Vorbemerkungen

Der distale Weichteileingriff wird heute als effizienter und notwendiger Bestandteil nahezu aller Hallux Valgus Operationsverfahren angesehen. Der Weichteileingriff soll generell eine Wiederherstellung der Balance aller muskulären, ligamentären und kapsulären Strukturen rund um das erste Metatarsophalangeal-(MTP)-Gelenk erreichen. In  klinischen 12345678, anatomischen 9 (Sarrafian 1993) und experimentellen Studien 10111213 wurden in den letzten Jahrzehnten Notwendigkeit, Wirksamkeit und Risiko einzelner Schritte analysiert. Im Folgenden soll eine Übersicht über die Evidenz zum Weichteileingriff gegeben werden.

Anatomie

Strukturen an der Lateralseite des Großzehengrundgelenkes (Abbildung 1):

  • das laterale Seitenband (Lig. collaterale lat.) stellt eine ligamentäre Verstärkung der Gelenkskapsel vom Tuberculum lat. des ersten Metatarsalköpfchens (MTK) zum Tuberculum lat. der Basis der proximalen Phalanx dar
  • das Lig. metatarsosesamoidale lat. („suspensory ligament“) ist ebenfalls eine ligamentäre Verstärkung der Gelenkskapsel, vom Tuberculum lat. des MTK-1 zur lat. Begrenzung des lat. Sesambeines ziehend
  • das Lig. intermetatarseum transversum profundum läuft als kräftige fibröse Verbindung zwischen dem lat. Sesambein und der plantaren Platte des 2. MTP-Gelenkes
  • der M. adductor hallucis zeigt sehr variable Ansatzstellen seines Caput obliquum und transversum am lat. Sesambein sowie an der Basis der proximalen Phalanx

Strukturen an der Plantarseite des Großzehengrundgelenkes:

  • die Ligg. sesamophalangeale med. und lat. verbinden die distalen Anteile des med. und lat. Sesambeins mit der Basis der prox. Phalanx. Diese beiden Bänder stellen somit die Verbindung des M. flexor hallucis brevis nach Zwischenschaltung der Sesambeine zur Grundphalanx dar
  • der proximale Ansatz der plantaren Gelenkskapsel stellt eine wesentliche Rolle in der Blutversorgung des MTK-1 dar
  • die Sehne des M. flexor hallucis long. läuft in einer Furche zwischen dem med. und lat. Sesambein
  • die Plantaraponeurose spielt eine wichtige Rolle in der Stabilisierung des ersten Strahles und strahlt in die Gelenkskapsel sowie die Basis der proximalen Phalanx ein.

Strukturen an der med. Seite des Gelenkes sind in ähnlicher Weise ausgebildet wie an der Lateralseite:

  • das Lig. metatarsosesamoidale med.
  • das Lig. collaterale med.
  • der M. abductor hallucis setzt im medial-plantaren Anteil der Gelenkskapsel des Großzehengrundgelenkes an

Strukturen an der Dorsalseite des Großzehengrundgelenkes:

  • die Sehne des M. extensor hallucis long. (Ansatz an der Basis der distalen Phalanx der Großzehe)
  • die Sehne des M. extensor hallucis brev. (Ansatz am proximalen Anteil der Grundphalanx)

 

Die Rolle der Weichteilstrukturen in der Entwicklung des Hallux Valgus

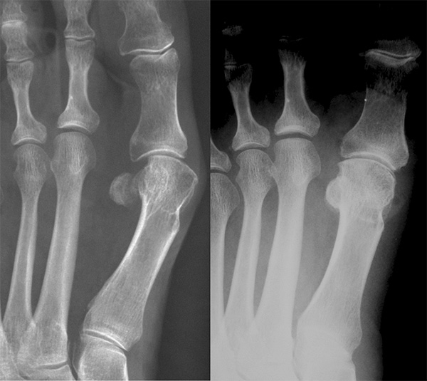
Während der Entwicklung der Hallux Valgus-Deformität gleitet das MTK-1 nach medial ab und verliert dabei seine Position auf den Sesambeinen (Abbildung 2). Dies führt zwangsläufig zu einer Elongation der medialen ligamentären und kapsulären Strukturen und in Folge zu einer Verkürzung der lateral gelegenen Weichteile. Die Verkürzung des Lig. metatarsosesamoidale lat. korrespondiert mit der so genannten „Sesambeinluxation“, die auf dorsoplantaren Röntgenbildern oder in anatomischen Querschnitten (Abbildung 2) sichtbar wird und gleichzeitig mit einer Elongation des Lig. metatarsosesamoidale mediale einhergeht.

