Zusammenfassung

Die Wachstumsfuge ist die Region des Skelettsystems, in der das Längenwachstum stattfindet. Gerade während der Wachstumsphasen sind diese Regionen für Verletzungen besonders empfindlich. Viele Verletzungen im Bereich des Sprunggelenks umfassen daher auch eine Schädigung der Wachstumsfuge mit dem Risiko, das Längenwachstum aber auch die Achse der Extremität nachhaltig zu verändern. Die verschiedenen Phasen der Skelettreifung sind durch unterschiedliche Verletzungsmuster gekennzeichnet, die teilweise speziellen Therapieprinzipien folgen. Auch wenn der überwiegende Teil von Verletzungen beim Kind erfolgreich konservativ behandelt werden kann, ist die detaillierte Kenntnis der Behandlungsprinzipien Grundvoraussetzung für eine erfolgreiche Therapie. Besonders die Verletzungen am medialen Malleolus haben ein großes Risiko sekundäre Wachstumsstörungen nach sich zu ziehen.

Knochenwachstum, Wachstumsfugen und Verletzungsmuster

Für das Längenwachstum des Skelettsystems sind die Epiphysenfugen verantwortlich, das Dickenwachstum der Röhrenknochen findet über das periost-endostale Regulationssystem statt 1. Die Interaktion beider Systeme führt zu einer Knochenform, die mit einem Minimum an Materialaufwand ein Maximum an Belastbarkeit gewährleistet (v. Laer 2013)

An der Epiphysenfuge können zwei Bereiche unterschieden werden (Abb. 1):

  • Der epiphysäre Anteil mit Proliferationstendenz.
  • Der metaphysäre Anteil ohne Proliferationstendenz.

Während im epiphysären Anteil der Matrixanteil gegenüber den zellulären Elementen überwiegt, überwiegt im metaphysären Teil der Zellanteil gegenüber der Matrix. Hier vergrößern sich die Zellen zunehmend und es finden die eigentlichen Mineralisations-vorgänge statt, die letztlich zum Knochengewebe führen. Umgeben ist der Knochen, bzw. die Wachstumsfuge vom Perichondrium, über welches das Dickenwachstum stattfindet 23.

Die elastische Wachstumsfuge stellt einen Puffer gegenüber Traumata dar, gleichzeitig schützt sie das Gelenk. Inwieweit die von Salter 1994 beschriebene Crush-Verletzung beim Menschen tatsächlich eine Rolle spielt, ist unverändert umstritten.

Allerdings bietet der zelluläre Anteil der Epiphysenfuge einen geringeren Widerstand gegenüber Scher-und Biegungskräften. Der wachstumsaktive, epiphysäre Teil der Fuge wird bei der Fugenschaftfraktur allenfalls geringfügig geschädigt, da der Frakturverlauf die wachstumsaktive Zellschicht nicht tangiert (Aitken I, Fugenschaftfraktur).

Bei relevanten Axialtraumata kreuzt der Frakturspalt den epiphysären Anteil der Wachstumsfuge (Fugengelenkfraktur, Aitken II und III), mit entsprechenden Risiko das Wachstum zu beeinflussen. Die verschiedenen Klassifikationssysteme der Frakturen im Wachstumsalter sind in Abbildung 2 45 dargestellt.

Während des Skelettwachstums durchläuft die Epiphysenfuge verschiedene Reifestadien, dabei halten sich Proliferations- und Minerealisationsvorgänge die Waage. In dieser Phase ist die Epiphysenfuge weit geöffnet. Kurz vor dem Wachstumsabschluss kommen die Proliferationsvorgänge zum Erliegen, der weichteilige Anteil der Fuge ist aber noch nicht verknöchert. Ein Reiz, wie z.B. ein Trauma, kann in dieser Phase noch einmal zu einem Proliferationsschub führen (v. Laer 2013).

Schließlich verknöchert die Epiphysenfuge und es kommt zu einer Verschmelzung von Meta- und Epiphyse. Am Sprunggelenk beginnt die Verknöcherung ventromedial. Ausschließlich in dieser Entwicklungsphase werden die Übergangsfrakturen (Twoplane-, Triplane Fraktur) beobachtet 6.

Der Zeitpunkt des physiologischen Fugenschlusses wird durch sehr viele Faktoren beeinflusst, wie Geschlecht, Stoffwechselsituation, Ernährung, genetische Disposition u.a. 7. Funktionell gilt die Fuge als geschlossen, wenn der Großteil des metaphysären Fugenanteils mineralisiert. In dieser Phase zeigt der überwiegende Teil des epiphysären Fugenanteils noch keine Kalkeinlagerungen. Radiologisch ist es schwierig, dieses Stadium sicher zu identifizieren. Sichtbar ist eine dezente Verschmälerung der Fuge, was aber im Einzelfall ohne Vorbilder kaum zu beurteilen ist.

Wachstumsstörungen als Folge von Verletzungen

Ausmaß und Art einer Wachstumsstörung ist neben der Frakturform vor allem vom Skelettreifezustand des Kindes zum Zeitpunkt des Unfalls abhängig.

Grundsätzlich sind zwei Arten von Wachstumsstörungen zu unterscheiden:

  • Stimulative Wachstumsstörungen mit vermehrter Wachstumsaktivität in der Fuge.
  • Hemmende Wachstumsstörungen bis hin zum vorzeitigen Fugenschluss.

In Abhängigkeit vom Funktionszustand der Wachstumsfuge sind die Reaktionen des Skelettsystems auf ein Trauma unterschiedlich. Fällt das Trauma in eine Wachstumsphase, kommt es zu einer Längenzunahme des verletzten Knochens.

Fällt das Trauma in die prämature Ruhepause, führt die Funktionssteigerung zur passageren Längenzunahme (v. Laer 2013). Gleichzeitig zieht die Hyperämie einen verfrühten Fugenschluss nach sich, sodass die anfängliche geringgradige Verlängerung durch den vorzeitigen Fugenschluss wieder ausgeglichen wird.

Ein Trauma in der Verschlussphase der Wachstumsfuge beschleunigt den Fugenschluss. Das vorzeitige Ausreifen der Fuge zieht eine geringgradige Verkürzung des betroffenen Skelettabschnitts nach sich.

Grundsätzlich gilt, dass vor dem 10. Lebensjahr vermehrt Verlängerungen beobachtet werden, während nach dem 10. Lebensjahr gehäuft Verkürzungen auftreten 8.

Bildgebung

Röntgen

Die Standard Röntgendiagnostik des Sprunggelenks umfasst Bilder in anteriorposterioren (a.p.) und im seitlichen Strahlengang 6. Für die exakte Abbildung des Innenknöchels müssen beide Malleolen parallel zur Röntgenplatte zu liegen kommen. Je nach Torsion der Tibia macht dies eine Innenrotation des Fußes zwischen 10° und 30° erforderlich (Abb. 3).

Manchmal sind mediale Malleolarfrakturen nur in einer der Aufnahmen in ihrem Ausmaß erkennbar. Keine Rolle spielt die gehaltene Aufnahme beim Kind, insbesondere bei der akuten Verletzung. In seltenen Fällen hat dieses Verfahren bei Verdacht auf eine chronische Instabilität eine Berechtigung.

