2015).

Symptomatik

Es bestehen am häufigsten Schuhdruckprobleme an der Pseudoexosteose mit oder ohne akuter oder chronischer Bursitis. Bei starker Valgusstellung der großen Zehe kommt es zu Durckbeschwerden durch die Kollision mit der zweiten Zehe. Diese kann dadurch in eine Super- oder Infaductusstellung gedrängt werden.  Metatarsalgien sind bei Jugendlichen noch selten. Die Beweglichkeit der Zehengelenke ist bei Kindern und Jugendlichen meist nicht eingeschränkt (Hefti 1998).
Beim Hallux valgus interphalangeus treten lateral bei Druck gegen die zweite Zehe Beschwerden auf, bis hin zu Nagelentzündungen im Sinne eines Unguis incarnatus. Häufig kommt es zu einer Flexionsstellung im Endglied das dann Schuhdruckprobleme und auch Schmerzen sowie Beschwielung medial am Interphalangealgelenk über der medialen Kondyle des Grundgliedköpfchens hervorruft.

Diagnostisches Vorgehen

Untersuchung

Es ist wichtig die Patienten im Stehen und im Liegen zu untersuchen, um dynamische Fehlstellungen feststellen zu können. Erhoben werden sollten durch Inspektion und Palpation folgende klinische Befunde

  • Form und Breite des Fußes
  • Beschwielung
  • Druckschmerzen (Weichteil, Knochen, Sehnenansätze, Sehnenverlauf)
  • Nervenirritationen
  • Mediales Fußgewölbe
  • Zehenindex
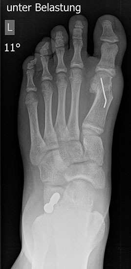
  • Hallux valgus Winkel
  • Pseudoexostose
  • Bursitis (akut, chronisch)
  • Beweglichkeit der großen Zehe
  • Kleinzehenstellung – und Beweglichkeit
  • Stabilität/Mobilität im Metatarso-Cuneiforme Gelenk
  • Rückfußstellung
  • Verkürzung des Gastroc-Soleus Komplexes 7
  • Periphere Durchblutung, Motorik und Sensibilität einschließlich der Hautverhältnisse

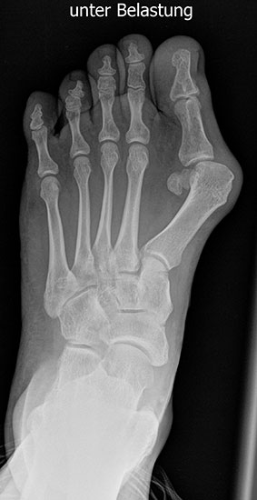
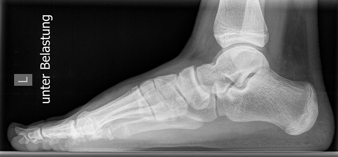
Röntgen