Es ist darauf hinzuweisen, dass der Sesambeinapparat generell seine Stellung in  Relation zum restlichen Vorfuß beibehält: die Distanz zwischen dem lateralen Sesambein und dem MTK-2 bleibt in der Regel gleich (entsprechend der unveränderten Länge des tiefen Querbandes [Lig. intermetatarseum transversum profundum]).

Neben diesen degenerativen Veränderungen der Weichteile im Rahmen der Hallux valgus-Entwicklung erscheinen knöcherne Veränderungen am 1. Strahl von geringerer Bedeutung und sind im allgemeinen degenerativer Natur als Folge oder als altersentsprechende Begleiterscheinung der Fehlstellung: Degeneration im 1. MTP-Gelenk in Folge der Hallux valgus-Fehlstellung, Degeneration des 1. Tarsometatarsalgelenkes als Folge einer Instabilität oder im speziellen auch Degeneration/Deformation der Gelenksfläche zwischen der Plantarseite des MTK-1 und dem Sesambeinapparat.

Das Überwiegen von Weichteil-Veränderungen in der Genese des Hallux  valgus stellt auch die Wichtigkeit des Weichteileingriffes in der Korrektur des Hallux valgus heraus. In Bezug auf den ersten Schritt des Weichteileingriffes – das laterale Release – wurden in der Literatur Notwendigkeit, Effektivität und mögliche biomechanische Risiken einzelner Operationsschritte kontrovers diskutiert. Generell dient das lat. Release in Verbindung mit einer medialen Kapselraffung einer Re-Balancierung des Metatarso-Sesamoidal-Komplexes, um damit den Intermetatarsalwinkel 1-2 und den Hallux valgus zu korrigieren. Ein insuffizientes laterales Release birgt das Risiko einer Unterkorrektur oder eines Rezidivs in sich. Andererseits kann ein unsachgemäß durchgeführtes oder exzessives laterales Release zu Überkorrektur, Instabilität oder avaskulärer Nekrose des MTK-1 führen. Generell bedarf der Begriff des "distalen Weichteileingriffes" und des "lateralen Release" einer eindeutigen Definition: verschiedene Autoren subsummieren völlig unterschiedliche Kombinationen der einzelnen chirurgischen Schritte unter dem Begriff "distaler Weichteileingriff" oder "laterales Release" 71415, (Mann 1993). Beispielhaft beschreibt Mann (Mann 1993) eine Durchtrennung des Lig. intermetatarseum transversum prof. in Kombination mit sparsamer Perforation der lateralen Kapsel. Resch et al.15 lösen nur den Ansatz des M. adductor hallucis ab. Schneider et al. 7 eröffnen die Gelenkskapsel unter Spaltung des Lig. collaterale lat., um dann das Lig. metatarsosesamoidale lat. zu durchtrennen. Thomas et al.16 führen das laterale Release über eine Entfernung des lat. Sesambeins und damit Ablösung des Lig. sesamophalangeale lat. durch. Diese beispielhaft angeführten Methoden resultieren in völlig unterschiedlichen klinischen Ergebnissen, und damit in einer unterschiedlichen Interpretation über Notwendigkeit, Effektivität und Risiko des distalen Weichteileingriffes. Eine Erklärung dieser widersprüchlichen Ergebnisse in der Literatur ist aber anhand einer differenzierten Analyse – die im Folgenden dargestellt wird – problemlos möglich.

Durchführung eines korrekten distalen Weichteileingriffes

Osteotomien des MT-1 sind die Basis der meisten Hallux valgus-Operationen, wobei die Höhe der Osteotomie vom notwendigen Korrekturpotential und damit vom Grad der Deformität abhängig ist. Da die Weichteilveränderungen meist aber die primäre Problematik in der Entwicklung der Hallux valgus-Fehlstellung darstellen, sollte bei allen Hallux valgus-Operationen ein Weichteileingriff durchgeführt werden um den Korrektureffekt zu erhöhen und das Risiko eines Rezidivs zu vermeiden.