Ultraschall

Beim kindlichen Trauma liefert die Ultraschalluntersuchung wichtige zusätzliche Informationen. Beurteilt werden kann das Frakturhämatom, Verletzungen des Periosts, sowie eine Stufenbildung in den noch nicht verknöcherten Skelettanteilen.

Weiterhin ermöglicht die Ultraschalluntersuchung eine dynamische Beurteilung der Läsion.

Computertomografie

Die Computertomografie liefert die höchste Auflösung für knöcherne Verletzungen und die Untersuchung dauert nur wenige Sekunden. Nachteilig ist die hohe Strahlenbelastung, die bei einem Vielfachen von konventionellen Röntgenbildern liegt. Bei komplexen Gelenksfrakturen hat die Computertomografie aber auch beim Kind ihre Berechtigung und erleichtert die Planung der Rekonstruktion.

MRT

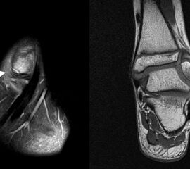
Die Kernspintomographie hat ihre Stärke in der Darstellung von Weichteilverletzungen. Insbesondere Verletzungen der Wachstumsfuge, des Periosts und der Bänder lassen sich gut visualisieren. Nachteilig ist die Untersuchungsdauer von 20-30 Minuten. Bleibt das Kind während dieser Zeit nicht ruhig liegen, kommt es zu Bewegungsartefakten, welche die Beurteilbarkeit der Bilder beeinträchtigen.

Akzessorische Knochenkerne

Am Skelettsystems des Kindes können akzessorische Knochenkerne die Beurteilbarkeit im Röntgenbild erschweren. Immer wieder taucht die Frage auf, ob es sich bei dem Befund um eine Fraktur oder um einen akzessorischen Knochenkern handelt.

Folgende bildmorphologische Kriterien sprechen für einen akzessorischen Knochenkern:

  • runde Struktur ohne scharfe Kanten
  • kortikalisartige Randstruktur
  • im MRT keine Aktivierung, keine Einblutung 

Folgende Kriterien sprechen für eine Fraktur:

  • scharfkantige Randbezirke
  • die Kortikalis setzt sich jenseits der Frakturlinie fort
  • Einblutung und Ödemzone im MRT

Os subfibulare

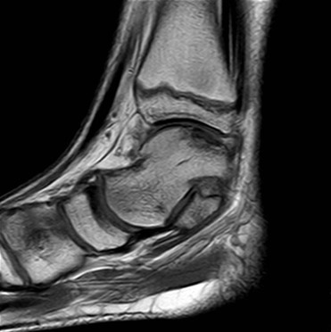
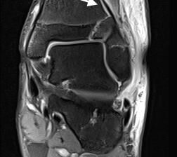
Multiple laminäre Ausrisse des fibularen Bandapparats aus der Fibulaspitze können zur Entwicklung eines Os subfibulare führen. Das Os subfibulare findet sich unterhalb der Fibulaspitze ventral der Peronealsehnen. Ohne Schmerzsymptomatik bzw. Aktivierung im MRT hat Das Os subfibulare keinen Krankheitswert. Ein mobiles Os subfibulare führt zu einer lokalen mechanischen Reizung teilweise in Verbindung mit einer Instabilität des Sprunggelenks. Im MRT zeigt sich eine Aktivierung des instabilen Areals. Bei anhaltenden Schmerzen besteht die Behandlung in einer operativen Entfernung des Knochens mit Refixation des Kapselbandapparats.

Os trigonum

Das Os trigonum lässt sich als isolierter Knochen dorsal des Talus seitlichen Röntgenbild darstellen. Normalerweise hat das Os trigonum keine klinische Relevanz. Bei entsprechenden Beschwerden und einer Aktivierung im MRT kann der Knochen arthroskopisch entfernt werden. Gehäuft beobachten wir eine mechanische Problematik durch das Os trigonum bei jugendlichen Fußballspielern und Tänzerinnen.

Ossifikationsstörung des Talus

Manchmal findet sich an der talaren Gelenksfläche eine lokale Störung der Ossifikationen. Wichtigste Differenzialdiagnose ist die osteochondrale Läsion. Die Ossifikationsstörung ist ein Zufallsbefund ohne klinische Relevanz. Kennzeichnend sind das fehlende Ödem und die intakte Knorpeloberfläche.

Spezielle Aspekte der verschiedenen Frakturlokalisationen

Distale Tibiametaphyse

An der distalen Tibiametaphyse können Stauchungsbrüche, metaphysäre Biegungsbrüche vollständige Frakturen sowie Fugenschaftfrakturen unterschieden werden.

Während die Fugenschaftfrakturen ihren Häufigkeitsgipfel um das zwölfte Lebensjahr haben, finden sich extraphysäre Verletzungen 2-3 Jahre früher. Bis zum Alter von zehn Jahren haben diese Faktoren eine hohe Tendenz zur spontanen Korrektur. Rekurvationen bis 30° sowie Varus- und Valgusfehlstellungen bis 20° können sich spontan durch das weitere Wachstum ausgleichen. Nach dem zehnten Lebensjahr ist die Zuverlässigkeit der spontanen Stellungskorrektur bei posttraumatischer Fehlstellung deutlich rückläufig.

THERAPIE

Die Therapie der distalen Frakturen der Tibiametaphyse ist bei geringer Dislokation (< 10°) primär konservativ im Unterschenkelgips für 3-4 Wochen. Fehlstellung größer 10° sollten primär in Narkose reponiert werden. Gleiches gilt für Rotationsfehlstellungen. Anschließend wird weiter konservativ behandelt, wenn die Fraktur keine erneute Dislokationstendenz zeigt. Findet sich bei der Röntgenkontrolle um den 8 Tag noch eine leichte Achsabweichung, so kann eine Korrektur durch Keilung des Gipses erfolgen. Bei drohender Zunahme der Rekurvation wird von einigen Autoren die Anlage eines Oberschenkelgipses in leichter Spitzfußstellung empfohlen. Bei Wachstumsabschluss sollte keine Varusfehlstellung größer 5° und keine Valgusfehlstellung größer 10° vorhanden sein (v. Laer 2013).

