Zusammenfassung

Die hohe Komplikationsrate beim Diabetischen Fuß wird durch das Zusammenspiel von Risikofaktoren wie Deformitäten, Mikro- und Makroangiopathie, eingeschränktes Sehvermögen aber auch eine schlechte Diabeteseinstellung und das Vorhandensein einer Onychomykose verursacht. Vorhergehende Ulcerationen oder bereits durchgeführte Amputationen sind mit einer weiteren Verschlechterung der Prognose vergesellschaftet. Ein zentrales Element in der Behandlung dieser Patienten ist die korrekte und stadiengerechte orthopädische Versorgung mit speziellem Schuhwerk zur Verhinderung von Hautläsionen und zur Rezidivprophylaxe.
Dank moderner Materialien und Verarbeitungsmethoden ist das Orthopädiehandwerk heute in der Lage, auch komplexe Situationen im Rahmen des Diabetischen Fußsyndroms erfolgreich zu behandeln.

Einleitung

Die Prävalenz des Fußulkus bei Diabetespatienten beträgt 2-10% 1. In Deutschland werden ca. 70 Prozent aller Amputationen bei Diabetikern durchgeführt. Nach Zahlen der AOK aus dem Jahr 2001 sind dies mehr als 29 000 Major- und Minoramputationen im Jahr, wobei durch die Fortschritte in der Therapie der Ulzerationen und deren Vorstufen die Rate an Majoramputationen nach epidemiologischen Angaben der AOK Westfalen Lippe seit 2001 um die Hälfte reduziert werden konnte.
Die hohe Komplikationsrate beim Diabetischen Fuß wird durch das Zusammenspiel verschiedener Risikofaktoren verursacht. Diese umfassen Deformitäten, Mikro- und Makroangiopathie, eingeschränktes Sehvermögen aber auch eine schlechte Diabeteseinstellung und das Vorhandensein einer Onychomykose. Vorhergehende Ulcerationen oder bereits durchgeführte Amputationen sind mit einer weiteren Verschlechterung der Prognose vergesellschaftet.

Eine Säule der Therapie des Diabetischen Fußes ist die Korrekte und indikationsgerechte orthopädische Versorgung mit speziellem Schuhwerk zur Verhinderung von Hautläsionen und zur Rezidivprophylaxe. Die Effektivität solcher orthopädischer Therapiemaßnahmen konnte von den Arbeitsgruppen um Baumann (1996), Baumgartner (1990, 1994) und Chantelau (1994) eindrucksvoll nachgewiesen werden.

Der Diabetische Fuß ist als ein Symptomenkomplex zu verstehen. Zu unterscheiden sind grundsätzlich 3 Hauptformen: der neuropathisch-infizierte Fuß, der neuropathisch-angiopathische Fuß und der neuropathisch-ischämische Fuß. Zu den schwerwiegendsten Komplikationen eines über viele Jahre bestehenden Diabetes mellitus gehören neben der Retinopathie und Nephropathie die auf dem Boden der Angiopathie und Neuropathie sich entwickelnde diabetisch neuropathische Osteoarthropathie (Sanders 1993).

Hauptformen des Diabetischen Fußes

  • neuropathisch-infizierter Fuß
  • neuropathisch-angiopathischer Fuß
  • neuropathisch-ischämischer Fuß

Durch organisierte prophylaktische Maßnahmen und eine gute Schulung der Patienten lassen sich schwere Verläufe bremsen und vor allem Amputationen oft vermeiden. Desweiteren sollten Diabetiker mit Fußsyndrom regelmäßig kontrolliert werden (Tab 1). Dabei ist es keineswegs gleichgültig, auf welcher Höhe die Amputation durchgeführt wird 2. Beim Diabetiker genügen meist Teilamputationen am Fuß. Oberschenkelamputationen sind nur in Ausnahmefällen unvermeidlich. Neben einer optimalen Stoffwechseleinstellung, durchblutungsfördernden Maßnahmen und Pflege der Füße ist eine gute orthopädieschuhtechnische Versorgung von größter Bedeutung 3.

Tabelle 1: Risikoklassifizierungssystem der International Working Group on the Diabetic Foot (IWGDF) für das Auftreten von Fußläsionen
Kategorie Befunde Untersuchungen Risikoeinstufung
0 keine sensorische Neuropathie 1x jährlich niedriges Risiko
1 sensorische Neuropathie alle 6 Monate erhöhtes Risiko
2 sensorische Neuropathie und Zeichen einer peripheren arteriellen Verschlusskrankheit und/oder Fußdeformitäten alle 3 Monate erhöhtes Risiko
3 früheres Ulkus alle 1 bis 3 Monate hohes Risiko

Besonderheiten des Diabetesfußes

Folgende Faktoren prägen das Gesamtbild des Diabetesfußes:

  1. Durchblutungsstörungen (arteriell, venös, lymphatisch) 4
  2. Neuropathie (autonome, periphere und motorische Neuropathie) 5
  3. Osteoarthropathie 6
  4. Weichteilatrophie 7
  5. Malum perforans und Wundinfekt 8

Die Klassifikation diabetischer Fußläsionen wird gemäß der Einteilung nach Wagner durchgeführt (Tab. 2).