Das laterale Release: Notwendigkeit, Effizienz und mögliche biomechanische Risiken der Durchtrennung einzelner anatomischer Strukturen.

Die folgenden Operationsschritte basieren auf experimentellen Studien 13 , die die Effizienz der einzelnen Operationsschritte abhängig von der Reihenfolge ihrer Durchführung bewertet haben.

Die Durchtrennung des Lig. intermetatarseum transversum prof. hat nur einen sehr geringen Effekt auf den MTP- und Intermetatarsal-(IM)-Winkel. Die Durchtrennung dieses Bandes führt leicht zu einer Überkorrektur der Reposition der Sesambeine unter das  MTK-1 mit der Gefahr einer Überkorrektur der Hallux valgus-Fehlstellung. Eine Durchtrennung dieses Bandes würde eine Verlagerung der Sesambeine unter das dislozierte MTK-1 erleichtern, Ziel eines erfolgreichen Weichteileingriffes muss jedoch die Reposition des MTK-1 auf den in situ belassenen Sesambeinkomplex sein (erst so kann eine Reduktion des IM-Winkels 1-2 erfolgen).

Die Ablösung des M. adductor hallucis an seinem Ansatz der Grundphalanx hat nur einen zu vernachlässigenden Effekt auf MTP- und IM-Winkel. Dieser fehlende Effekt wurde bereits in klinischen Vergleichen beschrieben 15. Eine Ablösung der M. adductor hallucis-Sehne hat keinen Effekt auf die Sesambeinluxation.

Die Durchtrennung des lateralen Kollateralbandes führt zu einer leichten, aber insuffizienten Korrektur von MTP- und IM-Winkel. Dieser Einzelschritt alleine hat keinen Effekt auf die Sesambeinluxation. Trotz dieses unzureichenden Effektes ist die Durchtrennung des lateralen Kollateralbandes als ungefährlich einzuschätzen und im Falle einer outside-in-Technik (Durchführung des lat. Release über den ersten Intermetatarsalraum) ohnehin notwendig zur Eröffnung der  lateralen Gelenkskapsel für weitere chirurgische Schritte: das Band spielt weder eine Rolle in der Blutversorgung des MTK-1 9, (Sarrafian 1993), noch führt die Durchtrennung dieses Bandes zu einer Instabilität des Gelenkes.

Das Lig. metatarsosesamoidale lat. ist der Schlüssel für die Durchführung eines erfolgreichen Weichteileingriffes 81316. Korrektur des MTP- und IM-Winkels auf physiologische Werte ist nur möglich, wenn diese bandförmige Verbindung zwischen dem MTK-1 und dem lateralen Sesambein komplett durchtrennt wird. Dieser Schritt ist auch unabdingbar für die Reposition des MTK-1 auf den Sesambeinapparat.

Das Lig. sesamo-phalangeale lat. sollte während des  Weichteileingriffes nicht durchtrennt werden, da dies zu einer Überkorrektur des MTP-Winkels und Instabilität des Gelenkes führt. Diese sehnige Verbindung zwischen dem lat. Sesambein und der Basis der Grundphalanx repräsentiert das Caput laterale des M. flexor hallucis brevis und sollte während der Hallux valgus-Operation erhalten bleiben. Der IM-Winkel wird durch die Durchtrennung des lat. sesamophalangealen Ligaments nicht beeinflusst, die Sesambeinluxation wird dadurch überkorrigiert mit dem Risiko einer medialen Subluxation des Sesambeinkomplexes. Diese Daten, die aus experimentellen Studien gewonnen wurden, korrelieren mit klinischen Studien, die nach Durchtrennung des lateralen sesamophalangealen Bandes durch laterale Sesambeinexstirpation 15 ein hohes Risiko an Überkorrektur des Hallux valgus festgestellt haben.

Ein Ablösen der plantaren Kapsel resultiert in einer Überkorrektur der Deformität. Dieser Schritt sollte auf jeden Fall vermieden werden, um die Blutzufuhr des MTK-1 nicht zu beeinträchtigen und damit das Risiko einer avaskulären Nekrose des MTK-1 zu minimieren 9.