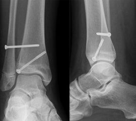
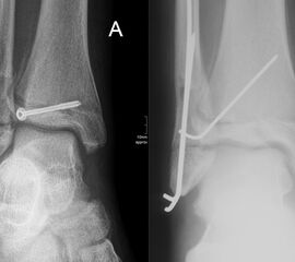
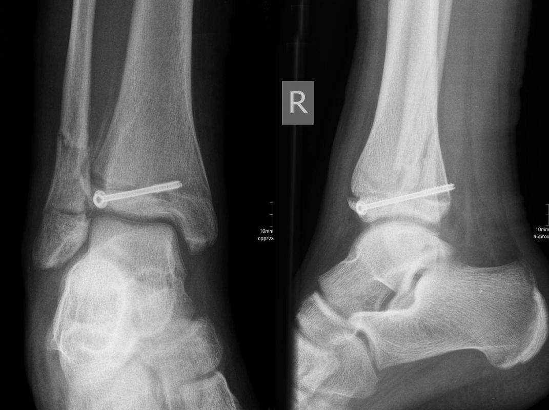
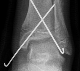
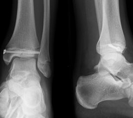
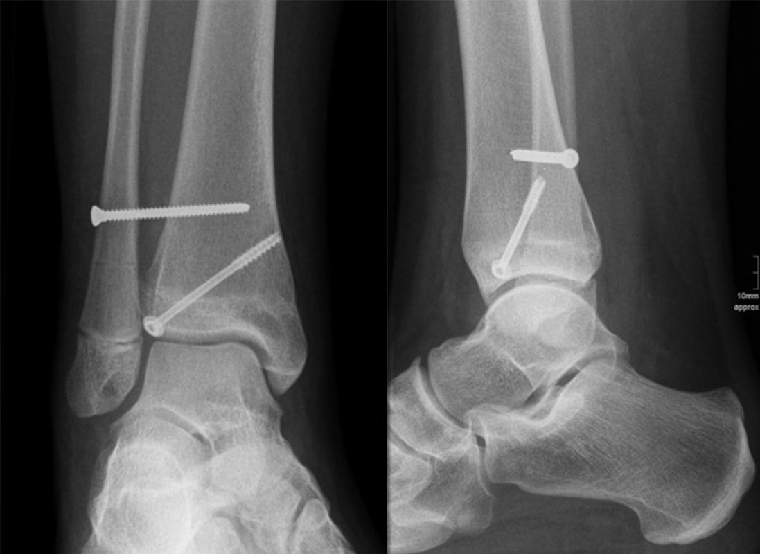
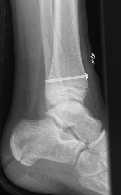
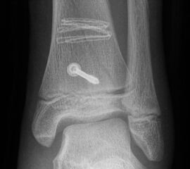
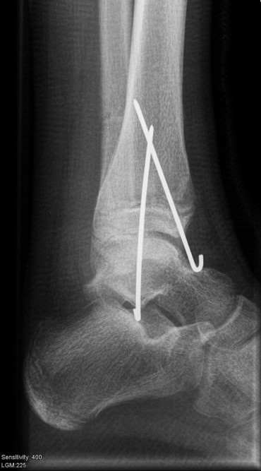
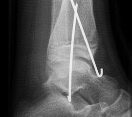
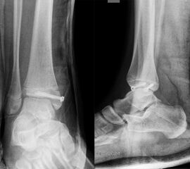
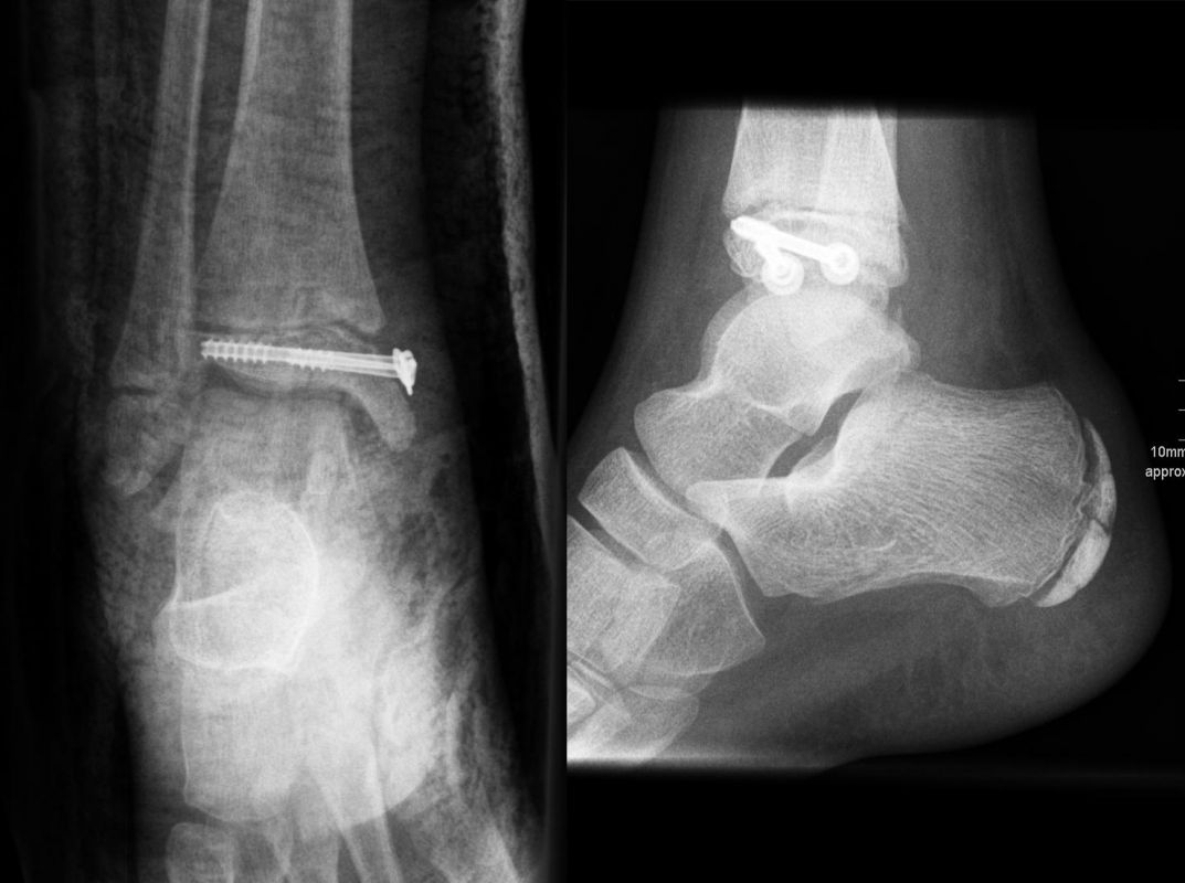
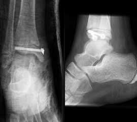
Ist die korrekte Stellung nur gegen einen federnden Widerstand zu erreichen, kann die Fraktur durch perkutane K-Drähte stabilisiert werden. Bei einer Fugenschaftfraktur mit großem Keil ist auch eine Schraubenosteosynthese möglich (Abbildungen 13 bis 14).

Die Gipsabnahme erfolgt nach 3-4 Wochen, anschließend wird eine Röntgenkontrolle ohne Gips durchgeführt. Zeigt sich radiologisch eine gute Konsolidierung bei klinisch blander Schmerzsymptomatik, kann den Kindern eine schmerzadaptierte  Belastungssteigerung erlaubt werden. Meist ist nach weiteren 3-4 Wochen der freie Gang möglich. Sobald eine schmerzfreie Alltagsbelastung möglich ist, können auch sportliche Aktivitäten wieder begonnen werden. Ähnlich wie beim Erwachsenen werden auch bei Kindern häufig über viele Monate Rückfußschwellungen beobachtet. Um ein Mehrwachstum rechtzeitig zu erkennen, haben sich Röntgenkontrollen sechs und zwölf Monate nach der Fraktur bewährt. Findet sich zwei Jahre nach der Verletzung ein schmerzfreies Sprunggelenk bei seitengleicher Rückfußstatik und Rückfußachse kann die Behandlung abgeschlossen werden.

