Einführung

Abbildung 1: Extremer Knick-Hackenfuß beidseits mehr massiven Druckstellen aber ohne Beschwerden. Patient läuft sicher mit Konfektionsschuhen und wünscht keine operative Behandlung.
Abbildung 1

Der Hackenfuß ist eine relativ seltene Deformität. Die Syno­nyme sind Pes calcaneus und im englischen Sprachraum Calcaneus Foot. Charakteristisch ist der in Dorsalflexion fixierte Fuß. Der Hackenfuß wird selten als kongenitale Deformität beim Säugling beobachtet. Häufiger sind sekun­däre Hackenfußfehlstellungen in Folge von Schäden des zentralen oder peripheren Nervensystems, wie z.B. Cerebralparese, Spina bifida, Poliomyelitis oder posttrauma­tische Nervenschäden. Typisch ist die Steilstellung der Ferse und die eingeschränkte aktive oder passive Plantarflexion. Die hieraus folgende Belastung auf der kleinen Fläche des Tuber calcanei führt zu einer erheblichen Steh- und Gehinstabilität beim größeren Patienten.

Der angeborene Hackenfuß

Abbildung 2: Angeborener Hackenfuß: Der Fußrücken lieget an der Schienenbeinkante an und lässt sich passiv nur bis zur Neutralstellung korrigieren. Die Korrektur tritt in den meisten Fällen ohne spezielle Therapie ein. Bei hartnäckigen Fällen helfen Korre
Abbildung 2

Der angeborene Hackenfuß des Säuglings ist eine harmlose Fehlhaltung durch eingeschränkte Platzverhältnisse in Utero. Bei Geburt ist die Fehlstellung deutlich ausgeprägt. Oft ist der Fuß bis an die Tibiakante hochgeschlagen und kann bei passiver Korrektur kaum in Neutralstellung korrigiert werden. Nach der Entbindung kommt es in der Regel ohne spezielle Therapie zu einer spontanen Besse­rung sobald der Fuß frei bewegt werden kann. Kommt es zu einer verzögerten Besserung, sind neben der Dehnung des Fußes in stark ausgeprägten Fällen Schienen oder Korrek­turgipse in maximaler Spitzfußstellung möglich, insbesondere um die besorgten Eltern zu beruhigen.

Der Lähmungshackenfuß

Von dem harmlosen angeborenen Hackenfuß ist der Lähmungshackenfuß abzugrenzen. Lähmungshackenfüße die typischerweise bei Cerebralparese, Spina bifida oder auch Poliomyelitis auftreten, sind therapiebedürftig. Durch die muskuläre Imbalance ist eine spontane Besserung nicht zu erwarten.

Bei der Cerebralparese sind reine Hackenfußdeformitäten selten 1. Üblicherweise treten sie in Kombination mit einer Valgo-Pronations-Fehlstellung auf. Hackenfüße bei Cerebralparese sind häufig iatrogen verursacht; durch eine übermäßige operative Verlängerung der Achillessehne, in Folge eines oder mehrere operativer Eingriffe zur Korrektur eines Spitz­fusses 2. Eine zweite Ursache kann ein starkes spastisches Übergewicht der Fußhebe­muskulatur bei gleichzeitiger Schwäche des Gastrocsoleus-Komplexes sein. Um dieses Ungleich­gewicht auszugleichen wurde eine Vielzahl operativer Verfahren beschrieben. Zentrales Element dieser Weichteiloperationen ist eine Muskeltransposition mit dem Ziel, wieder eine gute Muskelbalance zu erhalten. Die therapeutischen Möglichkeiten sind aber insgesamt als limitiert einzustufen. Dies gilt sowohl für den Transfer des M. tibialis anterior, als auch der Peronealmuskulatur auf den Calcaneus.

Wichtig ist eine übermäßige Verlängerung der Achillessehne primär zu vermeiden. Gleiches gilt für die Denervierung des M. gastrocsoleus-Komplexes.

Kinder mit Meningomyocele haben etwa in 30% eine Hackenfußdeformität. Diese findet sich vor allem bei Kinder mit einer L5 bis S1 Läsion. Die Fehlstellung wird dabei bedingt durch eine Hyperaktivität der ventralen Unterschenkelmuskulatur bei gleichseitiger Inaktivität der dorsalen Muskulatur. Bei Kindern mit weiter proximal gelegenen Läsionen besteht auch die Möglichkeit einer spastischen Fehlstellung durch spinale Automatismen unterhalb der Läsion.