Mediale Kapselraffung

Nach Durchführung des lat. Release und der Osteotomie komplettiert die mediale Kapselraffung die Hallux valgus-Korrektur. In gleicher Weise wie das Release an der Lateralseite zielt die Rekonstruktion bzw. Raffung an der Medialseite auf eine Wiederherstellung der physiologischen ligamentären Situation. Das bedeutet,  dass das präoperativ elongierte Lig. metatarsosesamoidale med., sowie das elongierte mediale Kollateralband gerafft werden müssen. Der erste und wichtigste Schritt besteht deshalb in einer Naht, die dem ehemaligen Verlauf des Lig. metatarsosesamoidale med. folgt und das MTK-1 auf den Sesambeinapparat reponiert. Diese Wiederherstellung der Balance des Metatarsosesamoidalgelenkes korrigiert in erster Linie den IM-Winkel, konsekutiv auch den Hallux Valgus-Winkel, sodass eine Naht des medialen Seitenbandes nur noch zur Sicherung der bereits erreichten Korrektur dient.

Operationstechnik

OP-Technik des lateralen Release (outside-in-Technik) (Videos 1, 2 und 3):

bei Zugang über eine einzelne dorsomedial gelegene Hautinzision (Abbildung 3) wird stumpf mit Scherenschlägen direkt über den Strecksehnen nach lateral, und lateral der Strecksehnen nach intermetatarsal präpariert (Abbildung 4). Mit je einem Scherenschlag distal und einem proximal des Gelenkspaltes wird Platz für 2 Haken geschaffen, wobei sich Farabeuf-Haken bewährt haben (Abbildung 5). Dabei wird das subcutane Gewebe komplett nach lateral verschoben, was im Gegensatz zum Zugang über einen eigenen intermetatarsalen Hautschnitt eine deutlich bessere Übersicht über den ersten Intermetatarsal-Raum gibt. Die laterale Gelenkskapsel wird dargestellt, das in der Tiefe gelegene Lig. intermetatarseum transversum prof. wird auf jeden Fall geschont (Abbildung 6). Durch Manipulation der Großzehe in Extension und Flexion kann der Gelenkspalt von außen identifiziert werden, die Gelenkskapsel wird nun unter querer Durchtrennung des Lig. collaterale lat. eröffnet (Video 3): die Inzision reicht dorsalseitig vom lateralen Rand des M. ext. hall. brev. nach plantar bis zum lateralen Rand des Lig. sesamophalangeale lat. (Abbildungen 7 und 8). Nun wird versucht, durch die Inzision eine rechtwinklige Präparierklemme in das Gelenk unter das Lig. metatarsosesamoidale lat. einzuführen (Abbildungen 9 und 10): wenn dies gelingt, kann direkt über der Präparierklemme das Lig. metatarsosesamoidale lat. ohne Gefahr einer Gefäßläsion komplett durchtrennt werden (Abbildungen 11 und 12). In Fällen stärkerer degenerativer Veränderungen oder postentzündlicher Verwachsungen gelingt das Einführen der Präparierklemme in das Gelenk meist nicht, in diesen Fällen muss das Lig. metatarsosesamoidale lat. unter Sicht von der Lateralseite des MTK-1 abgelöst werden. Das komplette laterale Release wird einerseits durch das lockere Einführen eines stumpfen Hohmann-Hebels zwischen Plantarseite des MTK-1 und Sesambeinkomplex geprüft, andererseits durch Varisierung der Großzehe. Gelingt dies nicht, so ist in erster Linie zu prüfen, ob das Lig. metatarsosesamoidale lat. komplett durchtrennt wurde, in zweiter Linie müssen alle anderen Strukturen, die eventuell im Einzelfall noch für eine laterale Kontraktur am Großzehengrundgelenk verantwortlich sein können, visuell und durch Nachtasten geprüft werden: Ansatz des M. adductor hallucis an der Basis der Grundphalanx, hochgradige Kontraktur des Lig. sesamophalangeale lat.