Tabelle 2: Klassifikation diabetischer Fußläsionen nach Wagner
Stadium Erscheinungsbild
0 Keine Läsion, ggf. Fußdeformität oder Zellulitis
1 Oberflächliche Ulzeration
2 Tiefes Ulkus bis zur Gelenkkapsel, zu Sehnen oder Knochen
3 Tiefes Ulkus mit Abszedierung, Osteomyelitis, Infektion der Gelenkkapsel
4 Begrenzte Nekrose im Vorfuß- oder Fersenbereich
5 Nekrose des gesamten Fußes

1. Durchblutungsstörungen

Mikroangiopathie mit Nagelveränderung und Druckulkus an der Zehenspitze
Abbildung 1

Beim diabetischen Fuß wird sowohl eine Makroangiopathie wie auch eine Mikroangiopathie gefunden. Im Gegensatz zu den meisten Verschlußerkrankungen sind vor allem die kleinen und kleinsten Arterien betroffen 9. Der Fuß ist bei der Untersuchung warm und fühlt sich gut durchblutet an. Allerdings bleibt der Diabetiker auch von Verschlüssen großer Arterien nicht verschont 10. Gerade bei der Planung von operativen Eingriffen ist daher eine klinische Beurteilung der Fußpulse, ggf. auch Gefäßdoppler oder Angiographie ein wichtiger Faktor zur Vermeidung späterer Komplikationen.
Neben den arteriellen Durchblutungsstörungen sind auch oft der venöse und lymphatische Rückfluss betroffen. Das resultierende Ödem des Fußes und Unterschenkel verlangsamt den Blutfluss, steigert die Gerinnungsneigung und somit die Gefahr der Entstehung einer Thrombose oder Thrombophlebitis 11. Hierauf ist auch die oftmals papierdünne, leicht verletzliche Haut zurückzuführen. Kommt es durch ein Bagatelltrauma, kleine Verletzungen im Zehennagelbereich, Interdigitalmykosen oder gar Schuhdruck (50 mm Hg genügen) zu Verletzungen der Haut, so breitet sich eine bakterielle Infektion in dem schlecht durchbluteten Gewebe bei gleichzeitiger Thrombosierung der kleinen Gefäße schnell aus (Abb. 1). Die bei Diabetes reduzierte Infektabwehr begünstig diesen Prozess zusätzlich.

Ein Ziel der Behandlung ist daher venösen und lymphatischen Abfluss zu verbessern 12. Unverändert spielt die Versorgung mit Kompressionsstümpfen eine wichtige Rolle 13. Bei der schuhtechnischen Versorgung muß darauf geachtet werden, daß kein punktueller Druck entsteht, der die Zirkulation zum Erliegen bringt. Erwünscht ist jedoch ein mäßiger breitflächiger Druck auch über den Wunden, der das Wundödem verhindert und sich positiv auf die Wundheilung auswirkt. Das Schuhinnenraumvolumen und der Schuhverschluß muss daher flexibel auf die Schwellneigung abgestimmt werden 14.

2. Neuropathie

Die diabetische Neuropathie bietet ein buntes neurologisches Bild mit Einschränkungen im Bereich der Schmerzempfindung, des Temperatursinns, der Berührungs- und Vibrationsempfindung, der propriorezeptiven Sinnesqualitäten sowie, oft später im Krankheitsverlauf, auch der motorischen Fasern 15. Die Schädigung der motorischen Fasern äußert sich in einer Muskeldysbalance und Atrophie der kleinen Fußmuskeln, teilweise auch der Unterschenkelmuskulatur. Die Folge sind kontrakte Fehlstellungen und Deformitäten des Fußes am häufigsten im Bereich der Zehen. Desweiteren ist durch die Polyneuropathie der Abrollvorgang gestört, wobei die Druckverhältnisse insbesondere auch die Dauer des einwirkenden Druckes sich drastisch erhöhen 16.
Durch den erhöhten Druck finden sich Hornhautverschwielungen an den mechanisch stark belasteten Stellen der Fußsohle und den Zehen. Die Hornhautschwielen, die immer bakteriell infiziert sind, gleichzeitig aufgrund der reduzierten Elastizität der Haut zu Rissen und damit Eintrittspforten führen, sind Ausgangspunkte diabetischer Ulzera.
Neben der Untersuchung der Motorik muss besonderer Wert auf die Überprüfung der Sensibilität gelegt werden. Da der Patient oft nichts oder nur wenig spürt und somit keine Aussagen über Schuhdruck, Paßform und Tragekomfort machen kann, sind Arzt und Orthopädiehandwerker gefordert. So ist es unumgänglich, die getragenen Schuhe zu inspizieren bzw. Neuverordnungen mittels einer sog. ersten Tragprobe zu kontrollieren. Hierbei wird der Fuß nach dem Ausziehen der Schuhe, die nur wenige Minuten getragen werden, auf Druckstellen, Hautverfärbungen etc. untersucht. Weiterhin ist der Patient so zu instruieren, dass er diese Aufgaben in der Folgezeit selbst übernimmt, bzw. eine Drittperson, falls er nicht dazu imstande ist.
Anzumerken bleibt, dass Patienten mit Diabetes mellitus und beginnender Neuropathie unter keinen Umständen zu enges Schuhwerk tragen dürfen.