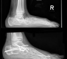
Abbildung 3: Neurogener Knick-Hackenfuß bei Spina bifida durch Ausfall der Wadenmuskulatur
Abbildung 3

Eine unbehandelte Hackenfußdeformität führt zu einer aufgeschwollenen prominenten Ferse mit hohem Verlet­zungsrisiko durch Druckstellen und erheblichen Schwierig­keiten bei der Schuhversorgung. Die Deformität ist bei Kindern anfangs korrigierbar und eine regelmäßige orthetische Versorgung kann gut den Fuß in einer Neutralposition halten. Im Langzeitverlauf kommt es bei konservativer Behandlung aber zu einer progredienten Deformität 3. Dies ist der Grund, bei diesen Kindern schon früh ein Release der Fußhebemuskulatur zu empfehlen. Auch bei Kindern mit Spina bifida ist es wichtig frühzeitig den Fuß vor extremen Fehlstellungen zu schützen.

Lähmungshackenfüße nach Poliomyelitis sind heute selten (Pöhn, Rasch 1994). In Abhängigkeit von den ausgefallenen Muskelgruppen kann eine frühzeitige orthetische Versorgung oder ggf. eine Arthrodese des Sprunggelenks indiziert sein.

Untersuchung

Die Entscheidung zur Therapie erfolgt auf der Basis einer umfassenden klinischen Unter­suchung. Neben der Inspektion der spontanen Stellung des Fußes unter Belastung gibt die Verteilung des Verhornungsmusters an der Fußsohle schnell Auskunft über den Ort der Hauptbelastung. Durch die einseitige Belastung ist die Ferse in der Regel verbreitert, der Vorfuß sehr schmal. Im Stand kommt es entweder zum Einsinken in extremer Kauerposition oder zur Belastung der Fersen bei gleichzeitiger Überstreckung der Kniegelenke mit entsprechend instabilem Stand. Bei der Bewegungsprüfung sollte das Ausmaß der Gelenkbeweglichkeit für aktiven und passiven Bewegungsausschlag nach dorsal und nach plantar geprüft werden. Muskelkraft und Muskellängen gehören ebenso dazu wie die Prüfung einer zentralen Ansteuerung bei geringeren Kraftgraden. Bei der Funktionsprüfung ist charakteristisch die fehlende Fähigkeit des Zehenspitzenstandes. Bei einseitigem Hackenfuß kann der Patient dies häufig durch die gesunde Seite kompensieren. Klinisch wegweisend ist die deutliche Atrophie der Wadenmuskulatur auf der betroffenen Seite.

Behandlung

Konservativ

Die Behandlung des Hackenfußes erfolgt zunächst konservativ. Unter physiotherapeutischer Betreuung erfolgen Kräftigungsübungen für die Plantarflexoren sowie eine Dehnung der Extensoren. Die schwache Muskulatur kann bei erhaltener peripherer Innervation auch über eine Elektrostimulation trainiert werden. Bei ausgeprägter Verkürzung der Extensoren ist eine Gipsredression in Spitzfußstellung bzw. eine Redressionsbehandlung mit einer Orthese in Spitzfußstellung möglich. Zusätzlich kann zur Schwächung der Extensoren im Rahmen der konservativen Therapie eine Behandlung mit Botulinumtoxin erfolgen. Hierzu wird gewichts­adaptiert das Botulinumtoxin in die anteriore Muskelgruppe des Unterschenkels injiziert. Spricht die Therapie gut an, so kann durch wiederholte Injektionen durch die Schwächung der Extensoren die muskuläre Balance unterstützt werden.

Bei einer Schuhversorgung wird zur Unterstützung der Plantarflektoren im Bereich der vorderen Lasche des Schuhs eine Verstärkung eingebaut. Dafür ist ein knöchelüber­grei­fender Schuh notwendig. Durch das stabile Widerlager des Schuhs zum Schienbein erreichen die Patienten eine stabilere Standposition. Dies kann durch eine Einlagen­versorgung mit Aktivierung der Plantarflektoren unterstützt werden. Vor allen Dingen die Stabilisierung der Knickfußkomponente ist mit der Einlagenversorgung möglich.

Eine schwere Hackenfußposition kann dagegen mit überknöchelhohen Schuhen nicht ausreichend gestützt werden. Hierfür ist eine höher gezogene Orthese vom Typ einer Ground-Reaction-Force-(GRF)-Orthese notwendig. Diese Orthesen besitzen einen Anschlag für die Dorsalextension bzw. eine Carbonfeder, welche die Kräfte beim Kontakt zum Boden während der Standphase speichert und beim Abstoß den Abdruck unterstützt. Neben diesen Funktionsorthesen ist für die Nacht eine Lagerungsorthese im Spitzfuß sinnvoll, damit sich die überlangen Plantarflexorenmuskulatur durch die Lagerung wieder verkürzt.

