Einleitung

Die orthopädische Untersuchung des Fußes beim diabetischen Fußsyndrom (DFS) erfordert profunde Kenntnisse der Anatomie und Biomechanik des Fußes, um im Kontext mit dem übrigen Behandlerteam die notwendigen therapeutischen Schritte ableiten zu können. Die Ursachen des DFS und der diabetischen Fußläsion sind multifaktoriell. Neben der Neuropathie und Angiopathie sind es primäre und überwiegend sekundäre Fußdeformitäten, die zu Ulzerationen, Infektionen und damit nicht selten zu Amputationen führen 1234. Der Fuß ist ein Teil des Gesamtorganismus. Anzeichen metabolischer, vaskulärer, dermatologischer und sonstiger Erkrankungen können sich am Fuß manifestieren. Das diabetische Fußsyndrom (DFS) ist nur ein Aspekt des Diabetischen Spätsyndroms. 

Die sorgfältige klinisch-orthopädische Diagnostik wird durch bildgebende Verfahren wie Röntgenuntersuchung, Pedobarographie, B-mode-Sonographie ergänzt. In manchen Fällen ist die Durchführung einer MR-Tomographie oder Skelettszintigraphie, in seltenen Fällen einer Computertomographie, erforderlich. Außer der Sonographie soll an dieser Stelle auf die eingehende Darstellung der übrigen apparativen Techniken in den entsprechenden anderen Kapiteln verwiesen werden. Eine strukturierte und umfassende Anamnese- und Befunderhebung wird durch die Verwendung von standardisierten Dokumentationsbögen oder EDV-gestützter Dokumentationssysteme erheblich erleichtert und verbessert die interdisziplinäre Zusammenarbeit 4. Die Durchführung einer Fotodokumentation ist – auch aus forensischen Gründen - notwendig.

Anamnese

  • Patienten sind oft nicht in der Lage vollständige Angaben zu machen
  • Ergänzung der Informationen durch Angehörige
  • Zeitpunkt der Erstmanifestation des Diabetes mellitus
  • Aktuelle Therapie
  • Bestehen Symptome einer Neuropathie (Hyp-, Dysästhesien)
  • Bestehen Hinweise auf eine Angiopathie (Claudicatio intermittens)
  • Vorbestehende weitere internistische und orthopädische Erkrankungen
  • Vorangegangene Operationen und Verletzungen im Bereich der unteren Extremitäten
  • Bei bereits bestehenden Ulzerationen, dem Verdacht auf eine Diabetische Neuroosteoarthropathie (DNOAP) und vor allem auf eine Fußinfektion ist die Evaluation des Beginns der Symptomatik und der Beschwerden sowie bisheriger Behandlungsmaßnahmen wichtig
  • Frage nach erfolgten Patienten-Schulungsmaßnahmen
  • Schuhgewohnheiten und bisherige orthopädie-schuhtechnische Versorgungen
  • Frage nach früherem Nachweis von multiresistenten Keimen (v.a. MRSA, 3-MRGN, 4-MRGN), insbesondere bei Fußulzerationen und/oder vor allem nach mehrfachen Hospitalisierungen

Untersuchungsablauf

Da der Fuß nur ein Element der kinetischen Kette ist, muss neben einer gezielten Untersuchung des Fußes auch die gesamte untere Extremität und gegebenenfalls das Achsskelett in die Untersuchung mit einbezogen werden. Nur ein strukturierter Untersuchungsgang ermöglicht es, alle pathologischen Veränderungen eines Diabetesfußes zu erfassen. Die stets seitenvergleichende Untersuchung beginnt mit der Inspektion des Gangbildes. Es folgt vor dem Hintergrund der Komplexizität der Grunderkrankung mit möglichen Auswirkungen auf den gesamten Bewegungsapparat zunächst eine orientierende Untersuchung des Achsskelettes zum Ausschluss schwerer Wirbelsäulendeformitäten und Beckenfehlstellungen. Es schließt sich eine beidseitige Funktionsprüfung der Hüft- und Kniegelenke und eine Beurteilung der Beinachsen, Beinlängen und Rotationsverhältnisse an. Die eigentliche Untersuchung der Füße beginnt mit einer Bewertung der Rückfußachse, des Fußlängs- und Quergewölbes, der Fuß- und Zehenform sowie der Muskelvolumina und Hautverhältnisse. Es folgt die Palpation mit Untersuchung von Gelenkstabilität und Bewegungsausmaß der Fuß- und Zehengelenke. Bei der unteren Extremität muss stets beachtet werden, dass pathologische Veränderungen eines einzelnen Gliedes der kinematischen Kette erhebliche Auswirkungen auf die Gesamtstatik und die Gangabwicklung haben können. Es schließt sich die Beurteilung der Haut- und Weichteilsituation sowie eine orientierende angiologische und neurologische Untersuchung an (Wülker 1998).