3. Osteoarthropathie

Erstmalig wurden trophische Gelenk- und Knochenveränderungen von Charcot 1868 bei der Tabes dorsalis erwähnt, während Jordan sowie Bailey und Root diese neurogenen Arthropathien im Zusammenhang mit dem Diabetes mellitus beschrieben.
Die Häufigkeit der diabetischen-neuropathischen Osteoarthropathie (DNOAP) bei Diabetes liegt zwischen 1 und 10% 1718. In der Regel sind nur Teile des Fußskeletts betroffen.

Der Verlauf der diabetischen Osteoarthropathie lässt sich nach Baumgartner (1988) in 3 Stadien einteilen:

Stadium I: Zerstörung des Knochens
Klinisch erscheint der Fuß ödematös und überwärmt, wobei die Weichteile diffus und schmerzlos angeschwollen sind. Nach einer unspezifischen, grobfleckigen Osteoporose kommt es zu Osteolysen und osteonekrotischen Knochen- und Knorpelzerstörungen sowie gehäuft zu Spontan- und Ermüdungsfrakturen. Mittels Szintigraphie lässt sich in diesem Stadium im Bereich der Osteolysen und Destruktionen eine Mehranreicherung beobachten. Im MRT wird dieses Stadium häufig als Osteomyelitis fehlinterpretiert.

Stadium II: Umbauphase
Der Knochen wird durch mehrheitlich resorptive Vorgänge unharmonisch umgebaut. Es kommt durch Subluxationen, dann spontanen Luxationen und Frakturen zu Deformierungen des Fußes, wobei sich radiologisch das typische Bild des Charcot-Fußes zeigt. Charakterisierend ist das Missverhältnis zwischen extremer Deformität und meist nur geringen Beschwerden. Auch in diesem Stadium wird anhand des MRTs häufig die Fehldiagnose Osteomyelitis gestellt 19.

Stadium III: Phase der Knochenneubildung
Der Knochenaufbau stabilisiert sich, wobei neben osteolytischen Zonen starke Knochenneubildungen mit sklerotischen Bezirken und Verknöcherungen der Ligamente zu sehen sind. Die Fragmente runden sich ab und häufig entsteht eine Ankylose. Im Bereich dieser Ankylosen und Knochenkanten entstehen Druckulcera sowie Malum perforans, sofern die Druckspoitzen nicht gut orthopädieschuhtechnisch versorgt und damit Abgefangen werden. Diese Befunde dürfen jedoch nicht mit osteomyelitischen Herden verwechselt werden. Es fehlen Leukozytose und Linksverschiebung, die Blutsenkungsgeschwindigkeit ist nicht oder nur mäßig erhöht, das CRP ist im Normbereich.

Topographisch wird die diabetisch-neuropathische Osteoarthropathie (DNOAP) in Anlehnung an Sanders (1993) in 5 Typen eingeteilt (Tab. 3).

Tabelle 3: Befallsmuster der diabetischen Neuroarthropathie (DNOAP) nach Sanders (1993)
Typ Befallene Struktur
I Interphalangealgelenke, Metatarso-Phalangealgelenke, Metatarsalia
II Tarso-Metatarsalgelenke
III Naviculo-Cuneiforme-Gelenke, Talonaviculargelenk, Calcaneo-Cuboid-Gelenk
IV Sprunggelenk
V Calcaneus
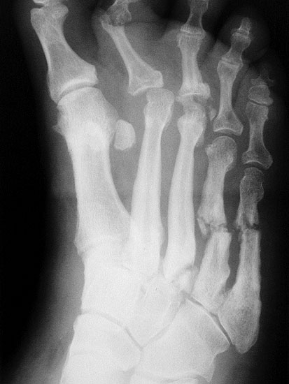
Abbildung 2

DNOAP Typ I (Abb. 2):
Hierbei handelt es sich um Nekrosen der Interphalangeal-, Metatatarsophalangealgelenke und Metatarsalia, was es zur knöchernen Resorption an den Mittelfußköpfchen und Zehengliedern führt. Die Stummel der Metatarsalia gleichen abgelutschten Zuckerstengeln, bohren sich in der Abstoßphase in die Sohle und führen zum Malum perforans.

