Zusammenfassung

Die untere Extremität dient über die Dämpfungs- und Abstoßfunktion in besonderem Maße der natürlichen Fortbewegung des Gehens und Laufens. Dabei ist das Kniegelenk durch die exponierte Position zwischen den langen Knochen starken Kräften ausgesetzt. Die achsengerechte Stabilisierung wird über die richtungsspezifische Verschraubung von Ober- gegen Unterschenkel erreicht. Wird diese Verschraubung reduziert, entstehen ungünstige Kraftvektoren und Scherkräfte, die strukturelle Schäden an Knochen und Weichteilen verursachen können. Die Reduktion bzw. Inversion der Verschraubung kann dabei von distal durch den Fuß als auch von proximal durch das Hüftgelenk bedingt sein.

Einleitung

Die Spiraldynamik® ist ein anatomisch begründetes Konzept, das menschliche Bewegung erklärbar macht und damit die Möglichkeit bietet, funktionelle Abweichungen zu identifizieren und zu therapieren. Hilfreich ist die Spiraldynamik® insbesondere zur Diagnostik und Therapie funktioneller Störungen auch der unteren Extremität. Das Bein ist hohen Belastungen ausgesetzt. Es ist einerseits Hauptdämpfer im Körper mit exzentrischer Aktivität der Streckermuskulatur und andererseits Kraftgenerator und Kraftüberträger über den M. quadriceps femoris in der Streckphase. Die Röhrenknochen (Femur und Tibia mit Fibula) können durch die langen Hebel große Kräfte generieren. Bei ungünstigen Lastverhältnissen können diese großen Hebelkräfte am Kniegelenk zu erheblichen Beschwerden führen. Dies unterstreicht die Bedeutung der Koordination von Fuß und Hüftgelenk, da sie direkt die Beinachse und somit die Stellung des Knies beeinflussen. Fuß und Hüfte führen, das Gelenk dazwischen folgt (Heel 2002). Das Knie selbst trägt dabei nicht zur Achsenstabilisierung bei, vielmehr ist die stabile Beinachse, einschließlich der orthograd ausgerichteten Patella, das Resultat der koordinierten Hüft- und Fußstellung. Um dies zu erreichen, dreht der Femur nach außen, die Tibia nach innen, der Vorfuß wird in Pronation und der Rückfuß in Inversion geführt. Die Achsenstabilität des Beines entsteht durch seine spiralige Verschraubung.

Anatomische Grundlagen

Knochen

Anatomisch finden sich viele Hinweise auf die genannte Verschraubungsrichtung. Der Femur ist der größte spiralig gedrehte Röhrenknochen im Körper, die Verschraubung ist dabei dreidimensional: C-Bogen in der Sagitalebene, S-Bogen in der Frontalebene (Neigung der Schenkelhalsachse gegen die transversale Kondylenachse) und Rotation in der Horizontalebene (Antetorsion). (Abb. 1) Auch die Tibia ist verschraubt, C-Bogen in der Sagitalebene, S-Bogen in der Frontalebene (vom lateralen Tibeaplateau zum Malleolus medialis) und Rotation in der Horizontalebene (Tibiatorsion) (Abb. 2). Die Aufgabe des Beinskeletts besteht darin, die Belastung von oben nach unten und umgekehrt zu leiten. Dies wird durch den spiraligen Verlauf der belastungsstabilen Knochenachse gewährleistet.

Gelenk

Das Kniegelenk ist ein Drehscharniergelenk. Für die Fortbewegung ist die Scharnierfunktion offensichtlich. Durch die Form der Femurkondylen (archimedische Spirale) ist die Gelenkkongruenz von Femur und Tibia im Stand groß und das Gelenk wird in dieser Position knöchern gut stabilisiert. Beugt das Knie, rollen die Femurkondylen nach hinten und gleiten gleichzeitig nach vorne. In Beugung wird die Mobilität durch die geringere Kongruenz der Gelenkflächen erreicht 1. Die Menisken funktionieren dabei in Beugung wie Beilagscheiben, bei Streckung wie Pressfedern. Die spiralige Verschraubung entsteht in der Beugephase. Dabei wird der Femur nach außen und die Tibia nach innen gedreht 2. Während der Streckphase wird über die entsprechende Muskulatur versucht, die Verschraubung nicht über die orthograde Ausrichtung hinaus zu reduzieren.