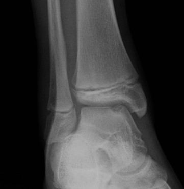
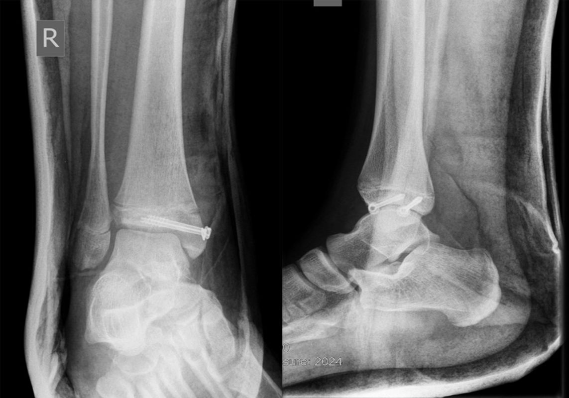
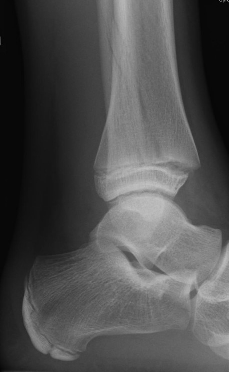
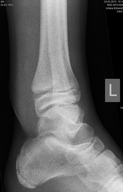
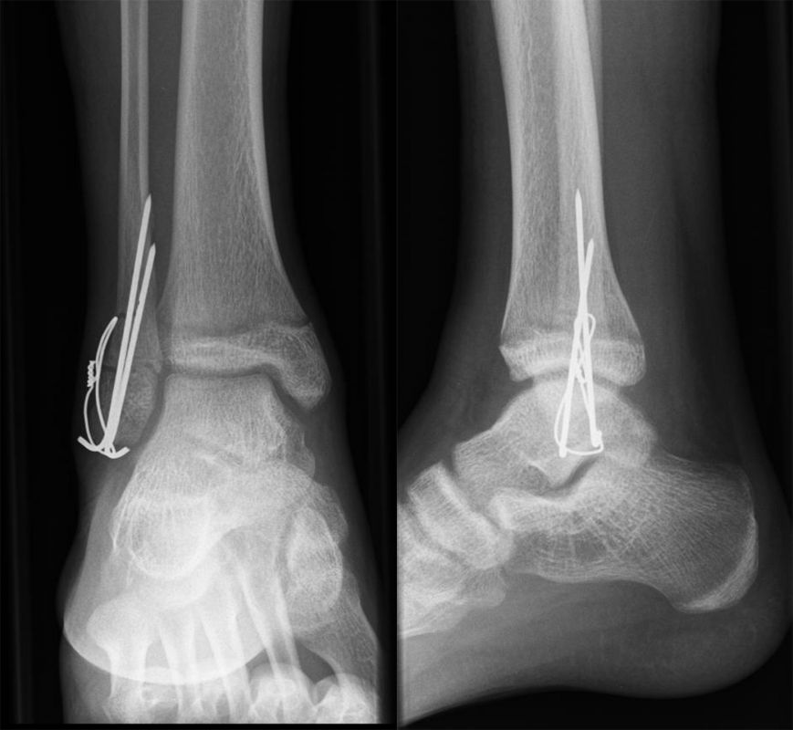
Mediale Malleolarfrakturen

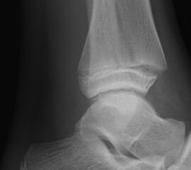
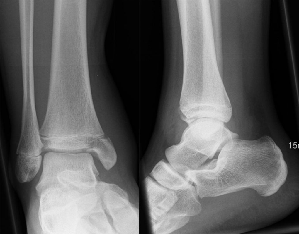
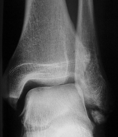
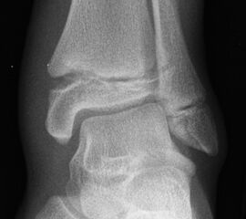
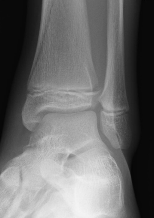
Bei den medialen Malleolarfrakturen handelt es sich um Fugengelenkfrakturen bzw. Aitken II und III Verletzungen. Kennzeichnend ist, dass der Frakturverlauf die wachstumsaktive Zone zur Epiphyse hin durchkreuzt. Die Verletzung der wachstumsaktiven Zone macht diese Verletzungen besonders problematisch. 

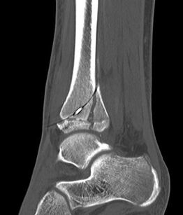
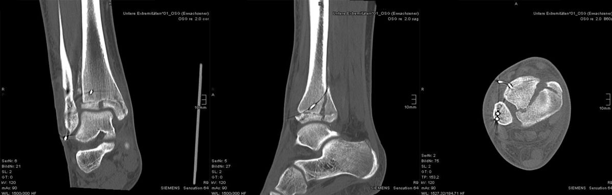
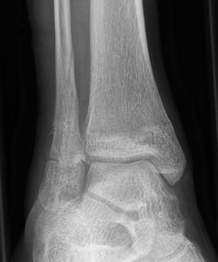
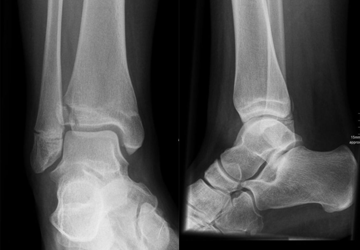
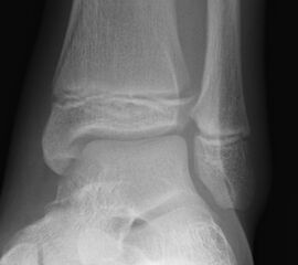
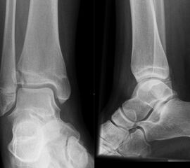
Fugengelenkfrakturen treten typischerweise vor dem 10. Lebensjahr auf, in einer Phase, in welcher die Wachstumsfugen noch weit offen sind. Dieser Frakturtyp betrifft fast ausschließlich den medialen Malleolus. Laterale Frakturen sind extrem selten, teilweise kommt es zu lateralen Bandverletzungen oder Fugenschaftfrakturen der distalen Fibula. Die Frakturlinie verläuft in einer Verlängerungslinie von der medialen Taluskante nach proximal. Häufig stellen sich Verletzungen des Innenknöchels im Röntgenbild schlechter dar, insbesondere wenn die Aufnahmen verdreht sind oder die Ebene der Fraktur bei geringer Dislokation verkippt zur Röntgenebene liegt. Besteht klinisch der geringste Hinweis auf eine Verletzung des Innenknöchels, muss aufgrund der Tragweite der Verletzung durch entsprechende Aufnahmen gegebenenfalls auch Schnittbildverfahren die Verletzung sicher diagnostiziert oder ausgeschlossen werden (Abb. 15).