Abbildung 3

DNOAP Typ II (Abb. 3)
Typ II der DNOAP betrifft die Tarsometatarsalgelenke. Hierbei kommt es zur Ausbildung eines hochgradigen Plattfußes durch Luxation der Ossa cuneiformia und/oder naviculare. Typische Folge ist eine ausgeprägte Vorfußabduktion. Durch die hohe Druckbelastung im cuneiforme-naviculare Bezirk sind plantare Ulcerationen häufige Folge.

Abbildung 4

DNOAP Typ III (Abb. 4)
Betroffen sind hier das Chopart-Gelenk, also das Talonaviculargelenk und das Calcaneocuboidgekenk. Ein Beteiligung des Naviculocuneiformgelenks ist möglich. Das Längsgewölbe bricht zusammen und es entsteht der klassische diabetische Schaukelfuß – die Kombination aus einer reduzierten Inklination des Kalkaneus in Verbindung mit einer distalen Hackenfußstellung. Nach plantar prominente Knochenkanten und -fragmente können hier ebenfalls zu Ulzerationen der Fußsohle führen.

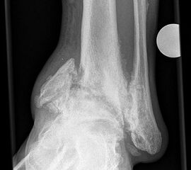
Abbildung 5

DNOAP Typ IV (Abb. 5)
Dieser Typ ist charakterisiert durch eine Nekrotisierung des oberen Sprunggelenkes (Talus, distale Tibia und Fibula).

Abbildung 6

DNOAP Typ V (Abb. 6)
Die DNOAP Typ V betrifft das talokalkaneare Gelenk. Es ist vor allem der dorsale Anteil des unteren Sprunggelenkes betroffen. Es kommt zu einer Kippung des Rückfusses. Bei intakter Fibula findet diese in eine Varusstellung mit Luxation nach medial statt, teilweise entwickeln sich aber auch Frakturen in der distalen Fibula mit Abkippung in eine Valgusstellung. Um den Fuß ins Lot zurückzubringen, sind Resektionsarthroplastiken oder Arthrodesen erforderlich. Eine operative Behandlung ist allerdings mit einigen potentiellen Problemen behaftet. Arthrodesen und Osteosynthesen am neuropathischen Fuß bauen meist nicht oder erst nach Monaten der Ruhigstellung und Entlastung durch (siehe auch Kapitel „Operative Therapie der Diabetischen Neuroarthropathie). Auf der anderen Seite besitzt die oft extreme Fehlstellung ein hohes Risiko für die Entwicklung eines Malum perforans mit dem Risiko der Osteomyelitis und dem Verlust des gesamten Fußes. Gelingt konservativ keine entsprechende Stabilisierung des Rückfusses, so kann unter Abwägung der Risiken durchaus eine operative Intervention indiziert sein 20.

4. Weichteile und Malum perforans

Die Verminderung der Durchblutung und die periphere und autonome Neuropathie führen zur Atrophie der Weichteile. Die wird Haut dünn, spröde und brüchig, es kommt zu einer Atrophie der plantaren Fettschicht und der plantaren Fußmuskeln. Nur das Fußskelett behält seine Form, sofern keine Osteoarthropathie vorliegt. Durch den Verlust der Weichteile kommt der Knochen auf der papierdünnen Haut zu liegen. Durch Scherkräfte, die nun nicht mehr durch den Weichteilmantel abgefangen werden können, entstehen Schwielen und Weichteilnekrosen. Die bakterielle Besiedelung der Schwielen und die brüchige Haut in Verbindung mit der schlechten Durchblutungssituation liefern die Grundlage für die Entstehung eines lokalen Weichteilinfektes 21. Durch Ausweitung des Infektes in die Tiefe entsteht ein Malum perforans bis hin zur Osteomyelitis. Ist der Knochen infiziert, ist eine dauerhafte Sanierung des Ulkus nur durch die Entfernung des betroffenen Knochens zu erreichen 22. Um solch eine Entwicklung zu verhindern, kann nicht eindringlich genug auf die prophylaktischen Maßnahmen verwiesen werden.

Prophylaktische Maßnahmen

1. Fußpflege

Ein zentrales Element in der Prophylaxe von Ulzerationen ist die Schulung der Patienten. Inhalte dieser Schulungen sind die systematische, tägliche Kontrolle der Füße, die Fußpflege (tägliches waschen und behandeln mit einer Fettcreme). Weiterhin müssen die Zehennägel, von denen ebenfalls oft eine Infektion ausgeht, mindestens einmal pro Woche kontrolliert und gepflegt werden. Als alleinige Maßnahme ist die Schulung der Patienten bezüglich des Effekts auf die Rate an Amputationen aber umstritten 23. Zusätzlich zu den Eigenkontrollen der Patienten stellt die medizinische Fußpflege einen weiteren wichtigen Pfeiler der Ulkusprophylaxe dar.