Bänder

Die Kreuzbänder spannen sich bei zunehmender Verschraubung in die beschriebene Richtung. Dabei schlingen sie sich umeinander und pressen die Gelenkflächen von Femur und Tibia aufeinander. Die Drehachse verläuft dabei durch den medialen Kondylus. Die Seitenbänder straffen sich bei Streckung und entspannen sich bei Beugung. Somit ermöglichen sie ebenfalls die Drehbewegung des Kniegelenks in Beugestellung.

Muskeln

Die mehrgelenkigen Muskeln verlaufen spiralförmig und koordinieren die funktionell wichtigen Rotationen während Beugung und Streckung. Die Hüftmuskulatur hat dabei eine klare Außenrotationsdominanz, während im Kniegelenk die Innenrotatoren überwiegen. Im Fuß spiegelt sich das gleiche Bild wider: Supination des Rückfußes durch die Schienbeinmuskeln und Pronation des Vorfußes durch die Wadenbeinmuskulatur. Die meisten Strecker sind eingelenkig und verlaufen axial. Ihre Kraft überwiegt gegenüber den Beugern, da sie sowohl für den Abstoß bei der Fortbewegung als auch für das Federn beim Landen verantwortlich sind. Die Beugemuskulatur verläuft ebenfalls axial, besteht aber hauptsächlich aus mehrgelenkigen Muskeln, die innen und außen an der Tibia ansetzen. Dabei balancieren sie zügelartig die Rotation im Kniegelenk. Dementsprechend wird die Verschraubung des Beines in der Beugung aufgebaut und reduziert sich in der Streckungsphase wieder auf die Ausgangssituation.

Grundbewegungen des Kniegelenks

Die Bewegungen im Kniegelenk stehen in Zusammenhang mit der Fortbewegung. Die Spielbeinphase entspricht dabei einer Triple-Flexion, die Standbeinphase einer Triple-Extension der unteren Extremität. Unter der Triple-Flexion ist die Flexion des Hüftgelenks, des Kniegelenks sowie die Dorsalflexion des oberen Sprunggelenks zu verstehen. Entsprechend umfasst die Triple-Extension die Extension im Hüft- und Kniegelenk, sowie die Plantarflexion im oberen Sprunggelenk. Funktionell dient diese Stellung zu Beginn der Standbeinphase der Dämpfung, vor der Spielbeinphase dem Abstoß.
Bei der Triple-Flexion geht die Flexion der Hüfte mit einer Außenrotation des Femurs einher. Der Unterschenkel beugt und dreht in die Innennrotation, während das Sprunggelenk in Dorsalextension kommt und der Rückfuß in Inversion bewegt wird. Die Bewegung wird durch den M. sartorius und den M. tibialis anterior geleitet. Die Verschraubung wird aufgebaut und das Bein landet rotatorisch ausgerichtet für die Gewichtsübernahme auf der Ferse. In der Standbeinphase wird das Bein in allen Gelenken gestreckt. Dabei ist die Streckung der Hüfte wieder mit einer Außenrotatorenaktivität in der Hüfte, die Streckung des Knies mit einer Innenrotatorenaktivität in der Tibia assoziiert. Die Streckung des oberen Sprunggelenks wird ergänzt durch die Pronation des Vorfußes. Die M. tensor fascia latae und M. peronaeus longus leiten dabei die Bewegung.
Der M. quadriceps, die ischiocrurale Muskelgruppe und der M. gastrocnemius stellen die Kraftmuskeln des Beines dar. Sie sind zweigelenkig und bleiben damit vor dem Hintergrund der Triple-Extension und Triple-Flexion über den Verlauf des Gangzyklus immer in ihrer Mittellänge. Somit weisen sie über den gesamten Bewegungsweg eine maximale Kraftentwicklung auf.