Ganganalyse

Das Gangbild ist das Ergebnis eines komplexen Zusammenwirkens zwischen zentralem und peripherem Nervensystem sowie dem Stütz- und Bewegungsapparat. Pathologische Veränderungen am Bewegungssystem erzeugen häufig ein abnormales Gangbild oder einen gestörten Krafteinsatz. Dadurch ist eine deutliche Unterscheidung vom unauffälligen Gang möglich. Die diabetische Neuropathie kann Gangabnormalitäten verursachen, die die Balance negativ beeinflussen sowie ein erhöhtes Sturzrisiko für ältere Patienten mit Diabetes mellitus mit sich bringen 56. Einige dieser Besonderheiten lassen sich visuell durch den erfahrenen Beobachter erkennen. Andere können nur mit geeigneten Geräten gemessen werden. Zu Beginn sollte zunächst der Gang des beschuhten Patienten mit frei schwingenden Armen über eine ausreichend lange Strecke von mehreren Gangzyklen beurteilt werden (Inman 1981). Dabei sind nach Mann folgende Aspekte zu beachten (Mann 2013):

  • Hinken (Verkürzungs-H., Schon-H., Insuffizienz-H., Trendelenburg-H., Duchenne-H., Lähmungs-H.)
  • Beckenkippung
  • Symmetrie der Armbewegung
  • Fußrotation (in der Abstoßphase)
  • Ausmaß der Fußpronation (in der frühen Standphase)
  • Art des Fersenaufsatzes und Fersenabhebens
  • Drehen und/oder Gleiten des Schuhs über den Boden
  • Schuhtyp, Absatzhöhe

Falls möglich (Wunden, Infektion, Verband) wird im unmittelbaren Anschluss der Gang des unbeschuhten Patienten in der frontalen und seitlichen Perspektive in gleicher Weise evaluiert. Folgende Übersicht der möglichen Ursachen von Gangstörungen soll die Vielfalt unterschiedlicher Gangstörungen vor Augen führen:

  • Beinlängendifferenzen
  • Fußerkrankungen und Fußdeformitäten
  • Hüft- und Kniegelenkschäden
  • Gangstörungen bei Systemerkrankungen des Skelettes
  • Mono- und Polyneuropathien
  • Neuromuskuläre Systemerkrankungen

Eine wichtige Voraussetzung aus diagnostischer Sicht ist es, die Schrittphasen im Bewegungsmuster eines Patienten zu erkennen und individuelle Besonderheiten innerhalb der einzelnen Schrittphasen zu formulieren. Dabei wird ein besonderes Augenmerk auf die Koordinationsfähigkeit und eventuell vorhandene Formen des Hinkens und/oder Lähmungserscheinungen gelegt 7. Auch die Beurteilung der Symmetrie der Armbewegungen ist von Bedeutung, da durch diese das Defizit an peripherer Propriozeption bei Diabetiker zum Teil ausgeglichen werden kann (Szczepanik 2005). Eine sehr aufwendige, standardisierte Videoanalyse bleibt aber in der Regel speziellen wissenschaftlichen Fragestellungen vorbehalten (Davis 1988). Auch Schrittlänge (normal 2-3 Fußlängen) und Schrittbreite (normal < Abstand beider Hüftgelenke) sind zu beurteilen. Sie bilden die Unterstützungsfläche und sind maßgeblich an der Standfestigkeit beteiligt. Oftmals wird vom Patienten während des Untersuchungsvorgangs nicht sein alltägliches Gangbild demonstriert sondern er versucht ein physiologisches, dem Untersucher gefälliges Gangbild zu demonstrieren. Um die wahre Alltagsbelastung zu eruieren ist hier die Untersuchung des Schuhwerks des Patienten hilfreich, um anhand der Abnutzungsspuren am Schuh die wirkliche Belastungssituation und das Abrollverhalten nachzuvollziehen.

Fußform und Gelenkachsen

Die Fußform eines Patienten mit DFS kann durch vorbestehende Deformitäten (Spreizfuß, Plattfuß, etc.) einerseits und diabetesspezifische Veränderungen („limited joint mobility“, diabetische Neuroosteoarthropathie (DNOAP), Zustand nach Teilamputationen) andererseits geprägt sein. Die statische Beurteilung von Fußform und Gelenkachsen erfolgt am barfüßigen, stehenden Patienten. Nach Bewertung der Beinachsen, wird bei dorsaler Betrachtung des Rückfußes der sogenannte tibio-calcaneare Winkel (physiologisch ca. 7° Valgus) bestimmt. Ein vermehrter tibio-calcanearer Valgus besteht beim Knick-Plattfuß (Pes plano-valgus). Eine varische Rückfußachse findet sich meist beim Hohlfuß (Pes cavus) oder bei lateraler Instabilität des Sprunggelenks. Durch ausgeprägte knöcherne Talusdestruktionen bei neuropathischer Osteoarthropathie sind sowohl komplexe Valgus- als auch Varusfehlstellungen des Rückfußes möglich. Kommt es im Zehenstand zu einer Korrektur der Achsabweichung, spricht man von einer aktiv kompensierbaren Fehlstellung.