2. Schuhwerk

Um das Risiko für einen mechanisch bedingten Schaden der Haut so gering wie möglich zu halten muss das Schuhwerk dem Fuß genügend Platz gewähren, insbesondere über dem Rist und im Zehenraum. Das Oberleder sollte weich und nach Möglichkeit frei von störenden Nähten sein. Die Fersenkappe und seitlichen Schaftränder sowie überhaupt jegliche erdenkliche Ursache von Scheuer- und Druckstellen muss ausgeschaltet werden. Diese aufgeführten Punkte müssen bei der Inspektion der Haut immer erfasst werden, um Schuhprobleme frühzeitig zu erkennen und die fatalen Folgen von inkorrektem Schuhwerk zu vermeiden (Stinus 1994).

Orthopädietechnische Maßnahmen

Elektronische plantare Fußdruckmessung

Als gutes Hilfsmittel, sowohl bei der Herstellung eine Schuhversorgung, als auch zur Qualitätssicherung hat sich die elektronische plantare Fußdruckmessung etabliert. Voraussetzung ist eine standardisierte, reproduzierbare Messung, um vergleichbare Daten zu erhalten 24. Während Druckspitzen an der Fußsohle mit Druckmessplatten gut erfasst werden können, ermöglichen Messfolien die Analyse der Druckverteilung im Schuh. Messtechnisch stehen verschiedene Verfahren zur Verfügung (Schaff 1999). Neben den sehr genauen kapazitiven Meßverfahren (z.B. EMED, Fa. Novel) sind auch Messungen mit resistiven Folien möglich (z.B. F-Scan, Fa. Tekscan Medilogic, Fa. Medilogic). Gemessen werden die plantaren Druckspitzen und der Druck-Zeitverlauf 25.

Im Folgenden soll auf Konstruktionsmerkmale und Voraussetzungen einer guten Versorgung des diabetischen Fußes eingegangen werden:

1. Elastische Fußbettung nach Gipsabdruck

Schicht 5 als Bezug der Bettung (Plastazote); nach Einbau und Probetragen der Einlage wird die Bettung mit Plastazote 2-4mm bezogen
Abbildung 8

Als Materialien für eine elastische Fußbettung bieten sich Weichschäume an, die in unterschiedlichen Shore-Härten zur Verfügung stehen und dem Körpergewicht angepasst ausgewählt werden. Obwohl elastische Schäume lokal leicht zu deformieren sind, besitzen diese dauerhaft eine hohe Rückstellkraft. Das Ulkus bzw. prominente Stellen können so mit stetiger, leichter Kompression ohne eigentliche Druckeinwirkung gebettet werden. Steife Schichten in der Einlage reduzieren die Scherkräfte.

Im Folgenden wird nun die Herstellung einer diabetes-adaptierten Bettung beispielhaft beschrieben:
Thermoplastische Materialien müssen unter genauer Berücksichtigung der Temparatur und Verklebung schichtweise nacheinander über den Rohling gezogen und nicht gepresst werden:

  • Schicht 1 als Polsterung am Fuß (z.B Multiform oder Lunamed 4-8 mm)
  • Schicht 2 zur Formgebung (z.B. TeppII, Max, Platoon 0,4-2mm)
  • Schicht 3 als formstabile Aufbauschicht (z.B. Poro oder Zellkork 4-6mm)
  • Schicht 4 als leichtes Aufbaumaterial zur Sicherung der Stellung (Leichtkork 2-12mm)
  • Schicht 5 als Bezug der Bettung (Plastazote); nach Einbau und Probetragen der Einlage wird die Bettung mit Plastazote 2-4mm bezogen (Abb. 8).

2. Abrollhilfe zur Entlastung des Ballens

Neben einer gleichmäßigen plantaren Druckverteilung ist die Reduktion von Scherkräften der zentrale Faktor zu Vermeidung eines Malum perforans bzw. zur Rezidivprophylaxe. Beim Diabetiker findet sich häufig eine ausgeprägte Atrophie des plantaren Fettpolsters und der kleinen Fußmuskeln (Mm. Interossei, Mm lumbricales) in Verbindung mit einer Verminderung der Gelenkbeweglichkeit 26 und einer damit einhergehenden Empfindlichkeit gegenüber Scherbelastungen der Haut.
Um dem Patienten ein physiologisches Gangbild zu ermöglichen und die Krafteinwirkung auf den Fuß zu reduzieren, ist der Schuh zusätzlich zur Sohlenversteifung immer mit einem Puffer-, Roll- oder Keilabsatz und einer Mittelfußrolle zu versehen.