VIDEO 1: LATERALES RELEASE
Zugang in den Intermetatarsalraum 1-2 über eine einzelne dorsomedial gelegene Hautinzision. Mit Scherenschlägen wird direkt über den Strecksehnen nach lateral präpariert, bei Erreichen des lateralen Randes der Strecksehnen nach intermetatarsal. Mit je einem Scherenschlag distal und einem proximal des Gelenkspaltes wird Platz für 2 Farabeuf-Haken geschaffen.

VIDEO 2: LATERALES RELEASE, OUTSIDE-IN-TECHNIK
Die laterale Gelenkskapsel wird dargestellt, das in der Tiefe gelegene Lig. intermetatarseum transversum prof. wird auf jeden Fall geschont. Durch Manipulation der Großzehe in Extension und Flexion kann der Gelenkspalt von außen identifiziert werden, die Gelenkskapsel wird nun unter querer Durchtrennung des Lig. collaterale lat. eröffnet: die Inzision reicht dorsalseitig vom lateralen Rand des M. ext. hall. brevis nach plantar bis zum lateralen Rand des Lig. sesamophalangeale lat. Eine rechtwinklige Präparierklemme wird in das Gelenk unter das Lig. metatarsosesamoidale lat. eingeführt und damit das Lig. metatarsosesamoidale lat. ohne Gefahr einer Gefäßläsion komplett durchtrennt. Das komplette laterale Release wird einerseits durch das lockere Einführen eines stumpfen Hohmann-Hebels zwischen Plantarseite des MTK-1 und Sesambeinkomplex geprüft, andererseits durch Varisierung der Großzehe.

VIDEO 3: LATERALES RELEASE, OUTSIDE-IN-TECHNIK, DETAILAUFNAHME MIT ARTHROSKOPIE-KAMERA
Die laterale Gelenkskapsel wird dargestellt, das in der Tiefe gelegene Lig. intermetatarseum transversum prof. wird auf jeden Fall geschont. Durch Manipulation der Großzehe in Extension und Flexion kann der Gelenkspalt von außen identifiziert werden, die Gelenkskapsel wird nun unter querer Durchtrennung des Lig. collaterale lat. eröffnet: die Inzision reicht dorsalseitig vom lateralen Rand des M. ext. hall. brev. nach plantar bis zum lateralen Rand des Lig. sesamophalangeale lat. Eine rechtwinklige Präparierklemme wird in das Gelenk unter das Lig. metatarsosesamoidale lat. eingeführt und damit das Lig. metatarsosesamoidale lat. ohne Gefahr einer Gefäßläsion komplett durchtrennt.

Op-Technik des lateralen Release (inside-out-Technik) (Video 4):

Zur transartikulären Durchführung des lateralen Release sollte die Hautinzision und die Eröffnung der med. Gelenkskapsel streng medialseitig erfolgen. Durch Plantarflexion der Großzehe werden die plantaren Strukturen entspannt und damit der Zugang durch das Gelenk nach lateral erleichtert. Mit einem arthroskopischen "Bananenmesser" werden nun unter Schonung der knorpeligen Oberflächen die kontrakten lateralen Strukturen (Lig. collaterale lat. und Lig. metatarsophalangeale lat.) durchtrennt. Auch hier ist eine Varisierung der Großzehe bis ca. 30° als Kontrolle des erfolgreichen Release zu fordern.

VIDEO 4: LATERALES RELEASE, INSIDE-OUT-TECHNIK
Hautinzision und Eröffnung der med. Gelenkskapsel streng medialseitig. Durch Plantarflexion der Großzehe werden die plantaren Strukturen entspannt und damit der Zugang durch das Gelenk nach lateral erleichtert. Die Begrenzung des Lig. metatarsosesamoidale lat. und des Lig. collaterale lat. wird mit einen Freer ausgetastet, danach werden mit einem arthroskopischen "Bananenmesser" diese kontrakten lateralen Strukturen (Lig. collaterale lat. und Lig. metatarsophalangeale lat.) unter Schonung der knorpeligen Oberflächen durchtrennt. Varisierung der Großzehe bis ca. 30° als Kontrolle des erfolgreichen Release.