Operativ

Bei der operativen Behandlung stehen die Weichteiloperationen bei der Korrektur des Hackenfußes eindeutig im Vordergrund. Durch die muskuläre Imbalance kommt es zu einer Verkürzung der ventralen Muskeln, die durch die Operation verlängert werden sollten. Die überlangen Plantarflektoren auf der Unterschenkelrückseite können dagegen verkürzt werden. Diese beiden Maßnahmen verändern aber das Kräfteverhältnis langfristig nicht. Deshalb sind Sehnentransfers als motorische Ersatzoperationen für fehlende Muskelfunk­tionen bzw. zum Weichteil-Balancing sinnvoll. Bei lange bestehenden extremen Fehlstel­lungen ist zusätzlich ein Release der verkürzten ventralen Gelenkkapseln indiziert.

Muskelverlängerungen

Muskelverlängernde Operationen sind vor allen Dingen sinnvoll in Frühstadien ohne ausgeprägte kapsuläre Kontraktur. Sie ermöglichen nach einer Operation eine weitere Versorgung mit Orthesen, da die gewünschte Neutralstellung nach einer Muskelverlänge­rung leichter zu erreichen ist. Vor allen Dingen bei Patienten mit Cerebralparesen ist ein frühzeitiges Release zum Erreichen einer guten Balance sinnvoll. Hier bietet sich eine perkutane oder offene intramuskuläre Verlängerung der Tibialis anterior und Extensor digitorum Muskulatur an.

Muskelraffung und –augmentation

Sehnenraffungen bei überlangen Wadenmuskeln vor allen Dingen nach vorangegangener Verlängerung der Sehnen zeigen dagegen jeweils nur einen kurzzeitigen Effekt 4. Gute Ergebnisse werden nur erzielt in Kombination mit zusätzlichen Augmentationen. Zur Verkürzung der überlangen Achillessehne kommen neben  verkürzenden Z-Plastiken auch Dopplungen oder auch Neuinsertionen im Bereich des Tuber calcanii in Frage. Verankerungen mit modernen Ankersystemen sind dabei oft sinnvoll. Augmentation werden bevorzugt mit Hilfe der Peroneal- und Tibialis-anterior-Muskulatur durchgeführt. Eine Augmentation mit dem M. tibialis posterior ist nur möglich bei gleichzeitiger Arthrodese des Talonavicular-Gelenkes.

Kapsulotomie

Bei lange bestehender Hackenfußfehlstellung ohne regelmäßige passive Korrektur entsteht eine Kontraktur der vorderen Kapselanteile des oberen Sprunggelenkes. Diese Kapsel kann in Frühstadien problemlos konservativ aufgedehnt werden. Bei jahrelanger Fixation ist hingegen eine Kapsulotomie erforderlich, um wieder eine ausreichende Plantarflexion zur erreichen. Hierbei wird so viel Kapsel vom der tibialen Insertion abgelöst, bis das Sprung­gelenk passiv in 10° Plantarflexion gebracht werden kann.

Knöcherne Korrektur

Bei jahrelanger Hackenfußfehlstellung sind teilweise auch knöcherne Korrekturen notwendig. Bei extrem fixierter Steilstellung des Calcaneus kommt es zu einem extremen Verlust des Hebelarms für die Wadenmuskulatur. Nur durch eine lateral-dorsal Verschiebung mit gleich­zeitiger Verkürzung der Wadenmuskulatur können dann die Hebelverhältnisse wiederher­gestellt werden. Häufig müssen solche Korrekturen mit einer komplexen Arthrodese von Rückfuß und Fußwurzel kombiniert werden um ausreichend stabile Verhältnisse zu erreichen. Gleichfalls sollten Varus- und Valgusdeformitäten durch Medial- oder Lateralverschiebung korrigiert werden 5.

Bei extremer Valgusdeformität des Rückfusses sollte das untere Sprunggelenk stabilisiert werden. Bei passiver Korrigierbarkeit bietet sich hierfür die Arthrorise an. Hierbei wird durch ein Implantat im Sinus tarsi die Rückfussvalgisierung blockiert. Nach Abschluss des Wachs­tums kann das Implantat wieder entfernt werden.
Bei kontrakter Fehlstellung des unteren Sprunggelenkes ist eine Arthrodese des Subtalar­gelenks indiziert (z.B. nach Green-Grice).