Der Untersucher beurteilt dann die Ausprägung der Fußlängswölbung (Wülker 1998). Die Beurteilung der funktionellen Querwölbung - da am stehenden Patienten nicht direkt sichtbar - ist nur indirekt durch eine Beurteilung von Vorfußbreite, evtl. Achsabweichungen des 1. und 5 Strahls (Hallux valgus, Digitus quintus varus) sowie Fehlbeschwielungen unter den Metatarsaleköpfchen 2-4 möglich.

Fußdeformitäten

Die Kenntnis der Rück- und Vorfußdeformitäten beim Nicht-Diabetiker ist Voraussetzung, um vor allem bei Osteoarthropathie (DNOAP) die oft sehr komplexen Fußfehlstellungen von vorbestehenden Deformitäten abgrenzen zu können.

Der erworbene Knickfuß (Pes valgus) mit vermehrter Valgusachse des Rückfußes ist meist durch eine Insuffizienz der Tibialis-posterior-Sehne bedingt. Da von dorsal betrachtet der Anschein eines nach lateral durch eine zusätzliche Zehe verbreiterten Vorfußes erweckt wird, spricht man im Englischen auch vom sogenannten „too-many-toe-sign“ (Abb. 1).

Zum Lesen der Bildbeschreibung und zur Vollansicht bitte die Bilder anklicken.

Der Knickfuß geht in der Regel mit einer abgeflachten Längswölbung (Senkfuß) und im fortgeschrittenen Stadium mit einer Aufhebung der Längswölbung (Plattfuß = Pes planus) (Abb. 2a) einher. Man spricht dann von einem sogenannten Knick-Plattfuß (Pes plano-valgus) 8. Beim DFS gilt es einen vorbestehenden Plattfuß, der evtl. noch flexibel ist, von einem strukturellen, kontrakten Plattfuß bei Einbruch des Fußlängsgewölbes im Rahmen einer Osteoarthropathie zu unterscheiden. Mit dem Jack‘s-Test lässt sich prüfen, ob der sog. Windlass-Mechanismus (Windenmechanismus) intakt ist (Mann 2013).

Ein Spitzfuß (Pes equinus) kann sowohl durch eine Verkürzung von Achillessehne, M. gastrocnemius und M. soleus, aber auch durch ein mechanisches Extensionshindernis im oberen Sprunggelenk bedingt sein. Folge der Spitzfußstellung ist eine deutliche Druckumverteilung mit Mehrbelastung des Vorfußes. Typisches Merkmal des Hohlfußes (Pes cavus) (Abb. 2b), welcher oft mit einer Rückfußvarusstellung kombiniert ist, ist ein pathologisch überhöhtes Fußlängsgewölbe. Er ist meist Folge neuro-muskulärer Grunderkrankungen.

Der Schaukelfuß oder Tintenlöscherfuß (Abb. 2c und d) ist beim Patienten mit DFS meist alleinige Folge einer Osteoarthropathie mit komplettem Einbruch des Fußlängsgewölbes durch eine Gelenkdestruktion im Bereich zwischen Lisfranc- und Chopartgelenk.

Eine Varus- oder Valgusdeviation des Vorfußes wird als Pes adductus (Sichelfuß) oder Pes abductus bezeichnet. Der häufigere Pes abductus ist bei fortgeschrittenem Plattfuß auf eine mediale Subluxation des Taluskopfes im Talonaviculargelenk zurückzuführen. Häufig findet sich eine Vorfußverbreiterung (Spreizfuß, Pes metatarsus) (Abb. 2e) mit sekundären Deformitäten der Zehen (Hallux valgus) und Zeichen eines chronischen Tiefertretens des Metatarsale 2-4 (Metatarsalgie, Fehlbeschwielung).

