Kurzzusammenfassung

Die Kernspintomographie hat sich zur führenden Modalität der Weichteildiagnostik entwickelt. Moderne, hochauflösende MRT-Techniken erlauben eine exakte Darstellung selbst kleiner anatomischer Strukturen. Dieses wird durch die 3-Tesla-Hochfeldtechnologie in Kombination mit dezidierten Empfängerspulen erreicht, die eine für die hochauflösende Bildgebung erforderliche Signalverstärkung ermöglichen. Typische Parameter der Sprunggelenksbildgebung sind 1,5 bis 2 mm Schichtdicke mit einer Auflösung in der Schichtebene von 0,2 bis 0,3 mm in den zur anatomischen Bildgebung wichtigen Turbospinechosequenzen.
Die Anatomie und typische, pathologische Befunde des ligamentären Apparates des oberen Sprunggelenkes werden dargestellt und die Vorteile gegenüber der "MRT-Routinediagnostik" erläutert.

Einleitung

Seit Ende der 80‘iger Jahre hat sich die Kernspintomographie zur führenden Modalität der Weichteildiagnostik entwickelt. Ein indirektes Maß für die zunehmende Bedeutung der MRT ist die Zahl der Publikationen. Wurden bei der Schlüsselwortsuche „MRI and Ankle“ in Medline in den fünf Jahren zwischen 1990 bis 1995 255 Publikationen genannt, waren es zwischen 2007 und 2012 bereits 1073.
Neben der multiplanaren, anatomischen Darstellung ist auch innerhalb gewisser Grenzen eine Spezifizierung von Geweben durch ihre Relaxationszeiten möglich, die zusätzliche diagnostische Aspekte bietet. Die anfänglichen technischen Probleme sind mittlerweile weitestgehend gelöst. Vor allem die begrenzte Ortsauflösung der Bilder sowie die langen Messzeiten limitierten den klinischen Einsatz der MRT an kleineren Gelenken. Moderne Hochfeldgeräte und dezidierte Spulen erlauben nun eine Darstellung im Submillimeterbereich! Aufgrund der komplexen Anatomie des Sprunggelenkes ist eine möglichst hohe Auflösung zur Darstellung essentiell, da die anatomischen Strukturen sehr klein und in ihrem Verlauf oft mulitdirektional sind. Durch die Entwicklung immer differenzierterer Operationstechniken und die zunehmende Verbreitung der Sprunggelenksarthrographie resultiert auch der Bedarf einer möglichst exakten präoperativen Diagnostik.
Im Folgenden sollen, unter Berücksichtigung hochauflösender MRT-Techniken, die Anatomie sowie typische, pathologische Befunde dargestellt werden.

Technische Betrachtungen

Entscheidender Punkt bei der MR-tomographischen Hochauflösung ist die Signalausbeute. Theoretisch nehmen von einer Million Protonen an der Bildgebung nur drei bis vier teil. Bildlich gesprochen will man das Geräusch eines einzigen Blattes innerhalb des Rauschens der Blätter eines großen Baumes detektieren. Das ist technisch höchst anspruchsvoll! Das Signal hängt in erster Näherung vom Volumen der kleinesten Bildeinheit, dem Voxel, das die Stärke des Signals definiert ab: Je höher die Auflösung, desto geringer das Volumen. Bei linearer Steigerung der Ortsauflösung ist der Signalverlust exponentiell! Dies begrenzt die erreichbare Auflösung erheblich.
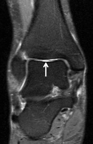
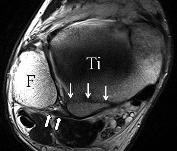
Die Kombination aus 3 Tesla Hochfeldtechnik und/oder Verwendung hochauflösender Spulen (Empfangseinheiten des Signals) erhöht die Signalausbeute. Dies erlaubt mit akzeptablen Messzeiten (3-4 Minuten pro Sequenz) im Routinebetrieb eine Darstellung mit einer Schichtdicke von 1-2 mm und einer Ortsauflösung von 0,2 x 0,2 mm in der Schichtebene in den anatomisch am besten zeichnenden 2D Turbospinechosequenzen. Der Unterschied der diagnostischen Wertigkeit zwischen einer kernspintomographischen „Standarduntersuchung“ und einer HR-MRT wird besonders in der chondralen Diagnostik sichtbar (Abb. 1 a-c). Unter Verwendung von 3D Sequenzen, die jedoch entscheidende Schwächen bei der Darstellung der Ligamente aufweisen, werden sogar Schichtdicken weit im Submillimeterbreich erreicht. Eine weitere Erörterung der Sequenz spezifischen Eigenheiten soll jedoch an dieser Stelle unterbleiben.