3. Platzangebot für den Vorfuß

Vorfußbereich und Zehen benötigen ausreichend Platz im Schuh, selbst wenn die Kosmetik darunter leiden sollte. Ein großer Diskussionspunkt ist die Vorderkappe. Im Gegensatz zu den Aussagen von Chanteleau sind wir der Ansicht, dass eine kurze, auslaufende Vorderkappe kein Problem darstellt, wobei das Zehenfach genügend Raum bieten muss.

Meist sieht man Vorfußdeformitäten, die ebenfalls zu erhöhten Belastungen des Vorfußes führen.

Weitere Voraussetzungen zum Gelingen einer orthopädischen Schuhversorgung des Diabetesfußes sind annehmbares Fußklima, geringes Gewicht sowie eine preiswerte und rasche Herstellung des Hilfsmittels. Die Dauerhaftigkeit erscheint hier weniger wichtig als die gute Passform.

Neben den oben beschriebenen Grundprinzipien entscheidet die indikationsgerechte Versorgung über das Gelingen der Therapie. Hierbei ergibt sich die orthopädieschuhtechnische Therapie durch die Einteilung des Diabetischen Fußes in verschiedene Risikoklassen die sich in den Verordnungsklassen 0 – VI wiederspiegeln:

Verordnungsklasse 0: Diabetes mellitus ohne PNP (Polyneuropathie)/AVK (arterielle Verschlußkrankheit)

Abbildung 7

Hier genügt die Versorgung mit einem Konfektionsschuh, der folgende Eigenschaften haben sollte (Abb. 7):

  • atmungsaktives, weiches Schuhschaftobermaterial
  • ausreichender Platz betr. Breite und Höhe im Vorfußbereich
  • keine Nähte am Vorderschaft
  • flacher Pufferabsatz
  • gute Möglichkeiten für orthopädieschuhtechnische Zurichtungen
  • genügend Innenraum für orthopädische Einlagen
  • leichtes Gewicht, gute Kosmetik

Verordnungsklasse I: Diabetes mellitus ohne PNP/AVK, jedoch mit Fußdeformität

Zusätzlich zur Versorgung mit dem oben beschriebenen Konfektionsschuh, muss in diesem Fall auf die speziellen Fußdeformitäten eingegangen werden. Hierzu wird der Konfektionsschuh orthopädieschuhtechnisch zugerichtet und gegebenenfalls mit bettenden Einlagen meist aus Weichschaummaterialien versorgt (Abb. 8). Bei Achsabweichungen in der unteren Extremität (z.B. Genu varum oder valgum) kann der Lotaufbau durch eine Verbreiterung des Absatzes und/oder einen Flügelabsatz verändert werden. Weitere Möglichkeiten sind ein Puffer- oder Rollabsatz, um durch eine Verkürzung des hinteren Hebels die Kräfte, die auf den Rückfuß einwirken zu vermindern. Zur Reduktion der auf den Vorfuß wirkenden Kräfte können Abrollhilfen (Ballen- oder Mittelfußrolle) eingesetzt werden. Diese wirken über eine Verkürzung des vorderen Hebelarmes. Ein klassisches Einsatzgebiet sind Druckspitzen unter den Metatarsaleköpfchen. Bei Deformitäten am medialen oder lateralen Fußrand, bzw. am Fußrücken besteht die Möglichkeit durch Aussparungen und Polsterungen des Schuhschaftes diesen der Fußdeformität anzupassen.

Verordnungsklasse II: Diabetes mellitus mit Sensibilitätsverlust durch PNP/ relevante AVK und Fußdeformität

Abbildung 9

In diesem Stadium kann der Fuß teilweise noch mit orthopädisch zugerichteten Konfektionsschuhen oder sog. orthopädischen Aufbauschuhen versorgt werden. Aufbauschuhe oder Spezialschuhe für Diabetiker wurden speziell für die Belange dieser Patientengruppe konzipiert und sollten folgende Kriterien erfüllen (Abb. 9):

  • Mehrere Schuh-Weiten zur Versorgung der variablen Fußbreiten
  • Passgerechtes und weiches Obermaterial, besonders im Vorfuß- und Zehenbereich
  • Nachgebendes Schaftpolster und Fütterung
  • Keine Nähte im Vorfuß und im Bereich von Hautbezirken, die dicht unter dem Knochen liegen
  • Weiter Einstieg um Patienten mit eingeschränkter Beweglichkeit der Zehen und des Sprunggelenkes den Einstieg in den Schuh zu erleichtern
  • Variabler Verschluss zum Ausgleich tageszeitlicher Volumenschwankungen (z.B. durch Klettbänder)
  • Gute Führung des Rückfußes durch eine Fersenkappe
  • Bereits fest eingebaute Sohlenversteifung oder eine für eine Sohlenversteifung und Abrollhilfe vorbereitete Sohle
  • Genügend großes Innenraumvolumen zur Aufnahme der Diabetes adaptierten Weichbettung (Einlage mit 1- 1,5 cm Dicke)
  • Weichschaumeinlagen für Diabetiker werden im Sandwich-Verfahren mit verschiedenen
  • Weichpolstermaterialien unterschiedlicher Shorehärte nach Gipsabdruck aufgebaut (Abb. 10-15).