Zehendeformitäten

Beim Hallux valgus weicht die Großzehe nach lateral ab und ist in Pronationsrichtung verdreht. Das Metatarsale I verschiebt sich nach medial ab, was zu einem vergrößerten Winkel zwischen den Achsen des Os metatarsale I und II führen kann (Metatarsus primus varus). Dadurch wird das Metatarsale I-Köpfchens medial als Pseudoexostose prominent. Klinisch findet sich oft ein geröteter Großzehenballen. Bei DFS ist dies eine häufige Lokalisation für die Entstehung eines Ulcus. Eine Hypermobilität des Tarso-Metatarsale-1-Gelenkes kann ebenso wie ein ausgeprägter Knick-Senkfuß die Ursache eines Hallux valgus sein. Auch eine stattgehabte Amputation des 2. Zehes mit der daraus resultierenden Lücke begünstigt ein Abweichen des Großzehes nach lateral. Beim oft angeborenen, sogenannten Hallux valgus interphalangeus findet sich die Valgusabweichung nicht im Zehengrund- sondern im Interphalangealgelenk des Großzehes. Die häufigste Fehlstellung im Grundgelenk der 5. Zehe ist der Digitus quintus varus mit lateraler Pseudoexostose des Metatarsale 5-Köpfchens (Schneiderballen), der ähnlich dem Ballen an Metatarsale 1 beim Hallux valgus beim DFS eine Prädilektionsstelle für Ulzerationen darstellt. Der Digitus quintus varus geht meist mit einer Subductus-, seltener mit einer Superductus-Abweichung der 5. Zehe einher.

Die Flexionsfehlstellungen der Kleinzehen, welche in flexible und kontrakte Deformitäten unterschieden werden, bedürfen je nach Lokalisation der Beugefehlstellung einer klaren Begriffstrennung (Hepp 2004). Bei der Hammerzehe kommt es zu einer maximalen Beugung im Zehenmittelgelenk und einer Überstreckung im Grundgelenk (Abb. 3a), bei der Malletzehe dagegen zu einer alleinigen, maximalen Beugung im Endglied (Abb. 3b) Die Krallenzehe entsteht oft aus einer Hammerzehe. Es findet sich eine Dorsalextension im Grundgelenk und eine Beugefehlstellung sowohl im Mittel- als auch im Endgelenk, wobei die die Zehenspitze den Boden in der Regel nicht mehr berührt (Abb. 3c). Die in den Abbildungen verdickt gekennzeichneten Hautareale sind bei den einzelnen Deformitäten vermehrt druckbelastet und damit beim DFS ulcusgefährdet. Da die Begriffsbestimmungen häufig in der Literatur unklar sind und mehrdeutig verwendet werden empfiehlt sich oft die Beschreibung der genauen Deformität, z.B. Hyperextension im Metatarsophalangeal-Gelenk (MTP), kontrakte Flexionsfehlstellung im proximalen Interphalangealgelenk (PIP) oder distalen Interphalangealgelenk (DIP).

Haut, Weichteile und Nägel

Am liegenden Patienten wird insbesondere die Fußsohle inspiziert. Neben der Beurteilung von Hautfeuchtigkeit und -temperatur ist die Oberflächenbeschaffenheit gerade beim DFS genau zu prüfen und nach evtl. vorhandenen Fehlbeschwielungen, Rhagaden, subkeratotischen Einblutungen und Hämatomen zu fahnden. Bei manifestem Ulcus erfolgt eine exakte Klassifikation (Wagner-Armstrong-Klassifikation), die Beschreibung der Lokalisation und Ausdehnung sowie eine Fotodokumentation der Läsion.

Tabelle 1: Wagner-Armstrong-Klassifikation 910
0 1 2 3 4 5
A Prä- oder postulcerative Läsion Oberflächliche Wunde Wunde bis zur Ebene von Sehnen oder Kapsel Wunde bis zur Ebene von Knochen oder Gelenk Nekrosen von Fußteilen Nekrosen des gesamten Fußes
B mit Infektion mit Infektion mit Infektion mit Infektion mit Infektion mit Infektion
C mit Ischämie mit Ischämie mit Ischämie mit Ischämie mit Ischämie mit Ischämie
D mit Infektion und Ischämie mit Infektion und Ischämie mit Infektion und Ischämie mit Infektion und Ischämie mit Infektion und Ischämie mit Infektion und Ischämie

Unter normalen Bedingungen findet sich eine gleichförmige Beschwielung unter dem gesamten Vorfuß, der lateralen Hälfte des Mittelfußes und unter der gesamten Ferse. Hyperkeratosen sind an unphysiologischer Lokalisation ein zuverlässiger Indikator für eine pathologische Fehlbelastung. Neben einer Beurteilung von Hautkoloritveränderungen (DD Infektion, pAVK, Osteoarthropathie, venöse Stauung, Ekzeme usw.) sind vor allem die Zehenzwischenräume auf Zeichen einer Dermatomykose zu prüfen. Der Bereich der Zehennägel ist bedingt durch die hohe Indzidenz von Onchomykosen beim Diabetiker, ein Einwachsen im Nagelrandbereich (Unguis incarnatus) und Verletzung benachbarter Zehen durch unzureichende oder falsche Pflege der oft hypertrophen Nägel ein häufiger Ausgangspunkt von Infektionen und Ulzerationen (Abb. 4).