„Kadiläsion“- Mediale Malleolarfraktur

Bei kindlichen Verletzungen des medialen Malleolus handelt es sich nach L. v. Laer um eine sogenannte Kadiläsion, d.h. eine Verletzung mit hohem Risiko eines schlechten Behandlungsergebnisses bei nicht korrekter Behandlung. Selbst bei optimaler Therapie ist das Risiko für spätere Wachstumsstörungen hoch, sodass diese Verletzungen nicht selten ein juristisches Nachspiel haben. Durch die Verletzung der wachstumsaktiven Zone kann es zu einem vorzeitigen Verschluss der Wachstumsfuge kommen, mit entsprechendem Fehlwachstum. Das Risiko eines vorzeitigen Verschlusses der Wachstumsfuge korreliert mit dem Ausmaß der Schädigung der wachstumsaktiven Zone. Ab dem 13. Lebensjahr wird das Risiko bei reduzierter Wachstumsaktivität zunehmend geringer.

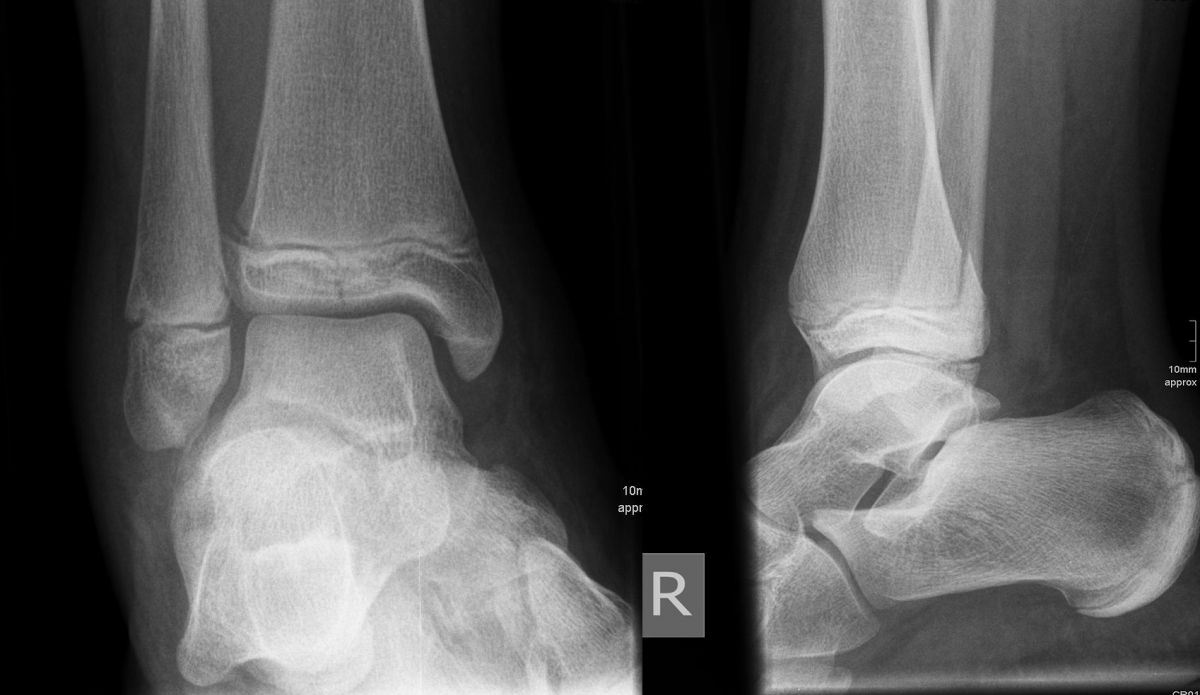
Fugengelenkfrakturen können die Wachstumsfuge durchkreuzen (Abbildung 16a), ohne oder nur mit minimaler Beteiligung der Fuge sehr weit medial liegen (Abbildung 16b) oder durch die Fuge auslaufen (Abbildung 16c). Relevant für die Wachstumsprognose ist weniger die Form der Fraktur, sondern das Alter des Patienten zum Zeitpunkt des Traumas sowie das Ausmaß der Schädigung der Wachstumsfuge, wobei eine Korrelation mit dem Ausmaß der Dislokation besteht.

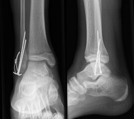
THERAPIE

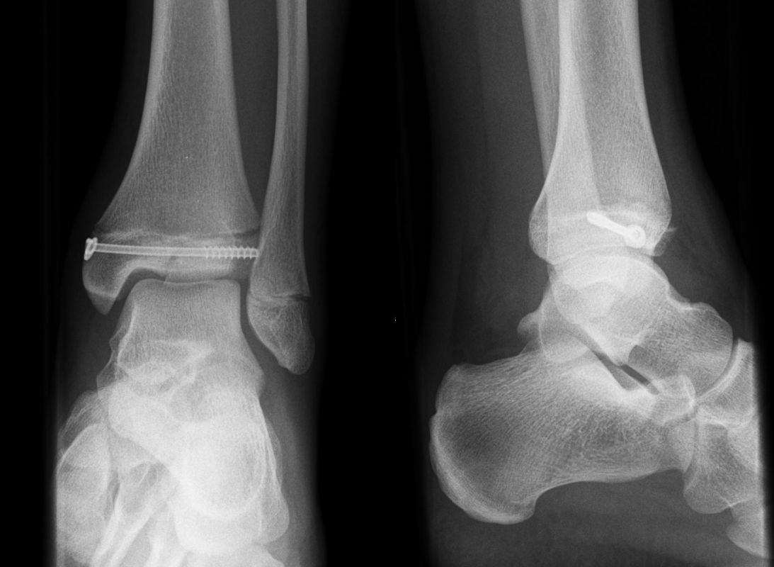
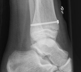
Behandlungsziel ist die exakte Rekonstruktion der Gelenkfläche sowie die Minimierung des Risikos einer späteren Wachstumsstörung. Dislozierte Frakturen werden offen reponiert, die Osteosynthese erfolgt mit einer Kleinfragmentschraube. Finden sich viele kleine Fragmente kann eine K-Draht Osteosynthese durchgeführt werden. Wird der Innenknöchel operiert, kann bei gleichzeitiger hochgradiger lateraler Instabilität eine Rekonstruktion des lateralen Bandapparats durchgeführt werden. Fibula Frakturen stellen sich meist spontan ein, sodass hier keine zusätzliche Osteosynthese notwendig ist.

Nach der Osteosynthese wird die Fraktur für ca. vier Wochen in einem Unterschenkelgips ruhiggestellt. Bei Schmerzfreiheit der Frakturzone erfolgt anschließend eine schmerzadaptierte Belastungssteigerung über weitere zwei Wochen. Sobald unter Alltagsbedingungen Beschwerdefreiheit besteht kann die sportliche Belastung langsam gesteigert werden. Kirschnerdrähte werden 6-8 Wochen postoperativ, Schrauben nach zwölf Wochen entfernt. Es empfiehlt sich klinische und radiologische Kontrollen im Abstand von 6 Monaten bis zum Wachstumsabschluss durchzuführen, um ein mögliches Fehlwachstum frühzeitig zu erkennen.