Verordnungsklasse III: Zustand nach plantarem Ulkus

Abbildung 16

Die orthopädische Versorgung wird entsprechend dem Typ II durchgeführt, wobei beim Diabetischen Fuß nach Ulkus häufig orthopädische Maßschuhe zum Einsatz kommen. Gerade nach plantarem Ulkus besteht eine höhere Rezidivgefahr, weswegen hier Zurichtungen am Konfektionsschuh mit individuell gefertigten Einlagen meist nicht ausreichen. Limitierend sind die Brandsohlenform, welche häufig keine ausreichende Druckentlastung im gefährdeten Areal ermöglicht, oder das zu kleine Innenraumvolumen welches keine Anpassung an die Fußdeformität erlaubt. Die Maßschuhe sollten knöchelhoch und mit Sohlenversteifung und Ballen- oder Mittelfußrolle ausgestattet sein. Eine Diabetes-adaptierte Bettung, die gleichmäßig und schalenförmig bettet ist fester Bestandteil einer orthopädischen Versorgung.
Muss der gesamte Rückfuss stabilisiert werden, ist ein mindestens 20 cm hoher Arthrodesenstiefel indiziert. Dieser umfasst eine rigide Arthrodesenkappe, welche den Rückfuss fasst, eine versteifte Polsterlasche sowie eine Mittelfußrolle und einen Pufferabsatz (Abb. 16)

Verordnungsklasse IV: Fuß wie unter II mit Deformität oder Dysproportion

Im Stadium IV kommen orthopädische Stiefel analog der Verordnungsklasse III Einsatz. Der orthopädische Maßschuh sollte knöchelhoch und mit Sohlenversteifung und Ballen- oder Mittelfußrolle, Diabetes-adaptierter Bettung und mit min. 20 cm hoher Hinterkappe versehen sein. Alternativ können Innenschuhe und Orthesen verwendet werden. In jedem Fall muss geprüft werden, inwieweit die einwirkenden Kräfte mittels Stützlasche im Unterschenkelbereich schon abgefangen werden sollten.

Verordnungsklasse V: Diabetische Neuroosteoarthropathie (DNOAP Sanders Typ II-V, Levin Stadium III)

Orthopädieschuhtechnisch muss hier knöchelübergreifend gearbeitet werden. Orthopädische Maßschuhe werden mindestens 20 cm hoch gebaut, eine zustätzliche Stabilisierung des Rückfusses kann mit einer Arthrodesenkappe erreicht werden. Weiter Bauelemente sind die Sohlenverstärkung, bzw. -versteifung und eine diabetisch adaptierter Fußbettung. Andere Möglichkeiten sind Innenschuhe oder Orthesen in Kombination mit Zurichtungen am Konfektioneschuh.

VI : Zustand nach Fußteilamputationen

Zusätzlich zu der Versorgung wie unter Punkt IV beschrieben, kann eine Prothesenversorgung notwendig werden, sofern transmetatarsal oder proximal davon amputiert wurde. Die Amputation einzelner Strahlen kann häufig durch individuell gefertigte Einlagen ausgeglichen werden (Abb. 17-20).

VII: Versorgungen bei akuten Ulcera

Wichtig ist, dass die Interimsversorgung, sei sie nun als gepolsterter Cast oder als orthopädischer Verbandsstiefel gearbeitet abwaschbar, gut zu desinfizieren und Witterungsbeständig sein muss
Abbildung 21

Auch beim bestehenden Malum perforans bietet die Orthopädietechnik dem Patienten die Möglichkeit, weiterhin mobil zu bleiben. Die Mobilität der Patienten ist um so wichtiger, da hierdurch die unerwünschten Folgen der Immobilisation, wie instabile Glucosewerte mit erhöhtem Insulinbedarf, schlechtere Durchblutung des Fußes, Gefahr einer Thrombophlebitis, Entkalkung des Skeletts und schließlich die erhöhte Gefahr von Druckstellen an der Ferse, verhindert werden können.
Möglichkeiten der konservativen Therapie sind die Anlage eines gut anmodellierten Unterschenkelgipses (total contact cast) mit guter Polsterung der gefährdeten Bezirke oder die Anpassung eines Therapiestiefels 27. Wir bevorzugen eine Kombination beider Maßnahmen.