Schuhe und Fußbett

Ungeeignetes Schuhwerk ist in 30-50% Hauptursache einer initialen Fußläsion. Daher sollte die genaue Evaluierung bisheriger Schuhgewohnheiten und eine sorgfältige Inspektion des Schuhwerks ein wichtiger Punkt im Rahmen der orthopädischen Untersuchung sein 11 (Spraul 1999). Bei vermindertem Schmerzempfinden durch die Polyneuropathie werden Verletzungen durch zu enges und falsches Schuhwerk (harte Nähte, hartes Fußbett, Riemen, harte Zehenkappe, flexible Sohle) nicht wahrgenommen. Verfärbungen, Ein- oder Ausdellungen und gelegentlich auch alte Blutspuren im Oberleder und der Sohle sind Hinweis auf Stellen pathologischer Druckbelastung. Die Beschaffenheit von Schuh und Einlage sollten im Hinblick auf eine stadiengerechte Schuhversorgung im Rahmen des DFS hin überprüft werden. Einseitige Abnutzungsspuren der Sohle lassen auf eine chronische Fehlbelastungssituation schließen.

Palpation

Ziel der Palpation des Fußes ist das Erfassen pathologisch veränderter Strukturen und deren Zuordnung zu einem anatomischen Korrelat sowie die Suche nach evtl. Schmerzpunkten. Aufgrund der Neuropathie die Aussagekraft des Parameters „Schmerz“ beim DFS begrenzt. Häufig besteht eine Druckschmerzhaftigkeit erst bei einer bis in tiefere Fußkompartimente reichenden Infektion. Die bei der Inspektion gefundenen kritischen Punkte mit lokal vermehrter Beschwielung werden abgetastet, um knöcherne Prominenzen nicht zu übersehen. Im Bereich entzündlicher Veränderungen der Haut dient die Palpation dem Auffinden eines möglichen subkutanen Flüssigkeitsverhaltes oder Gelenkergusses und von lokalen Temperaturdifferenzen. Da die Fähigkeit der manuellen Temperaturprüfung stark eingeschränkt, subjektiv und nicht reproduzierbar ist, hat sich eine Hautoberflächentemperaturmessung mittels Infrarotthermometer bewährt 12. Gerade beim Monitoring der akuten Osteoarthropathie ist damit durch seitenvergleichende Messung eine gute Korrelation zum Aktivitätsgrad der Entzündung herzustellen 1314 (EK III, HG A). Das beim DFS in der Regel atrophierte plantare Fettpolster, die oft verhärtete Plantarfaszie und die kritische Region der Mittelfußköpfchen sollten sorgfältig abgetastet werden.

Gelenkpalpation

Beginnend am oberen Sprunggelenk (OSG) werden die einzelnen Gelenke bis zu den Zehengelenken palpiert, um so intraartikuläre Flüssigkeitsansammlungen, Verdickung der Synovialis, Gelenkfehlstellungen und -instabilitäten oder knöcherne Prominenzen ausfindig zu machen. An allen Gelenken sollte, soweit zugänglich, eine zirkuläre Palpation erfolgen und eine manuelle Stabilitätsprüfung durchgeführt werden.

Sehnenpalpation

Die Sehnenstrukturen werden ebenfalls soweit in ihrem Verlauf abgetastet, um so mögliche Verdickungen, Verhärtungen und Defekte aufzuspüren. Durch eine Aufforderung an den Patienten zu einer aktiven Bewegung entsprechend der jeweiligen Sehnenfunktion kann das Gleitverhalten einzelner Sehnen ertastet werden. Von Bedeutung sind auch die jeweiligen knöchernen Sehnenansatzpunkte am Fuß (dorsaler Kalkaneus, Tuberositas ossis navicularis, Basis Metatarsale 5, usw.). Hier sind bei Überbelastung oft erste Zeichen einer chronischen Reizung zu finden sind. Durch Palpation hinter dem Innen- und Außenknöchel wird eine (Sub-) Luxation der Tibialis posterior- bzw. der Peronealsehnen ausgeschlossen.