OP-Technik der medialen Kapselraffung (Video 5):

Ausgehend von der dorsomedial am MTK-1 adhärenten Gelenkskapsel wird mit einem Faden der Stärke "1" neben dem medialen Sesambein aus- und wieder eingestochen und der Faden wieder zur dorsomedialen Gelenkskapsel zurückgeführt. Das schrittweise Zuziehen dieser Naht reponiert nun das MTK-1 auf den Sesambein-Komplex. Eine zweite Kapselnaht wird im Verlauf des ehemaligen med. Kollateralbandes gelegt und schließt den vertikalen Schenkel der medialen L-förmigen Kapselinzision.

VIDEO 5: MEDIALE KAPSELRAFFUNG
Ausgehend von der dorsomedial am MTK-1 adhärenten Gelenkskapsel wird mit einem Faden der Stärke "1" neben dem medialen Sesambein aus- und wieder eingestochen und der Faden wieder zur dorsomedialen Gelenkskapsel zurückgeführt. Das schrittweise Zuziehen dieser Naht reponiert nun das MTK-1 auf den Sesambein-Komplex. Eine zweite Kapselnaht wird im Verlauf des ehemaligen med. Kollateralbandes gelegt und schließt den vertikalen Schenkel der medialen L-förmigen Kapselinzision.

Zugangswege zum lateralen Release

single incision, double incision oder transartikulärer Zugang?

Eine einzelne dorsomediale Inzision reduziert die Gesamtlänge der Hautinzisionen und bietet einen exzellenten Überblick über die lat. Kapsel (Abbildung 6), birgt jedoch ein geringes  Risiko für die dorsomedial gelegenen neurovaskulären Strukturen. Diese können jedoch bei sorgfältiger Präparationstechnik in jedem Fall vermieden werden. Das Risiko einer Gefäß-Nervenschädigung kann komplett durch eine Double Incision-Technik (eine mediale Inzision für knöcherne Korrektur und mediale Kapselraffung und eine zusätzliche Inzision über dem ersten IM-Raum für das laterale Release) vermieden werden. Im Gegensatz zu diesen zwei Outside-In Techniken kann auch eine transartikuläre Inside-Out Technik 117 für ein Release der lateralen Strukturen genutzt werden. Entsprechend anatomischer Studien birgt der transartikuläre Zugang allerdings das Risiko einer inkompletten Durchtrennung des Lig. metatarsosesamoidale lat., einer Schädigung der knorpeligen Gelenksfläche, oder einer Schädigung der neurovaskulären Strukturen im ersten IM-Raum 18 .

Das laterale Release: besteht ein Risiko für die Blutversorgung des MTK-1?

Während der Entwicklung und der anfänglichen Verbreitung distaler Osteotomien, speziell der Austin/Chevron Osteotomie, wurde von vielen Autoren vor einer Kombination einer distalen MT-Osteotomie mit einem lateralen Release aufgrund der vermuteten Gefahr einer Durchblutungsstörung des MTK-1 mit dem Risiko einer Osteonekrose gewarnt 1920212223 . Steinböck 24 war der erste, der routinemäßig die Austin-Osteotomie mit einem distalen Weichteileingriff ohne erhöhtes Risiko einer Osteonekrose des MTK-1 kombinierte. Seither haben anatomische Studien 9 die sichere Kombination einer distalen MT-Osteotomie mit einem lat. Release beschrieben, vorausgesetzt, dass die Osteotomie „in einer sicheren Zone“ durchgeführt wird. Diese experimentellen Studien wurden von einer Vielzahl klinischer Studien gefolgt, die die risikolose Kombination des Weichteileingriffes mit der Osteotomie bestätigten 5725262728. Es sollte auf jeden Fall die Blutzufuhr zum MTK-1 über den plantaren und dorsalen Kapselansatz erhalten werden. Heutzutage kombinieren die meisten Operateure eine distale MT-Osteotomie mit einem lateralen Release, Osteonekrosen des MTK-1 gehören zu den extrem seltenen Komplikationen in der Literatur.