Bild des koordinierten Kniegelenks

Statik

In der statischen Betrachtung definieren sich gerade Beine durch die gleiche Länge der Innen- und Außenlinien, die Kniescheibe steht in der Mitte und die Füße sind gerade nach vorne ausgerichtet. Der Kraftvektor der Bodenreaktionskräfte kommt dabei nahe der Kniegelenkachse zu liegen 3.
Zusätzlich lässt sich das wie folgt beschreiben (Heel 2002):

  • Das Fersenbein ist vertikal aufgerichtet
  • Die Tuberositas tibia steht zentriert und genau in der Mitte
  • Die Kondylenachse des Femurs verläuft transversal
  • Die Leiste wirkt offen
  • Der Trochanter ist nach hinten gedreht
  • Die horizontale Gesäßfalte ist deutlich ausgeprägt

Dynamik

In der Bewegung bleibt die Patella weiter gerade nach vorne orientiert und dreht auf keinen Fall nach innen. Der Calcaneus bleibt vertikal. Nach dem Fersenkontakt (Initial Contact), bei dem der Femur orthograd ausgerichtet bleibt, folgt die exzentrische Bremsphase (Loading Response), die über die Quergewölbemuskulatur des Fußes, den Quadriceps und den M. gastrocnemius erfolgt. Dabei beugt sich das Knie leicht. In der mittleren bis terminalen Standbeinphasen (Mid Stance bis Terminal Stance) streckt sich das Knie wieder. Beim Abstoß drückt die Großzehe zuletzt vom Boden ab, was mit einer gleichzeitigen Verspannung des Längsgewölbes einhergeht. In der Schwungbeinphase wird das Knie anfänglich gebeugt und zwischen der initialen und terminalen Schwungbeinphase (Initial Swing und Terminal Swing) wieder gestreckt nach vorne geführt, um erneut mit der Ferse aufzutreffen. In der Statik wie in der Dynamik integriert sich das Knie zwischen Hüfte und Fuß, indem der Femur nach außen rotiert, die Tibia nach innen rotiert und der Rückfuß in Inversion gegen den Vorfuß in Pronation verschraubt wird.

Pathomechanische Zusammenhänge

Fehler in der Koordination distal oder proximal oder gar Koordinationsumkehr haben weitreichende Folgen, die gesondert für Statik und Dynamik betrachtet werden.

Statik

Im Stehen führt ein nach ventral gekipptes Becken einerseits zu einer verstärkten Lordose der Lendenwirbelsäule (LWS) und andererseits zu einer Flexion im Hüftgelenk und einer Innenrotationstendenz des Femurs. Die Tibia reagiert mit einer Außenrotation (Tuberositas tibia wandert nach lateral), im Rückfuß kommt es zu einem Einknicken (Valgisierung des Calcaneus). Das bekannte X-Bein entsteht.
Je weiter das Becken nach ventral kippt, desto mehr sind die Kniegelenke gezwungen, in die Hyperextension auszuweichen, das Genu recurvatum entsteht. Die zwangsweise vermehrte Innenrotation des Femurs führt dabei zu Belastungsspitzen im medialen Kompartiment.
Wírd das Köpfchen von Metatarsale I nicht aktiv auf dem Boden fixiert oder wird der Calcaneus nicht vertikal ausgerichtet, kann das Längsgewölbe und damit der gesamte Fuß nicht stabilisiert werden. Somit wird das Os Metatarsale I nach vorne adduktorisch und supinatorisch weggeschoben und der Calcaneus driftet in Valgusstellung ab. Dabei bewegt er sich nach innen, vorne und dreht um die Longitudinalachse hinten nach außen. Kompensatorisch kommt es dabei häufig im oberen Sprunggelenk zu einer Rotation der Tibia nach außen, die sich auch im Kniegelenk wiederfindet. Im schlimmsten Fall findet sich in der statischen Analyse sowohl das beschriebene Bild der Fehlstellung von Becken/Hüfte als auch vom Fuß.