Bewegungsprüfung

Überprüft werden sowohl Gelenkmobilität als auch -stabilität. Die Funktionsprüfung wird im Seitenvergleich zunächst aktiv, dann passiv nach der Neutral-Null-Methode durchgeführt. Sie ist prinzipiell vom oberen Sprunggelenk bis zu den Zehengelenken anwendbar ist (Hepp 2004). Bei dieser Methode werden alle Gelenkbewegungen von einer einheitlich definierten 0-Stellung aus gemessen. Diese Neutral-0-Stellung entspricht der Gelenkstellung, die ein gesunder Mensch im aufrechten Stand mit parallel stehenden Füßen einnehmen kann. Bei der Messung aus dieser Stellung heraus wird der bei der Bewegung durchlaufene Winkel abgelesen und unter Rundung auf die nächste 5-er Stelle notiert. Die Stabilitätsprüfung und passive Funktionsprüfung werden am entspannten, liegenden Patienten durchgeführt (siehe auch Kapitel "Klinische Untersuchung des Fußes I - Anamnese, Statik und Grundlegende Funktionstests" und Kapitel "Klinische Untersuchung des Fußes II - Spezifische Tests" ).

Bewegungsprüfung des oberen und unteren Sprunggelenks

Bei passiver Bewegungsprüfung des OSG ist die Funktion sowohl bei gestrecktem als auch bei 90° gebeugtem Kniegelenk zu prüfen. Somit kann neben dem größtmöglichen Bewegungsausmaß (normal ca. 70°) auch getrennt eine mögliche Kontraktur des M. soleus und des M. gastrocnemius diagnostiziert werden (Silfverskjöld-Test). Zum Ausschluss von Außen- und Innenbandinstabilitäten werden die laterale und mediale Aufklappbarkeit (Talusverkippung in der Malleolengabel) und der Talusvorschub im OSG getestet (Zwipp 1994).

Video 1: Silfverskjöld-Test

Der Test ist positiv, wenn bei gestrecktem Kniegelenk die Dorsalextension limitiert ist, verglichen zur Situation bei gebeugtem Kniegelenk. Ein positiver Silfverskjöld-Test ist Hinweis auf eine beim Diabetespatienten häufig anzutreffende isolierte Kontraktur des M. gastrocnemius (Video: Jörn Dohle).

Die passive Bewegungsprüfung des gesamten USG (vordere und hintere Gelenkkammer) entlang der Kompromissachse vom Taluskopf zur dorso-lateralen Kalkaneuskante erfolgt bei Fixierung von Talus und distaler Tibia durch die eine Hand. Durch Dorsalextension im oberen Sprunggelenk wird der Talus in der Malleolengabel fixiert. Kalkaneus und restlicher Fuß werden mit der zweiten Hand in In- und Eversion bewegt (Hepp 2004). Das physiologische Ausmaß dieser Bewegung beträgt ca. 60-90°.

Video 2: Untersuchung des unteren Sprunggelenks

Durch Dorsalextension des oberen Sprunggelenks wird der Talus in der Malleolengabel fixiert, so dass die Inversions- und Eversionsbewegung ausschließlich im unteren Sprunggelenk stattfindet (Video: Markus Walther).

Die isolierte Beweglichkeit im Chopartgelenk (vordere Gelenkkammer des USG) lässt sich prüfen, indem die erste Hand den kompletten Rückfuß fixiert und mit der zweiten Hand Os cuboideum und Os naviculare gefasst werden. Mit der zweiten Hand wird nun eine kombinierte Rotations-Translationsbewegung im Sinne einer Pro- und Supination durchgeführt (Rabl 1988).

Bewegungsprüfung der übrigen Fußwurzelgelenke

Aufgrund der straffen Bandverbindungen zwischen den übrigen Fußwurzelgelenken und am Mittelfuß ist die Beweglichkeit der Fußwurzelgelenke beim gesunden Fuß gering. Sie kann jedoch bei fortgeschrittenen ligamentären Instabilitäten und knöchernen Destruktionen bei einer DNOAP erheblich sein. Dazu wird ebenfalls der gesamte Rückfuß einschließlich des Os naviculare und Os cuboideum (Bona-Jäger-Linie) oder einschließlich der Ossa cuneiformia (Lisfranc-Linie) mit der einen Hand des Untersuchers fixiert. Die andere Hand lenkt den Vorfuß aus.

Bewegungsprüfung der Zehengelenke

Zunächst wird die Beweglichkeit in den Zehengrundgelenken geprüft. Am Großzehengrundgelenk beträgt das normale Bewegungsausmaß für Dorsalextension/ Plantarflexion etwa 60-0-45°. Eine deutliche Einschränkung vor allem der Dorsalextension findet sich beim Hallux rigidus (Grundgelenkarthrose). Bei den Hammer-, Klauen- und Krallenzehenfehlstellungen ist zu prüfen, ob es sich um eine flexible oder kontrakte Fehlstellung handelt, um die korrekten Therapieschritte ableiten zu können.