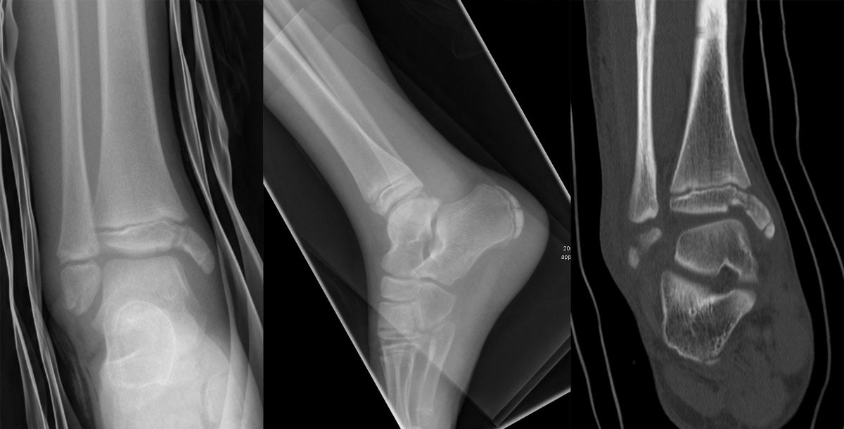
Übergangsfrakturen

Übergangsfrakturen sind spezielle Verletzungen, die ausschließlich in der Lebensphase beobachtet werden, in welcher die Wachstumsfugen teilweise geschlossen sind. Die Wachstumsfuge an der distalen Tibia schließt sich von ventromedial beginnend nach dorsal und lateral. Während die bereits geschlossene Wachstumsfuge eine hohe Stabilität aufweist, ist der knorpelige Anteil der noch offenen Fuge wesentlich weniger widerstandsfähig. Die mechanisch schwächste Schicht der Wachstumsfuge ist der Blasenknorpel. Durch Biege- und Scherkräfte kommt es zu einer Verletzung der Wachstumsfuge mit Aussprengung eines metaphysären Keils. Übergangsfrakturen sind „unvollendete“ Fugenschaftfrakturen bei welchen die bereits geschlossene Fuge ein Auslaufen der Frakturlinie durch die Fuge verhindert und daher die Bruchlinie ins Gelenk ausläuft (v. Laer 2013).

Rein epiphysäre Frakturen werden als Twoplane-Frakturen bezeichnet. Der Frakturverlauf liegt in der Epiphyse und dem noch nicht verknöcherten Anteil der Wachstumsfuge. Gibt es noch einen zusätzlichen metaphysären Keil handelt es sich um eine Triplane-Fraktur. Bei einer Triplane-Fraktur kann sich in Einzelfällen die metaphysäre Fraktur bis in die Epiphyse fortsetzen, sodass eine zusätzliche Querfraktur resultiert. Es entsteht der Eindruck eines zusätzlichen hinteren Volkmann Fragments. 

  • Twoplane-Fraktur: Epiphysäre Fraktur, welche epiphysär und durch den noch nicht verknöcherten Teil der Fuge verläuft (Aitken II Verletzung bei einer teilweise mineralisiert Wachstumsfuge).
     
  • Triplane-I-Fraktur: Epiphysäre Fraktur, mit teilweisem Verlauf durch die Wachstumsfuge und gleichzeitigem metaphysären Keil.
     
  • Triplane-II-Fraktur: Epiphysäre Fraktur, mit Verlauf durch die Wachstumsfuge. Der metaphysäre Keil setzt sich in die Epiphyse fort, was zu einer weiteren quer verlaufenden Frakturlinie im Gelenk führt.

In Abhängigkeit vom Reifezustand der Wachstumsfuge kann der epiphysäre Frakturspalt sehr weit medial bis ganz lateral zu liegen kommen. Ein sehr weit lateral liegender Frakturspalt entspricht funktionell nahezu einem knöchernen Ausriss der vorderen Syndesmose, was sich im Röntgenbild an einer erweiterten Malleolengabel erkennen lässt 9

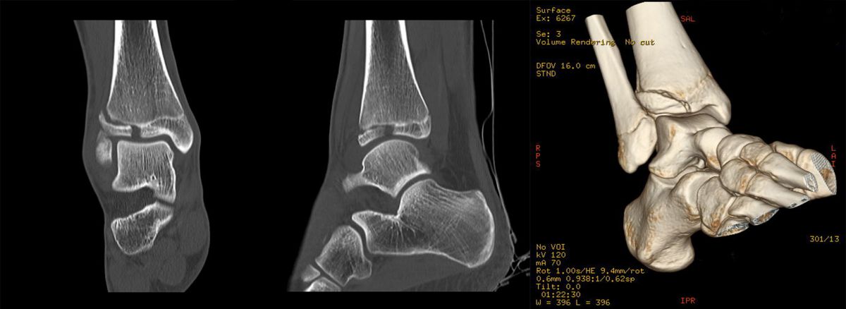
Der teilweise komplexe Frakturverlauf bei Übergangsfrakturen lässt sich im CT zuverlässig darstellen 10. Der erfahrene Untersucher kann bereits mit Röntgenaufnahmen des Sprunggelenks in zwei Ebenen in Verbindung mit zwei 45° Schrägaufnahmen sehr umfassende Aussagen zum Frakturverlauf treffen (v. Laer 2013), die Präzision und Aussagekraft der Computertomografie ist aber zweifelsohne überlegen und wird von den meisten Behandlern bevorzugt 11, auch wenn sich zu diesem Thema in der Literatur eine teilweise sehr emotional geführte Diskussion findet. Einigkeit hinsichtlich der Indikation für ein Schnittbildverfahren besteht bei Triplane-Frakturen, wenn Zweifel darüber bestehen, inwieweit die metaphysäre Fraktur den tragenden Gelenkanteil tangiert 12.

THERAPIE

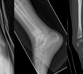
Übergangsfrakturen weisen häufig nur eine geringe Dislokation auf (Abb. 25). Möglicherweise wurden diese Verletzungen in ihrer Rolle hinsichtlich einer Arthroseentwicklung lange Zeit überbewertet 13. Nicht dislozierte Frakturen können konservativ behandelt werden.

Nach einer primären Ruhigstellung im gespaltenen Unterschenkelgipses kann dieser nach Abschwellung geschlossen werden. Nach 10 Tagen erfolgt der Wechsel auf einen geschlossenen Unterschenkel-Kunststoffgips für weitere 3-4 Wochen. Da sehr kleine Kinder aus Unterschenkelgipsen gerne herausschlüpfen, sollte in diesen Fällen an die Möglichkeit der anfänglichen Oberschenkelgipsanlage gedacht werden. Die immer wieder genannte Sarmiento-Gipsanalge hat für uns bei der Behandlung von Sprunggelenksverletzungen im Kindesalter keinen Stellenwert. Den Indikationsbereich des Sarmiento-Gipses mit Freigabe der Mobilität im Kniegelenk in einem Bewegungsausmaß von 0-30-120° und Lastreduzierung für den Unterschenkel durch eine Abstützung an den Femurkondylen, sehen wir vor allem bei der diaphysären Unterschenkelfraktur.