Dynamik

Der Q-Winkel als ein zentraler Parameter für die Stellung der gesamten unteren Extremität
Abbildung 3

Ein Risikofaktor für die Entwicklung von Kniepathologien scheint die Veränderung des Q-Winkels zu sein 45. Allerdings scheinen dabei weniger die statischen Winkelverhältnisse als die dynamische Konstellation zwischen der initialen Kontaktphase (Initial Contact Phase) und der Belastungsphase (Loading Response) eine Rolle zu spielen 6.
Der Q-Winkel ist definiert als der Winkel zwischen einer Linie von der Spina iliaca anterior superior zum Zentrum der Patella und einer weiteren Linie vom Zentrum der Patella zur Tuberositas tibiae. Der Q-Winkel verursacht biomechanisch eine nach lateral gerichtete Kraft an der Patella durch welche die Patella nach außen und der laterale Femukondylus nach dorsal gedrückt wird 7. Der Q-Winkel wird über die Stellung des Becken und Hüfte, sowie über die Stellung des Fußes und die Rotation der Tibia beeinflusst 8. Damit ist der Q-Winkel ein zentraler Parameter für die Rotation und Stabilität am Kniegelenk (Abb. 3).

Die engen Zusammenhänge zwischen Stabilität und Belastung des Kniegelenks und der Stellung von Femur und Tibia legen nahe, dass sowohl Störungen vom Fuß ausgehend als auch vom Becken Ursache von Beschwerden sein können 9.
Kommt es in der Standbeinphase zu einem verstärkten Ventralkippen des Beckens mit fehlender proximaler Abduktion und entsprechend vermehrter Drehung des Femurs nach innen, wird die Ferse bei gestrecktem Kniegelenk aufgesetzt. Die Möglichkeit der Dämpfung ist in dieser Stellung stark eingeschränkt. Der Impuls des Fersenaufpralls wird ungebremst auf Knie-, Hüft und Iliosacralgelenk sowie die LWS übertragen, da die Streckermuskulatur durch fehlende Kniebeugung nicht zum Abfedern eingesetzt werden kann. Vor allem der M. quadriceps kann in dieser Position seine Aufgabe als exzentrisch belasteter „Stoßdämpfer“ nur eingeschränkt wahrnehmen. Gleichzeitig führt die Stellung zu einer reduzierten exzentrischen Aktivität der Hüft-Außenrotatoren; der Femur kann weiter in die Innenrotationsfehlstellung abgleiten. Damit verbunden sind ein vermehrtes Einknicken des Fersenbeins in die Pronation mit einer Ausweichbewegung des Fußes in Abduktionsstellung unter Aussparung des 1. Strahls. Anstelle der aktiven Verspannung und Aufrichtung des Längsgewölbes in der Abstoßphase flacht sich dieses nun bei jedem Abstoß ab. Die damit einhergehende Muskelatrophie begünstigt die Entwicklung eines Hallux valgus.
Der Fuß wird mit verstärkter Außenrotation der Tibia nach vorne geführt, bei gleichzeitiger Innenrotationsfehlstellung des Femurs. Diese Kombination führt wiederum zu einer vermehrten Dehnung der medialen Weichteile an Knie und Fuß.
Gleichzeitig wird die Rotationsachse des Knies durch die veränderte Schwerkraftlinie nach lateral verlagert. Dies bringt  vermehrte Translation des Innenmeniskus in ventro-dorsaler Richtung mit sich. Auch wenn noch nicht alle Fragen der Kniekinematik abschließend geklärt sind, scheint die Fixation des medialen Meniskus an der Gelenkkapsel die Entstehung von Scherkräften zu begünstigen, welche wiederum zu einer beschleunigten Degeneration führen kann 1011.
Die Verschraubung der Kreuzbänder reduziert sich bei verstärkter Innenrotation des Femurs, was deren stabilisierende Funktion mindert. Je geringer die Stabilität des Gelenks, desto größer wird die Verletzungsanfälligkeit. In Folge dessen können schon unspektakuläre Unfälle zu Schäden an Kreuzbändern oder Menisken führen. Moderne Präventionsprogramme im Sport zielen insbesondere darauf ab, die Verschraubung der unteren Extremität zu verbessern, was nachweislich zu einer Reduktion der Verletzungshäufigkeit führt 12.
Die chronische Fehlbelastung hat auch Auswirkungen auf die Muskulatur. Die medialen Muskeln (Pes anserinus-Gruppe, M. vastus medialis) werden einer vermehrten Dehnungsbelastung ausgesetzt, während die laterale Muskulatur (M. biceps femoris, M. tensor fascia latae) eine Tendenz zur Kontraktur entwickelt. Die Folge ist eine weitere Reduktion der Stabilität des medialen Seitenbands und eine voranschreitende Valgisierung des Kniegelenks 1314.