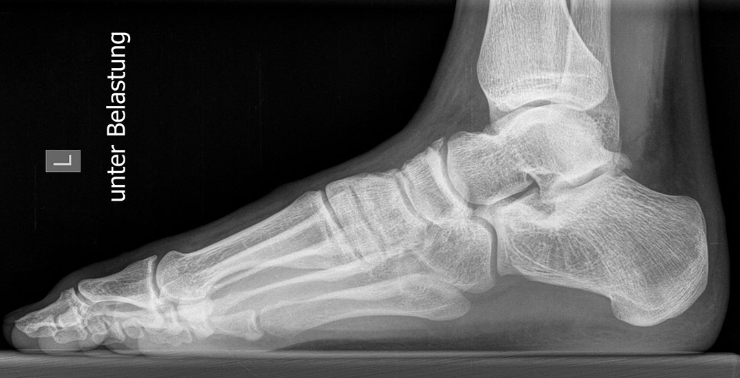
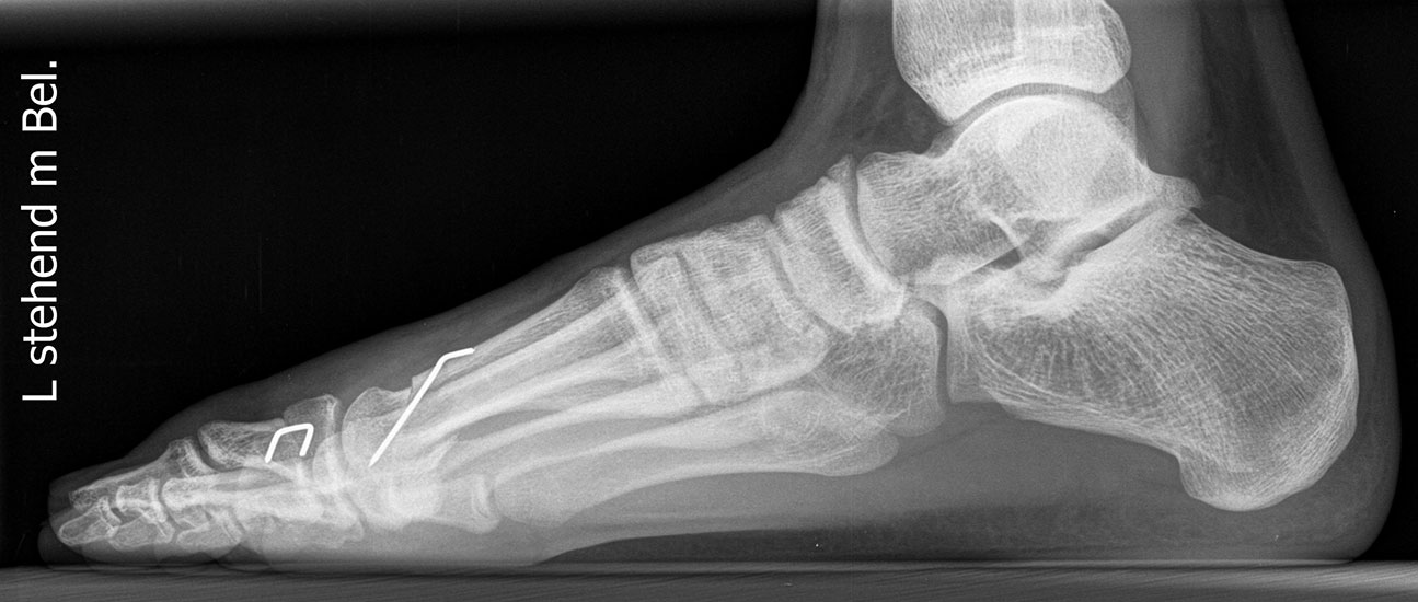
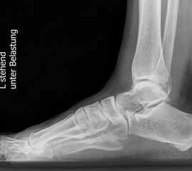
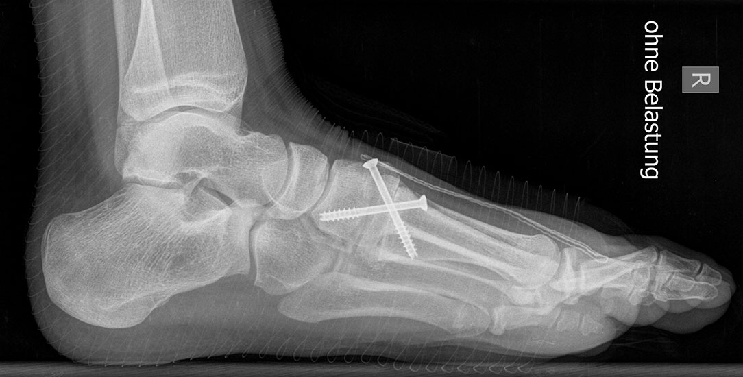
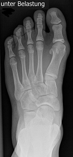
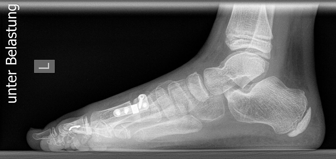
Standard ist die belastete Röntgenaufnahme des Fußes dorso-plantar und seitlich. Günstig ist eine Röhrenkippung von 10°-20°, um die Gelenke der Lisfranc-Linie einsehen zu können.