Muskelfunktionsprüfung

Da im Rahmen des DFS einerseits muskuläre Atrophien durch die Polyneuropathie 15 und andererseits Verkürzungen und Verhärtungen der dazugehörigen Sehnenstrukturen durch die nichtenzymatische Glykolisierung (Verzuckerung) von Struktur und Funktionsmolekülen auftreten können, gilt der Funktionsprüfung der Muskel-Sehneneinheiten ein besonderes Augenmerk (Rischbieter 1998). Dabei wird der Kraftgrad (0-5) nach Janda entsprechend der Einteilung des British Medical Research Council überprüft.

Tabelle 2: Kraftgrad nach Janda Tabelle Kraftgrade bei neurologischer Untersuchung (British Medical Research Council) (Mumenthaler 2007)
Kraftgrad
M0 Keine Muskelaktion
M1 Sichtbare Kontraktur ohne Bewegungseffekt
M2 Bewegungsmöglichkeit unter Ausschaltung der Schwerkraft des abhängigen Gliedabschnitts
M3 Bewegungsmöglichkeit gegen die Schwerkraft
M4 Bewegungsmöglichkeit gegen mäßigen Widerstand (d.h. besser als 3 aber nicht normal (5))
M5 Normale Kraft

Begonnen wird mit der Überprüfung Streckergruppe (M. tibialis anterior, M. extensor digitorum longus, M. extensor hallucis longus), gefolgt von der Fibularis-Gruppe (M. fibularis longus, M. fibularis brevis; (Syn.: M. peroneus longus und M. peroneus brevis) und schließlich die Beugergruppe (oberflächliche Beuger: M. triceps surae; tiefe Beuger: M tibialis posterior, M. flexor hallucis longus, M. flexor digitorum longus). Eine eingeschränkte Dorsalextension im OSG im Rahmen des DFS durch eine Verkürzung der Achillessehne und Wadenmuskulatur führt zu einer Steigerung des plantaren Spitzendrucks am Vorfuß (2001) 16. Zur Differenzierung zwischen Soleus- und Gastrocnemiusfunktion wird die OSG-Beweglichkeit bei gebeugtem und gestrecktem Knie überprüft (Silfverskjöld-Test). Da eine differenzierte, willentliche Bewegung der intrinsischen Fußmuskulatur in der Regel nicht möglich ist, bleibt eine indirekte Beurteilung ihrer Funktion einer exakten Beobachtung der komplexen Gesamtbewegungsabläufe vorbehalten.

Angiologische und neurologische Basisuntersuchung

Falls angiologische und/oder neurologische Vorbefunde nicht vorliegen, sollte diesbezüglich zumindest eine Basisdiagnostik erfolgen. Die Pulse der A. tibialis posterior und A. dorsalis pedis werden getastet. Die Rekapillarisierungszeit im Bereich der Zehen wird beurteilt. Bei nicht tastbaren Fußpulsen sollte umgehend eine weitergehende angiologische Diagnostik eingeleitet werden. Dann sollten die Muskeleigenreflexe sowie das Schmerz-, Berührungs-, Temperatur- und Vibrationsempfinden im Bereich von Unterschenkel und Fuß zumindest grob geprüft werden. Einfache Hilfsmittel wie das 10g-Semmes-Weinstein-Monofilament, eine 128-Hz-Stimmgabel und ein TipTherm® sind dabei sehr nützlich.

Video 3: Messung der Rekapillarisierungszeit

Durch Druck wird das Blut aus dem Gewebe gepresst und die Haut verfärbt sich weiß. Nach weniger als 2 Sekunden sollte wieder eine normale rosige Hautfarbe vorhanden sein. An der Großzehe normale Rekapillarisierung, an den Kleinzehen ist eine verzögerte Rekapillarisierung erkennbar (M. Walther).