Eine weitere Abschwächung erfährt der für die Zentrierung des Kniegelenks wichtige M. vastus medialis durch das Absinken des Beckens auf der Spielbeinseite. Die dadurch fehlende Exzentrik der Adduktoren auf der Standbeinseite verhindert seine Vordehnung und führt zu einer Hubinsuffizienz. Zusätzlich kommt der M. vastus lateralis mehr in der Frontalebene zu liegen und arbeitet entsprechend als Kniestrecker. Der in seiner Funktion als Patellastabilisator insuffiziente M. vastus medialis zeigte in verschiedenen Studien eine enge Korrelation mit dem patellofemoralen Schmerzsyndrom (PFPS) 1516. Eine mögliche Erklärung ist, dass bei fehlender Patellazentrierung diese nach lateral rutscht und dadurch zu einer vermehrten Belastung des Knorpels im lateralen Patellagleitlager führt 17.

Bei Störungen der Bewegungskette von distal erzeugt ein valgisierter Calcaneus bei leicht abduziertem Fuß einen Valgusstress auf das gebeugte Kniegelenk und weiterführend eine Innenrotationstendenz des Femurs 1819. Ein Absinken des Taluskopfes  mit dem Calcaneus nach medial und plantar verstärkt tendenziell die Rotation der Tibia auf dem Talus nach außen (Larsen 1998). Diese Kombination – Außenrotation der Tibia und Innenrotation des Femurs – hat erneut eine Vergrößerung des Q-Winkels, ein mediales Öffnen und ein laterales Raffen zur Folge.

Dekompensation der gesamten Fußmechanik bei Rückfußvalgus.
Abbildung 4

Die gegenläufige Rotation von Tibia und Femur führt wie bereits beschrieben zur einer Aufhebung der Verschraubung der Kreuzbänder, die Rotationsachse des Kniegelenks verschiebt sich nach lateral und es entsteht eine muskuläre Dysbalance der patellazentrierenden Muskulatur. Der valgisierte Calcaneus schwächt zusätzlich die Stabilisierung des Metatarsale I durch den M. peronaeus longus 20.
Sowohl die Eversion des Calcaneus als auch die Supination des Vorfußes führen zu einem Absinken des Längsgewölbes, zu einer Überdehnung der Tibialis posterior Sehne, zu einer vermehrten Supination des Os naviculare, zum plantaren Öffnen der Gelenke zwischen Os naviculare und Os cuneiforme mediale, sowie zwischen Os cuneiforme mediale und Os metatarsale I 2122. Weiterhin kommt es zu einer vermehrten Kompression in den dorsalen Gelenkabschnitten mit Supination des Os metatarsale I und langfristig zur Entwicklung eines Hallux valgus 23 mit Dorsalextensionsfehlstellung in den Zehengrundgelenken (Abb. 4). Der damit einhergehende Verlust der horizontalen Position des Talus zwingt die Tibia in eine relative Außenrotation, die weiterführend eine Außenrotation im Kniegelenk erzeugt und die oben beschriebenen Mechanismen unterstützt 18.

Die exzentrische Belastung der Fußbinnenmuskulatur war bisher wenig Gegenstand wissenschaftlicher Arbeiten. Aufgrund biomechanischer Arbeiten ist aber anzunehmen, dass auch die plantare Fußbinnenmuskulatur als peripherer Stoßdämpfer fungiert (Larsen 1998). Fehlt diese Funktion, kommt es zu einer verstärkten Dorsalextension im oberen Sprunggelenk. Ein Anstieg der Belastung auf Knie- und Hüftgelenk bei gleichzeitiger vermehrter Beanspruchung des M. quadriceps femoris ist anzunehmen. Umgekehrt kann durch ein spezielles Training dieser Muskeln ein synergistischer Effekt auf die Quadricepsmuskulatur erreicht werden 24.