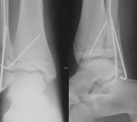
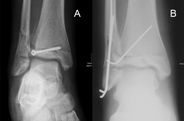
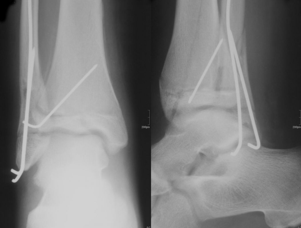
Dislozierte Frakturen (Frakturspalt > 2 mm) werden grundsätzlich operativ behandelt. Die Reposition kann arthroskopisch unterstützt erfolgen. Die Schraubenosteosynthese erfolgt entsprechend dem Frakturverlauf. Bei Twoplain Frakturen ist meist eine epiphysäre Schraube ausreichend die von lateral kommend das Fragment nach medial-proximal fixiert. Der Schraubenverlauf ist üblicherweise von lateral ventral nach proximal dorsal medial (Abb. 24). Nach Reposition darf in der seitlichen Aufnahme des Sprunggelenks, als auch in der 45° Außenrotationsaufnahme keine Stufe in Höhe der Wachstumsfuge erkennbar sein. Eine sichtbare Stufe ist Indikator für eine unzureichende Reposition.

Bei Triplane-Frakturen fasst die metaphysäre Schraube das metaphysäre Fragment einschließlich eines hinteren Volkmann Dreiecks, die epiphysäre Schraube fasst das epiphysäre Fragment. Da der Fugenschluss noch nicht abgeschlossen ist, sollten die Schrauben die Wachstumsfuge nicht kreuzen, obwohl eine Wachstumsstörung unwahrscheinlich ist (v. Laer 2013). 

Die Nachbehandlung umfasst eine sechswöchige Entlastung im Gips. Nach Gipsabnahme wird die Bewegung freigegeben und eine schmerzadaptierte Aufbelastung erlaubt. Ein Sportbeginn ist normalerweise nach 10-12 Wochen möglich. Die Schraubenentfernung erfolgt nach 3-6 Monaten. Klinische Kontrollen nach sechs und zwölf Monaten erlauben ein frühzeitiges Erkennen von möglichen postoperativen Fehlentwicklungen. Sobald die Wachstumsfuge vollständig verschlossen ist, sind keine weiteren Kontrollen mehr notwendig.

Laterale Bandverletzungen

Laterale Bandverletzungen sind beim Kind häufig. Im Alltag stellt sich häufig die Frage, ob eine knöcherne Verletzung vorliegt. Ohne Röntgenbild lässt sich eine knöcherne Verletzung nicht sicher ausschließen, allerdings ist auch ein negatives Röntgenbild keinesfalls definitiv beweisend, dass keine knöcherne Verletzung vorliegt. Hinweise auf einen knöchernen Schaden sind ein ausgeprägter Gelenkerguss, ein starkes Hämatom sowie eine ausgedehnte Schwellung im Knöchelbereich. Trotzdem handelt es sich hierbei um subjektive Kriterien, die im Einzelfall schwierig zu quantifizieren sind.

Erscheint klinisch die Verletzung wenig dramatisch, kann zunächst eine Ruhigstellung ohne Röntgenkontrolle mit einer Gipsschiene für fünf Tage erfolgen. Ist das Kind nach fünf Tagen beschwerdefrei, ist eine weitere Behandlung ohne Röntgenbild möglich. Die Beschwerdefreiheit nach fünf Tagen schließt eine knöcherne Verletzung aus (v. Laer 2013). Bei persistierenden Schmerzen und Schwellung über den fünften Tag hinaus ist eine weitere Abklärung mit Röntgen und gegebenenfalls MRT indiziert 14. 

Soll eine knöcherne Verletzung ausgeschlossen werden, wird ein Röntgenbild des Sprunggelenks in zwei Ebenen durchgeführt.

Weder beim Kind noch beim Erwachsenen besteht die Indikation für eine gehaltene Aufnahme nach einer akuten Kapselverletzung.

THERAPIE AKUTE BANDVERLETZUNG

Bei einer isolierten Weichteilverletzung wird eine Unterschenkelgipsschiene zur Schmerzbehandlung für 3-8 Tage angelegt. Anschließend kann unter dem Schutz einer Schiene oder Orthese die Belastung schmerzadaptiert erlaubt werden. Wichtig ist, das Gelenk vor erneuten Traumen zu schützen (Second Stage Verletzung), welche die Prognose nachhaltig verschlechtern. Ergänzend wird ein propriozeptives Training zur Verbesserung der aktiven Stabilisierung des Sprunggelenks empfohlen.

Liegt ein knöcherner Bandausriss vor, wird nach Abnahme der Unterschenkelgipsschiene 3-8 Tage nach dem Trauma ein Unterschenkelgehgips für drei Wochen angelegt. Nach Gipsabnahme ist die schmerzadaptierte Belastung erlaubt. Üblicherweise ist der freie Gang nach weiteren 2-3 Wochen möglich. Eine operative Intervention ist nur in den sehr seltenen Fällen eines mechanischen Konflikts durch das Knochenfragment indiziert. 

Weitere, primär klinische Verlaufskontrollen werden nach sechs und zwölf Monaten durchgeführt. Gehaltene Aufnahmen zur Überprüfung der Stabilität sind indiziert bei anhaltenden subjektiven Beschwerden, Schwellung bzw. rezidivierenden Distorsionen. Zum Ausschluss einer möglicherweise bestehenden Knorpelläsion führen wir bei anhaltenden Beschwerden auch eine Kernspintomographie durch 15

Beim Kind gibt es keine Indikation für eine primäre operative Behandlung einer isolierten lateralen Kapselbandverletzung. Eine Operationsindikation ergibt sich bei einer chronischen Instabilität und rezidivierenden Distorsions­traumata trotz propriozeptivem Training.

THERAPIE CHRONISCHE INSTABILITÄT

Auch wenn in der Literatur verschiedentlich die Rekonstruktion des lateralen Kapselband Apparats beim Kind durch ein Plantaris longus Transplantat empfohlen wird (v. Laer 2013), halten wir dieses Vorgehen nur in absoluten Ausnahmefällen für indiziert. Das Einziehen eines Sehnen Transplantats ist unnötig invasiv und traumatisch. Das Gewebe beim Kind erlaubt in fast allen Fällen eine anatomische Rekonstruktion mit Raffung bzw. transossäre Refixation des Kapselbandapparats. Durch eine Raffung des Retinaculum extensorum oder einen Periostlappen kann das lokale Gewebe weiter verstärkt werden ohne den Eingriff zu erweitern. Die Nachbehandlung umfasst eine zweiwöchige Ruhigstellung des Sprunggelenks mit einer Gipsschiene, anschließend kann mit einer das Sprunggelenk stabilisierenden Orthesen die Belastung schmerzadaptiert gesteigert werden. Die Orthese sollte bis sechs Wochen postoperativ Tag und Nacht getragen werden. Anschließend empfiehlt sich die Verwendung der Orthese für weitere sechs Wochen tagsüber. 

In der Literatur werden unverändert Tenodese Eingriffe (Chrisman-Snook, Watson Jones) bei der chronischen Instabilität des Sprunggelenks beim Kind empfohlen 1617. Wir halten dieses Vorgehen nicht für zeitgemäß, insbesondere da keine der Studien einen längeren Nachuntersuchungszeitraum umfasst. Beim Erwachsenen führen Tenodeseoperationen zu einer Störung der Kinematik des subtalaren Gelenkkomplexes mit einer hohen Rate an degenerativen Veränderungen des unteren Sprunggelenks 1819. Es gibt keinen Grund anzunehmen, dass die Ergebnisse beim Kind im Langzeitverlauf günstiger sind. Operativ gibt es ohnehin kein Argument für eine Tenodeseoperation, da sich das Sprunggelenk auch mit anatomischen Techniken gut stabilisieren lässt.