Vermeidung der Unterkorrektur

Jede kontrakte Weichteilstruktur an der Lateralseite des Großzehengrundgelenkes steht potentiell einer Korrektur der Deformität entgegen, sowohl im Sinne der Hallux valgus-Korrektur, als auch im Sinne der Reposition des MTK-1 auf den Sesambeinapparat. Dies resultiert automatisch in einer Unterkorrektur des IM- und des MTP-1-Winkels. Während der meisten Hallux-Korrekturen stellt die Durchtrennung des Lig. metatarsosesamoidale lat. („suspensory ligament“) den Schlüssel zu einem erfolgreichen Release dar. Der Zugang zu diesem Ligament erfolgt typischerweise durch Inzision der lat. Gelenkskapsel mit Durchtrennung des lat. Kollateralbandes. Nach diesem Schritt muß die komplette und korrekte Durchtrennung des Lig. metatarsosesamoidale lat. geprüft werden, indem die Zehe in eine Überkorrektur gebracht wird.  Mit diesem Manöver können noch einzelne kontrakte Fasern gelöst werden. Falls es mit diesem Varisierungsmanöver nicht gelingt, die Zehe in leichte Überkorrektur zu bringen, ist davon auszugehen, dass nicht alle kontrakten Strukturen gelöst wurden. In Kombination mit einer medialen Kapselraffung erlaubt dieses Vorgehen in der Regel eine Korrektur der MTP- und IM-Winkel, sowie der Sesambeinluxation. Diese Reposition beziehungsweise Re-Balancierung des metatarsosesamoidalen Gelenkskomplexes ist deshalb auch essenziell, da eine nicht komplette Sesambeinreposition als Risikofaktor für das Rezidiv der Hallux valgus-Fehlstellung identifiziert wurde 29 (Abbildung 13).

Eine Durchtrennung des tiefen Querbandes (Lig. intermetatarseum transversum prof.) würde zwar eine Reposition der Sesambeinluxation ermöglichen mit gleichzeitiger Korrektur des MTP-Winkels, da dieser chirurgische Schritt jedoch die Verbindung des Sesambeinapparates zu den lateral gelegenen Metatarsalia unterbricht, würde diese Korrektur zu einem unveränderten oder eventuell sogar vergrößerten IM-Winkel führen, da die mediale Kapselraffung nun die Sesambeine unter das dislozierte MTK-1 ziehen würde, statt das MTK auf die Sesambeine zu reponieren. So gesehen wird eine Unterkorrektur des IM-Winkels durch eine Erhaltung des tiefen Querbandes vermieden.

Vermeidung der Überkorrektur

Das Ziel jedes Weichteileingriffes in der Hallux valgus-Chirurgie ist die Re-Balancierung der med. und lat. Weichteilstrukturen. Deshalb muss sowohl ein exzessives Release auf der lateralen Seite, als auch eine übermäßige Raffung auf der medialen Seite vermieden werden. Bezogen auf Einzelstrukturen muss hier das Lig. sesamophalangeale lat. – die sehnige Verbindung zwischen dem lat. Sesambein und dem lat. Teil der Basis der Grundphalanx – erhalten werden. Das gleiche gilt klarerweise auch für eine lat. Sesamoidektomie, die strikt zu vermeiden ist. Mit diesem Verfahren würde das Gelenk die lateralen Stabilisatoren komplett verlieren und jede mediale Raffung würde in einer unkontrollierbaren Varusfehlstellung der Phalanx enden. Aus diesen Gründen muss auch eine Ablösung der Adduktorsehne an der Basis der Grundphalanx sehr vorsichtig und unter Sicht durchgeführt werden, da die Adduktorsehne fallweise gemeinsam mit dem Caput lat. des M. flexor hallucis brev. an der Grundphalanx ansetzt 30. Falls bei visueller und manueller Inspektion nach durchgeführtem lateralen Release doch ein Release der plantar lateral gelegenen Strukturen erforderlich ist, muss dies schrittweise mit extremer Vorsicht durchgeführt werden, um die laterale Stabilität nicht zu gefährden: hier besteht das Risiko, eine Unterkorrektur unvermutet plötzlich in eine Überkorrektur überzuführen. Fallweise – speziell in Formen extremer Hallux valgus-Fehlstellungen – ist ein solches plantar-laterales Release doch notwendig, um noch eine Korrektur durchführen zu können. Der plantare Ansatz der Gelenkskapsel am MTK-1 muss aber in jedem Fall erhalten werden, nicht nur als Stabilisierungsfaktor für das Gelenk, sondern auch um die Blutversorgung durch den Kapselansatz nicht zu gefährden.