Erkrankungen der unteren Extremität und deren Behandlungsansatz auf dem Boden des Spiraldynamik®-Konzepts

Gonarthrose

Achsfehlstellungen des Kniegelenks konnten in zahlreichen Studien als wesentlicher Risikofaktur für die Arthroseentstehung identifiziert werden 2526. Pathomechanischer Hintergrund ist die ungleiche Lastverteilung in den Gelenkkompartimenten. Beim Genu valgum ist normalerweise die Belastung des lateralen Kompartiments erhöht, beim Genu varum die des medialen Kompartiments. Bei gleichzeitiger Rotationsfehlstellung ist es aber möglich, dass auch bei einem Genu varum die Belastung im lateralen Komartiment erhöht ist. Insbesondere bei einer zusätzlichen Rotationsfehlstellung im Femur wird der der laterale Condylus auf die Tibia gepresst, was zu einer Verlagerung der lasttragenden Achse in das laterale Kompartiment führen kann (Perry 2003).
Während beim Genu valgum die Beinachsenaufrichtung therapeutisch mit Außenrotation Femur und Innenrotation Tibia verbunden sind, steht beim Genu varum mit Problemen im lateralen Kompartiment eindeutig die Beübung der Innenrotation des Femurs im Vordergrund, da der Condylus dann in Flexions-Position flacher gestellt ist.

Chondropathia Patella / Patellaluxation

Ein zu hoher Anpressdruck der Kniescheibe an die Femurcondylen gilt als ein wesentlicher Risikofaktor für Knorpelschäden 27. Ein hoher Anpressdruck kann dabei Folge einer dauerhaft hohen Spannung des M. quadriceps femoris sein, oder durch unphysiologische Kniegelenkachsen sich auf ein Kompartiment des Gleitlagers konzentrieren 28. Der therapeutische Ansatz bei einem erhöhten Tonus des M. quadriceps fermoris ist die Identifikation und Kräftigung insuffizienter Muskeln des Dämpfungssystems. Bei einer Achsabweichung gilt es, die Stabilisation der Achse durch den Aufbau der richtigen Verschraubung mit Hüft- und Fußkorrektur zu unterstützen.

Meniskusschäden

Eine Lateralisierung der Drehachse durch Verlust der rotatorischen Stabilität der Beinachse, Dreh-Scherbewegungen über den medialen Meniskus, verminderte Mobilität im oberen Sprunggelenk und eine erhöhte Druckbelastung bei fehlender peripherer Dämpfung sind Hauptgründe für degenerative Schäden des medialen Meniskus. Entscheidend für die Langlebigkeit der Menisken ist die korrekte Einhaltung der Beinachse, um Scherkräfte zu vermeiden 29. Therapeutisch steht vor allem die Koordination der rotatorisch wirkenden Muskeln im Kniegelenk im Vordergrund.

Ansatztendinosen

In der Muskulatur des Pes anserinus kommt es durch die Fehlstellung des Femurs und die damit einhergehende Notwendigkeit der dauerhaften Anspannung unter erhöhter Belastung zu Mikrotraumen. Das schädigt den Sehnen-Knochen-Übergang und führt langfristig zu Schmerzen. Abhilfe schaffen hier wieder die Achskorrektur und der zeitlich koordinierte Einsatz der die Rotation einstellenden Muskulatur 30.
Das Patellaspitzensyndrom kann ursächlich mit einem zu hohen Tonus des M. quadriceps verbunden sein. Der therapeutische Ansatz ist die Identifikation und Kräftigung insuffizienter Muskeln des Dämpfungssystems wie z.B. des muskulären Quergewölbes, des M. gastrocnemius oder der ischiocruralen Muskulatur. Das Tractus iliotibialis-Syndrom wird durch eine Schwäche der Hüftabduktoren und -außenrotatoren (M. gluteus medius und minimus) in Verbindung mit einer zusätzlichen Innenrotationsfehlstellung des Femurs verursacht. Die fehlende Kraft der Glutaealmuskulatur kann über den die laterale Zuggurtung aufspannenden Tensor fasciae latae nicht vollumfänglich ersetzt werden. Die chronische Überbeanspruchung verursacht das Schmerzbild des Tractus iliotibialis Syndroms. Abhilfe schafft hier ein gezieltes Abduktoren- und Aussenrotatorentraining der Hüfte 31.