Siehe auch Beiträge unter: https://www.my-medibook.de/bildgebung.html

Ergänzend kann eine Schrägaufnahme hilfreich sein. Bei Metatarsalgien oder Pathologien der Sesambeine liefert die Sprinteraufnahme zusätzliche Informationen. Bei einer Pes planovalgus Fehlstellung wird ergänzend ein Saltzman view durchgeführt.

  • Hallux valgus Winkel
  • Hallux valgus interphalangeus Winkel
  • Intermetatarsalwinkel I zu II
  • Distaler Metatarsale Gelenkwinkel (PASA)
  • Form des Mittelfußknochenkopfes
  • Winkel Metatarsale I Basis zum Os cuneiforme mediale
  • Metatarsalindex
  • Elevation/ Plantarisierung I. Strahl
  • Pes metatarsus adductus
  • Wachstumsfugen
  • Coalitiones
  • Akzessorische Knochen
Tabelle 1: Normwerte der Winkelmaße
Intermetatarsalwinkel Hallux valgus Winkel
Normalwerte < 10° < 20°
Leichte –mittelgradige Fehlstellung 10°- 16° 20°- 40°
Schwere Fehlstellung > 16° > 40°

Weiterführende Bildgebung

CT, MRT, Szintigraphie, Sonographie oder andere ergänzende Untersuchungen sind beim alleinigen Auftreten eines Spreizfußes und Hallux valgus meist nicht notwendig. Zur Beurteilung der gestörten Druckverteilung kann ergänzend eine Pedobarographie durchgeführt werden.

Siehe auch Beitrag "Pedobarographie/Pedographie".

Konservative Behandlung

Viele Autoren sehen bei Kindern und Jugendlichen keinen positiven Nutzen durch Einlagen 8, da dadurch weder die Breite des Fußes noch die Zehenfehlstellung der großen Zehe beeinflusst werden kann. Jedoch können genügend weite Schuhen und Einlagenversorgung zur Optimierung der plantaren Belastung Druckbeschwerden lindern (Lamprecht 2012).
„Wenn beim Kind die Zehe krumm steht, die Einlage sie nicht gerade dreht“ (Hefti 1998).
Eine Cohortenuntersuchung von García-Rodríguez et al. zeigte, daß jedes 6. Kind Einlagen trägt - die meisten unnötig. Von 2-3% Prozent der Kinder, die Einlagen benötigen würden, ist nur jedes 4. Kind adäquat mit Einlagen versorgt. Das heißt, daß zu viele fußgesunde Kinder tragen Einlagen, während die echten Problemfüße unterversorgt  sind 9.
Als teilweise aussichtsreich wird die Behandlung mit Hallux valgus Nachtschienen gesehen 10. Damit soll der Verkürzung der Sehnen und der lateralen Kapsel entgegengewirkt werden. Es gibt einige Firmen, die auch Modelle zum Tragen in Konfektionsschuhen tagsüber anbieten.
Im Bereich der Physiotherapie zur Stärkung der Fußbinnenmuskulatur und Verbesserung der Fußstellung hat sich in den letzten Jahren die Spiraldynamik erfolgreich durchgesetzt (Larsen 2012). Durch aktive Übungen kann das Voranschreiten des Spreizfußes verlangsamt werden, Beschwerden gelindert und auch die Valgusabweichung der großen Zehe reduziert werden.

Siehe auch Bereich "Für Patienten":  "Selber Üben mit dem Spiraldynamik" .

Operative Therapie

Ob es eine untere Altersgrenze für einen operativen Eingriff beim juvenilen Hallux valgus gibt, wird kontrovers diskutiert. Es gibt Autoren, die empfehlen aufgrund eines zu befürch­tenden Rezidivs den Schluss der Wachtumsfugen abzuwarten 1112, für andere gibt es beim Vorliegen von Beschwerden keinen Grund auch schon früh und damit wachstums­lenkend einzugreifen 1314.