Anatomie und typische Befunde

Außenbandapparat

Mit einem Anteil von bis zu 10% der Patienten in einer Notfallambulanz sind Sprunggelenksdistorsionen die mit Abstand am häufigsten angetroffene Verletzung. Bei ligamentären Verletzungen ist hierbei der Außenbandapparat in ca. 85% betroffen. Am häufigsten wird das Ligamentum fibulotalare anterius verletzt, gefolgt vom Ligamentum fibulocalcaneare und dem Ligamentum fibulotalare posterius 1.
Die Detektion und Quantifizierung der ligamentären Verletzung ist von zentraler Bedeutung, da aufgrund der hohen Inzidenz sekundär degenerativer Veränderungen bei posttraumatischen Bandinstabilitäten eine adäquate Therapie essentiell ist 2. Weiterhin müssen assoziierte Verletzungen ausgeschlossen oder erkannt werden.

Ligamentum fibulotalare anterius (LFTA)

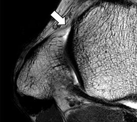
Das Ligamentum fibulotalare anterius entspricht einer bifaszikulären Struktur (Abb. 2 a) mit interponierendem fibrovaskulärem Gewebe (S. K. Sarrafian (ed). 2003). Es gibt jedoch Variationen der Ligamentanatomie. In 55% liegt das LFTA als bifaszikuläres Band (Abb. 2 a), in 9% als monofaszikuläre Bandstruktur (Abb. 2 b) und in 36% als multifaszikuläre, striäre Variante (Abb. 2 c) vor 3.

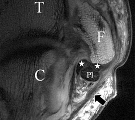
PD fs HR axial. Klare Darstellung eines filigranen, knapp über 1 mm breiten LFTA (Pfeil). Fibula (F).
Abbildung 3

Das LFTA verbindet die antero-inferiore Fibulaspitze mit dem Processus lateralis tali und inseriert hier an einem oder zwei kleinen Tuberkeln 3. Der in Neutralposition horizontale Verlauf erleichtert die kernspintomographische Darstellung in dieser Standardebene. Das LFTA weist durchschnittlich eine Breite von knapp über 2 mm auf 4. Somit sind bei einer Routinedarstellung in 3 mm Schichtdicke Anschnittsphänomene, die die Diagnostik erschweren, regelmäßig anzutreffen. Dementsprechend sind auch die ligamentären Subfaszikel nicht zu differenzieren. In koronarer Darstellung ist dies aufgrund der hohen Auflösung in der Schichtebene jedoch möglich (Abb. 2 a-c), wobei hier wiederum eine Integritätsbeurteilung des Bandes erschwert ist. Unter Verwendung hochauflösender Techniken im Millimeterbereich (Schichtdicke) sind hingegen auch in der axialen Ebene die subfaszikulären Strukturen zu beurteilen (Abb. 3).

Ein diagnostisches Problem stellen nicht dislozierte Avulsionen talar- oder fibulaseitig dar, da diese eine scheinbare Bandkontinuität vortäuschen können. Selbst geringe osteo-ligamentäre Dehiszenzen lassen sich jedoch in der hochauflösenden MRT multiplanar dokumentieren und somit die Diagnose einer nicht dislozierten Avulsion mit hoher Sicherheit stellen (Abb. 4 a und b). Als weitere Alternative sind die Anfertigung schräg sagittaler Schichtführungen entlang der Längsachse des LFTA möglich, die die osteo-ligamentäre Übergänge klar visualisieren (Abb. 5). Problematisch bleibt jedoch die Differenzierung einer kompletten LFTA-Ruptur vom interstitiellen Typ mit erhaltener Kontinuität zu einer Partialruptur mit diffuser, fibrillierender Bandauftreibung.