Achillodynie

Ähnlich dem Patella-Spitzen-Syndrom kann auch die Achillodynie die Folge einer Überbelastung des M. gastrocnemius durch fehlende Kraft der intrinsischen Fußmuskulatur sein, wodurch andere Muskeln vermehrt und dauerhaft aktiv sein müssen. Zusätzlich beeinflusst ein valgisch positionierter Calcaneus die Zugrichtung der Achillessehne negativ. Erlernen der aktiven Fußverschraubung zur Calcaneusaufrichtung und Reaktivierung der kurzen Fußmuskulatur sind neben der Becken- sind Hüftstabilisierung die primären therapeutischen Ziele.

Hallux valgus

Der Hallux valgus ist die Folge einer langen Ursache-Wirkungs-Kaskade. Ausgehend von der fehlenden Kraft bzw. der mangelnden neuro-muskulären Koordination der Hüftaussenrotatoren kann der Femur beim initialen Bodenkontakt nicht orthograd stabilisiert werden. Zusätzlich kippt das Becken nach ventral, häufig begleitet von einem Absinken des Beckens auf der Spielbeinseite. Der Fuß reagiert zumeist mit einer Außenrotation, der Kraftvektor verschiebt sich folglich nach medial. Die erhöhte Belastung durch die fehlende Kraft in der Glutealmuskulatur kann durch die fußstabilisierende Muskulatur nicht kompensiert werden. Dadurch sinken der Calcaneus und in Folge auch der Talus in Richtung valgus, das Os naviculare bewegt in die Supination und nimmt die ventral liegenden Knochen einschließlich Os metatarsale I mit in diese Fehlstellung. Ist das Os metatarsale I entsprechend weit nach medial supiniert, ziehen der Flexor hallucis longus und brevis die Phalangen nach lateral.
Die Therapie setzt an der Hüft-Becken-Region an mit einer Aufrichtung des Beckens und der LWS, einer Kräftigung der Hüftaussenrotatoren und der orthograden Ausrichtung des Femurs unter Belastung. Die stabilisierende Verschraubung des Fußes durch die Aktivierung des M. peronaeus longus ergänzt den bipolaren Ansatz.

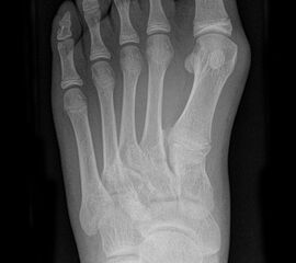
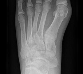
Die folgenden Bilder zeigen die belastete Röntgenaufnahmen des linken Fußes einer jungen Patientin zu Beginn der Therapie und nach 6 Monaten Training. Erkennbar ist die höhere muskuläre Verspannung des Fußes mit verbesserter Stellung der milden Hallux valgus Deformität.

Tibialis posterior Insuffizienz

Eine fehlende Verankerung des Metatarsale I Köpfchens am Boden auf Grund fehlender Ansteuerung des M. peronaeus longus macht eine Stabilisation des Fußgewölbes unmöglich. Der Vorfuß weicht in die Supination aus, der Calcaneus kippt in den Valgus und die muskuläre Verspannung des Fußes kann nicht mehr gesichert werden. Der M. tibialis posterior ist beim Versuch der Kompensation einer erhöhten Belastung ausgesetzt. Eine über die Jahre hohe Belastung beschleunigt degenerative Prozesse bis hinzu Ruptur. Therapeutisch steht die Verschraubung des Fußes durch Reaktivierung des M. peronaeus longus und der intrinsischen Fußmuskulatur im Vordergrund.

Weitere Literatur

  • Heel C: Lehrbuch zum Neuen Denkmodell der Physiotherapie. Band 1: Bewegungssystem, Herausgeber Antje Hüter-Becker. Thieme Verlag, 2002.
  • Larsen C: „Prävention von Fußdeformitäten“ Krankengymnastik (1998) 50: 1534-1544.
  • Larsen C. Koxarthrose: „Periphere Dämpfung – zentrale Belastung“ Krankengymnastik (1998) 50:1884-1893.
  • Perry J: Ganganalyse. Urban und Fischer, 2003.
  • Wippert J.: Pathomechanik des Knies aus Sicht des Spiraldynamik®-Konzepts. Orthopädie-Technik (2013) 4:32-37 
Loading…
Loading the web debug toolbar…
Attempt #