Tabelle 2: Indikationen für einen operativen Eingriff beim juvenilen Hallux valgus
Schmerzen über der Pseudoexostose
Akute oder chronische Bursits
Metatarsalgien
Infra- oder Superductusstellung der 2. Zehe
Progredienter Befund
Schwierigkeiten passende Schuhe zu finden

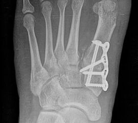
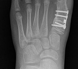
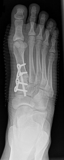
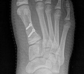
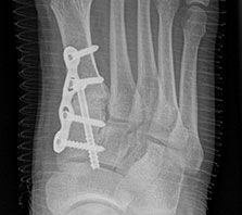
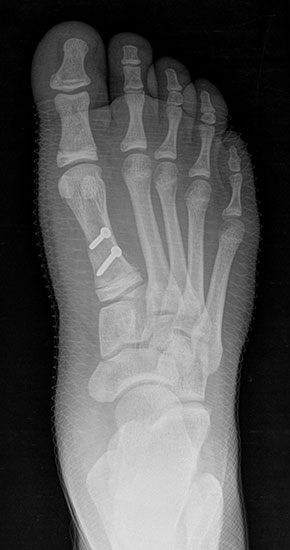
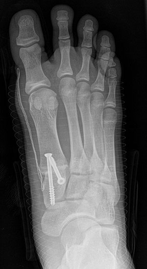
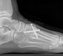
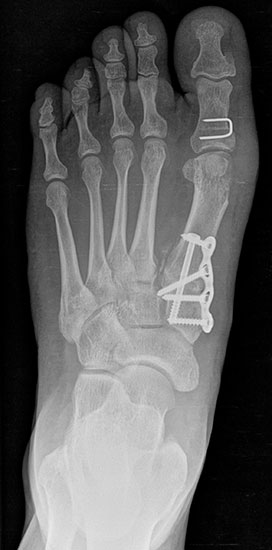
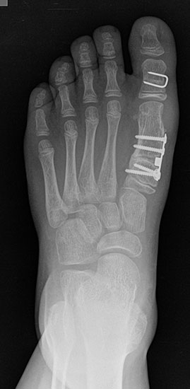
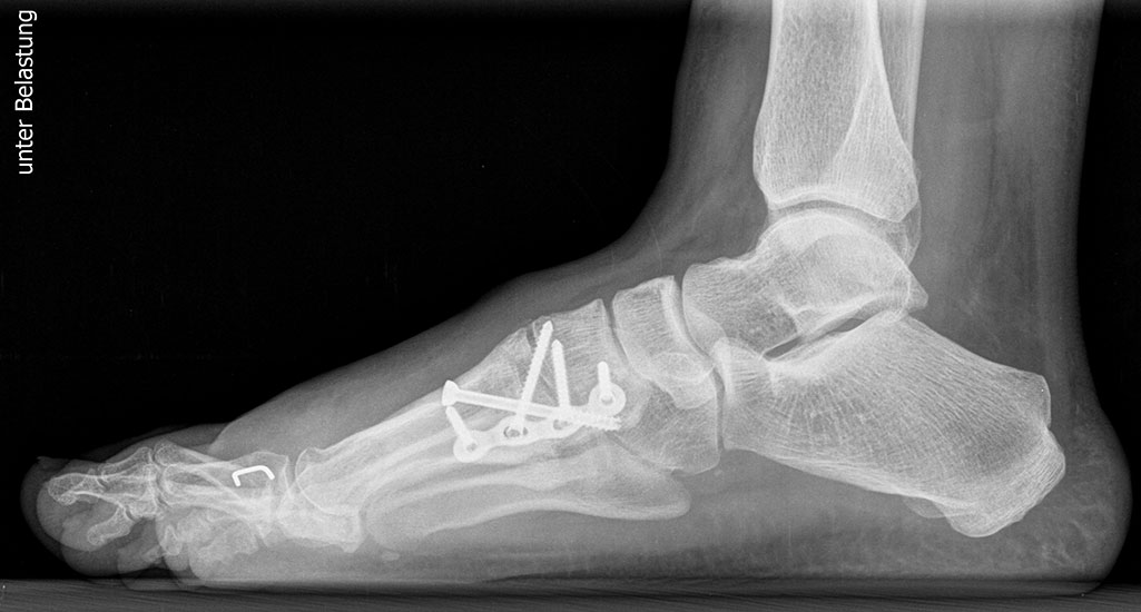
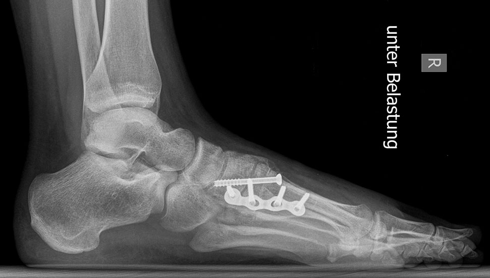
Bezüglich der Operationstechniken wird von früher häufig durchgeführten alleinigen Weich­teileingriffen am Großzehengrundgelenk aufgrund hoher Rezidivraten abgeraten 15. Die Operation nach Mc Bride mit lateralem Release, Exzision des lateralen Sesambeins, Abtragen der Pseudoexostose, Sehnenetransfer des M. adductor hallucis und mediale Kapselraffung zeigte unbefriedigende Mittel- und Langzeitergebnisse 16. Die Cerclage fibreux (mediale Kapselraffung) und das laterale Kapselrelease wird heute in Kombination mit einem knöchernen Eingriff angewendet. Bezüglich des Einsatzes von minimalinvasiven Operations­techniken vor Wachstumsabschluss liegen bisher keine Daten vor. Alle Osteotomien lassen sich nach Bedarf miteinander kombinieren. Es ist darauf zu achten, dass Osteotomien keine offenen Wachstumsfugen verletzen.