  • Zunächst wird ein Unterschenkelgips (in Kunststofftechnik) mit guter Polsterung anmodelliert. Dieser Gips wird geschalt, mit gepolsterten Gurten versehen und mit Plastazote ausgepolstert.
  • Danach wird eine Sohle aufgeschäumt, in die ein Rollabsatz sowie eine Mittelfußrolle eingeschliffen werden. Mit dieser Maßnahme ist der Patient mobil und die gefährdeten Stellen des Fußes sind durch die Fußbettung teilentlastet. Hierdurch sind die besten Voraussetzungen für die Heilung eines Ulkus oder Malum perforans gegeben.
  • Wichtig ist, dass die Interimsversorgung, sei sie nun als gepolsterter Cast oder als orthopädischer Verbandsstiefel gearbeitet abwaschbar, gut zu desinfizieren und Witterungsbeständig sein muss (Abb. 21).
  • Erst nach Beruhigung der akuten Situation wird dann die definitive orthopädieschuhtechnische Versorgung in Angriff genommen. Ob nun Zurichtungen an Konfektionsschuhen mit Einlagen, Unterschenkelorthesen, Innenschuhe oder orthopädische Schuhe notwendig sind, muss von Fall zu Fall entschieden werden.

Dank moderner Materialien und Verarbeitungsmethoden ist das Orthopädiehandwerk heute in der Lage, auch komplexe Situationen im Rahmen des Diabetischen Fußsyndroms erfolgreich zu behandeln. Dabei haben traditionelle Werkstoffe wie Metalle, Nieten und Walkleder ihre Bedeutung weitgehend verloren.

Weitere Literatur

  • Diabetes care and research in Europe. The St. Vincent Declaration. World Health Organisation, ICP/CLR 034.
  • Baumann R. Industriell gefertigte Spezialschuhe für den diabetischen Fuß. Eine Anwendungsbeobachtung. Diabetes und Stoffwechsel 5:107-112,1996.
  • Baumgartner R. Der diabetische Fuß. Orthop Technik 39:519–525,1988.
  • Baumgartner R. Die orthopädietechnische Versorgung des Diabetesfußes. Med Orthop Tech 110:176–187,1990.
  • Baumgartner R, Stinus H. Die orthopädietechnische Versorgung des Fußes. Thieme, 1994.
  • Baumgartner R. Amputation und Prothesenversorgung der unteren Extremität. Enke, 1998.
  • Baumgartner, R., Möller, M, Stinus H., Orthopädieschuhtechnik , Maurer 2012
  • Chanteleau E, Jung V. Qualitätskontrolle und Qualitätssicherung bei der Schuhversorgung des diabetischen Fußes. Rehabilitation 33:35-39,1994.
  • Charcot JM. Sur quelques arthropathies qui paraissent dépendre de une lésion du cerveau ou de la moelle épinière. Arch. physiol. pathol. 1:161–178,1868.
  • Reinhardt K. Der diabetische Fuß. Bücherei des Orthopäden. Enke, 1983.
  • Rüttimann B. Orthopädietechnische und operative Maßnahmen beim diabetischen Fuß. Ther Umsch 47:63–70,1990.
  • Sanders LJ, Frykberg R. Diabetic neuropathic osteoarthropathy: The Charcot foot. In: Frykberg RG (ed). The high risk foot in diabetes mellitus. Churchill Livingstone, pp. 297-336,1993.
  • Schaff P, Hauser W. Druckverteilungsmessung am diabetischen Fuß. Orthopädieschuhtechnik. Sonderheft Diabetes:74-78,1999.
  • Schenck RD, Schievink B. Der orthopädische Therapieschuh. Orthopädieschuhtechnik 1:14–22,1987.
  • Stinus H, Baumgartner R. Der Diabetische Fuß. In: Die orthopädietechnische Versorgung des Fußes. Thieme, 1994.
  • Stinus H, Möller, M. Baumgartner, R., Das diabetische Fußsyndrom DFS, In: Orthopädieschuhtechnik, Maurer 2011
  • Wietfeld K. Das diabetische Fußsyndrom aus klinischer und orthopädietechnischer Sicht. Klinik Magazin Sonderausgabe 3. Aufl. "Der Diabetische Fuß". Verlag für Med. Publ S. 29-33,1998;
  • Wetz HH, Exner GU. Orthopädische Aspekte des Diabetischen Fußes. Orthopädieschuhtechnik. Sonderheft Diabetes: 64-68,1996.
  • Wetz HH, Koller A. Die orthopädisch-chirurgische Behandlung der diabetisch-neuropathischen Osteoarthropathie. Med Orthop Tech 118:6-14,1998.
Loading…
Loading the web debug toolbar…
Attempt #