Wirksamkeit des lateralen Release – eine Erklärung widersprüchlicher Ergebnisse in der Literatur

Im Lichte der weiter oben genannten experimentellen Studien und der klinischen Literatur können unterschiedliche Beschreibungen über die Effizienz eines lat. Release – „unwirksam“ 15, „notwendig für eine adäquate Korrektur“  7, „gefährlich im Sinne einer Überkorrektur“ 15 – ohne Schwierigkeiten erklärt werden: ein lat. Release wird solange wirkungslos bleiben, solange das Schlüsselband, das Lig. metatarsosesamoidale lat., nicht durchtrennt wird 15. Im Gegensatz dazu wird ein lat. Release ein großes Risiko einer Überkorrektur in sich bergen, sobald die lat. Stabilisatoren durch Exzision des lat. Sesambeines beziehungsweise Durchtrennung des Lig. sesamophalangeale lat. zerstört werden 15. Diese Beispiele führen klar die Notwendigkeit einer exakten Definition des distalen Weichteileingriffes vor Augen, was in der Literatur oft vernachlässigt wird.

Zusammenfassung

Aufgrund der patho-mechanischen Schlüsselstellung der Weichteilstrukturen in der Entwicklung der Hallux Valgus-Deformität sollte ein distaler Weichteileingriff Bestandteil jeder Hallux-Chirurgie sein. Lediglich in Fällen radikaler knöcherner Eingriffe, wie z.B. Arthrodese des MTP-1-Gelenkes oder in sehr milden Fällen mit weniger Einfluss durch die Weichteilstrukturen wird der knöcherne Eingriff ausreichen, um die Deformität zu korrigieren. Prinzipiell müssen alle verkürzten Strukturen an der Lateralseite des Gelenkes gelöst werden und alle elongierten Strukturen an der Medialseite gerafft werden. Dies führt zu einer Reposition und Re-Balancierung des Gelenkes. Der knöcherne Eingriff selbst führt zu einer Verstärkung und Komplettierung der Korrektur, wobei die Höhe der Osteotomie vom Schweregrad der Deformität abhängig ist. Das Lig. metatarsosesamoidale lat. („suspensory ligament“) ist der Schlüssel zu einem erfolgreichen lat. Release in der Hallux valgus-Chirurgie. Dies wurde experimentell 101113 und klinisch 71625 in ausreichendem Maße bewiesen. Vorzugsweise sollte dieses Ligament unter direkter Sicht durchtrennt werden, wobei sich der Zugang über den ersten IM-Raum mit Eröffnung der lateralen Gelenkskapsel und Durchtrennung des lat. Kollateralbandes als Standardzugang anbietet. In Kombination mit einer med. Kapselraffung wird dies sowohl zu einer Korrektur des MTP- und des IM-Winkels als auch zu einer Korrektur der Sesambeinluxation führen. Eine zusätzliche Ablösung der M. adductor hallucis-Sehne hat in den meisten Fällen keinen zusätzlichen Effekt. Eine Durchtrennung des tiefen Querbandes (Lig. intermetatarseum transversum prof.) ist aufgrund eines nachteiligen Effektes auf den IM-Winkel kontraindiziert. Das Lig. sesamophalangeale lat. und der Ansatz der plantaren Gelenkskapsel sollten erhalten werden, da ihre Durchtrennung zu Überkorrektur und Instabilität des Gelenkes führt.

Ein effektives und sicheres laterales Release muss demnach folgende Schritte beinhalten: Eröffnung der lateralen Kapsel mittels Durchtrennung des lateralen Kollateralbandes. Identifikation und komplette Durchtrennung des Lig. metatarsosesamoidale lat. Dieses Vorgehen lässt alle dorsalen und plantaren Kapselansätze intakt, ebenso wie das tiefe Querband und die Ansatzstelle des M. adductor hallucis.

Weitere Literatur

  • Sarrafian SK (1993) Anatomy of the foot and ankle. Descriptive, topographic, functional. Philadelphia, J B Lippincott Company 211-217
  • Mann RA, Coughlin MJ (1993) Surgery of the foot and ankle, Vol. 1. St. Louis, Baltimore, Boston, Chicago, London, Philadelphia, Sydney, Toronto. Mosby, 195-202
Loading…
Loading the web debug toolbar…
Attempt #