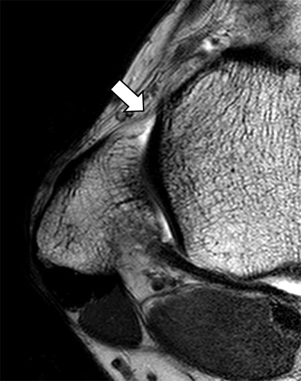
Physiologische Bandlücke (Pfeil)
Abbildung 9b

Die Definition der Dehiszenz und Lage möglicher Banddislokationen mit gelenkinterponierenden oder nach lateral umgeschlagenen Bandanteilen (Abb. 6 a und b) oder Darstellung knöcherner Ausrisse (Abb. 7), leisten einen wichtigen Beitrag zur weiteren Therapieplanung. Auch assoziierte Verletzungen der Kapsel sind normalerweise klar abgrenzbar (Abb. 6 c). Im Rahmen reparativer Prozesse und als Ausdruck einer persistierenden Stressreaktion entwickeln sich häufig synoviale oder fibrotische Meniskoide. Auch diese sind in hochauflösender Technik, ohne die Durchführung einer direkten MR-Angiographie, nachweisbar und in ihrer Ausdehnung klar zu dokumentieren (Abb. 8).
Zu Fehlinterpretationen eines intakten LFTA führt unter Umständen das unmittelbar kaudal des LFTA parallel verlaufende Ligamentum talocalcaneum laterale (Abb. 9 a). Dieses kann bei Verwendung von Schichtdicken um die 3 mm trotz Ruptur des LFTA durch Volumenteileffekte mit Anschnittsphänomenen einen intakten Bandverlauf vortäuschen.
Eine Ursache der falschen Diagnose einer LFTA-Ruptur ist die Fehlinterpretation der physiologische Bandlücke zwischen dem LFTA und der vorderen Syndesmose als traumatischer Banddefekt (Abb. 9 b).
Die Interpretation pathologischer Veränderungen sollte daher immer multiplanar unter Verwendung möglichst dünner Schichtdicken und hoher Ortsauflösungen erfolgen, um Fehldiagnosen zu vermeiden.

Ligamentum fibulocalcaneare (LFC)

Der Ursprung des Ligamentum fibulocalcaneare liegt unmittelbar kaudal und dorsal des Ursprungs des Ligamentum fibulotalare anterius, so dass gehäuft kombinierte Verletzungen und auch ein gemeinsamer knöcherner Ausriss beobachtet werden. Nach kaudal dorsal verläuft das Band dann nach medial konvex unter die Peroneussehnen. Danach ist ein schräg deszendierender, gestreckter Verlauf bis zum calcanearen Ansatz abgrenzbar (Abb. 10). Dieser zu allen drei Standardebenen schräge Verlauf erschwert häufig die Diagnostik des LFC vor allem bei subtileren Verletzungen. Spezialprojektionen, die dem Bandverlauf orthograd folgen (entweder schräg coronar oder schräg sagittal) erleichtern auch hier die Diagnostik (Abb. 11) insbesondere nicht dislozierter Avulsionen. Assoziierte Verletzungen der Peroneussehnenloge müssen mit beurteilt werden, wobei neben Verletzungen der Sehnen und Sehnenscheiden die Beurteilung des Retinaculum peroneum superius und inferius wichtig ist. In einem Kollektiv von Patienten mit chronischen Außenbandinstabilitäten weisen 50% der Patienten eine Verletzung dieser Strukturen auf 5. Auch hier erleichtern hochauflösende Techniken die Diagnostik (Abb. 12).