Video 4: Untersuchung der Sensibilität mit einem Monofilament

B-mode Sonographie

Die Sonographie ist als meist verfügbares und nicht-invasives Verfahren auch im Bereich des Fußes ein nützliches diagnostisches Instrument in der Hand eines versierten Untersuchers. Sie bietet die Möglichkeit, pathologische Veränderungen der Weichteilstrukturen und Gelenke darzustellen und zudem dynamische Untersuchungen durchzuführen. Bei dem geringen Weichteilmantel an Fuß und Sprunggelenk ist aufgrund der höheren Bildauflösung hochfrequenten Linearschallköpfen (10 und 13 MHz) der Vorzug zu geben 17 (Harland 1991). Die Einhaltung der DEGUM-Standardschnittebenen (Deutsche Gesellschaft in der Ultraschallmedizin) ist für eine Reproduzierbarkeit eines Untersuchungsganges von großem Vorteil 18. Es soll jedoch bereits eingangs erwähnt werden, dass es bis auf wenige Arbeiten an kleinen Fallzahlen keine kontrollierten Studien zur Wertigkeit der Sonographie beim DFS gibt 192021. Enderle et al. konnten jedoch in einer vergleichenden Untersuchung der Wertigkeit der Sonographie, Röntgenuntersuchung, Szintigraphie und MR-Tomographie in der Osteomyelitis Diagnostik beim DFS eine höhere Sensitivität und Spezifität der Sonographie im Vergleich zum Nativröntgen und eine der Szintigraphie vergleichbare Wertigkeit nachweisen 22. Durch eine seitenvergleichende Untersuchung können Pathologien im Bereich der Sehnen wie z.B. Rupturen, Flüssigkeitsverhalte im Bereich der Sehnenscheiden oder fortgeschrittene degenerative Sehnenveränderungen diagnostiziert werden 23. Im Bereich der Fuß- und Zehengelenke ist der Nachweis intraartikulärer Flüssigkeitsansammlungen, von Veränderungen der Gelenkkapsel und einer Gelenkinstabilität möglich. Mit hochfrequenten Schallköpfen gelingt auch die Darstellung bereits kleinerer erosiver Veränderungen kortikaler Strukturen sowie einsehbarer Bereiche der Gelenkoberfläche 2425. Auch Flüssigkeitsverhalte in den Weichteilen wie z.B. Abszesse können diagnostiziert werden, wobei die Strukturabgrenzung im entzündlich veränderten Gewebe oft erschwert ist.

(siehe auch Kapitel "Sonographische Diagnostik an Sprunggelenk und Fuss" )

Sonstige weiterführende Diagnostik

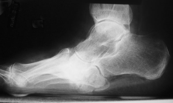
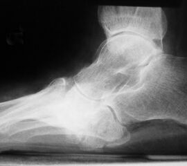
Die Nativröntgenuntersuchung der Füße erfolgt beim DFS standardisiert durch folgende Projektionen: beide Vorfüße dorso-plantar im Stehen (evtl. im Schuh), beide Füße mit OSG seitlich im Stehen, Fußwurzel beidseits 45° schräg, OSG beidseits anterior-posterior. Bei Verdacht auf eine beginnende Osteoarthropathie oder zur Differenzierung zwischen Osteoarthropathie und tiefer Knochen-/Weichteilinfektion kann die Durchführung einer MR-Tomographie und ggf. 3-Phasen-Skelett-Szintigraphie von Nutzen sein 22. Bei Achsfehlstellungen im Rückfuß wird zusätzlich die Saltzman-Aufnahme durchgeführt. Insbesondere zur Planung rekonstruktiver Eingriffe bei Osteoarthropathie ist eine Computertomographie mit 3-D-Rekonstruktion oft hilfreich (siehe Kapitel Radiologische Diagnostik). Eine laborchemische Untersuchung der humoralen Entzündungsparameter (Blutbild, BKS, quantitatives C-reaktives Protein) ist bei Verdacht auf eine Infektion und zur Abgrenzung zu einer DNOAP obligat. Lokale Druckspitzen lassen sich mit Hilfe der Pedobarographie identifizieren 26.

Weitere Literatur

  • Cavanagh PR, Ulbrecht JS, Caputo GM. The biomechanics of foot in diabetes mellitus. In: Pfeifer MA, Bowker JH (Ed.) The diabetic foot. 6th St. Louis, Mosby, 125-196, 2001.
  • Davis R. Clinical gait analysis. Proc IEEE Eng Med Bio. 1988, 7(3): 35-40.
  • Harland U, Sattler H. Ultraschallfibel Orthopädie, Traumatologie, Rheumatologie. Berlin, Heidelberg, New York, Springer, 1991.
  • Hepp WR, Debrunner HU. Orthopädisches Diagnostikum, 7. Stuttgart, New York, Thieme, 2004.
  • Holewski J. Prevalence of foot pathology and lower extremity complication in diabetic outpatient clinic. J Rehabil. 1989, 26: 35-44.
  • Inman VT, Ralston, HJ, Todd F. Human walking. Los Angeles, Williams & Willkins, 1981.
  • Mann R, Coughlin MJ. Surgery of the foot and ankle. 9th St. Louis, Mosby, 2013.
  • Rabl C, Nyga W. Orthopädie des Fußes. Stuttgart, Enke, 1988.
  • Rischbieter E. Funktionelle Anatomie und Biomechanik des Fußes. In: Reike H. (Hrsg.) Diabetisches Fuß-Syndrom. Berlin, DeGruyter, 1998.
  • Spraul M. Prävention des Diabetischen Fußsyndroms. OST-Sonderheft Diabetes. 1999, 13-21.
  • Wülker N, Schulze M. Fußlexikon. Landsberg, Ecomed, 1998.
  • Zwipp H. Chirurgie des Fußes. Wien, New York, Springer, 1994.
Loading…
Loading the web debug toolbar…
Attempt #