OP-Techniken

https://www.my-medibook.de/fuer-aerzte/operationstechniken/op-techniken-vorfuss/hallux-valgus.html

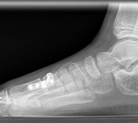
  • Medial zuklappende Grundphalanxosteotomie nach Akin 17
  • Subcapitale distale Chevron Osteotomie nach Austin 18
  • Diaphysäre Osteotomie
    • Scarf 19
    • Ludloff 20
  • Proximale Metatarsale I Osteotomien 21 
    • medial aufklappend – verlängernd
    • lateral zuklappend – verkürzend
    • bogenförmige Crescentic Osteotomie
    • proximale Chevron Osteotomie
    • proximale Verschiebeosteotomie
    • medial aufklappende Cuneiforme I Osteotomie 1522
  • Wachstumslenkung: Hemiepiphysiodese der lateralen Basisfuge am Metatarsale I  23
  • Nach Schluss der Wachstumsfugen: TMT I Arthrodese nach Lapidus 2425

Weitere Literatur

  • Akin OF: The treatment of hallux valgus: a new operative procedure and its Results (1925) Med Sentinel 33:678.
  • Hefti, Fritz Kinderorthopädie in der Praxis. S. 424-438.  Springer, Berlin 1998.
  • Lamprecht E: http://orthopaedie-unfallchirurgie.universimed.com/artikel/operative-behandlung-des-juvenilen-hallux-valgus.
  • Lamprecht, E. Der juvenile Hallux valgus (2012) Orthopädische Nachrichten 4: 15.
  • Larsen C: Gesunde Füße für Ihr Kind. Thieme, Stuttgart, 2007.
  • Zollinger H, Büchi M: Modifications of the foot-form - Implications for shoe-manufacturing. In Benamou PH, Montagne J: Médicine et chirurgie du pied. Masson, Paris, 1993.
  • Zollinger H, Büchi M: Der Krankheitswert von Formveränderungen am Fuß. Neue Züricher Zeitung 79: 77, 1990.
Loading…
Loading the web debug toolbar…
Attempt #