Ligamentum fibulotalare posterius (LFTP)

Das breitflächige Ligamentum fibulotalare posterius verläuft gestrafft zwischen der postero-inferioren Fibula u. dem Talus. Der typische multifaszikulär-striäre Aspekt darf nicht mit Verletzungsfolgen verwechselt werden (Abb. 13). Das Band lässt sich sowohl in der axialen als auch coronaren Ebene (Abb. 14) gut beurteilen, so dass Spezialaufnahmen normalerweise nicht erforderlich sind.

Syndesmose

Anatomisch setzt sich die Syndesmose aus vier Bändern zusammen: dem Ligamentum fibulotalare interosseus, dem Ligamentum tibiofibulare anterius, dem Ligamentum tibiofibulare posterius und dem Ligamentum intermalleolare posterius. Aufgrund des unterschiedlichen Unfallmechanismus besteht prinzipiell ein reziproker Zusammenhang zwischen Außenband- und Syndesmosenverletzungen (Ruptur der Syndesmose bei intakten Außenbändern und umgekehrt) 6.
Aufgrund der erhöhten Morbidität übersehener Syndesmosenläsionen bezüglich nachfolgender regressiv-degenerativer Texturstörungen kommt der Syndesmosendiagnostik eine besondere Bedeutung zu. In Bezug zu der Arthroskopie als Goldstandard weist die MR-Tomographie eine hervorragende Sensitivität, Spezifität und diagnostische Genauigkeit zwischen 95% und 100% auf 7. Somit wird die MRT zur bildgebenden Methode der Wahl!
Jedoch findet man sich auch hier mit dem Problem der in den Standard-Projektionen schräg verlaufenden Syndesmose konfrontiert. Der oligofaszikuläre Aspekt der vorderen Syndesmose kann in der axialen Schnittebene eine zum Verwechseln ähnliche Morphologie wie eine Ruptur aufweisen (Abb. 15 b und c). Doppelangulierte Schnitte entlang der Achse (schräg koronar/schräg sagittal) lassen hingegen eine eindeutige Beurteilung der Bandstrukturen zu (Abb. 16) und verbessern die Syndesmosendiagnostik.
Bezogen auf die Transversalebene verläuft die Syndesmose ca. 30° schräg cranio-caudal anguliert (Abb. 15 a). Häufig lassen sich drei Hauptfaszikel differenzieren: das kürzeste superiore, das stärkste mittlere und das längste kaudale Faserbündel. Ein akzessorisches Bündel, das anteriore-inferiore, tibiofibulare Ligament (AITFL) oder auch Bassett-Ligament wird in 80-94% der Patienten nachgewiesen 8. Dies weist einen unmittelbaren Bezug zur anterolateralen Talusschulter auf (Abb. 17). In Kombination mit einer Außenbandinstabilität und konsekutivem, talarem Vorschub kann dieses zu einem Impingement an der anterolateralen Taluskante führen mit nachfolgender chondraler oder osteochondraler Läsion.

b. T2 fs axial. Infraktion des hinteren Volkmann‘schen Dreiecks (schmale, weiße Pfeile). Hier inserierende, intakte, hintere Syndesmose (breite, weiße Pfeile).
Abbildung 18b

Das Ligamentum tibiofibulare posterius (hintere Syndesmose) verläuft flacher und geht nach kranial in das Ligamentum tibiofibulare interosseus und nach kaudal in das Ligamentum intermalleolare posterius über. Letzteres bildet ein artikuläres Labrum zwischen Trochlea und Talus 9.
Da also die hintere Syndesmose an der posterioren Tibia inseriert, entspricht eine Fraktur oder Infraktion des hinteren Volkmann`schen Dreiecks funktionell einem knöchernen Ausriss des Ligamentum tibiofibulare posterius (Abb. 18 a und b). Aufgrund der Koinzidenz von Syndesmosenläsionen mit Innenbandverletzungen ist bei der Beurteilung gesondert auf solche zu achten.