Mediale Bandläsionen

Mediale Bandläsionen sind eine seltene Verletzung im Rahmen von Eversiontramata. Meist handelt es sich um Teilrupturen der vorderen Zügel des Deltabandes, die wie beim Erwachsenen konservativ behandelt werden können. Liegt eine Ruptur des Deltabandes in Kombination mit einer anderen Verletzung vor die ohnehin operativ versorgt wird, bietet sich es an, auch das Deltaband zu nähen (v. Laer 2013). Sowohl bei der konservativen Behandlung als auch nach Naht des Deltabandes erfolgt eine vierwöchige Ruhigstellung im Unterschenkelgips. Anschließend darf das Sprunggelenk schmerzadaptiert belastet werden. Bei entsprechender Compliance können auch kindgerechte Walker verwendet werden.

Syndesmosenverletzungen

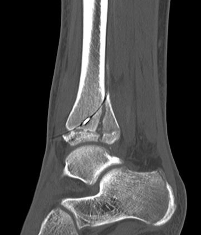
Relevante, rein ligamentäre Syndesmosenverletzungen sind im Kindesalter extrem selten und den Autoren in der persönlichen Erfahrung nicht bekannt. Die Diagnose einer derartigen Verletzung könnte allein über ein MRT gestellt werden; bei Instabilität müsste dann offen revidiert und die Heilung der adaptierten Bandreste mit einer Stellschraube für 8 Wochen gesichert werden, ergänzt durch eine 6-wöchige Ruhigstellung mit US-Gips unter Entlastung.

Die häufig nicht dislozierten knöchernen Ausrisse können konservativ behandelt werden. Dislozierte Fragmente sollten operativ mit Kirschner-Drähten oder Schrauben fixiert werden (Abb. 32). Die Nachbehandlung umfasst eine 4-wöchige Entlastung im US-Gips. Eine Röntgenkontrolle erfolgt nach Gipsabnahme. Freies Gehen sollte nach 6 Wochen möglich sein. Danach ist auch eine sportliche Belastung des Sprunggelenks möglich (v. Laer 2013). 

Eingebrachtes Osteosynthesematerial sollte vor der Vollbelastung entfernt werden.

Verletzungen der distalen Wachstumsfuge der Fibula

Verletzungen der Wachstumsfuge ohne Dislokation werden erst vermehrt wahrgenommen, seitdem mit zunehmender Häufigkeit MRT Aufnahmen des Sprunggelenks beim Kind angefertigt werden.
Die Akutversorgung erfolgt mit einem gespaltenen Liegegips. Nach 5-8 Tagen kann auf einen Gehgips gewechselt werden. Die Belastung erfolgt schmerzadaptiert. Nach Gipsabnahme ist eine freie Aufbelastung möglich.
Findet sich eine Dislokation der Wachstumsfuge erfolgt nach Reposition eine K-Drahtspickung. Die postoperativ angelegte Gipsschale wird nach Abschwellung entfernt und ein Unterschenkelgips für 4 Wochen angelegt.

Nach Gipsabnahme können die Drähte entfernt und das Sprunggelenk zunehmend aufbelastet werden. 

Sowohl nach konservativer als auch nach operativer Behandlung sind die Kinder 2-3 Wochen nach Gipsabnahme üblicherweise wieder gut mobil.

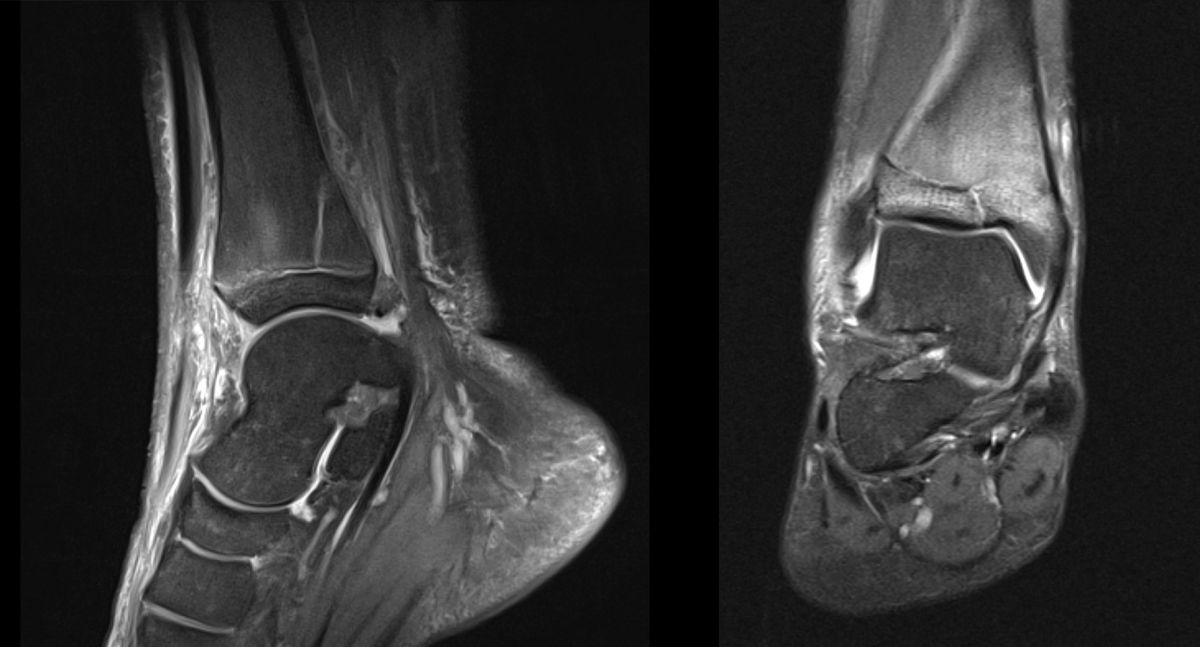
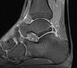
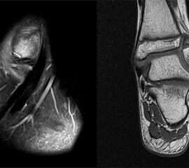
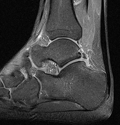
Osteochondrale Verletzungen

Osteochondrale Verletzungen können infolge eines Distorsionstraumas beobachtet werden (Taluskantenfraktur), teilweise lässt sich auch kein Trauma eruieren. Der es sich bei osteochondralen Verletzungen um keine Arthrose handelt, ist gerade bei Schmerzfreiheit ein defensives Vorgehen angezeigt. Bei offenen Wachstumsfugen kann eine osteochondrale Verletzung unter konservativer Therapie ausheilen. 

Eine retrograde Anbohrung ist indiziert, wenn sich im MRT Verlauf eine zunehmende Sklerosierung im Randbereich der Läsion zeigt bei intakter Knorpeloberfläche. 

Instabile Knorpelareale werden arthroskopisch entfernt in Verbindung mit einer Mikrofrakturierung der subchondralen Knochenlamelle.

Weitere Literatur

v. Laer L, Kraus R, Linhart WE: Frakturen und Luxationen im Wachstumsalter. Thieme, Stuttgart, 2013.

Loading…
Loading the web debug toolbar…
Attempt #