Gelingt es nicht die Dorsalextension über Sehnentransfers und ein Auftrainieren der Waden­muskulatur einzuschränken, besteht die Möglichkeit der ventralen Arthrorise mit Einbringen einem Knochenspan der auf der ventralen Tibia fixiert wird. Dieser wirkt als Stopper und blockiert die Dorsalextension in der gewünschten Gelenkstellung.

Ausgedehntere Arthrodesen zwischen Tibia und Talus und im Bereich der gesamten Fuß­wurzel empfehlen sich nur bei Patienten mit sehr starken Funktionseinschränkungen. Bei dieser Gruppe der Patienten geht es vor allem um eine stabile Gewichtsübernahme bei Transfers im gehaltenen Stand. Ausgedehnte Rückfussarthrodesen unter Einbeziehung des oberen Sprunggelenks und des Chopartgelenks schränken die Abrollfunktion des Fußes stark ein mit einer deutlichen Verschlechterung der Gangökonomie.

Beachtung der benachbarten Gelenke

Abbildung 8: Neurogener Hackenfuß bei geführt gehfähigem Kind mit Cerebralparese (GMFCS 3): Behandlung nur der Kauerstellung mit Hüft- und Kniebeugerverlängerung führt zu weitgehender Korrektur des Hackenfußes
Abbildung 8

Bei Patienten mit Hackenfuss, insbesondere mit neurolo­gischen Grunderkrankungen, sollte immer die proximale Gelenkkette in die Therapieplanung einbezogen werden. So ist eine Hackenfüßigkeit oft auch die Folge einer ausgepräg­ten Kauerposition. Durch eine Verbesserung der Knie- und Hüftstreckung kann somit die Zunahme einer Hackenfuß­deformität entgegen gewirkt werden. Die schwache Plantarflexions-Muskulatur kann nach Korrektur weiter proximal gelegener Deformitäten teilweise die notwendige Kraft alleine wieder erreichen.

Erleichterung, Pflege und Schuhversorgung

Abbildung 9: Schwerer neurogener Knick-Hackenfuß bei einem nicht gehfähigen Patienten mit Cerebralparese (GMFCS 5): Schuhversorgung wegen extremer Fehlstellung der Zehen nicht mehr möglich.
Abbildung 9

Bei Patienten mit schweren Hackenfußdeformitäten in Kom­bination mit stark eingeschränkter Steh- und Gehfähigkeit ist dagegen nicht die Belastbarkeit, sondern die Versorgbar­keit mit Schuhen und Orthesen das Hauptbehandlungsziel. Zur Erleichterung der Fußpflege und des Anziehens von schützendem und wärmendem Schuhwerk sind hier meist weichteilige Release-Operationen ohne Muskeltransfer und ohne Arthrodesen ausreichend.

Zusammenfassung

Zusammengefasst handelt es sich bei den Hackenfüßen um eine recht seltene Fußfehl­stellung. Angeborene Hackenfüße korrigieren sich spontan. Die erworbenen Hackenfüße sind in der Regel Folge einer neurologischen Erkrankung. Die Behandlung ist schwierig und aufwendig. Das Vorbeugen einer Deformierung ist sehr wichtig, da konservative Behand­lungen nur im Initialstadium erfolgversprechend sind. Bei fortgeschrittenen Deformitäten ist meist eine Kombination aus Weichteil- und Knochenoperation mit den besten Erfolgsaus­sichten verbunden. Bei jeglicher Form von operativer Maßnahme ist eine orthetische Nachversorgung zwingend notwendig, um das Operationsziel zu stabilisieren. Ein erfahrenes Team im Umgang mit neurologischen Krankheitsbildern und deren orthopädischen Problemen ist für eine erfolgreiche Therapie absolut notwendig.

Weitere Literatur

  • Canale ST, Beaty JH: Campbell’s Operative Orthopaedics. 12th Edition. Elsevier, Mosby, 2012.
  • Döderlein L, Wenz W, Schneider U: Der Spitzfuß - Der Hackenfuß. Springer, Berlin Heidelberg New York Tokio, 2004.
  • Herring JA: Tachdijan’s Pediatric Orthopaedics 5th Edition. Saunders, Philadelphia, 2013.
  • Wirth CJ: Fuss: Das Standardwerk für Klinik und Praxis. Thieme, Stuttgart, 2002.
  • Pöhn, H. Ph. und G. Rasch: Statistik meldepflichtiger übertragbarer Krankheiten: vom Beginn der Aufzeichnungen bis heute (Stand 31. Dezember 1989). MMV Medizin Verlag GmbH München, 1994 (bga-Schriften 5/93).
Loading…
Loading the web debug toolbar…
Attempt #