Innenbandapparat

Man unterscheidet bei dem Ligamentum deltoideum eine tiefe Schicht (Pars tibiotalare posterior, Pars tibiotalare anterius) und eine oberflächliche Schicht (Pars tibionaviculare, Pars tibiocalcaneare, Pars tibiotalare posterius superficialis und Tibiospring-Ligament) 10. Hochauflösende Techniken lassen eine differenzierte Beurteilung aller Bandanteile zu. Sowohl rein ligamentäre als auch osteo-ligamentäre Ausrisse sind normalerweise gut zu erkennen. Die Pars tibiotalaris posterior ist multifaszikulär aufgebaut und sowohl axial als auch coronar (Abb. 19 a) gut bildgebend abzugrenzen. Die deutlich kleinere, nur inkonstant angelegte Pars tibiotalare anterior inseriert an einem kleinen Talustuberkel (Abb. 19 b). Ossäre Bandausrisse kommen hier gehäuft vor. Proximal verlaufen die Pars tibiocalcaneare und die Pars tibionaviculare gemeinsam (Abb. 19 c) nach kaudal und trennen sich dann in zum Calcaneus und zum Os naviculare ziehende Bündel auf. Ein besonderer Typ ligamentärer Verbindungen stellt das Tibiospring-Ligament dar. Es verbindet nicht wie für Ligamente typisch zwei Knochen miteinander, sondern es hat seinen ossären Ursprung an der Tibia und inseriert am Pfannenband (Ligamentum calcaneonaviculare plantare, im englischen Schrifttum Spring-Ligament genannt), also nicht ossär. Das Innenband ist mit 60% der Verletzungen am häufigsten betroffen. Isolierte Innenbandverletzungen sind jedoch selten. Sie treten gehäuft assoziiert mit Syndesmosenläsionen, Fibulafrakturen, Verletzungen des Muskulus tibialis posterior und des Pfannenbandes auf (H.-K. Beyer 2003). Entsprechend sollte auf diese Kollateralverletzungen bei der Beurteilung geachtet werden. Eine weitere Folge von Verletzungen des Ligamentum deltoideum ist die chronische Sprunggelenksinstabilität. Arthroskopisch weisen hier bis zu 40% der Patienten einen elongierten Verlauf des Ligamentum deltoideum auf. In diesem Patientenkollektiv besteht auch eine erhöhte chondrale Komorbidität mit arthroskopisch erkennbaren Knorpelschäden (98%) im Gegensatz zu der Patientengruppe (66% Knorpelschäden) mit reiner Außenbandinstabilität 11. Dies belegt die klinische Bedeutung von Innenbandverletzungen.

Zusammenfassung

Die komplexe Anatomie des Sprunggelenkes mit nur kleinen anatomischen Strukturen erfordert eine möglichst hochauflösende MRT-Darstellung zur Beurteilung ligamentärer Strukturen. Moderne MRT-Techniken lassen mittlerweile eine subtile Visualisierung anatomischer und pathologischer Strukturen zu, die in Synopsis mit den klinischen Befunden eine differenzierte Diagnostik erlauben. Hierbei ist auch die Darstellung kollateraler Verletzungen von Bedeutung (z.B. chondrale und tendinöse Läsionen), da diese die Therapie maßgeblich mitbestimmen.
Da die MRT jedoch eine sehr variable Modalität ist, sollte mit dem Ziel einer verbesserten Diagnostik zur optimalen Untersuchungsplanung vorab eine intensive Kommunikation zwischen Klinikern und Radiologen erfolgen, um die Vorteile einer individualisierten, befundzentrierten Untersuchung in vollem Umfang zu nützen.

Weitere Literatur

  • S. K. Sarrafian (ed). Syndesmology, in: Anatomy of the foot and ankle. Philadelphia: Lippincott, 2003: 163-167
  • H.-K. Beyer. MRT der Gelenke und der Wirbelsäule, Heidelberg: Springer, 2003: 461
Loading…
Loading the web debug toolbar…
Attempt #